Applying Biotechnology in the Propagation and Further Selection of Vaccinium uliginosum × (V. corymbosum × V. angustifolium) Hybrids
Abstract
:1. Introduction
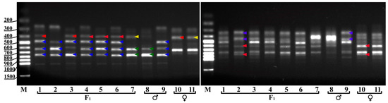
2. Results
3. Discussion
4. Materials and Methods
4.1. Plant Material
4.2. In Vitro Propagation of Interspecific Hybrids
4.3. Acclimatization of Regenerated Plants
4.4. DNA Isolation and ISSR Analysis
4.5. Data Analysis
5. Conclusions
Author Contributions
Funding
Institutional Review Board Statement
Informed Consent Statement
Data Availability Statement
Acknowledgments
Conflicts of Interest
References
- Pathirana, R.; Wiedow, C.; Pathirana, S.; Hedderley, D.; Morgan, E.; Scalzo, J.; Frew, T.; Timmerman-Vaughan, G. Ovule culture and embryo rescue facilitate interspecific hybridisation in blueberry (Vaccinium spp.). Acta Hortic. 2015, 1083, 123–132. [Google Scholar] [CrossRef] [Green Version]
- Miyashita, C.; Ishikawa, S.; Mii, M. In vitro induction of the amphiploid in interspecific hybrid of blueberry (Vaccinium corymbosum × Vaccinium ashei) with colchicine treatment. Sci. Hortic. 2009, 122, 375–379. [Google Scholar] [CrossRef]
- Rousi, A. Hybridization between Vaccinium uliginosum cultivated blueberry. Ann. Agric. Fenn. 1963, 2, 12–18. [Google Scholar]
- Czesnik, E. Investigation of F1 generation of interspecific hybrids Vaccinium corymbosum L. × Vaccinium uliginosum L. Acta Hortic. 1985, 165, 85–92. [Google Scholar] [CrossRef]
- Czesnik, E.; Madry, W. Inheritance of some characters of the F1 generation of interspecific hybrids Vaccinium corymbosum L. × Vaccinium uliginosum L. Acta Hortic. 1989, 241, 50–55. [Google Scholar] [CrossRef]
- Gorbunov, A.B. Introduction and selection of lingonberry plants in the CSBG. State Probl. Gard. Russ. 1997, 1, 312–316. [Google Scholar]
- Shigyou, M.; Gushiken, A.; Katsuragawa, A.; Hiji, M.; Yoshioka, K.; Kage, T.; Kunitake, H.; Komatsu, H. Evaluation of F1 progenies derived from intersectional crossing of Vaccinium uliginosum L., a wild species native to Japan, and highbush blueberry ‘Bluecrop’ (V. corymbosum L.). Hortic. Res. 2014, 13, 97–106. [Google Scholar] [CrossRef] [Green Version]
- Luzyanina, O.V. Reproductive Biology of Vacciniaceae Promising for Introduction and Breeding in Siberia. Ph.D. Dissertation, CSBG SB RAS, Novosibirsk, Russia, 2002. [Google Scholar]
- Gorbunov, A.B. Introduction and breeding of Vaccinium and Oxycoccus species in Siberia. J. Small Fruit Vitic. 1992, 1, 55–66. [Google Scholar] [CrossRef]
- Munoz, C.E.; Lyrene, P.M. In vitro attempts to overcome the cross-incompatibility between Vaccinium corymbosum L. and V. elliottii Chapm. Theor. Appl. Genet. 1985, 69, 591–596. [Google Scholar] [CrossRef] [PubMed]
- Debnath, S.C. Propagation of Vaccinium in vitro. Int. J. Fruit Sci. 2007, 6, 47–71. [Google Scholar] [CrossRef]
- Meiners, J.; Schwab, M.; Szankowski, I. Efficient in vitro regeneration systems for Vaccinium species. Plant. Cell Tissue Organ. Cult. 2007, 89, 169–176. [Google Scholar] [CrossRef]
- Tetsumura, T.; Matsumoto, Y.; Sato, M.; Honsho, C.; Yamashita, K.; Komatsu, H.; Sugimoto, Y.; Kunitake, H. Evaluation of basal media for micropropagation of four highbush blueberry cultivars. Sci. Hortic.-Amst. 2007, 119, 72–74. [Google Scholar] [CrossRef]
- Ruzic, D.; Vujovic, T.; Libiakova, G.; Cerovic, R.; Gajdosova, A. Micropropagation in vitro of highbush blueberry (Vaccinium corymbosum L.). J. Berry Res. 2012, 2, 97–103. [Google Scholar] [CrossRef] [Green Version]
- Bakhshipour, M.; Mafakheri, M.; Kordrostami, M.; Zakir, A.; Rahimi, N.; Feizi, F.; Mohseni, M. In vitro multiplication, genetic fidelity and phytochemical potentials of Vaccinium arctostaphylos L.: An endangered medicinal plant. Ind. Crop. Prod. 2019, 141, 111812. [Google Scholar] [CrossRef]
- Debnath, S.C.; Goyali, J.C. In vitro propagation and variation of antioxidant properties in micropropagated Vaccinium berry plants—A review. Molecules 2020, 25, 788. [Google Scholar] [CrossRef] [PubMed] [Green Version]
- Cüce, M.; Bekİrcan, T.; Sökmen, A. Phenolic constituents of Vaccinium species from both natural resources and micropropagated plantlets. Int. J. Second. Metab. 2018, 5, 304–311. [Google Scholar] [CrossRef]
- Zong, C.L.; Zong, C.W.; Zhao, W.W.; Jin, B.K.; Cao, H.N. In vitro culture of superior individual of Vaccinium uliginosum from Changbai Mountain. North. Hortic. 2012, 4, 043. [Google Scholar]
- Gu, D.Z.; Gao, H.D.; Gu, M.Y.; Zhu, J.Y.; Jiang, Y.T. In vitro culture and plant regeneration system of Vaccinium uliginosum. For. Res. 2009, 22, 226–229. [Google Scholar]
- Weng, H.; Tian, X.; Shi, D. Key technology of in-vitro culture for a new Vaccinium uliginosum cultivar Zishuijing. Agric. Sci. Technol. 2015, 16, 1172–1176+1203. [Google Scholar]
- Vechernina, N.A.; Tavartkiladze, O.C.; Gorbunov, A.B.; Erst, A.A. Propagation in vitro of bog bilberry. Vestn. Altai State Agrar. Univ. 2008, 6, 21–25. [Google Scholar]
- Erst, A.A.; Vechernina, N.A. Micropropagation of promising new cultivars of Vaccinium uliginosum L. Bull. Kharkov Natl. Agrar. Univ. Biol. Ser. 2010, 2, 96–103. [Google Scholar]
- Erst, A.A.; Gorbunov, A.B.; Erst, A.S. Effect of concentration, method of auxin application and cultivation conditions on in vitro rooting of bog blueberry (Vaccinium uliginosum L.). J. Berry Res. 2018, 8, 41–53. [Google Scholar] [CrossRef]
- Scalzo, J.; Donno, D.; Miller, S.; Ghezzi, M.; Mellano, M.G.; Cerutti, A.K.; Beccaro, G.L. Effect of genotype, medium and light on in vitro plant proliferation of Vaccinium spp. N. Z. J. Crop Hortic. Sci. 2016, 44, 231–246. [Google Scholar] [CrossRef]
- Debnath, S.C. Development of ISSR markers for genetic diversity studies in Vaccinium angustifolium. Nord. J. Bot. 2009, 27, 141–148. [Google Scholar] [CrossRef]
- Debnath, S.C. Inter simple sequence repeats (ISSR) to assess genetic diversity within a collection of wild lingon-berry (Vaccinium vitisidaea L.) clones. Can. J. Plant Sci. 2007, 87, 337–344. [Google Scholar] [CrossRef] [Green Version]
- Anderson, W.C. Propagation of rhododendrons by tissue culture. I. Development of a culture medium for multiplication of shoots. Comb. Proc. Int. Plant Propagator. Soc. 1975, 25, 129–133. [Google Scholar]
- Khanuja, S.P.; Shasany, A.K.; Darokar, M.; Kumar, S. Rapid isolation of DNA from dry and fresh samples of plants producing large amounts of secondary metabolites and essential oils. Plant Mol. Biol. Rep. 1999, 17, 74. [Google Scholar] [CrossRef]









| Hybrid | Pollination Bag | No. of Pollinated Flowers | No. of Fruits/ Seeds | No. of Seedlings/% of Germination | Variant Abbreviations |
|---|---|---|---|---|---|
| V.ul.8 × ‘NC’ | 1 | 22 | 3/17 | 5/29 | No. 1-1…No. 1-5 |
| V.ul.8 × ‘NC’ | 2 | 22 | 1/8 | 2/25 | No. 2-1, No. 2-2 |
| V.ul.8 × ‘NC’ | 3 | 11 | 1/3 | 0/0 | ‒ |
| V.ul.8 × ‘NC’ | 4 | 10 | 4/17 | 8/47 | No. 4-1…No. 4-8 |
| V.ul.8 × ‘NC’ | 5 | 6 | 2/4 | 4/100 | No. 5-1…No. 5-4 |
| V.ul.8 × ‘SC 5-8’ | 6 | 20 | 4/6 | 6/100 | No. 6-1…No. 6-6 |
| V.ul.8 × ‘SC 5-8’ | 7 | 18 | 5/19 | 16/84 | No. 7-1…No. 7-16 |
| Effect | V.ul.8 × ‘NC’ | V.ul.8 × ‘SC 5-8’ | ||
|---|---|---|---|---|
| Shoot Height | No. of Shoots | Shoot Height | No. of Shoots | |
| Concentration | * | * | * | * |
| Variant | * | * | * | * |
| Concentration × variant | * | * | ns | * |
| Variant | Plant Height, mm | Leaf Area, mm2 | Leaf Length, mm | Leaf Elongation Coefficient |
|---|---|---|---|---|
| V.ul.8 × ‘NC’ | ||||
| No. 1-1 | 79.1 ± 13.3 d | 49.8 ± 7.3 d | 9.7 ± 0.7 e | 0.67 ± 0.05 a |
| No. 1-2 | 156.2 ± 13.4 c | 85.2 ± 17.8 d | 15.2 ± 1.9 d | 0.52 ± 0.03 c |
| No. 1-5 | 250.0 ± 43.0 a | 344.1 ± 48.9 a | 32.2 ± 2.2 a | 0.49 ± 0.04 c |
| No. 2-2 | 191.5 ± 44.2 b | 244.0 ± 57.1 b | 22.4 ± 2.8 c | 0.65 ± 0.05 ab |
| No. 4-2 | 124.1 ± 19.5 c | 133.1 ± 13.8 c | 18.5 ± 1.0 d | 0.63 ± 0.05 b |
| No. 4-8 | 227.2 ± 47.9 a | 260.9 ± 57.9 b | 26.5 ± 3.3 b | 0.52 ± 0.02 c |
| V.ul.8 × ‘SC 5-8’ | ||||
| No. 7-9 | 190.3 ± 20.7 b | 227.4 ± 47.1 b | 25.4 ± 2.2 b | 0.52 ± 0.02 c |
Publisher’s Note: MDPI stays neutral with regard to jurisdictional claims in published maps and institutional affiliations. |
© 2021 by the authors. Licensee MDPI, Basel, Switzerland. This article is an open access article distributed under the terms and conditions of the Creative Commons Attribution (CC BY) license (https://creativecommons.org/licenses/by/4.0/).
Share and Cite
Erst, A.A.; Gorbunov, A.B.; Asbaganov, S.V.; Tomoshevich, M.A.; Banaev, E.V.; Erst, A.S. Applying Biotechnology in the Propagation and Further Selection of Vaccinium uliginosum × (V. corymbosum × V. angustifolium) Hybrids. Plants 2021, 10, 1831. https://doi.org/10.3390/plants10091831
Erst AA, Gorbunov AB, Asbaganov SV, Tomoshevich MA, Banaev EV, Erst AS. Applying Biotechnology in the Propagation and Further Selection of Vaccinium uliginosum × (V. corymbosum × V. angustifolium) Hybrids. Plants. 2021; 10(9):1831. https://doi.org/10.3390/plants10091831
Chicago/Turabian StyleErst, Anna A., Aleksey B. Gorbunov, Sergey V. Asbaganov, Maria A. Tomoshevich, Evgeny V. Banaev, and Andrey S. Erst. 2021. "Applying Biotechnology in the Propagation and Further Selection of Vaccinium uliginosum × (V. corymbosum × V. angustifolium) Hybrids" Plants 10, no. 9: 1831. https://doi.org/10.3390/plants10091831
APA StyleErst, A. A., Gorbunov, A. B., Asbaganov, S. V., Tomoshevich, M. A., Banaev, E. V., & Erst, A. S. (2021). Applying Biotechnology in the Propagation and Further Selection of Vaccinium uliginosum × (V. corymbosum × V. angustifolium) Hybrids. Plants, 10(9), 1831. https://doi.org/10.3390/plants10091831

