Impact of Adenomyosis on Infertile Patients—Therapy Options and Reproductive Outcomes
Abstract
1. Introduction
2. Pathogenesis and Risk Factors
- Myometrial invasion of the endometrium
- De novo development from embryonic remnants of the Müllerian ducts
- Invagination of the stratum basalis of the endometrium along the lymphatic vessels of the myometrium
- Adenomyosis from bone marrow stem cells
- Archimetrosis, a novel theory concerning the pathogenesis of uterine adenomyosis and endometriosis, which is connected with the evolution of the stratum vasculare, tissue injury and repair. Hypercontractility seems to represent a risk factor [5].
3. Clinical Symptoms
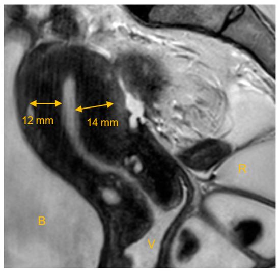
4. Diagnosis of Adenomyosis
5. Effect of Adenomyosis on Reproductive Outcomes
6. Treatment Options in Patients with Adenomyosis
7. Reproductive Outcomes after the Treatment of Adenomyosis
7.1. Pharmacological Treatment Options
7.2. Surgical Treatment Options
7.3. Other Methods
8. Conclusions
Author Contributions
Funding
Institutional Review Board Statement
Data Availability Statement
Acknowledgments
Conflicts of Interest
Abbreviations
| TVS | transvaginal ultrasound |
| MRI | magnetic resonance imaging |
| JZ | junctional zone |
| ART | assisted reproductive technologies |
| IVF | in vitro fertilization |
| NSAIDs | nonsteroidal anti-inflammatory drugs |
| IUS | intrauterine system |
| GnRH | gonadotropin releasing hormone |
| AI | aromatase inhibitor |
| OC | Combined oral contraceptive |
| POP | Progestin-only pill |
| DNG | Dienogest |
| LNG-IUS | Levonorgestrel intrauterine system |
| AD | adenomyosis |
| HIFU | High intensity focused ultrasound |
| YAG | yttrium aluminum garnet |
| UAE | Uterine artery embolization |
References
- Zhai, J.; Vannuccini, S.; Petraglia, F.; Giudice, L.C. Adenomyosis: Mechanisms and Pathogenesis. Semin. Reprod. Med. 2020, 38, 129–143. [Google Scholar] [CrossRef] [PubMed]
- Graziano, A.; Monte, G.L.; Piva, I.; Caserta, D.; Karner, M.; Engl, B.; Marci, R. Diagnostic findings in adenomyosis: A pictorial review on the major concerns. Eur. Rev. Med. Pharmacol. Sci. 2015, 19, 1146–1154. [Google Scholar] [PubMed]
- Li, J.-J.; Chung, J.P.W.; Wang, S.; Li, T.-C.; Duan, H. The Investigation and Management of Adenomyosis in Women Who Wish to Improve or Preserve Fertility. BioMed Res. Int. 2018, 2018, 6832685. [Google Scholar] [CrossRef] [PubMed]
- Ferenczy, A. Pathophysiology of adenomyosis. Hum. Reprod. Updat. 1998, 4, 312–322. [Google Scholar] [CrossRef] [PubMed]
- Leyendecker, G.; Wildt, L.; Laschke, M.W.; Mall, G. Archimetrosis: The evolution of a disease and its extant presentation: Pathogenesis and pathophysiology of archimetrosis (uterine adenomyosis and endometriosis). Arch. Gynecol. Obstet. 2022; Online ahead of print. [Google Scholar] [CrossRef]
- Vercellini, P.; Vigano, P.; Somigliana, E.; Daguati, R.; Abbiati, A.; Fedele, L. Adenomyosis: Epidemiological factors. Best Pract. Res. Clin. Obstet. Gynaecol. 2006, 20, 465–477. [Google Scholar] [CrossRef]
- Bergeron, C.; Amant, F.; Ferenczy, A. Pathology and physiopathology of adenomyosis. Best Pract. Res. Clin. Obstet. Gynaecol. 2006, 20, 511–521. [Google Scholar] [CrossRef]
- Dueholm, M. Uterine adenomyosis and infertility, review of reproductive outcome after in vitro fertilization and surgery. Acta Obstet. Gynecol. Scand. 2017, 96, 715–726. [Google Scholar] [CrossRef]
- Vlahos, N.F.; Theodoridis, T.D.; Partsinevelos, G.A. Myomas and Adenomyosis: Impact on Reproductive Outcome. BioMed Res. Int. 2017, 2017, 5926470. [Google Scholar] [CrossRef]
- Mavrelos, D.; Holland, T.K.; O’Donovan, O.; Khalil, M.; Ploumpidis, G.; Jurkovic, D.; Khalaf, Y. The impact of adenomyosis on the outcome of IVF–embryo transfer. Reprod. Biomed. Online 2017, 35, 549–554. [Google Scholar] [CrossRef]
- Squillace, A.L.; Simonian, D.S.; Allegro, M.C.; Júnior, E.B.; Bianchi, P.H.D.M.; Bibancos, M. Adenomyosis and in vitro fertilization impacts—A literature review. JBRA Assist. Reprod. 2021, 25, 303–309. [Google Scholar] [CrossRef]
- Puente, J.M.; Fabris, A.; Patel, J.; Patel, A.; Cerrillo, M.; Requena, A.; Garcia-Velasco, J.A. Adenomyosis in infertile women: Prevalence and the role of 3D ultrasound as a marker of severity of the disease. Reprod. Biol. Endocrinol. 2016, 14, 60. [Google Scholar] [CrossRef]
- Sharma, S.; Bathwal, S.; Agarwal, N.; Chattopadhyay, R.; Saha, I.; Chakravarty, B. Does presence of adenomyosis affect reproductive outcome in IVF cycles? A retrospective analysis of 973 patients. Reprod. Biomed. Online 2019, 38, 13–21. [Google Scholar] [CrossRef] [PubMed]
- Bourdon, M.; Pham, B.; Marcellin, L.; Bordonne, C.; Millischer, A.E.; Maignien, C.; Santulli, P.; Chapron, C. Endometriosis increases the rate of spontaneous early miscarriage in women who have adenomyosis lesions. Reprod. Biomed. Online 2021, 44, 104–111. [Google Scholar] [CrossRef] [PubMed]
- Kohl Schwartz ASM, M.D. The challenge of adenomyosis—Surgical, endocrine and reproductive medicine treatment options. Gynäkologische Endokrinol. 2021, 19, 53–62. [Google Scholar]
- Freytag, D.; Peters, G.; Mettler, L.; Gitas, G.; Maass, N.; Alkatout, I. Perioperative considerations in the treatment of endometriosis. J. Turk. Gynecol. Assoc. 2021, 22, 319–325. [Google Scholar] [CrossRef]
- Gunther, V.; Otte, S.V.; Freytag, D.; Maass, N.; Alkatout, I. Recurrent implantation failure—An overview of current research. Gynecol. Endocrinol. Off. J. Int. Soc. Gynecol. Endocrinol. 2021, 37, 584–590. [Google Scholar] [CrossRef]
- Alkatout, I.; Wedel, T.; Maass, N. Combined treatment of endometriosis: Radical yet gentle. Aktuelle Urol. 2018, 49, 60–72. [Google Scholar]
- Buggio, L.; Monti, E.; Gattei, U.; Dridi, D.; Vercellini, P. Adenomyosis: Fertility and obstetric outcome. A comprehensive literature review. Minerva Ginecol 2018, 70, 295–302. [Google Scholar] [CrossRef]
- Vigano, P.; Corti, L.; Berlanda, N. Beyond infertility: Obstetrical and postpartum complications associated with endometriosis and adenomyosis. Fertil. Steril. 2015, 104, 802–812. [Google Scholar] [CrossRef]
- Szubert, M.; Kozirog, E.; Olszak, O.; Krygier-Kurz, K.; Kazmierczak, J.; Wilczynski, J. Adenomyosis and Infertility-Review of Medical and Surgical Approaches. Int. J. Environ. Res. Public Health 2021, 18, 1235. [Google Scholar] [CrossRef] [PubMed]
- Senturk, L.M.; Imamoglu, M. Adenomyosis: What is new? Women’s Health 2015, 11, 717–724. [Google Scholar] [CrossRef]
- Reinhold, C.; Tafazoli, F.; Wang, L. Imaging features of adenomyosis. Hum. Reprod. Updat. 1998, 4, 337–349. [Google Scholar] [CrossRef] [PubMed]
- Tellum, T.; Nygaard, S.; Lieng, M. Noninvasive Diagnosis of Adenomyosis: A Structured Review and Meta-analysis of Diagnostic Accuracy in Imaging. J. Minim. Invasive Gynecol. 2020, 27, 408–418.e3. [Google Scholar] [CrossRef] [PubMed]
- Van den Bosch, T.; Van Schoubroeck, D. Ultrasound diagnosis of endometriosis and adenomyosis: State of the art. Best Pract. Res. Clin. Obstet. Gynaecol. 2018, 51, 16–24. [Google Scholar] [CrossRef]
- Lazzeri, L.; Morosetti, G.; Centini, G.; Monti, G.; Zupi, E.; Piccione, E.; Exacoustos, C. A sonographic classification of adenomyosis: Interobserver reproducibility in the evaluation of type and degree of the myometrial involvement. Fertil. Steril. 2018, 110, 1154–1161.e3. [Google Scholar] [CrossRef]
- Harmsen, M.J.; Bosch, T.V.D.; de Leeuw, R.A.; Dueholm, M.; Exacoustos, C.; Valentin, L.; Hehenkamp, W.J.K.; Groenman, F.; De Bruyn, C.; Rasmussen, C.; et al. Consensus on revised definitions of Morphological Uterus Sonographic Assessment ( MUSA) features of adenomyosis: Results of modified Delphi procedure. Ultrasound Obstet. Gynecol. 2021, 60, 118–131. [Google Scholar] [CrossRef]
- Dueholm, M. Transvaginal ultrasound for diagnosis of adenomyosis: A review. Best Pract. Res. Clin. Obstet. Gynaecol. 2006, 20, 569–582. [Google Scholar] [CrossRef]
- Dueholm, M.; Lundorf, E.; Hansen, E.S.; Sørensen, J.S.; Ledertoug, S.; Olesen, F. Magnetic resonance imaging and transvaginal ultrasonography for the diagnosis of adenomyosis. Fertil. Steril. 2001, 76, 588–594. [Google Scholar] [CrossRef] [PubMed]
- Van den Bosch, T.; Dueholm, M.; Leone, F.P.; Valentin, L.; Rasmussen, C.K.; Votino, A.; Van Schoubroeck, D.; Landolfo, C.; Installé, A.J.F.; Guerriero, S.; et al. Terms, definitions and measurements to describe sonographic features of myometrium and uterine masses: A consensus opinion from the Morphological Uterus Sonographic Assessment (MUSA) group. Ultrasound Obstet. Gynecol. Off. J. Int. Soc. Ultrasound Obstet. Gynecol. 2015, 46, 284–298. [Google Scholar] [CrossRef] [PubMed]
- Luciano, D.E.; Exacoustos, C.; Albrecht, L.; LaMonica, R.; Proffer, A.; Zupi, E.; Luciano, A.A. Three-Dimensional Ultrasound in Diagnosis of Adenomyosis: Histologic Correlation With Ultrasound Targeted Biopsies of the Uterus. J. Minim. Invasive Gynecol. 2013, 20, 803–810. [Google Scholar] [CrossRef] [PubMed]
- Harmsen, M.J.; Trommelen, L.M.; de Leeuw, R.A.; Tellum, T.; Juffermans, L.J.M.; Griffioen, A.W.; Thomassin-Naggara, I.; Bosch, T.V.D.; Huirne, J.A.F. Multidisciplinary view on uterine junctional zone in uteri affected by adenomyosis: Explaining discrepancies between MRI and transvaginal ultrasound images on a microscopic level. Ultrasound Obstet. Gynecol. 2022; accepted articles. [Google Scholar] [CrossRef]
- Zhang, M.; Bazot, M.; Tsatoumas, M.; Munro, M.G.; Reinhold, C. MRI of Adenomyosis: Where Are We Today? Can. Assoc. Radiol. J. J. L’association Can. Des Radiol. 2022; 8465371221114197, Online ahead of print. [Google Scholar] [CrossRef]
- Janschek, E. Adenomyosis—An actual review. J. Gynäkologische Endokrinol. Osterr. 2018, 29, 76–85. [Google Scholar] [CrossRef]
- Harada, T.; Khine, Y.M.; Kaponis, A.; Nikellis, T.; Decavalas, G.; Taniguchi, F. The Impact of Adenomyosis on Women’s Fertility. Obstet. Gynecol. Surv. 2016, 71, 557–568. [Google Scholar] [CrossRef]
- Novellas, S.; Chassang, M.; Delotte, J.; Toullalan, O.; Chevallier, A.; Bouaziz, J.; Chevallier, P. MRI Characteristics of the Uterine Junctional Zone: From Normal to the Diagnosis of Adenomyosis. Am. J. Roentgenol. 2011, 196, 1206–1213. [Google Scholar] [CrossRef] [PubMed]
- Exacoustos, C.; Lazzeri, L.; Martire, F.G.; Russo, C.; Martone, S.; Centini, G.; Piccione, E.; Zupi, E. Ultrasound Findings of Adenomyosis in Adolescents: Type and Grade of the Disease. J. Minim. Invasive Gynecol. 2021, 29, 291–299.e1. [Google Scholar] [CrossRef]
- Hricak, H.; Alpers, C.; Crooks, L.; Sheldon, P. Magnetic resonance imaging of the female pelvis: Initial experience. Am. J. Roentgenol. 1983, 141, 1119–1128. [Google Scholar] [CrossRef]
- Tamai, K.; Koyama, T.; Umeoka, S.; Saga, T.; Fujii, S.; Togashi, K. Spectrum of MR features in adenomyosis. Best Pract. Res. Clin. Obstet. Gynaecol. 2006, 20, 583–602. [Google Scholar] [CrossRef]
- Fanchin, R.; Ayoubi, J.M. Uterine dynamics: Impact on the human reproduction process. Reprod. Biomed. Online 2009, 18 (Suppl. S2), 57–62. [Google Scholar] [CrossRef]
- Freytag, D.; Mettler, L.; Maass, N.; Günther, V.; Alkatout, I. Uterine anomalies and endometriosis. Minerva Medica 2020, 111, 33–49. [Google Scholar] [CrossRef]
- Rasmussen, C.K.; Glavind, J.; Madsen, L.D.; Uldbjerg, N.; Dueholm, M. Repeatability of Junctional Zone Measurements Using 3-Dimensional Transvaginal Sonography in Healthy Fertile Women. J. Ultrasound Med. 2016, 35, 1497–1508. [Google Scholar] [CrossRef] [PubMed]
- Vercellini, P.; Consonni, D.; Dridi, D.; Bracco, B.; Frattaruolo, M.P.; Somigliana, E. Uterine adenomyosis and in vitro fertilization outcome: A systematic review and meta-analysis. Hum. Reprod. 2014, 29, 964–977. [Google Scholar] [CrossRef] [PubMed]
- Alkatout, I.; Meinhold-Heerlein, I.; Keckstein, J.; Mettler, L. Endometriosis: A concise practical guide to current diagnosis and treatment. J. Turk. Gynecol. Assoc. 2018, 19, 173–175. [Google Scholar] [CrossRef] [PubMed]
- Becker, C.M.; Bokor, A.; Heikinheimo, O.; Horne, A.; Jansen, F.; Kiesel, L.; King, K.; Kvaskoff, M.; Nap, A.; Petersen, K.; et al. ESHRE guideline: Endometriosis. Hum. Reprod. Open 2022, 2022, hoac009. [Google Scholar] [CrossRef] [PubMed]
- Bernardi, M.; Lazzeri, L.; Perelli, F.; Reis, F.M.; Petraglia, F. Dysmenorrhea and related disorders. F1000Research 2017, 6, 1645. [Google Scholar] [CrossRef]
- Brown, J.; Crawford, T.J.; Allen, C.; Hopewell, S.; Prentice, A. Nonsteroidal anti-inflammatory drugs for pain in women with endometriosis. Cochrane Database Syst. Rev. 2017, 1, CD004753. [Google Scholar] [CrossRef] [PubMed]
- Nyachieo, A.; Siristatidis, C.S.; Vaidakis, D. Nonsteroidal anti-inflammatory drugs for assisted reproductive technology. Cochrane Database Syst. Rev. 2019, 2019, CD007618. [Google Scholar] [CrossRef] [PubMed]
- Dunselman, G.A.J.; Vermeulen, N.; Becker, C.; Calhaz-Jorge, C.; D’Hooghe, T.; De Bie, B.; Heikinheimo, O.; Horne, A.W.; Kiesel, L.; Nap, A.; et al. ESHRE guideline: Management of women with endometriosis. Hum. Reprod. 2014, 29, 400–412. [Google Scholar] [CrossRef] [PubMed]
- Vercellini, P.; Viganò, P.; Somigliana, E.; Fedele, L. Endometriosis: Pathogenesis and treatment. Nat. Rev. Endocrinol. 2014, 10, 261–275. [Google Scholar] [CrossRef]
- Matsubara, S.; Kawaguchi, R.; Akinishi, M.; Nagayasu, M.; Iwai, K.; Niiro, E.; Yamada, Y.; Tanase, Y.; Kobayashi, H. Subtype I (intrinsic) adenomyosis is an independent risk factor for dienogest-related serious unpredictable bleeding in patients with symptomatic adenomyosis. Sci. Rep. 2019, 9, 17654. [Google Scholar] [CrossRef] [PubMed]
- Cho, B.; Roh, J.W.; Park, J.; Jeong, K.; Kim, T.H.; Kim, Y.S.; Kwon, Y.S.; Cho, C.H.; Park, S.H.; Kim, S.H. Safety and Effectiveness of Dienogest (Visanne(R)) for Treatment of Endometriosis: A Large Prospective Cohort Study. Reprod. Sci. 2020, 27, 905–915. [Google Scholar] [CrossRef] [PubMed]
- Maul, L.V.; Morrision, J.E.; Schollmeyer, T.; Alkatout, I.; Mettler, L. Surgical Therapy of Ovarian Endometrioma: Recurrence and Pregnancy Rates. JSLS J. Soc. Laparoendosc. Surg. 2014, 18, e2014.00223. [Google Scholar] [CrossRef]
- Barra, F.; Laganà, A.S.; Scala, C.; Garzon, S.; Ghezzi, F.; Ferrero, S. Pretreatment with dienogest in women with endometriosis undergoing IVF after a previous failed cycle. Reprod. Biomed. Online 2020, 41, 859–868. [Google Scholar] [CrossRef] [PubMed]
- Muller, V.; Kogan, I.; Yarmolinskaya, M.; Niauri, D.; Gzgzyan, A.; Aylamazyan, E. Dienogest treatment after ovarian endometrioma removal in infertile women prior to IVF. Gynecol. Endocrinol. Off. J. Int. Soc. Gynecol. Endocrinol. 2017, 33 (Suppl. S1), 18–21. [Google Scholar] [CrossRef] [PubMed]
- Tamura, H.; Yoshida, H.; Kikuchi, H.; Josaki, M.; Mihara, Y.; Shirafuta, Y.; Shinagawa, M.; Tamura, I.; Taketani, T.; Takasaki, A.; et al. The clinical outcome of Dienogest treatment followed by in vitro fertilization and embryo transfer in infertile women with endometriosis. J. Ovarian Res. 2019, 12, 123. [Google Scholar] [CrossRef] [PubMed]
- Choi, Y.S.; Cho, S.; Lim, K.J.; Jeon, Y.E.; Yang, H.I.; Lee, K.E.; Heena, K.; Seo, S.K.; Kim, H.Y.; Lee, B.S. Effects of LNG-IUS on nerve growth factor and its receptors expression in patients with adenomyosis. Growth Factors 2010, 28, 452–460. [Google Scholar] [CrossRef]
- Liang, Z.; Yin, M.; Ma, M.; Wang, Y.; Kuang, Y. Effect of pretreatment with a levonorgestrel-releasing intrauterine system on IVF and vitrified–warmed embryo transfer outcomes in women with adenomyosis. Reprod. Biomed. Online 2019, 39, 111–118. [Google Scholar] [CrossRef] [PubMed]
- Yun, B.H.; Jeon, Y.E.; Seo, S.K.; Park, J.H.; Yoon, S.O.; Cho, S.; Choi, Y.S.; Lee, B.S. Effects of a Levonorgestrel-Releasing Intrauterine System on the Expression of Steroid Receptor Coregulators in Adenomyosis. Reprod. Sci. 2015, 22, 1539–1548. [Google Scholar] [CrossRef] [PubMed]
- Ortmann, O.; Weiss, J.M.; Diedrich, K. Gonadotrophin-releasing hormone (GnRH) and GnRH agonists: Mechanisms of action. Reprod. Biomed. Online 2002, 5 (Suppl. S1), 1–7. [Google Scholar] [CrossRef]
- Schindler, A.E. Allgemeine Gynäkologie. GnRH-Agonisten: Praktischer Stellenwert bei endoskopischen/hysteroskopischen Eingriffen. Geburtshilfe Frauenheilkd 2010, 70, 1020–1023. [Google Scholar] [CrossRef]
- Khan, K.N.; Kitajima, M.; Hiraki, K.; Fujishita, A.; Sekine, I.; Ishimaru, T.; Masuzaki, H. Changes in tissue inflammation, angiogenesis and apoptosis in endometriosis, adenomyosis and uterine myoma after GnRH agonist therapy. Hum. Reprod. 2009, 25, 642–653. [Google Scholar] [CrossRef]
- Mijatovic, V.; Florijn, E.; Halim, N.; Schats, R.; Hompes, P. Adenomyosis has no adverse effects on IVF/ICSI outcomes in women with endometriosis treated with long-term pituitary down-regulation before IVF/ICSI. Eur. J. Obstet. Gynecol. Reprod. Biol. 2010, 151, 62–65. [Google Scholar] [CrossRef] [PubMed]
- Hou, X.; Xing, J.; Shan, H.; Mei, J.; Sun, Y.; Yan, G.; Sun, H.; Wang, J. The effect of adenomyosis on IVF after long or ultra-long GnRH agonist treatment. Reprod. Biomed. Online 2020, 41, 845–853. [Google Scholar] [CrossRef] [PubMed]
- Younes, G.; Tulandi, T. Effects of adenomyosis on in vitro fertilization treatment outcomes: A meta-analysis. Fertil. Steril. 2017, 108, 483–490.e3. [Google Scholar] [CrossRef]
- Cozzolino, M.; Tartaglia, S.; Pellegrini, L.; Troiano, G.; Rizzo, G.; Petraglia, F. The Effect of Uterine Adenomyosis on IVF Outcomes: A Systematic Review and Meta-analysis. Reprod. Sci. 2022, 29, 3177–3193. [Google Scholar] [CrossRef]
- Cope, A.G.; Ainsworth, A.J.; Stewart, E.A. Current and Future Medical Therapies for Adenomyosis. Semin. Reprod. Med. 2020, 38, 151–156. [Google Scholar] [CrossRef]
- Vannuccini, S.; Luisi, S.; Tosti, C.; Sorbi, F.; Petraglia, F. Role of medical therapy in the management of uterine adenomyosis. Fertil. Steril. 2018, 109, 398–405. [Google Scholar] [CrossRef]
- Templeman, C.; Marshall, S.F.; Ursin, G.; Horn-Ross, P.L.; Clarke, C.A.; Allen, M.; Deapen, D.; Ziogas, A.; Reynolds, P.; Cress, R.; et al. Adenomyosis and endometriosis in the California Teachers Study. Fertil. Steril. 2008, 90, 415–424. [Google Scholar] [CrossRef] [PubMed]
- Osada, H. Uterine adenomyosis and adenomyoma: The surgical approach. Fertil. Steril. 2018, 109, 406–417. [Google Scholar] [CrossRef] [PubMed]
- Morimatsu, Y.; Matsubara, S.; Higashiyama, N.; Kuwata, T.; Ohkuchi, A.; Izumi, A.; Shibahara, H.; Suzuki, M. Uterine rupture during pregnancy soon after a laparoscopic adenomyomectomy. Reprod. Med. Biol. 2007, 6, 175–177. [Google Scholar] [CrossRef]
- Grimbizis, G.F.; Mikos, T.; Tarlatzis, B. Uterus-sparing operative treatment for adenomyosis. Fertil. Steril. 2014, 101, 472–487.e8. [Google Scholar] [CrossRef] [PubMed]
- Tan, J.; Moriarty, S.; Taskin, O.; Allaire, C.; Williams, C.; Yong, P.; Bedaiwy, M.A. Reproductive Outcomes after Fertility-Sparing Surgery for Focal and Diffuse Adenomyosis: A Systematic Review. J. Minim. Invasive Gynecol. 2018, 25, 608–621. [Google Scholar] [CrossRef]
- Wood, C. Adenomyosis: Difficult to diagnose, and difficult to treat. Diagn. Ther. Endosc. 2001, 7, 89–95. [Google Scholar] [CrossRef] [PubMed]
- Fan, T.-Y.; Zhang, L.; Chen, W.; Liu, Y.; He, M.; Huang, X.; Orsi, F.; Wang, Z. Feasibility of MRI-guided high intensity focused ultrasound treatment for adenomyosis. Eur. J. Radiol. 2012, 81, 3624–3630. [Google Scholar] [CrossRef]
- Zhang, L.; Rao, F.; Setzen, R. High intensity focused ultrasound for the treatment of adenomyosis: Selection criteria, efficacy, safety and fertility. Acta Obstet. Gynecol. Scand. 2017, 96, 707–714. [Google Scholar] [CrossRef] [PubMed]
- Zhou, C.Y.; Xu, X.J.; He, J. Pregnancy outcomes and symptom improvement of patients with adenomyosis treated with high intensity focused ultrasound ablation. Zhonghua Fu Chan Ke Za Zhi 2016, 51, 845–849. [Google Scholar]
- Dessouky, R.; Gamil, S.A.; Nada, M.G.; Mousa, R.; Libda, Y. Management of uterine adenomyosis: Current trends and uterine artery embolization as a potential alternative to hysterectomy. Insights Imaging 2019, 10, 48. [Google Scholar] [CrossRef] [PubMed]
- Taran, F.A.; Stewart, E.A.; Brucker, S. Adenomyosis: Epidemiology, Risk Factors, Clinical Phenotype and Surgical and Interventional Alternatives to Hysterectomy. Geburtshilfe Frauenheilkd. 2013, 73, 924–931. [Google Scholar] [CrossRef] [PubMed]
- Kohn, J.R.; Shamshirsaz, A.A.; Popek, E.; Guan, X.; Belfort, M.A.; Fox, K.A. Pregnancy after endometrial ablation: A systematic review. BJOG Int. J. Obstet. Gynaecol. 2018, 125, 43–53. [Google Scholar] [CrossRef]
- de Bruijn, A.M.; Smink, M.; Lohle, P.N.M.; Huirne, J.A.F.; Twisk, J.W.R.; Wong, C.; Schoonmade, L.; Hehenkamp, W.J.K. Uterine Artery Embolization for the Treatment of Adenomyosis: A Systematic Review and Meta-Analysis. J. Vasc. Interv. Radiol. JVIR 2017, 28, 1629–1642.e1. [Google Scholar] [CrossRef] [PubMed]
- Mohan, P.P.; Hamblin, M.H.; Vogelzang, R.L. Uterine artery embolization and its effect on fertility. J. Vasc. Interv. Radiol. JVIR 2013, 24, 925–930. [Google Scholar] [CrossRef]
- Karlsen, K.; Hrobjartsson, A.; Korsholm, M.; Mogensen, O.; Humaidan, P.; Ravn, P. Fertility after uterine artery embolization of fibroids: A systematic review. Arch. Gynecol. Obstet. 2017, 297, 13–25. [Google Scholar] [CrossRef] [PubMed]
- Carranza-Mamane, B.; Havelock, J.; Hemmings, R.; Reproductive, E.; Infertility, C.; Special, C. The management of uterine fibroids in women with otherwise unexplained infertility. J. Obstet. Gynaecol. Can. JOGC J. D’obstetrique Et Gynecol. Du Can. JOGC 2015, 37, 277–285. [Google Scholar] [CrossRef] [PubMed]




| Clinical Symptoms | Frequency (%) |
|---|---|
| Chronic lower abdominal pain | 77 |
| Hypermenorrhea | 40–50 |
| Dysmenorrhea | 15–30 |
| Asymptomatic | 30 |
| Dyspareunia | 7 |
| Infertility | 7–28 |
| Concomitant diseases | |
| Fibroids | 50 |
| Endometriosis | 11 |
| Endometrial polyps | 7 |
| 2D US Feature | Diffuse Adenomyosis | Focal Adenomyosis |
|---|---|---|
| Serosal contour of the uterus | The uterus is frequently enlarged in its en tirety | Usually regular |
| Definition of the lesion | Indistinct | Usually well-defined in cases of cystic or hyperecho genic lesions surrounded by a normal myometrium |
| Symmetry of uter ine walls | Wall difference in favor of the anterior or pos terior wall (pseudo-widening sign) | Often symmetric |
| Shape | Indistinct | Indistinct, oval in cases of cystic lesions |
| Contour | Indistinct | Irregular or indistinct |
| Shadowing | Fan-shaped shadowing Linear hypoechoic striation | Rarely fan-shaped shadowing or linear hypoechoic striation |
| Echogenicity | Diffuse Presence of intramyometrial diffuse areas of:
| Focal, surrounded by normal myometrium Presence of intramyometrial focal small areas of:
|
| Vascularity | Translesional flow Diffuse minimal or few vessels | Diffuse minimal, sporadic vessels |
| Endometrial rim | Irregular and distorted | Often regular or imprinted by subendometrial focal lesion |
| Pharmacological | Recommendation |
|---|---|
| NSAIDs | ambiguous |
| Combined oral contraceptives (mostly long cycle) | ambiguous |
| Progestogen mono (e.g., Desogestrel, Dienogest) | +/(−) |
| Levonorgestrel IUS (e.g., Mirena®, Jaydess®, Kyleena®) | + |
| GnRH analogs (e.g., leuprorelin, tritorelin, buserelin) | + |
| New approaches (selective progesterone receptor modulators, AIs, GnRH antagonists, danazol, valproic acid, modulation of prolactin and/or oxytocin and antiplatelet therapy | ambiguous |
| Surgical | |
| Complete resection of adenomyoma/ localized adenomyosis (laparo scopic) | + |
| Cytoreductive surgery of diffuse adenomyosis (laparoscopy, better laparotomy) | (+) |
| Hysteroscopic resection | - |
| Other methods | |
| High-intensity focused ultrasound | + |
| Hysteroscopic endometrial ablation | - |
| Uterine artery embolization | - |
| Characteristics | Type I | Type II |
|---|---|---|
| Focal or localized adenomyosis | Diffuse adenomyosis | |
| Extent of excision | Complete (if possible) | Cytoreductive surgery |
| Route of surgery | Laparoscopic or via laparotomy | Laparoscopic or via laparotomy |
| Techniques | Classic technique (adenomyomectomy) | Classic technique |
| U-shaped technique | Transverse H-shaped incision | |
| Overlapping flaps | Wedge resection of the uterus | |
| Triple-flap method | Asymmetric dissection of the uterus |
Publisher’s Note: MDPI stays neutral with regard to jurisdictional claims in published maps and institutional affiliations. |
© 2022 by the authors. Licensee MDPI, Basel, Switzerland. This article is an open access article distributed under the terms and conditions of the Creative Commons Attribution (CC BY) license (https://creativecommons.org/licenses/by/4.0/).
Share and Cite
Günther, V.; Allahqoli, L.; Gitas, G.; Maass, N.; Tesch, K.; Ackermann, J.; Rosam, P.; Mettler, L.; von Otte, S.; Alkatout, I. Impact of Adenomyosis on Infertile Patients—Therapy Options and Reproductive Outcomes. Biomedicines 2022, 10, 3245. https://doi.org/10.3390/biomedicines10123245
Günther V, Allahqoli L, Gitas G, Maass N, Tesch K, Ackermann J, Rosam P, Mettler L, von Otte S, Alkatout I. Impact of Adenomyosis on Infertile Patients—Therapy Options and Reproductive Outcomes. Biomedicines. 2022; 10(12):3245. https://doi.org/10.3390/biomedicines10123245
Chicago/Turabian StyleGünther, Veronika, Leila Allahqoli, Georgios Gitas, Nicolai Maass, Karolin Tesch, Johannes Ackermann, Paula Rosam, Liselotte Mettler, Sören von Otte, and Ibrahim Alkatout. 2022. "Impact of Adenomyosis on Infertile Patients—Therapy Options and Reproductive Outcomes" Biomedicines 10, no. 12: 3245. https://doi.org/10.3390/biomedicines10123245
APA StyleGünther, V., Allahqoli, L., Gitas, G., Maass, N., Tesch, K., Ackermann, J., Rosam, P., Mettler, L., von Otte, S., & Alkatout, I. (2022). Impact of Adenomyosis on Infertile Patients—Therapy Options and Reproductive Outcomes. Biomedicines, 10(12), 3245. https://doi.org/10.3390/biomedicines10123245

