Stem Rust Resistance and Resistance-Associated Genes in 64 Wheat Cultivars from Southern Huanghuai, China
Abstract
1. Introduction
2. Results
2.1. Field Evaluation
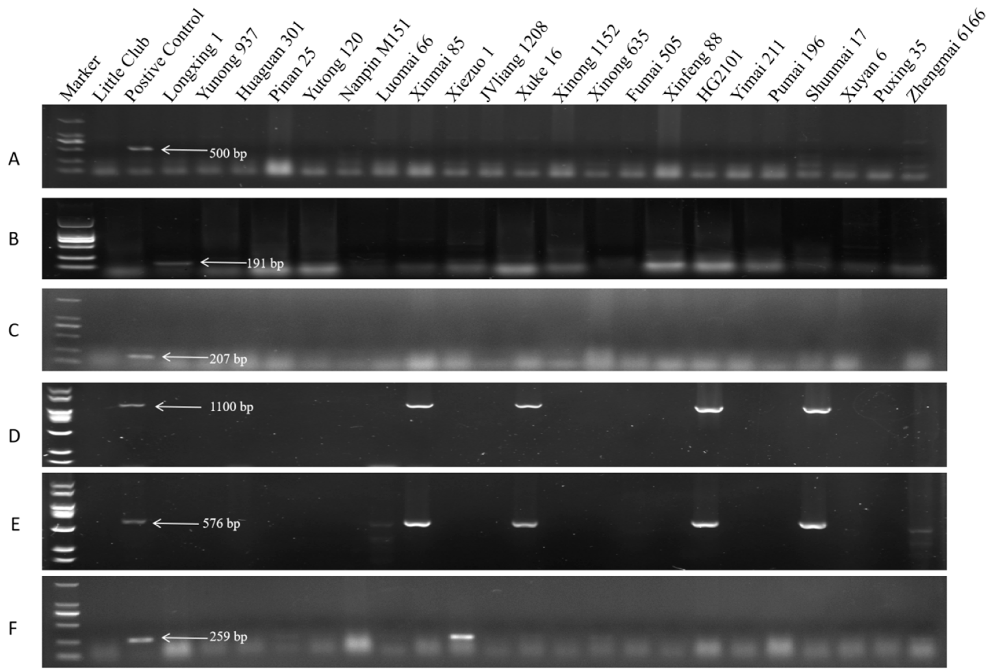
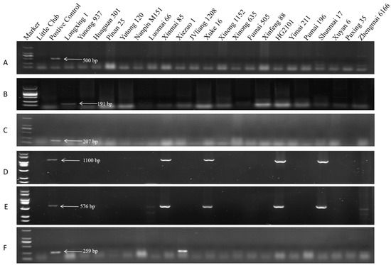
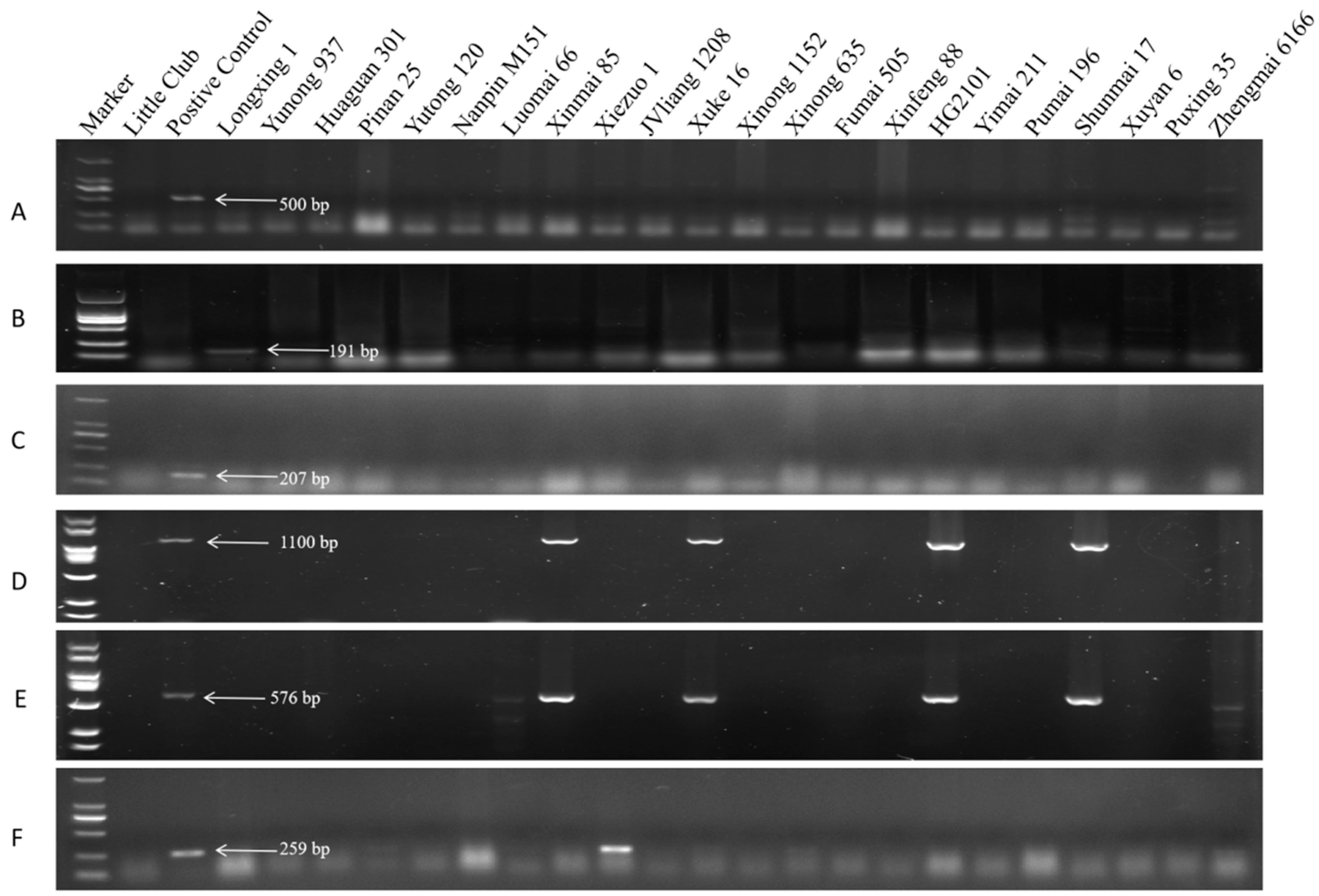
2.2. Molecular Markers of Stem Rust Resistance Genes in Cultivars (Lines)
3. Discussion
4. Materials and Methods
4.1. Plant Materials and Pgt Races
4.2. Filed Identification at the Adult Stage
4.3. Molecular Markers of Resistance Genes
5. Conclusions
Supplementary Materials
Author Contributions
Funding
Data Availability Statement
Acknowledgments
Conflicts of Interest
References
- Singh, P.R.; Hodson, P.D.; Huerta-Espino, J.; Jin, Y.; Bhavani, S.; Njau, P.; Herrera-Foessel, S.; Singh, P.K.; Singh, S.; Govindan, V. The emergence of Ug99 races of the stem rust fungus is a threat to world wheat production. Annu. Rev. Phytopathol. 2011, 49, 465–481. [Google Scholar] [CrossRef]
- Pardey, P.G.; Beddow, J.M.; Kriticos, D.J.; Hurley, T.; Park, R.F.; Duveiller, E.; Sutherst, R.W.; Burdon, J.J.; Hodson, D. Right-sizing stem-rust research. Science 2013, 340, 147–148. [Google Scholar] [CrossRef] [PubMed]
- Li, H.; Boshoff, H.W.; Pretorius, Z.A.; Zheng, Q.; Li, B.; Li, Z. Establishment of wheat Thinopyrum ponticum translocation lines with resistance to Puccinia graminis f. sp. tritici Ug99. J. Genet. Genom. 2019, 46, 405–407. [Google Scholar] [CrossRef]
- Li, T.Y.; Liu, M.J.; Wu, H.D.; Li, D.D.; Xu, X.F.; Cao, Y.Y. Seedling resistance appraisal and detection of three important genes conferring resistance to stem rust in wheat cultivars or lines from Yunnan Province. Acta Phytopathol. Sinica 2017, 47, 128–132. [Google Scholar]
- Xin, X.W.; Jun, Q.L.; Yu, X.N.; Sun, Q.; Chen, R.Z.; Xu, X.F.; Qiu, Y.C.; Li, T.Y. Characterization of wheat monogenic lines with known Sr genes and wheat lines with resistance to the Ug99 race group for resistance to prevalent races of Puccinia graminis f. sp. tritici in China. Plant Dis. 2020, 104, 1939–1943. [Google Scholar]
- Anwer, S.B.; Ghulam, M.; Shahzad, B.; Alyemeni, M.N.; Ahmad, P. Genetic transformation of Sr22 gene in a high yielding susceptible cultivar of commercial wheat (Triticum aestivum L.). 3 Biotech 2020, 10, 197. [Google Scholar]
- Edae, A.E.; Kosgey, Z.; Bajgain, P.; Ndung’u, K.C.; Gemechu, A.; Bhavani, S.; Anderson, J.A.; Rouse, M.N. The genetics of Ug99 stem rust resistance in spring wheat variety ‘Linkert’. Front. Plant Sci. 2024, 15, 1343148. [Google Scholar] [CrossRef]
- Pretorius, Z.A.; Singh, R.P.; Wagoire, W.W.; Payne, T.S. Detection of virulence to wheat stem rust resistance gene Sr31 in Puccinia graminis f. sp. tritici in Uganda. Plant Dis. 2000, 84, 203. [Google Scholar] [CrossRef]
- Li, T.Y.; Cao, Y.Y.; Wu, X.X.; Xu, X.F.; Wang, W.L. Seedling resistance to stem rust and molecular marker analysis of resistance genes in wheat cultivars of Yunnan, China. PLoS ONE 2016, 11, e0165640. [Google Scholar] [CrossRef]
- Kumar, S.; Fetch, T.G.; Knox, R.E.; Singh, A.K.; Clarke, J.M.; DePauw, R.; Cuthbert, R.D.; Campbell, H.L.; Singh, D.P.; Bhavani, S.; et al. Mapping of Ug99 stem rust resistance in Canadian durum wheat. Can. J. Plant Pathol. 2021, 43, 599–611. [Google Scholar] [CrossRef]
- Gao, F.; Wu, X.; Sun, H.; Wang, Z.; Chen, S.; Zou, L.; Yang, J.; Wei, Y.; Ni, X.; Sun, Q.; et al. Identification of stem rust resistance genes in Triticum wheat cultivars and evaluation of their resistance to Puccinia graminis f. sp. tritici. Agriculture 2024, 14, 198. [Google Scholar] [CrossRef]
- Terefe, T.G.; Boshoff, W.H.P.; Park, R.F.; Pretorius, Z.A.; Visser, B. Wheat stem rust surveillance reveals two new races of Puccinia graminis f. sp. tritici in South Africa during 2016 to 2020. Plant Dis. 2024, 108, 20–29. [Google Scholar] [CrossRef] [PubMed]
- Si, B.; Wang, H.; Bai, J.; Zhang, Y.; Cao, Y. Evaluating the utility of Simplicillium Lanosoniveum, a hyperparasitic fungus of Puccinia graminis f. sp. tritici, as a biological control agent against wheat stem rust. Pathogens 2022, 12, 22. [Google Scholar]
- Wu, X.X.; Lin, Q.J.; Ni, X.Y.; Sun, Q.; Chen, R.Z.; Xu, X.F.; Qiu, Y.C.; Li, T.Y. Characterization of wheat monogenic lines with known Sr genes and wheat cultivars for resistance to three new races of Puccinia graminis f. sp. tritici in China. J. Integr. Agric. 2023, 22, 1740–1749. [Google Scholar] [CrossRef]
- Sun, H.; Wang, Z.; Wang, R.; Chen, S.; Ni, X.; Gao, F.; Zhang, Y.; Xu, Y.; Wu, X.; Li, T. Identification of wheat stem rust resistance genes in wheat cultivars from Hebei Province, China. Front. Plant Sci. 2023, 14, 1156936. [Google Scholar] [CrossRef]
- Olivera, P.D.; Szabo, L.J.; Kokhmetova, A.; Morgounov, A.; Luster, D.G.; Jin, Y. Puccinia graminis f. sp. tritici population causing recent wheat stem rust epidemics in Kazakhstan is highly diverse and includes novel virulences. Phytopathology 2022, 112, 2403–2415. [Google Scholar] [CrossRef] [PubMed]
- Bhattacharya, S. Deadly new wheat disease threatens Europe’s crops. Nature 2017, 542, 145–146. [Google Scholar] [CrossRef]
- Li, T.Y.; Ma, Y.C.; Wu, X.X.; Chen, S.; Xu, X.F.; Wang, H.; Cao, Y.Y.; Xuan, Y.H. Race and virulence characterization of Puccinia graminis f. sp. tritici in China. PLoS ONE 2018, 13, e0197579. [Google Scholar] [CrossRef]
- Liu, A.F.; Li, H.S.; Song, J.M.; Cheng, D.G.; Zhao, Z.J.; Liu, J.J. Analysis of resistance status of wheat stem rust resistance gene to new race Ug99. Shandong Agric. Sci. 2009, 6, 61–63. [Google Scholar]
- Li, T.Y.; Chen, S.; Cao, Y.Y.; Luan, Z.J.; Chen, X.M.; Shen, L.L.; Li, K.Y. Analysis of resistance to stem rust of wheat cultivars in Yunnan Province. J. Triticeae Crop. 2014, 34, 267–271. [Google Scholar]
- Cao, Y.Y.; Han, J.D.; Zhu, G.Q.; Zhang, L. Ug99, a new virulent race of Puccinia graminis f. sp. tritici and its effect on China. Plant Prot. 2007, 33, 86–89. [Google Scholar]
- Pretorius, Z.A.; Szabo, L.J.; Boshoff, W.H.P.; Herselman, L.; Visser, B. First report of a new TTKSF race of wheat stem rust (Puccinia graminis f. sp. tritici) in South Africa and Zimbabwe. Plant Dis. 2012, 96, 590. [Google Scholar] [CrossRef] [PubMed]
- Bhavani, S.; Hodson, D.P.; Huerta-Espino, J.; Randhawa, M.S.; Singh, R.P. Progress in breeding for resistance to Ug99 and other races of the stem rust fungus in CIMMYT wheat germplasm. Front. Agric. Sci. Eng. 2019, 6, 210–224. [Google Scholar] [CrossRef]
- Hale, I.L.; Mamuya, I.; Singh, D. Sr31-virulent races (TTKSK, TTKST, and TTTSK) of the wheat stem rust pathogen Puccinia graminis f. sp. tritici are present in Tanzania. Plant Dis. 2013, 97, 557. [Google Scholar] [CrossRef]
- Jin, Y.; Szabo, L.J.; Pretorius, A.; Singh, R.P.; Ward, R.; Fetch, T. Detection of virulence to resistance gene Sr24 within race TTKS of Puccinia graminis f. sp. tritici. Plant Dis. 2008, 92, 923–926. [Google Scholar] [CrossRef] [PubMed]
- Olivera, P.; Newcomb, M.; Szabo, L.J.; Rouse, M.; Johnson, J.; Gale, S.; Luster, D.G.; Hodson, D.; Cox, J.A.; Burgin, L. Phenotypic and genotypic characterization of race TKTTF of Puccinia graminis f. sp. tritici that caused a wheat stem rust epidemic in southern ethiopia in 2013-14. Phytopathology 2015, 105, 917–928. [Google Scholar] [CrossRef] [PubMed]
- Li, Q.; Wang, B.; Chao, K.; Guo, J.; Song, J.; Yue, W.; Li, Q. Molecular detection of stripe rust resistance gene(s) in 115 wheat cultivars (lines) from the Yellow and Huai River valley wheat region. J. Phytopathol. 2016, 164, 946–958. [Google Scholar] [CrossRef]
- Vishwakarma, G.; Saini, A.; Bhardwaj, S.C.; Kumar, S.; Das, B.K. Comparative transcriptomics of stem rust resistance in wheat NILs mediated by Sr24 rust resistance gene. PLoS ONE 2023, 18, e0295202. [Google Scholar] [CrossRef]
- Mago, R.; Bariana, H.S.; Dundas, I.S.; Spielmeyer, W.; Lawrence, G.J.; Pryor, A.J.; Ellis, J.G. Development of PCR markers for the selection of wheat stem rust resistance genes Sr24 and Sr26 in diverse wheat germplasm. Theor. Appl. Genet. 2005, 111, 496–504. [Google Scholar] [CrossRef] [PubMed]
- Pretorius, Z.A.; Jin, Y.; Bender, C.M.; Herselman, L.; Prins, R. Seedling resistance to stem rust race Ug99 and marker analysis for Sr2, Sr24 and Sr31 in South African wheat cultivars and lines. Euphytica 2011, 186, 15–23. [Google Scholar] [CrossRef]
- Wolday, A.; Fetch, T.; Hodson, D.P.; Cao, W.; Briere, S. First report of Puccinia graminis f. sp. tritici races with virulence to wheat stem rust resistance genes Sr31 and Sr24 in Eritrea. Plant Dis. 2011, 95, 1591. [Google Scholar] [CrossRef] [PubMed]
- Jain, S.K.; Prashar, M.; Bhardwaj, S.C.; Singh, S.B.; Sharma, Y.P. Emergence of virulence to Sr25 of Puccinia graminis f. sp. tritici on wheat in India. Plant Dis. 2009, 93, 840. [Google Scholar] [CrossRef] [PubMed]
- Xu, F.X.; Li, D.D.; Liu, Y.; Gao, Y.; Wang, Z.Y.; Ma, Y.C.; Yang, S.; Cao, Y.Y.; Xuan, Y.H.; Li, T.Y. Evaluation and identification of stem rust resistance genes Sr2, Sr24, Sr25, Sr26, Sr31 and Sr38 in wheat lines from Gansu Province in China. PeerJ 2017, 5, e4146. [Google Scholar] [CrossRef] [PubMed]

| Cultivars (Lines) | Infection Responses a | Results of Molecular Marker Tests b | ||||||||
|---|---|---|---|---|---|---|---|---|---|---|
| 21C3CTHQM | 34MKGQM | |||||||||
| 2023 | 2024 | 2023 | 2024 | Sr24 | Sr25 | Sr26 | Sr31 | Sr38 | ||
| Iag95 | SCSS30.2576 | |||||||||
| Nanpinzhongmai 6321 | 0 | 0 | 50MR50 | 0 | - | - | - | + | + | - |
| Zhongzhimai 22 | 50MR30 | 40MR10 | 50MR20 | 40R20 | - | - | - | + | + | - |
| Zhongzhimai 23 | 100S100 | 100S100 | 70S70 | 100S100 | - | - | - | - | - | - |
| Nanpin nongda 759 | 70S60 | 50MS60 | 60MR50 | 30R20 | - | - | - | - | - | - |
| Pubingzi 4696 | 40MR30 | 30R20 | 40MR20 | 20R20 | - | - | - | - | - | + |
| Nanpin yunong 82 | 40MR50 | 10MR10 | 60MR50 | 30MR20 | - | - | - | + | + | - |
| Dehongfu 22 | 50MR40 | 0 | 70MR100 | 50MR100 | - | - | - | + | + | - |
| Longxing 1 | 100S100 | 100S100 | 100S100 | 100S100 | - | - | - | - | - | - |
| Nanpin yongfeng 308 | 100S100 | 100S100 | 100S100 | 60MS70 | - | - | - | - | - | - |
| Yunong 937 | 100S100 | 100S100 | 100S100 | 20MS20 | - | - | - | - | - | - |
| Huaguan 301 | 70MS50 | 100S100 | 100S100 | 70S80 | - | - | - | - | - | - |
| Pingan25 | 20MR30 | 20MR20 | 30MR20 | 20MR20 | - | - | - | + | + | - |
| Yutong 120 | 50MR60 | 20MR40 | 50MS50 | 30MS60 | - | - | - | - | - | - |
| Nanpin M151 | 20MR10 | 5R5 | 30MR40 | 10R20 | - | - | - | + | + | - |
| Luomai 66 | 100S100 | 40MS70 | 30MR40 | 20R20 | - | - | - | - | - | - |
| Xinmai 85 | 30R60 | 20R30 | 10R10 | 5R10 | - | - | - | + | + | - |
| Nanpin yongminmai 2 | 30R20 | 10R10 | 5R5 | 0 | - | - | - | + | + | + |
| Xiezuo 1 | 100S100 | 60MS100 | 70S70 | 50S50 | - | - | - | - | - | - |
| Jvliang 1208 | 0 | 0 | 20MR20 | 0 | - | - | - | + | + | + |
| Zhengmai 916 | 0 | 0 | 30MR30 | 20R40 | - | - | - | - | - | + |
| Xuke 16 | 50MR60 | 20MR20 | 10R20 | 5R10 | - | - | - | + | + | - |
| Xinong 1152 | 20MR70 | 20R10 | 10R10 | 5R5 | - | - | - | + | + | - |
| Xinong 635 | 40MR30 | 20MR20 | 80S80 | 50S50 | - | - | - | - | - | - |
| Xinong 615 | 100S100 | 100S100 | 20MR10 | 30MR20 | - | - | - | - | - | - |
| Zhengmai 216 | 100S100 | 100S100 | 30MS40 | 20MS40 | - | - | - | - | - | - |
| Fumai 505 | 100S100 | 30S50 | 30MS60 | 10MS20 | - | - | - | - | - | - |
| Xinfeng 88 | 20MR10 | 0 | 70MR80 | 50MR70 | - | - | - | - | - | + |
| HG 2101 | 60MR50 | 5R5 | 30R20 | 5R5 | - | - | - | + | + | - |
| Pumai 196 | 10R10 | 5R5 | 10R5 | 0 | - | - | - | + | + | - |
| Yimai 211 | 0 | 0 | 0 | 0 | - | - | - | - | - | + |
| Zhengmai 6166 | 10R10 | 0 | 5R5 | 0 | - | - | - | - | - | - |
| Shunmai 17 | 50MR60 | 40MR30 | 20MR20 | 10MR10 | - | - | - | + | + | - |
| Xuyan 6 | 10R10 | 0 | 10R20 | 5R5 | - | - | - | + | + | - |
| Lunxuan 2116 | 70S70 | 50MS90 | 50MS40 | 60MS70 | - | - | - | - | - | - |
| Puxing 35 | 60MS70 | 50MS60 | 50MS50 | 30MS40 | - | - | - | - | - | - |
| Zhongyu 130 | 70MS80 | 60MS90 | 50MS50 | 40MS40 | - | - | - | - | - | - |
| Shengmaiyuan 928 | 100S100 | 70S60 | 80S50 | 60MS70 | - | - | - | - | - | - |
| Zhengxuan 219 | 30MR30 | 10R10 | 30MR50 | 5R5 | - | - | - | + | + | - |
| gx2021 | 60MS50 | 5MS50 | 0 | 0 | - | - | - | + | + | - |
| Luofeng 2101 | 20MR30 | 5R50 | 70S80 | 50S100 | - | - | - | - | - | - |
| Tianyike 15 | 100S100 | 100S100 | 70S80 | 40MS40 | - | - | - | - | - | - |
| Wanke 800 | 100S100 | 100S100 | 100S100 | 60S70 | - | - | - | - | - | - |
| Huaimai 16659 | 70MS30 | 20R10 | 10R10 | 0 | - | - | - | - | - | - |
| Baofeng 225 | 40MR40 | 5R5 | 50MR100 | 20R20 | - | - | - | + | + | - |
| Yannong 5066 | 70MR70 | 20R10 | 20MR20 | 5R5 | - | - | - | - | - | - |
| Bainongchengzu 21 | 10R10 | 0 | 0 | 0 | - | - | - | + | + | - |
| Bainonghuarun 175 | 50MR50 | 10R10 | 10R10 | 10R10 | - | - | - | + | + | - |
| Xinong 1522 | 10R10 | 0 | 10R10 | 0 | - | - | - | - | - | - |
| Shannong 1695 | 20MR40 | 5R5 | 10R10 | 0 | - | - | - | + | + | - |
| Shaanhe 285 | 100S100 | 100S100 | 100S100 | 50S50 | - | - | - | - | - | - |
| XM 1186 | 70S70 | 30MS40 | 100S100 | 20MS50 | - | - | - | - | - | - |
| Daimai 519 | 10R10 | 10R10 | 5R5 | 10R10 | - | - | - | - | - | - |
| Xinong 816 | 0 | 0 | 0 | 0 | - | - | - | + | + | - |
| Xinliang 18 | 20R40 | 20R10 | 20R50 | 40R20 | - | - | - | + | + | - |
| LS01897 | 60MR70 | 40MR30 | 10R10 | 50R10 | - | - | - | + | + | - |
| Xumai 19094 | 40MR50 | 10R10 | 5R5 | 5R5 | - | - | - | + | + | - |
| Fumai 1699 | 50MR50 | 20R10 | 10R10 | 30R10 | - | - | - | + | + | - |
| Yunong 612 | 100S100 | 100S100 | 100S100 | 100S100 | - | - | - | - | - | - |
| Pubing 56 | 20MR30 | 0 | 5R5 | 0 | - | - | - | + | + | - |
| Pubing 300 | 70MS80 | 50MS50 | 5R5 | 20R10 | - | - | - | - | - | - |
| Zhongmai 236 | 80S100 | 50MS100 | 10R10 | 0 | - | - | - | - | - | - |
| Xinong 5189 | 20MR40 | 10R20 | 20R30 | 20R10 | - | - | - | + | + | - |
| Xinong 5199 | 30MR40 | 30MR40 | 0 | 10R10 | - | - | - | + | + | - |
| Tianyike 18 | 20R50 | 10R10 | 5R5 | 5R5 | - | - | - | + | + | - |
| Little Club | 100S100 | 100S100 | 100S100 | 100S100 | - | - | - | - | - | - |
| Races | Adult Plant Stage | |||||
|---|---|---|---|---|---|---|
| Immune | Resistant–Moderately Resistant | Moderately Susceptible–Susceptible | ||||
| 2023 | 2024 | 2023 | 2024 | 2023 | 2024 | |
| 21C3CTHQM | 5 (7.8) a | 12 (18.8) | 35 (54.7) | 29 (45.3) | 24 (37.5) | 23 (35.9) |
| 34MKGQM | 5 (7.8) | 14 (21.9) | 39 (60.9) | 30 (46.9) | 20 (31.2) | 20 (31.2) |
| All races | 2 (3.1) | 8 (12.5) | 35 (54.7) | 30 (46.9) | 27 (42.2) | 26 (40.6) |
| Race | Effective Sr Genes | Ineffective Sr Genes |
|---|---|---|
| 21C3CTHQM | 5, 9e, 14, 19, 21, 23, 25, 26, 28, 29, 30, 31, 33, 35, 36, 37, 38, 47, Tt3 | 6, 7b, 8a, 9a, 9b, 9d, 9f, 9g, 10, 11, 12, 13, 15, 16, 17, 18, 20, 24, 27, 32, 34, 39, Tmp, GT |
| 34MKGQM | 9e, 10, 11, 13, 14, 17, 18, 19, 20, 21, 23, 25, 26, 30, 31, 32, 33, 34, 35, 36, 37, 38, 47, Tmp, Tt3 | 5, 6, 7b, 8a, 9a, 9b, 9d, 9f, 9g, 12, 15, 16, 22, 24, 27, 28, 29, 39, GT |
| Host Response (Class) | Infection Type | Disease Symptoms |
|---|---|---|
| Immune | 0 | No uredinia or other macroscopic signs of infection |
| Very resistant | 1 | Small uredinia surrounded by necrotic tissue |
| Moderately resistant | 2 | Small to medium uredinia often surrounded by chlorosis or necrotic tissue; green islands may be surrounded by chlorosis or necrotic borders |
| Moderately susceptible | 3 | Medium-sized uredinia that may be associated with chlorosis |
| Susceptible | 4 | Large uredinia without chlorosis |
| Sr Genes | Primer Namer | PCR Amplification Conditions | |
|---|---|---|---|
| Temperature (°C)/Time | Number of Cycles | ||
| Sr24 | Sr24#50 | 94/3 min | 1 |
| 94/30 s; 57/30 s; 72/40 s | 30 | ||
| 20/1 min | 1 | ||
| Sr25 | Gb | 94/3 min | 1 |
| 94/30 s; 60/30 s; 72/40 s | 30 | ||
| 20/1 min | 1 | ||
| Sr26 | Sr26#43 | 94/3 min | 1 |
| 94/30 s; 56/30 s; 72/40 s | 30 | ||
| 20/1 min | 1 | ||
| Sr31 | SCSS30.2576 | 95/5 min | 1 |
| 95/1 min; 60/1 min; 72/30 s | 35 | ||
| 72/10 min | 1 | ||
| Sr31 | Iag95 | 94/3 min | 1 |
| 94/30 s; 55/60 s; 72/70 s | 30 | ||
| 25/60 s | 1 | ||
| Sr38 | VENTRIUP-LN2 | 94/45 s | 1 |
| 94/45 s; 65/30 s; 72/1 min | 30 | ||
| 72/7 min | 1 | ||
Disclaimer/Publisher’s Note: The statements, opinions and data contained in all publications are solely those of the individual author(s) and contributor(s) and not of MDPI and/or the editor(s). MDPI and/or the editor(s) disclaim responsibility for any injury to people or property resulting from any ideas, methods, instructions or products referred to in the content. |
© 2024 by the authors. Licensee MDPI, Basel, Switzerland. This article is an open access article distributed under the terms and conditions of the Creative Commons Attribution (CC BY) license (https://creativecommons.org/licenses/by/4.0/).
Share and Cite
Wei, Y.; Wu, X.; Liu, D.; Sun, H.; Song, W.; Li, T. Stem Rust Resistance and Resistance-Associated Genes in 64 Wheat Cultivars from Southern Huanghuai, China. Plants 2024, 13, 2286. https://doi.org/10.3390/plants13162286
Wei Y, Wu X, Liu D, Sun H, Song W, Li T. Stem Rust Resistance and Resistance-Associated Genes in 64 Wheat Cultivars from Southern Huanghuai, China. Plants. 2024; 13(16):2286. https://doi.org/10.3390/plants13162286
Chicago/Turabian StyleWei, Yifan, Xianxin Wu, Dongjun Liu, Huiyan Sun, Weifu Song, and Tianya Li. 2024. "Stem Rust Resistance and Resistance-Associated Genes in 64 Wheat Cultivars from Southern Huanghuai, China" Plants 13, no. 16: 2286. https://doi.org/10.3390/plants13162286
APA StyleWei, Y., Wu, X., Liu, D., Sun, H., Song, W., & Li, T. (2024). Stem Rust Resistance and Resistance-Associated Genes in 64 Wheat Cultivars from Southern Huanghuai, China. Plants, 13(16), 2286. https://doi.org/10.3390/plants13162286

