Identification and Analysis of PPO Gene Family Members in Paulownia fortunei
Abstract
1. Introduction
2. Results
2.1. Identification of PPO Gene Family Members in P. fortunei and Analysis of Physicochemical Properties
2.2. Analyses of Conserved Motifs and Gene Structure
2.3. Analysis of PPO Gene Codon Preference in P. fortunei
2.4. Gene Structure and Promoter Element Prediction of PPO Gene Family Members of P. fortunei
2.5. Collinearity and Phylogenetic Analyses of the PPO Family
2.6. Tissue Expression Analysis of PPO Gene Family Members of P. fortunei
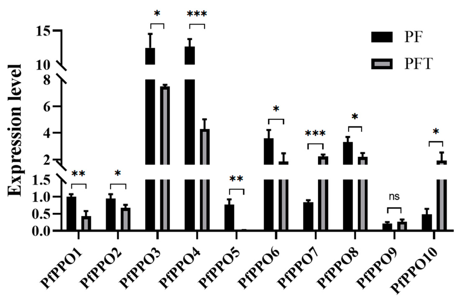
2.7. Effects of Witches’ Broom on Gene Expression in P. fortunei
2.8. Responses of PPO Genes to Drought Stress in P. fortunei
3. Discussion
4. Materials and Methods
4.1. Plant Materials
4.2. P. fortunei PPO Gene Family Identification and Physicochemical Analyses
4.3. Analysis of Signal Peptides and Transmembrane Domains of PPO Family Members of P. fortunei
4.4. Prediction of PPO Gene Family Domains
4.5. Codon Usage Characteristics
4.6. Gene Structure and Cis-Regulatory Element Analyses of PPO Gene Family Members
4.7. Phylogenetic and Collinearity Analyses of the PPO Gene Family
4.8. Analysis of Gene Expression in PPO Family Members of P. fortunei
4.9. Statistical Analysis
5. Conclusions
Author Contributions
Funding
Data Availability Statement
Acknowledgments
Conflicts of Interest
References
- Zhang, W.; Shen, Y.; Li, Z.; Xie, X.; Gong, E.S.; Tian, J.; Si, X.; Wang, Y.; Gao, N.; Shu, C.; et al. Effects of high hydrostatic pressure and thermal processing on anthocyanin content, polyphenol oxidase and beta-glucosidase activities, color, and antioxidant activities of blueberry (Vaccinium spp.) puree. Food Chem. 2020, 342, 128564. [Google Scholar] [CrossRef] [PubMed]
- Stenico, M.; Lloyd, A.T.; Sharp, P.M. Codon usage in Caenorhabditis elegans: Delineation of translational selection and mutational biases. Nucleic Acids Res. 1994, 22, 2437–2446. [Google Scholar] [CrossRef] [PubMed]
- Xiao, K.; Liu, X.; Zhang, A.; Zha, D.; Zhu, W.; Tan, F.; Huang, Q.; Zhou, Y.; Zhang, M.; Li, J.; et al. Genome-wide identification of polyphenol oxidase (PPO) family members in eggplant (Solanum melongena L.) and their expression in response to low temperature. Hortic. Environ. Biotechnol. 2022, 63, 747–758. [Google Scholar] [CrossRef]
- Zhang, J.; Chi, M.; Yu, X.; Wang, Y.; Li, E.; Liu, H.; Ma, R. Isolation and Identification of a Novel StuPPO9 Gene from Potato Polyphenol Oxidase and Its Genetic Transformation of Overexpression Tobacco. Food Res. Dev. 2020, 41, 165–171. [Google Scholar]
- Rong, X.; Lai, Z.; Lin, Y.; Liu, S.; Lai, G.; Chen, Y.; Zhang, Z. Cloning and Expression of Polyphenol Oxidase (PPO) Gene During Different Process of Preservation in in vitro Chinese Olive (Canarium album). Chin. J. Trop. Crops 2014, 35, 738–745. [Google Scholar]
- Newman, S.M.; Eannetta, N.T.; Yu, H.; Prince, J.P.; de Vicente, M.C.; Tanksley, S.D.; Steffens, J.C. Organisation of the tomato polyphenol oxidase gene family. Plant Mol. Biol. 1993, 21, 1053–1058. [Google Scholar] [CrossRef] [PubMed]
- Cheng, L.L.; Cheng, Y.H.; Cao, Q.C.; Hu, G.L.; Lan, Y.P. Identification and bioinformatics analysis of PPO gene family in Chinese chestnut (Castanea mollissima). J. Fruit Sci. 2020, 37, 1305–1313. [Google Scholar]
- Chi, M.; Bhagwat, B.; Lane, W.D.; Tang, G.; Su, Y.; Sun, R.; Oomah, B.D.; Wiersma, P.A.; Xiang, Y. Reduced polyphenol oxidase gene expression and enzymatic browning in potato (Solanum tuberosum L.) with artificial microRNAs. BMC Plant Biol. 2014, 14, 62. [Google Scholar] [CrossRef]
- Shepherd, L.V.; Alexander, C.J.; Hackett, C.A.; McRae, D.; Sungurtas, J.A.; Verrall, S.R.; Morris, J.A.; Hedley, P.E.; Rockhold, D.; Belknap, W.; et al. Impacts on the metabolome of down-regulating polyphenol oxidase in potato tubers. Transgenic Res. 2015, 24, 447–461. [Google Scholar] [CrossRef]
- Muthukumarasamy, M.; Gupta, D.S.; Panneerselvam, R. Enhancement of Peroxidase, Polyphenol Oxidase and Superoxide Dismutase Activities by Triadimefon in NaCl Stressed Raphanus Sativus L. Biol. Plant. 2000, 43, 317–320. [Google Scholar] [CrossRef]
- Stewart, R.J.; Sawyer, B.J.B.; Bucheli, C.S.; Robinson, S.P. Polyphenol oxidase is induced by chilling and wounding in pineapple. Funct. Plant Biol. 2001, 28, 181–191. [Google Scholar] [CrossRef]
- He, F.; Shi, Y.J.; Zhao, Q.; Zhao, K.J.; Cui, X.L.; Chen, L.H.; Yang, H.B.; Zhang, F.; Mi, J.X.; Huang, J.L.; et al. Genome-wide investigation and expression profiling of polyphenol oxidase (PPO) family genes uncover likely functions in organ development and stress responses in Populus trichocarpa. BMC Genom. 2021, 22, 731. [Google Scholar] [CrossRef] [PubMed]
- Jia, H.; Zhao, P.; Wang, B.; Tariq, P.; Zhao, F.; Zhao, M.; Fang, J. Overexpression of Polyphenol Oxidase Gene in Strawberry Fruit Delays the Fungus Infection Process. Plant Mol. Biol. Report. 2016, 34, 592–606. [Google Scholar] [CrossRef]
- Fuerst, E.P.; Okubara, P.A.; Anderson, J.V.; Morris, C.F. Polyphenol oxidase as a biochemical seed defense mechanism. Front. Plant Sci. 2014, 5, 689. [Google Scholar] [CrossRef] [PubMed]
- Wang, G.D.; Huang, C.N.; Wu, W.L.; Bu, X.J.; Zheng, D.H. Defense Enzyme Activities and the Resistance to Northern Leaf Blight of Different Hybrids in Maize. J. Maize Sci. 2014, 22, 146–152. [Google Scholar]
- Thipyapong, P.; Steffens, J.C. Tomato Polyphenol Oxidase (Differential Response of the Polyphenol Oxidase F Promoter to Injuries and Wound Signals). Plant Physiol. 1997, 115, 409–418. [Google Scholar] [CrossRef]
- Chai, C.; Lin, Y.; Shen, D.; Wu, Y.; Li, H.; Dou, D. Identification and functional characterization of the soybean GmaPPO12 promoter conferring Phytophthora sojae induced expression. PLoS ONE 2013, 8, e67670. [Google Scholar] [CrossRef]
- Cai, Y.; Dong, Z.; Zhao, S.; Han, Y.; Shao, Y.; Lu, M.; Qin, H.; Liu, X.; Wang, D.; Chen, Y. Genome-wide analysis of polyphenol oxidase genes and their transcriptional patterns during grain development in Sorghum. Int. J. Plant Sci. 2013, 174, 10–21. [Google Scholar] [CrossRef]
- Li, C.; Li, D.; Li, J.; Shao, F.; Lu, S. Characterization of the polyphenol oxidase gene family reveals a novel microRNA involved in posttranscriptional regulation of PPOs in Salvia miltiorrhiza. Sci. Rep. 2017, 7, 44622. [Google Scholar] [CrossRef] [PubMed]
- Wang, Z.; Wang, M.; Liu, L.; Meng, F. Physiological and proteomic responses of diploid and tetraploid black locust (Robinia pseudoacacia L.) subjected to salt stress. Int. J. Mol. Sci. 2013, 14, 20299–20325. [Google Scholar] [CrossRef]
- Murata, M.; Haruta, M.; Murai, N.; Tanikawa, N.; Nishimura, M.; Homma, S.; Itoh, Y. Transgenic apple (Malus x domestica) shoot showing low browning potential. J. Agric. Food Chem. 2000, 48, 5243–5248. [Google Scholar] [CrossRef] [PubMed]
- Tran, L.T.; Constabel, C.P. The polyphenol oxidase gene family in poplar: Phylogeny, differential expression and identification of a novel, vacuolar isoform. Planta 2011, 234, 799–813. [Google Scholar] [CrossRef] [PubMed]
- Barbu, M.C.; Radauer, H.; Petutschnigg, A.; Tudor, E.M.; Kathriner, M. Lightweight Solid Wood Panels Made of Paulownia Plantation Wood. Appl. Sci. 2023, 13, 11234. [Google Scholar] [CrossRef]
- Doumett, S.; Lamperi, L.; Checchini, L.; Azzarello, E.; Mugnai, S.; Mancuso, S.; Petruzzelli, G.; Del Bubba, M. Heavy metal distribution between contaminated soil and Paulownia tomentosa, in a pilot-scale assisted phytoremediation study: Influence of different complexing agents. Chemosphere 2008, 72, 1481–1490. [Google Scholar] [CrossRef] [PubMed]
- Kang, K.H.; Huh, H.; Kim, B.K.; Lee, C.K. An antiviral furanoquinone from Paulownia tomentosa Steud. Phytother. Res. 1999, 13, 624–626. [Google Scholar] [CrossRef]
- Zhao, X.; Li, B.; Lv, Y.; Xu, S.; Dong, Y.; Zhao, Z. Study on the differential expression of resistant genes between diploid and autotetraploid of Paulownia fortunei. J. Henan Agric. Univ. 2021, 55, 257–265. [Google Scholar]
- Chen, Y.; Mao, J.; Zhang, L.; Zhu, C.; Qin, Q.; Li, N. Bioinformatics and expression analysis of polyphenol oxidase gene family in potato. J. Hunan Agric. Univ. 2019, 45, 601–610. [Google Scholar]
- Cai, X.Y.; Li, Z.J.; Cheng, X.R.; Yang, T.B.; Yang, X.X.; Liu, L.; Dai, L.Y. Bioinformatics Analysis of SUT Gene Family in Sorghum bicolor. Appl. Biol. 2020, 39, 674–683. [Google Scholar]
- Wright, F. The ‘effective number of codons’ used in agene. Gene 1990, 87, 23–29. [Google Scholar] [CrossRef] [PubMed]
- Sullivan, M.L. Beyond brown: Polyphenol oxidases as enzymes of plant specialized metabolism. Front. Plant Sci. 2015, 5, 783. [Google Scholar] [CrossRef] [PubMed]
- Hu, G.; Chen, Y.; Wei, J.; Wang, H.; Zhang, J. Bioinformatics Analysis of Phosphoinositide-specific Phospholipase C Gene Family in Orchid[Phalaenopsis equestris (Schauer) Rchb. F.]. Southwest China J. Agric. Sci. 2017, 30, 2218–2223. [Google Scholar]
- Massa, A.N.; Beecher, B.; Morris, C.F. Polyphenol oxidase (PPO) in wheat and wild relatives: Molecular evidence for a multigene family. Appl. Genet. 2007, 114, 1239–1247. [Google Scholar] [CrossRef] [PubMed]
- Zhu, Z. Cloning and Analysis of Polyphenol Oxidase Gene and Molecular Marker Development in Wheat. Master’s Thesis, Henan Agricultural University, Zhengzhou, China, 2018. [Google Scholar]
- Kendall, A.C.; Keys, A.J.; Turner, J.C.; Lea, P.J.; Miflin, B.J. The isolation and characterisation of a catalase-deficient mutant of barley (Hordeum vulgare L.). Planta 1983, 159, 505–511. [Google Scholar] [CrossRef] [PubMed]
- Du, Y.Y.; Wang, P.C.; Chen, J.; Song, C.P. Comprehensive functional analysis of the catalase gene family in Arabidopsis thaliana. J. Integr. Plant Biol. 2008, 50, 1318–1326. [Google Scholar] [CrossRef] [PubMed]
- Willekens, H.; Villarroel, R.; Van Montagu, M.; Inzé, D.; Van Camp, W. Molecular identification of catalases from Nicotiana plumbaginifolia (L.). FEBS Lett. 1994, 352, 79–83. [Google Scholar] [CrossRef] [PubMed]
- Xu, Y.; Wang, L.; Liu, H.; He, W.; Jiang, N.; Wu, M.; Xiang, Y. Identification of TCP family in moso bamboo (Phyllostachys edulis) and salt tolerance analysis of PheTCP9 in transgenic Arabidopsis. Mol. Plant Breed. 2022, 20, 4891–4899. [Google Scholar] [CrossRef] [PubMed]
- Hu, L.; Yang, Y.; Jiang, L.; Liu, S. The catalase gene family in cucumber: Genome-wide identification and organization. Genet. Mol. Biol. 2016, 39, 408–415. [Google Scholar] [CrossRef] [PubMed]
- Dong, L.; Yang, C.; Chen, L.; Song, L. Bioinformatics Analysis of Soybean Catalase Family and the Response to Abiotic Stress. Soybean Sci. 2022, 41, 663–671. [Google Scholar]
- Wang, W.; Cheng, Y.; Chen, D.; Liu, D.; Hu, M.; Dong, J.; Zhang, X.; Song, L.; Shen, F. The Catalase Gene Family in Cotton: Genome-Wide Characterization and Bioinformatics Analysis. Cells 2019, 8, 86. [Google Scholar] [CrossRef] [PubMed]
- Liu, Z. Identification of Catalase Genes in Nicotiana tabacum and Functional Studies in Response to Abiotic Stress Abstract. Master’s Thesis, Shandong Agricultural University, Jinan, China, 2021. [Google Scholar]
- Abarca, D.; Roldán, M.; Martín, M.; Sabater, B. Arabidopsis thaliana ecotype Cvi shows an increased tolerance to photo-oxidativestress and contains a new chloroplastic copper/zinc superoxide dismutase isoenzyme. J. Exp. Bot. 2001, 52, 1417–1425. [Google Scholar] [CrossRef] [PubMed]
- Li, Y.H.; Zhao, Z.H.; Wu, Z.; Bai, J.T.; Wang, S.Y.; Wang, T.C. Cloning and Expression of ZmSOD Gene under Drought Stress in Maize. Acta Bot. Boreali-Occident. Sin. 2023, 43, 1097–1106. [Google Scholar]
- Zhu, R.; Ji, X.; Zhang, Z.; Li, H.; Zhang, H. Bioinformatics analysis of Capsicum superoxide dismutase gene family. J. Shihezi Univ. 2020, 38, 712–717. [Google Scholar]
- Sun, J.; Li, S.; Wu, K.; Li, Z.; Gong, D.; Wang, F.; Chen, C.; Tian, Z. Genome-Wide Identification and Expression Analysis of SOD Gene Family in Tobacco. Mol. Plant Breed. 2024, 1–9. Available online: http://kns.cnki.net/kcms/detail/46.1068.S.20230316.1516.016.html (accessed on 22 August 2022).
- Ren, Y. Bioinformatics Analysis of Potato SOD Gene Family and Its Functional Research in Production of Reactive Oxygen Species of Wound Healing of Tubers. Master’s Thesis, Gansu Agricultural University, Lanzhou, China, 2021. [Google Scholar]
- Feng, K. Genome-Wide identification and Expression Analysis of SOD Gene Family in Tomato. Master’s Thesis, Nanjing Agricultural University, Nanjing, China, 2017. [Google Scholar]
- He, P. Cloning and Prokaryotic Expression Analysis of Two SOD Genes CsCSD1 and CsFSD2 in Cucumber. Master’s Thesis, Jiangxi Agricultural University, Nanchang, China, 2020. [Google Scholar]
- Dong, Y.; Deng, M.; Mo, S.; Fan, G. Identification of bZIP gene family of Paulownia fortunei and their response to pathogenic process of witches’ broom phytoplasmas. J. Henan Agric. Univ. 2023, 57, 216–230. [Google Scholar]
- Jakoby, M.; Weisshaar, B.; Dröge-Laser, W.; Vicente-Carbajosa, J.; Tiedemann, J.; Kroj, T.; Parcy, F.; bZIP Research Group. bZIP transcription factors in Arabidopsis. Trends Plant Sci. 2002, 7, 106–111. [Google Scholar] [CrossRef] [PubMed]
- Gai, W.X.; Ma, X.; Qiao, Y.M.; Shi, B.H.; Ul Haq, S.; Li, Q.H.; Wei, A.M.; Liu, K.K.; Gong, Z.H. Characterization of the bZIP Transcription Factor Family in Pepper (Capsicum annuum L.): CabZIP25 Positively Modulates the Salt Tolerance. Front. Plant Sci. 2020, 11, 139. [Google Scholar] [CrossRef] [PubMed]
- Zhao, X.; Li, B.; Zhai, X.; Liu, H.; Deng, M.; Fan, G. Genome-Wide Analysis of Specific PfR2R3-MYB Genes Related to Paulownia Witches’ Broom. Genes 2022, 14, 7. [Google Scholar] [CrossRef] [PubMed]
- Feng, P.; Chen, P.; Hong, W.; Zhao, X.; Liu, X. Research Progress of MYB Transcription Factor Family in Arabidopsis thaliana. Life Sci. Res. 2016, 20, 555–560. [Google Scholar]
- Yang, X.; Guo, T.; Li, J.; Chen, Z.; Guo, B.; An, X. Genome-wide analysis of the MYB-related transcription factor family and associated responses to abiotic stressors in Populus. Int. J. Biol. Macromol. 2021, 191, 359–376. [Google Scholar] [CrossRef] [PubMed]
- Lv, L.; Sui, C.; Wang, D.; Meng, H.; Sun, Y.; Guo, S. Cloning and Expression Analysis of Soybean MYB124 Gene. Mol. Plant Breed. 2024, 1–10. Available online: http://kns.cnki.net/kcms/detail/46.1068.S.20230913.2304.008.html (accessed on 22 August 2022).
- Cao, Y.; Sun, G.; Zhai, X.; Xu, P.; Ma, L.; Deng, M.; Zhao, Z.; Yang, H.; Dong, Y.; Shang, Z.; et al. Genomic insights into the fast growth of paulownias and the formation of Paulownia witches’ broom. Mol. Plant 2021, 14, 1668–1682. [Google Scholar] [CrossRef] [PubMed]
- Bu, J.; Zhao, J.; Liu, M. Expression Stabilities of Candidate Reference Genes for RT-qPCR in Chinese Jujube (Ziziphus jujuba Mill.) under a Variety of Conditions. Mol. Plant 2020, 13, 1194–1202. [Google Scholar] [CrossRef] [PubMed]
- Chen, C.; Chen, H.; Zhang, Y.; Thomas, H.R.; Frank, M.H.; He, Y.; Xia, R. TBtools: An Integrative Toolkit Developed for Interactive Analyses of Big Biological Data. Mol. Plant 2020, 13, 1194–1202. [Google Scholar] [CrossRef] [PubMed]









| Gene Name | Gene ID | Amino Acid | Relative Molecular Weight (kDa) | Isoelectric Point | Average Value of Total Hydrophilicity | Subcellular Localization | Chloroplast Transit Peptide |
|---|---|---|---|---|---|---|---|
| PfPPO1 | Pfo09g005470 | 587 | 66.001 | 7.65 | −0.532 | chloroplast | √ |
| PfPPO2 | Pfo09g018160 | 592 | 66.587 | 6.10 | −0.500 | chloroplast | √ |
| PfPPO3 | Pfo09g018170 | 592 | 66.610 | 6.42 | −0.525 | chloroplast | √ |
| PfPPO4 | Pfo09g018180 | 592 | 66.649 | 6.02 | −0.530 | chloroplast | √ |
| PfPPO5 | Pfo09g018200 | 574 | 64.525 | 7.22 | −0.533 | peroxisome | - |
| PfPPO6 | Pfo09g018210 | 576 | 64.097 | 5.68 | −0.389 | chloroplast | √ |
| PfPPO7 | Pfo10g006300 | 589 | 66.272 | 6.15 | −0.358 | chloroplast | - |
| PfPPO8 | Pfo16g004540 | 593 | 66.677 | 6.72 | −0.508 | chloroplast | √ |
| PfPPO9 | Pfo16g004550 | 499 | 56.695 | 5.76 | −0.423 | cytoplasm | √ |
| PfPPO10 | Pfo16g004560 | 406 | 44.959 | 9.15 | −0.357 | chloroplast | √ |
| Gene | GC | ENC | |||
|---|---|---|---|---|---|
| GC1 | GC2 | GC3s | GC | ||
| PfPPO1 | 50.68 | 42.01 | 49.10 | 47.85 | 57.65 |
| PfPPO2 | 51.26 | 39.63 | 53.90 | 48.79 | 56.87 |
| PfPPO3 | 51.43 | 39.97 | 54.20 | 49.02 | 58.57 |
| PfPPO4 | 51.60 | 39.97 | 52.70 | 48.62 | 57.88 |
| PfPPO5 | 50.96 | 39.65 | 57.00 | 49.74 | 53.25 |
| PfPPO6 | 54.59 | 41.94 | 62.00 | 53.26 | 53.49 |
| PfPPO7 | 48.64 | 42.88 | 43.50 | 45.59 | 54.85 |
| PfPPO8 | 52.19 | 40.40 | 58.30 | 50.84 | 57.01 |
| PfPPO9 | 53.60 | 36.00 | 49.50 | 46.87 | 55.97 |
| PfPPO10 | 50.37 | 48.65 | 54.80 | 52.01 | 57.94 |
| Average value | 51.53 | 41.11 | 53.50 | 49.26 | 56.35 |
| Amino Acid | Codon | Number | Relative Synonymous Codon Usage | Amino Acid | Codon | Number | Relative Synonymous Codon Usage |
|---|---|---|---|---|---|---|---|
| Phe | UUU | 103 | 0.80 | Ser | UCU | 82 | 1.32 |
| UUC | 154 | 1.20 | UCC | 87 | 1.40 | ||
| Leu | UUA | 22 | 0.29 | UCA | 67 | 1.08 | |
| UUG | 139 | 1.80 | UCG | 54 | 0.87 | ||
| CUU | 85 | 1.10 | AGU | 29 | 0.47 | ||
| CUC | 72 | 0.93 | AGC | 54 | 0.87 | ||
| CUA | 29 | 0.38 | Pro | CCU | 93 | 0.88 | |
| CUG | 116 | 1.50 | CCC | 116 | 1.09 | ||
| Val | GUU | 96 | 1.14 | CCA | 138 | 1.30 | |
| GUC | 78 | 0.93 | CCG | 77 | 0.73 | ||
| GUA | 24 | 0.28 | Thr | ACU | 96 | 1.09 | |
| GUG | 139 | 1.65 | ACC | 113 | 1.28 | ||
| Tyr | UAU | 96 | 0.97 | ACA | 86 | 0.98 | |
| UAC | 102 | 1.03 | ACG | 57 | 0.65 | ||
| His | CAU | 66 | 0.98 | Ala | GCU | 117 | 1.23 |
| CAC | 69 | 1.02 | GCC | 125 | 1.31 | ||
| Gln | CAA | 91 | 1.01 | GCA | 74 | 0.78 | |
| CAG | 90 | 0.99 | GCG | 65 | 0.68 | ||
| Asn | AAU | 128 | 0.86 | Arg | CGU | 41 | 0.92 |
| AAC | 169 | 1.14 | CGC | 45 | 1.01 | ||
| Lys | AAA | 180 | 0.95 | CGA | 23 | 0.51 | |
| AAG | 199 | 1.05 | CGG | 25 | 0.56 | ||
| Asp | GAU | 206 | 0.99 | AGA | 63 | 1.41 | |
| GAC | 210 | 1.01 | AGG | 71 | 1.59 | ||
| Glu | GAA | 127 | 0.96 | Ile | AUU | 103 | 1.17 |
| GAG | 137 | 1.04 | AUC | 102 | 1.15 | ||
| Gly | GGU | 76 | 0.96 | AUA | 60 | 0.68 | |
| GGC | 96 | 1.21 | Met | AUG | 117 | 1.00 | |
| GGA | 84 | 1.06 | TER * | UAA | 2 | 0.60 | |
| GGG | 61 | 0.77 | UAG | 2 | 0.60 | ||
| Cys | UGU | 25 | 0.55 | UGA | 6 | 1.80 | |
| UGC | 66 | 1.45 | Trp | UGG | 85 | 1.00 |
| Gene Name | Forward Primer (5′–3′) | Reverse Primer (5′–3′) |
|---|---|---|
| PfPPO1 | ATGACAGGCTTCGTGACCAG | CCGAAGAAAAGCCGAGGAGT |
| PfPPO2 | TACAGTCACGACAATGCGCT | GCGCAGTGGACATTAGCTTG |
| PfPPO3 | ACTAGACGTGAACTGCTGCC | ACTAGACGTGAACTGCTGCC |
| PfPPO4 | TCTACGATGAGAACGCGCTG | CCTTCGGCCTGTTTGTCAAC |
| PfPPO5 | TTGTGCTTACTGCAATGGCG | AAAACGGCAACGCGAAAGTT |
| PfPPO6 | GGAAGGTCGACAGGAGGAAC | CTTGTCGAGCTCAGGTGGTT |
| PfPPO7 | GACTCTGGTGATGACAGCCC | TGCTGCCGAAACCAATCAGA |
| PfPPO8 | TGGGATTGACTGAGCTGCTG | ACCGCCAATGGTGATGTCTT |
| PfPPO9 | GCTCGTGCGTGTTAAGGTTG | TGGAGCATTAGAAGTGGCGG |
| PfPPO10 | CTTGAACACTGGCCAACAGC | ATCAGCAGGAAGGCGTTTCA |
| PfActin | AATGGAATCTGCTGGAAT | ACTGAGGACAATGTTACC |
Disclaimer/Publisher’s Note: The statements, opinions and data contained in all publications are solely those of the individual author(s) and contributor(s) and not of MDPI and/or the editor(s). MDPI and/or the editor(s) disclaim responsibility for any injury to people or property resulting from any ideas, methods, instructions or products referred to in the content. |
© 2024 by the authors. Licensee MDPI, Basel, Switzerland. This article is an open access article distributed under the terms and conditions of the Creative Commons Attribution (CC BY) license (https://creativecommons.org/licenses/by/4.0/).
Share and Cite
Zhao, Z.; Wang, F.; Deng, M.; Fan, G. Identification and Analysis of PPO Gene Family Members in Paulownia fortunei. Plants 2024, 13, 2033. https://doi.org/10.3390/plants13152033
Zhao Z, Wang F, Deng M, Fan G. Identification and Analysis of PPO Gene Family Members in Paulownia fortunei. Plants. 2024; 13(15):2033. https://doi.org/10.3390/plants13152033
Chicago/Turabian StyleZhao, Zhenli, Fei Wang, Minjie Deng, and Guoqiang Fan. 2024. "Identification and Analysis of PPO Gene Family Members in Paulownia fortunei" Plants 13, no. 15: 2033. https://doi.org/10.3390/plants13152033
APA StyleZhao, Z., Wang, F., Deng, M., & Fan, G. (2024). Identification and Analysis of PPO Gene Family Members in Paulownia fortunei. Plants, 13(15), 2033. https://doi.org/10.3390/plants13152033
