Could MRONJ Be Related to Osimertinib Monotherapy in Lung Cancer Patients after Denosumab Suspension?
Abstract
1. Introduction
2. Case Report
2.1. Patient Information
2.2. Timeline
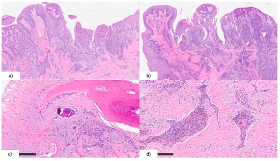
2.3. Clinical Findings and Diagnostic Assessment
2.4. Therapeutic Intervention
2.5. Follow-Up
3. Discussion
3.1. General Definition of MRONJ
- Stage 0: patients with specific clinical symptoms or radiographic findings without clinical evidence of necrotic bone;
- Stage 1: Exposed and necrotic bone or fistula without inflammation;
- Stage 2: Exposed and necrotic bone or fistula with inflammation;
- Stage 3: Exposed and necrotic bone or fistula with signs of infection and variably exposed necrotic bone extending beyond the alveolar bone region, pathologic fracture, extraoral fistula, oral antral/oral–nasal communication, and osteolysis extending to the inferior boundary of the mandible or sinus floor.
3.2. Systemic Diseases Associated with MRONJ Occurrence
3.3. The Etiopathogenetic Mechanisms of MRONJ
3.4. Updated Drugs Related to MRONJ
3.5. Osimertinib and MRONJ
3.6. Case Discussion
4. Conclusions
Author Contributions
Funding
Institutional Review Board Statement
Informed Consent Statement
Conflicts of Interest
References
- Ruggiero, S.L.; Dodson, T.B.; Aghaloo, T.; Carlson, E.R.; Ward, B.B.; Kademani, D. American Association of Oral and Maxillofacial Surgeons’ Position Paper on Medication-Related Osteonecrosis of the Jaws-2022 Update. J. Oral. Maxillofac. Surg. 2022, 80, 920–943. [Google Scholar] [CrossRef]
- Rosales, H.D.; Garcia Guevara, H.; Requejo, S.; Jensen, M.D.; Acero, J.; Olate, S. Medication-Related Osteonecrosis of the Jaws (MRONJ) in Children and Young Patients-A Systematic Review. J. Clin. Med. 2023, 12, 1416. [Google Scholar] [CrossRef]
- Lin, W.; Li, Q.; Zhang, D.; Zhang, X.; Qi, X.; Wang, Q.; Chen, Y.; Liu, C.; Li, H.; Zhang, S.; et al. Mapping the Immune Microenvironment for Mandibular Alveolar Bone Homeostasis at Single-Cell Resolution. Bone Res. 2021, 9, 17. [Google Scholar] [CrossRef] [PubMed]
- Tetradis, S.; Allen, M.R.; Ruggiero, S.L. Pathophysiology of Medication-Related Osteonecrosis of the Jaw—A Minireview. JBMR Plus 2023, 7, e10785. [Google Scholar] [CrossRef] [PubMed]
- Soundia, A.; Hadaya, D.; Esfandi, N.; Gkouveris, I.; Christensen, R.; Dry, S.M.; Bezouglaia, O.; Pirih, F.; Nikitakis, N.; Aghaloo, T.; et al. Zoledronate Impairs Socket Healing after Extraction of Teeth with Experimental Periodontitis. J. Dent. Res. 2018, 97, 312–320. [Google Scholar] [CrossRef] [PubMed]
- De Cicco, D.; Boschetti, C.E.; Santagata, M.; Colella, G.; Staglianò, S.; Gaggl, A.; Bottini, G.B.; Vitagliano, R.; D’amato, S. Medication-Related Osteonecrosis of the Jaws: A Comparison of SICMF–SIPMO and AAOMS Guidelines. Diagnostics 2023, 13, 2137. [Google Scholar] [CrossRef] [PubMed]
- Tsao, C.; Darby, I.; Ebeling, P.R.; Walsh, K.; O’Brien-Simpson, N.; Reynolds, E.; Borromeo, G. Oral Health Risk Factors for Bisphosphonate-Associated Jaw Osteonecrosis. J. Oral. Maxillofac. Surg. 2013, 71, 1360–1366. [Google Scholar] [CrossRef] [PubMed]
- Anastasilakis, A.D.; Pepe, J.; Napoli, N.; Palermo, A.; Magopoulos, C.; Khan, A.A.; Zillikens, M.C.; Body, J.-J. Osteonecrosis of the Jaw and Antiresorptive Agents in Benign and Malignant Diseases: A Critical Review Organized by the ECTS. J. Clin. Endocrinol. Metab. 2022, 107, 1441–1460. [Google Scholar] [CrossRef] [PubMed]
- King, R.; Tanna, N.; Patel, V. Medication-Related Osteonecrosis of the Jaw Unrelated to Bisphosphonates and Denosumab—A Review. Oral. Surg. Oral. Med. Oral. Pathol. Oral. Radiol. 2019, 127, 289–299. [Google Scholar] [CrossRef] [PubMed]
- Bansal, H. Medication-Related Osteonecrosis of the Jaw: An Update. Natl. J. Maxillofac. Surg. 2022, 13, 5. [Google Scholar] [CrossRef]
- Kawahara, M.; Kuroshima, S.; Sawase, T. Clinical Considerations for Medication-Related Osteonecrosis of the Jaw: A Comprehensive Literature Review. Int. J. Implant. Dent. 2021, 7, 47. [Google Scholar] [CrossRef]
- Wang, F.; Wei, S.; Zhang, Z.; Zhang, Y.; He, J.; Sun, B. Osimertinib: Another Medication Related to Osteonecrosis of the Jaws? A Case Report and Literature Review. Front. Pharmacol. 2022, 13, 947947. [Google Scholar] [CrossRef]
- Yi, L.; Fan, J.; Qian, R.; Luo, P.; Zhang, J. Efficacy and Safety of Osimertinib in Treating EGFR-Mutated Advanced NSCLC: A Meta-Analysis. Int. J. Cancer 2019, 145, 284–294. [Google Scholar] [CrossRef]
- Center for Drug Evaluation and Research. Drug Trials Snapshot: TAGRISSO; FDA: Rockwell, ML, USA, 2020. [Google Scholar]
- Yin, Y.; Shu, Y.; Zhu, J.; Li, F.; Li, J. A Real-World Pharmacovigilance Study of FDA Adverse Event Reporting System (FAERS) Events for Osimertinib. Sci. Rep. 2022, 12, 19555. [Google Scholar] [CrossRef] [PubMed]
- Otto, S.; Pautke, C.; Van den Wyngaert, T.; Niepel, D.; Schiødt, M. Medication-Related Osteonecrosis of the Jaw: Prevention, Diagnosis and Management in Patients with Cancer and Bone Metastases. Cancer Treat. Rev. 2018, 69, 177–187. [Google Scholar] [CrossRef] [PubMed]
- Franco, S.; Miccoli, S.; Limongelli, L.; Tempesta, A.; Favia, G.; Maiorano, E.; Favia, G. New Dimensional Staging of Bisphosphonate-Related Osteonecrosis of the Jaw Allowing a Guided Surgical Treatment Protocol: Long-Term Follow-up of 266 Lesions in Neoplastic and Osteoporotic Patients from the University of Bari. Int. J. Dent. 2014, 2014, 935657. [Google Scholar] [CrossRef]
- Marx, R.E. Pamidronate (Aredia) and Zoledronate (Zometa) Induced Avascular Necrosis of the Jaws: A Growing Epidemic. J. Oral. Maxillofac. Surg. 2003, 61, 1115–1117. [Google Scholar] [CrossRef]
- Ruggiero, S.L.; Dodson, T.B.; Fantasia, J.; Goodday, R.; Aghaloo, T.; Mehrotra, B.; O’Ryan, F. American Association of Oral and Maxillofacial Surgeons Position Paper on Medication-Related Osteonecrosis of the Jaw--2014 Update. J. Oral. Maxillofac. Surg. 2014, 72, 1938–1956. [Google Scholar] [CrossRef]
- Ishimaru, M.; Ono, S.; Morita, K.; Matsui, H.; Hagiwara, Y.; Yasunaga, H. Prevalence, Incidence Rate, and Risk Factors of Medication-Related Osteonecrosis of the Jaw in Patients With Osteoporosis and Cancer: A Nationwide Population-Based Study in Japan. J. Oral. Maxillofac. Surg. 2022, 80, 714–727. [Google Scholar] [CrossRef] [PubMed]
- Soares, A.L.; Simon, S.; Gebrim, L.H.; Nazário, A.C.P.; Lazaretti-Castro, M. Prevalence and Risk Factors of Medication-Related Osteonecrosis of the Jaw in Osteoporotic and Breast Cancer Patients: A Cross-Sectional Study. Support. Care Cancer 2020, 28, 2265–2271. [Google Scholar] [CrossRef]
- McGowan, K.; McGowan, T.; Ivanovski, S. Risk Factors for Medication-Related Osteonecrosis of the Jaws: A Systematic Review. Oral. Dis. 2018, 24, 527–536. [Google Scholar] [CrossRef] [PubMed]
- Chang, H.-J.; Kim, M.-J.; Ahn, K.-M. Associated Systemic Diseases and Etiologies of Medication-Related Osteonecrosis of the Jaw: A Retrospective Study of 265 Surgical Cases. Maxillofac. Plast. Reconstr. Surg. 2023, 45, 12. [Google Scholar] [CrossRef] [PubMed]
- Fornetti, J.; Welm, A.L.; Stewart, S.A. Understanding the Bone in Cancer Metastasis. J. Bone Miner. Res. 2018, 33, 2099–2113. [Google Scholar] [CrossRef] [PubMed]
- Chawla, S.; Blay, J.-Y.; Rutkowski, P.; Le Cesne, A.; Reichardt, P.; Gelderblom, H.; Grimer, R.J.; Choy, E.; Skubitz, K.; Seeger, L.; et al. Denosumab in Patients with Giant-Cell Tumour of Bone: A Multicentre, Open-Label, Phase 2 Study. Lancet Oncol. 2019, 20, 1719–1729. [Google Scholar] [CrossRef] [PubMed]
- Filleul, O.; Crompot, E.; Saussez, S. Bisphosphonate-Induced Osteonecrosis of the Jaw: A Review of 2,400 Patient Cases. J. Cancer Res. Clin. Oncol. 2010, 136, 1117–1124. [Google Scholar] [CrossRef]
- Lombard, T.; Neirinckx, V.; Rogister, B.; Gilon, Y.; Wislet, S. Medication-Related Osteonecrosis of the Jaw: New Insights into Molecular Mechanisms and Cellular Therapeutic Approaches. Stem Cells Int. 2016, 2016, 8768162. [Google Scholar] [CrossRef]
- de Molon, R.S.; Cheong, S.; Bezouglaia, O.; Dry, S.M.; Pirih, F.; Cirelli, J.A.; Aghaloo, T.L.; Tetradis, S. Spontaneous Osteonecrosis of the Jaws in the Maxilla of Mice on Antiresorptive Treatment: A Novel ONJ Mouse Model. Bone 2014, 68, 11–19. [Google Scholar] [CrossRef]
- Bramati, A.; Girelli, S.; Farina, G.; Dazzani, M.C.; Torri, V.; Moretti, A.; Piva, S.; Dimaiuta, M.; La Verde, N. Prospective, Mono-Institutional Study of the Impact of a Systematic Prevention Program on Incidence and Outcome of Osteonecrosis of the Jaw in Patients Treated with Bisphosphonates for Bone Metastases. J. Bone Miner. Metab. 2015, 33, 119–124. [Google Scholar] [CrossRef]
- Jiang, A.; Zhang, Z.; Qiu, X.; Guo, Q. Medication-Related Osteonecrosis of the Jaw (MRONJ): A Review of Pathogenesis Hypothesis and Therapy Strategies. Arch. Toxicol. 2023. [Google Scholar] [CrossRef]
- Thompson, K.; Rogers, M.J.; Coxon, F.P.; Crockett, J.C. Cytosolic Entry of Bisphosphonate Drugs Requires Acidification of Vesicles after Fluid-Phase Endocytosis. Mol. Pharmacol. 2006, 69, 1624–1632. [Google Scholar] [CrossRef]
- Lotz, E.M.; Lohmann, C.H.; Boyan, B.D.; Schwartz, Z. Bisphosphonates Inhibit Surface-mediated Osteogenesis. J. Biomed. Mater. Res. 2020, 108, 1774–1786. [Google Scholar] [CrossRef]
- Ishtiaq, S.; Edwards, S.; Sankaralingam, A.; Evans, B.A.J.; Elford, C.; Frost, M.L.; Fogelman, I.; Hampson, G. The Effect of Nitrogen Containing Bisphosphonates, Zoledronate and Alendronate, on the Production of pro-Angiogenic Factors by Osteoblastic Cells. Cytokine 2015, 71, 154–160. [Google Scholar] [CrossRef] [PubMed]
- Rugani, P.; Walter, C.; Kirnbauer, B.; Acham, S.; Begus-Nahrman, Y.; Jakse, N. Prevalence of Medication-Related Osteonecrosis of the Jaw in Patients with Breast Cancer, Prostate Cancer, and Multiple Myeloma. Dent. J. 2016, 4, 32. [Google Scholar] [CrossRef] [PubMed]
- Watts, N.B.; Grbic, J.T.; Binkley, N.; Papapoulos, S.; Butler, P.W.; Yin, X.; Tierney, A.; Wagman, R.B.; McClung, M. Invasive Oral Procedures and Events in Postmenopausal Women With Osteoporosis Treated With Denosumab for Up to 10 Years. J. Clin. Endocrinol. Metab. 2019, 104, 2443–2452. [Google Scholar] [CrossRef] [PubMed]
- Nicolatou-Galitis, O.; Kouri, M.; Papadopoulou, E.; Vardas, E.; Galiti, D.; Epstein, J.B.; Elad, S.; Campisi, G.; Tsoukalas, N.; Bektas-Kayhan, K.; et al. Osteonecrosis of the Jaw Related to Non-Antiresorptive Medications: A Systematic Review. Support. Care Cancer 2019, 27, 383–394. [Google Scholar] [CrossRef] [PubMed]
- Favia, G.; Tempesta, A.; Limongelli, L.; Crincoli, V.; Maiorano, E. Medication-Related Osteonecrosis of the Jaws: Considerations on a New Antiresorptive Therapy (Denosumab) and Treatment Outcome after a 13-Year Experience. Int. J. Dent. 2016, 2016, 1801676. [Google Scholar] [CrossRef] [PubMed]
- Antonuzzo, L.; Lunghi, A.; Petreni, P.; Brugia, M.; Laffi, A.; Giommoni, E.; Mela, M.M.; Mazzoni, F.; Balestri, V.; Costanzo, F.D. Osteonecrosis of the Jaw and Angiogenesis Inhibitors: A Revival of a Rare but Serous Side Effect. Curr. Med. Chem. 2017, 24, 3068–3076. [Google Scholar] [CrossRef] [PubMed]
- Guida, A.; Perri, F.; Ionna, F.; Ascierto, P.A.; Grimaldi, A.M. New-Generation Anticancer Drugs and Medication-Related Osteonecrosis of the Jaw (MRONJ): Late Onset 3 Years after Ipilimumab Endovenous Administration with a Possible Role of Target Therapy. Clin. Case Rep. 2021, 9, 61–66. [Google Scholar] [CrossRef] [PubMed]
- Javelot, M.-J.; Sergheraert, J.; Agbo-Godeau, S.; Levy-Weil, F.; Laurence, S.; Goudot, P.; Khonsari, R.-H.; Mauprivez, C. Rituximab as a Trigger Factor of Medication-Related Osteonecrosis of the Jaw. A Case Report. J. Stomatol. Oral. Maxillofac. Surg. 2020, 121, 300–304. [Google Scholar] [CrossRef]
- Manzie, T.; Vujcich, N.; Chan, A. Osteonecrosis of the Jaw in an Anti-Resorptive Naïve Patient Taking Trastuzumab and Pertuzumab: Case Report. Aust. Dent. J. 2020, 65, 305–307. [Google Scholar] [CrossRef]
- Oz, I.; Kaplan, I.; Kleinman, S.; Arbel, S.; Shuster, A. Medication-Related Osteonecrosis of the Jaws Associated with Intravitreal Administration of Ranibizumab. Int. J. Oral. Maxillofac. Surg. 2020, 49, 1589–1591. [Google Scholar] [CrossRef]
- Vallina, C.; Ramírez, L.; Torres, J.; Casañas, E.; Hernández, G.; López-Pintor, R.-M. Osteonecrosis of the Jaws Produced by Sunitinib: A Systematic Review. Med. Oral. Patol. Oral. Cir. Bucal 2019, 24, e326–e338. [Google Scholar] [CrossRef]
- Okubo-Sato, M.; Yamagata, K.; Fukuzawa, S.; Terada, K.; Uchida, F.; Ishibashi-Kanno, N.; Bukawa, H. Medication-Related Osteonecrosis of the Jaw Spontaneously Occurred in a Patient with Chronic Myelogenous Leukemia Only by Imatinib: A Report of a Rare Case. Case Rep. Dent. 2021, 2021, 6621937. [Google Scholar] [CrossRef]
- Ahdi, H.S.; Wichelmann, T.A.; Pandravada, S.; Ehrenpreis, E.D. Medication-Induced Osteonecrosis of the Jaw: A Review of Cases from the Food and Drug Administration Adverse Event Reporting System (FAERS). BMC Pharmacol. Toxicol. 2023, 24, 15. [Google Scholar] [CrossRef] [PubMed]
- Beuselinck, B.; Wolter, P.; Karadimou, A.; Elaidi, R.; Dumez, H.; Rogiers, A.; Van Cann, T.; Willems, L.; Body, J.-J.; Berkers, J.; et al. Concomitant Oral Tyrosine Kinase Inhibitors and Bisphosphonates in Advanced Renal Cell Carcinoma with Bone Metastases. Br. J. Cancer 2012, 107, 1665–1671. [Google Scholar] [CrossRef] [PubMed]
- Abel Mahedi Mohamed, H.; Nielsen, C.E.N.; Schiodt, M. Medication Related Osteonecrosis of the Jaws Associated with Targeted Therapy as Monotherapy and in Combination with Antiresorptives. A Report of 7 Cases from the Copenhagen Cohort. Oral. Surg. Oral. Med. Oral. Pathol. Oral. Radiol. 2018, 125, 157–163. [Google Scholar] [CrossRef] [PubMed]
- Eguia, A.; Bagán-Debón, L.; Cardona, F. Review and Update on Drugs Related to the Development of Osteonecrosis of the Jaw. Med. Oral. Patol. Oral. Cir. Bucal 2020, 25, e71–e83. [Google Scholar] [CrossRef] [PubMed]
- Yamamoto, D.; Tsubota, Y.; Utsunomiya, T.; Sueoka, N.; Ueda, A.; Endo, K.; Yoshikawa, K.; Kon, M. Osteonecrosis of the Jaw Associated with Everolimus: A Case Report. Mol. Clin. Oncol. 2017, 6, 255–257. [Google Scholar] [CrossRef] [PubMed]
- Bindakhil, M.; Shanti, R.M.; Mupparapu, M. Raloxifene-Induced Osteonecrosis of the Jaw (MRONJ) with No Exposure to Bisphosphonates: Clinical and Radiographic Findings. Quintessence Int. 2021, 52, 258–263. [Google Scholar] [CrossRef] [PubMed]
- Fusco, V.; Santini, D.; Armento, G.; Tonini, G.; Campisi, G. Osteonecrosis of Jaw beyond Antiresorptive (Bone-Targeted) Agents: New Horizons in Oncology. Expert. Opin. Drug Saf. 2016, 15, 925–935. [Google Scholar] [CrossRef] [PubMed]
- Remon, J.; Steuer, C.E.; Ramalingam, S.S.; Felip, E. Osimertinib and Other Third-Generation EGFR TKI in EGFR-Mutant NSCLC Patients. Ann. Oncol. 2018, 29, i20–i27. [Google Scholar] [CrossRef] [PubMed]
- Leonetti, A.; Sharma, S.; Minari, R.; Perego, P.; Giovannetti, E.; Tiseo, M. Resistance Mechanisms to Osimertinib in EGFR-Mutated Non-Small Cell Lung Cancer. Br. J. Cancer 2019, 121, 725–737. [Google Scholar] [CrossRef] [PubMed]
- Liu, X.; Wang, P.; Zhang, C.; Ma, Z. Epidermal Growth Factor Receptor (EGFR): A Rising Star in the Era of Precision Medicine of Lung Cancer. Oncotarget 2017, 8, 50209–50220. [Google Scholar] [CrossRef] [PubMed]
- Yoshida, T.; Zhang, G.; Haura, E.B. Targeting Epidermal Growth Factor Receptor: Central Signaling Kinase in Lung Cancer. Biochem. Pharmacol. 2010, 80, 613–623. [Google Scholar] [CrossRef] [PubMed]
- Batra, U.; Biswas, B.; Prabhash, K.; Krishna, M.V. Differential Clinicopathological Features, Treatments and Outcomes in Patients with Exon 19 Deletion and Exon 21 L858R EGFR Mutation-Positive Adenocarcinoma Non-Small-Cell Lung Cancer. BMJ Open Respir. Res. 2023, 10, e001492. [Google Scholar] [CrossRef] [PubMed]
- Del Conte, A.; De Carlo, E.; Bertoli, E.; Stanzione, B.; Revelant, A.; Bertola, M.; Spina, M.; Bearz, A. Bone Metastasis and Immune Checkpoint Inhibitors in Non-Small Cell Lung Cancer (NSCLC): Microenvironment and Possible Clinical Implications. Int. J. Mol. Sci. 2022, 23, 6832. [Google Scholar] [CrossRef] [PubMed]
- Wang, M.; Herbst, R.S.; Boshoff, C. Toward Personalized Treatment Approaches for Non-Small-Cell Lung Cancer. Nat. Med. 2021, 27, 1345–1356. [Google Scholar] [CrossRef]
- Kanaoka, K.; Sumikawa, H.; Oyamada, S.; Tamiya, A.; Inagaki, Y.; Taniguchi, Y.; Nakao, K.; Matsuda, Y.; Okishio, K. Osteoblastic Bone Reaction in Non-Small Cell Lung Cancer Harboring Epidermal Growth Factor Receptor Mutation Treated with Osimertinib. BMC Cancer 2023, 23, 834. [Google Scholar] [CrossRef]
- Ansén, S.; Bangard, C.; Querings, S.; Gabler, F.; Scheffler, M.; Seidel, D.; Saal, B.; Zander, T.; Nogová, L.; Töpelt, K.; et al. Osteoblastic Response in Patients with Non-Small Cell Lung Cancer with Activating EGFR Mutations and Bone Metastases during Treatment with EGFR Kinase Inhibitors. J. Thorac. Oncol. 2010, 5, 407–409. [Google Scholar] [CrossRef]
- Yamashita, Y.; Aoki, T.; Hanagiri, T.; Yoshii, C.; Mukae, H.; Uramoto, H.; Korogi, Y. Osteosclerotic Lesions in Patients Treated with Gefitinib for Lung Adenocarcinomas: A Sign of Favorable Therapeutic Response. Skelet. Radiol. 2012, 41, 409–414. [Google Scholar] [CrossRef] [PubMed]
- Pluquet, E.; Cadranel, J.; Legendre, A.; Faller, M.B.; Souquet, P.J.; Zalcman, G.; Perol, M.; Fraboulet, G.; Oliveiro, G.; De Fraipont, F.; et al. Osteoblastic Reaction in Non-Small Cell Lung Carcinoma and Its Association to Epidermal Growth Factor Receptor Tyrosine Kinase Inhibitors Response and Prolonged Survival. J. Thorac. Oncol. 2010, 5, 491–496. [Google Scholar] [CrossRef]
- Bersanelli, M.; Bini, P.; Rabaiotti, E.; Facchinetti, F.; De Filippo, M.; Bortesi, B.; Buti, S.; Tiseo, M. Osteoblastic Progression during EGFR Tyrosine Kinase Inhibitor Therapy in Mutated Non-Small Cell Lung Cancer: A Potential Blunder. Tumori 2017, 103, 66–71. [Google Scholar] [CrossRef]
- Hasegawa, T.; Ueda, N.; Yamada, S.I.; Kato, S.; Iwata, E.; Hayashida, S.; Kojima, Y.; Shinohara, M.; Tojo, I.; Nakahara, H.; et al. Denosumab-Related Osteonecrosis of the Jaw after Tooth Extraction and the Effects of a Short Drug Holiday in Cancer Patients: A Multicenter Retrospective Study. Osteoporos. Int. 2021, 32, 2323–2333. [Google Scholar] [CrossRef]
- Ottesen, C.; Schiodt, M.; Gotfredsen, K. Efficacy of a High-Dose Antiresorptive Drug Holiday to Reduce the Risk of Medication-Related Osteonecrosis of the Jaw (MRONJ): A Systematic Review. Heliyon 2020, 6, e03795. [Google Scholar] [CrossRef]
- Ottesen, C.; Schiodt, M.; Jensen, S.S.; Kofod, T.; Gotfredsen, K. Tooth Extractions in Patients with Cancer Receiving High-Dose Antiresorptive Medication: A Randomized Clinical Feasibility Trial of Drug Holiday versus Drug Continuation. Oral. Surg. Oral. Med. Oral. Pathol. Oral. Radiol. 2022, 133, 165–173. [Google Scholar] [CrossRef] [PubMed]
- Damm, D.D.; Jones, D.M. Bisphosphonate-Related Osteonecrosis of the Jaws: A Potential Alternative to Drug Holidays. Gen. Dent. 2013, 61, 33–38. [Google Scholar] [PubMed]
- Japanese Allied Committee on Osteonecrosis of the Jaw; Yoneda, T.; Hagino, H.; Sugimoto, T.; Ohta, H.; Takahashi, S.; Soen, S.; Taguchi, A.; Nagata, T.; Urade, M.; et al. Antiresorptive Agent-Related Osteonecrosis of the Jaw: Position Paper 2017 of the Japanese Allied Committee on Osteonecrosis of the Jaw. J. Bone Miner. Metab. 2017, 35, 6–19. [Google Scholar] [CrossRef] [PubMed]
- Sawada, S.; Sakamoto, Y.; Kirihigashi, M.; Kojima, Y. Drug Holiday of High-Dose Denosumab and Recovery from Osteoclast Inhibition Using Immunohistochemical Investigation of 7 Patients with Medication-Related Osteonecrosis of the Jaw Undergoing Segmental Mandibulectomy. J. Dent. Sci. 2023, 18, 1645–1650. [Google Scholar] [CrossRef]
- Niibe, K.; Ouchi, T.; Iwasaki, R.; Nakagawa, T.; Horie, N. Osteonecrosis of the Jaw in Patients with Dental Prostheses Being Treated with Bisphosphonates or Denosumab. J. Prosthodont. Res. 2015, 59, 3–5. [Google Scholar] [CrossRef] [PubMed]
- Vahtsevanos, K.; Kyrgidis, A.; Verrou, E.; Katodritou, E.; Triaridis, S.; Andreadis, C.G.; Boukovinas, I.; Koloutsos, G.E.; Teleioudis, Z.; Kitikidou, K.; et al. Longitudinal Cohort Study of Risk Factors in Cancer Patients of Bisphosphonate-Related Osteonecrosis of the Jaw. J. Clin. Oncol. 2009, 27, 5356–5362. [Google Scholar] [CrossRef] [PubMed]
- Lung Cancer—Non-Small Cell—Statistics. Available online: https://www.cancer.net/cancer-types/lung-cancer-non-small-cell/statistics (accessed on 25 July 2023).







| Drug Type | Drug Family | Drug Target | Active Substance |
|---|---|---|---|
| Antiresorptive | Bisphosphonates | Osteoclasts | Alendronate, Ibandronate, Neridronate, Pamidronate, Risedronate, Zoledronate, Clodronate, Etidronate, Tiludronate [6] |
| Monoclonal Antibodies | RANK-L | Denosumab [37] | |
| Non-antiresorptive | Antiangiogenic Monoclonal Antibodies | VEGF-A | Bevacizumab [38] |
| T Cytotoxic lymphocyte activator | CTLA-4 | Ipilimumab [39] | |
| Monoclonal Antibodies | CD-20 | Rituximab [40] | |
| Monoclonal Antibodies | HER2/neu | Trastuzumab [41] | |
| Monoclonal Antibodies | HER2/neu | Pertuzumab [41] | |
| Antiangiogenic Monoclonal Antibodies | VEGF-A | Ranibizumab [42] | |
| TKI | PDGFR and VEGFR | Sunitinib [43] | |
| TKI | ABL, C-KIT, and PDGF-R | Imatinib [44] | |
| TKI | c-Met, VEGFR2, AXL, and RET | Cabozantinib [45] | |
| TKI | VEGFR and PDGFR | Sorafenib [46] | |
| TKI | EGFR | Erlotinib [47] | |
| TKI | EGFR | Gefitinib [48] | |
| TKI | EGFR | Osimertinib [12] | |
| mTOR inhibitor | mTORC1 | Everolimus [49] | |
| Selective Estrogen Receptor Modulators | Estrogens | Raloxifene [50] | |
| Recombinant Protein | VEGF-A and VEGF-B | Aflibercept [51] |
Disclaimer/Publisher’s Note: The statements, opinions and data contained in all publications are solely those of the individual author(s) and contributor(s) and not of MDPI and/or the editor(s). MDPI and/or the editor(s) disclaim responsibility for any injury to people or property resulting from any ideas, methods, instructions or products referred to in the content. |
© 2024 by the authors. Licensee MDPI, Basel, Switzerland. This article is an open access article distributed under the terms and conditions of the Creative Commons Attribution (CC BY) license (https://creativecommons.org/licenses/by/4.0/).
Share and Cite
Forte, M.; d’Amati, A.; Limongelli, L.; Corsalini, M.; Favia, G.; Ingravallo, G.; Barile, G.; Capodiferro, S. Could MRONJ Be Related to Osimertinib Monotherapy in Lung Cancer Patients after Denosumab Suspension? Healthcare 2024, 12, 457. https://doi.org/10.3390/healthcare12040457
Forte M, d’Amati A, Limongelli L, Corsalini M, Favia G, Ingravallo G, Barile G, Capodiferro S. Could MRONJ Be Related to Osimertinib Monotherapy in Lung Cancer Patients after Denosumab Suspension? Healthcare. 2024; 12(4):457. https://doi.org/10.3390/healthcare12040457
Chicago/Turabian StyleForte, Marta, Antonio d’Amati, Luisa Limongelli, Massimo Corsalini, Gianfranco Favia, Giuseppe Ingravallo, Giuseppe Barile, and Saverio Capodiferro. 2024. "Could MRONJ Be Related to Osimertinib Monotherapy in Lung Cancer Patients after Denosumab Suspension?" Healthcare 12, no. 4: 457. https://doi.org/10.3390/healthcare12040457
APA StyleForte, M., d’Amati, A., Limongelli, L., Corsalini, M., Favia, G., Ingravallo, G., Barile, G., & Capodiferro, S. (2024). Could MRONJ Be Related to Osimertinib Monotherapy in Lung Cancer Patients after Denosumab Suspension? Healthcare, 12(4), 457. https://doi.org/10.3390/healthcare12040457

