Characterization, Genome Sequencing, and Development of a Rapid PCR Identification Primer for Fusarium oxysporum f. sp. crocus, a New forma specialis Causing Saffron Corm Rot
Abstract
1. Introduction
2. Results
2.1. Pathogenicity Specialization
2.2. Genome Sequencing
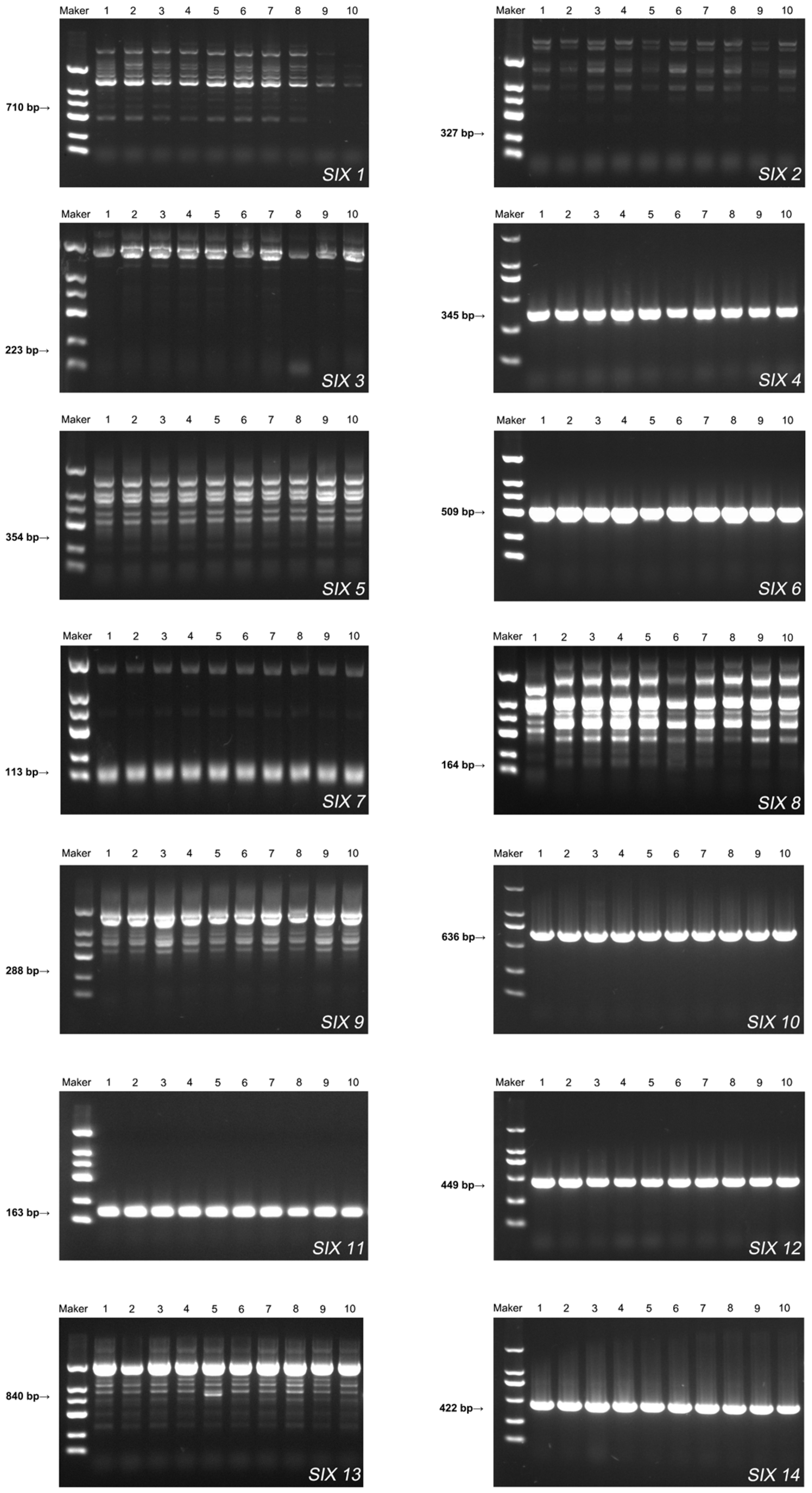
2.3. Amplification of the SIX Gene
2.4. SIX Homologous Gene Evolutionary Tree Analysis
2.5. Establishment of Rapid Detection Methods
3. Discussion
4. Materials and Methods
4.1. Isolation of Test Strains
4.2. Pathogenicity Specialization Test
4.3. Genome Sequencing and Prediction
4.4. Amplification Validation and Phylogenetic Analysis of the SIX Gene
4.5. Rapid Detection Based on the SIX Gene
Supplementary Materials
Author Contributions
Funding
Data Availability Statement
Conflicts of Interest
References
- Kour, R.; Ambardar, S.; Vakhlu, J. Plant growth promoting bacteria associated with corm of Crocus sativus during three growth stages. Lett. Appl. Microbiol. 2018, 67, 458–464. [Google Scholar] [CrossRef] [PubMed]
- Dhar, M.K.; Sharma, M.; Bhat, A.; Chrungoo, N.K.; Kaul, S. Functional genomics of apocarotenoids in saffron: Insights from chemistry, molecular biology and therapeutic applications. Brief Funct. Genom. 2017, 16, 336–347. [Google Scholar] [CrossRef] [PubMed]
- Chen, Q. Successful declaration of geographical indication of national agricultural products by Crocus sativus in Jiande city. Hangzhou 2018, 33, 62, (In Chinese with English abstract). [Google Scholar]
- Ren, T.; Dai, D.; Yu, M.; Li, T.; Zhang, C. Identification and characterization of pathogens causing saffron corm rot in China. Front. Microbiol. 2023, 14, 1188376. [Google Scholar] [CrossRef]
- Gomez-Gomez, L.; Rubio-Moraga, A.; Ahrazem, O. Molecular cloning and characterisation of a pathogenesis-related protein CsPR10 from Crocus sativus. Plant Biol. 2011, 13, 297–303. [Google Scholar] [CrossRef]
- Wei, L.; Duan, X.M.; Lu, G.X.; Chang, J.P.; Zhou, X.J.; Ma, H.X.; Qi, H.X. Pathogen identification and indoor screening of control agents for corm rot of saffron. Plant Prot 2021, 47, 139–145, (In Chinese with English abstract). [Google Scholar]
- Taylor, A.; Armitage, A.D.; Handy, C.; Jackson, A.C.; Hulin, M.T.; Harrison, R.J.; Clarkson, J.P. Basal Rot of Narcissus: Understanding Pathogenicity in Fusarium oxysporum f. sp. narcissi. Front. Microbiol. 2019, 10, 2905. [Google Scholar] [CrossRef] [PubMed]
- Ma, L.J.; Geiser, D.M.; Proctor, R.H.; Rooney, A.P.; O’Donnell, K.; Trail, F.; Gardiner, D.M.; Manners, J.M.; Kazan, K. Fusarium pathogenomics. Annu. Rev. Microbiol. 2013, 67, 399–416. [Google Scholar] [CrossRef]
- van Dam, P.; de Sain, M.; Ter Horst, A.; van der Gragt, M.; Rep, M. Use of Comparative Genomics-Based Markers for Discrimination of Host Specificity in Fusarium oxysporum. Appl. Environ. Microbiol. 2017, 84, e01868-17. [Google Scholar] [CrossRef]
- Simbaqueba, J.; Catanzariti, A.M.; González, C.; Jones, D.A. Evidence for horizontal gene transfer and separation of effector recognition from effector function revealed by analysis of effector genes shared between cape gooseberry- and tomato-infecting formae speciales of Fusarium oxysporum. Mol. Plant Pathol. 2018, 19, 2302–2318. [Google Scholar] [CrossRef]
- Dissanayake, A.J.; Purahong, W.; Wubet, T.; Hyde, K.D.; Zhang, W.; Xu, H.; Zhang, G.; Fu, C.; Liu, M.; Xing, Q.; et al. Direct comparison of culture-dependent and culture-independent molecular approaches reveal the diversity of fungal endophytic communities in stems of grapevine (Vitis vinifera). Fungal Divers 2018, 90, 85–107. [Google Scholar] [CrossRef]
- Rep, M.; van der Does, H.C.; Meijer, M.; van Wijk, R.; Houterman, P.M.; Dekker, H.L.; de Koster, C.G.; Cornelissen, B.J. A small, cysteine-rich protein secreted by Fusarium oxysporum during colonization of xylem vessels is required for I-3-mediated resistance in tomato. Mol. Microbiol. 2004, 53, 1373–1383. [Google Scholar] [CrossRef] [PubMed]
- Jangir, P.; Mehra, N.; Sharma, K.; Singh, N.; Rani, M.; Kapoor, R. Secreted in Xylem Genes: Drivers of host adaptation in Fusarium oxysporum. Front. Plant Sci. 2021, 12, 628611. [Google Scholar] [CrossRef] [PubMed]
- Czislowski, E.; Fraser-Smith, S.; Zander, M.; O’Neill, W.T.; Meldrum, R.A.; Tran-Nguyen, L.T.T.; Batley, J.; Aitken, E.A.B. Investigation of the diversity of effector genes in the banana pathogen, Fusarium oxysporum f. sp. cubense, reveals evidence of horizontal gene transfer. Mol. Plant Pathol. 2018, 19, 1155–1171. [Google Scholar]
- Thatcher, L.F.; Gardiner, D.M.; Kazan, K.; Manners, J.M. A highly conserved effector in Fusarium oxysporum is required for full virulence on Arabidopsis. Mol. Plant Microbe Interact. 2012, 25, 180–190. [Google Scholar] [CrossRef]
- van Dam, P.; Fokkens, L.; Schmidt, S.M.; Linmans, J.H.; Kistler, H.C.; Ma, L.; Rep, M. Effector profiles distinguish formae speciales of Fusarium oxysporum. Environ. Microbiol. 2016, 18, 4087–4102. [Google Scholar] [CrossRef]
- Liu, Y.; Zhu, A.; Tan, H.; Cao, L.; Zhang, R. Engineering banana endosphere microbiome to improve Fusarium wilt resistance in banana. Microbiome 2019, 7, 74. [Google Scholar] [CrossRef]
- Guo, Z.; Yu, Z.; Li, Q.; Tang, L.; Guo, T.; Huang, S.; Mo, J.; Hsiang, T.; Luo, S. Fusarium species associated with leaf spots of mango in China. Microb. Pathog. 2021, 150, 104736. [Google Scholar] [CrossRef]
- Borrego-Benjumea, A.; Basallote-Ureba, M.J.; Melero-Vara, J.M.; Abbasi, P.A. Characterization of Fusarium isolates from asparagus fields in southwestern Ontario and influence of soil organic amendments on Fusarium crown and root rot. Phytopathology 2014, 104, 403–415. [Google Scholar] [CrossRef]
- Taylor, A.; Vagany, V.; Jackson, A.C.; Harrison, R.J.; Rainoni, A.; Clarkson, J.P. Identification of pathogenicity-related genes in Fusarium oxysporum f. sp. cepae. Mol Plant Pathol. 2016, 17, 1032–1047. [Google Scholar] [CrossRef]
- Lievens, B.; Houterman, P.M.; Rep, M. Effector gene screening allows unambiguous identification of Fusarium oxysporum f. sp. lycopersici races and discrimination from other host specialization. FEMS Microbiol. Lett. 2009, 300, 201–215. [Google Scholar] [CrossRef] [PubMed]
- Fraser, S.S.; Czislowski, E.; Meldrum, R.A.; Zander, M.; O’Neill, W.; Balali, G.R.; Aitken, E.A.B. Sequence variation in the putative effector gene SIX 8 facilitates molecular differentiation of Fusarium oxysporum f. sp. cubense. Plant Pathol. 2014, 63, 1044–1052. [Google Scholar] [CrossRef]
- Hu, S.; Yan, C.; Yu, H.; Zhang, Y.; Zhang, C.-Q. Establishment of the Recombinase Polymerase Amplification-Lateral Flow Dipstick Detection Technique for Fusarium oxysporum. Plant Dis. 2023, 107, 2665–2672. [Google Scholar] [CrossRef] [PubMed]
- Wang, Y.C.; Zhang, C.Q. q-LAMP Assays for the Detection of Botryosphaeria dothidea Causing Chinese Hickory Canker in Trunk, Water, and Air Samples. Plant Dis. 2019, 103, 3142–3149. [Google Scholar] [CrossRef]
- Gale, L.R.; Bryant, J.D.; Calvo, S.; Giese, H.; Katan, T.; O’Donnell, K.; Suga, H.; Taga, M.; Usgaard, T.R.; Ward, T.J.; et al. Chromosome complement of the fungal plant pathogen Fusarium graminearum based on genetic and physical mapping and cytological observations. Genetics 2005, 171, 985–1001. [Google Scholar] [CrossRef]
- Kuo, P.; Henderson, I.R.; Lambing, C. CTAB DNA Extraction and genotyping-by-sequencing to map meiotic crossovers in Plants. Methods Mol. Biol. 2022, 2484, 43–53. [Google Scholar]
- Bao, J.; Wu, Q.; Huang, J.; Zhang, C.-Q. High-quality genome assembly and annotation resource of Botryosphaeria dothidea strain BDLA16-7, causing trunk canker disease on Chinese hickory. Plant Dis. 2022, 106, 1023–1026. [Google Scholar] [CrossRef] [PubMed]
- Sun, J.; Lu, F.; Luo, Y.; Bie, L.; Xu, L.; Wang, Y. OrthoVenn3: An integrated platform for exploring and visualizing orthologous data across genomes. Nucleic Acids Res. 2023, 51, 397–403. [Google Scholar] [CrossRef]
- Czislowski, E.; Zeil-Rolfe, I.; Aitken, E. Effector profiles of endophytic Fusarium associated with asymptomatic banana (Musa sp.) hosts. Int. J. Mol. Sci. 2021, 22, 2508. [Google Scholar] [CrossRef]
- Inami, K.; Yoshioka-Akiyama, C.; Morita, Y.; Yamasaki, M.; Teraoka, T.; Arie, T. A genetic mechanism for emergence of races in Fusarium oxysporum f. sp. lycopersici: Inactivation of avirulence gene AVR1 by transposon insertion. PLoS ONE 2012, 7, e44101. [Google Scholar] [CrossRef]
- Rocha, L.O.; Laurence, M.H.; Ludowici, V.A.; Puno, V.I.; Lim, C.C.; Tesoriero, L.A.; Summerell, B.A.; Liew, E.C.Y. Putative effector genes detected in Fusarium oxysporum from natural ecosystems of Australia. Plant Pathol. 2016, 65, 914–929. [Google Scholar] [CrossRef]
- Laurence, M.H.; Summerell, B.A.; Liew, E.C.Y. Fusarium oxysporum f. sp. canariensis: Evidence for horizontal gene transfer of putative pathogenicity genes. Plant Pathol 2015, 64, 1068–1075. [Google Scholar] [CrossRef]
- Schmidt, S.M.; Houterman, P.M.; Schreiver, I.; Ma, L.; Amyotte, S.; Chellappan, B.; Boeren, S.; Takken, F.L.W.; Rep, M. MITEs in the promoters of effector genes allow prediction of novel virulence genes in Fusarium oxysporum. BMC Genom. 2013, 14, 119. [Google Scholar] [CrossRef] [PubMed]











| Genome Assembly Info | Count |
|---|---|
| Sequencing technology | PacBio + Illumina |
| Scaffold number | 34 |
| N50 (bp) | 4,241,186 |
| N90 (bp) | 2,232,100 |
| GC content (%) | 48 |
| Genome size (bp) | 56,897,855 |
| Protein-coding genes | 15,461 |
| Transcript number | 15,684 |
| exon number | 43,958 |
| GO Term Category | Name | Count | p-Value |
|---|---|---|---|
| Biological process | Transmembrane transport | 7 | 1.01 × 10−63 |
| Biological process | Transcription (DNA-templated) | 7 | 1.79 × 10−50 |
| Biological process | Sporulation resulting in formation of a cellular spore | 2 | 2.41 × 10−17 |
| Molecular function | Oxidoreductase activity (acting on paired donors, with incorporation or reduction of molecular oxygen) | 6 | 4.29 × 10−7 |
| Biological process | Regulation of transcription (DNA-templated) | 3 | 1.45 × 10−5 |
| Biological process | Carbohydrate transport | 2 | 1.94 × 10−5 |
| Biological process | Positive regulation of transcription from RNA polymerase II promoter | 2 | 1.02 × 10−4 |
| Biological process | Polyketide biosynthetic process | 5 | 1.82 × 10−4 |
| Biological process | Carbohydrate metabolic process | 2 | 2.76 × 10−4 |
| Number | Primers (5’-3’) | Rating (%) | Product Size (bp) | Annealing Temperature (°C) | |
|---|---|---|---|---|---|
| 1 | Primer 1-F | ATTGCGGACTCTGGTGTA | 100 | 275 | 51.5 |
| Primer 1-R | TGAAAGCGTTGTAATGTTG | ||||
| 2 | Primer 2-F | TGCGGACTCTGGTGTATC | 100 | 277 | 51.8 |
| Primer 2-R | CCTCTGAAAGCGTTGTAAT | ||||
| 3 | Primer 3-F | TGCGGACTCTGGTGTATC | 98 | 273 | 51.6 |
| Primer 3-R | TGAAAGCGTTGTAATGTTG | ||||
| 4 | Primer 4-F | TGCGGACTCTGGTGTATC | 96 | 275 | 51.2 |
| Primer 4-R | TCTGAAAGCGTTGTAATGT | ||||
| 5 | Primer 5-F | ATCCACTGGCACCAAAGA | 96 | 334 | 52.5 |
| Primer 5-R | TCAGGGTAGACACCAAATCG | ||||
| 6 | Primer 6-F | CCACTGGCACCAAAGACT | 96 | 332 | 52.4 |
| Primer 6-R | TCAGGGTAGACACCAAATCG | ||||
| 7 | Primer 7-F | GACCCGAACTTCCCTTAG | 96 | 258 | 51.3 |
| Primer 7-R | TACTGGTTGTAGCCGTGA | ||||
| 8 | Primer 8-F | ACGACCCGAACTTCCCTT | 86 | 250 | 50.4 |
| Primer 8-R | AGCCGTGAGTAAATGTGA | ||||
Disclaimer/Publisher’s Note: The statements, opinions and data contained in all publications are solely those of the individual author(s) and contributor(s) and not of MDPI and/or the editor(s). MDPI and/or the editor(s) disclaim responsibility for any injury to people or property resulting from any ideas, methods, instructions or products referred to in the content. |
© 2024 by the authors. Licensee MDPI, Basel, Switzerland. This article is an open access article distributed under the terms and conditions of the Creative Commons Attribution (CC BY) license (https://creativecommons.org/licenses/by/4.0/).
Share and Cite
Rong, Z.; Ren, T.; Yue, J.; Zhou, W.; Liang, D.; Zhang, C. Characterization, Genome Sequencing, and Development of a Rapid PCR Identification Primer for Fusarium oxysporum f. sp. crocus, a New forma specialis Causing Saffron Corm Rot. Plants 2024, 13, 3166. https://doi.org/10.3390/plants13223166
Rong Z, Ren T, Yue J, Zhou W, Liang D, Zhang C. Characterization, Genome Sequencing, and Development of a Rapid PCR Identification Primer for Fusarium oxysporum f. sp. crocus, a New forma specialis Causing Saffron Corm Rot. Plants. 2024; 13(22):3166. https://doi.org/10.3390/plants13223166
Chicago/Turabian StyleRong, Zhenyu, Tingdan Ren, Junji Yue, Wei Zhou, Dong Liang, and Chuanqing Zhang. 2024. "Characterization, Genome Sequencing, and Development of a Rapid PCR Identification Primer for Fusarium oxysporum f. sp. crocus, a New forma specialis Causing Saffron Corm Rot" Plants 13, no. 22: 3166. https://doi.org/10.3390/plants13223166
APA StyleRong, Z., Ren, T., Yue, J., Zhou, W., Liang, D., & Zhang, C. (2024). Characterization, Genome Sequencing, and Development of a Rapid PCR Identification Primer for Fusarium oxysporum f. sp. crocus, a New forma specialis Causing Saffron Corm Rot. Plants, 13(22), 3166. https://doi.org/10.3390/plants13223166

