Genetic Diversity for Effective Resistance in Wheat Landraces from Ethiopia and Eritrea to Fungal Diseases and Toxic Aluminum Ions
Abstract
1. Introduction
- In many areas of these countries, acid soils predominate [36], and the selection of tolerant plants could take place during the durable growing of landraces.
- Three main VIR expeditions were performed to sample wheat landraces from Ethiopia and Eritrea: the first one was performed by N.I. Vavilov in 1927; the second was performed by F.F. Sidorov in 1959; and the third was conducted in 2012. The participants of this third expedition were A.M. Kudryavtsev, Yu.A. Stolpovsky (Institute of General Genetics, Moscow), N.P. Goncharov (Institute of Cytology and Genetics, Novosibirsk) and E.V. Zuev (VIR, St. Petersburg). These new entries have never been studied for the abovementioned traits.
2. Materials and Methods
2.1. Plant Material
2.2. Pathogen Material
2.3. Screening of Seedling Resistance to Diseases
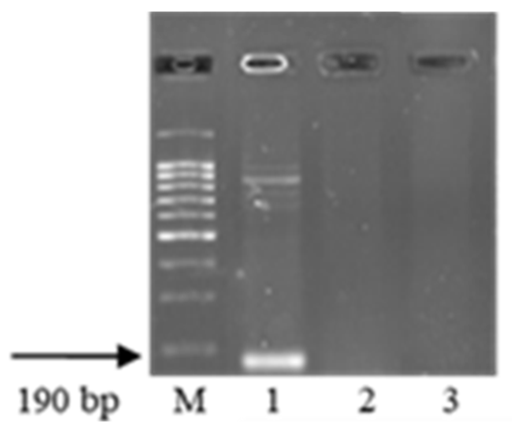
2.4. Identification of Effective Lr Genes with Molecular Markers
| Gene, Chromosome Localization | Marker | Primer Sequence (5′-3′) | Fragment Size (bp) | Reference |
|---|---|---|---|---|
| Lr9-6B | SCS5550 | TGC GCC CTT CAA AGG AAG TGC GCC CTT CTG AAC TGT AT | 550 | [49] |
| Lr19-7D | Gb | CAT CCT TGG GGA CCT C CCA GCT CGC ATA CAT CCA | 130 | [50] |
| Lr24-3D | SCS1302607 | CGC AGG TTC CAA ATA CTT TTC CGC AGG TTC TAC CTA ATG CAA | 607 | [51] |
| Lr41-1D | GDM35 | CCT GCT CTG CCC TAG ATA CG ATG TGA ATG TGA TGC ATG CA | 190 | [52] |
| Lr47-7A | PS10 | GCT GAT GAC CCT GAC CGG T TCT TCA TGC CCG GTC GGG T | 282 | [53] |
2.5. Screening of Seedling Resistance to Toxic Aluminum Ions
2.6. Adult Plant Resistance Screening
3. Results
3.1. Juvenile Resistance in Samples of Wheat Species to the Diseases
3.2. Adult Resistance in Samples of T. aethiopicum to the Diseases
3.3. Toxic Aluminum Ion Tolerance in Wheats
4. Discussion
5. Conclusions
Author Contributions
Funding
Data Availability Statement
Conflicts of Interest
References
- Germán, S.; Barcellos, A.; Chaves, M.; Kohli, M.; Campos, P.; Viedma, L. The situation of common wheat rusts in the Southern Cone of America and perspectives for control. Austr. J. Agric. Res. 2007, 58, 620–630. [Google Scholar] [CrossRef]
- Mehra, L.; Adhikari, U.; Cowger, C.; Ojiambo, P.S. Septoria nodorum blotch of wheat. PeerJ Prepr. 2018, 6, e27039v2. [Google Scholar]
- Chowdhury, A.K.; Singh, G.; Tyagi, B.S.; Ojha, A.; Dhar, T.; Bhattacharya, P.M. Spot blotch disease of wheat—A new thrust area for sustaining productivity. J. Wheat Res. 2013, 5, 1–11. [Google Scholar]
- Vedeneeva, M.L.; Markelova, T.S.; Kirillova, T.V.; Anikeeva, N.V. Strategy of wheat disease-resistant varieties breeding in Volga region 1. Leaf rust, powdery mildew, loose smut and bunt. AgroXXI 2002, 2, 12–13. (In Russian) [Google Scholar]
- Jamil, S.; Shahzad, R.; Ahmad, S.; Fatima, R.; Zahid, R.; Anwar, M.; Iqbal, M.Z.; Wang, X. Role of genetics, genomics, and breeding approaches to combat stripe rust of wheat. Front. Nutr. 2020, 7, 580715. [Google Scholar] [CrossRef] [PubMed]
- Spanic, V.; Matthew, N.R.; Kolmer, J.A.; Anderson, J.A. Leaf and stem seedling rust resistance in wheat cultivars grown in Croatia. Euphytica 2015, 203, 437–448. [Google Scholar] [CrossRef]
- Gessese, M.K. Description of wheat rusts and their virulence variations determined through annual pathotype surveys and controlled multi-pathotype tests. Adv. Agric. 2019, 2019, 2673706. [Google Scholar] [CrossRef]
- Singh, D.P.; Kumar, P. Role of spot blotch (Bipolaris sorokiniana) in deteriorating seed quality, its management in different wheat genotypes using fungicidal seed treatment. Indian Phytopath. 2008, 61, 49–54. [Google Scholar]
- Buendía-Ayala, B.L.; Martínez-Cruz, E.; Villaseñor, H.E.; Hortelano Santa Rosa, R.; Espitia-Rangel, E.; Buendía-González, M.O. The incidence of yellow rust and the industrial quality of the grain and the dough in bread wheat. Rev. Mex. Cienc. Agric. 2019, 10, 143–154. [Google Scholar]
- Panda, S.K.; Baluska, F.; Matsumoto, H. Aluminum stress signaling in plants. Plant Signal Behav. 2009, 4, 592–597. [Google Scholar] [CrossRef]
- Yakovleva, O.V. Phytotoxicity of aluminum ions. Proc. Appl. Bot. Genet. Breed. 2018, 179, 315–331. (In Russian) [Google Scholar] [CrossRef]
- Ofoe, R.; Thomas, R.H.; Asiedu, S.K.; Wang-Pruski, G.; Fofana, B.; Abbey, L. Aluminum in plant: Benefits, toxicity and tolerance mechanisms. Front. Plant Sci. 2023, 13, 1085998. [Google Scholar] [CrossRef] [PubMed]
- Kochian, L.V.; Piñeros, M.A.; Liu, J.; Magalhaes, J.V. Plant adaptation to acid soils: The molecular basis for crop aluminum resistance. Annu. Rev. Plant Biol. 2015, 66, 571–598. [Google Scholar] [CrossRef] [PubMed]
- Negisho, K.; Shibru, S.; Pillen, K.; Ordon, F.; Wehner, G. Genetic diversity of Ethiopian durum wheat landraces. PLoS ONE 2021, 16, e0247016. [Google Scholar] [CrossRef] [PubMed]
- Darko, E.; Barnabas, B.; Molnar-Lang, M. Characterization of newly developed wheat/barley introgression lines in respect of aluminum tolerance. Am. J. Plant Sci. 2012, 3, 1462–1469. [Google Scholar] [CrossRef]
- Vavilov, N.I. Selected Works in Two Volumes; Nauka: Leningrad, Russian, 1967; Volume 1, pp. 1–424. (In Russian) [Google Scholar]
- Vavilov, N.I. Origin and Geography of Cultivated Plants; Nauka: Leningrad, Russian, 1987; pp. 1–440. (In Russian) [Google Scholar]
- Tyryshkin, L.G.; Kolesova, M.A.; Kovaleva, M.M.; Lebedeva, T.V.; Zuev, E.V.; Brykova, A.N.; Gashimov, M.E. Current status of bread wheat and its relatives from VIR collection study for effective resistance to fungal diseases. In Proceedings of the 8th International Wheat Conference, Saint Petersburg, Russia, 1–4 June 2010; Dzyubenko, N.I., Ed.; N.I. Vavilov Research Institute of Plant Industry (VIR): Saint Petersburg, Russia, 2010; pp. 134–135. (In Russian). [Google Scholar]
- Tyryshkin, L.G.; Syukov, V.V.; Zaharov, V.G.; Zuev, E.V.; Gashimov, M.E.; Kolesova, M.A.; Chikida, N.N.; Ershova, M.A.; Belousova, M.H. Sources of effective resistance to fungal diseases in wheat and its relatives—Search, creation and use in breeding. Proc. Appl. Bot. Genet. Breed. 2012, 170, 187–201. (In Russian) [Google Scholar]
- Kolesova, M.A.; Lysenko, N.S.; Tyryshkin, L.G. Resistance to diseases in samples of rare wheat species from the N.I. Vavilov All-Russian Institute of Plant Genetic Resources. Cereal Res. Comm. 2022, 50, 287–296. [Google Scholar] [CrossRef]
- Tyryshkin, L.G.; Lysenko, N.S.; Kolesova, M.A. Effective resistance to four fungal foliar diseases in samples of wild Triticum L. species from the VIR (N.I. Vavilov All-Russian Institute of Plant Genetic Resources) collection: View from Vavilov’s concepts of plant immunity. Plants 2022, 11, 3467. [Google Scholar] [CrossRef] [PubMed]
- Meshkova, L.V.; Rosseeva, L.P.; Korenyuk, E.A.; Belan, I.A. Dynamics of distribution of the wheat leaf rust pathotypes virulent to the cultivars with Lr9 gene in Omsk region. Mikol. Fitopatol. 2012, 46, 397–400. (In Russian) [Google Scholar]
- Leonova, I.N.; Skolotneva, E.S.; Salina, E.A. Genome-wide association study of leaf rust resistance in Russian spring wheat varieties. BMC Plant Biol. 2020, 20, 135. [Google Scholar] [CrossRef]
- Skolotneva, E.S.; Leonova, I.N.; Bukatich, E.Y.; Boiko, N.I.; Piskarev, V.V.; Salina, E.A. Effectiveness of leaf rust resistance genes against Puccinia triticina populations in Western Siberia during 2008–2017. J. Plant Dis. Prot. 2018, 125, 549–555. [Google Scholar] [CrossRef]
- Markelova, T.S. Study of the structure and variability of the wheat brown rust population in the Volga region. AgroXXI 2007, 4–6, 37–40. (In Russian) [Google Scholar]
- Sibikeev, S.N.; Konkova, E.A.; Salmova, M.F. Characteristic of the bread wheat leaf rust pathogen virulence in the Saratov region conditions. Agrar. Sci. J. 2020, 41, 940–944. (In Russian) [Google Scholar] [CrossRef]
- Plotnikova, L.Y.; Meshkova, L.V.; Gultyaeva, E.I.; Mitrofanova, O.P.; Lapochkina, I.F. A tendency towards leaf rust resistance decrease in common wheat introgression lines with genetic material from Aegilops speltoides Tausch. Vavilov J. Genet. Breed. 2018, 22, 560–567. (In Russian) [Google Scholar] [CrossRef]
- Agapova, V.D.; Vaganova, O.F.; Volkova, G.V. The efficiency of juvenile genes of orange leaf rust resistance of winter wheat during the germinal phase in the climate of the Russian south. Int. Res. J. 2020, 8, 163–167. (In Russian) [Google Scholar]
- Lebedeva, T.V.; Zuev, E.V.; Brykova, A.N. Prospects of employing modern European cultivars of spring bread wheat in the breeding for powdery mildew resistance in the Northwestern region of Russia. Proc. Appl. Bot. Genet. Breed. 2019, 180, 170–176. (In Russian) [Google Scholar] [CrossRef][Green Version]
- Lebedeva, T.V.; Brykova, A.N.; Zuev, E.V. Powdery mildew resistance of Nordic spring bread wheat accessions from the Collection of the Vavilov Institute (VIR). Proc. Appl. Bot. Genet. Breed. 2020, 181, 146–154. (In Russian) [Google Scholar] [CrossRef]
- Gultyaeva, E.; Shaydayuk, E. Resistance of modern Russian winter wheat cultivars to yellow rust. Plants 2023, 12, 3471. [Google Scholar] [CrossRef] [PubMed]
- Vozhzhova, N.N.; Kupreyshvili, N.T.; Myshastaya, A.Y.; Yatsyna, A.A.; Derova, T.G.; Marchenko, D.M. Identification of yellow rust resistance gene Yr24 in the collection material of winter soft wheat. Grain Econ. Russ. 2018, 1, 35–37. (In Russian) [Google Scholar] [CrossRef]
- Kosareva, I.A.; Semenova, E.V.; Kravchuk, N.D.; Brykova, A.N.; Kudryavtseva, E.Y.; Zuev, E.V. Spring common wheat: Description of accessions according to their resistance to aluminum toxicity of acidic soils. In Catalogue of the VIR Global Collection of VIR; N.I. Vavilov All-Russian Institute of Plant Genetic Resources: Saint Petersburg, Russia, 2022; Volume 938, pp. 1–44. (In Russian) [Google Scholar]
- Amunova, O.S.; Lisitsyn, E.M. Comparative aluminum-resistance of soft spring wheat varieties bred in Siberia and European part of Russia. Agric. Sci. Euro-North-East 2014, 5, 4–9. (In Russian) [Google Scholar]
- Lisitsyn, E.M.; Amunova, O.S. Genetic variability of spring common wheat varieties in aliminum tolerance. Vavilov J. Genet. Breed. 2014, 18, 497–505. (In Russian) [Google Scholar]
- Wayima, E.F.; Ligaba-Osena, A.; Dagne, K.; Tesfaye, K.; Machuka, E.M.; Mutiga, S.K.; Delhaize, E. Screening of diverse Ethiopian durum wheat accessions for aluminum tolerance. Agron. J. 2019, 9, 440. [Google Scholar] [CrossRef]
- Encyclopedia Britannica. Available online: https://www.britannica.com/ (accessed on 14 January 2024).
- Vavilov, N.I. The doctrine of the origin of cultivated plants after Darwin. Soviet Sci. 1940, 2, 55–75. (In Russian) [Google Scholar]
- Vavilov, N.I. Plant Immunity to Infectious Diseases; Nauka: Moskva, Russian, 1986; pp. 1–520. (In Russian) [Google Scholar]
- Dorofeev, V.F.; Filatenko, A.A.; Migushova, E.F.; Udachin, R.A.; Jacubziner, M.M. Cultural Flora of USSR. Wheat; Kolos: Leningrad, Russia, 1979; pp. 1–348. (In Russian) [Google Scholar]
- Dorofeev, V.F.; Udachin, R.A.; Semenova, L.V.; Novikova, M.V.; Gradchaninova, O.D.; Shitova, I.P.; Merezhko, A.F.; Filatenko, A.A. Wheats of the World, 2nd ed.; Agropromisdat: Leningrad, Russia, 1987; pp. 1–560. (In Russian) [Google Scholar]
- Mac Key, J. Wheat: Its concept, evolution and taxonomy. In Durum Wheat, Current Approaches, Future Strategies; Royo, C., Di Fonzo, N., Eds.; CRC Pres: Boca Raton, FL, USA, 2005; Volume 1, pp. 3–61. [Google Scholar]
- Mains, E.B.; Jackson, H.S. Physiological specialization in leaf rust of wheat Puccinia triticina Erikss. Phytopathology 1926, 16, 89–120. [Google Scholar]
- Krivchenko, V.I.; Lebedeva, T.V.; Peusha, K.O. Powdery mildew of cereals. In Studying Genetic Cereal Crops Resources for Resistance to Harmful Organisms (Methods); Radchenko, E.E., Ed.; Russian Agricultural Academy: Moscow, Russia, 2008; pp. 86–105. (In Russian) [Google Scholar]
- McIntosh, R.A.; Wellings, C.R.; Park, R.F. Wheat Rust—An Atlas of Resistance Genes; CSIRO Publications: Melbourne, Australia, 1995; pp. 1–200. [Google Scholar]
- McIntosh, R.A.; Yamazaki, Y.; Dubcovsky, J.; Rogers, J.; Morris, C.; Appels, R.; Xia, X.C. Catalogue of Gene Symbols for Wheat. 2013. Available online: https://shigen.nig.ac.jp/wheat/komugi/genes/macgene/2013/GeneSymbol.pdf (accessed on 9 April 2024).
- Edwards, K.; Johnstone, C.; Thompson, C. A simple and rapid method for the preparation of plant genomic DNA for PCR analysis. Nucleic Acids Res. 1991, 19, 1349. [Google Scholar] [CrossRef] [PubMed]
- Dorokhov, D.B.; Klocke, E. A rapid and economic technique for RAPD analysis of plant genomes. Russ. J. Genet. 1997, 33, 358–365. [Google Scholar]
- Gupta, S.K.; Charpe, A.; Koul, S.; Prabhu, K.V.; Haq, Q.M.R. Development and validation of molecular markers linked to an Aegilops umbellulate-derived leaf-rust-resistance gene, Lr9, for marker-assisted selection in bread wheat. Genome 2005, 48, 823–830. [Google Scholar] [CrossRef] [PubMed]
- Prins, R.; Groenewald, J.Z.; Marais, G.F.; Snape, J.W.; Koebner, R.M.D. AFLP and STS tagging of Lr19, a gene conferring resistance to leaf rust in wheat. Theor. Appl. Genet. 2001, 103, 618–624. [Google Scholar] [CrossRef]
- Gupta, S.K.; Charpe, A.; Koul, S.; Haque, Q.M.R.; Prabhu, K.V. Development and validation of SCAR Markers co-segregating with an Agropyron elongatum derived leaf rust resistance gene Lr24 in wheat. Euphytica 2006, 150, 233–240. [Google Scholar] [CrossRef]
- Singh, S.; Franks, C.D.; Huang, L.; Brown-Guedira, G.L.; Marshall, D.S.; Gill, B.S.; Fritz, A. Lr41, Lr39, and a leaf rust resistance gene from Aegilops cylindrica may be allelic and are located on wheat chromosome 2DS. Theor. Appl. Genet. 2004, 108, 586–591. [Google Scholar] [CrossRef]
- Helguera, M.; Khan, I.A.; Dubcovsky, J. Development of PCR markers for the wheat leaf rust resistance gene Lr47. Theor. Appl. Genet. 2000, 100, 1137–1143. [Google Scholar] [CrossRef]
- Yakovleva, O.V.; Kapeshinskiy, A.M.; Kovaleva, O.N. Aluminum toxic ions tolerance in cultivated and wild barley. Proc. Appl. Bot. Genet. Breed. 2009, 165, 51–54. (In Russian) [Google Scholar]
- Yakovleva, O.V. Aluminum resistance of malting barley. Proc. Appl. Bot. Genet. Breed. 2021, 182, 126–131. (In Russian) [Google Scholar] [CrossRef]
- Mikhailova, L.A.; Kovalenko, N.M.; Smurova, S.G.; Ternyuk, I.G.; Mitrofanova, O.P.; Lyapunova, O.A.; Zuev, E.V.; Chikida, N.N.; Loskutova, N.P.; Pyukkenen, V.P. Resistance of Triticum L. and Aegilops L. species from the VIR collection to tan and dark-brown leaf spots (catalogue). In Catalogue; All-Russian Institute of Plant Protection: Saint Petersburg, Russia, 2007; pp. 1–60. (In Russian) [Google Scholar]
- Vavilov, N.I. The wheats of Abyssinia and their place in the general system of wheats: (a contribution to the knowledge of the 28 chromosomes group of cultivated wheats). Bull. Appl. Bot. Genet. Plant Breed. Suppl. 1931, 51, 209–211. (In Russian) [Google Scholar]
- Lebedeva, T.V.; Zuev, E.V. Inheritance of powdery mildew resistance in selected spring bread wheat accessions from the VIR collection. Vavilovia 2018, 1, 18–24. (In Russian) [Google Scholar] [CrossRef]
- Smurova, S.G.; Mikhailova, L.A. Sources of resistance to wheat spot blotch. Russ. Agric. Sci. 2007, 33, 378–380. [Google Scholar] [CrossRef]
- Veselova, S.; Nuzhnaya, T.; Burkhanova, G.; Rumyantsev, S.; Maksimov, I. Reactive oxygen species in host plant are required for an early defense response against attack of Stagonospora nodorum Berk. necrotrophic effectors SnTox. Plants 2021, 10, 1586. [Google Scholar] [CrossRef] [PubMed]
- Nuzhnaya, T.; Veselova, S.; Burkhanova, G.; Rumyantsev, S.; Shoeva, O.; Shein, M.; Maksimov, I. Novel sources of resistance to Stagonospora nodorum and role of effector-susceptibility gene interactions in wheat of Russian breeding. Int. J. Plant Biol. 2023, 14, 377–396. [Google Scholar] [CrossRef]
- Riaz, A.; Athiyannan, N.; Periyannan, S.; Afanasenko, O.; Mitrofanova, O.; Aitken, E.A.B.; Lagudah, E.; Hickey, L.T. Mining Vavilov’s treasure chest of wheat diversity for adult plant resistance to Puccinia triticina. Plant Dis. 2017, 101, 317–323. [Google Scholar] [CrossRef] [PubMed]
- Riaz, A.; Athiyannan, N.; Periyannan, S.K.; Afanasenko, O.; Mitrofanova, O.P.; Platz, G.J.; Aitken, E.A.B.; Snowdon, R.J.; Lagudah, E.S.; Hickey, L.T.; et al. Unlocking new alleles for leaf rust resistance in the Vavilov wheat collection. Theor. Appl. Genet. 2018, 131, 127–144. [Google Scholar] [CrossRef]
- Phan, H.T.T.; Rybak, K.; Bertazzoni, S.; Furuki, E.; Dinglasan, E.; Hickey, L.T.; Oliver, R.P.; Tan, K.C. Novel sources of resistance to Septoria nodorum blotch in the Vavilov wheat collection identified by genome-wide association studies. Theor. Appl. Genet. 2018, 131, 1223–1238. [Google Scholar] [CrossRef]
- Petrova, N.S.; Kurbanova, P.M.; Kolesova, M.A.; Tyryshkin, L.G. Prospects of searching for sources of effective diseases resistance among landraces of barley Hordeum vulgare L. and wheat Triticum aestivum L. In Proceedings of the conference of young Scientists and Graduate Students “The Relevance of N.I. Vavilov’s Legacy for the Development of Biological and Agricultural Sciences”, Saint Petersburg, Russia, 20–21 March 2012; pp. 39–45. (In Russian). [Google Scholar]
- Dzhenin, S.V.; Lapochkina, I.F.; Zhemchuzhina, A.I.; Kovalenko, E.D. Donors of spring wheat resistant to the leaf rust with the genetic material of Aegilops speltoides L., Aegilops triuncialis L., Triticum kiharae Dorof. et Migusñh. Russ. Agric. Sci. 2009, 5, 3–7. (In Russian) [Google Scholar]
- Gajnullin, N.R.; Lapochkina, I.F.; Zhemchuzhina, A.I.; Kiseleva, M.I.; Kolomiets, T.M.; Kovalenko, E.D. Phytopathological and molecular genetic identification of leaf rust resistance genes in common wheat accessions with alien genetic material. Russ. J. Genet. 2007, 43, 875–881. [Google Scholar] [CrossRef]
- Hovhannisyan, N.A.; Dulloo, M.E.; Yesayan, A.H.; Knüpffer, H.; Amri, A. Tracking of powdery mildew and leaf rust resistance genes in Triticum boeoticum and T. urartu, wild relatives of common wheat. Czech J. Genet. Plant Breed. 2011, 47, 45–57. [Google Scholar] [CrossRef]
- Gultyaeva, E.I.; Orina, A.S.; Gannibal, P.B.; Mitrofanova, O.P.; Odintsova, I.G.; Laikova, L.I. The effectiveness of molecular markers for the identification of Lr28, Lr35, and Lr47 genes in common wheat. Russ. J. Genet. 2014, 50, 131–139. [Google Scholar] [CrossRef]
- Goncharov, N.P.; Boguslavsky, R.L.; Orlova, E.A.; Belousova, M.K.; Aminov, N.K.; Konovalov, A.A.; Kondratenko, E.Y.; Gultyaeva, E.I. Leaf rust resistance in wheat amphidiploids. Let. Vavilov J. Genet. Breed. 2020, 6, 95–106. (In Russian) [Google Scholar]
- Liu, W.; Maccaferri, M.; Rynearson, S.; Letta, T.; Zegeye, H.; Tuberosa, R.; Chen, X.; Pumphrey, M. Novel sources of stripe rust resistance identified by genome-wide association mapping in Ethiopian durum wheat (Triticum turgidum ssp. durum). Front. Plant Sci. 2017, 8, 774. [Google Scholar] [CrossRef]
- McIntosh, R.A.; Dubcovsky, J.; Rogers, W.J.; Xia, X.C.; Raupp, W.J.V. Catalogue of Gene Symbols for Wheat: 2022 Supplement. Annu. Wheat Newsl. 2022, 68. Available online: https://wheat.pw.usda.gov/GG3/sites/default/files/Catalogue%20of%20Gene%20Symbols%20for%20Wheat%20-%20supplement2020.pdf (accessed on 9 April 2024).
- Gultyaeva, E.I.; Shaydayuk, E.L.; Smirnova, R.E.; Abdullaev, K.M.; Kurkiev, K.U. Virulence diversity of the yellow rust pathogen population in Dagestan. Proc. Appl. Bot. Genet. Breed. 2023, 184, 190–204. (In Russian) [Google Scholar] [CrossRef]
- Tyryshkin, L.G. Modification Variability of Virulence and Aggressiveness in Phytopathogens of Cereal Crops: Conclusions, Consequences, Possibilities of Practical Application; Saint Petersburg State Agrarian University: Saint Petersburg, Russia, 2016; pp. 1–137. (In Russian) [Google Scholar]
- Shikhmuradov, A.Z. Adaptive potential of tetraploid wheat species resistance to the effect of salt stress. J. Nat. Exact Sci. Dagestan State Pedagog. Univ. 2010, 4, 64–69. (In Russian) [Google Scholar]
- Stepochkin, P.I.; Gordeeva, E.I.; Khlestkina, E.K. Marker-assisted breeding of hybrid lines of Triticum dicoccon (Schrank) Schuebl. × Triticum aethiopicum Jakubz. with purple grain. Proc. Appl. Bot. Genet. Breed. 2023, 184, 139–148. (In Russian) [Google Scholar] [CrossRef]
- Gilev, S.D.; Tsymbalenko, I.N.; Kopylov, A.N.; Filippova, E.A.; Kozlova, T.A. Emmer wheat is a promising grain crop for organic agriculture. Grain Econ. Russ. 2018, 4, 6–11. (In Russian) [Google Scholar] [CrossRef]
- Makarova, N.A.; Lebedeva, T.V.; Radchenko, E.E. Wheat. (Immunological characteristics of rare species). In Catalogue of the VIR World Collection; N.I. Vavilov All-Russian Institute of Plant Industry: Saint Petersburg, Russia, 1993; Volume 640, pp. 1–59. (In Russian) [Google Scholar]

















| Wheat Species | Number of Accessions | ||
|---|---|---|---|
| from Ethiopia | from Eritrea | Total | |
| T. aestivum L. | 62 | 60 | 122 |
| T. aethiopicum Jakubz. | 326 | 14 | 340 |
| T. dicoccum (Schrank.) Schuebl. | 40 | 1 | 41 |
| T. polonicum L. | 6 | - | 6 |
| Total | 434 | 75 | 509 |
| VIR Catalogue No. kk- | Origin | Collecting Site | Latitude | Longitude | Height, m | Types of Reaction to Pst | |
|---|---|---|---|---|---|---|---|
| Seedlings | Flag Leaves | ||||||
| 18983 | ETH | t. Harer | E 42 07 | N 09 18 | - | 0 | 0 |
| 18987 | ETH | t. Harer | E 42 07 | N 09 18 | - | 0 | 0 |
| 43776 | ERI | t. Asmara, experimental station | E 38 55 | N 15 20 | 2317 | 0 | 0 |
| 44521 | ETH | Oromia, near from t. Addis-Abba | E 38 44 | N 09 01 | - | 0 | 0 |
| 45990 | ERI | t. Asmara, experimental station | E 38 55 | N 15 20 | 2317 | 0 | 0 |
| 61012 | ETH | Oromia, region t. Addis-Ababa, way to NW | E 38 33 | N 09 13 | 2470 | 0 | 0 |
| 61021 | ETH | Oromia, region t. Addis-Ababa | E 38 33 | N 09 03 | 2580 | 0 | 0 |
| 61025 | ETH | Oromia, region t. Addis-Ababa, way to NW | E 38 36 | N 09 12 | 2440 | 0 | 0 |
| 61028 | ETH | Oromia, region t. Addis-Ababa, way to NE | E 39 14 | N 09 18 | 2760 | 0 | 0 |
| 61048 | ETH | Oromia, region t. Adis-Alem | E 38 26 | N 09 09 | 2700 | 0 | 0 |
| 61049 | ETH | Oromia, region t. Adis-Alem | E 38 26 | N 09 09 | 2700 | 0 | 0 |
| 61053 | ETH | Oromia, region t. Addis-Ababa, way to NW | E 38 33 | N 09 12 | 2540 | 0 | 0 |
| 61396 | ETH | Oromia, region t. Addis-Ababa, way to NE | E 39 14 | N 09 18 | 2760 | 0 | 0 |
| 61409 | ETH | Oromia, region t. Addis-Ababa, way to N | E 38 50 | N 09 42 | 2560 | 0 | 0 |
| 61411 | ETH | Oromia, region t. Addis-Ababa, way to N | E 38 50 | N 09 42 | 2560 | 0 | 0 |
| 61416 | ETH | Oromia, region t. Addis-Ababa | E 38 33 | N 09 03 | 2580 | 0 | 0 |
| 61422 | ETH | Region Shewa | E 38 00 | N 08 00 | 2180 | 0 | 0 |
| 61430 | ETH | Region Shewa | E 38 00 | N 08 00 | 2180 | 0 | 0 |
| 65969 | ETH | Oromia, along the road Arusi | E 39 45 | N 07 57 | 2720 | 0 | 0 |
| 67875 | ETH | Amhara, district Amba Gorgis | E 37 41 | N 12 48 | 2750 | 0 | 0 |
| 67876 | ETH | Amhara, Goja, district Dangola | E 36 46 | N 11 21 | 2160 | 0 | 0 |
| 67879 | ETH | Harari, district Celenco haro | E 41 36 | N 09 24 | 2244 | 0 | 0 |
| 67883 | ETH | Oromia, district Segen, village Ana Degum | E 38 33 | N 09 51 | 2913 | 0 | 0 |
| 67885 | ETH | Harari, village Chelenko | E 41 34 | N 09 21 | 2155 | 0 | 0 |
| 67891 | ETH | Amhara, 9 km north of Addis-Ababa | E 38 42 | N 09 07 | 2530 | 0 | 0 |
| 67892 | ETH | Amhara, a market near the city Addis-Ababa | E 38 50 | N 09 07 | 2639 | 0 | 0 |
| 67897 | ETH | Amhara, a market near the city Addis-Ababa | E 38 50 | N 09 07 | 2639 | 0 | 0 |
| 67898 | ETH | Amhara, a market near the city Addis-Ababa | E 38 50 | N 09 07 | 2639 | 0 | 0 |
| 67901 | ETH | Amhara, Gondor, district Debark, village Deber | E 37 56 | N 13 08 | 2830 | 0 | 0 |
| 68208 | ETH | Amhara, Gondor, district Gondor Zura | E 37 30 | N 12 44 | 2806 | 0 | 0 |
| 68212 | ETH | Amhara, Gondor, district Amba Gorgis | E 37 41 | N 12 48 | 2697 | 0 | 0 |
| 68217 | ETH | Oromia, the road to Debre Marcos-Features | E 38 14 | N 10 02 | 2276 | 0 | 0 |
| 68222 | ETH | Amhara, on the way Addis-Ababa-Debre-Birhan | E 39 17 | N 09 19 | 2876 | 0 | 0 |
| 68223 | ETH | Amhara, on the way Addis-Ababa-Debre-Birhan | E 39 17 | N 09 19 | 2876 | 0 | 0 |
| 68228 | ETH | Oromia, district Chencho | E 38 55 | N 09 05 | 2442 | 0 | 0 |
| 68230 | ETH | Harari, district Hula Jeneta | E 41 48 | N 09 09 | 2450 | 0 | 0 |
| 68231 | ETH | Harari, district Chelenko | E 41 36 | N 09 24 | - | 0 | 0 |
| 68233 | ETH | Amhara, near the city Bahir Dar | E 36 54 | N 11 35 | 2048 | 0 | 0 |
| 68238 | ETH | Amhara, Gondor, district Tikil Dingay | E 37 30 | N 12 43 | 2675 | 0 | 0 |
| 68241 | ETH | Amhara, Gondor, district Gondor Zura | E 37 30 | N 12 44 | 2806 | 0 | 0 |
| 68244 | ETH | Amhara, (Gondor), district Amba Giorgis | E 37 41 | N 12 48 | 2750 | 0 | 0 |
| 68249 | ETH | Amhara, district Ancober, village Ancober Cheffa | E 39 44 | N 09 35 | 2720 | 0 | 0 |
| 68264 | ETH | Amhara, district Segen, village Yetenora | E 38 08 | N 10 16 | 2330 | 0 | 0 |
| 68267 | ETH | Amhara, district Ejere | E 38 24 | N 10 04 | 2200 | 0 | 0 |
| 68269 | ETH | Oromia, district Segen, village Ana Degum | E 38 33 | N 09 51 | 2913 | 0 | 0 |
| 68270 | ETH | Oromia, district Gerar Jarso, village Chage/Worku | E 38 48 | N 09 39 | 2496 | 0 | 0 |
| 68273 | ETH | Oromia, district Debre Tsige, village Tere | E 38 48 | N 09 39 | 2624 | 0 | 0 |
| 68281 | ETH | Oromia, district Chencho, v. Gende Gorfo | E 38 52 | N 09 26 | 2597 | 0 | 0 |
| 68283 | ETH | Oromia, district Chencho, v. Gende Gorfo | E 38 52 | N 09 26 | 2597 | 0 | 0 |
| 68284 | ETH | Oromia, district Chencho | E 38 55 | N 09 05 | 2442 | 0 | 0 |
| 68285 | ETH | Oromia, district Chencho | E 38 55 | N 09 05 | 2442 | 0 | 0 |
| 68290 | ETH | Amhara, district Ancober | E 39 44 | N 09 35 | 2622 | 0 | 0 |
| VIR Catalogue No. kk- | Origin | Collecting Site | Latitude | Longitude | Height, m | Index of Root Length |
|---|---|---|---|---|---|---|
| 43749 | ETH | Oromia, t. Yirga-Alem, market | E 38 24 | N 06 44 | 1755 | 0.87 |
| 43755 | ETH | Oromia, near from t. Addis-Alem | E 32 56 | N 09 02 | 2274 | 0.85 |
| 43760 | ETH | Amhara, t. Gonder, market | E 37 27 | N 12 36 | 2135 | 0.83 |
| 43775 | ERI | Maekel, Experimental station, t. Asmara | E 38 55 | N 15 20 | 2317 | 0.85 |
| 43777 | ERI | Maekel, Experimental station, t. Asmara | E 38 55 | N 15 20 | 2317 | 0.84 |
| 44512 | ETH | Oromia, t. Addis-Alem, 30 km to E from t. Ambo | E 38 23 | N 09 02 | - | 0.81 |
| 65893 | ETH | Tigre, 20 km to NW from t. Mek’le | E 39 35 | N 13 38 | 2260 | 0.86 |
| 65894 | ETH | Tigre, v. Marafluba | E 38 58 | N 14 00 | 1800 | 0.95 |
| 67822 | ETH | Amhara, region Yalika | E 37 29 | N 12 40 | 2031 | 0.98 |
| 67831 | ETH | Amhara, region Debre Berkhan, 2 km to East | E 39 33 | N 09 40 | - | 0.83 |
| 67992 | ERI | Asmara, v. Hezega | E 38 57 | N 15 20 | 2317 | 0.83 |
| 67997 | ERI | v. Mendefera | E 38 48 | N 14 52 | 1909 | 0.84 |
| 67998 | ERI | v. Dubaruwa | E 38 51 | N 15 04 | 1856 | 0.81 |
| 67999 | ERI | v. Mendefera | E 38 48 | N 14 52 | 1933 | 0.84 |
| 68104 | ERI | Asmara, v. Hezega | E 38 57 | N 15 20 | 2062 | 0.81 |
| 68105 | ERI | v. Mendefera | E 38 48 | N 14 52 | 1898 | 0.85 |
| 68108 | ERI | t. Dek’emhare | E 39 03 | N 15 04 | 1904 | 0.88 |
| 68109 | ERI | Asmara, v. Hezega | E 38 57 | N 15 20 | 2176 | 0.82 |
| 68113 | ERI | – | – | – | – | 0.91 |
| 68118 | ERI | Asmara, v. Hezega | E 38 57 | N 15 20 | 2337 | 0.95 |
Disclaimer/Publisher’s Note: The statements, opinions and data contained in all publications are solely those of the individual author(s) and contributor(s) and not of MDPI and/or the editor(s). MDPI and/or the editor(s) disclaim responsibility for any injury to people or property resulting from any ideas, methods, instructions or products referred to in the content. |
© 2024 by the authors. Licensee MDPI, Basel, Switzerland. This article is an open access article distributed under the terms and conditions of the Creative Commons Attribution (CC BY) license (https://creativecommons.org/licenses/by/4.0/).
Share and Cite
Zuev, E.V.; Lebedeva, T.V.; Yakovleva, O.V.; Kolesova, M.A.; Brykova, A.N.; Lysenko, N.S.; Tyryshkin, L.G. Genetic Diversity for Effective Resistance in Wheat Landraces from Ethiopia and Eritrea to Fungal Diseases and Toxic Aluminum Ions. Plants 2024, 13, 1166. https://doi.org/10.3390/plants13081166
Zuev EV, Lebedeva TV, Yakovleva OV, Kolesova MA, Brykova AN, Lysenko NS, Tyryshkin LG. Genetic Diversity for Effective Resistance in Wheat Landraces from Ethiopia and Eritrea to Fungal Diseases and Toxic Aluminum Ions. Plants. 2024; 13(8):1166. https://doi.org/10.3390/plants13081166
Chicago/Turabian StyleZuev, Evgeny V., Tatiana V. Lebedeva, Olga V. Yakovleva, Maria A. Kolesova, Alla N. Brykova, Natalia S. Lysenko, and Lev G. Tyryshkin. 2024. "Genetic Diversity for Effective Resistance in Wheat Landraces from Ethiopia and Eritrea to Fungal Diseases and Toxic Aluminum Ions" Plants 13, no. 8: 1166. https://doi.org/10.3390/plants13081166
APA StyleZuev, E. V., Lebedeva, T. V., Yakovleva, O. V., Kolesova, M. A., Brykova, A. N., Lysenko, N. S., & Tyryshkin, L. G. (2024). Genetic Diversity for Effective Resistance in Wheat Landraces from Ethiopia and Eritrea to Fungal Diseases and Toxic Aluminum Ions. Plants, 13(8), 1166. https://doi.org/10.3390/plants13081166

