Non-Pathological Opacification of the Cavernous Sinus on Brain CT Angiography: Comparison with Flow-Related Signal Intensity on Time-of-Flight MR Angiography
Abstract
1. Introduction
2. Methods
2.1. Patient Selection
2.2. Image Acquisition
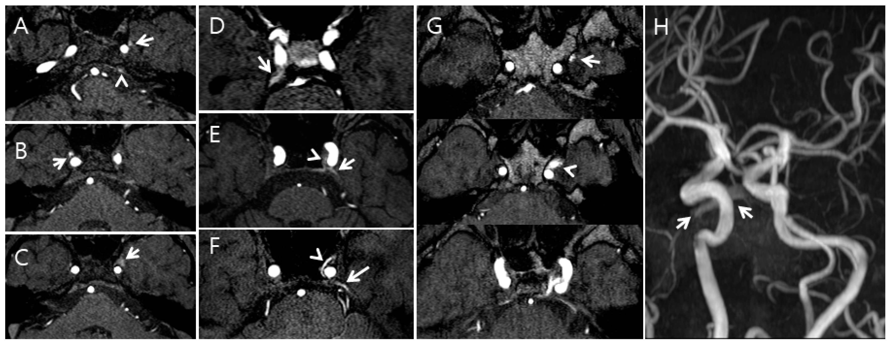
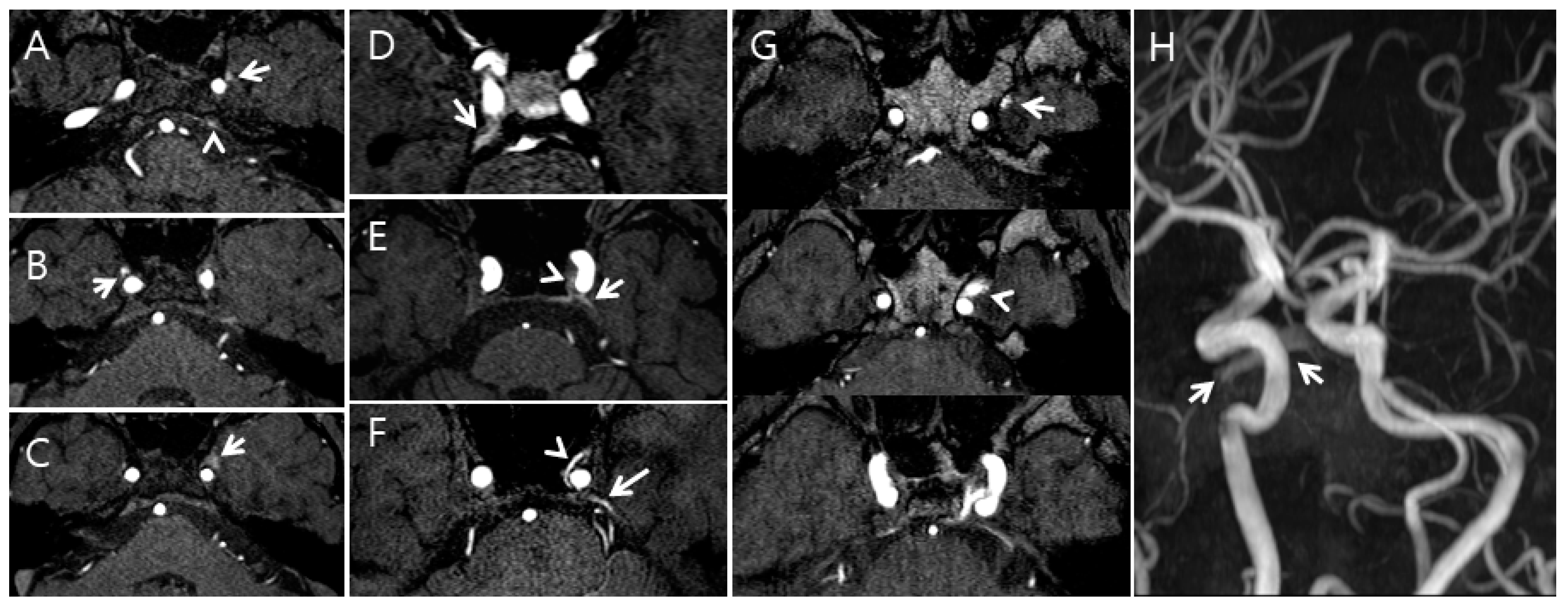
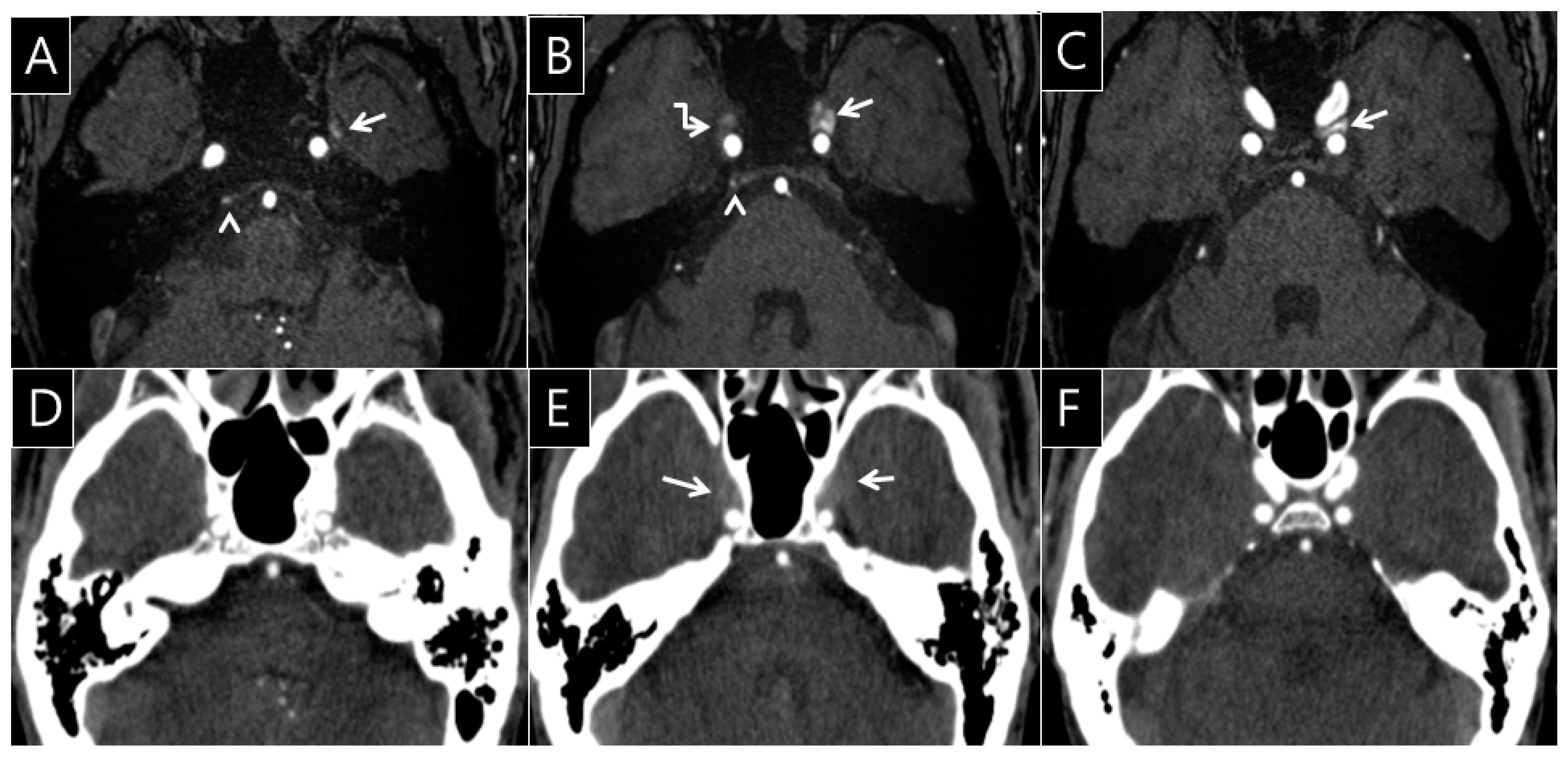
2.3. Image Interpretations
2.4. Statistical Analysis
3. Results
4. Discussion
5. Conclusions
Author Contributions
Funding
Institutional Review Board Statement
Informed Consent Statement
Data Availability Statement
Conflicts of Interest
Appendix A
| Modality | Area | 5-Point Scale | p Value * | ||||
|---|---|---|---|---|---|---|---|
| Grade 0 (%) | Grade I (%) | Grade II (%) | Grade III (%) | Grade IV (%) | |||
| MR | R.CS | 57 (74.0) | 11 (14.3) | 2 (2.6) | 6 (7.8) | 1 (1.3) | 0.573 |
| L.CS | 57 (74.0) | 7 (9.1) | 4 (5.2) | 3 (3.9) | 6 (7.8) | ||
| R.SPS | 69 (89.6) | 1 (1.3) | 3 (3.9) | 3 (3.9) | 1 (1.3) | 0.313 | |
| L.SPS | 66 (85.7) | 6 (7.8) | 1 (1.3) | 2 (2.6) | 2 (2.6) | ||
| R.IPS | 66 (85.7) | 6 (7.8) | 2 (2.6) | 2 (2.6) | 1 (1.3) | 0.108 | |
| L.IPS | 59 (76.6) | 7 (9.1) | 7 (9.1) | 3 (3.9) | 1 (1.3) | ||
| R.PP | 68 (88.3) | 4 (5.2) | 2 (2.6) | 2 (2.6) | 1 (1.3) | 0.095 | |
| L.PP | 61 (79.2) | 3 (3.9) | 5 (6.5) | 5 (6.5) | 3 (3.9) | ||
References
- Yasuda, A.; Campero, A.; Martins, C.; Rhoton, A.L., Jr.; de Oliveira, E.; Ribas, G.C. Microsurgical anatomy and approaches to the cavernous sinus. Neurosurgery 2008, 62, 1240–1263. [Google Scholar] [CrossRef] [PubMed]
- Standring, S. Gray’s Anatomy International Edition: The Anatomical Basis of Clinical Practice; Elsevier: Amsterdam, The Netherlands, 2015. [Google Scholar]
- Watanabe, K.; Kakeda, S.; Watanabe, R.; Ohnari, N.; Korogi, Y. Normal flow signal of the pterygoid plexus on 3T MRA in patients without DAVF of the cavernous sinus. AJNR Am. J. Neuroradiol. 2013, 34, 1232–1236. [Google Scholar] [CrossRef] [PubMed]
- Alatakis, S.; Koulouris, G.; Stuckey, S. CT-demonstrated transcalvarial channels diagnostic of dural arteriovenous fistula. AJNR Am. J. Neuroradiol. 2005, 26, 2393–2396. [Google Scholar] [PubMed]
- Meckel, S.; Lovblad, K.O.; Abdo, G.; Ruiz, D.S.; Delavelle, J.; Radue, E.W.; Ruefenacht, D.A.; Wetzel, S.G. Arterialization of cerebral veins on dynamic MDCT angiography: A possible sign of a dural arteriovenous fistula. AJR Am. J. Roentgenol. 2005, 184, 1313–1316. [Google Scholar] [CrossRef] [PubMed]
- Narvid, J.; Do, H.; Blevins, N.; Fischbein, N. CT angiography as a screening tool for dural arteriovenous fistula in patients with pulsatile tinnitus: Feasibility and test characteristics. Am. J. Neuroradiol. 2011, 32, 446–453. [Google Scholar] [CrossRef] [PubMed]
- Chen, C.C.-C.; Chang, P.C.-T.; Shy, C.-G.; Chen, W.-S.; Hung, H.-C. CT angiography and MR angiography in the evaluation of carotid cavernous sinus fistula prior to embolization: A comparison of techniques. Am. J. Neuroradiol. 2005, 26, 2349–2356. [Google Scholar] [PubMed]
- Roh, J.; Baik, S.K.; Yeom, J.A.; Kim, Y.S.; Jeong, H.S.; Yoon, C.H.; Han, J. Physiologic Flow Related Signal Intensity in Dural Sinuses on Time of Flight Magnetic Resonance Angiography: Changes Caused by Head Elevation. J. Korean Soc. Radiol. 2017, 77, 396–403. [Google Scholar] [CrossRef]
- Tanaka, T.; Uemura, K.; Takahashi, M.; Takehara, S.; Fukaya, T.; Tokuyama, T.; Satoh, A.; Ryu, H. Compression of the left brachiocephalic vein: Cause of high signal intensity of the left sigmoid sinus and internal jugular vein on MR images. Radiology 1993, 188, 355–361. [Google Scholar] [CrossRef] [PubMed]
- Kudo, K.; Terae, S.; Ishii, A.; Omatsu, T.; Asano, T.; Tha, K.K.; Miyasaka, K. Physiologic change in flow velocity and direction of dural venous sinuses with respiration: MR venography and flow analysis. AJNR Am. J. Neuroradiol. 2004, 25, 551–557. [Google Scholar] [PubMed]
- Saloner, D. The AAPM/RSNA physics tutorial for residents. An introduction to MR angiography. Radiographics 1995, 15, 453–465. [Google Scholar] [CrossRef] [PubMed]
- Tanoue, S.; Kiyosue, H.; Okahara, M.; Sagara, Y.; Hori, Y.; Kashiwagi, J.; Mori, H. Para-cavernous sinus venous structures: Anatomic variations and pathologic conditions evaluated on fat-suppressed 3D fast gradient-echo MR images. AJNR Am. J. Neuroradiol. 2006, 27, 1083–1089. [Google Scholar] [PubMed]
- Gailloud, P.; Ruíz, D.S.; Muster, M.; Murphy, K.J.; Fasel, J.H.; Rüfenacht, D.A. Angiographic Anatomy of the Laterocavernous Sinus. Am. J. Neuroradiol. 2000, 21, 1923–1929. [Google Scholar] [PubMed]
- Aydin, I.H.; Tuzun, Y.; Takci, E.; Kadioglu, H.H.; Kayaoglu, C.R.; Barlas, E. The anatomical variations of sylvian veins and cisterns. Minim. Invasive Neurosurg. 1997, 40, 68–73. [Google Scholar] [PubMed]
- Knosp, E.; Müller, G.; Perneczky, A. Anatomical remarks on the fetal cavernous sinus and on the veins of the middle cranial fossa. In The Cavernous Sinus; Springer: Berlin/Heidelberg, Germany, 1987; pp. 104–116. [Google Scholar]
- Massrey, C.; Altafulla, J.J.; Iwanaga, J.; Litvack, Z.; Ishak, B.; Oskouian, R.J.; Loukas, M.; Tubbs, R.S. Variations of the Transverse Sinus: Review with an Unusual Case Report. Cureus 2018, 10, e3248. [Google Scholar] [CrossRef] [PubMed]
- Rodallec, M.H.; Krainik, A.; Feydy, A.; Helias, A.; Colombani, J.M.; Julles, M.C.; Marteau, V.; Zins, M. Cerebral venous thrombosis and multidetector CT angiography: Tips and tricks. Radiographics 2006, 26 (Suppl. 1), S5-18, discussion S42-13. [Google Scholar] [CrossRef] [PubMed]
- Pond, J.B.; Suss, R.A.; Scott, H.D.; Chason, D.P. CT angiography of the cerebral venous system: Anatomic structure, pathologic features, and pitfalls: Resident and fellow education feature. Radiographics 2015, 35, 498–499. [Google Scholar] [CrossRef] [PubMed]



| CT Machines | Parameters |
|---|---|
| Somatom Definition Flash 256 | FOV = 233 × 233 mm2; 128 × 0.6 collimation; 0.33 s rotation time; 2.57 s scan time; 0.7 pitch; 2 s delay; 120 kV tube voltage; 280 mA tube current; 0.6 mm section thickness; 0.4 reconstruction interval; caudocranial direction |
| Edge 128 | FOV = 222 × 222 mm2; 128 × 0.6 collimation; 0.5 s rotation time; 2.67 s scan time; 1.2 pitch; 2 s delay; 120 kV tube voltage; 280 mA tube current; 0.6 mm section thickness; 0.4 reconstruction interval; caudocranial direction |
| Modality | Area | 5-Point Scale | p Value * | ||||
|---|---|---|---|---|---|---|---|
| Grade 0 (%) | Grade I (%) | Grade II (%) | Grade III (%) | Grade IV (%) | |||
| CT | R.CS | 173 (48.7) | 77 (21.7) | 41 (11.6) | 37 (10.4) | 27 (7.6) | 0.90 |
| L.CS | 173 (48.7) | 77 (21.7) | 36 (10.1) | 47 (13.2) | 22 (6.2) | ||
| R.SPS | 260 (73.2) | 40 (10.3) | 31 (8.7) | 19 (5.4) | 5 (1.4) | 0.81 | |
| L.SPS | 264 (74.4) | 31 (8.7) | 40 (11.3) | 16 (3.7) | 4 (1.1) | ||
| R.IPS | 310 (87.3) | 30 (8.5) | 10 (2.8) | 3 (0.9) | 2 (0.6) | 0.42 | |
| L.IPS | 314 (88.5) | 29 (8.2) | 7 (2.0) | 4 (1.1) | 1 (0.3) | ||
| R.PP | 337 (94.9) | 7 (2.0) | 5 (1.4) | 3 (0.9) | 3 (0.9) | 0.45 | |
| L.PP | 335 (94.4) | 9 (2.5) | 4 (1.1) | 4 (1.1) | 3 (0.9) | ||
| Asymmetry of CS | Estimate | Standard Error | p Value |
|---|---|---|---|
| vs. difference of CS | 2.42 | 0.27 | <0.0001 |
| vs. difference of SPS | 1.44 | 0.17 | <0.0001 |
| vs. difference of IPS | 1.71 | 0.32 | <0.0001 |
| vs. difference of PP | 0.67 | 0.26 | 0.01 (<0.05) |
| Area | Modality | 5-Point Scale | Degree of Intra-Observer Agreement Weighted Kappa Value (95% CI) | ||||
|---|---|---|---|---|---|---|---|
| Grade 0 (%) | Grade I (%) | Grade II (%) | Grade III (%) | Grade IV (%) | |||
| R.CS | CT | 25 (32.5) | 14 (18.2) | 12 (15.6) | 18 (23.4) | 8 (10.4) | 0.06 (−0.05–0.17) |
| MR | 57 (74.0) | 11 (14.3) | 2 (2.6) | 6 (7.8) | 1 (1.3) | ||
| R.SPS | CT | 38 (49.4) | 14 (18.2) | 12 (15.6) | 8 (10.4) | 5 (6.5) | * 0.25 (0.10–0.40) |
| MR | 69 (89.6) | 1 (1.3) | 3 (3.9) | 3 (3.9) | 1 (1.3) | ||
| R.IPS | CT | 57 (74.0) | 12 (15.6) | 5 (6.5) | 1 (1.3) | 2 (2.6) | 0.06 (−0.10~0.23) |
| MR | 66 (85.7) | 6 (7.8) | 2 (2.6) | 2 (2.6) | 1 (1.3) | ||
| R.PP | CT | 59 (76.6) | 11 (14.3) | 2 (2.6) | 2 (2.6) | 3 (3.9) | * 0.23 (0.06–0.40) |
| MR | 68 (88.3) | 4 (5.2) | 2 (2.6) | 2 (2.6) | 1 (1.3) | ||
| L.CS | CT | 18 (23.4) | 23 (29.9) | 8 (10.4) | 19 (24.7) | 9 (11.7) | 0.07 (−0.06–0.20) |
| MR | 57 (74.1) | 7 (9.1) | 4 (5.2) | 3 (3.9) | 6 (7.8) | ||
| L.SPS | CT | 37 (48.1) | 12 (15.6) | 12 (15.6) | 9 (11.7) | 7 (9.1) | 0.16 (0.01–0.30) |
| MR | 66 (85.7) | 6 (7.8) | 1 (1.3) | 2 (2.6) | 2 (2.6) | ||
| L.IPS | CT | 57 (74.0) | 12 (15.6) | 3 (3.9) | 2 (2.6) | 3 (3.9) | 0.13 (−0.08–0.35) |
| MR | 59 (76.6) | 7 (9.1) | 7 (9.1) | 3 (3.9) | 1 (1.3) | ||
| L.PP | CT | 56 (72.7) | 10 (13) | 5 (6.5) | 4 (5.2) | 2 (2.6) | * 0.30 (0.10–0.51) |
| MR | 61 (79.2) | 3 (3.9) | 5 (6.5) | 5 (6.5) | 3 (3.9) | ||
Publisher’s Note: MDPI stays neutral with regard to jurisdictional claims in published maps and institutional affiliations. |
© 2021 by the authors. Licensee MDPI, Basel, Switzerland. This article is an open access article distributed under the terms and conditions of the Creative Commons Attribution (CC BY) license (http://creativecommons.org/licenses/by/4.0/).
Share and Cite
Heo, S.A.; Kim, E.S.; Lee, Y.; Lee, S.M.; Lee, K.; Yoon, D.Y.; Ju, Y.-S.; Kwon, M.J. Non-Pathological Opacification of the Cavernous Sinus on Brain CT Angiography: Comparison with Flow-Related Signal Intensity on Time-of-Flight MR Angiography. Healthcare 2021, 9, 94. https://doi.org/10.3390/healthcare9010094
Heo SA, Kim ES, Lee Y, Lee SM, Lee K, Yoon DY, Ju Y-S, Kwon MJ. Non-Pathological Opacification of the Cavernous Sinus on Brain CT Angiography: Comparison with Flow-Related Signal Intensity on Time-of-Flight MR Angiography. Healthcare. 2021; 9(1):94. https://doi.org/10.3390/healthcare9010094
Chicago/Turabian StyleHeo, Sun Ah, Eun Soo Kim, Yul Lee, Sang Min Lee, Kwanseop Lee, Dae Young Yoon, Young-Su Ju, and Mi Jung Kwon. 2021. "Non-Pathological Opacification of the Cavernous Sinus on Brain CT Angiography: Comparison with Flow-Related Signal Intensity on Time-of-Flight MR Angiography" Healthcare 9, no. 1: 94. https://doi.org/10.3390/healthcare9010094
APA StyleHeo, S. A., Kim, E. S., Lee, Y., Lee, S. M., Lee, K., Yoon, D. Y., Ju, Y.-S., & Kwon, M. J. (2021). Non-Pathological Opacification of the Cavernous Sinus on Brain CT Angiography: Comparison with Flow-Related Signal Intensity on Time-of-Flight MR Angiography. Healthcare, 9(1), 94. https://doi.org/10.3390/healthcare9010094

