Occurrence of Bensulfuron-Methyl Resistance and Target-Site Resistance Mechanisms in Ammannia auriculata Biotypes from Paddy Fields
Abstract
:1. Introduction
2. Results
2.1. Bensulfuron-Methyl Dose Response
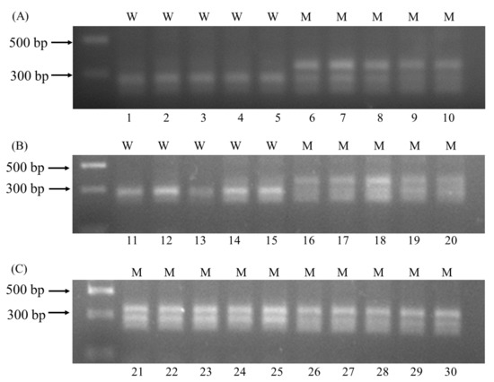
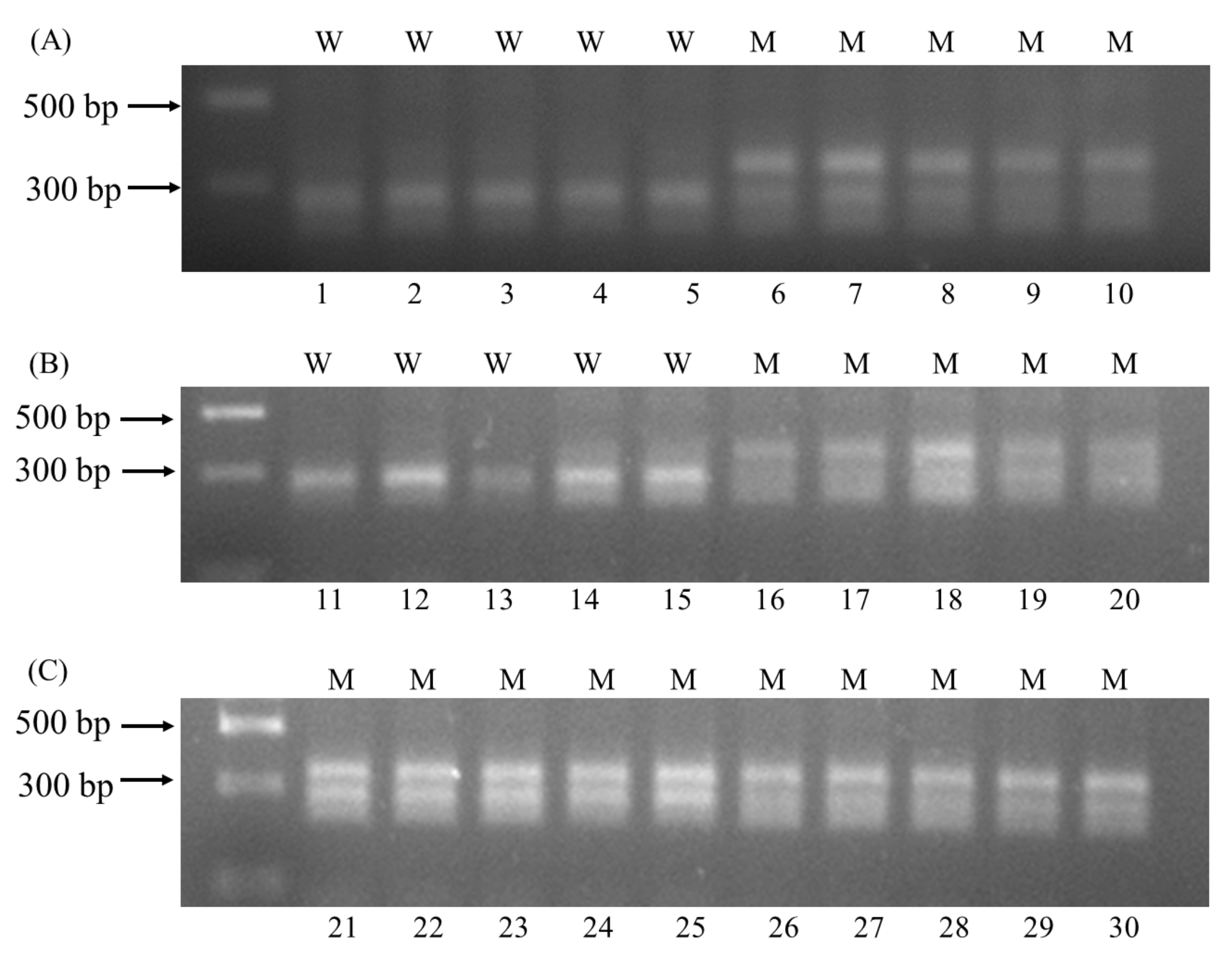
2.2. Identification of ALS Gene Mutations
2.3. CAPS Method for the Pro197 Mutations
3. Discussion
4. Materials and Methods
4.1. Plant Materials
4.2. Whole-Plant Response to Bensulfuron-Methyl
4.3. ALS Gene Sequencing
4.4. CAPS Detection for Pro197 Mutations
4.5. Statistical Analysis
5. Conclusions
Author Contributions
Funding
Institutional Review Board Statement
Informed Consent Statement
Data Availability Statement
Acknowledgments
Conflicts of Interest
References
- Heap, I. The International Herbicide-Resistant Weed Database. Available online: http://www.weedscience.org (accessed on 30 June 2022).
- Powles, S.B.; Yu, Q. Evolution in action: Plants resistant to herbicides. Annu. Rev. Plant Biol. 2010, 61, 317–347. [Google Scholar] [CrossRef] [PubMed] [Green Version]
- Délye, C.; Jasieniuk, M.; Le Corre, V. Deciphering the evolution of herbicide resistance in weeds. Trends Genet. 2013, 29, 649–658. [Google Scholar] [CrossRef] [PubMed]
- Murphy, B.P.; Tranel, P.J. Target-site mutations conferring herbicide resistance. Plants 2019, 8, 382. [Google Scholar] [CrossRef] [PubMed] [Green Version]
- Yang, S.; Wu, Y.; Liu, H. Research progress of sulfonylurea herbicides. Mod. Agrochem. 2022, 21, 14–21. [Google Scholar]
- Ray, T.B. Site of action of chlorsulfuron: Inhibition of valine and isoleucine biosynthesis in plants. Plant Physiol. 1984, 75, 827–831. [Google Scholar] [CrossRef] [Green Version]
- Duggleby, R.G.; McCourt, J.A.; Guddat, L.W. Structure and mechanism of inhibition of plant acetohydroxyacid synthase. Plant Physiol. Biochem. 2008, 46, 309–324. [Google Scholar] [CrossRef]
- Mazur, B.J.; Falco, S.C. The development of herbicide resistant crops. Ann. Rev. Plant Biol. 1989, 40, 441–470. [Google Scholar] [CrossRef]
- Tranel, P.J.; Wright, T.R. Resistance of weeds to ALS-inhibiting herbicides: What have we learned? Weed Sci. 2002, 50, 700–712. [Google Scholar] [CrossRef]
- Fang, J.; Yang, D.; Zhao, Z.; Chen, J.; Dong, L. A novel Phe-206-Leu mutation in acetolactate synthase confers resistance to penoxsulam in barnyardgrass (Echinochloa crusgalli (L.) P. Beauv). Pest Manag. Sci. 2022, 78, 2560–2570. [Google Scholar] [CrossRef]
- Tranel, P.J.; Wright, T.R.; Heap, I.M. Mutations in Herbicide-Resistant Weeds to ALS Inhibitors. Available online: https://www.weedscience.org/mutations/mutationdisplayall.aspx (accessed on 30 June 2022).
- Veldhuis, L.J.; Hall, L.M.; O’Donovan, J.T.; Dyer, W.; Hall, J.C. Metabolism-based resistance of a wild mustard (Sinapis arvensis L.) biotype to ethametsulfuron-methyl. J. Agri. Food Chem. 2000, 48, 2986–2990. [Google Scholar] [CrossRef]
- Owen, M.J.; Goggin, D.E.; Powles, S.B. Non-target-site-based resistance to ALS-inhibiting herbicides in six Bromus rigidus populations from Western Australian cropping fields. Pest Manag. Sci. 2012, 68, 1077–1082. [Google Scholar] [CrossRef] [PubMed]
- Guo, J.; Riggins, C.W.; Hausman, N.E.; Hager, A.G.; Riechers, D.E.; Davis, A.S.; Tranel, P.J. Nontarget-site resistance to ALS inhibitors in waterhemp (Amaranthus tuberculatus). Weed Sci. 2015, 63, 399–407. [Google Scholar] [CrossRef] [Green Version]
- Zhao, B.; Fu, D.; Yu, Y.; Huang, C.; Yan, K.; Li, P.; Shafi, J.; Zhu, H.; Wei, S.; Ji, M. Non-target-site resistance to ALS-inhibiting herbicides in a Sagittaria trifolia L. population. Pestic. Biochem. Physiol. 2017, 140, 79–84. [Google Scholar] [CrossRef]
- Cao, S.; Zhao, B.; Zou, Y.; Sun, Z.; Zhang, H.; Wei, S.; Ji, M. P450s mediated enhanced herbicide metabolism involved in the thifensulfuron-methyl resistance in Ipomoea purpurea L. Pestic. Biochem. Physiol. 2022, 184, 105111. [Google Scholar] [CrossRef] [PubMed]
- Lan, Y.; Zhou, X.; Lin, S.; Cao, Y.; Wei, S.; Huang, H.; Li, Y.; Huang, Z. Pro-197-Ser mutation and cytochrome P450-mediated metabolism conferring resistance to flucarbazone-sodium in Bromus japonicus. Plants 2022, 11, 1641. [Google Scholar] [CrossRef]
- Délye, C.; Pernin, F.; Scarabel, L. Evolution and diversity of the mechanisms endowing resistance to herbicides inhibiting acetolactate-synthase (ALS) in corn poppy (Papaver rhoeas L.). Plant Sci. 2011, 180, 333–342. [Google Scholar] [CrossRef]
- Rey-Caballero, J.; Menéndez, J.; Osuna, M.D.; Salas, M.; Torra, J. Target-site and non-target-site resistance mechanisms to ALS inhibiting herbicides in Papaver rhoeas. Pestic. Biochem. Physiol. 2017, 138, 57–65. [Google Scholar] [CrossRef] [Green Version]
- Nakka, S.; Thompson, C.R.; Peterson, D.E.; Jugulam, M. Target site–based and non–target site based resistance to ALS inhibitors in palmer amaranth (Amaranthus palmeri). Weed Sci. 2017, 65, 681–689. [Google Scholar] [CrossRef]
- Yang, Q.; Deng, W.; Li, X.; Yu, Q.; Bai, L.; Zheng, M. Target-site and non-target-site based resistance to the herbicide tribenuron-methyl in flixweed (Descurainia sophia L.). BMC Genom. 2016, 17, 551–563. [Google Scholar] [CrossRef] [Green Version]
- Yu, J.L.; McCullough, P.K.; McElroy, J.S.; Jespersen, D.; Shilling, D.G. Gene expression and target-site mutations are associated with resistance to ALS inhibitors in annual sedge (Cyperus compressus) biotypes from Georgia. Weed Sci. 2020, 68, 460–466. [Google Scholar] [CrossRef]
- Sen, M.K.; Hamouzová, K.; Mikulka, J.; Bharati, R.; Košnarová, P.; Hamouz, P.; Royc, A.; Soukupa, J. Enhanced metabolism and target gene overexpression confer resistance against acetolactate synthase-inhibiting herbicides in Bromus sterilis. Pest Manag. Sci. 2021, 77, 2122–2128. [Google Scholar] [CrossRef]
- Lu, Z.; Zhang, C.; Fu, J.; Li, M.; Li, G. Molecular basis of resistance to bensulfuron-methyl in Monochoria korsakowii. Sci. Agric. Sin. 2009, 42, 3516–3521. [Google Scholar]
- Li, D.; Li, X.J.; Yu, H.L.; Wang, J.J.; Cui, H.L. Cross-resistance of eclipta (Eclipta prostrata) in China to ALS inhibitors due to a Pro-197-Ser point mutation. Weed Sci. 2017, 65, 547–556. [Google Scholar] [CrossRef]
- Deng, W.; Yang, M.; Duan, Z.; Peng, C.; Xia, Z.; Yuan, S. Molecular basis of resistance to bensulfuron-methyl and cross-resistance patterns to ALS-inhibiting herbicides in Ludwigia prostrata. Weed Technol. 2021, 35, 656–661. [Google Scholar] [CrossRef]
- Li, Z.; Li, X.; Chen, J.; Peng, L.; Wang, J.; Cui, H. Variation in mutations providing resistance to acetohydroxyacid synthase inhibitors in Cyperus difformis in China. Pestic. Biochem. Physiol. 2020, 166, 104571. [Google Scholar] [CrossRef] [PubMed]
- Wang, X.; Xu, Q.; Zhu, J.; Liu, R.; Wang, S.; Liu, Y.; Lu, Q.; Wang, G. Resistance comparison of Ammannia arenaria to bensulfuron-methyl in different paddy rice growing regions of Zhejiang province. Chin. J. Pestic. Sci. 2013, 15, 52–58. [Google Scholar]
- Beckie, H.J.; Tardif, F.J. Herbicide cross resistance in weeds. Crop Prot. 2012, 35, 15–28. [Google Scholar] [CrossRef]
- Zhang, J.; Liu, B.; Cai, X.; Zhou, W.; Wang, H.; Lu, Q.; Zhou, G.; Liu, Y.; Liang, W.; Wang, S.; et al. Resistance and its resistant molecular mechanism of Ammannia arenaria to ALS inhibiting herbicides. Chin. J. Pestic. Sci. 2020, 22, 60–67. [Google Scholar]
- Iwakami, S.; Tanigaki, S.; Uchino, A.; Ozawa, Y.; Tominaga, T.; Wang, G.X. Characterization of the acetolactate synthase gene family in sensitive and resistant biotypes of two tetraploid Monochoria weeds, M. vaginalis and M. korsakowii. Pestic. Biochem. Physiol. 2020, 165, 104506. [Google Scholar] [CrossRef]
- Xu, Y.; Xu, L.; Li, X.; Zheng, M. Investigation of resistant level to tribenuron-methyl, diversity and regional difference of the resistant mutations on acetolactate synthase (ALS) isozymes in Descurainia sophia L. from China. Pestic. Biochem. Physiol. 2020, 169, 104653. [Google Scholar] [CrossRef]
- Tanigaki, S.; Uchino, A.; Okawa, S.; Miura, C.; Hamamura, K.; Matsuo, M.; Yoshino, N.; Ueno, N.; Toyama, Y.; Fukumi, N.; et al. Gene expression shapes the patterns of parallel evolution of herbicide resistance in the agricultural weed Monochoria vaginalis. New Phytol. 2021, 232, 928–940. [Google Scholar] [CrossRef] [PubMed]
- Deng, W.; Duan, Z.; Li, Y.; Cui, H.; Peng, C.; Yuan, S. Characterization of target-site resistance to ALS-inhibiting herbicides in Ammannia multiflora populations. Weed Sci. 2022, 70, 292–297. [Google Scholar] [CrossRef]
- Yu, Q.; Han, H.; Powles, S.B. Mutations of the ALS gene endowing resistance to ALS-inhibiting herbicides in Lolium rigidum populations. Pestic. Sci. 2008, 64, 1229–1236. [Google Scholar] [CrossRef] [PubMed]
- Kaloumenos, N.S.; Dordas, C.A.; Diamantidis, G.C.; Eleftherohorinos, I.G. Multiple Pro197 substitutions in the acetolactate synthase of corn poppy (Papaver rhoeas) confer resistance to tribenuron. Weed Sci. 2009, 57, 362–368. [Google Scholar] [CrossRef]
- Deng, W.; Liu, M.J.; Yang, Q.; Mei, Y.; Li, X.F.; Zheng, M.Q. Tribenuron-methyl resistance and mutation diversity of Pro197 in flixweed (Descurainia sophia L.) accessions from China. Pestic. Biochem. Physiol. 2015, 117, 68–74. [Google Scholar] [CrossRef]
- Pan, L.; Li, J.; Xia, W.; Zhang, D.; Dong, L. An effective method, composed of LAMP and dCAPS, to detect different mutations in fenoxaprop-P-ethyl-resistant American sloughgrass (Beckmannia syzigachne Steud.) populations. Pestic. Biochem. Physiol. 2015, 117, 1–8. [Google Scholar] [CrossRef] [PubMed]
- Pan, L.; Li, J.; Zhang, W.N.; Dong, L. Detection of the I1781L mutation in fenoxaprop-p-ethyl-resistant American sloughgrass (Beckmannia syzigachne Steud.), based on the loop-mediated isothermal amplification method. Pest Manag. Sci. 2015, 71, 123–130. [Google Scholar] [CrossRef]
- Peng, Y.; Pan, L.; Liu, D.; Cheng, X.; Ma, G.; Li, S.; Liu, X.; Wang, L.; Bai, L. Confirmation and characterization of cyhalofop-butyl–resistant Chinese sprangletop (Leptochloa chinensis) populations from China. Weed Sci. 2020, 68, 253–259. [Google Scholar] [CrossRef]
- Seefeldt, S.S.; Jensen, J.E.; Fuerst, E.P. Log-logistic analysis of herbicide dose response relationships. Weed Technol. 1995, 9, 218–227. [Google Scholar] [CrossRef]



| Population | Susceptibility | Regression parameter | GR50 (g ai ha−1) | RF | |||
|---|---|---|---|---|---|---|---|
| C | D | b | R2 | ||||
| YZ-S | S | 14.68 | 80.36 | 1.54 | 0.99 | 0.18 (0.015) | 1.0 |
| YZ-1 | R | 11.73 | 98.61 | 0.91 | 0.98 | 3.18 (0.59) | 17.7 |
| YZ-2 | R | 10.42 | 105.51 | 0.74 | 0.98 | 3.36 (0.37) | 18.7 |
| YZ-3 | R | 20.79 | 95.27 | 2.24 | 0.98 | 2.95 (0.60) | 16.4 |
| YZ-4 | R | 14.55 | 91.15 | 1.00 | 0.97 | 20.97 (3.80) | 116.5 |
| YZ-5 | R | 16.52 | 85.45 | 1.20 | 0.99 | 4.82 (1.12) | 26.8 |
| YZ-6 | S | 13.05 | 81.35 | 1.55 | 0.99 | 0.26 (0.02) | 1.4 |
| YZ-7 | R | 19.50 | 95.01 | 1.60 | 0.99 | 32.96 (4.87) | 183.1 |
| YZ-8 | R | 17.19 | 84.71 | 1.76 | 0.99 | 7.18 (0.38) | 39.9 |
| YZ-9 | R | 11.78 | 96.69 | 1.01 | 0.99 | 6.91 (1.68) | 38.4 |
| YZ-10 | R | 15.64 | 89.80 | 1.35 | 0.98 | 6.50 (1.07) | 36.1 |
| Biotype | Susceptibility | Pro197 in AaALS1 | Pro197 in AaALS2 | Pro197 in AaALS3 | Numbers of Plants with Specific ALS Genotype/Total Tested Plants | |||
|---|---|---|---|---|---|---|---|---|
| Codon | Amino acid | Codon | Amino acid | Codon | Amino acid | |||
| YZ-S | S | CCT | Pro | CCG | Pro | CCA | Pro | 10/10 |
| YZ-1 | R | CTT | Leu | CCG | Pro | CCA | Pro | 10/10 |
| YZ-2 | R | GCT | Ala | CCG | Pro | CCA | Pro | 5/10 |
| TCT | Ser | CCG | Pro | CCA | Pro | 5/10 | ||
| YZ-3 | R | CCT | Pro | CCG | Pro | CCA | Pro | 10/10 |
| YZ-4 | R | CAT | His | CCG | Pro | CCA | Pro | 10/10 |
| YZ-5 | R | CTT | Leu | CCG | Pro | CCA | Pro | 10/10 |
| YZ-6 | S | CCT | Pro | CCG | Pro | CCA | Pro | 10/10 |
| YZ-7 | R | CTT | Leu | CCG | Pro | CCA | Pro | 9/10 |
| GCT | Ala | CCG | Pro | CCA | Pro | 1/10 | ||
| YZ-8 | R | CTT | Leu | CCG | Pro | CCA | Pro | 10/10 |
| YZ-9 | R | CCT | Pro | TCG | Ser | CCA | Pro | 10/10 |
| YZ-10 | R | TCT | Ser | CCG | Pro | CCA | Pro | 10/10 |
| Population | Location | Co-Ordinate |
|---|---|---|
| YZ-S | Sunongwu Village, Hanjiang District, Yangzhou City | 119.4290 E, 32.3983 N |
| YZ-1 | Qingyu Village, Lidian Town, Yangzhou City | 119.6708 E, 32.3112 N |
| YZ-2 | Yanjiang Village, Lidian Town, Yangzhou City | 119.5778 E, 32.2670 N |
| YZ-3 | Chenhua Village, Fangxiang Town, Yangzhou City | 119.4095 E, 32.4990 N |
| YZ-4 | Shiqiao Village, Gongdao Town, Yangzhou City | 119.2837 E, 32.5521 N |
| YZ-5 | Wangzhuang Village, Gongdao Town, Yangzhou City | 119.4102 E, 32.6226 N |
| YZ-6 | Pantang Village, Guoji Town, Yangzhou City | 119.3765 E, 32.6884 N |
| YZ-7 | Qunan Village, Longben Town, Yangzhou City | 119.5072 E, 32.7517 N |
| YZ-8 | Xiajiazhuang Village, Xiejia Town, Yangzhou City | 119.6263 E, 32.7601 N |
| YZ-9 | Lizhuang Village, Guanglin District, Yangzhou City | 119.4113 E, 32.3251 N |
| YZ-10 | Shenzhuang Village, Guanglin District, Yangzhou City | 119.3786 E, 32.2763 N |
Publisher’s Note: MDPI stays neutral with regard to jurisdictional claims in published maps and institutional affiliations. |
© 2022 by the authors. Licensee MDPI, Basel, Switzerland. This article is an open access article distributed under the terms and conditions of the Creative Commons Attribution (CC BY) license (https://creativecommons.org/licenses/by/4.0/).
Share and Cite
Liu, L.; Wan, P.; Li, Y.; Duan, Z.; Peng, C.; Yuan, S.; Deng, W. Occurrence of Bensulfuron-Methyl Resistance and Target-Site Resistance Mechanisms in Ammannia auriculata Biotypes from Paddy Fields. Plants 2022, 11, 1926. https://doi.org/10.3390/plants11151926
Liu L, Wan P, Li Y, Duan Z, Peng C, Yuan S, Deng W. Occurrence of Bensulfuron-Methyl Resistance and Target-Site Resistance Mechanisms in Ammannia auriculata Biotypes from Paddy Fields. Plants. 2022; 11(15):1926. https://doi.org/10.3390/plants11151926
Chicago/Turabian StyleLiu, Longwei, Peng Wan, Yang Li, Zhiwen Duan, Cheng Peng, Shuzhong Yuan, and Wei Deng. 2022. "Occurrence of Bensulfuron-Methyl Resistance and Target-Site Resistance Mechanisms in Ammannia auriculata Biotypes from Paddy Fields" Plants 11, no. 15: 1926. https://doi.org/10.3390/plants11151926
APA StyleLiu, L., Wan, P., Li, Y., Duan, Z., Peng, C., Yuan, S., & Deng, W. (2022). Occurrence of Bensulfuron-Methyl Resistance and Target-Site Resistance Mechanisms in Ammannia auriculata Biotypes from Paddy Fields. Plants, 11(15), 1926. https://doi.org/10.3390/plants11151926

