Arbuscular Mycorrhizal Fungi as an Important Factor Enabling the Adaptation of Anthyllis vulneraria L. to Zn-Pb-Polluted Tailings
Abstract
1. Introduction
2. Results
2.1. Macroelement Concentrations
2.2. In Situ Detection of Pb2+ and Cd2+ Location in Roots
2.3. Root (Ultra)Structural Analysis
2.4. Mycorrhizal Status, Spore Density, and Glomalin-Related Soil Protein Determination
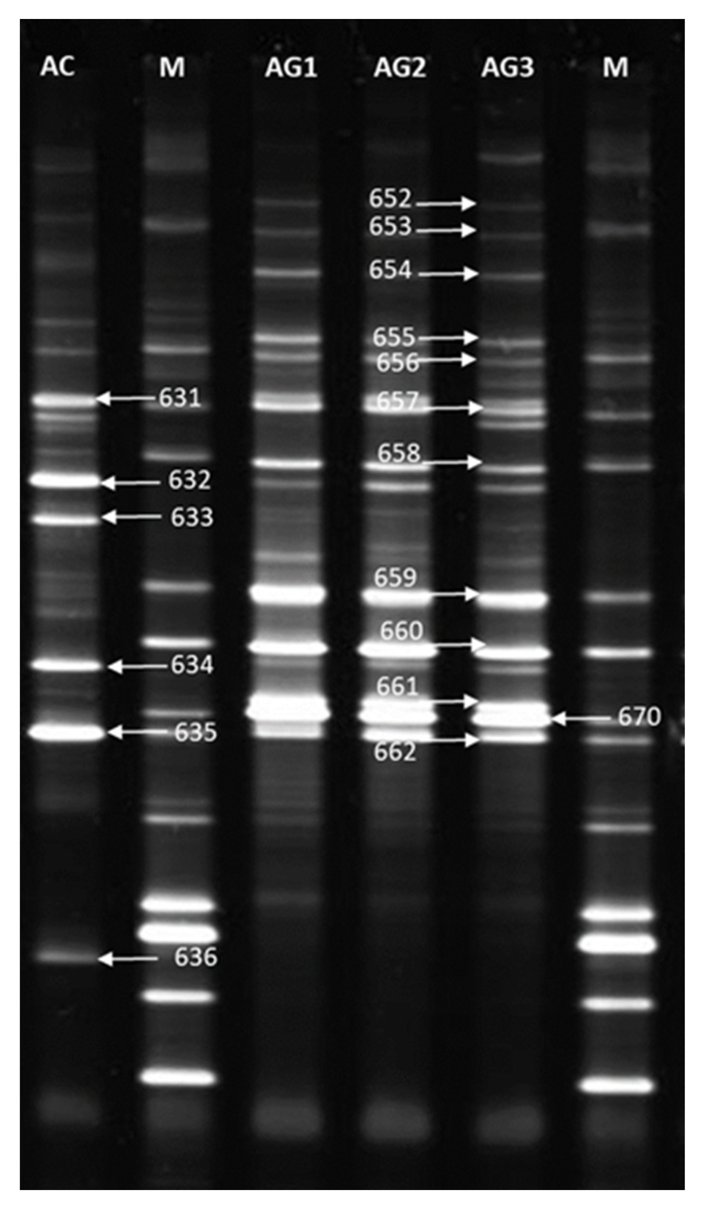
2.5. Analysis of DGGE Profiles
2.6. Phylogenetic Analysis Based on Sequences Obtained from DGGE Bands
3. Discussion
4. Materials and Methods
4.1. Sampling and Soil Characteristics
4.2. Anatomical and Cytological Analyses
4.3. Histochemical Metal Ion Localization—Dithizone Staining
4.4. Spore Density
4.5. Glomalin Extraction
4.6. Mycorrhizal Colonization
4.7. DNA Extraction from Roots
4.8. Nested PCR/PCR Conditions of DNA Amplification
4.9. DGGE Analysis of AMF Communities
4.10. Sequencing of 18S rDNA Fragments (of DGGE Bands)
4.11. Phylogenetic Analysis
4.12. Statistical Analysis
5. Conclusions
Author Contributions
Funding
Data Availability Statement
Conflicts of Interest
Abbreviations
| AMF | arbuscular mycorrhizal fungi |
| DSE | dark septate endophyte fungi |
| M | metallicolous ecotype |
| NM | non-metallicolous ecotype |
| TEM | transmission electron microscope |
References
- Lee, S.H.; Kim, E.Y.; Park, H.; Yun, J.; Kim, J.G. In situ stabilization of arsenic and metal-contaminated agricultural soil using industrial by-products. Geoderma 2011, 161, 1–7. [Google Scholar] [CrossRef]
- Ahmadpour, P.; Ahmadpour, F.; Mahmud, T.M.M.; Abdu1, A.; Soleimani, M.; Tayefeh, F.H. Phytoremediation of heavy metals: A green technology. Afr. J. Biotechnol. 2012, 11, 14036–14043. [Google Scholar]
- Kabata-Pendias, A.; Mukherjee, A.B. Trace Elements from Soil to Human; Springer-Verlag: Berlin/Heidelberg, Germany, 2007. [Google Scholar]
- Godzik, B. Heavy metals content in plants from zinc dumps and reference areas. Pol. Bot. Stud. 1993, 5, 113–132. [Google Scholar]
- Sujkowska-Rybkowska, M.; Muszyńska, E.; Labudda, M. Structural adaptation and physiological mechanisms in the leaves of Anthyllis vulneraria L. from metallicolous and non-metallicolous populations. Plants 2020, 9, 662. [Google Scholar] [CrossRef]
- Szarek-Łukaszewska, G. Vegetation of reclaimed and spontaneously vegetated Zn-Pb mine wastes in Southern Poland. Pol. J. Environ. Stud. 2009, 18, 717–733. [Google Scholar]
- Hernández, A.J.; Pastor, J. Relationship between plant biodiversity and heavy metal bioavailability in grasslands overlying an abandoned mine. Environ. Geochem. Health 2008, 30, 127–133. [Google Scholar] [CrossRef]
- Friedlová, M. The influence of heavy metals on soil biological and chemical properties. Soil Water Res. 2010, 5, 21–27. [Google Scholar] [CrossRef]
- Hodson, M.E. Effects of Heavy Metals and Metalloids on Soil Organisms. In Heavy Metals in Soils-Trace Metals and Metalloids in Soils and Their Bioavailability, 3rd ed.; Environmental Pollution; Alloway, B.J., Ed.; Springer: New York, NY, USA, 2013; pp. 141–161. [Google Scholar]
- Saravanan, A.; Jeevanantham, S.; Narayanan, V.A.; Kumar, P.; Yaashikaa, P.R.; Muthu, C.M. Rhizoremediation—A promising tool for the removal of soil contaminants: A review. J. Environ. Chem. Engin. 2020, 8, 103543. [Google Scholar] [CrossRef]
- Liang, C.; Xiao, Y.; Zhao, Z. Arbuscular mycorrhiza and dark septate endophytes in an abandoned lead-zinc mine in huize, Yunnan, China Chinese. J. App. Environ. Biol. 2007, 13, 811–817. [Google Scholar]
- Gadd, G.M. Bioremedial potential of microbial mechanisms of metal mobilization and immobilization. Curr. Opi. Biotech. 2000, 11, 271–279. [Google Scholar] [CrossRef]
- Smith, S.E.; Read, D.J. Mycorrhizal Symbiosis, 3rd ed.; Academic Press: London, UK, 2008. [Google Scholar]
- Silva, S.; Siqueira, J.O.; Soares, C.R.F.S. Mycorrhizal fungi influence on Brachiaria grass growth and heavy metal extraction in a contaminated soil. Pesq. Agropec. Bras. 2006, 41, 1749–1757. [Google Scholar] [CrossRef]
- De Souza, L.A.; De Andrade, S.A.L.; De Souza, S.C.R.; Schiavinato, M.A. Arbuscular mycorrhiza confers Pb tolerance in Calopogonium mucunoides. Acta Physiol. Plant. 2012, 34, 523–531. [Google Scholar] [CrossRef]
- Schneider, J.; Sturmer, S.L.; Guilherme, L.R.; de Souza Moreira, F.M.; Soares, C.R. Arbuscular mycorrhizal fungi in arsenic-contaminated areas in Brazil. J. Hazard Mater. 2013, 262, 1105–1115. [Google Scholar] [CrossRef]
- Zhang, Y.; Zhang, Y.; Liu, M.; Shi, X.; Zhao, Z. Dark septate endophyte (DSE) fungi isolated from metal polluted soils: Their taxonomic position, tolerance, and accumulation of heavy metals in vitro. J. Microbiol. 2008, 46, 624–632. [Google Scholar] [CrossRef] [PubMed]
- He, Y.; Yang, Z.; Li, M.; Jiang, M.; Zhan, F.; Zu, Y.; Li, T.; Zhao, Z. Effects of a dark septate endophyte (DSE) on growth, cadmium content and physiology in maize under cadmium stress. Environ. Sci. Pollut. Res. 2017, 24, 18494–18504. [Google Scholar] [CrossRef]
- Riaz, M.; Kamran, M.; Fang, Y.; Wang, Q.; Cao, H.; Yang, G.; Deng, L.; Wang, Y.; Zhou, Y.; Anastopoulos, I.; et al. Arbuscular mycorrhizal fungi-induced mitigation of heavy metal phytotoxicity in metal contaminated soils: A critical review. J. Hazard Mater. 2021, 402, 123919. [Google Scholar] [CrossRef] [PubMed]
- Shadmani, L.; Jamali, S.; Fatemi, A. Isolation, identification, and characterization of cadmium-tolerant endophytic fungi isolated from barley (Hordeum vulgare L.) roots and their role in enhancing phytoremediation. Brazil. J. Microbiol. 2021, 52, 1097–1106. [Google Scholar] [CrossRef] [PubMed]
- Upadhyaya, H.; Panda, S.K.; Bhattacharjee, M.K.; Dutta, S. Role of arbuscular mycorrhiza in heavy metal tolerance in plants: Prospects for phytoremediation. J. Phytol. 2010, 2, 16–27. [Google Scholar]
- Qiu, L.; Lin, H.; Song, B.; Kong, T.; Sun, W.; Sun, X.; Zhang, Y.; Li, B. Glomalin-related soil protein (GRSP) in metal sequestration at Pb/Zn-contaminated sites. J. Soils Sediments 2022, 22, 577–593. [Google Scholar] [CrossRef]
- Lenoir, I.J.; Fontaine, A.L. Sahraoui Arbuscular mycorrhizal fungal responses to abiotic stresses: A review. Phytochemistry 2016, 123, 4–15. [Google Scholar] [CrossRef]
- Gonzalez-Guerrero, M.; Benabdellah, K.; Ferrol, N.; Azcón-Aguilar, C. Mechanisms underlying heavy metal tolerance in arbuscular mycorrhizas. In Mycorrhizas: Functional Processes and Ecological Impact; Azcon-Aguilar, C., Barea, J.M., Gianinazzi, S., Gianinazzi-Pearson, V., Eds.; Springer: Berlin, Germany, 2009; pp. 107–122. [Google Scholar]
- Gonzalez-Chavez, M.C.; Carrillo-Gonzalez, R.; Wright, S.F.; Nichols, K.A. The role of glomalin, a protein produced by arbuscular mycorrhizal fungi, in sequestering potentially toxic elements. Environ. Pollut. 2004, 130, 317–323. [Google Scholar] [CrossRef] [PubMed]
- Wang, Q.; Mei, D.; Chen, J.; Lin, Y.; Liu, J.; Lu, H.; Yan, C. Sequestration of heavy metal by glomalin-related soil protein: Implication for water quality improvement in mangrove wetlands. Water Res. 2019, 148, 142–152. [Google Scholar] [CrossRef] [PubMed]
- Lovelock, C.E.; Wright, S.F.; Nichols, K.A. Using glomalin as an indicator for arbuscular mycorrhizal hyphal growth: An example from a tropical rain forest soil. Soil Biol. Biochem. 2004, 36, 1009–1012. [Google Scholar] [CrossRef]
- Deng, Z.; Cao, L. Fungal endophytes and their interactions with plants in phytoremediation: A review. Chemosphere 2017, 168, 1100–1106. [Google Scholar] [CrossRef] [PubMed]
- Sujkowska-Rybkowska, M.; Banasiewicz, J.; Rekosz-Burlaga, H.; Stępkowski, T. Anthyllis vulneraria and Lotus corniculatus on calamine heaps form nodules with Bradyrhizobium liaoningense-related strains harboring novel in Europe symbiotic nifD haplotypes. App. Soil Ecol. 2020, 151, 103539. [Google Scholar] [CrossRef]
- Oleńska, E.; Małek, W.; Sujkowska-Rybkowska, M.; Szopa, S.; Włostowski, T.; Aleksandrowicz, O.; Swiecicka, I.; Wójcik, M.; Thijs, S.; Vangronsveld, J. An alliance of Trifolium repens—Rhizobium leguminosarum bv. trifolii-mycorrhizal fungi from an old Zn-Pb-Cd rich waste heap as a promising tripartite system for phytostabilization of metal polluted soils. Front. Microbiol. 2022, 13, 853407. [Google Scholar] [CrossRef]
- Baker, A.J.M. Accumulators and excluders -strategies in the response of plants to heavy metals. J. Plant Nutr. 1981, 3, 643–654. [Google Scholar] [CrossRef]
- Fernández, S.; Poschenrieder, C.; Marcenò, C.; Gallego, J.R.; Jiménez-Gámez, D.; Bueno, A.; Afif, E. Phytoremediation capability of native plant species living on Pb-Zn and Hg-As mining wastes in the Cantabrian range, north of Spain. J. Geochem. Explor. 2017, 174, 10–20. [Google Scholar] [CrossRef]
- Frérot, H.; Lefebvre, C.; Gruber, W.; Collin, C.; Dos Santos, A.; Escarré, J. Specific interactions between local metallicolous plants improve the phytostabilization of mine soils. Plant Soil 2006, 282, 53–65. [Google Scholar] [CrossRef]
- Pajuelo, E.; Rodriguez-Llorente, I.D.; Lafuente, A.; Caviedes, M.A. Legume–Rhizobium Symbioses as a Tool for Bioremediation of Heavy Metal Polluted Soils. Bioman. Metal Cont. Soils. 2011, 20, 95–123. [Google Scholar]
- Pajuelo, E.; Dary, M.; Palomares, A.; Rodriguez-Llorente, I.; Carrasco, J.; Chamber, M. Biorhizoremediation of heavy metals toxicity using rhizobium-legume symbioses. In Biological Nitrogen Fixation: Towards Poverty Alleviation through Sustainable Agriculture; Springer: Dordrecht, The Netherlands, 2008; pp. 101–104. [Google Scholar]
- Dary, M.; Chamber-Perez, M.; Palomares, A.; Pajuelo, E. “In situ” phytostabilisation of heavy metal’ polluted soils using Lupinus luteus inoculated with metal resistant plant-growth promoting rhizobacteria. J. Hazard Mater. 2010, 177, 323–330. [Google Scholar] [CrossRef] [PubMed]
- Lemmel, F.; Maunoury-Danger, F.; Fanesi, A.; Leyval, C.; Cébron, A. Soil properties and multi-pollution affect taxonomic and functional bacterial diversity in a range of French soils displaying an anthropisation gradient. Microb. Ecol. 2019, 77, 993–1013. [Google Scholar] [CrossRef] [PubMed]
- Sujkowska-Rybkowska, M.; Ważny, R. Metal resistant rhizobia and ultrastructure of Anthyllis vulneraria nodules from zinc and lead contaminated tailing in Poland. Int. J. Phytorem. 2018, 20, 709–720. [Google Scholar] [CrossRef] [PubMed]
- Pawlowska, T.E.; Blaszkowski, J.; Ruhling, A. The mycorrhizal status of plants colonizing a calamine spoil mound in southern Poland. Mycorrhiza 1996, 6, 499–505. [Google Scholar] [CrossRef]
- Ohtomo, R.; Oka, N.; Morimoto, S. PCR-denaturing gradient gel electrophoresis as a simple identification tool of arbuscular mycorrhizal fungal isolates. Microb. Environ. 2019, 34, 356–362. [Google Scholar] [CrossRef] [PubMed]
- Ma, W.K.; Siciliano, S.D.; Germida, J.J. A PCR-DGGE method for detecting arbuscular mycorrhizal fungi in cultivated soils. Soil Biol. Biochem. 2005, 37, 1589–1597. [Google Scholar] [CrossRef]
- Liang, Z.; Drijber, R.A.; Lee, D.J.; Dwiekat, I.M.; Harris, S.D.; Wedin, D.A. A DGGE-cloning method to characterize arbuscular mycorrhizal community structure in soil. Soil Biol. Biochem. 2008, 40, 956–966. [Google Scholar] [CrossRef]
- Avio, L.; Castaldini, M.; Fabiani, A.; Bedini, S.; Sbrana, C.; Turrini, A.; Giovannetti, M. Impact of nitrogen fertilization and soil tillage on arbuscular mycorrhizal fungal communities in a Mediterranean agroecosystem. Soil Biol. Biochem. 2013, 67, 285–294. [Google Scholar] [CrossRef]
- Higo, M.; Isobe, K.; Matsuda, Y.; Ichida, M.; Torigoe, Y. Influence of sowing season and host crop identity on the community structure of arbuscular mycorrhizal fungi colonizing roots of two different gramineous and leguminous crop species. Adv. Microbiol. 2015, 5, 107. [Google Scholar] [CrossRef]
- Wang, C.; Gu, Z.; Cui, H.; Zhu, H.; Fu, S.; Yao, Q. Differences in arbuscular mycorrhizal fungal community composition in soils of three land use types in subtropical hilly area of Southern China. PLoS ONE 2015, 10, e0130983. [Google Scholar] [CrossRef]
- Seregin, I.V.; Kozhevnikova, A.D. Roles of root and shoot tissues in transport and accumulation of cadmium, lead, nickel, and strontium. Russ. J. Plant Physiol. 2008, 55, 1–22. [Google Scholar] [CrossRef]
- Püschel, D.; Janoušková, M.; Voríšková, A.; Gryndlerová, H.; Vosátka, M.; Jansa, J. Arbuscular mycorrhiza stimulates biological nitrogen fixation in two Medicago spp. through improved phosphorus acquisition. Front. Plant Sci. 2017, 8, 390. [Google Scholar] [CrossRef]
- Valdenegro, M.; Barea, J.M.; Azcon, R. Influence of arbuscular mycorrhizal fungi, Rhizobium meliloti strains and PGPR inoculation on the growth of Medicago arborea used as model legume for re-vegetation and biological reactivation in a semi-arid Mediterranean area. Plant Growth Regul. 2001, 34, 233–240. [Google Scholar] [CrossRef]
- Giovannetti, M.; Avio, L.; Sbrana, C. Fungal spore germination and mycelial growth—Physiological and genetic aspects. In Arbuscular Mycorrhizas: Physiology and Function; Koltai, H., Kapulnik, Y., Eds.; Springer: Berlin, Germany, 2010; pp. 3–32. [Google Scholar]
- García-González, I.; Quemada, M.; Gabriel, J.L.; Chiquinquirá, H. Arbuscular mycorrhizal fungal activity responses to winter cover crops in a sunflower and maize cropping system. App. Soil Ecol. 2016, 102, 10–18. [Google Scholar] [CrossRef]
- Steinberg, P.D.; Rillig, M.C. Differential decomposition of arbuscular mycorrhizal fungal hyphae and glomalin. Soil Biol. Biochem. 2003, 35, 191–194. [Google Scholar] [CrossRef]
- Aguilera, P.; Borie, F.; Seguel, A.; Cornejo, P. Fluorescence detection of aluminum in arbuscular mycorrhizal fungal structures and glomalin using confocal laser scanning microscopy. Soil Biol. Biochem. 2011, 43, 2427–2431. [Google Scholar] [CrossRef]
- Malekzadeh, E.; Aliasgharzad, N.; Majidi, J.; Abdolalizadeh, J.; Aghebati-Maleki, L. Contribution of glomalin to Pb sequestration by arbuscular mycorrhizal fungus in a sand culture system with clover plant. Eur. J. Soil Biol. 2016, 74, 45–51. [Google Scholar] [CrossRef]
- Turnau, K. Heavy metal content and localization in mycorrhizal Euphorbia cyparissias from zinc wastes in southern Poland. Acta Soc. Bot. Pol. 1998, 67, 105–113. [Google Scholar] [CrossRef]
- Dhalaria, R.; Kumar, D.; Kumar, H.; Nepovimova, E.; Kuča, K.; Torequl Islam, M.; Verma, R. Arbuscular mycorrhizal fungi as potential agents in ameliorating heavy metal stress in plants. Agronomy 2020, 10, 815. [Google Scholar] [CrossRef]
- Joner, E.J.; Leyval, C. Time-course of heavy metal uptake in maize and clover as affected by root density and different mycorrhizal inoculation regimes. Biol. Fertil. Soils 2001, 33, 351–357. [Google Scholar]
- Gonzalez-Chavez, C.; D’Haen, J.; Vangronsveld, J.; Dodd, J.C. Copper sorption and accumulation by the extraradical mycelium of different Glomus spp. (arbuscular mycorrhizal fungi) isolated from the same polluted soil. Plant Soil 2002, 240, 287–297. [Google Scholar] [CrossRef]
- Schutzendubel, A.; Polle, A. Plant responses to abiotic stresses: Heavy metal induced oxidative stress and protection by mycorrhization. J. Exp. Bot. 2002, 53, 1351–1365. [Google Scholar] [CrossRef] [PubMed]
- Sujkowska-Rybkowska, M.; Rusaczonek, A.; Kochańska-Jeziorska, A. Exploring apoplast reorganization in the nodules of Lotus corniculatus L. growing on old Zn–Pb calamine wastes. J. Plant Physiol. 2022, 268, 153561. [Google Scholar] [CrossRef] [PubMed]
- Zhang, X.F.; Hu, Z.H.; Yan, T.X.; Lu, R.R.; Peng, C.L.; Li, S.S.; Jing, Y.X. Arbuscular mycorrhizal fungi alleviate Cd phytotoxicity by altering Cd subcellular distribution and chemical forms in Zea mays. Ecotoxicol. Environ. Saf. 2019, 171, 352–360. [Google Scholar] [CrossRef]
- Omirou, M.; Ioannides, I.M.; Ehaliotis, C. Mycorrhizal inoculation affects arbuscular mycorrhizal diversity in watermelon roots, but leads to improved colonization and plant response under water stress only. App. Soil Ecol. 2013, 63, 112–119. [Google Scholar] [CrossRef]
- del Val, C.; Barea, J.M.; Azcón-Aguilar, C. Assessing the tolerance to heavy metals of arbuscular mycorrhizal fungi isolated from sewage sludge-contaminated soils. Appl. Soil Ecol. 1999, 11, 261–269. [Google Scholar] [CrossRef]
- Cornejo, P.; Perez–Tienda, J.; Meier, S.; Valderas, A.; Borie, F.; Azcon-Aguilar, C.; Ferrol, N. Copper compartmentalization in spores as a survival strategy of arbuscular mycorrhizal fungi in Cu-polluted environments. Soil Biol. Biochem. 2013, 57, 925–928. [Google Scholar] [CrossRef]
- Calheiros, C.S.; Pereira, S.I.; Franco, A.R.; Castro, P.M. Diverse arbuscular mycorrhizal fungi (AMF) communities colonize plants inhabiting a constructed wetland for wastewater treatment. Water 2019, 11, 1535. [Google Scholar] [CrossRef]
- Dobrzańska, J. Flora and ecological studies on calamine flora in the district of Boleslaw and Olkusz. Acta Soc. Bot. Pol. 1955, 24, 357–415. [Google Scholar] [CrossRef]
- Błaszkowski, J. Arbuscular Mycorrhizal Fungi (Glomeromycota). Endogone and Complexipes Species Deposited in the Department of Plant Pathology, University of Agriculture in Szczecin, Poland. 2003. Available online: http://www.zor.zut.edu.pl/Glomeromycota/ (accessed on 1 January 2018).
- Błaszkowski, J. Glomeromycota. W. Szafer Institute of Botany, Polish Academy of Sciences: Kraków, Poland, 2012. [Google Scholar]
- Jia, X.; Zhao, Y.; Liu, T.; Huang, S.; Chang, Y. Elevated CO2 increases glomalin-related soil protein (GRSP) in the rhizosphere of Robinia pseudoacacia L. seedlings in Pb- and Cd-contaminated soils. Environ. Pollut. 2016, 218, 349–357. [Google Scholar] [CrossRef]
- Phillips, J.M.; Hayman, D.A. Improved procedures for clearing roots and staining parasitic and vesicular-arbuscular mycorrhizal fungi for rapid assessment of infection. Trans. British Mycolog. Soc. 1970, 55, 158–161. [Google Scholar] [CrossRef]
- Trouvelot, A.; Kough, J.L.; Gianinazzi-Pearson, V. Mesure du taux de mycorhization VA d’un systeme radiculaire. Recherche de methods d’estimation ayant une signification fonctionnelle. In Physiological and Genetical Aspects of Mycorrhizae; Gianinazzi-Pearson, V., Gian-Inazzi, S., Eds.; INRA: Paris, France, 1986; pp. 217–221. [Google Scholar]
- Jumpponen, A.; Trappe, J.M. Dark septate endophytes: A review of facultative biotrophic root colonizing fungi. New Phytol. 1998, 140, 295–310. [Google Scholar] [CrossRef] [PubMed]
- Helgason, T.; Daniell, T.J.; Husband, R.; Fitter, A.H.; Young, J.P.W. Ploughing up the wood-wide web? Nature 1998, 394, 431. [Google Scholar] [CrossRef] [PubMed]
- Simon, L.; Lalonde, M.; Bruns, T.D. Specific amplification of 18S fungal ribosomal genes from vesicular-arbuscular endomycorrhizal fungi colonizing roots. Appl. Environ. Microbiol. 1992, 58, 291–295. [Google Scholar] [CrossRef]
- Kowalchuk, G.A.; De Souza, F.A.; Van Veen, J.A. Community analysis of arbuscular mycorrhizal fungi associated with Ammophila arenaria in Dutch coastal sand dunes. Mol. Ecol. 2002, 11, 571–581. [Google Scholar] [CrossRef]
- Cornejo, P.; Azcon-Aguilar, C.; Barea, J.M.; Ferrol, N. Temporal temperature gradient gel electrophoresis (TTGE) as a tool for the characterization of arbuscular mycorrhizal fungi. FEMS Microbiol. Lett. 2004, 241, 265–270. [Google Scholar] [CrossRef]





| Concentrations | Calamine Tailing (M) | Un-Polluted Soil (NM) | Shoots (M) | Shoots (NM) |
|---|---|---|---|---|
| N g kg−1 | 1.01 ± 0.09 a | 0.99 ± 0.08 a | 11.8 ± 0.52 a | 11.6 ± 0.25 a |
| P % | 0.03 ± 0.01 b | 0.02 ± 0.01 b | 0.14 ± 0.05 a | 0.09 ± 0.01 b |
| K % | 0.10 ± 0.01 a | 0.03 ± 0.03 b | 1.85 ± 0.15 a | 1.15 ± 0.12 b |
| Ca % | 5.6 ± 0.24 b | 5.9 ± 0.51 b | 3.89 ± 0.52 a | 2.21 ± 0.42 b |
| Mg % | 2.9 ± 0.14 a | 0.44 ± 0.01 b | 1.46 ± 0.16 a | 0.21 ± 0.05 b |
| Sample | DGGE Bands |
|---|---|
| Anthyllis NM (AC) | 631—Rhizophagus sp.; 632—Rhizophagus sp.; 633—Rhizophagus sp.; 634—Rhizophagus sp.; 635—Rhizophagus fasciculatus; 636—Rhizophagus iranicus |
| Anthyllis M (AG1) | 652—Rhizophagus iranicus, 653—Rhizophagus iranicus, 654—Rhizophagus iranicus, 655—Rhizophagus iranicus, 656—Rhizophagus iranicus, 657—Rhizophagus iranicus, 658—Rhizophagus iranicus, 659—Rhizophagus iranicus, 660—Rhizophagus iranicus, 661—Rhizophagus iranicus, 662—Rhizophagus sp., 670—Rhizophagus iranicus |
| Anthyllis M (AG2) | 652—Rhizophagus iranicus, 653—Rhizophagus iranicus, 654—Rhizophagus iranicus, 655—Rhizophagus iranicus, 656—Rhizophagus iranicus, 657—Rhizophagus iranicus, 658—Rhizophagus iranicus, 659—Rhizophagus iranicus, 660—Rhizophagus iranicus, 661—Rhizophagus iranicus, 662—R. fasciculatus, 670—Rhizophagus iranicus |
| Anthyllis M (AG3) | 652—Rhizophagus iranicus, 653—Rhizophagus iranicus, 654—Rhizophagus iranicus, 655—Rhizophagus iranicus, 656—Rhizophagus iranicus, 657—Rhizophagus iranicus, 658—Rhizophagus iranicus, 659—Rhizophagus iranicus, 660—Rhizophagus iranicus, 661—Rhizophagus iranicus, 662—R. fasciculatus, 670—Rhizophagus iranicus |
Disclaimer/Publisher’s Note: The statements, opinions and data contained in all publications are solely those of the individual author(s) and contributor(s) and not of MDPI and/or the editor(s). MDPI and/or the editor(s) disclaim responsibility for any injury to people or property resulting from any ideas, methods, instructions or products referred to in the content. |
© 2023 by the authors. Licensee MDPI, Basel, Switzerland. This article is an open access article distributed under the terms and conditions of the Creative Commons Attribution (CC BY) license (https://creativecommons.org/licenses/by/4.0/).
Share and Cite
Sujkowska-Rybkowska, M.; Lisek, A.; Sumorok, B.; Derkowska, E.; Szymańska, M.; Sas-Paszt, L. Arbuscular Mycorrhizal Fungi as an Important Factor Enabling the Adaptation of Anthyllis vulneraria L. to Zn-Pb-Polluted Tailings. Plants 2023, 12, 2092. https://doi.org/10.3390/plants12112092
Sujkowska-Rybkowska M, Lisek A, Sumorok B, Derkowska E, Szymańska M, Sas-Paszt L. Arbuscular Mycorrhizal Fungi as an Important Factor Enabling the Adaptation of Anthyllis vulneraria L. to Zn-Pb-Polluted Tailings. Plants. 2023; 12(11):2092. https://doi.org/10.3390/plants12112092
Chicago/Turabian StyleSujkowska-Rybkowska, Marzena, Anna Lisek, Beata Sumorok, Edyta Derkowska, Magdalena Szymańska, and Lidia Sas-Paszt. 2023. "Arbuscular Mycorrhizal Fungi as an Important Factor Enabling the Adaptation of Anthyllis vulneraria L. to Zn-Pb-Polluted Tailings" Plants 12, no. 11: 2092. https://doi.org/10.3390/plants12112092
APA StyleSujkowska-Rybkowska, M., Lisek, A., Sumorok, B., Derkowska, E., Szymańska, M., & Sas-Paszt, L. (2023). Arbuscular Mycorrhizal Fungi as an Important Factor Enabling the Adaptation of Anthyllis vulneraria L. to Zn-Pb-Polluted Tailings. Plants, 12(11), 2092. https://doi.org/10.3390/plants12112092

