Endoscopic Ultrasound-Guided Pancreatic Interstitial Laser Ablation Using a Cylindrical Laser Diffuser: A Long-Term Follow-Up Study
Abstract
1. Introduction
2. Methods
2.1. The Cylindrical Interstitial Laser Ablation Devices
2.2. Animal Models
2.3. Endoscopic Ultrasound-Guided Laser Ablation
2.4. Laboratory Test
2.5. CT Evaluation
2.6. Necropsy and Histological Analysis
2.7. Statistical Analysis
3. Results
3.1. Feasibility of EUS-Guided Ablation
3.2. Safety Analysis and Laboratory Tests after CILA
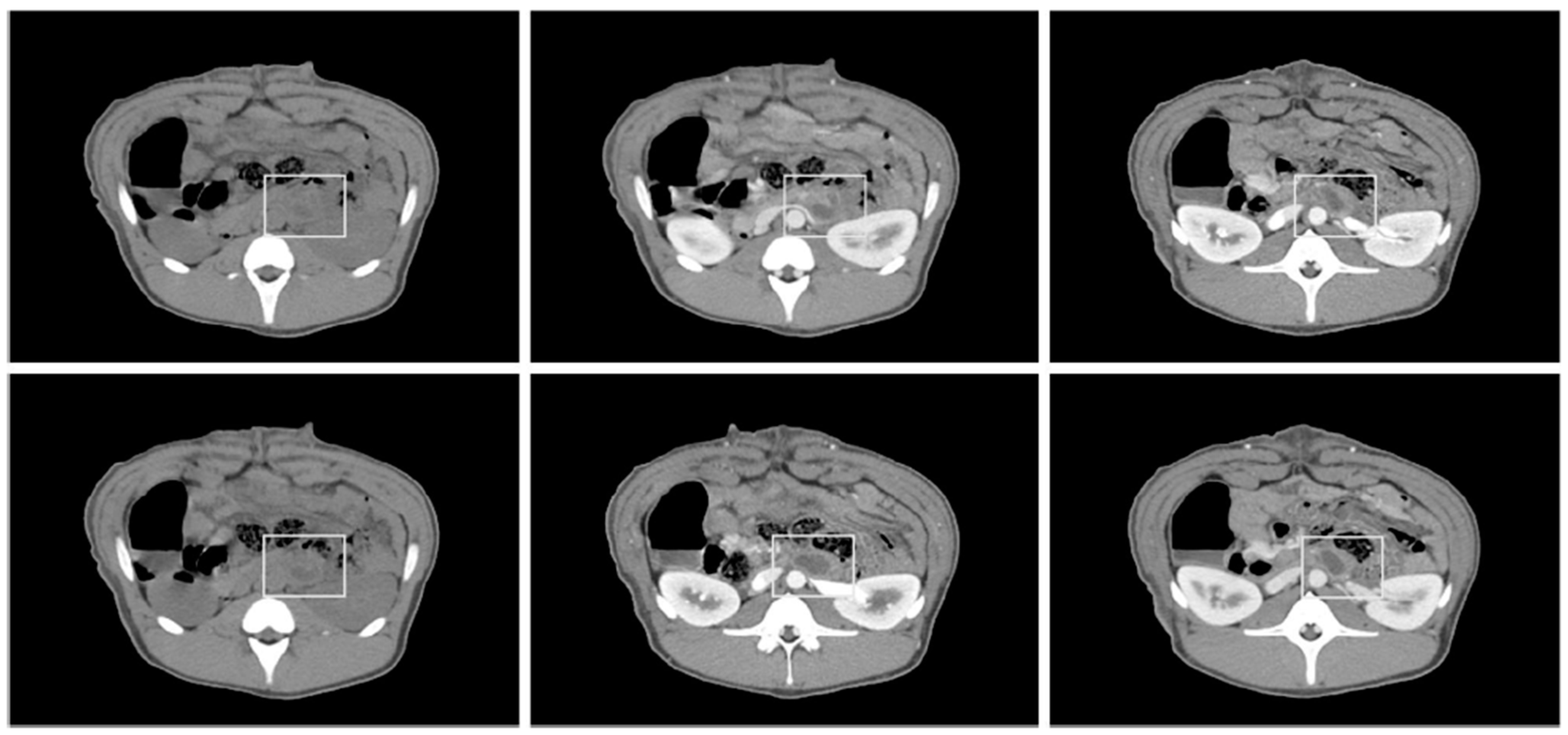
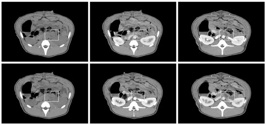
3.3. CT and Necropsy
3.4. Tissue Analysis
4. Discussion
5. Conclusions
Supplementary Materials
Author Contributions
Funding
Institutional Review Board Statement
Informed Consent Statement
Data Availability Statement
Conflicts of Interest
Abbreviations
References
- Sung, H.; Ferlay, J.; Siegel, R.L.; Laversanne, M.; Soerjomataram, I.; Jemal, A.; Bray, F. Global Cancer Statistics 2020: GLOBOCAN Estimates of incidence and mortality worldwide for 36 cancers in 185 countries. CA Cancer J. Clin. 2021, 71, 209–249. [Google Scholar] [CrossRef] [PubMed]
- Ferlay, J.; Partensky, C.; Bray, F. More deaths from pancreatic cancer than breast cancer in the EU by 2017. Acta Oncol. 2016, 55, 1158–1160. [Google Scholar] [CrossRef] [PubMed]
- Paniccia, A.; Edil, B.H.; Schulick, R.D.; Byers, J.T.; Meguid, C.; Gajdos, C.; McCarter, M.D. Neoadjuvant FOLFIRINOX application in borderline resectable pancreatic adenocarcinoma: A retrospective cohort study. Medicine 2014, 93, 27. [Google Scholar] [CrossRef] [PubMed]
- Kim, Y.; Song, K.; Lee, Y.; Park, K.; Hwang, D.; Lee, J.; Shin, S.; Kwon, J.; Ro, J.; Kim, S. Management of isolated recurrence after surgery for pancreatic adenocarcinoma. Br. J. Surg. 2019, 106, 898–909. [Google Scholar] [CrossRef] [PubMed]
- Huguet, F.; Girard, N.; Guerche, C.S.-E.; Hennequin, C.; Mornex, F.; Azria, D. Chemoradiotherapy in the management of locally advanced pancreatic carcinoma: A qualitative systematic review. J. Clin. Oncol. 2009, 27, 2269–2277. [Google Scholar] [CrossRef]
- Keane, M.G.; Bramis, K.; Pereira, S.P.; Fusai, G.K. Systematic review of novel ablative methods in locally advanced pancreatic cancer. World J. Gastroenterol. 2014, 20, 2267. [Google Scholar] [CrossRef]
- Cazacu, I.M.; Singh, B.S.; Saftoiu, A.; Bhutani, M.S. Endoscopic ultrasound-guided treatment of pancreatic cancer. Curr. Gastroenterol. Rep. 2020, 22, 27. [Google Scholar] [CrossRef]
- White, R.R.; Murphy, J.D.; Martin, R.C. The Landmark Series: Locally Advanced Pancreatic Cancer and Ablative Therapy Options. Ann. Surg. Oncol. 2021, 28, 4173–4180. [Google Scholar] [CrossRef]
- Schena, E.; Saccomandi, P.; Fong, Y. Laser ablation for cancer: Past, present and future. J. Funct. Biomater. 2017, 8, 19. [Google Scholar] [CrossRef]
- Di Matteo, F.; Martino, M.; Rea, R.; Pandolfi, M.; Panzera, F.; Stigliano, E.; Schena, E.; Saccomandi, P.; Silvestri, S.; Pacella, C.M. US-guided application of Nd: YAG laser in porcine pancreatic tissue: An ex vivo study and numerical simulation. Gastrointest. Endosc. 2013, 78, 750–755. [Google Scholar] [CrossRef]
- Di Matteo, F.; Martino, M.; Rea, R.; Pandolfi, M.; Rabitti, C.; Masselli, G.M.P.; Silvestri, S.; Pacella, C.M.; Papini, E.; Panzera, F. EUS-guided Nd: YAG laser ablation of normal pancreatic tissue: A pilot study in a pig model. Gastrointest. Endosc. 2010, 72, 358–363. [Google Scholar] [CrossRef] [PubMed]
- Lee, J.; Lee, S.; Truong, V.G.; Lim, S.; Kang, H.W.; Jung, J.H.; Park, J.-S. Laser ablation of pancreatic cancer using a cylindrical light diffuser. Lasers Med. Sci. 2022, 37, 2615–2621. [Google Scholar] [CrossRef] [PubMed]
- Truong, V.G.; Park, S.; Kang, H.W. Spatial effect of conical angle on optical-thermal distribution for circumferential photocoagulation. Biomed. Opt. Express 2017, 8, 5663–5674. [Google Scholar] [CrossRef] [PubMed]
- Lim, S.; Truong, V.G.; Choi, J.; Jeong, H.J.; Oh, S.-J.; Park, J.-S.; Kang, H.W. Endoscopic Ultrasound-Guided Laser Ablation Using a Diffusing Applicator for Locally Advanced Pancreatic Cancer Treatment. Cancers 2022, 14, 2274. [Google Scholar] [CrossRef]
- Lee, J.; Park, H.Y.; Kim, W.W.; Jeong, J.Y.; Lee, Y.-D.; Choi, M.-H.; Kim, S.; Park, J.-Y.; Jung, J.H. Combination treatment with photodynamic therapy and laser ablation in breast cancer: An animal model study. Photomed. Laser Surg. 2017, 35, 505–512. [Google Scholar] [CrossRef]
- Francica, G.; Petrolati, A.; Di Stasio, E.; Pacella, S.; Stasi, R.; Pacella, C.M. Effectiveness, safety, and local progression after percutaneous laser ablation for hepatocellular carcinoma nodules up to 4 cm are not affected by tumor location. AJR Am. J. Roentgenol. 2012, 199, 1393–1401. [Google Scholar] [CrossRef]
- Pacella, C.; Mauri, G.; Achille, G.; Barbaro, D.; Bizzarri, G.; De Feo, P.; Di Stasio, E.; Esposito, R.; Gambelunghe, G.; Misischi, I. Outcomes and risk factors for complications of laser ablation for thyroid nodules: A multicenter study on 1531 patients. J. Clin. Endocrinol. Metab. 2015, 100, 3903–3910. [Google Scholar] [CrossRef]
- Hua, Y.-Q.; Wang, P.; Zhu, X.-Y.; Shen, Y.-H.; Wang, K.; Shi, W.-D.; Lin, J.-H.; Meng, Z.-Q.; Chen, Z.; Chen, H. Radiofrequency ablation for hepatic oligometastatic pancreatic cancer: An analysis of safety and efficacy. Pancreatology 2017, 17, 967–973. [Google Scholar] [CrossRef]
- Gajiwala, S.; Torgeson, A.; Garrido-Laguna, I.; Kinsey, C.; Lloyd, S. Combination immunotherapy and radiation therapy strategies for pancreatic cancer—targeting multiple steps in the cancer immunity cycle. J. Gastrointest. Oncol. 2018, 9, 1014. [Google Scholar] [CrossRef]
- Song, T.J.; Seo, D.W.; Lakhtakia, S.; Reddy, N.; Oh, D.W.; Park, D.H.; Lee, S.S.; Lee, S.K.; Kim, M.-H. Initial experience of EUS-guided radiofrequency ablation of unresectable pancreatic cancer. Gastrointest. Endosc. 2016, 83, 440–443. [Google Scholar] [CrossRef]
- Carrara, S.; Arcidiacono, P.G.; Albarello, L.; Addis, A.; Enderle, M.; Boemo, C.; Campagnol, M.; Ambrosi, A.; Doglioni, C.; Testoni, P.A. Endoscopic ultrasound-guided application of a new hybrid cryotherm probe in porcine pancreas: A preliminary study. Endoscopy 2008, 40, 321–326. [Google Scholar] [CrossRef] [PubMed]
- Gaidhane, M.; Smith, I.; Ellen, K.; Gatesman, J.; Habib, N.; Foley, P.; Moskaluk, C.; Kahaleh, M. Endoscopic ultrasound-guided radiofrequency ablation (EUS-RFA) of the pancreas in a porcine model. Gastroenterol. Res. Pract. 2012, 2012, 431451. [Google Scholar] [CrossRef] [PubMed]
- Li, W.; Liu, J.; Huang, T.Y.; Zhong, X.; Yang, D.P.; Xie, X.H.; Liu, D.H.; Xie, X.Y.; Zhuang, B.W. Lesion outline and thermal field distribution of ablative in vitro experiments in myocardia: Comparison of radiofrequency and laser ablation. BMC Cardiovasc. Disord. 2020, 20, 1–8. [Google Scholar] [CrossRef] [PubMed]
- Di Matteo, F.M.; Saccomandi, P.; Martino, M.; Pandolfi, M.; Pizzicannella, M.; Balassone, V.; Schena, E.; Pacella, C.M.; Silvestri, S.; Costamagna, G. Feasibility of EUS-guided Nd: YAG laser ablation of unresectable pancreatic adenocarcinoma. Gastrointest. Endosc. 2018, 88, 168–174.e161. [Google Scholar] [CrossRef] [PubMed]
- Truong, V.G.; Jeong, S.; Park, J.-S.; Kim, S.M.; Lee, D.H.; Kang, H.W. Endoscopic ultrasound (EUS)-guided cylindrical interstitial laser ablation (CILA) on in vivo porcine pancreas. Biomed. Opt. Express 2021, 12, 4423–4437. [Google Scholar] [CrossRef]
- Truong, V.G.; Kim, H.; Park, J.-S.; Tran, V.N.; Kang, H.W. Multiple cylindrical interstitial laser ablations (CILAs) of porcine pancreas in ex vivo and in vivo models. Int. J. Hyperth. 2021, 38, 1313–1321. [Google Scholar] [CrossRef] [PubMed]





| Variables § | Baseline | Immediately after CILA | p-Value | 1 Week after CILA | p-Value | 2 Weeks after CILA | p-Value |
|---|---|---|---|---|---|---|---|
| WBC (×103 cells/μL) | 20.48 | 19.35 | 0.03 | 19.39 | 0.91 | 19.93 | 0.99 |
| Hb (g/dL) | 11.78 | 11.26 | 0.02 | 10.96 | 0.07 | 11.04 | 0.05 |
| PLT (×103 cells/μL) | 416.80 | 382.00 | 0.04 | 597.40 | 0.03 | 436.60 | 0.84 |
| AST | 34.54 | 36.92 | 0.79 | 27.46 | 0.14 | 24.94 | 0.08 |
| ALT | 37.52 | 36.58 | 0.25 | 33.00 | 0.34 | 36.92 | 1.00 |
| ALP | 395.06 | 386.86 | 0.67 | 249.82 | 0.05 | 251.08 | 0.05 |
| GGT | 40.26 | 41.50 | 0.18 | 41.00 | 0.96 | 36.27 | 0.10 |
| T.Bil | 0.27 | 0.25 | 0.81 | 0.26 | 0.97 | 0.28 | 1.00 |
| BUN | 11.85 | 11.83 | 1.00 | 13.08 | 0.00 | 10.74 | 0.40 |
| Creatinine | 1.48 | 1.46 | 0.99 | 1.49 | 1.00 | 1.53 | 0.96 |
| Amylase | 1366.20 | 1304.00 | 0.15 | 1390.40 | 0.99 | 1401.20 | 0.99 |
| Lipase | 8.36 | 7.66 | 0.06 | 14.98 | 0.48 | 23.92 | 0.49 |
Publisher’s Note: MDPI stays neutral with regard to jurisdictional claims in published maps and institutional affiliations. |
© 2022 by the authors. Licensee MDPI, Basel, Switzerland. This article is an open access article distributed under the terms and conditions of the Creative Commons Attribution (CC BY) license (https://creativecommons.org/licenses/by/4.0/).
Share and Cite
Lee, J.; Seo, Y.; Truong, V.G.; Jeong, H.J.; Lim, J.-H.; Lim, S.; Kang, H.W.; Park, J.-S. Endoscopic Ultrasound-Guided Pancreatic Interstitial Laser Ablation Using a Cylindrical Laser Diffuser: A Long-Term Follow-Up Study. Biomedicines 2022, 10, 2895. https://doi.org/10.3390/biomedicines10112895
Lee J, Seo Y, Truong VG, Jeong HJ, Lim J-H, Lim S, Kang HW, Park J-S. Endoscopic Ultrasound-Guided Pancreatic Interstitial Laser Ablation Using a Cylindrical Laser Diffuser: A Long-Term Follow-Up Study. Biomedicines. 2022; 10(11):2895. https://doi.org/10.3390/biomedicines10112895
Chicago/Turabian StyleLee, Jungnam, Youjeong Seo, Van Gia Truong, Hye Jung Jeong, Jung-Hyun Lim, Seonghee Lim, Hyun Wook Kang, and Jin-Seok Park. 2022. "Endoscopic Ultrasound-Guided Pancreatic Interstitial Laser Ablation Using a Cylindrical Laser Diffuser: A Long-Term Follow-Up Study" Biomedicines 10, no. 11: 2895. https://doi.org/10.3390/biomedicines10112895
APA StyleLee, J., Seo, Y., Truong, V. G., Jeong, H. J., Lim, J.-H., Lim, S., Kang, H. W., & Park, J.-S. (2022). Endoscopic Ultrasound-Guided Pancreatic Interstitial Laser Ablation Using a Cylindrical Laser Diffuser: A Long-Term Follow-Up Study. Biomedicines, 10(11), 2895. https://doi.org/10.3390/biomedicines10112895

