LCANet: A Lightweight Context-Aware Network for Bladder Tumor Segmentation in MRI Images
Abstract
1. Introduction
- Differing from previous studies, we design a novel lightweight transformer encoder that models interpixel correlations at a fine-grained scale while reducing the computational complexity of the self-attention mechanism.
- A lightweight context-aware U-shaped network was developed to segment bladder tumors from MRI images. The network designs use special fusion to integrate local detail features with global features, which improves the segmentation accuracy of bladder lesions by learning multiscale global representations from bladder MRI images.
- Extensive experiments have shown that our method consistently improves the segmentation accuracy of bladder cancer lesions, which surpasses the robust baseline and state-of-the-art medical image segmentation methods.
2. Methods
2.1. Local Detail Encoder
2.2. Lightweight Transformer Encoder
2.3. Pyramid Scene Parsing
2.4. Decoder
2.5. Loss Function
3. Datasets and Experimental Settings
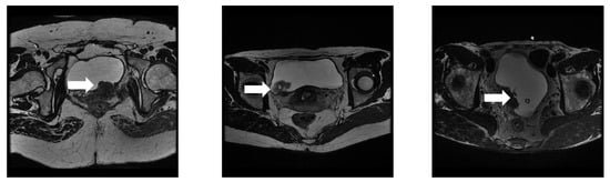
3.1. Dataset
3.2. Experimental Settings
3.3. Evaluation Metrics
4. Results
4.1. Ablation Study
4.1.1. Ablation of the Different Module Architectures
4.1.2. Ablation of the Lightweight Transformer Encoders on Various Stages
4.1.3. Ablation of the Three Lightweight Transformer Encoders at Various Stages
4.1.4. Ablation of the Block Numbers on Different Transformer Encoders
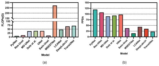
4.2. Comparison with State-of-the-Art Methods
5. Discussion
6. Conclusions
Author Contributions
Funding
Institutional Review Board Statement
Informed Consent Statement
Data Availability Statement
Conflicts of Interest
Abbreviations
| JI | Jaccard Index |
| DSC | Dice Similarity Coefficient |
| CPA | Class pixel accuracy |
| FLOPs | Floating point operations |
| FPS | Frames per second |
| LTE | Lightweight transformer encoder |
| PSP | Pyramid scene parsing |
| FSK | Fusion skip connection |
| MHSA | Multihead self-attention |
| FFN | Feed-forward network |
References
- Tran, L.; Xiao, J.F.; Agarwal, N.; Duex, J.E.; Theodorescu, D. Advances in bladder cancer biology and therapy. Nat. Rev. Cancer 2021, 21, 104–121. [Google Scholar] [CrossRef] [PubMed]
- Sung, H.; Ferlay, J.; Siegel, R.L.; Laversanne, M.; Soerjomataram, I.; Jemal, A.; Bray, F. Global cancer statistics 2020: GLOBOCAN estimates of incidence and mortality worldwide for 36 cancers in 185 countries. CA Cancer J. Clin. 2021, 71, 209–249. [Google Scholar] [CrossRef] [PubMed]
- Li, M.; Jiang, Z.; Shen, W.; Liu, H. Deep learning in bladder cancer imaging: A review. Front. Oncol. 2022, 12, 930917. [Google Scholar] [CrossRef] [PubMed]
- Cha, K.H.; Hadjiiski, L.; Chan, H.P.; Weizer, A.Z.; Alva, A.; Cohan, R.H.; Caoili, E.M.; Paramagul, C.; Samala, R.K. Bladder cancer treatment response assessment in CT using radiomics with deep-learning. Sci. Rep. 2017, 7, 8738. [Google Scholar] [CrossRef]
- Yu, J.; Cai, L.; Chen, C.; Fu, X.; Wang, L.; Yuan, B.; Yang, X.; Lu, Q. Cascade Path Augmentation Unet for bladder cancer segmentation in MRI. Med. Phys. 2022, 49, 4622–4631. [Google Scholar] [CrossRef]
- Gandi, C.; Vaccarella, L.; Bientinesi, R.; Racioppi, M.; Pierconti, F.; Sacco, E. Bladder cancer in the time of machine learning: Intelligent tools for diagnosis and management. Urol. J. 2021, 88, 94–102. [Google Scholar] [CrossRef]
- Li, L.; Liang, Z.; Wang, S.; Lu, H.; Wei, X.; Wagshul, M.; Zawin, M.; Posniak, E.J.; Lee, C.S. Segmentation of multispectral bladder MR images with inhomogeneity correction for virtual cystoscopy. In Proceedings of the Medical Imaging 2008: Physiology, Function, and Structure from Medical Images, San Diego, CA, USA, 17–19 February 2008; Volume 6916, pp. 279–283. [Google Scholar]
- Duan, C.; Liang, Z.; Bao, S.; Zhu, H.; Wang, S.; Zhang, G.; Chen, J.J.; Lu, H. A coupled level set framework for bladder wall segmentation with application to MR cystography. IEEE Trans. Med. Imaging 2010, 29, 903–915. [Google Scholar] [CrossRef]
- Garnier, C.; Ke, W.; Dillenseger, J.L. Bladder segmentation in MRI images using active region growing model. In Proceedings of the 2011 Annual International Conference of the IEEE Engineering in Medicine and Biology Society, Boston, MA, USA, 30 August–3 September 2011; pp. 5702–5705. [Google Scholar]
- Duan, C.; Yuan, K.; Liu, F.; Xiao, P.; Lv, G.; Liang, Z. An adaptive window-setting scheme for segmentation of bladder tumor surface via MR cystography. IEEE Trans. Inf. Technol. Biomed. 2012, 16, 720–729. [Google Scholar] [CrossRef]
- Ronneberger, O.; Fischer, P.; Brox, T. U-net: Convolutional networks for biomedical image segmentation. In Proceedings of the Medical Image Computing and Computer-Assisted Intervention–MICCAI 2015: 18th International Conference, Munich, Germany, 5–9 October 2015; Proceedings, Part III 18. Springer: Berlin/Heidelberg, Germany, 2015; pp. 234–241. [Google Scholar]
- Liu, Y.; Li, X.; Li, T.; Li, B.; Wang, Z.; Gan, J.; Wei, B. A deep semantic segmentation correction network for multi-model tiny lesion areas detection. BMC Med. Inform. Decis. Mak. 2021, 21, 1–9. [Google Scholar] [CrossRef]
- Sohail, A.; Nawaz, N.A.; Shah, A.A.; Rasheed, S.; Ilyas, S.; Ehsan, M.K. A Systematic Literature Review on Machine Learning and Deep Learning Methods for Semantic Segmentation. IEEE Access 2022, 10, 134557–134570. [Google Scholar] [CrossRef]
- Ali, N.; Bolenz, C.; Todenhöfer, T.; Stenzel, A.; Deetmar, P.; Kriegmair, M.; Knoll, T.; Porubsky, S.; Hartmann, A.; Popp, J.; et al. Deep learning-based classification of blue light cystoscopy imaging during transurethral resection of bladder tumors. Sci. Rep. 2021, 11, 11629. [Google Scholar] [CrossRef]
- Wu, E.; Hadjiiski, L.M.; Samala, R.K.; Chan, H.P.; Cha, K.H.; Richter, C.; Cohan, R.H.; Caoili, E.M.; Paramagul, C.; Alva, A.; et al. Deep learning approach for assessment of bladder cancer treatment response. Tomography 2019, 5, 201–208. [Google Scholar] [CrossRef]
- Yang, Y.; Zou, X.; Wang, Y.; Ma, X. Application of deep learning as a noninvasive tool to differentiate muscle-invasive bladder cancer and non–muscle-invasive bladder cancer with CT. Eur. J. Radiol. 2021, 139, 109666. [Google Scholar] [CrossRef]
- Moribata, Y.; Kurata, Y.; Nishio, M.; Kido, A.; Otani, S.; Himoto, Y.; Nishio, N.; Furuta, A.; Onishi, H.; Masui, K.; et al. Automatic segmentation of bladder cancer on MRI using a convolutional neural network and reproducibility of radiomics features: A two-center study. Sci. Rep. 2023, 13, 628. [Google Scholar] [CrossRef]
- Huang, X.; Yue, X.; Xu, Z.; Chen, Y. Integrating general and specific priors into deep convolutional neural networks for bladder tumor segmentation. In Proceedings of the 2021 International Joint Conference on Neural Networks (IJCNN), Shenzhen, China, 18–22 July 2021; pp. 1–8. [Google Scholar]
- Ge, R.; Cai, H.; Yuan, X.; Qin, F.; Huang, Y.; Wang, P.; Lyu, L. MD-UNET: Multi-input dilated U-shape neural network for segmentation of bladder cancer. Comput. Biol. Chem. 2021, 93, 107510. [Google Scholar] [CrossRef]
- Zhang, N.; Zhang, Y.; Li, X.; Cong, J.; Li, X.; Wei, B. Segmentation algorithm of lightweight bladder cancer MRI images based on multi-scale feature fusion. J. Shanxi Norm. Univ. (Nat. Sci. Ed.) 2022, 50, 89–95. [Google Scholar]
- Wang, Y.; Ye, X. MSEDTNet: Multi-Scale Encoder and Decoder with Transformer for Bladder Tumor Segmentation. Electronics 2022, 11, 3347. [Google Scholar] [CrossRef]
- Dong, Q.; Huang, D.; Xu, X.; Li, Z.; Liu, Y.; Lu, H.; Liu, Y. Content and shape attention network for bladder wall and cancer segmentation in MRIs. Comput. Biol. Med. 2022, 148, 105809. [Google Scholar] [CrossRef]
- Li, Z.; Pan, H.; Zhu, Y.; Qin, A.K. PGD-UNet: A position-guided deformable network for simultaneous segmentation of organs and tumors. In Proceedings of the 2020 International Joint Conference on Neural Networks (IJCNN), Glasgow, UK, 19–24 July; pp. 1–8.
- Yu, F.; Koltun, V. Multi-scale context aggregation by dilated convolutions. arXiv 2015, arXiv:1511.07122. [Google Scholar]
- Dolz, J.; Xu, X.; Rony, J.; Yuan, J.; Liu, Y.; Granger, E.; Desrosiers, C.; Zhang, X.; Ben Ayed, I.; Lu, H. Multiregion segmentation of bladder cancer structures in MRI with progressive dilated convolutional networks. Med. Phys. 2018, 45, 5482–5493. [Google Scholar] [CrossRef]
- Liu, J.; Liu, L.; Xu, B.; Hou, X.; Liu, B.; Chen, X.; Shen, L.; Qiu, G. Bladder cancer multi-class segmentation in MRI with Pyramid-In-Pyramid network. In Proceedings of the 2019 IEEE 16th International Symposium on Biomedical Imaging (ISBI 2019), Venice, Italy, 8–11 April 2019; pp. 28–31. [Google Scholar]
- Xu, J.; Kang, L.; Han, W.; Jiang, J.; Zhou, Z.; Huang, J.; Zhang, T. Multi-scale network based on dilated convolution for bladder tumor segmentation of two-dimensional MRI images. In Proceedings of the 2020 15th IEEE International Conference on Signal Processing (ICSP), Beijing, China, 6–9 December 2020; Volume 1, pp. 533–536. [Google Scholar]
- Pan, H.; Li, Z.; Cai, R.; Zhu, Y. Accurate segmentation of bladder wall and tumor regions in MRI using stacked dilated U-Net with focal loss. In Proceedings of the MIPPR 2019: Parallel Processing of Images and Optimization Techniques; and Medical Imaging, Wuhan, China, 2–3 November 2019; Volume 11431, pp. 69–76. [Google Scholar]
- Chen, G.; Li, L.; Dai, Y.; Zhang, J.; Yap, M.H. AAU-net: An Adaptive Attention U-net for Breast Lesions Segmentation in Ultrasound Images. IEEE Trans. Med. Imaging 2022, 42, 1289–1300. [Google Scholar] [CrossRef] [PubMed]
- Wang, L.; Cai, L.; Chen, C.; Fu, X.; Yu, J.; Ge, R.; Yuan, B.; Yang, X.; Shao, Q.; Lv, Q. A novel DAVnet3+ method for precise segmentation of bladder cancer in MRI. Vis. Comput. 2022, 1–13. [Google Scholar] [CrossRef]
- Han, K.; Xiao, A.; Wu, E.; Guo, J.; Xu, C.; Wang, Y. Transformer in transformer. Adv. Neural Inf. Process. Syst. 2021, 34, 15908–15919. [Google Scholar]
- Zheng, S.; Lu, J.; Zhao, H.; Zhu, X.; Luo, Z.; Wang, Y.; Fu, Y.; Feng, J.; Xiang, T.; Torr, P.H.; et al. Rethinking semantic segmentation from a sequence-to-sequence perspective with transformers. In Proceedings of the IEEE/CVF Conference on Computer Vision and Pattern Recognition, Nashville, TN, USA, 20–25 June 2021; pp. 6881–6890. [Google Scholar]
- Cao, H.; Wang, Y.; Chen, J.; Jiang, D.; Zhang, X.; Tian, Q.; Wang, M. Swin-unet: Unet-like pure transformer for medical image segmentation. arXiv 2021, arXiv:2105.05537. [Google Scholar]
- Luthra, A.; Sulakhe, H.; Mittal, T.; Iyer, A.; Yadav, S. Eformer: Edge enhancement based transformer for medical image denoising. arXiv 2021, arXiv:2109.08044. [Google Scholar]
- Shen, J.; Lu, S.; Qu, R.; Zhao, H.; Zhang, L.; Chang, A.; Zhang, Y.; Fu, W.; Zhang, Z. A boundary-guided transformer for measuring distance from rectal tumor to anal verge on magnetic resonance images. Patterns 2023, 4. [Google Scholar] [CrossRef]
- He, Q.; Yang, Q.; Xie, M. HCTNet: A hybrid CNN-transformer network for breast ultrasound image segmentation. Comput. Biol. Med. 2023, 155, 106629. [Google Scholar] [CrossRef]
- He, A.; Wang, K.; Li, T.; Du, C.; Xia, S.; Fu, H. H2Former: An Efficient Hierarchical Hybrid Transformer for Medical Image Segmentation. IEEE Trans. Med. Imaging 2023. [Google Scholar] [CrossRef]
- Song, Q.; Li, J.; Guo, H.; Huang, R. Denoised Non-Local Neural Network for Semantic Segmentation. IEEE Trans. Neural Netw. Learn. Syst. 2023, 1–13. [Google Scholar] [CrossRef]
- Zhang, H.; Hu, W.; Wang, X. Parc-net: Position aware circular convolution with merits from convnets and transformer. In Proceedings of the Computer Vision–ECCV 2022: 17th European Conference, Tel Aviv, Israel, 23–27 October 2022; Proceedings, Part XXVI. Springer: Berlin/Heidelberg, Germany, 2022; pp. 613–630. [Google Scholar]
- Azad, R.; Al-Antary, M.T.; Heidari, M.; Merhof, D. Transnorm: Transformer provides a strong spatial normalization mechanism for a deep segmentation model. IEEE Access 2022, 10, 108205–108215. [Google Scholar] [CrossRef]
- Huang, H.; Xie, S.; Lin, L.; Iwamoto, Y.; Han, X.; Chen, Y.W.; Tong, R. ScaleFormer: Revisiting the Transformer-Based Backbones from a Scale-Wise Perspective for Medical Image Segmentation. arXiv 2022, arXiv:2207.14552. [Google Scholar]
- Chalavadi, V.; Jeripothula, P.; Datla, R.; Ch, S.B. mSODANet: A network for multi-scale object detection in aerial images using hierarchical dilated convolutions. Pattern Recognit. 2022, 126, 108548. [Google Scholar] [CrossRef]
- Zhao, H.; Shi, J.; Qi, X.; Wang, X.; Jia, J. Pyramid scene parsing network. In Proceedings of the IEEE Conference on Computer Vision and Pattern Recognition, Honolulu, HI, USA, 21–26 July 2017; pp. 2881–2890. [Google Scholar]
- Liang, Y.; Zhang, Q.; Liu, Y. Automated Bladder Lesion Segmentation Based on Res-Unet. In Proceedings of the 2021 Chinese Intelligent Systems Conference, Fuzhou, China, 16–17 October 2021; pp. 606–613. [Google Scholar]
- Chen, L.C.; Zhu, Y.; Papandreou, G.; Schroff, F.; Adam, H. Encoder-decoder with atrous separable convolution for semantic image segmentation. In Proceedings of the European Conference on Computer Vision (ECCV), Munich, Germany, 8–14 September 2018; pp. 801–818. [Google Scholar]
- Chen, J.; Lu, Y.; Yu, Q.; Luo, X.; Adeli, E.; Wang, Y.; Lu, L.; Yuille, A.L.; Zhou, Y. Transunet: Transformers make strong encoders for medical image segmentation. arXiv 2021, arXiv:2102.04306. [Google Scholar]
- Gao, Z.J.; He, Y.; Li, Y. A Novel Lightweight Swin-Unet Network for Semantic Segmentation of COVID-19 Lesion in CT Images. IEEE Access 2022, 11, 950–962. [Google Scholar] [CrossRef]
- Contributors, M. MMSegmentation: OpenMMLab Semantic Segmentation Toolbox and Benchmark. 2020. Available online: https://github.com/open-mmlab/mmsegmentation (accessed on 10 April 2023).
- Li, X.; Wei, B.; Li, T.; Zhang, N. MwoA auxiliary diagnosis via RSN-based 3D deep multiple instance learning with spatial attention mechanism. In Proceedings of the 2020 11th International Conference on Awareness Science and Technology (iCAST), Qingdao, China, 7–9 December 2020; pp. 1–6. [Google Scholar]
- Fang, J.; Lin, H.; Chen, X.; Zeng, K. A hybrid network of cnn and transformer for lightweight image super-resolution. In Proceedings of the IEEE/CVF Conference on Computer Vision and Pattern Recognition, New Orleans, LA, USA, 18–24 June 2022; pp. 1103–1112. [Google Scholar]
- Alahmadi, M.D.; Alghamdi, W. Semi-Supervised Skin Lesion Segmentation with Coupling CNN and Transformer Features. IEEE Access 2022, 10, 122560–122569. [Google Scholar] [CrossRef]
- Luo, X.; Hu, M.; Song, T.; Wang, G.; Zhang, S. Semi-supervised medical image segmentation via cross teaching between cnn and transformer. In Proceedings of the International Conference on Medical Imaging with Deep Learning, Zurich, Switzerland, 6–8 July 2022; pp. 820–833. [Google Scholar]






| Model | Description |
|---|---|
| BaseNet | Vanilla ResUNet baseline |
| BaseTNet | baseline + LTE |
| BaseTPSPNet | baseline + LTE + PSP |
| LCANet | baseline + LTE + PSP + FSK |
| Model | JI(%) ↑ | DSC(%) ↑ | CPA(%) ↑ |
|---|---|---|---|
| BaseNet | 88.03 ± 0.69 | 92.39 ± 0.44 | 93.19 ± 1.14 |
| BaseTNet | 88.51 ± 0.79 | 93.59 ± 0.59 | 93.77 ± 0.39 |
| BaseTPSPNet | 89.12 ± 0.54 | 93.68 ± 0.46 | 93.19 ± 0.61 |
| LCANet | 89.39 ± 0.60 | 94.08 ± 0.37 | 94.10 ± 0.73 |
| Model | JI(%) ↑ | DSC(%) ↑ | CPA(%) ↑ |
|---|---|---|---|
| , and | 87.92 ± 1.15 | 92.45 ± 0.54 | 92.19 ± 1.23 |
| , and | 88.31 ± 0.84 | 93.62 ± 0.59 | 93.77 ± 0.93 |
| , and | 89.39 ± 0.60 | 94.08 ± 0.37 | 94.10 ± 0.73 |
| Model | JI(%) ↑ | DSC(%) ↑ | CPA(%) ↑ |
|---|---|---|---|
| PylNet [20] | 87.99 ± 0.61 | 93.20 ± 0.39 | 92.77 ± 0.83 * |
| Res-UNet [44] | 87.42 ± 0.63 | 92.83 ± 0.41 | 92.08 ± 0.73 |
| MD-UNet [19] | 88.81 ± 0.59 * | 92.92 ± 0.85 | 92.51 ± 1.11 |
| Dolz et al. [25] | 88.56 ± 0.37 | 93.56 ± 0.23 * | 92.73 ± 0.51 |
| MSEDTNet [21] | 88.22 ± 0.59 | 93.34 ± 0.38 | 92.45 ± 1.40 |
| UNet [11] | 86.48 ± 1.25 | 92.20 ± 0.83 | 91.10 ± 2.08 |
| DeepLabv3+ [45] | 83.11 ± 1.16 | 87.38 ± 0.74 | 85.32 ± 2.13 |
| TransUNet [46] | 81.02 ± 1.36 | 90.87 ± 1.01 | 92.54 ± 1.32 |
| Swin-UNet [33] | 78.43 ± 1.17 | 86.33 ± 0.95 | 83.02 ± 1.63 |
| LCANet | 89.39 ± 0.60 | 94.08 ± 0.37 | 94.10 ± 0.73 |
Disclaimer/Publisher’s Note: The statements, opinions and data contained in all publications are solely those of the individual author(s) and contributor(s) and not of MDPI and/or the editor(s). MDPI and/or the editor(s) disclaim responsibility for any injury to people or property resulting from any ideas, methods, instructions or products referred to in the content. |
© 2023 by the authors. Licensee MDPI, Basel, Switzerland. This article is an open access article distributed under the terms and conditions of the Creative Commons Attribution (CC BY) license (https://creativecommons.org/licenses/by/4.0/).
Share and Cite
Wang, Y.; Li, X.; Ye, X. LCANet: A Lightweight Context-Aware Network for Bladder Tumor Segmentation in MRI Images. Mathematics 2023, 11, 2357. https://doi.org/10.3390/math11102357
Wang Y, Li X, Ye X. LCANet: A Lightweight Context-Aware Network for Bladder Tumor Segmentation in MRI Images. Mathematics. 2023; 11(10):2357. https://doi.org/10.3390/math11102357
Chicago/Turabian StyleWang, Yixing, Xiang Li, and Xiufen Ye. 2023. "LCANet: A Lightweight Context-Aware Network for Bladder Tumor Segmentation in MRI Images" Mathematics 11, no. 10: 2357. https://doi.org/10.3390/math11102357
APA StyleWang, Y., Li, X., & Ye, X. (2023). LCANet: A Lightweight Context-Aware Network for Bladder Tumor Segmentation in MRI Images. Mathematics, 11(10), 2357. https://doi.org/10.3390/math11102357

