In Planta Detection of Beauveria bassiana (Ascomycota: Hypocreales) Strains as Endophytes in Bean (Phaseolus vulgaris L.)
Abstract
:1. Introduction
2. Results
2.1. Amplification of the Insertion Profile of Group I Introns in B. bassiana and Beans
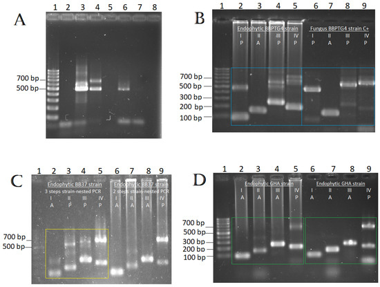
2.2. B. bassiana Strains Detection by Nested PCR
2.3. Detection Limit
2.4. Inoculation of B. bassiana in Beans
2.5. Test of the New Nested PCR Technique with Control GHA Strain and Tissue Selection
2.6. Comparison of Techniques and Searching for Endophytic B. bassiana Strains in Bean Plants
3. Discussion
4. Materials and Methods
4.1. Fungal Isolates
4.2. Plant Material
4.3. Fungi and Plant DNA Extraction and Quantification
4.4. Amplification of Group I Intron Insertion Sites of LSU of B. bassiana
4.5. Design of B. bassiana Primers for the First Nested PCR Reaction and Running Programs Test
4.6. Sensitivity of the Nested PCR Technique
4.7. Inoculation of GHA Control Strain in Bean Plants
4.8. Detection of Endophytic B. bassiana by Platting Tissue
number of total pieces of platted tissue
4.9. Test of the New Nested PCR in Planta with Control Strain GHA
4.10. Endophytic Detection of B. bassiana Strains with New Strain-Nested PCR in Planta
4.11. Endophytic Detection of B. bassiana-Nested PCR in Planta
5. Conclusions
Author Contributions
Funding
Institutional Review Board Statement
Informed Consent Statement
Data Availability Statement
Acknowledgments
Conflicts of Interest
References
- Wilson, D. Endophyte: The evolution of a term, and clarification of its use and definition. Oikos 1995, 73, 274–276. [Google Scholar] [CrossRef]
- Nair, D.N.; Padmavathy, S. Impact of endophytic microorganisms on plants, environment and humans. Sci. World J. 2014, 2014, 250693. [Google Scholar] [CrossRef] [PubMed]
- Vega, F.E.; Goettel, M.S.; Blackwell, M.; Chandler, D.; Jackson, M.A.; Keller, S.; Koike, M.; Maniania, N.K.; Monzón, A.; Ownley, B.H.; et al. Fungal entomopathogens: New insights on their ecology. Fungal Ecol. 2009, 2, 149–159. [Google Scholar] [CrossRef]
- Strobel, G. The Emergence of Endophytic Microbes and Their Biological Promise. J. Fungi 2018, 4, 57. [Google Scholar] [CrossRef] [PubMed]
- Pelizza, S.A.; Mariottini, Y.; Russo, L.M.; Vianna, M.F.; Scorsetti, A.C.; Lange, C.E. Beauveria bassiana (Ascomycota: Hypocreales) introduced as an endophyte in corn plants and its effects on consumption, reproductive capacity, and food preference of Dichroplus maculipennis (Orthoptera: Acrididae: Melanoplinae). J. Insect Sci. 2017, 17, 53. [Google Scholar] [CrossRef] [PubMed]
- Altaf, N.; Ullah, M.I.; Afzal, M.; Arshad, M.; Ali, S.; Rizwan, M.; Al-Shuraym, L.A.; Alhelaify, S.S.; Sayed, S. Endophytic colonization by Beauveria bassiana and Metarhizium anisopliae in maize plants affects the fitness of Spodoptera frugiperda (Lepidoptera: Noctuidae). Microorganisms 2023, 11, 1067. [Google Scholar] [CrossRef] [PubMed]
- Kuzhuppillymyal-Prabhakarankutty, L.; Ferrara-Rivero, F.H.; Tamez-Guerra, P.; Gomez-Flores, R.; Rodríguez-Padilla, M.C.; Ek-Ramos, M.J. Effect of Beauveria bassiana-seed treatment on Zea mays L. response against Spodoptera frugiperda. Appl. Sci. 2021, 11, 2887. [Google Scholar] [CrossRef]
- Sui, L.; Lu, Y.; Zhou, L.; Li, N.; Li, Q.; Zhang, Z. Endophytic Beauveria bassiana promotes plant biomass growth and suppresses pathogen damage by directional recruitment. Front. Microbiol. 2023, 14, 1227269. [Google Scholar] [CrossRef]
- Barra-Bucarei, L.; France, A.; Gerding, M.; Silva, G.; Carrasco-Fernández, J.; Castro, J.F.; Ortiz, J. Antifungal activity of Beauveria bassiana endophyte against Botrytis cinerea in two Solanaceae crops. Microorganisms 2020, 8, 65. [Google Scholar] [CrossRef]
- Sánchez-Rodríguez, A.R.; Del Campillo, M.C.; Quesada-Moraga, E. Beauveria bassiana: An entomopathogenic fungus alleviates Fe chlorosis symptoms in plants grown on calcareous substrates. Sci. Hortic. 2015, 197, 193–202. [Google Scholar] [CrossRef]
- Ferus, P.; Barta, M.; Konôpková, J. Endophytic fungus Beauveria bassiana can enhance drought tolerance in red oak seedlings. Trees 2019, 33, 1179–1186. [Google Scholar] [CrossRef]
- Kuzhuppillymyal-Prabhakarankutty, L.; Tamez-Guerra, P.; Gomez-Flores, R.; Rodriguez-Padilla, M.C.; Ek-Ramos, M.J. Endophytic Beauveria bassiana promotes drought tolerance and early flowering in corn. World J. Microbiol. Biotechnol. 2020, 36, 47. [Google Scholar] [CrossRef] [PubMed]
- Bancole, W.B.; Laing, M.D.; Yobo, K.S.; Togola, A. Establishment of Beauveria bassiana isolates as endophytes in rice cultivars and their biocontrol efficacy against rice stem borer, Sesamia calamistis. S. Afr. J. Sci. 2020, 116, 1–9. [Google Scholar] [CrossRef] [PubMed]
- Sinno, M.; Ranesi, M.; Di Lelio, I.; Iacomino, G.; Becchimanzi, A.; Barra, E.; Molisso, D.; Pennacchio, F.; Digilio, M.C.; Vitale, S.; et al. Selection of endophytic Beauveria bassiana as a dual biocontrol agent of tomato pathogens and pests. Pathogens 2021, 10, 1242. [Google Scholar] [CrossRef] [PubMed]
- McKinnon, A.; Ridgway, H.; Mendoza, A.; Glare, T.; Mendoza, A. Growth of Zea mays in response to artificial inoculation with endophytic Beauveria bassiana compared to Trichoderma sp. ‘atroviride B’. Biocontrol Sci. Technol. 2023, 33, 155–172. [Google Scholar] [CrossRef]
- Sánchez-Peña, S.R.; San-Juan, J.; Medina, R.F. Occurrence of entomopathogenic fungi from agricultural and natural ecosystems in Saltillo, México, and their Virulence Towards Thrips and Whiteflies. J. Insect Sci. 2011, 11, 1–10. [Google Scholar] [CrossRef] [PubMed]
- Bing, L.A.; Lewis, L.C. Occurrence of the entomopathogen Beauveria bassiana (Bals) Vuillemin in different tillage regimes and in Zea mays L. and virulence towards Ostrinia nubilalis (Hübner). Agric. Ecosyst. Environ. 1993, 45, 147–156. [Google Scholar] [CrossRef]
- Tefera, T.; Vidal, S. Effect of inoculation method and plant growth medium on endophytic colonization of sorghum by the entomopathogenic fungus Beauveria bassiana. BioControl 2009, 54, 663–669. [Google Scholar] [CrossRef]
- Jaber, L.R.; Enkerli, J. Effect of seed treatment duration on growth and colonization of Vicia faba by endophytic Beauveria bassiana and Metarhizium brunneum. Biol. Control 2016, 103, 187–195. [Google Scholar] [CrossRef]
- Greenfield, M.; Gómez-Jiménez, M.I.; Ortiz, V.; Vega, F.E.; Kramer, M.; Parsa, S. Beauveria bassiana and Metarhizium anisopliae endophytically colonize Cassava roots following soil drench inoculation. Biol. Control 2016, 95, 40–48. [Google Scholar] [CrossRef]
- Posada, F.; Aime, M.C.; Peterson, S.W.; Rehner, S.A.; Vega, F.E. Inoculation of coffee plants with the fungal entomopathogen Beauveria bassiana (Ascomycota: Hypocreales). Mycol. Res. 2007, 111, 748–757. [Google Scholar] [CrossRef] [PubMed]
- Behie, S.W.; Jones, S.J.; Bidochka, M.J. Plant tissue localization of the endophytic insect pathogenic fungi Metarhizium and Beauveria. Fungal Ecol. 2015, 13, 112–119. [Google Scholar] [CrossRef]
- Afandhi, A.; Widjayanti, T.; Emi, A.A.L.; Tarno, H.; Afiyanti, M.; Handoko, R.N.S. Endophytic fungi Beauveria Bassiana Balsamo accelerates growth of common bean (Phaeseolus vulgaris L.). Chem. Biol. Technol. Agric. 2019, 6, 11. [Google Scholar] [CrossRef]
- Renuka, S.; Ramanujam, B.; Poornesha, B. Endophytic ability of different isolates of entomopathogenic fungi Beauveria bassiana (Balsamo) Vuillemin in stem and leaf tissues of maize (Zea mays L.). Indian J. Microbiol. 2016, 56, 126–133. [Google Scholar] [CrossRef] [PubMed]
- Ramakuwela, T.; Hatting, J.; Bock, C.; Vega, F.E.; Wells, L.; Mbata, G.N.; Shapiro-Ilan, D. Establishment of Beauveria bassiana as a fungal endophyte in pecan (Carya illinoinensis) seedlings and its virulence against pecan insect pests. Biol. Control 2020, 140, 104102. [Google Scholar] [CrossRef]
- Muola, A.; Birge, T.; Helander, M.; Mathew, S.; Harazinova, V.; Saikkonen, K.; Fuchs, B. Endophytic Beauveria bassiana induces biosynthesis of flavonoids in oilseed rape following both seed inoculation and natural colonization. Pest. Manag. Sci. 2023. [Google Scholar] [CrossRef] [PubMed]
- Sun, X.; Guo, L.D. Endophytic fungal diversity: Review of traditional and molecular techniques. Mycology 2012, 3, 65–76. [Google Scholar] [CrossRef]
- Yu, Y.; Chen, Z.; Xie, H.; Feng, X.; Wang, Y.; Xu, P. Overhauling the effect of surface sterilization on analysis of endophytes in tea plants. Front. Plant Sci. 2022, 13, 1–12. [Google Scholar] [CrossRef]
- dos Reis, J.B.A.; Lorenzi, A.S.; do Vale, H.M.M. Methods used for the study of endophytic fungi: A review on methodologies and challenges, and associated tips. Arch. Microbiol. 2022, 204, 675. [Google Scholar] [CrossRef]
- Landa, B.B.; López-Díaz, C.; Jiménez-Fernández, D.; Montes-Borrego, M.; Muñoz-Ledesma, F.J.; Ortiz-Urquiza, A.; Quesada-Moraga, E. In-planta detection and monitorization of endophytic colonization by a Beauveria bassiana strain using a new-developed nested and quantitative PCR-based assay and confocal laser scanning microscopy. J. Invertebr. Pathol. 2013, 114, 128–138. [Google Scholar] [CrossRef]
- Castrillo, L.A.; Vandenberg, J.D.; Wraight, S.P. Strain-specific detection of introduced Beauveria bassiana in agricultural fields by use of sequence-characterized amplified region markers. J. Invertebr. Pathol. 2003, 82, 75–83. [Google Scholar] [CrossRef] [PubMed]
- Biswas, C.; Dey, P.; Satpathy, S.; Satya, P. Establishment of the fungal entomopathogen Beauveria bassiana as a season long endophyte in jute (Corchorus olitorius) and its rapid detection using SCAR marker. BioControl 2012, 57, 565–571. [Google Scholar] [CrossRef]
- Mckinnon, A.C.; Glare, T.R.; Ridgway, H.J.; Mendoza-Mendoza, A.; Holyoake, A.; Godsoe, W.K.; Bufford, J.L. Detection of the entomopathogenic fungus Beauveria bassiana in the rhizosphere of wound-stressed Zea mays. Plants 2018, 9, 1–16. [Google Scholar] [CrossRef] [PubMed]
- Neuvéglise, C.; Brygoo, Y.; Riba, G. 28s rDNA group-I introns: A powerful tool for identifying strains of Beauveria brongniartii. Mol. Ecol. 1997, 6, 373–381. [Google Scholar] [CrossRef] [PubMed]
- Wang, C.; Li, Z.; Typas, M.A.; Butt, T.M. Nuclear large subunit rDNA group I intron distribution in a population of Beauveria bassiana strains: Phylogenetic implications. Mycol. Res. 2003, 107, 1189–1200. [Google Scholar] [CrossRef] [PubMed]
- Khashaba, E.H.K. Inoculation and colonization of isolated entomopathogenic fungi Beauveria bassiana in rice plants, Oryza sativa L. through seed immersion method. Egypt. J. Biol. Pest. Control 2021, 31, 92. [Google Scholar] [CrossRef]
- Mantzoukas, S.; Lagogiannis, I.; Mpousia, D.; Ntoukas, A.; Karmakolia, K.; Eliopoulos, P.A.; Poulas, K. Beauveria bassiana endophytic strain as plant growth promoter: The case of the grape vine Vitis vinifera. J. Fungi 2021, 7, 142. [Google Scholar] [CrossRef]
- Liu, Y.; Yang, Y.; Wang, B. Entomopathogenic fungi Beauveria bassiana and Metarhizium anisopliae play roles of maize (Zea mays) growth promoter. Sci. Rep. 2022, 12, 15706. [Google Scholar] [CrossRef]
- Reineke, A.; Bischoff-Schaefer, M.; Rondot, Y.; Galidevara, S.; Hirsch, J.; Devi, K.U. Microsatellite markers to monitor a commercialized isolate of the entomopathogenic fungus Beauveria Bassiana in different environments: Technical validation and first applications. Biol. Control 2014, 70, 1–8. [Google Scholar] [CrossRef]
- Wagner, B.; Lewis, L. Colonization of corn, Zea mays, by the entomopathogenic fungus Beauveria Bassiana. Appl. Environ. Microbiol. 2000, 66, 3468–3473. [Google Scholar] [CrossRef]
- Gurulingappa, P.; Sword, G.A.; Murdoch, G.; McGee, P.A. Colonization of crop plants by fungal entomopathogens and their effects on two insect pests when in planta. Biol. Control 2010, 55, 34–41. [Google Scholar] [CrossRef]
- Parsa, S.; Ortiz, V.; Vega, F.E. Establishing fungal entomopathogens as endophytes: Towards endophytic biological control. J. Vis. Exp. 2013, 74, 50360. [Google Scholar] [CrossRef]
- Humber, R. Preservation of entomopathogenic fungal cultures. In Manual of Techniques in Invertebrate Pathology; Lacey, L.L., Ed.; Academic Press: San Diego, CA, USA, 2012; pp. 317–328. [Google Scholar]








| LSU Intron Insertion Sites | ||||
|---|---|---|---|---|
| I | II | III | IV | |
| Intron absence | 84 pb | 157 pb | 244 pb | 207 pb |
| Intron presence 1 | 501 pb | 656 pb | 606 pb | 620 pb |
| Foliar Samples | Platting Tissue | Bb-Nested PCR * | Strain-Nested PCR ** |
|---|---|---|---|
| C-plant 1 | Negative | Negative | NT |
| C-plant 2 | Negative | Negative | NT |
| Plant-1 | Negative | Negative | NT |
| Plant-2 | Negative | Positive | Negative |
| Plant-3 | Negative | Negative | NT |
| Plant-4 | Positive (33%) | Positive | Negative |
| Plant-5 | Positive (28.5%) | Positive | Positive |
| Plant-6 | Negative | Negative | NT |
| Plant-7 | Negative | Positive | Negative |
| Plant-8 | Positive (11%) | Positive | Positive |
| Plant-9 | Negative | Positive | Negative |
| Foliar Samples | Plating Tissue | Bb-Nested PCR * | Strain-Nested PCR ** |
|---|---|---|---|
| C-plant 1′ | Negative | Positive | Negative |
| C-plant 2′ | Negative | Positive | Negative |
| C-plant 3′ | Negative | Negative | NT |
| C-plant 4′ | Negative | Negative | NT |
| Plant-1′ | Negative | Negative | NT |
| Plant-2′ | Negative | Negative | NT |
| Plant-3′ | Negative | Negative | NT |
| Plant-4′ | Negative | Positive | Positive |
| Plant-5′ | Negative | Negative | NT |
| Plant-6′ | Negative | Positive | Positive |
| Plant-7′ | Negative | Positive | Negative |
| Plant-8′ | Negative | Positive | Negative |
| Plant-9′ | Negative | Positive | Positive |
| Plant-10′ | Negative | Positive | Positive |
Disclaimer/Publisher’s Note: The statements, opinions and data contained in all publications are solely those of the individual author(s) and contributor(s) and not of MDPI and/or the editor(s). MDPI and/or the editor(s) disclaim responsibility for any injury to people or property resulting from any ideas, methods, instructions or products referred to in the content. |
© 2023 by the authors. Licensee MDPI, Basel, Switzerland. This article is an open access article distributed under the terms and conditions of the Creative Commons Attribution (CC BY) license (https://creativecommons.org/licenses/by/4.0/).
Share and Cite
Cavazos-Vallejo, T.; Valadez-Lira, J.A.; Orozco-Flores, A.A.; Gomez-Flores, R.; Ek-Ramos, M.J.; Quistián-Martínez, D.; Alcocer-González, J.M.; Tamez-Guerra, P. In Planta Detection of Beauveria bassiana (Ascomycota: Hypocreales) Strains as Endophytes in Bean (Phaseolus vulgaris L.). Plants 2024, 13, 22. https://doi.org/10.3390/plants13010022
Cavazos-Vallejo T, Valadez-Lira JA, Orozco-Flores AA, Gomez-Flores R, Ek-Ramos MJ, Quistián-Martínez D, Alcocer-González JM, Tamez-Guerra P. In Planta Detection of Beauveria bassiana (Ascomycota: Hypocreales) Strains as Endophytes in Bean (Phaseolus vulgaris L.). Plants. 2024; 13(1):22. https://doi.org/10.3390/plants13010022
Chicago/Turabian StyleCavazos-Vallejo, Teodora, José Alberto Valadez-Lira, Alonso A. Orozco-Flores, Ricardo Gomez-Flores, María Julissa Ek-Ramos, Deyanira Quistián-Martínez, Juan Manuel Alcocer-González, and Patricia Tamez-Guerra. 2024. "In Planta Detection of Beauveria bassiana (Ascomycota: Hypocreales) Strains as Endophytes in Bean (Phaseolus vulgaris L.)" Plants 13, no. 1: 22. https://doi.org/10.3390/plants13010022
APA StyleCavazos-Vallejo, T., Valadez-Lira, J. A., Orozco-Flores, A. A., Gomez-Flores, R., Ek-Ramos, M. J., Quistián-Martínez, D., Alcocer-González, J. M., & Tamez-Guerra, P. (2024). In Planta Detection of Beauveria bassiana (Ascomycota: Hypocreales) Strains as Endophytes in Bean (Phaseolus vulgaris L.). Plants, 13(1), 22. https://doi.org/10.3390/plants13010022

