The Impact of Organic Selenium (IV) on Hypericum perforatum L. under Cadmium Stress and Non-Stress Conditions
Abstract
1. Introduction
2. Results
2.1. Phytochemical Analysis
2.2. Growth Rates
2.3. Microscopic Examination
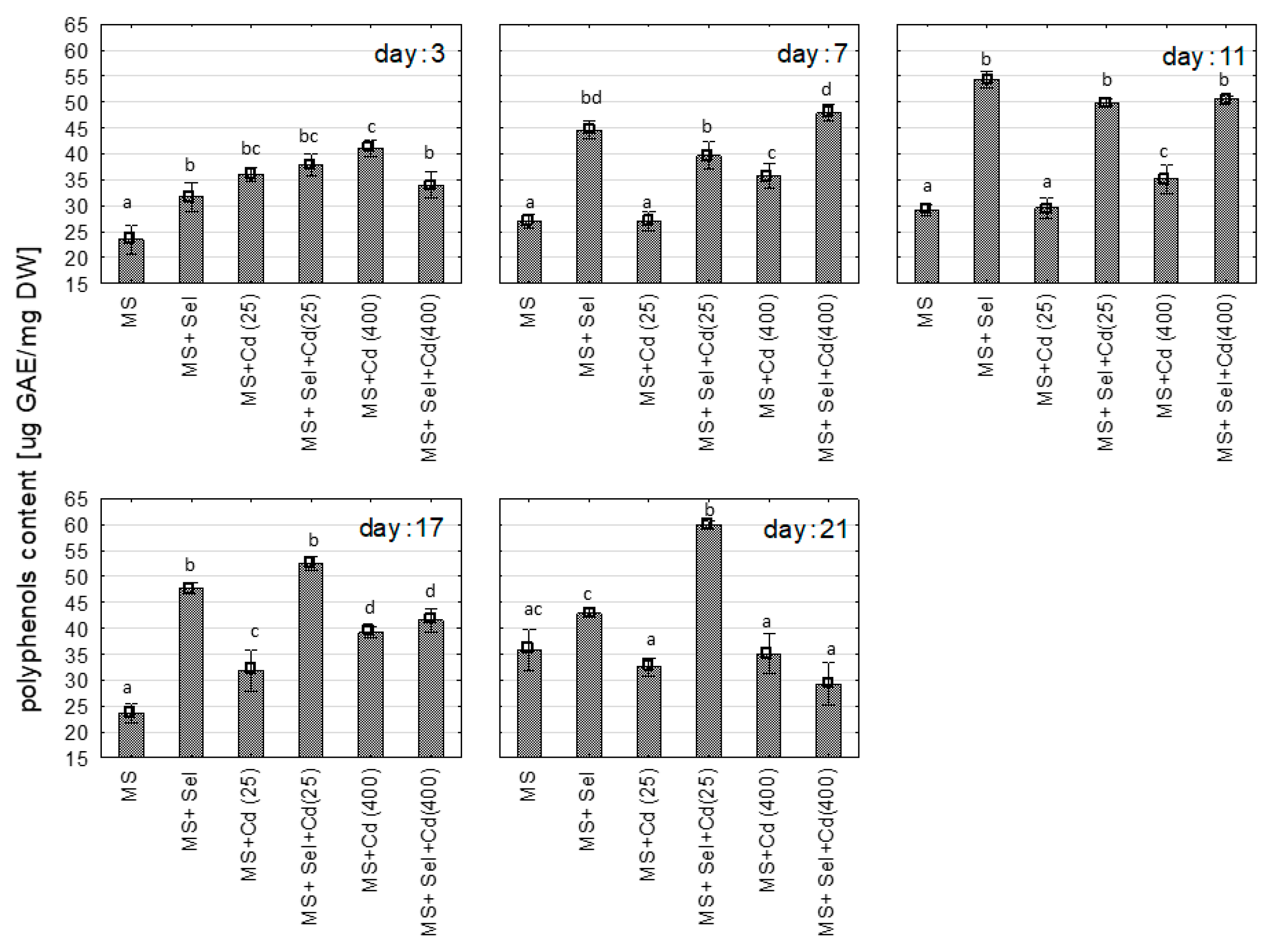
2.3.1. Polyphenols Content
2.3.2. Increase in Biomass
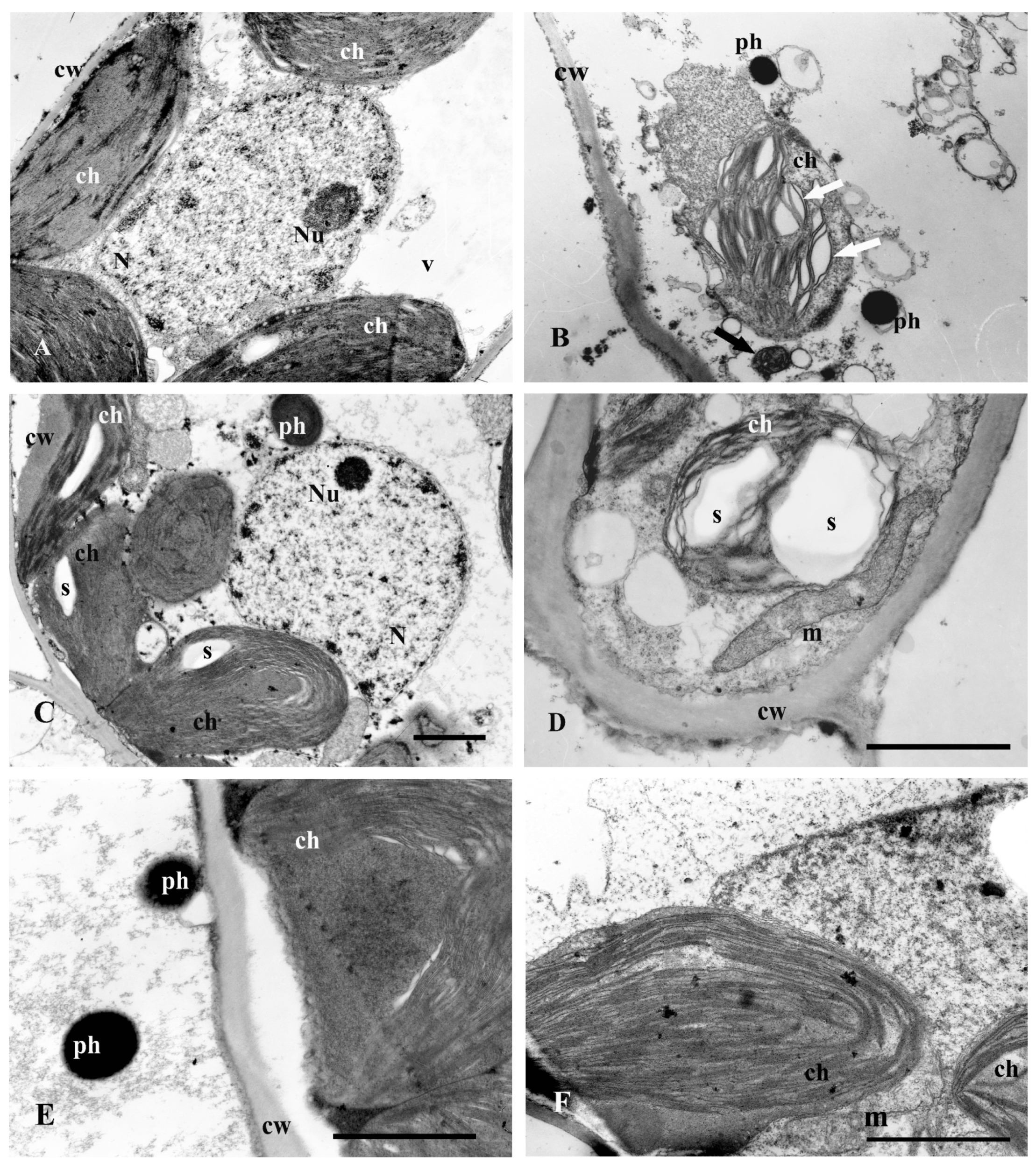
2.3.3. Ultrastructural Differences
3. Discussion
4. Materials and Methods
4.1. Reagents
4.2. Plant Growth
4.3. Phytochemical Analysis
4.4. Microscopic Examination
4.5. Statistical Analysis
5. Conclusions
Author Contributions
Funding
Data Availability Statement
Acknowledgments
Conflicts of Interest
References
- Kapoor, S.; Chandel, R.; Kaur, R.; Kumar, S.; Kumar, R.; Janghu, S.; Kaur, A.; Kumar, V. The flower of Hypericum perforatum L.: A traditional source of bioactives for new food and pharmaceutical applications. Biochem. Syst. Ecol. 2023, 110, 104702. [Google Scholar] [CrossRef]
- Galeotti, N. Hypericum perforatum (St John’s wort) beyond depression: A therapeutic perspective for pain conditions. J. Ethnopharmacol. 2017, 200, 136–146. [Google Scholar] [CrossRef] [PubMed]
- Masarovičová, E.; Kráľová, K.; Kummerová, M. Principles of classification of medicinal plants as hyperaccumulators or excluders. Acta Physiol. Plant. 2010, 32, 823–829. [Google Scholar] [CrossRef]
- Wójcik, M.; Vangronsveld, J.; D’Haen, J.; Tukiendorf, A. Cadmium tolerance in Thlaspi caerulescens: II. Localization of cadmium in Thlaspi caerulescens. Environ. Exp. Bot. 2005, 53, 163–171. [Google Scholar] [CrossRef]
- Aborisade, M.A.; Geng, H.; Oba, B.T.; Kumar, A.; Ndudi, E.A.; Battamo, A.Y.; Liu, J.; Chen, D.; Okimiji, O.P.; Ojekunle, O.Z.; et al. Remediation of soil polluted with Pb and Cd and alleviation of oxidative stress in Brassica rapa plant using nanoscale zerovalent iron supported with coconut-husk biochar. J. Plant Physiol. 2023, 287, 154023. [Google Scholar] [CrossRef]
- Aborisade, M.A.; Oba, B.; Kumar, A.; Liu, J.; Chen, D.; Okimiji, O.; Zhao, L. Remediation of metal toxicity and alleviation of toxic metals-induced oxidative stress in Brassica chinensis L using biochar-iron nanocomposites. Plant Soil. 2023, 493, 629–645. [Google Scholar] [CrossRef]
- Kubier, A.; Wilkin, R.T.; Pichler, T. Cadmium in soils and groundwater: A review. Appl. Geochem. 2019, 108, 104388. [Google Scholar] [CrossRef] [PubMed]
- Soni, S.; Jha, A.B.; Dubey, R.S.; Sharma, P. Mitigating cadmium accumulation and toxicity in plants: The promising role of nanoparticles. Sci. Total Environ. 2024, 912, 168826. [Google Scholar] [CrossRef] [PubMed]
- Jones, G.D.; Droz, B.; Greve, P.; Gottschalk, P.; Poffet, D.; McGrath, S.P.; Seneviratne, S.I.; Smith, P.; Winkel, L.H.E. Selenium deficiency risk predicted to increase under future climate change. Proc. Natl. Acad. Sci. USA 2017, 114, 2848–2853. [Google Scholar] [CrossRef]
- Kaur, H.; Kaur, H.; Kaur, H.; Srivastava, S. The beneficial roles of trace and ultratrace elements in plants. Plant Growth Regul. 2023, 100, 219–236. [Google Scholar] [CrossRef]
- Huang, C.; Qin, N.; Sun, L.; Yu, M.; Hu, W.; Qi, Z. Selenium improves physiological parameters and alleviates oxidative stress in strawberry seedlings under low-temperature stress. Int. J. Mol. Sci. 2018, 19, 1913. [Google Scholar] [CrossRef] [PubMed]
- Ali, J.; Jan, I.; Ullah, H.; Fahad, S.; Saud, S.; Adnan, M.; Ali, B.; Liu, K.; Harrison, M.T.; Hassan, S.; et al. Biochemical Response of Okra (Abelmoschus esculentus L.) to Selenium (Se) under Drought Stress. Sustainability 2023, 15, 5694. [Google Scholar] [CrossRef]
- Rasool, A.; Hafiz Shah, W.; Padder, S.A.; Tahir, I.; Alharby, H.F.; Hakeem, K.R.; ul Rehman, R. Exogenous selenium treatment alleviates salinity stress in Proso Millet (Panicum miliaceum L.) by enhancing the antioxidant defence system and regulation of ionic channels. Plant Growth Regul. 2023, 100, 479–494. [Google Scholar] [CrossRef]
- Bakhtiari, M.; Raeisi Sadati, F.; Raeisi Sadati, S.Y. Foliar application of silicon, selenium, and zinc nanoparticles can modulate lead and cadmium toxicity in sage (Salvia officinalis L.) plants by optimizing growth and biochemical status. Environ. Sci. Pollut. Res. 2023, 30, 54223–54233. [Google Scholar] [CrossRef] [PubMed]
- Xu, H.; Yan, J.; Qin, Y.; Xu, J.; Shohag, M.J.I.; Wei, Y.; Gu, M. Effect of Different Forms of Selenium on the Physiological Response and the Cadmium Uptake by Rice under Cadmium Stress. Int. J. Environ. Res. Public Health 2020, 17, 6991. [Google Scholar] [CrossRef] [PubMed]
- Yin, H.; Qi, Z.; Li, M.; Ahammed, G.J.; Chu, X.; Zhou, J. Selenium forms and methods of application differentially modulate plant growth, photosynthesis, stress tolerance, selenium content and speciation in Oryza sativa L. Ecotoxicol. Environ. Saf. 2019, 169, 911–917. [Google Scholar] [CrossRef] [PubMed]
- Nie, X.; Luo, D.; Ma, H.; Wang, L.; Yang, C.; Tian, X.; Nie, Y. Different effects of selenium speciation on selenium absorption, selenium transformation and cadmium antagonism in garlic. Food Chem. 2024, 443, 138460. [Google Scholar] [CrossRef]
- Kowalska, I.; Smoleń, S.; Czernicka, M.; Halka, M.; Kęska, K.; Pitala, J. Effect of Selenium Form and Salicylic Acid on the Accumulation of Selenium Speciation Forms in Hydroponically Grown Lettuce. Agriculture 2020, 10, 584. [Google Scholar] [CrossRef]
- Hu, C.; Nie, Z.; Shi, H.; Peng, H.; Li, G.; Liu, H.; Li, C.; Liu, H. Selenium uptake, translocation, subcellular distribution and speciation in winter wheat in response to phosphorus application combined with three types of selenium fertilizer. BMC Plant Biol. 2023, 23, 224. [Google Scholar] [CrossRef]
- Wang, Q.; Huang, S.; Huang, Q.; Yu, Y.; Li, H.; Wan, Y. Absorption and Biotransformation of Selenomethionine and Selenomethionine-Oxide by Wheat Seedlings (Triticum aestivum L.). Plants 2024, 13, 380. [Google Scholar] [CrossRef]
- Ślusarczyk, J.; Malinowska, E.; Krzyczkowski, W.; Kuraś, M. Influence of inorganic and organic selenium on number of living mycelial cells and their ultrastructure in culture of Hericium erinaceum (Bull.: Fr. Pers.). Acta Biol. Hung. 2013, 64, 96–105. [Google Scholar] [CrossRef] [PubMed]
- Yu, Y.; Yuan, S.; Zhuang, J.; Wan, Y.; Wang, Q.; Zhang, J.; Li, H. Effect of selenium on the uptake kinetics and accumulation of and oxidative stress induced by cadmium in Brassica chinensis. Ecotoxicol. Environ. Saf. 2018, 162, 571–580. [Google Scholar] [CrossRef] [PubMed]
- Filek, M.; Gzyl-Malcher, B.; Zembala, M.; Bednarska, E.; Laggner, P.; Kriechbaum, M. Effect of selenium on characteristics of rape chloroplasts modified by cadmium. J. Plant Physiol. 2010, 167, 28–33. [Google Scholar] [CrossRef] [PubMed]
- Khan, Z.; Thounaojam, T.C.; Chowdhury, D.; Upadhyaya, H. The role of selenium and nano selenium on physiological responses in plant: A review. Plant Growth Regul. 2023, 100, 409–433. [Google Scholar] [CrossRef] [PubMed]
- Mueller, W.C.; Greenwood, A.D. The Ultrastructure of Phenolic-Storing Cells Fixed with Caffeine. J. Exp. Bot. 1978, 29, 757–764. [Google Scholar] [CrossRef]
- Germ, M.; Stibilj, V.; Kreft, I. Metabolic importance of selenium for plants. Eur. J. Plant Sci. Biotechnol. 2007, 1, 91–97. [Google Scholar]
- Smith, A.M.; Zeeman, S.C. Starch: A Flexible, Adaptable Carbon Store Coupled to Plant Growth. Annu. Rev. Plant Biol. 2020, 71, 217–245. [Google Scholar] [CrossRef] [PubMed]
- Terry, N.; Zayed, A.M.; de Souza, M.P.; Tarun, A.S. Selenium in higher plants. Annu. Rev. Plant Physiol. Plant Mol. Biol. 2000, 51, 401–432. [Google Scholar] [CrossRef]
- Pilon-Smits, E.H.; Quinn, C. Selenium Metabolism in Plants. In Cell Biology of Metals and Nutrients; Hell, R., Mendel, R.-R., Eds.; Plant Cell Monographs; Springer: Berlin/Heidelberg, Germany, 2010; Volume 17, pp. 225–241. [Google Scholar]
- Barillas, J.R.V.; Quinn, C.F.; Pilon-Smits, E.A.H. Selenium Accumulation in Plants—Phytotechnological Applications and Ecological Implications. Int. J. Phytoremediation 2011, 13, 166–178. [Google Scholar] [CrossRef]
- Peško, M.; Katarina, K.; Masarovičá, E. Response of Hypericum perforatum plants to supply of cadmium compounds containing different forms of selenium. Ecol. Chem. Engineering. S 2010, 17, 279–287. [Google Scholar]
- Genchi, G.; Lauria, G.; Catalano, A.; Sinicropi, M.S.; Carocci, A. Biological Activity of Selenium and Its Impact on Human Health. Int. J. Mol. Sci. 2023, 24, 2633. [Google Scholar] [CrossRef] [PubMed]
- Galić, L.; Vinković, T.; Ravnjak, B.; Lončarić, Z. Agronomic Biofortification of Significant Cereal Crops with Selenium—A Review. Agronomy 2021, 11, 1015. [Google Scholar] [CrossRef]
- Muszyńska, B.; Szacawa, E.; Bederska-Łojewska, D.; Dudek, K.; Pomierny, B.; Włodarczyk, A.; Kała, K.; Lazur, J.; Suchocki, P.; Budziszewska, B. Preliminary study on Se-enriched Lentinula edodes mycelium as a proposal of new feed additive in selenium deficiency. PLoS ONE 2020, 15, e0233456. [Google Scholar] [CrossRef] [PubMed]
- Chen, Z.; Lu, Y.; Dun, X.; Wang, X.; Wang, H. Research Progress of Selenium-Enriched Foods. Nutrients 2023, 15, 4189. [Google Scholar] [CrossRef] [PubMed]
- García-Sánchez, A.; Miranda-Díaz, A.G.; Cardona-Muñoz, E.G. The Role of Oxidative Stress in Physiopathology and Pharmacological Treatment with Pro- and Antioxidant Properties in Chronic Diseases. Oxidative Med. Cell. Longev. 2020, 2020, 2082145. [Google Scholar] [CrossRef]
- Falqueiro, A.M.; Primo, F.L.; Morais, P.C.; Mosiniewicz-Szablewska, E.; Suchocki, P.; Tedesco, A.C. Selol-loaded magnetic nanocapsules: A new approach for hyperthermia cancer therapy. J. Appl. Phys. 2011, 109, 07B306. [Google Scholar] [CrossRef]
- Ślusarczyk, J.; Kuraś, M.; Malinowska, E.; Skalicka-Woźniak, K.; Głowniak, K. Ultrastructural changes in the mycelium of Hericium erinaceum (Bull.; Fr.) Pers. under selenium-induced oxidative stress. J. Sci. Food Agric. 2014, 94, 2718–2725. [Google Scholar] [CrossRef] [PubMed]
- Ślusarczyk, J.; Dudek, M.; Wierzbicka, M.; Suchocki, P.; Kuraś, M. Antimitotic effect of Selol and sodium selenate (IV) on Allium test cells. Caryologia 2014, 67, 250–259. [Google Scholar] [CrossRef]
- Li, Y.; Rahman, S.U.; Qiu, Z.; Shahzad, S.M.; Nawaz, M.F.; Huang, J.; Naveed, S.; Li, L.; Wang, X.; Cheng, H. Toxic effects of cadmium on the physiological and biochemical attributes of plants, and phytoremediation strategies: A review. Environ. Pollut. 2023, 325, 121433. [Google Scholar] [CrossRef]
- Šamec, D.; Karalija, E.; Šola, I.; Vujčić Bok, V.; Salopek-Sondi, B. The Role of Polyphenols in Abiotic Stress Response: The Influence of Molecular Structure. Plants 2021, 10, 118. [Google Scholar] [CrossRef]
- Genchi, G.; Sinicropi, M.S.; Lauria, G.; Carocci, A.; Catalano, A. The Effects of Cadmium Toxicity. Int. J. Environ.Res. Public. Health 2020, 17, 3782. [Google Scholar] [CrossRef] [PubMed]
- Sochacka, M.; Giebułtowicz, J.; Remiszewska, M.; Suchocki, P.; Wroczyński, P. Effects of Selol 5% supplementation on the activity or concentration of antioxidants and malondialdehyde level in the blood of healthy mice. Pharmacol. Rep. 2014, 66, 301–310. [Google Scholar] [CrossRef] [PubMed]
- Lyons, G.H.; Genc, Y.; Soole, K.; Stangoulis, J.C.R.; Liu, F.; Graham, R.D. Selenium increases seed production in Brassica. Plant Soil. 2009, 318, 73–80. [Google Scholar] [CrossRef]
- Madhu; Sharma, A.; Kaur, A.; Tyagi, S.; Upadhyay, S.K. Glutathione Peroxidases in Plants: Innumerable Role in Abiotic Stress Tolerance and Plant Development. J. Plant Growth Regul. 2023, 42, 598–613. [Google Scholar] [CrossRef]
- Urbańska, N.; Giebułtowicz, J.; Olszowska, O.; Szypuła, W.J. The growth and saponin production of Platycodon grandiflorum (Jacq.) A. DC. (Chinese bellflower) hairy roots cultures maintained in shake flasks and mist bioreactor. Acta Soc. Bot. Pol. 2014, 83, 229–237. [Google Scholar] [CrossRef][Green Version]
- Wasek, M.; Giebułtowicz, J.; Sochacka, M.; Zawada, K.; Modzelewska, W.; Krześniak, M.; Wroczyńsk, I.P. The measurmant of antioxidant capacity and polyphenol content in selected food supplements. Acta Pol. Pharm.—Drug Res. 2015, 72, 877–887. [Google Scholar]
- Ślusarczyk, J.; Prymakowska-Bosak, M.; Przewłoka, M.; Jerzmanowski, A.; Kuraś, M. Ultrastructural organization of leaves of transgenic tobacco overexpressing histone H1 from Arabidopsis thaliana. Ann. Bot. 1999, 84, 329–335. [Google Scholar] [CrossRef]
- Ślusarczyk, J.; Tykarska, T.; Wierzbicki, A.; Jerzmanowski, A.; Kuras, M. Tapetum development in transgenic tobacco [Nicotiana tabacum L.] plants with modified level of histone H1 variants. Acta Soc. Bot. Pol. 2006, 75, 95–105. [Google Scholar] [CrossRef][Green Version]












Disclaimer/Publisher’s Note: The statements, opinions and data contained in all publications are solely those of the individual author(s) and contributor(s) and not of MDPI and/or the editor(s). MDPI and/or the editor(s) disclaim responsibility for any injury to people or property resulting from any ideas, methods, instructions or products referred to in the content. |
© 2024 by the authors. Licensee MDPI, Basel, Switzerland. This article is an open access article distributed under the terms and conditions of the Creative Commons Attribution (CC BY) license (https://creativecommons.org/licenses/by/4.0/).
Share and Cite
Giebułtowicz, J.; Ślusarczyk, J.; Wyderska, S.; Wroczyński, P. The Impact of Organic Selenium (IV) on Hypericum perforatum L. under Cadmium Stress and Non-Stress Conditions. Plants 2024, 13, 2099. https://doi.org/10.3390/plants13152099
Giebułtowicz J, Ślusarczyk J, Wyderska S, Wroczyński P. The Impact of Organic Selenium (IV) on Hypericum perforatum L. under Cadmium Stress and Non-Stress Conditions. Plants. 2024; 13(15):2099. https://doi.org/10.3390/plants13152099
Chicago/Turabian StyleGiebułtowicz, Joanna, Joanna Ślusarczyk, Sylwia Wyderska, and Piotr Wroczyński. 2024. "The Impact of Organic Selenium (IV) on Hypericum perforatum L. under Cadmium Stress and Non-Stress Conditions" Plants 13, no. 15: 2099. https://doi.org/10.3390/plants13152099
APA StyleGiebułtowicz, J., Ślusarczyk, J., Wyderska, S., & Wroczyński, P. (2024). The Impact of Organic Selenium (IV) on Hypericum perforatum L. under Cadmium Stress and Non-Stress Conditions. Plants, 13(15), 2099. https://doi.org/10.3390/plants13152099

