Next Article in Journal
Sequential Confidence Intervals for Comparing Two Proportions with Applications in A/B Testing
Next Article in Special Issue
A Q-Learning Based Target Coverage Algorithm for Wireless Sensor Networks
Previous Article in Journal
Magnetic Curves in Homothetic s-th Sasakian Manifolds
Previous Article in Special Issue
Reduced Forgetfulness in Continual Learning for Named Entity Recognition Through Confident Soft-Label Imitation
 
 
Font Type:
Arial Georgia Verdana
Font Size:
Aa Aa Aa
Line Spacing:
Column Width:
Background:
Article

Arouse-Net: Enhancing Glioblastoma Segmentation in Multi-Parametric MRI with a Custom 3D Convolutional Neural Network and Attention Mechanism

1
Shenzhen Key Laboratory of Minimally Invasive Surgical Robotics and System, Shenzhen Institutes of Advanced Technology, Chinese Academy of Sciences, Shenzhen 518055, China
2
University of Chinese Academy of Sciences, Beijing 101408, China
3
Department of Informatics, University of Hamburg, 22527 Hamburg, Germany
*
Author to whom correspondence should be addressed.
Mathematics 2025, 13(1), 160; https://doi.org/10.3390/math13010160
Submission received: 3 December 2024 / Revised: 31 December 2024 / Accepted: 2 January 2025 / Published: 4 January 2025
(This article belongs to the Special Issue Robust Perception and Control in Prognostic Systems)

Abstract

Glioblastoma, a highly aggressive brain tumor, is challenging to diagnose and treat due to its variable appearance and invasiveness. Traditional segmentation methods are often limited by inter-observer variability and the lack of annotated datasets. Addressing these challenges, this study introduces Arouse-Net, a 3D convolutional neural network that enhances feature extraction through dilated convolutions, improving tumor margin delineation. Our approach includes an attention mechanism to focus on edge features, essential for precise glioblastoma segmentation. The model’s performance is benchmarked against the state-of-the-art BRATS test dataset, demonstrating superior results with an over eight times faster processing speed. The integration of multi-modal MRI data and the novel evaluation protocol developed for this study offer a robust framework for medical image segmentation, particularly useful for clinical scenarios where annotated datasets are limited. The findings of this research not only advance the field of medical image analysis but also provide a foundation for future work in the development of automated segmentation tools for brain tumors.

1. Introduction

Brain tumors are life-threatening diseases of the nervous system, with gliomas being the most common primary brain tumors in adults. Glioma originates in the brain’s glial cells [1] and is categorized into low-grade (LGG) and high-grade (HGG) forms, with HGG being more malignant due to rapid growth and a two-year average life expectancy for affected patients. Glioblastoma (GBM) is a high-grade astrocytoma, classified as a World Health Organization (WHO) [2,3] Grade IV tumor. It represents the most aggressive and prevalent form of malignant primary brain neoplasm in adults. The accurate segmentation of brain tumors is crucial for diagnosis, treatment, and surgical planning [4]. However, automatic segmentation is challenging due to variations in tumor shape, size, and localization. Despite advancements in deep learning techniques, the accurate segmentation of enhanced and core tumor tissues remains difficult due to their smaller size and similar texture to the whole tumor. GBM is characterized by intrinsic heterogeneity and carries a uniformly poor prognosis, with a median patient survival rate of 14 months post-treatment posing substantial challenges for clinical management [5,6,7].
With the rapid development of computer vision techniques, researchers have developed various algorithms to enhance the accuracy of detection and segmentation. Girshick et al. proposed a method for object detection and semantic segmentation using rich feature hierarchies at the IEEE Conference on Computer Vision and Pattern Recognition (CVPR) in 2014 [8]. This approach, by constructing deep feature representations, enhances the model’s understanding of image content. Lin et al. published a new research result in the journal Information Sciences [9]. They proposed a boundary-wise loss function based on fuzzy rough sets for medical image segmentation. This study optimizes the segmentation algorithm’s handling of image boundaries by introducing boundary information, offering a new perspective for improving segmentation accuracy. Magnetic Resonance Imaging (MRI) is essential in the diagnostic work-up and therapeutic planning for GBM due to its non-invasive nature and ability to provide detailed soft tissue contrasts. The MRI protocol for GBM includes modalities such as T1-weighted, T1-weighted post-contrast (T1c), T2-weighted, and FLAIR sequences [10], each highlighting distinct tissue characteristics and tumor margins. However, reviewing this extensive series of 2D MRI slices imposes a considerable cognitive load on radiologists, potentially leading to diagnostic fatigue and compromised interpretation accuracy.
The development of automated segmentation algorithms [11,12,13], integrating molecular and cytogenetic profiles in line with the revised WHO Central Nervous System (CNS) tumor classification, marks a significant shift towards personalized and precision medicine.
Innovative neural network architectures and techniques [14,15,16] have been effectively utilized to tackle complex radiological image segmentation tasks, focusing on enhancing accuracy and reducing computational demands. These advancements are crucial for GBM segmentation where accurate tumor margin delineation is vital for grading, treatment planning, and patient outcomes. Sekuboyina and colleagues introduced a localization–segmentation methodology that leverages deep neural networks for the multi-label annotation of lumbar vertebrae, thereby illustrating the potential of deep learning in spinal imaging [17]. This was succeeded by the development of AESR3D by Zhang and colleagues in 2023, a 3D overcomplete autoencoder designed to enhance the resolution of trabecular computed tomography images [18].
The role of deep learning in automatic vertebra labeling was further explored by Yang and colleagues in 2017, who presented a deep image-to-image network augmented with message passing and sparsity regularization for large-scale 3D CT imaging [19]. Similarly, Chen and colleagues focused on the automatic localization and identification of vertebrae in spine CT scans using a joint learning model with deep neural networks in 2015 [20]. Within the domain of brain tumor segmentation, Havaei and colleagues achieved promising results with deep neural networks for medical image analysis in 2017 [21]. Nguyen and colleagues in 2022 proposed the integration of active shape models and convolutional neural networks for efficient brain extraction, demonstrating ongoing innovation in this field [22]. Zhao and colleagues presented a deep learning model in 2018 that integrates fully convolutional neural networks (FCNNs) with conditional random fields (CRFs) for brain tumor segmentation, underscoring the effectiveness of combining different approaches to improve segmentation accuracy [23]. Other notable works include the dual attention-guided multi-scale CNN for fine-grained image classification by Liu and colleagues in 2021 [24] and the single-seed delineation of brain tumors using multi-thresholding by Banerjee and colleagues in 2016 [25]. The creation of automated algorithms for medical image analysis, such as MiMSeg by Binczyk and colleagues in 2017 for tumor tissue detection on NMR apparent diffusion coefficient maps [26] and the 3D brain tumor segmentation using fuzzy classification and spatially constrained deformable models by Lou and colleagues in 2009 [27], has been pivotal in bolstering diagnostic capabilities. Mitra and Shankar’s review in 2015 provided a comprehensive overview of medical image analysis for cancer management within a natural computing framework [28]. More recently, Ullah and colleagues introduced cascade multiscale residual attention CNNs with adaptive ROI for automatic brain tumor segmentation in 2022 [29].
These studies collectively exemplify the vanguard of medical image analysis, demonstrating automated brain tumor segmentation; a common approach is the extraction of handcrafted features processed by a classifier within a conventional machine learning framework. However, this method does not alter the intrinsic characteristics of the features. An alternative strategy involves endogenous learning of hierarchical feature representation, adept at capturing task-specific nuances [25]. For specific comparisons, see Table 1. In this paper, the strategy is applied to develop a feature representation that is systematically optimized for precise brain tumor delineation, emphasizing data synthesis from diverse MRI modalities. In summary, the main contributions of this work can be categorized into three aspects as follows:
  • A novel approach to medical image segmentation innovates by enhancing feature extraction, significantly expanding the operational scope without necessitating an extensive training set of prototypes.
  • An innovative supervised learning model that efficiently harnesses the variabilities and consistencies across 3D medical imaging modalities, this approach streamlines segmentation while improving accuracy by intelligently integrating multi-modal data features.
  • A novel evaluation protocol for medical image segmentation that elegantly navigates the challenges of weak-label reliance, thereby enhancing the protocol’s applicability to real-world clinical scenarios where robust, annotated datasets are often limited.

2. Materials and Methods

Considering the constrained three-dimensional resolution within the BRATS dataset, this study introduces a methodical segmentation technique that meticulously evaluates each pixel in concert with its corresponding MRI modalities T1, T2, T1ce, and T2-FLAIR to ascertain pixel classification. This approach aligns with the operational paradigm of contemporary U-Net-based segmentation models, where pixel classification is predicated on the multi-modal neighborhood analysis in Figure 1.
The foundational component in constructing a U-Net architecture is the convolutional layer, which serves as the fundamental unit for feature extraction. These layers are sequentially stacked to create a hierarchical feature representation. Each layer operates by abstracting and refining features from the preceding layer within the network’s hierarchical structure. A singular convolutional layer ingests a set of input planes and generates a corresponding set of output planes, also known as feature maps. These feature maps represent a spatially organized array of activations that correspond to the learned parameters of a localized nonlinear feature detector, uniformly applied across each spatial region of the input planes via a convolution operation. For the initial convolutional layer, the input planes are aligned with distinct MRI modalities. Subsequent layers integrate the output feature maps from the preceding layer as their input planes.
Each feature map O s is associated with one kernel. The feature map O s is computed as follows,
O s = r X r p W s r + b s
Here, X r p represents is the r t h input channel the value of the input data at position x in the p t h modalities; W s r is the weight of the kernel k at position. b s is a bias term. The discrete convolution operator ∗ can be defined as follows: let H : 2 be a discrete function. Let Ω r = r , r 2 2 and l e t k : Ω r be a discrete filter of size 2 r + 1 2 .
F k p = s , t Ω r F s , t k p s , p t
Generalize this operator. Let l be a dilation factor and let l be defined as,
F l k p = s , t Ω r F s + l , t + l k p s , p t
This paper refers to l as a dilated convolution or an l-dilated convolution. Dilated convolutions, featuring expanded receptive fields, outperform traditional approaches in detecting patterns across pixels, proving especially beneficial for the precise delineation of extensive features, such as tumor edges in MRI segmentation. The familiar discrete convolution is simply the 1-dilated convolution. The architecture is motivated by the fact that dilated convolutions support exponentially expanding receptive fields without losing resolution or coverage.
Let H 0 , H 1 , , H n 1 : 2 be discrete functions and let k 0 , k 1 , , k n 2 : Ω 1 be discrete 3 × 3 filters. Consider applying the filters with exponentially increasing dilation,
H i + 1 = H i 2 i k i
Systematic expansion facilitates the exponential growth of the receptive field while maintaining the integrity of resolution and coverage. Suppose a variable a is used to measure the expansion coefficient of the void convolution, then the relationship between the actual convolution kernel size after adding the void and the original convolution kernel size is
K = a · k 1 + 1
where k is the original convolution kernel size, a is the dilation rate, and K is the actual size of the extended convolution kernel.
Following the enhancement of the traditional convolution within the network architecture, a comparative analysis reveals a reduction in the number of floating-point operations by 21.80% This optimization has consequently accelerated the processing speed. Nonetheless, the ensuing segmentation outcomes were not as robust as desired. Consequently, a subsequent approach is proposed to address this deficiency.
Previous medical image segmentation studies have encountered challenges in discerning different adjacent pathological areas. For instance, within the dataset employed in our investigation, distinguishing between the enhanced tumor (ET) and the edema/necrotic tissue (ED), as well as differentiating the necrotic tumor core (NCR) from the surrounding tissue, has been notably difficult.
Furthermore, the precise definition of the tumor lesion’s periphery continues to present a significant challenge in the field of medical image analysis in Figure 2. An enhanced attention mechanism is introduced which emphasizes the features of the edge regions. The attention module is operationalized through the following equation,
Attention f , g = σ ReLU W f f + W g g G
Here, f is the input feature map, g is the gate feature map, and Wf and Wg are weight matrices applied to f and g, respectively. σ represents a sigmoid activation function that ensures the output is within the range of 0 to 1, which is beneficial for highlighting important features while suppressing less important ones. denotes the Hadamard product, which is an element-wise multiplication. Additionally, an extra feature map G is introduced, which is derived from the input feature map through an edge detection filter, with the purpose of enhancing the representation of features in the edge regions.
G = m w m G m
w m = γ e x p d i 2 δ 2 + 1
d i is the distance of the i t h voxel from the tumor edge or a specific structure within the medical image. d i is used to compute the weight w m for each voxel, where a smaller d i results in a larger weight, emphasizing the importance of voxels closer to the tumor edge. δ is the control of the sensitivity of the exponential decay with respect to changes in d i It determines the rate at which the weight w m decreases as d i increases. γ adjusts the magnitude of the weights. It can be used to amplify the exponential component, thereby increasing the differentiation between weights of voxels close to and far from the tumor edge. In the presented methodology, the values for the parameters γ and σ are selected as 8 and 6, respectively.
In this research, Arouse-Net is a novel neural network architecture that builds upon the foundational U-Net implementation and its 3D counterpart. The proposed network incorporates additional interconnections between layers handling equivalent feature sizes, as depicted in Figure 3. The design integrates a custom 3D convolutional (Conv3D) block, which utilizes a dilated kernel with a dilation rate of 2. This architectural choice effectively broadens the receptive field, enabling the network to encompass more contextual information from the input data.
The Conv3D block is paired with a Rectified Linear Unit activation function, introducing nonlinearity into the model. This helps to counteract the vanishing gradient problem, a common challenge in deep learning. Furthermore, the inclusion of a Batch Normalization (BN) layer is a deliberate strategy to stabilize the training process and expedite network convergence. By normalizing the activations, the BN layer aids in the effective capture of complex spatial relationships inherent in medical imaging data. At the commencement of each up-sampling block, an attention mechanism, as outlined in Equation (6), is implemented. This mechanism is pivotal for linking the up-sampled and down-sampled data blocks, facilitating the recovery of the feature dimension. It plays a particularly crucial role in enhancing the segmentation of the tumor periphery, a task that is often fraught with difficulty due to the subtle variations present in the image data.
The iterative process of feature down-sampling and up-sampling is meticulously tailored for execution on the brain dataset. Adjustments are made to the pooling parameters and step sizes, particularly at the network’s deepest layers, to accommodate the distinctive attributes of the medical imaging data. Zero-padding is employed to facilitate the interaction of information between the network’s layers. Following each convolution operation, the length of the resulting vector is restored to its original length through zero-padding. This ensures that the convolution layers operate on input vectors of consistent dimensions, thereby preserving the data’s integrity throughout the network’s processing stages.
In the final up-sampling block, a Conv1 × 1 × 1 layer is introduced, which serves to synthesize features across the channel dimension. This is succeeded by a BN + Sigmoid layer. The Sigmoid activation function in the final convolutional block is critical for generating the segmentation map, providing an output that is normalized between 0 and 1. This normalized output is essential for creating accurate segmentation masks, which allow for a clear demarcation between the tumor and the surrounding healthy tissue. The final convolutional layer is designed to yield a single-channel feature map that is spatially aligned with the input image. This alignment ensures that the segmentation outcomes are formatted identically to the original data, facilitating direct comparison and clinical interpretation.

3. Results

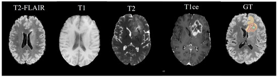
BRATS21 is a large-scale brain multimodal MR Glioma segmentation dataset, including 8160 MRI scans from 2040 patients. Among them, 1251 cases of data were used as training sets and publicly labeled, while 219 cases of data were divided into validation sets and 570 cases of data were used as test sets. MR Images are given for each patient in four modalities in Figure 4.
  • Native (T1) scans;
  • Post-contrast T1-weighted scans with Gadolinium (T1Gd);
  • T2-weighted (T2) scans;
  • T2 Fluid Attenuated Inversion Recovery (T2-FLAIR) volumes.
These scans were acquired using various protocols and scanners across multiple institutions. A standardized pre-processing pipeline has been applied to all mpMRI scans involved in the challenge. The steps of this pipeline include the following:
  • Conversion of DICOM files to the NIfTI file format;
  • Co-registration to a common anatomical template, specifically the SRI24;
  • Resampling to ensure a uniform isotropic resolution of 1 mm3;
  • Skull-stripping to remove non-brain tissue.
The pre-processing steps help to anonymize the data by stripping metadata from DICOM images and removing Protected Health Information (PHI). Skull-stripping also aids in mitigating the potential for facial reconstruction or recognition of the patient. The resulting labels from the automated fusion were then manually refined by volunteer neuroradiology experts of diverse ranks and experiences, adhering to a consistent annotation protocol. These refined annotations were subsequently approved by highly experienced, board-certified attending neuroradiologists who have over 15 years of experience with gliomas.
The tumor sub-regions annotated are based on observable features recognizable by trained radiologists (referred to as VASARI features) and include the following. The Gd-enhancing tumor (ET) labeled as 4, which represents the enhancing part of the tumor visible on T1Gd MRI scans, including areas of strong and faint enhancement. The peritumoral edematous/invaded tissue (ED) labeled as 2, which is characterized by an abnormal hyperintense signal on T2-FLAIR volumes, encompassing the infiltrative non-enhancing tumor and vasogenic edema in the peritumoral region. The necrotic tumor core (NCR) labeled as 1, which appears hypointense on T1Gd MRI and represents the non-viable, necrotic center of the tumor. This is illustrated in Figure 5.
The training patches for the network were either chosen at random or deliberately included tumor regions. This is achieved by randomly selecting a scan and identifying a tumor clearly visible within it, then extracting patches at random within the defined boundaries of that tumor. A tumor is deemed fully visible in a patch if it is explicitly marked as such in the scan, provided that no more than 3% of the tumor’s volume is missing from the patch.
This approach accommodates minor discrepancies, given that pinpointing partially obscured tumors can be challenging in scans of lower resolution. Dice coefficient is expressed and intersected over a union, also known as the Jaccard index.
Additionally, the network is designed to predict labels for every voxel within the input patch, meaning the loss function is not reliant on a single output but rather on over two million output values per patch. The loss function, denoted as L , incorporates elements for both segmentation and classification accuracy,
L = λ F P + 1 λ F N + ( β log P ( 1 β ) l o g ( 1 P ) )
In the presented study, an optimization approach for segmentation is proposed, which focuses on directly reducing the count of mislabeled voxels, encompassing both false utilization of Dice score-based loss terms but offers a more uniform distribution of values across patches that are either positives or false negatives. This strategy parallels those that are devoid of features or contain elements. The parameter λ is introduced to adjust the penalty for false positive errors in comparison to false negative errors, serving as a critical component for addressing potential imbalances between the quantities of background and foreground voxels. The incorporation of 1 − λ instigates a balancing mechanism that acknowledges the significance of false negatives, thus facilitating a fair allocation of the total error cost between both types of classification errors. This dual-weighted strategy significantly augments the segmentation model’s capacity to accurately segregate the foreground from the background, culminating in enhanced performance in voxel-wise classification tasks. The misclassification of foreground as background (a false negative) is often deemed more severe than the reverse (a false positive), particularly due to the predominance of background data.
The dimensions of the input patches dictated the use of an NVIDIA Tesla V100S-PCIe GPU with 32 GB of High-Bandwidth Memory (HBM2) for the processing of individual patches, rather than the processing of multiple patches in minibatches. Consequently, the Adam optimization technique is adopted, with a constant learning rate of 0.001 and an increased momentum of 0.99 to ensure the stability of gradients. In all experimental iterations, the parameters λ = 0.1 and β = 0.3 were applied, underscoring a segmentation strategy that prioritizes the precision of the model’s predictions, specifically aiming to prevent the inadvertent inclusion of background voxels within the segmented object. This strategy, while ensuring the comprehensive detection of all pertinent voxels, is essential for achieving precise and reliable segmentation outcomes that meet the specific requirements of the task. For the changes in the loss function, please refer to Figure 6, Figure 7, Figure 8 and Figure 9.
Three distinct Dice coefficients were calculated, each corresponding to different tumor regions. ET (enhancing tumor): The dice1 calculates the Dice coefficient for the enhancing tumor. In the code, the label for the enhancing tumor has been replaced with 3. Therefore, dice1 compares the overlap between regions labeled as 3 in the predicted segmentation and those labeled as 3 in the ground truth. TC (tumor core): The dice2 calculates the Dice coefficient for the tumor core. It encompasses both the tumor core region, typically labeled as 1, and the enhancing tumor region, labeled as 3. This comparison is made by examining regions marked as 1 or 3 in both the predicted and the true segmentations. WT (whole tumor): The dice3 calculates the Dice coefficient for the whole tumor, including the tumor core, the peritumoral edema region, usually labeled as 2, and the enhancing tumor region.
This involves comparing all non-zero labeled regions in both the predicted segmentation and the ground truth. Compared with other models, this model has better performance in various evaluations. A comprehensive performance comparison of various neural network architectures in the domain of medical image segmentation as shown in Table 2 and Figure 10.
The study focuses on segmenting whole tumor (WT), tumor core (TC), and enhanced tumor (ET) regions using the Dice coefficient metrics. It is evident from the data that incorporating post-processing steps can marginally enhance the performance of foundational models across all segmentation objectives under consideration.
Furthermore, augmenting the model’s depth, exemplified by the progression from Basic V-Net to Deeper V-Net, generally leads to improved segmentation accuracy, especially notable in the context of enhanced tumors (ET). The 3D U-Net and its derivatives, namely Basic 3D-UNet and Residual 3D-UNet, consistently demonstrate high performance in segmentation tasks, particularly in discerning the tumor core (TC) and enhanced tumor (ET), where the incorporation of residual connections appears to confer an additional performance benefit, which, through the application of arouse convolutions, achieves superior Dice coefficients in the segmentation of both the whole tumor (WT) and enhanced tumor (ET), underscoring its robust feature extraction capabilities.
Concurrently, the Arouse-Net model, which integrates an attention mechanism, exhibits a significant improvement in the segmentation of WT, TC, and ET regions, with respective increases of 17.14%, 8.79%, and 11.88% over the Torus-Net as shown in Table 3, thereby highlighting the potential of attention mechanisms in enhancing segmentation precision. In summary, the findings delineated in Table 1 underscore the contributions of increased model depth and convolution techniques to the advancement of segmentation accuracy. Moreover, the results shed light on the potential value of attention mechanisms in specific scenarios, suggesting that the continued exploration and refinement of these methodologies will be instrumental in enhancing segmentation performance in forthcoming research endeavors.
The neural network models for segmentation utilized in this study impose a relatively high computational demand during training. Consequently, our comparative analysis extends to the evaluation of both the training duration and the prediction latency associated with the resultant architecture. The findings are delineated in Table 2.
It is evident from the table that the computational time escalates with the intricacy of the model and the resolution of the image data. Nonetheless, in all instances, the application of the model to the data is completed in under one minute. Initially, our architectural model underwent evaluation utilizing a brain dataset. The table enumerates the ground truth and predictive outcomes for the best-performing, worst-performing, and median three test cases within the test dataset in Figure 11. Additionally, it details the discrepancies between the actual and predicted values for each case.
The data presented in Table 4 offer a detailed perspective on the performance of the segmentation model. Both the Dice coefficient and Intersection over Union (IoU) are pivotal metrics for assessing segmentation quality. The Dice coefficient quantifies the overlap between the segmented and ground truth regions, whereas the IoU presents a more stringent evaluation by measuring the ratio of the intersection to the union of the two sets. Assessing these metrics is essential for determining the suitability and efficacy of the Arouse-Net model within the context of brain image segmentation. Furthermore, the comparative analysis not only validates the model’s performance but also furnishes a robust foundation for directing subsequent research endeavors and informing model enhancements.

4. Discussion and Conclusions

The present study introduces Arouse-Net, an innovative deep learning model designed to enhance the segmentation of glioblastoma in multi-parametric MRI. The architecture, which is an extension of the U-Net model, integrates a custom 3D convolutional neural network and an attention mechanism, proving to be significantly effective in improving the delineation of tumor margins. The model’s performance is rigorously evaluated against existing state-of-the-art methods on the 2021 BRATS test dataset, yielding superior results with an impressive over eight-times-faster processing speed.
One of the key contributions of this research is the development of a novel 3D convolutional block that employs dilated convolutions to substantially expand the receptive field, allowing for more comprehensive context captured from the input data. This approach is particularly beneficial for the precise delineation of extensive features, such as tumor edges in MRI segmentation. The integration of an attention mechanism in Arouse-Net is another pivotal advancement, focusing on edge features that are crucial for the accurate segmentation of glioblastoma. This mechanism, combined with the innovative supervised learning model, enhances the segmentation process by intelligently integrating multi-modal data features. Moreover, the study presents a novel evaluation protocol for medical image segmentation that adeptly navigates the challenges of weak-label reliance, thus enhancing the protocol’s applicability to real-world clinical scenarios where robust, annotated datasets are often limited.
The results from the BRATS 2021 online evaluation system confirm that with the best model, there was a notable improvement in both accuracy and speed over the currently published state-of-the-art methods. However, it is important to note that this manuscript only covers a limited number of modifications and lacks extensive experimental validation. While Arouse-Net configurations demonstrated satisfactory outcomes, the findings did not provide clear insights into the specific factors that were most beneficial. For instance, increasing the batch size from two to five led to diminished performance, suggesting that the batch size should be reset to two for subsequent experiments. Furthermore, a more exhaustive fine-tuning of the hyperparameters, including both the training methodology and the data augmentation techniques, could potentially lead to additional improvements in performance.
In conclusion, the Arouse-Net model offers a robust framework for glioblastoma segmentation in MRI, with potential implications for enhancing clinical diagnosis and treatment planning. Future work will focus on further refining the model’s architecture, optimizing hyperparameters, and expanding the experimental validation to solidify the model’s effectiveness in real-world applications.

Author Contributions

Conceptualization and methodology, H.L.; validation and formal analysis, J.Z.; investigation, data curation, H.L. and X.Q.; writing—original draft preparation, H.L.; writing—review and editing, X.Q.; project administration, X.Q. and Y.H. All authors have read and agreed to the published version of the manuscript.

Funding

This research was funded by National Natural Science Foundation of China under Grant 52375035 and U24A20672, Guangdong Basic and Applied Basic Research Foundation under Grant 2024A1515030011, and in part by Shenzhen Science and Technology Program under Grants JSGG20220831100202004 and JCYJ20220818101412026.

Data Availability Statement

The data that support the findings of this study are available from Brain Tumor Segmentation (BraTS) Continuous Challenge. Restrictions apply to the availability of these data, which were used under licence for this study. Data are available at BraTS Continuous Evaluation—syn27046444-Wiki.

Conflicts of Interest

The authors declare that they have no known competing financial interests or personal relationships that could have appeared to influence the work reported in this paper.

References

  1. Wu, W.; Klockow, J.L.; Zhang, M.; LaFortune, F.; Chang, E.; Jin, L.; Wu, Y.; Daldrup-Link, H.E. Glioblastoma multiforme (GBM): An overview of current therapies and mechanisms of resistance. Pharmacal Res. 2021, 171, 105780. [Google Scholar] [CrossRef] [PubMed] [PubMed Central]
  2. Louis, D.N.; Ellison, D.W.; Brat, D.J.; Aldape, K.; Capper, D.; Hawkins, C.; Paulus, W.; Perry, A.; Reifenberger, G.; Figarella-Branger, D.; et al. Impact-now: A practical summary of diagnostic points from round 1 updates. Brain Pathol. 2019, 29, 469472. [Google Scholar] [CrossRef] [PubMed]
  3. Louis, D.N.; Wesseling, P.; Paulus, W.; Giannini, C.; Batchelor, T.T.; Cairncross, J.G.; Capper, D.; Figarella-Branger, D.; Lopes, M.B.; Wick, W.; et al. Impact-now update 1: Not otherwise specified and not elsewhere classified. Acta Neuropathol. 2018, 135, 481484. [Google Scholar] [CrossRef] [PubMed]
  4. Louis, D.N.; Giannini, C.; Capper, D.; Paulus, W.; Figarella-Branger, D.; Lopes, M.B.; Batchelor, T.T.; Cairncross, J.G.; van den Bent, M.; Wick, W.; et al. Compact-now update 2: Diagnostic clarification for di use midline glioma, h3 k27m-mutant and di use astrocytoma/anaplastic astrocytoma, ich-mutant. Acta Neuropathol. 2018, 135, 639642. [Google Scholar] [CrossRef] [PubMed]
  5. Brat, D.J.; Aldape, K.; Colman, H.; Holland, E.C.; Louis, D.N.; Jenkins, R.B.; Kleinschmidt-DeMasters, B.; Perry, A.; Reifenberger, G.; Stupp, R.; et al. Impact now update 3: Recommended diagnostic criteria for di use astrocytic glioma, ich-wildtype, with molecular features of glioblastoma, who grade iv. Acta Neuropathol. 2018, 136, 805810. [Google Scholar] [CrossRef] [PubMed]
  6. Yao, J.; Burns, J.E.; Munoz, H.; Summers, R.M. Detection of Vertebral Body Fractures Based on Cortical Shell Unwrapping. In Medical Image Computing and Computer-Assisted Intervention, LNCS; Springer: Berlin/Heidelberg, Germany, 2012; Volume 7512, pp. 509–516. [Google Scholar]
  7. Buckens, C.F.; van der Graaf, Y.; Verkooijen, H.M.; Mali, W.P.; Isgum, I.; Mol, C.P.; Verhaar, H.J.; Vliegenthart, R.; Oudkerk, M.; van Aalst, C.M.; et al. Osteoporosis markers on low-dose lung cancer screening chest computed tomography scans predict all-cause mortality. Eur. Radiol. 2015, 25, 132–139. [Google Scholar] [CrossRef]
  8. Girshick, R.; Donahue, J.; Darrell, T.; Malik, J. Rich feature hierarchies for ac curate object detection and semantic segmentation. In Proceedings of the IEEE Conference on Computer Vision and Pattern Recognition (CVPR), Columbus, OH, USA, 23–28 June 2014. [Google Scholar]
  9. Klinder, T.; Ostermann, J.; Ehm, M.; Franz, A.; Kneser, R.; Lorenz, C. Automated model-based vertebra detection, identification, and segmentation in CT images. Med. Image Anal. 2009, 13, 471–482. [Google Scholar] [CrossRef] [PubMed]
  10. Glocker, B.; Feulner, J.; Criminisi, A.; Haynor, D.R.; Konukoglu, E. Automatic Localization and Identification of Vertebrae in Arbitrary Field-of View CT Scans. In Proceedings of the International Conference on Medical Image Computing and Computer Assisted Intervention, Nice, France, 1–5 October 2012; Springer: Berlin/Heidelberg, Germany, 2012; Volume 7512, pp. 590–598. [Google Scholar]
  11. Lin, Q.; Chen, X.; Chen, C.; Garibaldi, J.M. Boundary-wise loss for medical image segmentation based on fuzzy rough sets. Inf. Sci. 2024, 661, 120183. [Google Scholar] [CrossRef]
  12. Wen, M.; Zhou, Q.; Tao, B.; Shcherbakov, P.; Xu, Y.; Zhang, X. Short-term and long-term memory self-attention network for segmentation of tumors in 3D medical images. CAAI Trans. Intel. Technol. 2023, 8, 1524–1537. [Google Scholar] [CrossRef]
  13. Ding, Z.; Zhang, Y.; Zhu, C.; Zhang, G.; Li, X. CAT-Unet: An enhanced U-Net architecture with coordinate attention and skip-neighborhood attention transformer for medical image segmentation. Inf. Sci. 2024, 670, 120578. [Google Scholar] [CrossRef]
  14. Korez, R.; Ibragimov, B.; Likar, B.; Pernuš, F.; Vrtovec, T. A Framework for Automated Spine and Vertebrae Interpolation-Based Detection and Model-Based Segmentation. IEEE Trans. Med. Imaging 2015, 34, 1649–1662. [Google Scholar] [CrossRef] [PubMed]
  15. Yao, J.; Burns, J.E.; Forsberg, D.; Seitel, A.; Rasoulian, A.; Abolmaesumi, P.; Hammernik, K.; Urschler, M.; Ibragimov, B.; Korez, R.; et al. A multi-center milestone study of clinical vertebral CT segmentation. Comput. Med. Imaging Graph. 2016, 49, 16–28. [Google Scholar] [CrossRef] [PubMed]
  16. Noor, M.N.; Nazir, M.; Ashraf, I.; Almujally, N.A.; Aslam, M.; Jilani, S.F. GastroNet: A robust attention-based deep learning and cosine similarity feature selection framework for gastrointestinal disease classification from endoscopic images. CAAI Trans. Intell. Technol. 2023, 1–14. [Google Scholar] [CrossRef]
  17. Sekuboyina, A.; Valentinitsch, A.; Kirschke, J.S.; Menze, B.H. A Localization-Segmentation Approach for Multi-label Annotation of Lumbar Vertebrae using Deep Nets. arXiv 2017, arXiv:1703.04347. [Google Scholar]
  18. Zhang, S.; Liang, Y.; Li, X.; Li, S.; Xiong, X.; Zhang, L. AESR3D: 3D overcomplete autoencoder for trabecular computed tomography super resolution. CAAI Trans. Intell. Technol. 2023. [Google Scholar] [CrossRef]
  19. Yang, D.; Xiong, T.; Xu, D.; Huang, Q.; Liu, D.; Zhou, S.K.; Xu, Z.; Park, J.; Chen, M.; Tran, T.D.; et al. Automatic Vertebra Labeling in Large-Scale 3D CT Using Deep Image-to-Image Network with Message Passing and Sparsity Regularization. In Information Processing in Medical Imaging, LNCS; Springer: Berlin/Heidelberg, Germany, 2017; Volume 10265, pp. 633–644. [Google Scholar]
  20. Chen, H.; Shen, C.; Qin, J.; Ni, D.; Shi, L.; Cheng, J.C.; Heng, P.A. Automatic Localization and Identification of Vertebrae in Spine CT via a Joint Learning Model with Deep Neural Networks. In International Conference on Medical Image Computing and Computer-Assisted Intervention, LNCS; Springer: Berlin/Heidelberg, Germany, 2015; Volume 9349, pp. 515–522. [Google Scholar]
  21. Havaei, M.; Davy, A.; Warde-Farley, D.; Biard, A.; Courville, A.; Bengio, Y.; Pal, C.; Jodoin, P.-M.; Larochelle, H. Brain tumor segmentation with Deep Neural Networks. Med. Image Anal. 2017, 35, 18–31. [Google Scholar] [CrossRef]
  22. Nguyen, D.H.; Mai, T.T.; Nguyen, T.; Tran, K.T.; Nguyen, A.T.; Pham, B.T.; Nguyen, B.T. ASMCNN: An efficient brain extraction using active shape model and convolutional neural networks. Inf. Sci. 2022, 591, 25–48. [Google Scholar] [CrossRef]
  23. Zhao, X.; Wu, Y.; Song, G.; Li, Z.; Zhang, Y.; Fan, Y. A deep learning model integrating FCNNs and CRFs for brain tumor segmentation. Med. Image Anal. 2018, 43, 98–111. [Google Scholar] [CrossRef]
  24. Liu, X.; Zhang, L.; Li, T.; Wang, D.; Wang, Z. Dual attention guided multi-scale CNN for fine-grained image classification. Inf. Sci. 2021, 573, 37–45. [Google Scholar] [CrossRef]
  25. Banerjee, S.; Mitra, S.; Shankar, B.U. Single seed delineation of brain tumor using multi-thresholding. Inf. Sci. 2016, 330, 88–103. [Google Scholar] [CrossRef]
  26. Binczyk, F.; Stjelties, B.; Weber, C.; Goetz, M.; Meier-Hein, K.; Meinzer, H.-P.; Bobek-Billewicz, B.; Tarnawski, R.; Polanska, J. MiMSeg- an algorithm for automated detection of tumor tissue on NMR apparent diffusion coefficient maps. Inf. Sci. 2017, 384, 235–248. [Google Scholar] [CrossRef]
  27. Khotan Lou, H.; Colliot, O.; Atif, J.; Bloch, I. 3D brain tumor segmentation in MRI using fuzzy classification, symmetry analysis and spatially constrained deformable models. Fuzzy Sets Syst. 2009, 160, 1457–1473. [Google Scholar] [CrossRef]
  28. Mitra, S.; Shankar, B.U. Medical image analysis for cancer management in natural computing framework. Inf. Sci. 2015, 306, 111–131. [Google Scholar] [CrossRef]
  29. Ullah, Z.; Usman, M.; Jeon, M.; Gwak, J. Cascade multiscale residual attention CNNs with adaptive ROI for automatic brain tumor segmentation. Inf. Sci. 2022, 608, 1541–1556. [Google Scholar] [CrossRef]
Figure 1. Schematic representation illustrating the sequential processing of MRI modalities T1, T2, T1ce, and FLAIR, as implemented in our segmentation approach for pixel classification within the context. Different colors represent the same region of different modalities.
Figure 1. Schematic representation illustrating the sequential processing of MRI modalities T1, T2, T1ce, and FLAIR, as implemented in our segmentation approach for pixel classification within the context. Different colors represent the same region of different modalities.
Mathematics 13 00160 g001
Figure 2. The differentiating the enhanced tumor (ET) from edema/necrotic tissue (ED) and delineating the necrotic tumor core (NCR) within the complexities of medical image segmentation.
Figure 2. The differentiating the enhanced tumor (ET) from edema/necrotic tissue (ED) and delineating the necrotic tumor core (NCR) within the complexities of medical image segmentation.
Mathematics 13 00160 g002
Figure 3. Schematic drawing of the network architecture.
Figure 3. Schematic drawing of the network architecture.
Mathematics 13 00160 g003
Figure 4. The first four images from left to right show the MRI modalities used as input channels to various Arouse-Net models and the fifth image shows the ground truth labels. The enhanced tumor (ET) from edema/necrotic tissue (ED) is differentiated and the necrotic tumor core (NCR) is delineated within the complexities of medical image segmentation.
Figure 4. The first four images from left to right show the MRI modalities used as input channels to various Arouse-Net models and the fifth image shows the ground truth labels. The enhanced tumor (ET) from edema/necrotic tissue (ED) is differentiated and the necrotic tumor core (NCR) is delineated within the complexities of medical image segmentation.
Mathematics 13 00160 g004
Figure 5. Glioma sub-regions considered in the MICCAI BRATS 2021 challenge. (A) displays the enhancing (yellow) and tumor core (pink) areas; (B) shows the whole tumor (light blue) area; (C) presents the edema/invasion (green) and enhancing tumor (blue) areas; (D) depicts the necrosis (red), enhancing tumor (blue), and edema/invasion (green) areas, comprehensively representing the different sub - regions of the tumor.
Figure 5. Glioma sub-regions considered in the MICCAI BRATS 2021 challenge. (A) displays the enhancing (yellow) and tumor core (pink) areas; (B) shows the whole tumor (light blue) area; (C) presents the edema/invasion (green) and enhancing tumor (blue) areas; (D) depicts the necrosis (red), enhancing tumor (blue), and edema/invasion (green) areas, comprehensively representing the different sub - regions of the tumor.
Mathematics 13 00160 g005
Figure 6. Training and validation loss over epochs.
Figure 6. Training and validation loss over epochs.
Mathematics 13 00160 g006
Figure 7. Training and validation ET (enhancing tumor) over epochs.
Figure 7. Training and validation ET (enhancing tumor) over epochs.
Mathematics 13 00160 g007
Figure 8. Training and validation TC (tumor core) over epochs.
Figure 8. Training and validation TC (tumor core) over epochs.
Mathematics 13 00160 g008
Figure 9. Training and validation WT (whole tumor) over epochs.
Figure 9. Training and validation WT (whole tumor) over epochs.
Mathematics 13 00160 g009
Figure 10. Performance comparison of various network structures based on Dice coefficients.
Figure 10. Performance comparison of various network structures based on Dice coefficients.
Mathematics 13 00160 g010
Figure 11. Qualitatively validate set results. In each row, the left side is the original T2 image, the middle is the ground truth + T2 image, and the right side is the T2c image superimposed with the generated segmentation image.
Figure 11. Qualitatively validate set results. In each row, the left side is the original T2 image, the middle is the ground truth + T2 image, and the right side is the T2c image superimposed with the generated segmentation image.
Mathematics 13 00160 g011
Table 1. Summary of image processing methods in medical fields.
Table 1. Summary of image processing methods in medical fields.
CategoryReferencesAdvantagesLimitations
Feature-based Detection and Segmentation Girshick (2014) [8]
  • Enhances model’s understanding of image content by constructing deep feature representations.
  • Limited in handling complex and diverse real-world scenarios with variable objects and cluttered backgrounds.
Loss function-based Medical Image Segmentation Lin [9]
  • Optimizes boundary handling in segmentation by introducing boundary information.
  • Performance may be affected if boundary information is inaccurate or incomplete.
Deep Neural Network-based Localization and Segmentation Sekuboyina [17], Chen (2015) [20]
  • Shows potential of deep learning in spinal imaging.
  • Aims at automatic vertebra identification.
  • Challenges in dealing with deformed or pathologically changed vertebrae.
  • Struggles with poor-contrast or partially occluded scans.
Neural Network-based Image Processing Zhang (2023) [18], Yang (2017) [19]
  • Aims to improve resolution of specific CT images.
  • Applicable for large-scale 3D CT imaging.
  • May introduce artifacts or overfit with noisy/low-quality CT images.
  • Complex network leads to long processing times and high computation.
Deep Learning-based Brain Tumor Segmentation Havaei(2017) [21], Nguyen (2022) [22], Zhao (2018) [23], Ullah (2022) [29]
  • Promising results in brain tumor segmentation.
  • Shows innovation in brain extraction.
  • Difficulty with small/irregular tumors and heterogeneous textures.
  • Sensitive to initial parameters.
Other Medical Image Processing Liu (2021) [24], Banerjee (2016) [25], Binczyk (2017) [26], Lou (2009) [27], Mitra and Shankar (2015) [28]
  • Applicable for fine-grained image classification.
  • Provides overview of medical image analysis.
  • Poor generalization to new image classes or datasets.
Table 2. Evaluation scores of all models on the dataset.
Table 2. Evaluation scores of all models on the dataset.
METHODBasic V-NetBasic V-Net + PostDeeper V-NetDeeper V-Net + PostBasic 3D-UNetBasic 3D-UNet + PostResidual 3D-UNetResidual 3D-UNet + PostTorus-NetArouse-Net
DICE WT0.8360.84630.85710.86110.84110.80520.80720.81420.79820.935
DICE TC0.74990.75260.77550.77900.79060.77490.77400.77480.82270.895
DICE ET0.61590.61790.68660.68970.68760.67420.69550.71190.79820.893
Table 3. Segmentation algorithms comparison based on their computation time when ran on NVIDIA Tesla V100S-PCIe GPU.
Table 3. Segmentation algorithms comparison based on their computation time when ran on NVIDIA Tesla V100S-PCIe GPU.
Segmentation AlgorithmsPrediction TimeTraining Time [50 Epochs]
U-Net8 s6 h
Res-U-Net12 s10 h
Dense-U-Net21 s12 h
Arouse-Net1 s4 h
Table 4. Performance Comparison of Arouse-Net Variants on a Brain Dataset for Automated Segmentation Using Dice Coefficient and Intersection over Union (IoU).
Table 4. Performance Comparison of Arouse-Net Variants on a Brain Dataset for Automated Segmentation Using Dice Coefficient and Intersection over Union (IoU).
WorstMedianBest
Dice 0.6970.9350.982
Jaccard   ( IoU ) 0.5350.8770.985
Disclaimer/Publisher’s Note: The statements, opinions and data contained in all publications are solely those of the individual author(s) and contributor(s) and not of MDPI and/or the editor(s). MDPI and/or the editor(s) disclaim responsibility for any injury to people or property resulting from any ideas, methods, instructions or products referred to in the content.

Share and Cite

MDPI and ACS Style

Li, H.; Qi, X.; Hu, Y.; Zhang, J. Arouse-Net: Enhancing Glioblastoma Segmentation in Multi-Parametric MRI with a Custom 3D Convolutional Neural Network and Attention Mechanism. Mathematics 2025, 13, 160. https://doi.org/10.3390/math13010160

AMA Style

Li H, Qi X, Hu Y, Zhang J. Arouse-Net: Enhancing Glioblastoma Segmentation in Multi-Parametric MRI with a Custom 3D Convolutional Neural Network and Attention Mechanism. Mathematics. 2025; 13(1):160. https://doi.org/10.3390/math13010160

Chicago/Turabian Style

Li, Haiyang, Xiaozhi Qi, Ying Hu, and Jianwei Zhang. 2025. "Arouse-Net: Enhancing Glioblastoma Segmentation in Multi-Parametric MRI with a Custom 3D Convolutional Neural Network and Attention Mechanism" Mathematics 13, no. 1: 160. https://doi.org/10.3390/math13010160

APA Style

Li, H., Qi, X., Hu, Y., & Zhang, J. (2025). Arouse-Net: Enhancing Glioblastoma Segmentation in Multi-Parametric MRI with a Custom 3D Convolutional Neural Network and Attention Mechanism. Mathematics, 13(1), 160. https://doi.org/10.3390/math13010160

Note that from the first issue of 2016, this journal uses article numbers instead of page numbers. See further details here.

Article Metrics

Back to TopTop