Comparative Proteomic Analysis of Wild and Cultivated Amaranth Species Seeds by 2-DE and ESI-MS/MS
Abstract
1. Introduction
2. Results and Discussion
2.1. Establishment of 2-DE Proteomic Maps by Polarity-Based Extraction and Global Protein Identification
2.2. Grouping of Amaranth Species Based on the Abundance of Protein Fractions
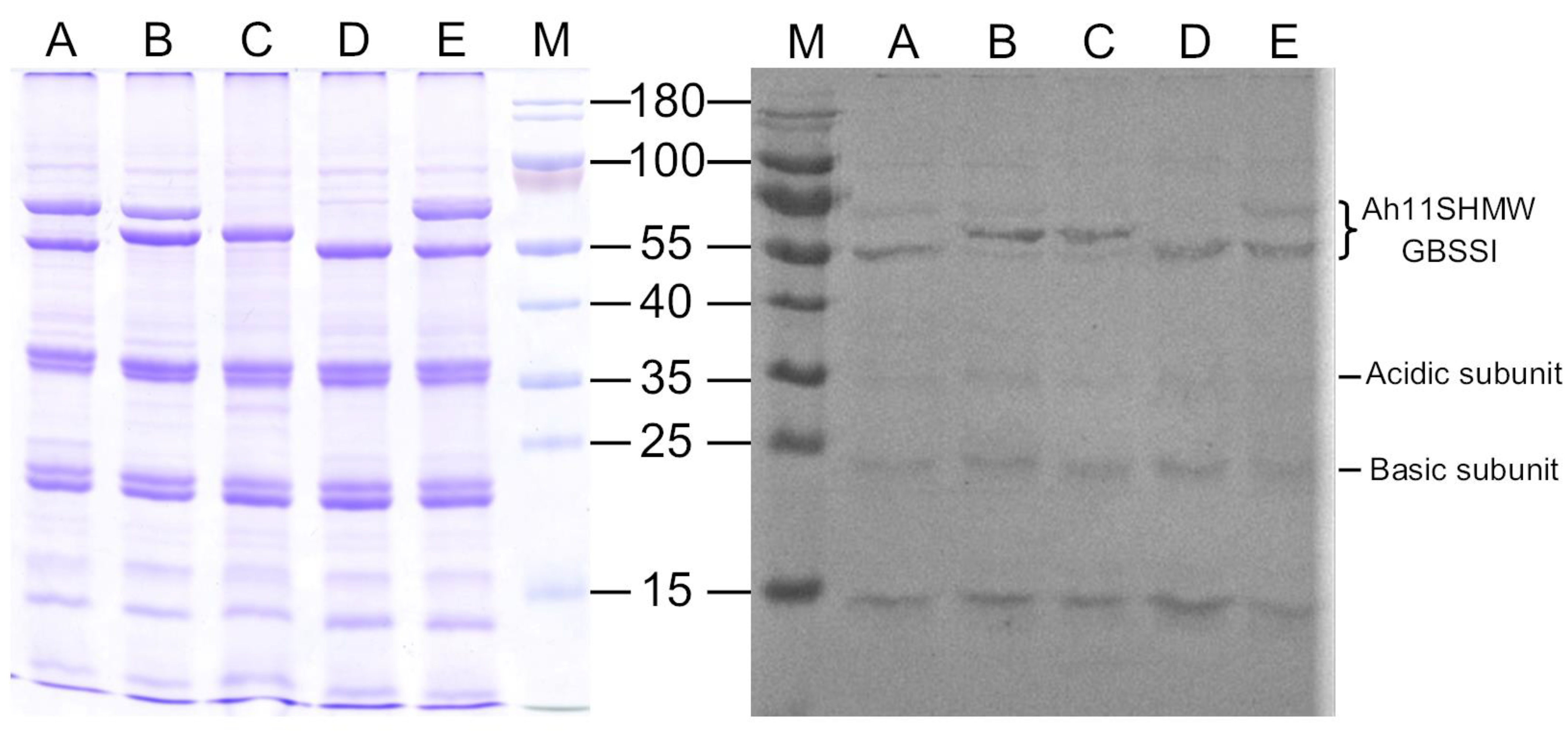
2.3. The Diversity of GBSSI and 11S Globulins Proteoforms Amongst Amaranth Species Could Be Explained by the Presence of Post-Translational Modifications (PTMs)
2.4. Differentially Accumulated Non-Abundant Proteins Related to Metabolic Processes
2.4.1. Genic Regulation
2.4.2. Reactive Oxygen Species (ROS) Scavenging
2.4.3. Lipid Storage
2.4.4. Stress Response
2.4.5. Central Metabolism Related Proteins (Glycolysis-TCA)
2.4.6. Cell Wall-Related Enzymes
2.4.7. Amino Acid Metabolism
3. Materials and Methods
3.1. Biological Material
3.2. Protein Extraction
3.3. Two-Dimensional Electrophoresis (2-DE) and Image Analysis
3.4. In-Gel Digestion and nLC-MS/MS Analysis
3.5. LC-MS/MS Protein Identification, Database Searching, and Data Analysis
3.6. Western Blot Detection of Phosphoproteins
4. Conclusions
Supplementary Materials
Author Contributions
Funding
Data Availability Statement
Acknowledgments
Conflicts of Interest
References
- Leprince, O.; Pellizzaro, A.; Berriri, S.; Buitink, J. Late Seed Maturation: Drying without Dying. J. Exp. Bot. 2017, 68, 827–841. [Google Scholar] [CrossRef] [PubMed]
- Lobell, D.B.; Schlenker, W.; Costa-Roberts, J. Climate Trends and Global Crop Production since 1980. Science 2011, 333, 616–620. [Google Scholar] [CrossRef] [PubMed]
- Komatsu, S. Crop Proteomics and Its Application to Biotechnology. J. Proteome Res. 2008, 7, 2183. [Google Scholar] [CrossRef] [PubMed][Green Version]
- McCouch, S.; Baute, G.J.; Bradeen, J.; Bramel, P.; Bretting, P.K.; Buckler, E.; Burke, J.M.; Charest, D.; Cloutier, S.; Cole, G.; et al. Feeding the Future. Nature 2013, 499, 23–24. [Google Scholar] [CrossRef] [PubMed]
- Pandey, R.M. Biotechnological Advances in Amaranths Species and Their Future Outlook in Crop Improvement—A Review. Recent. Pat. DNA Gene Seq. 2013, 7, 179–186. [Google Scholar] [CrossRef]
- Finch-Savage, W.E.; Bassel, G.W. Seed Vigour and Crop Establishment: Extending Performance beyond Adaptation. J. Exp. Bot. 2016, 67, 567–591. [Google Scholar] [CrossRef]
- Muñoz, N.; Liu, A.; Kan, L.; Li, M.W.; Lam, H.M. Potential Uses of Wild Germplasms of Grain Legumes for Crop Improvement. Int. J. Mol. Sci. 2017, 18, 328. [Google Scholar] [CrossRef]
- Wozny, D.; Kramer, K.; Finkemeier, I.; Acosta, I.F.; Koornneef, M. Genes for Seed Longevity in Barley Identified by Genomic Analysis on near Isogenic Lines. Plant Cell Environ. 2018, 41, 1895–1911. [Google Scholar] [CrossRef]
- Sauer, J.D. The Grain Amaranths and Their Relatives: A Revised Taxonomic and Geographic Survey. Ann. Mo. Bot. Gard. 1967, 54, 103. [Google Scholar] [CrossRef]
- Huerta-Ocampo, J.A.; Barba de la Rosa, A.P. Amaranth: A Pseudo-Cereal with Nutraceutical Properties. Curr. Nutr. Food Sci. 2011, 7, 1–9. [Google Scholar] [CrossRef]
- Bojórquez-Velázquez, E.; Talamantes-Herrera, F.A.; Valles, S.; Cerritos-Castro, I.T.; Barba de la Rosa, A.P. Molecular Characterisation of Seed Storage Proteins (SSPs) in Grain Amaranth; Springer: Cham, Switzerland, 2021; pp. 55–79. ISBN 978-3-030-72365-1. [Google Scholar]
- Bressani, R.; García-Vela, L.A. Protein Fractions in Amaranth Grain and Their Chemical Characterization. J. Agric. Food Chem. 1990, 38, 1205–1209. [Google Scholar] [CrossRef]
- Barba de la Rosa, A.P.; Fomsgaard, I.S.; Laursen, B.; Mortensen, A.G.; Olvera-Martínez, L.; Silva-Sánchez, C.; Mendoza-Herrera, A.; González-Castañeda, J.; De León-Rodríguez, A. Amaranth (Amaranthus hypochondriacus) as an Alternative Crop for Sustainable Food Production: Phenolic Acids and Flavonoids with Potential Impact on Its Nutraceutical Quality. J. Cereal Sci. 2009, 49, 117–121. [Google Scholar] [CrossRef]
- Valcárcel-Yamani, B.; Caetano da Silva Lannes, S. Applications of Quinoa (Chenopodium Quinoa Willd.) and Amaranth (Amaranthus spp.) and Their Influence in the Nutritional Value of Cereal Based Foods. Food Public Health 2012, 2, 265–275. [Google Scholar] [CrossRef]
- Aguilar-Hernández, H.S.; Santos, L.; León-Galván, F.; Barrera-Pacheco, A.; Espitia-Rangel, E.; De León-Rodríguez, A.; Guevara-González, R.G.; Barba de la Rosa, A.P. Identification of Calcium Stress Induced Genes in Amaranth Leaves through Suppression Subtractive Hybridization. J. Plant Physiol. 2011, 168, 2102–2109. [Google Scholar] [CrossRef] [PubMed]
- Huerta-Ocampo, J.A.; Barrera-Pacheco, A.; Mendoza-Hernández, C.S.; Espitia-Rangel, E.; Mock, H.P.; Barba De La Rosa, A.P. Salt Stress-Induced Alterations in the Root Proteome of Amaranthus cruentus L. J. Proteome Res. 2014, 13, 3607–3627. [Google Scholar] [CrossRef]
- Assad, R.; Reshi, Z.A.; Jan, S.; Rashid, I. Biology of Amaranths. Bot. Rev. 2017, 83, 382–436. [Google Scholar] [CrossRef]
- Velarde-Salcedo, A.J.; Bojórquez-Velázquez, E.; De La Rosa, A.P.B. Amaranth. In Whole Grains and their Bioactives: Composition and Health; Wiley Publisher: Hoboken, NJ, USA, 2019; pp. 209–250. [Google Scholar] [CrossRef]
- Dong, Y.; Fang, X.; Yang, Y.; Xue, G.P.; Chen, X.; Zhang, W.; Wang, X.; Yu, C.; Zhou, J.; Mei, Q.; et al. Comparative Proteomic Analysis of Susceptible and Resistant Rice Plants during Early Infestation by Small Brown Planthopper. Front. Plant Sci. 2017, 8, 281596. [Google Scholar] [CrossRef]
- Gong, C.Y.; Wang, T. Proteomic Evaluation of Genetically Modified Crops: Current Status and Challenges. Front. Plant Sci. 2013, 4, 41365. [Google Scholar] [CrossRef]
- Kosová, K.; Vítámvás, P.; Urban, M.O.; Prášil, I.T.; Renaut, J. Plant Abiotic Stress Proteomics: The Major Factors Determining Alterations in Cellular Proteome. Front. Plant Sci. 2018, 9, 325823. [Google Scholar] [CrossRef]
- Pichereaux, C.; Hernández-Domínguez, E.E.; Santos-Diaz, M.d.S.; Reyes-Agüero, A.; Astello-García, M.; Guéraud, F.; Negre-Salvayre, A.; Schiltz, O.; Rossignol, M.; Barba de la Rosa, A.P. Comparative Shotgun Proteomic Analysis of Wild and Domesticated Opuntia Spp. Species Shows a Metabolic Adaptation through Domestication. J. Proteomics 2016, 143, 353–364. [Google Scholar] [CrossRef]
- León-Villanueva, A.; Huerta-Ocampo, J.A.; Barrera-Pacheco, A.; Medina-Godoy, S.; Barba de la Rosa, A.P. Proteomic Analysis of Non-Toxic Jatropha Curcas Byproduct Cake: Fractionation and Identification of the Major Components. Ind. Crops Prod. 2018, 111, 694–704. [Google Scholar] [CrossRef]
- Liu, H.; Wang, C.; Chen, F.; Shen, S. Proteomic Analysis of Oil Bodies in Mature Jatropha Curcas Seeds with Different Lipid Content. J. Proteomics 2015, 113, 403–414. [Google Scholar] [CrossRef] [PubMed]
- Min, C.W.; Gupta, R.; Kim, S.W.; Lee, S.E.; Kim, Y.C.; Bae, D.W.; Han, W.Y.; Lee, B.W.; Ko, J.M.; Agrawal, G.K.; et al. Comparative Biochemical and Proteomic Analyses of Soybean Seed Cultivars Differing in Protein and Oil Content. J. Agric. Food Chem. 2015, 63, 7134–7142. [Google Scholar] [CrossRef] [PubMed]
- Herrera-Díaz, J.; Jelezova, M.K.; Cruz-Garćia, F.; Dinkova, T.D. Protein Disulfide Isomerase (PDI1-1) Differential Expression and Modification in Mexican Malting Barley Cultivars. PLoS ONE 2018, 13, e0206470. [Google Scholar] [CrossRef] [PubMed]
- Jin, Z.; Cai, G.L.; Li, X.M.; Gao, F.; Yang, J.J.; Lu, J.; Dong, J.J. Comparative Proteomic Analysis of Green Malts between Barley (Hordeum vulgare) Cultivars. Food Chem. 2014, 151, 266–270. [Google Scholar] [CrossRef]
- Jin, Z.; Li, X.M.; Gao, F.; Sun, J.Y.; Mu, Y.W.; Lu, J. Proteomic Analysis of Differences in Barley (Hordeum vulgare) Malts with Distinct Filterability by DIGE. J. Proteomics 2013, 93, 93–106. [Google Scholar] [CrossRef]
- Villeth, G.R.C.; Carmo, L.S.T.; Silva, L.P.; Santos, M.F.; de Oliveira Neto, O.B.; Grossi-de-Sá, M.F.; Ribeiro, I.S.; Dessaune, S.N.; Fragoso, R.R.; Franco, O.L.; et al. Identification of Proteins in Susceptible and Resistant Brassica Oleracea Responsive to Xanthomonas Campestris Pv. Campestris Infection. J. Proteomics 2016, 143, 278–285. [Google Scholar] [CrossRef]
- Klubicova, K.; Szabova, M.; Skultety, L.; Libiakova, G.; Hricova, A. Revealing the Seed Proteome of the Health Benefitting Grain Amaranth (Amaranthus cruentus L.). Chem. Pap. 2016, 70, 1322–1335. [Google Scholar] [CrossRef]
- Maldonado-Cervantes, E.; Huerta-Ocampo, J.A.; Montero-Morán, G.M.; Barrera-Pacheco, A.; Espitia-Rangel, E.; Barba de la Rosa, A.P. Characterization of Amaranthus cruentus L. Seed Proteins by 2-DE and LC/MS–MS: Identification and Cloning of a Novel Late Embryogenesis-Abundant Protein. J. Cereal Sci. 2014, 60, 172–178. [Google Scholar] [CrossRef]
- Bojórquez-Velázquez, E.; Barrera-Pacheco, A.; Espitia-Rangel, E.; Herrera-Estrella, A.; Barba de La Rosa, A.P. Protein Analysis Reveals Differential Accumulation of Late Embryogenesis Abundant and Storage Proteins in Seeds of Wild and Cultivated Amaranth Species. BMC Plant Biol. 2019, 19, 59. [Google Scholar] [CrossRef]
- Bojórquez-Velázquez, E.; Velarde-Salcedo, A.J.; De León-Rodríguez, A.; Jimenez-Islas, H.; Pérez-Torres, J.L.; Herrera-Estrella, A.; Espitia-Rangel, E.; Barba de la Rosa, A.P. Morphological, Proximal Composition, and Bioactive Compounds Characterization of Wild and Cultivated Amaranth (Amaranthus Spp.) Species. J. Cereal Sci. 2018, 83, 222–228. [Google Scholar] [CrossRef]
- Pang, Q.; Chen, S.; Dai, S.; Chen, Y.; Wang, Y.; Yan, X. Comparative Proteomics of Salt Tolerance in Arabidopsis Thaliana and Thellungiella Halophila. J. Proteome Res. 2010, 9, 2584–2599. [Google Scholar] [CrossRef] [PubMed]
- Witzel, K.; Weidner, A.; Surabhi, G.K.; Varshney, R.K.; Kunze, G.; Buck-Sorlin, G.H.; BÖrner, A.; Mock, H.P. Comparative Analysis of the Grain Proteome Fraction in Barley Genotypes with Contrasting Salinity Tolerance during Germination. Plant Cell Environ. 2010, 33, 211–222. [Google Scholar] [CrossRef] [PubMed]
- Jiang, C.; Cheng, Z.; Zhang, C.; Yu, T.; Zhong, Q.; Shen, J.Q.; Huang, X. Proteomic Analysis of Seed Storage Proteins in Wild Rice Species of the Oryza Genus. Proteome Sci. 2014, 12, 51. [Google Scholar] [CrossRef]
- Rocco, M.; Tartaglia, M.; Izzo, F.P.; Varricchio, E.; Arena, S.; Scaloni, A.; Marra, M. Comparative Proteomic Analysis of Durum Wheat Shoots from Modern and Ancient Cultivars. Plant Physiol. Biochem. 2019, 135, 253–262. [Google Scholar] [CrossRef]
- Nemati, M.; Piro, A.; Norouzi, M.; Moghaddam Vahed, M.; Nisticò, D.M.; Mazzuca, S. Comparative Physiological and Leaf Proteomic Analyses Revealed the Tolerant and Sensitive Traits to Drought Stress in Two Wheat Parental Lines and Their F6 Progenies. Environ. Exp. Bot. 2019, 158, 223–237. [Google Scholar] [CrossRef]
- Gomes, L.S.; Senna, R.; Sandim, V.; Silva-Neto, M.A.C.; Perales, J.E.A.; Zingali, R.B.; Soares, M.R.; Fialho, E. Four Conventional Soybean [Glycine max (L.) Merrill] Seeds Exhibit Different Protein Profiles as Revealed by Proteomic Analysis. J. Agric. Food Chem. 2014, 62, 1283–1293. [Google Scholar] [CrossRef]
- Seung, D.; Soyk, S.; Coiro, M.; Maier, B.A.; Eicke, S.; Zeeman, S.C. Protein Targeting to Starch is Required for Localising Granule-Bound Starch Synthase to Starch Granules and for Normal Amylose Synthesis in Arabidopsis. PLoS Biol. 2015, 13, e1002080. [Google Scholar] [CrossRef]
- Fukushima, D. Structures of Plant Storage Proteins and Their Functions. Food Rev. Int. 1991, 7, 353–381. [Google Scholar] [CrossRef]
- Catusse, J.; Strub, J.M.; Job, C.; Van Dorsselaer, A.; Job, D. Proteome-Wide Characterization of Sugarbeet Seed Vigor and Its Tissue Specific Expression. Proc. Natl. Acad. Sci. USA 2008, 105, 10262–10267. [Google Scholar] [CrossRef]
- Romero-Rodríguez, M.C.; Maldonado-Alconada, A.M.; Valledor, L.; Jorrin-Novo, J.V. Back to Osborne. Sequential Protein Extraction and LC-MS Analysis for the Characterization of the Holm Oak Seed Proteome. In Plant Proteomics. Methods in Molecular Biology; Jorrin-Novo, J., Komatsu, S., Weckwerth, W., Wienkoop, S., Eds.; Humana Press Inc.: Totowa, NJ, USA, 2014; Volume 1072, pp. 379–389. ISBN 9781627036306. [Google Scholar]
- Barba de la Rosa, A.P.; Paredes-LÓpez, O.; Gueguen, J.; Viroben, G. Fractionation Procedures, Electrophoretic Characterization, and Amino Acid Composition of Amaranth Seed Proteins. J. Agric. Food Chem. 1992, 40, 931–936. [Google Scholar] [CrossRef]
- Mouzo, D.; Bernal, J.; López-Pedrouso, M.; Franco, D.; Zapata, C. Advances in the Biology of Seed and Vegetative Storage Proteins Based on Two-Dimensional Electrophoresis Coupled to Mass Spectrometry. Molecules 2018, 23, 2462. [Google Scholar] [CrossRef] [PubMed]
- Oliveira, B.M.; Coorssen, J.R.; Martins-de-Souza, D. 2DE: The Phoenix of Proteomics. J. Proteomics 2014, 104, 140–150. [Google Scholar] [CrossRef] [PubMed]
- López-Pedrouso, M.; Alonso, J.; Zapata, C. Evidence for Phosphorylation of the Major Seed Storage Protein of the Common Bean and Its Phosphorylation-Dependent Degradation during Germination. Plant Mol. Biol. 2014, 84, 415–428. [Google Scholar] [CrossRef] [PubMed]
- Deng, X.; Hahne, T.; Schröder, S.; Redweik, S.; Nebija, D.; Schmidt, H.; Janssen, O.; Lachmann, B.; Wätzig, H. The Challenge to Quantify Proteins with Charge Trains Due to Isoforms or Conformers. Electrophoresis 2012, 33, 263–269. [Google Scholar] [CrossRef] [PubMed]
- Wan, L.; Ross, A.R.S.; Yang, J.; Hegedus, D.D.; Kermode, A.R. Phosphorylation of the 12 S Globulin Cruciferin in Wild-Type and Abi1-1 Mutant Arabidopsis thaliana (Thale Cress) Seeds. Biochem. J. 2007, 404, 247–256. [Google Scholar] [CrossRef]
- Quiroga, I.; Regente, M.; Pagnussat, L.; Maldonado, A.; Jorrín, J.; De La Canal, L. Phosphorylated 11S Globulins in Sunflower Seeds. Seed Sci. Res. 2013, 23, 199–204. [Google Scholar] [CrossRef]
- Chen, G.X.; Zhou, J.W.; Liu, Y.L.; Lu, X.B.; Han, C.X.; Zhang, W.Y.; Xu, Y.H.; Yan, Y.M. Biosynthesis and Regulation of Wheat Amylose and Amylopectin from Proteomic and Phosphoproteomic Characterization of Granule-Binding Proteins. Sci. Rep. 2016, 6, 33111. [Google Scholar] [CrossRef]
- Grimaud, F.; Rogniaux, H.; James, M.G.; Myers, A.M.; Planchot, V. Proteome and Phosphoproteome Analysis of Starch Granule-Associated Proteins from Normal Maize and Mutants Affected in Starch Biosynthesis. J. Exp. Bot. 2008, 59, 3395–3406. [Google Scholar] [CrossRef]
- Park, Y.J.; Nemoto, K.; Nishikawa, T.; Matsushima, K.; Minami, M.; Kawase, M. Waxy Strains of Three Amaranth Grains Raised by Different Mutations in the Coding Region. Mol. Breed. 2010, 25, 623–635. [Google Scholar] [CrossRef]
- Chen, G.; Zhu, J.; Zhou, J.; Subburaj, S.; Zhang, M.; Han, C.; Hao, P.; Li, X.; Yan, Y. Dynamic Development of Starch Granules and the Regulation of Starch Biosynthesis in Brachypodium Distachyon: Comparison with Common Wheat and Aegilops Peregrina. BMC Plant Biol. 2014, 14, 198. [Google Scholar] [CrossRef] [PubMed]
- Chen, G.-X.; Zhen, S.-M.; Liu, Y.-L.; Yan, X.; Zhang, M.; Yan, Y.-M. In Vivo Phosphoproteome Characterization Reveals Key Starch Granule-Binding Phosphoproteins Involved in Wheat Water-Deficit Response. BMC Plant Biol. 2017, 17, 168. [Google Scholar] [CrossRef]
- Pang, Y.; Hu, Y.; Bao, J. Comparative Phosphoproteomic Analysis Reveals the Response of Starch Metabolism to High-Temperature Stress in Rice Endosperm. Int. J. Mol. Sci. 2021, 22, 10546. [Google Scholar] [CrossRef] [PubMed]
- Liu, D.R.; Huang, W.X.; Cai, X.L. Oligomerization of Rice Granule-Bound Starch Synthase 1 Modulates Its Activity Regulation. Plant Sci. 2013, 210, 141–150. [Google Scholar] [CrossRef] [PubMed]
- Shewry, P.R.; Napier, J.A.; Tatham, A.S. Seed Storage Proteins: Structures and Biosynthesis. Plant Cell 1995, 7, 945–956. [Google Scholar] [CrossRef] [PubMed]
- Otegui, M.S.; Herder, R.; Schulze, J.; Jung, R.; Staehelin, L.A. The Proteolytic Processing of Seed Storage Proteins in Arabidopsis Embryo Cells Starts in the Multivesicular Bodies. Plant Cell 2006, 18, 2567–2581. [Google Scholar] [CrossRef]
- Withana-Gamage, T.S.; Hegedus, D.D.; Qiu, X.; Wanasundara, J.P.D. In Silico Homology Modeling to Predict Functional Properties of Cruciferin. J. Agric. Food Chem. 2011, 59, 12925–12938. [Google Scholar] [CrossRef]
- Bonitto, K.; Sarathy, K.; Atai, K.; Mitra, M.; Coller, H.A. Is There a Histone Code for Cellular Quiescence? Front. Cell Dev. Biol. 2021, 9, 739780. [Google Scholar] [CrossRef]
- Peterson, C.L.; Laniel, M.A. Histones and Histone Modifications. Curr. Biol. 2004, 14, R546–R551. [Google Scholar] [CrossRef]
- Zhang, K.; Chen, Y.; Zhang, Z.; Zhao, Y. Identification and Verification of Lysine Propionylation and Butyrylation in Yeast Core Histories Using PTMap Software. J. Proteome Res. 2009, 8, 900–906. [Google Scholar] [CrossRef]
- Turner, B.M. Histone Acetylation and an Epigenetic Code. BioEssays 2000, 22, 836–845. [Google Scholar] [CrossRef] [PubMed]
- Hodurková, J.; Vyskot, B. Histone H4 Acetylation Patterns during Seed Germination and Early Plant Development. Biol. Plant 2003, 46, 23–28. [Google Scholar] [CrossRef]
- Huang, D.; Wu, W.; Abrams, S.R.; Cutler, A.J. The Relationship of Drought-Related Gene Expression in Arabidopsis Thaliana to Hormonal and Environmental Factors. J. Exp. Bot. 2008, 59, 2991–3007. [Google Scholar] [CrossRef] [PubMed]
- Rissel, D.; Losch, J.; Peiter, E. The Nuclear Protein Poly(ADP-Ribose) Polymerase 3 (AtPARP3) Is Required for Seed Storability in Arabidopsis thaliana. Plant Biol. 2014, 16, 1058–1064. [Google Scholar] [CrossRef]
- Sghaier-Hammami, B.; Baazaoui, N.; Hammami, S.B.M.; Abdelly, C. Priming-Mediated Tolerance to Biotic and Abiotic Stresses in Halophytes. In Handbook of Halophytes: From Molecules to Ecosystems towards Biosaline Agriculture; Springer International Publishing: Berlin/Heidelberg, Germany, 2021; pp. 1565–1590. ISBN 9783030576356. [Google Scholar]
- Dixon, D.P.; Steel, P.G.; Edwards, R. Roles for Glutathione Transferases in Antioxidant Recycling. Plant Signal Behav. 2011, 6, 1223–1227. [Google Scholar] [CrossRef]
- Gomes Neto, V.; Ribeiro, P.R.; Del-Bem, L.E.; Bernal, D.T.; Cunha Lima, S.T.; Ligterink, W.; Fernandez, L.G.; de Castro, R.D. Characterization of the Superoxide Dismutase Gene Family in Seeds of Two Ricinus communis L. Genotypes Submitted to Germination under Water Restriction Conditions. Environ. Exp. Bot. 2018, 155, 453–463. [Google Scholar] [CrossRef]
- Karmakar, A.; Das, A.K.; Ghosh, N.; Sil, P.C. Superoxide Dismutase. In Antioxidants Effects in Health: The Bright and the Dark Side; Nabavi, S.M., Sanches Silva, A., Eds.; Elsevier: Amsterdam, The Netherlands, 2022; pp. 139–166. ISBN 9780128190968. [Google Scholar]
- Ok, S.H.; Yoo, K.S.; Shin, J.S. CBSXs Are Sensor Relay Proteins Sensing Adenosine-Containing Ligands in Arabidopsis. Plant Signal Behav. 2012, 7, 664–667. [Google Scholar] [CrossRef]
- Shin, J.S.; So, W.M.; Kim, S.Y.; Noh, M.; Hyoung, S.; Yoo, K.S.; Shin, J.S. CBSX3-Trxo-2 Regulates ROS Generation of Mitochondrial Complex II (Succinate Dehydrogenase) in Arabidopsis. Plant Sci. 2020, 294, 110458. [Google Scholar] [CrossRef]
- Chen, H.; Ruan, J.; Chu, P.; Fu, W.; Liang, Z.; Li, Y.; Tong, J.; Xiao, L.; Liu, J.; Li, C.; et al. AtPER1 Enhances Primary Seed Dormancy and Reduces Seed Germination by Suppressing the ABA Catabolism and GA Biosynthesis in Arabidopsis Seeds. Plant J. 2020, 101, 310–323. [Google Scholar] [CrossRef]
- Gao, Y.P.; Bonham-Smith, P.C.; Gusta, L.V. The Role of Peroxiredoxin Antioxidant and Calmodulin in ABA-Primed Seeds OfBrassica Napusexposed to Abiotic Stresses during Germination. J. Plant Physiol. 2002, 159, 951–958. [Google Scholar] [CrossRef]
- Tnani, H.; López, I.; Jouenne, T.; Vicient, C.M. Quantitative Subproteomic Analysis of Germinating Related Changes in the Scutellum Oil Bodies of Zea Mays. Plant Sci. 2012, 191–192, 1–7. [Google Scholar] [CrossRef] [PubMed]
- López-Ribera, I.; La Paz, J.L.; Repiso, C.; García, N.; Miquel, M.; Hernández, M.L.; Martínez-Rivas, J.M.; Vicient, C.M. The Evolutionary Conserved Oil Body Associated Protein OBAP1 Participates in the Regulation of Oil Body Size. Plant Physiol. 2014, 164, 1237–1249. [Google Scholar] [CrossRef] [PubMed]
- Benaragama, I.; Meesapyodsuk, D.; Beattie, A.D.; Qiu, X. Identification and Functional Analysis of New Peroxygenases in Oat. Planta 2017, 246, 711–719. [Google Scholar] [CrossRef] [PubMed]
- Ge, P.; Ma, C.; Wang, S.; Gao, L.; Li, X.; Guo, G.; Ma, W.; Yan, Y. Comparative Proteomic Analysis of Grain Development in Two Spring Wheat Varieties under Drought Stress. Anal. Bioanal. Chem. 2012, 402, 1297–1313. [Google Scholar] [CrossRef]
- Parreira, J.R.; Bouraada, J.; Fitzpatrick, M.A.; Silvestre, S.; Bernardes da Silva, A.; Marques da Silva, J.; Almeida, A.M.; Fevereiro, P.; Altelaar, A.F.M.; Araújo, S.S. Differential Proteomics Reveals the Hallmarks of Seed Development in Common Bean (Phaseolus vulgaris L.). J. Proteomics 2016, 143, 188–198. [Google Scholar] [CrossRef]
- Wang, W.Q.; Liu, S.J.; Song, S.Q.; Møller, I.M. Proteomics of Seed Development, Desiccation Tolerance, Germination and Vigor. Plant Physiol. Biochem. 2015, 86, 1–15. [Google Scholar] [CrossRef]
- Lee, U.; Rioflorido, I.; Hong, S.W.; Larkindale, J.; Waters, E.R.; Vierling, E. The Arabidopsis ClpB/Hsp100 Family of Proteins: Chaperones for Stress and Chloroplast Development. Plant J. 2007, 49, 115–127. [Google Scholar] [CrossRef]
- Panzade, K.P.; Vishwakarma, H.; Padaria, J.C. Heat Stress Inducible Cytoplasmic Isoform of ClpB1 from Z. Nummularia Exhibits Enhanced Thermotolerance in Transgenic Tobacco. Mol. Biol. Rep. 2020, 47, 3821–3831. [Google Scholar] [CrossRef]
- Hundertmark, M.; Hincha, D.K. LEA (Late Embryogenesis Abundant) Proteins and Their Encoding Genes in Arabidopsis thaliana. BMC Genomics 2008, 9, 118. [Google Scholar] [CrossRef]
- Borrell, A.; Cutanda, M.C.; Lumbreras, V.; Pujal, J.; Goday, A.; Culiáñez-Macià, F.A.; Pagès, M. Arabidopsis thaliana Atrab28: A Nuclear Targeted Protein Related to Germination and Toxic Cation Tolerance. Plant Mol. Biol. 2002, 50, 249–259. [Google Scholar] [CrossRef]
- Espelund, M.; Sæbøe-Larssen, S.; Hughes, D.W.; Galau, G.A.; Larsen, F.; Jakobsen1, K.S. Late Embryogenesis-Abundant Genes Encoding Proteins with Different Numbers of Hydrophilic Repeats Are Regulated Differentially by Abscisic Acid and Osmotic Stress. Plant J. 1992, 2, 241–252. [Google Scholar] [CrossRef] [PubMed]
- Hatzopoulos, P.; Fong, F.; Sung, Z.R. Abscisic Acid Regulation of DC8, A Carrot Embryonic Gene. Plant Physiol. 1990, 94, 690–695. [Google Scholar] [CrossRef] [PubMed]
- Belott, C.; Janis, B.; Menze, M.A. Liquid-Liquid Phase Separation Promotes Animal Desiccation Tolerance. Proc. Natl. Acad. Sci. USA 2020, 117, 27676–27684. [Google Scholar] [CrossRef] [PubMed]
- Laohavisit, A.; Davies, J.M. Annexins. New Phytol. 2011, 189, 40–53. [Google Scholar] [CrossRef] [PubMed]
- Mortimer, J.C.; Laohavisit, A.; Macpherson, N.; Webb, A.; Brownlee, C.; Battey, N.H.; Davies, J.M. Annexins: Multifunctional Components of Growth and Adaptation. J. Exp. Bot. 2008, 59, 533–544. [Google Scholar] [CrossRef] [PubMed]
- Cantero, A.; Barthakur, S.; Bushart, T.J.; Chou, S.; Morgan, R.O.; Fernandez, M.P.; Clark, G.B.; Roux, S.J. Expression Profiling of the Arabidopsis Annexin Gene Family during Germination, de-Etiolation and Abiotic Stress. Plant Physiol. Biochem. 2006, 44, 13–24. [Google Scholar] [CrossRef] [PubMed]
- Sghaier-Hammami, B.; Hammami, S.B.M.; Baazaoui, N.; Gómez-Díaz, C.; Jorrín-Novo, J.V. Dissecting the Seed Maturation and Germination Processes in the Non-Orthodox Quercus Ilex Species Based on Protein Signatures as Revealed by 2-DE Coupled to MALDI-TOF/TOF Proteomics Strategy. Int. J. Mol. Sci. 2020, 21, 4870. [Google Scholar] [CrossRef] [PubMed]
- Liu, Z.; Zheng, L.; Pu, L.; Ma, X.; Wang, X.; Wu, Y.; Ming, H.; Wang, Q.; Zhang, G. ENO2 Affects the Seed Size and Weight by Adjusting Cytokinin Content and Forming ENO2-BZIP75 Complex in Arabidopsis thaliana. Front. Plant Sci. 2020, 11, 574316. [Google Scholar] [CrossRef]
- Lee, H.; Guo, Y.; Ohta, M.; Xiong, L.; Stevenson, B.; Zhu, J.K. LOS2, a Genetic Locus Required for Cold-Responsive Gene Transcription Encodes a Bi-Functional Enolase. EMBO J. 2002, 21, 2692–2702. [Google Scholar] [CrossRef]
- Goggin, D.E.; Powles, S.B.; Steadman, K.J. Selection for Low or High Primary Dormancy in Lolium rigidum Gaud Seeds Results in Constitutive Differences in Stress Protein Expression and Peroxidase Activity. J. Exp. Bot. 2011, 62, 1037–1047. [Google Scholar] [CrossRef]
- Duminil, P.; Davanture, M.; Oury, C.; Boex-Fontvieille, E.; Tcherkez, G.; Zivy, M.; Hodges, M.; Glab, N. Arabidopsis thaliana 2,3-Bisphosphoglycerate-Independent Phosphoglycerate Mutase 2 Activity Requires Serine 82 Phosphorylation. Plant J. 2021, 107, 1478–1489. [Google Scholar] [CrossRef] [PubMed]
- Pirovich, D.B.; Da’dara, A.A.; Skelly, P.J. Multifunctional Fructose 1,6-Bisphosphate Aldolase as a Therapeutic Target. Front. Mol. Biosci. 2021, 8, 719678. [Google Scholar] [CrossRef] [PubMed]
- Cai, B.; Li, Q.; Xu, Y.; Yang, L.; Bi, H.; Ai, X. Genome-Wide Analysis of the Fructose 1,6-Bisphosphate Aldolase (FBA) Gene Family and Functional Characterization of FBA7 in Tomato. Plant Physiol. Biochem. 2016, 108, 251–265. [Google Scholar] [CrossRef] [PubMed]
- Valderrama, R.; Corpas, F.J.; Carreras, A.; Gómez-Rodríguez, M.V.; Chaki, M.; Pedrajas, J.R.; Fernández-Ocaña, A.; Del Río, L.A.; Barroso, J.B. The Dehydrogenase-Mediated Recycling of NADPH Is a Key Antioxidant System against Salt-Induced Oxidative Stress in Olive Plants. Plant Cell Environ. 2006, 29, 1449–1459. [Google Scholar] [CrossRef] [PubMed]
- Xia, L.; Kong, X.; Song, H.; Han, Q.; Zhang, S. Advances in Proteome-Wide Analysis of Plant Lysine Acetylation. Plant Commun. 2022, 3, 100266. [Google Scholar] [CrossRef]
- Liao, X.; Li, Y.; Hu, Z.; Lin, Y.; Zheng, B.; Ding, J. Poplar Acetylome Profiling Reveals Lysine Acetylation Dynamics in Seasonal Bud Dormancy Release. Plant Cell Environ. 2021, 44, 1830–1845. [Google Scholar] [CrossRef]
- Gerrard Wheeler, M.C.; Arias, C.L.; Righini, S.; Badia, M.B.; Andreo, C.S.; Drincovich, M.F.; Saigo, M. Differential Contribution of Malic Enzymes during Soybean and Castor Seeds Maturation. PLoS ONE 2016, 11, e0158040. [Google Scholar] [CrossRef]
- Shigeyama, T.; Watanabe, A.; Tokuchi, K.; Toh, S.; Sakurai, N.; Shibuya, N.; Kawakami, N. α-Xylosidase Plays Essential Roles in Xyloglucan Remodelling, Maintenance of Cell Wall Integrity, and Seed Germination in Arabidopsis thaliana. J. Exp. Bot. 2016, 67, 5615–5629. [Google Scholar] [CrossRef]
- Ahn, J.W.; Verma, R.; Kim, M.; Lee, J.Y.; Kim, Y.K.; Bang, J.W.; Reiter, W.D.; Pai, H.S. Depletion of UDP-d-Apiose/UDP-d-Xylose Synthases Results in Rhamnogalacturonan-II Deficiency, Cell Wall Thickening, and Cell Death in Higher Plants. J. Biol. Chem. 2006, 281, 13708–13716. [Google Scholar] [CrossRef]
- Ravanel, S.; Block, M.A.; Rippert, P.; Jabrin, S.; Curien, G.; Rébeillé, F.; Douce, R. Methionine Metabolism in Plants. J. Biol. Chem. 2004, 279, 22548–22557. [Google Scholar] [CrossRef]
- Rody, H.V.S.; de Oliveira, L.O. Evolutionary History of the Cobalamin-Independent Methionine Synthase Gene Family across the Land Plants. Mol. Phylogenetics Evol. 2018, 120, 33–42. [Google Scholar] [CrossRef] [PubMed]
- Khodadadi, E.; Fakheri, B.A.; Aharizad, S.; Emamjomeh, A.; Norouzi, M.; Komatsu, S. Leaf Proteomics of Drought-Sensitive and -Tolerant Genotypes of Fennel. Biochim. Biophys. Acta (BBA)-Proteins Proteom. 2017, 1865, 1433–1444. [Google Scholar] [CrossRef]
- Shen, B.; Li, C.; Tarczynski, M.C. High Free-Methionine and Decreased Lignin Content Result from a Mutation in the Arabidopsis S-Adenosyl-L-Methionine Synthetase 3 Gene. Plant J. 2002, 29, 371–380. [Google Scholar] [CrossRef] [PubMed]
- Cooper, A.J.L.; Shurubor, Y.I.; Dorai, T.; Pinto, J.T.; Isakova, E.P.; Deryabina, Y.I.; Denton, T.T.; Krasnikov, B.F. ω-Amidase: An Underappreciated, but Important Enzyme in l-Glutamine and l-Asparagine Metabolism; Relevance to Sulfur and Nitrogen Metabolism, Tumor Biology and Hyperammonemic Diseases. Amino Acids 2016, 48, 1–20. [Google Scholar] [CrossRef] [PubMed]
- Increasing Plant Growth by Modulating Omega-Amidase Expression in Plants (Patent)|OSTI.GOV. Available online: https://www.osti.gov/biblio/1187949 (accessed on 11 December 2023).
- Clouse, J.W.; Adhikary, D.; Page, J.T.; Ramaraj, T.; Deyholos, M.K.; Udall, J.A.; Fairbanks, D.J.; Jellen, E.N.; Maughan, P.J.; Clouse, J.; et al. The Amaranth Genome: Genome, Transcriptome, and Physical Map Assembly. Plant Genome 2016, 9, plantgenome2015.07.0062. [Google Scholar] [CrossRef] [PubMed]
- Ishihama, Y.; Oda, Y.; Tabata, T.; Sato, T.; Nagasu, T.; Rappsilber, J.; Mann, M. Exponentially Modified Protein Abundance Index (EmPAI) for Estimation of Absolute Protein Amount in Proteomics by the Number of Sequenced Peptides per Protein. Mol. Cell. Proteom. 2005, 4, 1265–1272. [Google Scholar] [CrossRef]
- R Package “Corrplot” Visualization of a Correlation Matrix; Version 0.84; References—Scientific Research Publishing: Wuhan, China, 2017; Available online: https://github.com/taiyun/corrplot (accessed on 11 December 2023).
- Gu, Z.; Eils, R.; Schlesner, M. Complex Heatmaps Reveal Patterns and Correlations in Multidimensional Genomic Data. Bioinformatics 2016, 32, 2847–2849. [Google Scholar] [CrossRef]






Disclaimer/Publisher’s Note: The statements, opinions and data contained in all publications are solely those of the individual author(s) and contributor(s) and not of MDPI and/or the editor(s). MDPI and/or the editor(s) disclaim responsibility for any injury to people or property resulting from any ideas, methods, instructions or products referred to in the content. |
© 2024 by the authors. Licensee MDPI, Basel, Switzerland. This article is an open access article distributed under the terms and conditions of the Creative Commons Attribution (CC BY) license (https://creativecommons.org/licenses/by/4.0/).
Share and Cite
Bojórquez-Velázquez, E.; Zamora-Briseño, J.A.; Barrera-Pacheco, A.; Espitia-Rangel, E.; Herrera-Estrella, A.; Barba de la Rosa, A.P. Comparative Proteomic Analysis of Wild and Cultivated Amaranth Species Seeds by 2-DE and ESI-MS/MS. Plants 2024, 13, 2728. https://doi.org/10.3390/plants13192728
Bojórquez-Velázquez E, Zamora-Briseño JA, Barrera-Pacheco A, Espitia-Rangel E, Herrera-Estrella A, Barba de la Rosa AP. Comparative Proteomic Analysis of Wild and Cultivated Amaranth Species Seeds by 2-DE and ESI-MS/MS. Plants. 2024; 13(19):2728. https://doi.org/10.3390/plants13192728
Chicago/Turabian StyleBojórquez-Velázquez, Esaú, Jesus Alejandro Zamora-Briseño, Alberto Barrera-Pacheco, Eduardo Espitia-Rangel, Alfredo Herrera-Estrella, and Ana Paulina Barba de la Rosa. 2024. "Comparative Proteomic Analysis of Wild and Cultivated Amaranth Species Seeds by 2-DE and ESI-MS/MS" Plants 13, no. 19: 2728. https://doi.org/10.3390/plants13192728
APA StyleBojórquez-Velázquez, E., Zamora-Briseño, J. A., Barrera-Pacheco, A., Espitia-Rangel, E., Herrera-Estrella, A., & Barba de la Rosa, A. P. (2024). Comparative Proteomic Analysis of Wild and Cultivated Amaranth Species Seeds by 2-DE and ESI-MS/MS. Plants, 13(19), 2728. https://doi.org/10.3390/plants13192728

