Plastid Molecular Chaperone HSP90C Interacts with the SecA1 Subunit of Sec Translocase for Thylakoid Protein Transport
Abstract
1. Introduction
2. Results
2.1. HSP90C Facilitates an Interaction with the SecA1 ATPase Motor Protein In Vivo
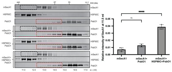
2.2. The Sec Client Protein May Mediate the HSP90C and SecA1 Interaction
3. Discussion
3.1. The Thylakoid Signaling Peptide Sequence Is Sufficient for cpSecA1 Recruitment
3.2. HSP90C and SecA1 May Interact through a Complex Established at the SecYE Channel or Form a Guiding Complex Mediated by the Sec Client Protein
4. Materials and Methods
4.1. Bimolecular Fluorescence Complementation (BiFC) and Transient Protein Expression Analysis
4.2. Fluorescence and Confocal Microscopy
4.3. Protein Expression, Purification in E. coli, and Size Exclusion Chromatography Analysis
4.4. Steady-State ATP Hydrolysis Activity Assay
4.5. In Vitro Chaperone Activity Assay
4.6. Antibodies
5. Conclusions
Supplementary Materials
Author Contributions
Funding
Data Availability Statement
Acknowledgments
Conflicts of Interest
References
- Dubrez, L.; Causse, S.; Borges Bonan, N.; Dumétier, B.; Garrido, C. Heat-Shock Proteins: Chaperoning DNA Repair. Oncogene 2020, 39, 516–529. [Google Scholar] [CrossRef]
- Li, W.; Chen, Y.; Ye, M.; Wang, D.; Chen, Q. Evolutionary History of the Heat Shock Protein 90 (Hsp90) Family of 43 Plants and Characterization of Hsp90s in Solanum Tuberosum. Mol. Biol. Rep. 2020, 47, 6679–6691. [Google Scholar] [CrossRef]
- Ponomarenko, M.; Stepanenko, I.; Kolchanov, N. Heat Shock Proteins. In Brenner’s Encyclopedia of Genetics, 2nd ed.; Maloy, S., Hughes, K., Eds.; Academic Press: San Diego, CA, USA, 2013; pp. 402–405. ISBN 978-0-08-096156-9. [Google Scholar]
- Jego, G.; Hazoumé, A.; Seigneuric, R.; Garrido, C. Targeting Heat Shock Proteins in Cancer. Cancer Lett. 2013, 332, 275–285. [Google Scholar] [CrossRef]
- Welch, W.J.; Feramisco, J.R. Purification of the Major Mammalian Heat Shock Proteins. J. Biol. Chem. 1982, 257, 14949–14959. [Google Scholar] [CrossRef]
- Lai, B.-T.; Chin, N.W.; Stanek, A.E.; Keh, W.; Lanks, K.W. Quantitation and Intracellular Localization of the 85K Heat Shock Protein by Using Monoclonal and Polyclonal Antibodies. Mol. Cell. Biol. 1984, 4, 2802–2810. [Google Scholar] [CrossRef]
- Finka, A.; Goloubinoff, P. Proteomic Data from Human Cell Cultures Refine Mechanisms of Chaperone-Mediated Protein Homeostasis. Cell Stress Chaperones 2013, 18, 591–605. [Google Scholar] [CrossRef]
- Prodromou, C. Mechanisms of Hsp90 Regulation. Biochem. J. 2016, 473, 2439–2452. [Google Scholar] [CrossRef]
- Zhao, R.; Davey, M.; Hsu, Y.-C.; Kaplanek, P.; Tong, A.; Parsons, A.B.; Krogan, N.; Cagney, G.; Mai, D.; Greenblatt, J.; et al. Navigating the Chaperone Network: An Integrative Map of Physical and Genetic Interactions Mediated by the Hsp90 Chaperone. Cell 2005, 120, 715–727. [Google Scholar] [CrossRef]
- Taipale, M.; Jarosz, D.F.; Lindquist, S. HSP90 at the Hub of Protein Homeostasis: Emerging Mechanistic Insights. Nat. Rev. Mol. Cell Biol. 2010, 11, 515–528. [Google Scholar] [CrossRef]
- Alberts, B.; Johnson, A.; Lewis, J.; Raff, M.; Roberts, K.; Walter, P. Chloroplasts and Photosynthesis, 4th ed.; Garland Science: New York, NY, USA, 2002. [Google Scholar]
- Cooper, G.M. Chloroplasts and Other Plastids. In The Cell: A Molecular Approach, 2nd ed.; Sinauer Associates Inc.: Sunderland, MA, USA, 2000. [Google Scholar]
- Foyer, C.H. Reactive Oxygen Species, Oxidative Signaling and the Regulation of Photosynthesis. Environ. Exp. Bot. 2018, 154, 134–142. [Google Scholar] [CrossRef] [PubMed]
- Hu, S.; Ding, Y.; Zhu, C. Sensitivity and Responses of Chloroplasts to Heat Stress in Plants. Front. Plant Sci. 2020, 11, 375. [Google Scholar] [CrossRef]
- Fu, Y.; Li, X.; Fan, B.; Zhu, C.; Chen, Z. Chloroplasts Protein Quality Control and Turnover: A Multitude of Mechanisms. Int. J. Mol. Sci. 2022, 23, 7760. [Google Scholar] [CrossRef] [PubMed]
- Inoue, H.; Li, M.; Schnell, D.J. An Essential Role for Chloroplast Heat Shock Protein 90 (Hsp90C) in Protein Import into Chloroplasts. Proc. Natl. Acad. Sci. USA 2013, 110, 3173–3178. [Google Scholar] [CrossRef] [PubMed]
- Willmund, F.; Schroda, M. HEAT SHOCK PROTEIN 90C Is a Bona Fide Hsp90 That Interacts with Plastidic HSP70B in Chlamydomonas Reinhardtii. Plant Physiol. 2005, 138, 2310–2322. [Google Scholar] [CrossRef] [PubMed]
- Rochaix, J.-D. Chloroplast Protein Import Machinery and Quality Control. FEBS J. 2022, 289, 6908–6918. [Google Scholar] [CrossRef]
- Jin, Z.; Wan, L.; Zhang, Y.; Li, X.; Cao, Y.; Liu, H.; Fan, S.; Cao, D.; Wang, Z.; Li, X.; et al. Structure of a TOC-TIC Supercomplex Spanning Two Chloroplast Envelope Membranes. Cell 2022, 185, 4788–4800. [Google Scholar] [CrossRef] [PubMed]
- Kikuchi, S.; Asakura, Y.; Imai, M.; Nakahira, Y.; Kotani, Y.; Hashiguchi, Y.; Nakai, Y.; Takafuji, K.; Bédard, J.; Hirabayashi-Ishioka, Y.; et al. A Ycf2-FtsHi Heteromeric AAA-ATPase Complex Is Required for Chloroplast Protein Import. Plant Cell 2018, 30, 2677–2703. [Google Scholar] [CrossRef] [PubMed]
- Li, H.; Schnell, D.; Theg, S.M. Protein Import Motors in Chloroplasts: On the Role of Chaperones. Plant Cell 2020, 32, 536–542. [Google Scholar] [CrossRef]
- Liu, H.; Li, A.; Rochaix, J.-D.; Liu, Z. Architecture of Chloroplast TOC–TIC Translocon Supercomplex. Nature 2023, 615, 349–357. [Google Scholar] [CrossRef]
- Zhu, D.; Xiong, H.; Wu, J.; Zheng, C.; Lu, D.; Zhang, L.; Xu, X. Protein Targeting Into the Thylakoid Membrane Through Different Pathways. Front. Physiol. 2022, 12. [Google Scholar] [CrossRef] [PubMed]
- Jiang, T.; Oh, E.S.; Bonea, D.; Zhao, R. HSP90C Interacts with PsbO1 and Facilitates Its Thylakoid Distribution from Chloroplast Stroma in Arabidopsis. PLoS ONE 2017, 12, 0190168. [Google Scholar] [CrossRef] [PubMed]
- Murakami, R.; Ifuku, K.; Takabayashi, A.; Shikanai, T.; Endo, T.; Sato, F. Functional Dissection of Two Arabidopsis PsbO Proteins: PsbO1 and PsbO2. FEBS J. 2005, 272, 2165–2175. [Google Scholar] [CrossRef] [PubMed]
- Jiang, T.; Mu, B.; Zhao, R. Plastid Chaperone HSP90C Guides Precursor Proteins to the SEC Translocase for Thylakoid Transport. J. Exp. Bot. 2020, 71, 7073–7087. [Google Scholar] [CrossRef] [PubMed]
- Haward, S.R.; Napter, J.A.; Gray, J.C. Chloroplast SecA Functions as a Membrane-Associated Component of the Sec-Like Protein Translocase of Pea Chloroplasts. Eur. J. Biochem. 1997, 248, 724–730. [Google Scholar] [CrossRef] [PubMed]
- Krishnamurthy, S.; Sardis, M.-F.; Eleftheriadis, N.; Chatzi, K.E.; Smit, J.H.; Karathanou, K.; Gouridis, G.; Portaliou, A.G.; Bondar, A.-N.; Karamanou, S.; et al. Preproteins Couple the Intrinsic Dynamics of SecA to Its ATPase Cycle to Translocate via a Catch and Release Mechanism. Cell Rep. 2022, 38, 110346. [Google Scholar] [CrossRef] [PubMed]
- Chen, W.; Komives, E.A. Open, Engage, Bind, Translocate: The Multi-Level Dynamics of Bacterial Protein Translocation. Structure 2021, 29, 781–782. [Google Scholar] [CrossRef] [PubMed]
- Vrontou, E.; Economou, A. Structure and Function of SecA, the Preprotein Translocase Nanomotor. Biochim. Biophys. Acta (BBA)—Mol. Cell Res. 2004, 1694, 67–80. [Google Scholar] [CrossRef] [PubMed]
- Gouridis, G.; Karamanou, S.; Sardis, M.F.; Schärer, M.A.; Capitani, G.; Economou, A. Quaternary Dynamics of the SecA Motor Drive Translocase Catalysis. Mol. Cell 2013, 52, 655–666. [Google Scholar] [CrossRef]
- Eismann, L.; Fijalkowski, I.; Galmozzi, C.V.; Koubek, J.; Tippmann, F.; Van Damme, P.; Kramer, G. Selective Ribosome Profiling Reveals a Role for SecB in the Co-Translational Inner Membrane Protein Biogenesis. Cell Rep. 2022, 41, 111776. [Google Scholar] [CrossRef]
- Ernst, I.; Haase, M.; Ernst, S.; Yuan, S.; Kuhn, A.; Leptihn, S. Large Conformational Changes of a Highly Dynamic Pre-Protein Binding Domain in SecA. Commun. Biol. 2018, 1, 130. [Google Scholar] [CrossRef]
- Li, Y.; Singhal, R.; Taylor, I.W.; McMinn, P.H.; Chua, X.Y.; Cline, K.; Fernandez, D.E. The Sec2 Translocase of the Chloroplast Inner Envelope Contains a Unique and Dedicated SECE2 Component. Plant J. 2015, 84, 647–658. [Google Scholar] [CrossRef]
- Liu, D.; Gong, Q.; Ma, Y.; Li, P.; Li, J.; Yang, S.; Yuan, L.; Yu, Y.; Pan, D.; Xu, F.; et al. cpSecA, a Thylakoid Protein Translocase Subunit, Is Essential for Photosynthetic Development in Arabidopsis. J. Exp. Bot. 2010, 61, 1655–1669. [Google Scholar] [CrossRef]
- Skalitzky, C.A.; Martin, J.R.; Harwood, J.H.; Beirne, J.J.; Adamczyk, B.J.; Heck, G.R.; Cline, K.; Fernandez, D.E. Plastids Contain a Second Sec Translocase System with Essential Functions. Plant Physiol. 2011, 155, 354–369. [Google Scholar] [CrossRef] [PubMed]
- Endow, J.K.; Singhal, R.; Fernandez, D.E.; Inoue, K. Chaperone-Assisted Post-Translational Transport of Plastidic Type I Signal Peptidase 1. J. Biol. Chem. 2015, 290, 28778–28791. [Google Scholar] [CrossRef] [PubMed]
- Yuan, P.; D’Lima, N.G.; Slavoff, S.A. Comparative Membrane Proteomics Reveals a Nonannotated E. Coli Heat Shock Protein. Biochemistry 2018, 57, 56–60. [Google Scholar] [CrossRef]
- Oliver, D.B.; Cabelli, R.J.; Dolan, K.M.; Jarosik, G.P. Azide-Resistant Mutants of Escherichia Coli Alter the SecA Protein, an Azide-Sensitive Component of the Protein Export Machinery. Proc. Natl. Acad. Sci. USA 1990, 87, 8227–8231. [Google Scholar] [CrossRef]
- Chada, N.; Chattrakun, K.; Marsh, B.P.; Mao, C.; Bariya, P.; King, G.M. Single-Molecule Observation of Nucleotide Induced Conformational Changes in Basal SecA-ATP Hydrolysis. Sci. Adv. 2018, 4, eaat8797. [Google Scholar] [CrossRef] [PubMed]
- Cunningham, C.N.; Krukenberg, K.A.; Agard, D.A. Intra- and Intermonomer Interactions Are Required to Synergistically Facilitate ATP Hydrolysis in Hsp90. J. Biol. Chem. 2008, 283, 21170–21178. [Google Scholar] [CrossRef]
- Hessling, M.; Richter, K.; Buchner, J. Dissection of the ATP-Induced Conformational Cycle of the Molecular Chaperone Hsp90. Nat. Struct. Mol. Biol. 2009, 16, 287–293. [Google Scholar] [CrossRef]
- Nørby, J.G. Coupled Assay of Na+,K+-ATPase Activity. In Methods in Enzymology; Biomembranes Part P: ATP-Driven Pumps and Related Transport: The Na,K-Pump; Academic Press: Cambridge, MA, USA, 1988; Volume 156, pp. 116–119. [Google Scholar]
- Fernandez, D. Two Paths Diverged in the Stroma: Targeting to Dual SEC Translocase Systems in Chloroplasts. Photosynth. Res. 2018, 138, 10–1007. [Google Scholar] [CrossRef] [PubMed]
- Trösch, R.; Jarvis, P. The Stromal Processing Peptidase of Chloroplasts Is Essential in Arabidopsis, with Knockout Mutations Causing Embryo Arrest after the 16-Cell Stage. PLoS ONE 2011, 6, e23039. [Google Scholar] [CrossRef] [PubMed]
- Gupta, R.; Toptygin, D.; Kaiser, C.M. The SecA Motor Generates Mechanical Force during Protein Translocation. Nat. Commun. 2020, 11, 3802. [Google Scholar] [CrossRef] [PubMed]
- Cranford-Smith, T.; Jamshad, M.; Jeeves, M.; Chandler, R.A.; Yule, J.; Robinson, A.; Alam, F.; Dunne, K.A.; Angarita, E.H.A.; Alanazi, M.; et al. Iron Is a Ligand of SecA-like Metal-Binding Domains in Vivo. J. Biol. Chem. 2020, 295, 7516–7528. [Google Scholar] [CrossRef] [PubMed]
- Schmidt, M.; Ding, H.; Ramamurthy, V.; Mukerji, I.; Oliver, D. Nucleotide Binding Activity of SecA Homodimer Is Conformationally Regulated by Temperature and Altered byprlD and Azi Mutations. J. Biol. Chem. 2000, 275, 15440–15448. [Google Scholar] [CrossRef] [PubMed]
- Fekkes, P.; de Wit, J.G.; Boorsma, A.; Friesen, R.H.E.; Driessen, A.J.M. Zinc Stabilizes the SecB Binding Site of SecA. Biochemistry 1999, 38, 5111–5116. [Google Scholar] [CrossRef] [PubMed]
- Jamshad, M.; Knowles, T.J.; White, S.A.; Ward, D.G.; Mohammed, F.; Rahman, K.F.; Wynne, M.; Hughes, G.W.; Kramer, G.; Bukau, B.; et al. The C-Terminal Tail of the Bacterial Translocation ATPase SecA Modulates Its Activity. eLife 2019, 8, e48385. [Google Scholar] [CrossRef] [PubMed]
- Miller, A.; Wang, L.; Kendall, D.A. SecB Modulates the Nucleotide-Bound State of SecA and Stimulates ATPase Activity. Biochemistry 2002, 41, 5325–5332. [Google Scholar] [CrossRef] [PubMed]
- Schulte, T.W.; Akinaga, S.; Soga, S.; Sullivan, W.; Stensgard, B.; Toft, D.; Neckers, L.M. Antibiotic Radicicol Binds to the N-Terminal Domain of Hsp90 and Shares Important Biologic Activities with Geldanamycin. Cell Stress Chaperones 1998, 3, 100–108. [Google Scholar] [CrossRef]
- Turbyville, T.J.; Wijeratne, E.M.K.; Liu, M.X.; Burns, A.M.; Seliga, C.J.; Luevano, L.A.; David, C.L.; Faeth, S.H.; Whitesell, L.; Gunatilaka, A.A.L. Search for Hsp90 Inhibitors with Potential Anticancer Activity: Isolation and SAR Studies of Radicicol and Monocillin I from Two Plant-Associated Fungi of the Sonoran Desert. J. Nat. Prod. 2006, 69, 178–184. [Google Scholar] [CrossRef]
- Roe, S.M.; Prodromou, C.; O’Brien, R.; Ladbury, J.E.; Piper, P.W.; Pearl, L.H. Structural Basis for Inhibition of the Hsp90 Molecular Chaperone by the Antitumor Antibiotics Radicicol and Geldanamycin. J. Med. Chem. 1999, 42, 260–266. [Google Scholar] [CrossRef] [PubMed]
- Bowler, M.W.; Montgomery, M.G.; Leslie, A.G.W.; Walker, J.E. How Azide Inhibits ATP Hydrolysis by the F-ATPases. Proc. Natl. Acad. Sci. USA 2006, 103, 8646–8649. [Google Scholar] [CrossRef] [PubMed]
- Fekkes, P.; De Wit, J.G.; Van Der Wolk, J.P.W.; Kimsey, H.H.; Kumamoto, C.A.; Driessen, A.J.M. Preprotein Transfer to the Escherichia Coli Translocase Requires the Co-Operative Binding of SecB and the Signal Sequence to SecA. Mol. Microbiol. 1998, 29, 1179–1190. [Google Scholar] [CrossRef] [PubMed]
- Randall, L.L.; Henzl, M.T. Direct Identification of the Site of Binding on the Chaperone SecB for the Amino Terminus of the Translocon Motor SecA. Protein Sci. 2010, 19, 1173–1179. [Google Scholar] [CrossRef] [PubMed][Green Version]
- De Geyter, J.; Portaliou, A.G.; Srinivasu, B.; Krishnamurthy, S.; Economou, A.; Karamanou, S. Trigger Factor Is a Bona Fide Secretory Pathway Chaperone That Interacts with SecB and the Translocase. EMBO Rep. 2020, 21, e49054. [Google Scholar] [CrossRef] [PubMed]
- Tsuda, K.; Abraham-Juarez, M.-J.; Maeno, A.; Dong, Z.; Aromdee, D.; Meeley, R.; Shiroishi, T.; Nonomura, K.; Hake, S. KNOTTED1 Cofactors, BLH12 and BLH14, Regulate Internode Patterning and Vein Anastomosis in Maize. Plant Cell 2017, 29, 1105–1118. [Google Scholar] [CrossRef]
- Oh, E.S.; Yeung, C.; Babaei-Rad, R.; Zhao, R. Cosuppression of the Chloroplast Localized Molecular Chaperone HSP90.5 Impairs Plant Development and Chloroplast Biogenesis in Arabidopsis. BMC Res. Notes 2014, 7, 643. [Google Scholar] [CrossRef]





Disclaimer/Publisher’s Note: The statements, opinions and data contained in all publications are solely those of the individual author(s) and contributor(s) and not of MDPI and/or the editor(s). MDPI and/or the editor(s) disclaim responsibility for any injury to people or property resulting from any ideas, methods, instructions or products referred to in the content. |
© 2024 by the authors. Licensee MDPI, Basel, Switzerland. This article is an open access article distributed under the terms and conditions of the Creative Commons Attribution (CC BY) license (https://creativecommons.org/licenses/by/4.0/).
Share and Cite
Nair, A.M.; Jiang, T.; Mu, B.; Zhao, R. Plastid Molecular Chaperone HSP90C Interacts with the SecA1 Subunit of Sec Translocase for Thylakoid Protein Transport. Plants 2024, 13, 1265. https://doi.org/10.3390/plants13091265
Nair AM, Jiang T, Mu B, Zhao R. Plastid Molecular Chaperone HSP90C Interacts with the SecA1 Subunit of Sec Translocase for Thylakoid Protein Transport. Plants. 2024; 13(9):1265. https://doi.org/10.3390/plants13091265
Chicago/Turabian StyleNair, Adheip Monikantan, Tim Jiang, Bona Mu, and Rongmin Zhao. 2024. "Plastid Molecular Chaperone HSP90C Interacts with the SecA1 Subunit of Sec Translocase for Thylakoid Protein Transport" Plants 13, no. 9: 1265. https://doi.org/10.3390/plants13091265
APA StyleNair, A. M., Jiang, T., Mu, B., & Zhao, R. (2024). Plastid Molecular Chaperone HSP90C Interacts with the SecA1 Subunit of Sec Translocase for Thylakoid Protein Transport. Plants, 13(9), 1265. https://doi.org/10.3390/plants13091265
