Monochromic Radiations Provided by Light Emitted Diode (LED) Modulate Infection and Defense Response to Fire Blight in Pear Trees
Abstract
1. Introduction
2. Results
2.1. Effect on the Monochromatic Light on the Growth of E. amylovora In Vitro
2.2. E. amylovora Causes Tissue Necrosis in In Vitro Pear Dar Gazi Plantlets
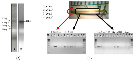
2.3. Molecular Marker for E. amylovora Infection
2.4. PR1 and PR10 Expression in Dar Gazi-wt
2.5. PR1 and PR10 Expression in CRY1 and PHYB Overexpressing Lines in WL
2.6. PR1 and PR10 Expression in Dar Gazi-cry1 and Dar Gazi-phyB in RL, FRL, and BL
2.7. CRY1 Overexpressing Line Is More Resistant to Fire Blight
3. Discussion
3.1. Regulation of PR Genes by Circadian Rhythms and Photoreceptors
3.2. Light Plays a Role in E. amylovora Growth
3.3. Cryptochrome Increase the Defense against the Attack of E. amylovora
3.4. Agronomic Relevance
4. Materials and Methods
4.1. Plant Material, Medium Composition, Growth Conditions, and Bacterial Strain
4.2. Molecular Confirmation of the Transgene Insertion
4.3. E. amylovora In Vitro Experiments
4.4. Growth Conditions and Sampling
4.5. RNA Isolation and Quantification
4.6. cDNA Synthesis and qRT-PCR
4.7. Ion Leakage Assay
5. Conclusions
Supplementary Materials
Author Contributions
Funding
Institutional Review Board Statement
Informed Consent Statement
Data Availability Statement
Conflicts of Interest
References
- Thomson, S.V. The role of the stigma in fire blight infections. Phytopathology 1986, 76, 476. [Google Scholar] [CrossRef]
- Abdollahi, H.; Rugini, E.; Ruzzi, M.; Muleo, R. In vitro system for studying the interaction between Erwinia amylovora and genotypes of pear. Plant Cell Tiss. Org. Cult. 2004, 79, 203–212. [Google Scholar] [CrossRef]
- Dellagi, A.; Brisset, M.N.; Paulin, J.P.; Expert, D. Dual role of desferrioxamine in Erwinia amylovora pathogenicity. Mol. Plant-Microbe Interact. 1998, 11, 734–742. [Google Scholar] [CrossRef] [PubMed]
- Garbay, B.; Tautu, M.T.; Costaglioli, P. Low level of pathogenesis-related protein 1 mRNA expression in 15-day-old Arabidopsis cer6-2 and cer2 eceriferum mutants. Plant Sci. 2007, 172, 299–305. [Google Scholar] [CrossRef]
- Genoud, T.; Buchala, A.J.; Chua, N.-H.; Métraux, J.-P. Phytochrome signalling modulates the SA-perceptive pathway in Arabidopsis, modulation of SA pathway by phytochrome Signal. Plant J. 2002, 31, 87–95. [Google Scholar] [CrossRef]
- Sels, J.; Mathys, J.; De Coninck, B.M.A.; Cammue, B.P.A.; De Bolle, M.F.C. Plant pathogenesis-related (PR) proteins, a focus on PR peptides. Plant Physiol. Biochem. 2008, 46, 941–950. [Google Scholar] [CrossRef] [PubMed]
- Zeier, J.; Pink, B.; Mueller, M.J.; Berger, S. Light conditions influence specific defence responses in incompatible plant-pathogen interactions, uncoupling systemic resistance from salicylic acid and PR-1 accumulation. Planta 2004, 219, 673–683. [Google Scholar] [CrossRef]
- Mitsuhara, I.; Iwai, T.; Seo, S.; Yanagawa, Y.; Kawahigasi, H.; Hirose, S.; Ohkawa, Y.; Ohashi, Y. Characteristic expression of twelve rice PR1 family genes in response to pathogen infection, wounding, and defense-related signal compounds (121/180). Mol. Genet. Genom. 2008, 279, 415–427. [Google Scholar] [CrossRef]
- Cameron, R.K.; Paiva, N.L.; Lamb, C.J.; Dixon, R.A. Accumulation of salicylic acid and PR-1 gene transcripts in relation to the systemic acquired resistance (SAR) response induced by Pseudomonas syringae pv. Tomato in Arabidopsis. Physiol. Mol. Plant P. 1999, 55, 121–130. [Google Scholar] [CrossRef]
- Ali, S.; Ganai, B.A.; Kamili, A.N.; Bhat, A.A.; Mir, Z.A.; Bhat, J.A.; Tyagi, A.; Islam, S.T.; Mushtaq, M.; Yadav, P.; et al. Pathogenesis-related proteins and peptides as promising tools for engineering plants with multiple stress tolerance. Microbiol. Res. 2018, 212–213, 29–37. [Google Scholar] [CrossRef]
- Okushima, Y.; Koizumi, N.; Kusano, T.; Sano, H. Secreted proteins of tobacco cultured BY2 cells, identification of a new member of pathogenesis-related proteins. Plant Mol. Biol. 2000, 42, 479–488. [Google Scholar] [CrossRef]
- Sinha, M.; Singh, R.P.; Kushwaha, G.S.; Iqbal, N.; Singh, A.; Kaushik, S.; Kaur, P.; Sharma, S.; Singh, T.P. Current overview of allergens of plant pathogenesis related protein families. TSWJ 2014, 2014, 543195. [Google Scholar] [CrossRef] [PubMed]
- Guevara-Morato, M.A.; de Lacoba, M.G.; García-Luque, I.; Serra, M.T. Characterization of a pathogenesis-related protein 4 (PR-4) induced in Capsicum chinense L3 plants with dual RNase and DNase activities. J. Exp. Bot. 2010, 61, 3259–3271. [Google Scholar] [CrossRef]
- Guerra-Guimarães, L.; Pinheiro, C.; Chaves, I.; Barros, D.; Ricardo, C. Protein dynamics in the plant extracellular space. Proteomes 2016, 4, 22. [Google Scholar] [CrossRef] [PubMed]
- Hoffmann-Sommergruber, K. Pathogenesis-related (PR)-proteins identified as allergens. Biochem. Soc. Trans. 2002, 30, 930–935. [Google Scholar] [CrossRef]
- Lee, O.R.; Pulla, R.K.; Kim, Y.-J.; Balusamy, S.R.D.; Yang, D.-C. Expression and stress tolerance of PR10 genes from Panax ginseng C. A. Meyer. Mol. Biol. Rep. 2012, 39, 2365–2374. [Google Scholar] [CrossRef] [PubMed]
- Moiseyev, G.P.; Fedoreyeva, L.I.; Zhuravlev, Y.N.; Yasnetskaya, E.; Jekel, P.A.; Beintema, J.J. Primary structures of two ribonucleases from ginseng calluses. New members of the PR-10 family of intracellular pathogenesis-related plant proteins. FEBS Lett. 1997, 407, 207–210. [Google Scholar] [CrossRef]
- Kim, S.T.; Yu, S.; Kang, Y.H.; Kim, S.G.; Kim, J.-Y.; Kim, S.-H.; Kang, K.Y. The rice pathogen-related protein 10 (JIOsPR10) is induced by abiotic and biotic stresses and exhibits ribonuclease activity. Plant Cell Rep. 2008, 27, 593–603. [Google Scholar] [CrossRef]
- Xie, X.-Z.; Xue, Y.-J.; Zhou, J.-J.; Zhang, B.; Chang, H.; Takano, M. Phytochromes regulate SA and JA signaling pathways in rice and are required for developmentally controlled resistance to Magnaporthe grisea. Mol. Plant 2011, 4, 688–696. [Google Scholar] [CrossRef]
- Griebel, T.; Zeier, J. Light regulation and daytime dependency of inducible plant defenses in Arabidopsis, phytochrome signaling controls systemic acquired resistance rather than local defense. Plant Physiol. 2008, 147, 790–801. [Google Scholar] [CrossRef]
- Yang, Y.; Li, Y.; Li, X.; Guo, X.; Xiao, X.; Tang, D.; Liu, X. Comparative proteomics analysis of light responses in cryptochrome1-304 and Columbia wild-type 4 of Arabidopsis thaliana. Acta Biochem. Biophys. Sin. (Shanghai) 2008, 40, 27–37. [Google Scholar] [CrossRef] [PubMed]
- Wu, L.; Yang, H.-Q. CRYPTOCHROME 1 is implicated in promoting R protein-mediated plant resistance to Pseudomonas syringae in Arabidopsis. Mol. Plant 2010, 3, 539–548. [Google Scholar] [CrossRef] [PubMed]
- Mayer, R.; Raventos, D.; Chua, N.H. Det1, Cop1, and Cop9 mutations cause inappropriate expression of several gene Sets. Plant Cell 1996, 8, 1951–1959. [Google Scholar] [CrossRef][Green Version]
- Kim, T.-H.; Kim, B.-H.; von Arnim, A.G. Repressors of photomorphogenesis. Int. Rev. Cytol. 2002, 220, 185–223. [Google Scholar] [CrossRef]
- Purcell, E.B.; Crosson, S. Photoregulation in prokaryotes. Curr. Opin. Microbiol. 2008, 11, 168–178. [Google Scholar] [CrossRef]
- Karniol, B.; Wagner, J.R.; Walker, J.M.; Vierstra, R.D. Phylogenetic analysis of the phytochrome superfamily reveals distinct microbial subfamilies of photoreceptors. Biochem. J. 2005, 392, 103–116. [Google Scholar] [CrossRef]
- Fraikin, G.Y.; Strakhovskaya, M.G.; Belenikina, N.S.; Rubin, A.B. Bacterial photosensory proteins, regulatory functions and optogenetic applications. Microbiology 2015, 84, 461–472. [Google Scholar] [CrossRef]
- Kraiselburd, I.; Moyano, L.; Carrau, A.; Tano, J.; Orellano, E.G. Bacterial photosensory proteins and their role in plant-pathogen interactions. Photochem. Photobiol. 2017, 93, 666–674. [Google Scholar] [CrossRef]
- Wu, L.; McGrane, R.S.; Beattie, G.A. Light regulation of swarming motility in Pseudomonas syringae integrates signaling pathways mediated by a bacteriophytochrome and a LOV protein. mBio 2013, 4, e00334-13. [Google Scholar] [CrossRef]
- Consiglieri, E.; Xu, Q.; Zhao, K.-H.; Gärtner, W.; Losi, A. The first molecular characterisation of Blue- and Red-light photoreceptors from Methylobacterium radiotolerans. Phys. Chem. Chem. Phys. 2020, 22, 12434–12446. [Google Scholar] [CrossRef]
- Mukherjee, S.; Jemielita, M.; Stergioula, V.; Tikhonov, M.; Bassler, B.L. Photosensing and quorum sensing are integrated to control Pseudomonas aeruginosa collective behaviors. PLoS Biol. 2019, 17, e3000579. [Google Scholar] [CrossRef]
- Hessling, M.; Spellerberg, B.; Hoenes, K. Photoinactivation of bacteria by endogenous photosensitizers and exposure to visible light of different wavelengths—A review on existing data. FEMS Microbiol. Lett. 2017, 364, fnw270. [Google Scholar] [CrossRef]
- Wang, Y.; Wang, Y.; Wang, Y.; Murray, C.K.; Hamblin, M.R.; Hooper, D.C.; Dai, T. Antimicrobial Blue light inactivation of pathogenic microbes, state of the art. Drug Resist. Updates 2017, 33–35, 1–22. [Google Scholar] [CrossRef]
- Hoenes, K.; Bauer, R.; Meurle, T.; Spellerberg, B.; Hessling, M. Inactivation effect of Violet and Blue light on ESKAPE pathogens and closely related non-pathogenic bacterial species—A promising tool against antibiotic-sensitive and antibiotic-resistant microorganisms. Front. Microbiol. 2020, 11, 612367. [Google Scholar] [CrossRef]
- Abdollahi, H.; Luziatelli, F.; Cirilli, M.; Frioni, E.; Rugini, E.; Ruzzi, M.; Muleo, R. Involvement of a hypersensitive-like reaction in tolerance to fire blight in pear (Pyrus Communis L.). Afr. J. Biotechnol. 2014, 13, 2840–2849. [Google Scholar] [CrossRef]
- de Waard, M.A.; Del Sorbo, G.; Hayashi, K.; Schoonbeek, H.; Vermeulen, T. ABC and MFS Transporters from Botrytis cinerea. In Book of Abstracts XIIth International Botrytis Symposium; Université de Reims: Reims, France, 3–7 July 2000; p. L40. [Google Scholar]
- Saier, M.H. Families of transmembrane sugar transport proteins. Mol. Microbiol. 2000, 35, 699–710. [Google Scholar] [CrossRef] [PubMed]
- Muleo, R.; Iacona, C. Light perception and timekeeping systems in plants, the biological value of the domain of time. Riv. Biol. 2007, 100, 16–21. [Google Scholar]
- Genoud, T.; Millar, A.J.; Nishizawa, N.; Kay, S.A.; Schäfer, E.; Nagatani, A.; Chua, N.H. An Arabidopsis mutant hypersensitive to Red and Far-Red light signals. Plant Cell 1998, 10, 889–904. [Google Scholar] [CrossRef] [PubMed]
- Karpinski, S.; Gabrys, H.; Mateo, A.; Karpinska, B.; Mullineaux, P.M. Light perception in plant disease defence signalling. Curr. Opin. Plant Biol. 2003, 6, 390–396. [Google Scholar] [CrossRef]
- Goodspeed, D.; Chehab, E.W.; Min-Venditti, A.; Braam, J.; and Covington, M.F. Arabidopsis synchronizes jasmonate-mediated defense with insect circadian behavior. Proc. Natl. Acad. Sci. USA 2012, 109, 4674–4677. [Google Scholar] [CrossRef]
- Zhou, M.; Wang, W.; Karapetyan, S.; Mwimba, M.; Marques, J.; Buchler, N.E.; Dong, X. Redox rhythm reinforces the circadian clock to gate immune response. Nature 2015, 523, 472–476. [Google Scholar] [CrossRef]
- Pajerowska-Mukhtar, K.M.; Emerine, D.K.; Mukhtar, M.S. Tell me more, roles of NPRs in plant immunity. Trends Plant Sci. 2013, 18, 402–411. [Google Scholar] [CrossRef]
- Ballaré, C.L. Light regulation of plant defense. Annu. Rev. Plant Biol. 2014, 65, 335–363. [Google Scholar] [CrossRef]
- Janda, T.; Szalai, G.; Pál, M. Salicylic acid signalling in plants. IJMS 2020, 21, 2655. [Google Scholar] [CrossRef]
- Perales, M.; Más, P. A functional link between rhythmic changes in chromatin structure and the Arabidopsis biological clock. Plant Cell 2007, 19, 2111–2123. [Google Scholar] [CrossRef]
- Jin, H.; Choi, S.-M.; Kang, M.-J.; Yun, S.-H.; Kwon, D.-J.; Noh, Y.-S.; Noh, B. Salicylic acid-induced transcriptional reprogramming by the HAC–NPR1–TGA Histone Acetyltransferase complex in Arabidopsis. Nucleic Acids Res. 2018, 46, 11712–11725. [Google Scholar] [CrossRef] [PubMed]
- Cirvilleri, G.; Spina, S.; Iacona, C.; Catara, A.; Muleo, R. Study of rhizosphere and phyllosphere bacterial community and resistance to bacterial canker in genetically engineered Phytochrome A cherry plants. J. Plant Physiol. 2008, 165, 1107–1119. [Google Scholar] [CrossRef] [PubMed]
- Hashimoto, M.; Kisseleva, L.; Sawa, S.; Furukawa, T.; Komatsu, S.; Koshiba, T. A novel rice PR10 protein, RSOsPR10, specifically induced in roots by biotic and abiotic stresses, possibly via the Jasmonic acid signaling pathway. Plant Cell Physiol. 2004, 45, 550–559. [Google Scholar] [CrossRef]
- Colditz, F.; Nyamsuren, O.; Niehaus, K.; Eubel, H.; Braun, H.-P.; Krajinski, F. Proteomic approach, identification of Medicago truncatula proteins induced in roots after infection with the pathogenic Oomycete Aphanomyces euteiches. Plant Mol. Biol. 2004, 55, 109–120. [Google Scholar] [CrossRef]
- Poupard, P.; Brunel, N.; Leduc, N.; Viémont, J.-D.; Strullu, D.-G.; Simoneau, P. Expression of a Bet v 1 homologue gene encoding a PR10 protein in birch roots, induction by auxin and localization of the transcripts by in situ hybridization. Funct. Plant Biol. 2001, 28, 57. [Google Scholar] [CrossRef]
- Losi, A.; Gärtner, W. A light life together, photosensing in the plant microbiota. Photochem. Photobiol. Sci. 2021, 20, 451–473. [Google Scholar] [CrossRef]
- Akbudak, M.A.; Yildiz, S.; and Filiz, E. Pathogenesis related protein-1 (PR-1) genes in tomato (Solanum lycopersicum L.), bioinformatics analyses and expression profiles in response to drought stress. Genomics 2020, 112, 4089–4099. [Google Scholar] [CrossRef]
- Sessa, G.; Yang, X.-Q.; Raz, V.; Eyal, Y.; Fluhr, R. Dark induction and subcellular localization of the pathogenesis-related PRB-1b protein. Plant Mol. Biol. 1995, 28, 537–547. [Google Scholar] [CrossRef]
- Seo, P.J.; Lee, A.-K.; Xiang, F.; Park, C.-M. Molecular and functional profiling of Arabidopsis pathogenesis-related genes, insights into their roles in salt response of seed germination. Plant Cell Physiol. 2008, 49, 334–344. [Google Scholar] [CrossRef] [PubMed]
- Staswick, P.E.; Tiryaki, I.; Rowe, M.L. Jasmonate response locus JAR1 and several related Arabidopsis genes encode enzymes of the firefly luciferase superfamily that show activity on jasmonic, salicylic, and indole-3-acetic acids in an as-say for adenylation. Plant Cell 2002, 14, 1405–1415. [Google Scholar] [CrossRef] [PubMed]
- Chen, H.J.; Fu, T.Y.; Yang, S.L.; Hsieh, H.L. FIN219/JAR1 and cryptochrome1 antagonize each other to modulate photomorphogenesis under blue light in Arabidopsis. PLoS Genet. 2018, 14, e1007248. [Google Scholar] [CrossRef]
- Hsieh, H.L.; Okamoto, H.; Wang, M.; Ang, L.H.; Matsui, M.; Goodman, H.; Deng, X.W. FIN219, an aux-in-regulated gene, defines a link between phytochrome A and the downstream regulator COP1 in light control of Arabidopsis development. Genes Dev. 2000, 14, 1958–1970. [Google Scholar] [PubMed]
- Wang, J.G.; Chen, C.H.; Chien, C.T.; Hsieh, H.L. FAR-RED INSENSITIVE219 modulates CONSTITUTIVEPHOTOMORPHOGENIC1 activity via physical interaction to regulate hypocotyl elongation in Arabidopsis. Plant Physiol. 2011, 156, 631–646. [Google Scholar] [CrossRef]
- Deng, X.-W.; Caspar, T.; Quail, P.H. Cop1, a regulatory locus involved in light-controlled development and gene expression in Arabidopsis. Genes Dev. 1991, 5, 1172–1182. [Google Scholar] [CrossRef]
- Dechorgnat, J.; Patrit, O.; Krapp, A.; Fagard, M.; and Daniel-Vedele, F. Characterization of the AtNRT2.6 gene is involved in the response of Arabidopsis thaliana to Erwinia amylovora. PLoS ONE 2012, 7, e42491. [Google Scholar] [CrossRef]
- Farjad, M.; Clément, G.; Launay, A.; Jeridi, R.; Jo-livet, S.; Citerne, S.; Rigault, M.; Soulie, M.-C.; Dinant, S.; Fagard, M. Plant nitrate supply regulates Erwinia amylovora virulence gene expression in Arabidopsis. Mol. Plant Pathol. 2021, 1–15. [Google Scholar] [CrossRef]
- Deslandes, L.; Rivas, S. Catch me if you can, bacterial effectors and plant targets. Trends Plant Sci. 2012, 17, 644–655. [Google Scholar] [CrossRef] [PubMed]
- Gust, A.A.; Pruitt, R.; Nürnberger, T. Sensing danger, key to activating plant immunity. Trends Plant Sci. 2017, 22, 779–791. [Google Scholar] [CrossRef] [PubMed]
- Palmer, J.W. Light transmittance by apple leaves and canopies. J. App. Ecol. 1977, 14, 505–513. [Google Scholar] [CrossRef]
- Grant, R.H. 1997. Partitioning of biologically active radiation in plant canopies. Int. J. Biometeorol. 1997, 40, 26–40. [Google Scholar] [CrossRef]
- Bastías, R.M.; Corelli-Grappadelli, L. Light quality management in fruit orchards, physiological and technological aspects. Chil. J. Agric. Res. 2012, 72, 574–581. [Google Scholar] [CrossRef]
- Radauer, C.; Breiteneder, H. Evolutionary biology of plant food allergens. J. Allergy Clin. Immun. 2007, 120, 518–525. [Google Scholar] [CrossRef] [PubMed]
- Holefors, A.; Xue, Z.-T.; Zhu, L.-H.; Welander, M. The Arabidopsis phytochrome B gene influences growth of the apple rootstock M26. Plant Cell Rep. 2000, 19, 1049–1056. [Google Scholar] [CrossRef]
- Sambrook, J.; Fritsch, E.; Maniatis, T. Molecular Cloning, a Laboratory Manual, 2nd ed.; Cold Spring Harbor Laboratory Press: New York, NY, USA, 1989; Volume 2, ISBN 978-0-87969-309-1. [Google Scholar]
- Quoirin, M.; Lepoivre, P. Improved media for in vitro culture of Prunus sp. Acta Hortic. 1977, 78, 437–442. [Google Scholar] [CrossRef]
- Sgamma, T.; Thomas, B.; and Muleo, R. Ethylene inhibitor silver nitrate enhances regeneration and genetic transformation of Prunus avium (L.) cv. Stella. Plant Cell Tissue Organ Cult. 2015, 120, 79–88. [Google Scholar] [CrossRef]
- Livak, K.J.; Schmittgen, T.D. Analysis of relative gene expression data using real-time quantitative PCR and the 2(-Delta Delta C(T)) method. Methods 2001, 25, 402–408. [Google Scholar] [CrossRef] [PubMed]
- Losi, A.; Gardner, K.H.; Möglich, A. Blue-light receptors for optogenetics. Chem. Rev. 2018, 118, 10659–10709. [Google Scholar] [CrossRef] [PubMed]













| Primer Name | Forward | Reverse | Amplicon Size (bp) |
|---|---|---|---|
| ef1A | GTTCGAGAAGGAGGCTGCTGAG | CGAACTTCCACAGGGCAATGTCA | 119 |
| PR1 | CTCGAGCAGCAGTAGGCGTTG | CATGTTGGTTGGCGTAGTTTTGT | 180 |
| PR10 | AGGAGACATTGAAATTAAGGAAGAA | AGTTGTATGCGTCGGGGTGGT | 167 |
| erw1 | GCGATTACCATCAGCGAAGAAC | CCCATCTCAAACTGGTCAACAAC | 161 |
| erw2 | GCTGGTGCTTGCTGTTGTTTC | GGACGCTTTCAGTTCGTGTGT | 103 |
| erw3 | CTGTTACTGACGCTTTGCCTGT | CCGCTGTAATCCTGTACCATCC | 140 |
| erw4 | ACCCTGTTCGTCTGTTTCCTTG | CGATCCACTCTTGTTGATGAGG | 130 |
Publisher’s Note: MDPI stays neutral with regard to jurisdictional claims in published maps and institutional affiliations. |
© 2021 by the authors. Licensee MDPI, Basel, Switzerland. This article is an open access article distributed under the terms and conditions of the Creative Commons Attribution (CC BY) license (https://creativecommons.org/licenses/by/4.0/).
Share and Cite
Sgamma, T.; Forgione, I.; Luziatelli, F.; Iacona, C.; Mancinelli, R.; Thomas, B.; Ruzzi, M.; Muleo, R. Monochromic Radiations Provided by Light Emitted Diode (LED) Modulate Infection and Defense Response to Fire Blight in Pear Trees. Plants 2021, 10, 1886. https://doi.org/10.3390/plants10091886
Sgamma T, Forgione I, Luziatelli F, Iacona C, Mancinelli R, Thomas B, Ruzzi M, Muleo R. Monochromic Radiations Provided by Light Emitted Diode (LED) Modulate Infection and Defense Response to Fire Blight in Pear Trees. Plants. 2021; 10(9):1886. https://doi.org/10.3390/plants10091886
Chicago/Turabian StyleSgamma, Tiziana, Ivano Forgione, Francesca Luziatelli, Calogero Iacona, Roberto Mancinelli, Brian Thomas, Maurizio Ruzzi, and Rosario Muleo. 2021. "Monochromic Radiations Provided by Light Emitted Diode (LED) Modulate Infection and Defense Response to Fire Blight in Pear Trees" Plants 10, no. 9: 1886. https://doi.org/10.3390/plants10091886
APA StyleSgamma, T., Forgione, I., Luziatelli, F., Iacona, C., Mancinelli, R., Thomas, B., Ruzzi, M., & Muleo, R. (2021). Monochromic Radiations Provided by Light Emitted Diode (LED) Modulate Infection and Defense Response to Fire Blight in Pear Trees. Plants, 10(9), 1886. https://doi.org/10.3390/plants10091886

