Functional Characterization of the SHIP1-Domains Regarding Their Contribution to Inositol 5-Phosphatase Activity
Abstract
1. Introduction
2. Materials and Methods
2.1. Generation of SHIP1 Sequence-Containing Expression Vectors
2.2. Expression and Purification of SHIP1 Domain Constructs
2.3. Phosphatase Assay of SHIP1 Domain Constructs
3. Results
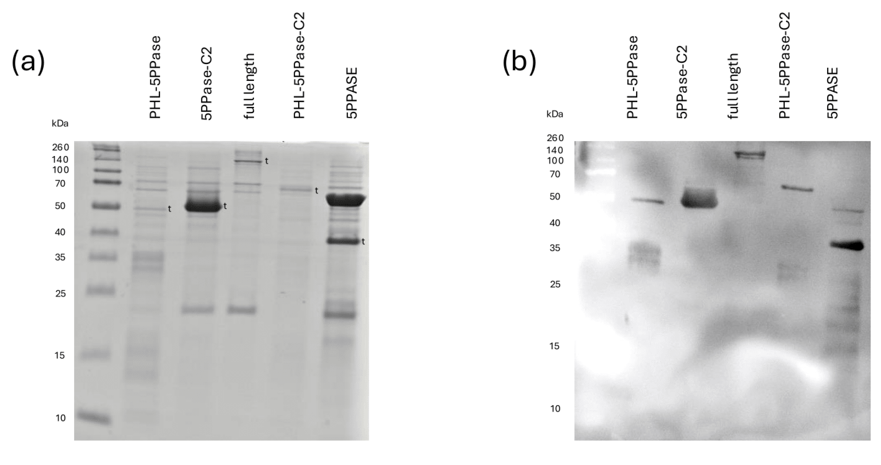
3.1. Expression and Purification of SHIP1 Domain Constructs
3.2. Phosphatase Assay of SHIP1 Domain Constructs
4. Discussion
5. Conclusions
Author Contributions
Funding
Institutional Review Board Statement
Informed Consent Statement
Data Availability Statement
Acknowledgments
Conflicts of Interest
Appendix A

![]() |


References
- Horn, S.; Meyer, J.; Heukeshoven, J.; Fehse, B.; Schulze, C.; Li, S.; Frey, J.; Poll, S.; Stocking, C.; Jücker, M. The Inositol 5-Phosphatase SHIP Is Expressed as 145 and 135 kDa Proteins in Blood and Bone Marrow Cells in Vivo, Whereas Carboxyl-Truncated Forms of SHIP Are Generated by Proteolytic Cleavage in Vitro. Leukemia 2001, 15, 112–120. [Google Scholar] [CrossRef] [PubMed][Green Version]
- Müller, S.M.; Jücker, M. The Functional Roles of the Src Homology 2 Domain-Containing Inositol 5-Phosphatases SHIP1 and SHIP2 in the Pathogenesis of Human Diseases. Int. J. Mol. Sci. 2024, 25, 5254. [Google Scholar] [CrossRef] [PubMed]
- Xue, H.; Hua, L.-M.; Guo, M.; Luo, J.-M. SHIP1 Is Targeted by miR-155 in Acute Myeloid Leukemia. Oncol. Rep. 2014, 32, 2253–2259. [Google Scholar] [CrossRef] [PubMed]
- Lo, T.C.T.; Barnhill, L.M.; Kim, Y.; Nakae, E.A.; Yu, A.L.; Diccianni, M.B. Inactivation of SHIP1 in T-Cell Acute Lymphoblastic Leukemia Due to Mutation and Extensive Alternative Splicing. Leuk. Res. 2009, 33, 1562–1566. [Google Scholar] [CrossRef] [PubMed]
- Sattler, M.; Verma, S.; Byrne, C.H.; Shrikhande, G.; Winkler, T.; Algate, P.A.; Rohrschneider, L.R.; Griffin, J.D. BCR/ABL Directly Inhibits Expression of SHIP, an SH2-Containing Polyinositol-5-Phosphatase Involved in the Regulation of Hematopoiesis. Mol. Cell. Biol. 1999, 19, 7473–7480. [Google Scholar] [CrossRef]
- Schaks, M.; Allgoewer, K.; Nelson, N.; Ehm, P.; Heumann, A.; Ewald, F.; Schumacher, U.; Simon, R.; Sauter, G.; Jücker, M. Ectopic Expression of Hematopoietic SHIP1 in Human Colorectal Cancer. Biomedicines 2020, 8, 215. [Google Scholar] [CrossRef]
- Fu, Q.; Huang, Y.; Ge, C.; Li, Z.; Tian, H.; Li, Q.; Li, H.; Li, R.; Tao, X.; Xue, Y.; et al. SHIP1 Inhibits Cell Growth, Migration, and Invasion in Non-small Cell Lung Cancer through the PI3K/AKT Pathway. Oncol. Rep. 2019, 41, 2337–2350. [Google Scholar] [CrossRef]
- Husain, K.; Villalobos-Ayala, K.; Laverde, V.; Vazquez, O.A.; Miller, B.; Kazim, S.; Blanck, G.; Hibbs, M.L.; Krystal, G.; Elhussin, I.; et al. Apigenin Targets MicroRNA-155, Enhances SHIP-1 Expression, and Augments Anti-Tumor Responses in Pancreatic Cancer. Cancers 2022, 14, 3613. [Google Scholar] [CrossRef]
- Fernandes, S.; Srivastava, N.; Sudan, R.; Middleton, F.A.; Shergill, A.K.; Ryan, J.C.; Kerr, W.G. SHIP1 Deficiency in Inflammatory Bowel Disease Is Associated With Severe Crohn’s Disease and Peripheral T Cell Reduction. Front. Immunol. 2018, 9, 1100. [Google Scholar] [CrossRef]
- Ashraf, U.; Ding, Z.; Deng, S.; Ye, J.; Cao, S.; Chen, Z. Pathogenicity and Virulence of Japanese Encephalitis Virus: Neuroinflammation and Neuronal Cell Damage. Virulence 2021, 12, 968–980. [Google Scholar] [CrossRef]
- Hadidi, S.; Antignano, F.; Hughes, M.R.; Wang, S.K.H.; Snyder, K.; Sammis, G.M.; Kerr, W.G.; McNagny, K.M.; Zaph, C. Myeloid Cell-Specific Expression of Ship1 Regulates IL-12 Production and Immunity to Helminth Infection. Mucosal Immunol. 2012, 5, 535–543. [Google Scholar] [CrossRef] [PubMed][Green Version]
- Tsai, A.P.; Lin, P.B.-C.; Dong, C.; Moutinho, M.; Casali, B.T.; Liu, Y.; Lamb, B.T.; Landreth, G.E.; Oblak, A.L.; Nho, K. INPP5D Expression Is Associated with Risk for Alzheimer’s Disease and Induced by Plaque-Associated Microglia. Neurobiol. Dis. 2021, 153, 105303. [Google Scholar] [CrossRef] [PubMed]
- Tu, W.-J.; Liu, X.-Y.; Dong, H.; Yu, Y.; Wang, Y.; Chen, H. Phosphatidylinositol-3,4,5-Trisphosphate 5-Phosphatase 1: A Meaningful and Independent Marker to Predict Stroke in the Chinese Population. J. Mol. Neurosci. 2014, 52, 507–514. [Google Scholar] [CrossRef] [PubMed]
- Pedicone, C.; Meyer, S.T.; Chisholm, J.D.; Kerr, W.G. Targeting SHIP1 and SHIP2 in Cancer. Cancers 2021, 13, 890. [Google Scholar] [CrossRef]
- Ming-Lum, A.; Shojania, S.; So, E.; McCarrell, E.; Shaw, E.; Vu, D.; Wang, I.; McIntosh, L.P.; Mui, A.L.-F. A Pleckstrin Homology-related Domain in SHIP1 Mediates Membrane Localization during Fcγ Receptor-induced Phagocytosis. FASEB J. 2012, 26, 3163–3177. [Google Scholar] [CrossRef]
- Hsu, F.; Mao, Y. The Structure of Phosphoinositide Phosphatases: Insights into Substrate Specificity and Catalysis. Biochim. Biophys. Acta BBA-Mol. Cell Biol. Lipids 2015, 1851, 698–710. [Google Scholar] [CrossRef]
- Ong, C.J.; Ming-Lum, A.; Nodwell, M.; Ghanipour, A.; Yang, L.; Williams, D.E.; Kim, J.; Demirjian, L.; Qasimi, P.; Ruschmann, J.; et al. Small-Molecule Agonists of SHIP1 Inhibit the Phosphoinositide 3-Kinase Pathway in Hematopoietic Cells. Blood 2007, 110, 1942–1949. [Google Scholar] [CrossRef]
- Nelson, N.; Razeto, A.; Gilardi, A.; Grättinger, M.; Kirchmair, J.; Jücker, M. AKT1 and PTEN Show the Highest Affinities among Phosphoinositide Binding Proteins for the Second Messengers PtdIns(3,4,5)P3 and PtdIns(3,4)P2. Biochem. Biophys. Res. Commun. 2021, 568, 110–115. [Google Scholar] [CrossRef]
- Nelson, N.; Wundenberg, T.; Lin, H.; Rehbach, C.; Horn, S.; Windhorst, S.; Jücker, M. Characterization of the Substrate Specificity of the Inositol 5-Phosphatase SHIP1. Biochem. Biophys. Res. Commun. 2020, 524, 366–370. [Google Scholar] [CrossRef]
- Brauer, H.; Strauss, J.; Wegner, W.; Müller-Tidow, C.; Horstmann, M.; Jücker, M. Leukemia-Associated Mutations in SHIP1 Inhibit Its Enzymatic Activity, Interaction with the GM-CSF Receptor and Grb2, and Its Ability to Inactivate PI3K/AKT Signaling. Cell. Signal. 2012, 24, 2095–2101. [Google Scholar] [CrossRef]
- Bommarius, A.S. Biocatalysis: A Status Report. Annu. Rev. Chem. Biomol. Eng. 2015, 6, 319–345. [Google Scholar] [CrossRef] [PubMed]
- Smejkal, G.B.; Kakumanu, S. Enzymes and Their Turnover Numbers. Expert Rev. Proteom. 2019, 16, 543–544. [Google Scholar] [CrossRef] [PubMed]
- Misra, U.K.; Pizzo, S.V. Binding of Receptor-Recognized Forms of A2-Macroglobulin to the A2-Macroglobulin Signaling Receptor Activates Phosphatidylinositol 3-Kinase. J. Biol. Chem. 1998, 273, 13399–13402. [Google Scholar] [CrossRef] [PubMed]
- Shenker, B.J.; Ali, H.; Boesze-Battaglia, K. PIP3 Regulation as Promising Targeted Therapy of Mast-Cell-Mediated Diseases. Curr. Pharm. Des. 2011, 17, 3815–3822. [Google Scholar] [CrossRef] [PubMed]
- Ooms, L.M.; Dyson, J.M.; Kong, A.M.; Mitchell, C.A. Analysis of Phosphatidylinositol 3,4,5 Trisphosphate 5-Phosphatase Activity by in Vitro and in Vivo Assays. In Lipid Signaling Protocols; Larijani, B., Woscholski, R., Rosser, C.A., Eds.; Methods in Molecular Biology; Humana Press: Totowa, NJ, USA, 2009; Volume 462, pp. 1–17. ISBN 978-1-58829-727-3. [Google Scholar]
- Lingwood, D.; Simons, K. Lipid Rafts As a Membrane-Organizing Principle. Science 2010, 327, 46–50. [Google Scholar] [CrossRef]
- Le Coq, J.; López Navajas, P.; Rodrigo Martin, B.; Alfonso, C.; Lietha, D. A New Layer of Phosphoinositide-mediated Allosteric Regulation Uncovered for SHIP2. FASEB J. 2021, 35, e21815. [Google Scholar] [CrossRef]
- Bradshaw, W.J.; Kennedy, E.C.; Moreira, T.; Smith, L.A.; Chalk, R.; Katis, V.L.; Benesch, J.L.P.; Brennan, P.E.; Murphy, E.J.; Gileadi, O. Regulation of Inositol 5-Phosphatase Activity by the C2 Domain of SHIP1 and SHIP2. Structure 2024, 32, 453–466.e6. [Google Scholar] [CrossRef]
- Zhou, H.; Yue, X.; Wang, Z.; Li, S.; Zhu, J.; Yang, Y.; Liu, M. Expression, Purification and Characterization of the RhoA-Binding Domain of Human SHIP2 in E. coli. Protein Expr. Purif. 2021, 180, 105821. [Google Scholar] [CrossRef]
- Jumper, J.; Evans, R.; Pritzel, A.; Green, T.; Figurnov, M.; Ronneberger, O.; Tunyasuvunakool, K.; Bates, R.; Žídek, A.; Potapenko, A.; et al. Highly Accurate Protein Structure Prediction with AlphaFold. Nature 2021, 596, 583–589. [Google Scholar] [CrossRef]
- Varadi, M.; Anyango, S.; Deshpande, M.; Nair, S.; Natassia, C.; Yordanova, G.; Yuan, D.; Stroe, O.; Wood, G.; Laydon, A.; et al. AlphaFold Protein Structure Database: Massively Expanding the Structural Coverage of Protein-Sequence Space with High-Accuracy Models. Nucleic Acids Res. 2022, 50, D439–D444. [Google Scholar] [CrossRef]
- Chamberlain, T.C.; Cheung, S.T.; Yoon, J.S.J.; Ming-Lum, A.; Gardill, B.R.; Shakibakho, S.; Dzananovic, E.; Ban, F.; Samiea, A.; Jawanda, K.; et al. Interleukin-10 and Small Molecule SHIP1 Allosteric Regulators Trigger Anti-Inflammatory Effects through SHIP1/STAT3 Complexes. iScience 2020, 23, 101433. [Google Scholar] [CrossRef] [PubMed]
- Tokuma, H.; Sakano, D.; Tanabe, K.; Tanizawa, Y.; Shiraki, N.; Kume, S. Selective Proteasome Degradation of C-terminally-truncated Human WFS1 in Pancreatic Beta Cells. FEBS Open Bio 2023, 13, 1405–1414. [Google Scholar] [CrossRef] [PubMed]
- Owen, D.; Lowe, P.N.; Nietlispach, D.; Brosnan, C.E.; Chirgadze, D.Y.; Parker, P.J.; Blundell, T.L.; Mott, H.R. Molecular Dissection of the Interaction between the Small G Proteins Rac1 and RhoA and Protein Kinase C-Related Kinase 1 (PRK1). J. Biol. Chem. 2003, 278, 50578–50587. [Google Scholar] [CrossRef] [PubMed]
- Fowler, N.J.; Williamson, M.P. The Accuracy of Protein Structures in Solution Determined by AlphaFold and NMR. Structure 2022, 30, 925–933.e2. [Google Scholar] [CrossRef]
- Sugden, P.H.; Newsholme, E.A. The Effects of Ammonium, Inorganic Phosphate and Potassium Ions on the Activity of Phosphofructokinases from Muscle and Nervous Tissues of Vertebrates and Invertebrates. Biochem. J. 1975, 150, 113–122. [Google Scholar] [CrossRef]
- Zhao, Y.; Gao, J.; Su, S.; Shan, X.; Li, S.; Liu, H.; Yuan, Y.; Li, H. Regulation of the Activity of Maize Glutamate Dehydrogenase by Ammonium and Potassium. Biosci. Biotechnol. Biochem. 2021, 85, 262–271. [Google Scholar] [CrossRef]
- Zhang, J.; Ravichandran, K.S.; Garrison, J.C. A Key Role for the Phosphorylation of Ser440 by the Cyclic AMP-Dependent Protein Kinase in Regulating the Activity of the Src Homology 2 Domain-Containing Inositol 5′-Phosphatase (SHIP1). J. Biol. Chem. 2010, 285, 34839–34849. [Google Scholar] [CrossRef]
- Waddell, G.L.; Drew, E.E.; Rupp, H.P.; Hansen, S.D. Mechanisms Controlling Membrane Recruitment and Activation of the Autoinhibited SHIP1 Inositol 5-Phosphatase. J. Biol. Chem. 2023, 299, 105022. [Google Scholar] [CrossRef]
- Kasai, T.; Koshiba, S.; Watanabe, S.; Harada, T.; Kigawa, T.; Yokoyama, S.; RIKEN Structural Genomics/Proteomics Initiative (RSGI). Solution Structure of the Human SHIP SH2 Domain. 2008. Available online: https://www.wwpdb.org/pdb?id=pdb_00002ysx (accessed on 5 January 2025). [CrossRef]
- Williamson, M.P. The Structure and Function of Proline-Rich Regions in Proteins. Biochem. J. 1994, 297, 249–260. [Google Scholar] [CrossRef]






| Primer Name | Primer Sequence |
|---|---|
| SHIP1_FL_fw | 5′-AGCGGCTCTTCAATGGTCCCCTGCTGGAACCATG-3′ |
| SHIP1_FL_rv | 5′-AGCGGCTCTTCTCCCCTGCATGGCAGTCCTGCC-3′ |
| SHIP1_RBD_(N)_fw | 5′-AGCGGCTCTTCAATGCCAGAAGAGCATCTTAAGGCCATCCAA-3′ |
| SHIP1_RBD(C)_fw | 5′-AGCGGCTCTTCAATGGACCAGCAGCTCTCCCCG-3′ |
| SHIP1_PHL_fw | 5′-AGCGGCTCTTCAATGTCCCTTATCCCTCCAGTCAC-3′ |
| SHIP1_PHL_rv | 5′-AGCGGCTCTTCTCCCCATGTCGGGCTCCGGCTG-3′ |
| SHIP1_C2_fw | 5′-AGCGGCTCTTCAATGGCAGGAGTCACTTCCCAGT-3′ |
| SHIP1_C2_rv | 5′-AGCGGCTCTTCTCCCCTCCCTCGTCTTGCCCTG-3′ |
| SHIP1_5PPase_fw | 5′-AGCGGCTCTTCAATGCCGGAGCCCGACATGATC-3′ |
| SHIP1_5PPase_rv | 5′-AGCGGCTCTTCTCCCAGTGACTCCTGCCTCAAATG-3′ |
| FL | 5PPase | PHL-5PPase | 5PPase-C2 | PHL-5PPase-C2 | ΔSH2 | ΔSH2-Linker | ΔPRR | |
|---|---|---|---|---|---|---|---|---|
| concentration [ng/µL] | 537.78 | 1034.67 | 604.45 | 1190.25 | 634.92 | 827.20 | 643.32 | 260.40 |
| FL | 5PPase | PHL-5PPase | 5PPase-C2 | PHL-5PPase-C2 | ΔSH2 | ΔSH2-Linker | ΔPRR | |
|---|---|---|---|---|---|---|---|---|
| molecular weight [kDa] | 145 | 36 | 48 | 52.5 | 66 | 123 | 102 | 100 |
| FL | 5PPase | PHL-5PPase | 5PPase-C2 | PHL-5PPase-C2 | ΔSH2 | ΔSH2-Linker | ΔPRR | |
|---|---|---|---|---|---|---|---|---|
| Vmax [U/mg] | 715.5 | 513.6 | n.d. | 493.6 | 942.2 | 481.3 | 835.4 | 876.9 |
| Km [µM] | 35.84 | 293.7 | n.d. | 27.6 | 105.7 | 13.45 | 123.9 | 52.44 |
| kcat [s−1] | 1729.13 | 308.16 | n.d. | 431.90 | 1036.42 | 989.42 | 1423.71 | 1456.30 |
| kcat/Km [L/(mol × s)] | 4.82 × 107 | 1.05 × 106 | n.d. | 1.56 × 107 | 9.81 × 106 | 7.36 × 107 | 1.15 × 107 | 2.78 × 107 |
| FLaverage | 5PPase | PHL-5PPase | 5PPase-C2 | PHL-5PPase-C2 | ΔSH2 | ΔSH2-Linker | ΔPRR | |
|---|---|---|---|---|---|---|---|---|
| R2sig | 0.8821 | 0.9794 | n.c. | 0.5862 | 0.853 | 0.8242 | 0.8264 | 0.9686 |
| R2hyp | 0.81785 | 0.9725 | n.c. | 0.5757 | 0.8281 | 0.7392 | 0.8018 | 0.9588 |
| R2sig/R2hyp | 1.0786 | 1.0071 | n.c. | 1.0182 | 1.0300 | 1.115 | 1.0307 | 1.010 |
| R2sig − R2hyp | 0.06425 | 0.0069 | n.c. | 0.0105 | 0.0249 | 0.085 | 0.0246 | 0.0098 |
Disclaimer/Publisher’s Note: The statements, opinions and data contained in all publications are solely those of the individual author(s) and contributor(s) and not of MDPI and/or the editor(s). MDPI and/or the editor(s) disclaim responsibility for any injury to people or property resulting from any ideas, methods, instructions or products referred to in the content. |
© 2025 by the authors. Licensee MDPI, Basel, Switzerland. This article is an open access article distributed under the terms and conditions of the Creative Commons Attribution (CC BY) license (https://creativecommons.org/licenses/by/4.0/).
Share and Cite
Müller, S.M.; Nelson, N.; Jücker, M. Functional Characterization of the SHIP1-Domains Regarding Their Contribution to Inositol 5-Phosphatase Activity. Biomolecules 2025, 15, 105. https://doi.org/10.3390/biom15010105
Müller SM, Nelson N, Jücker M. Functional Characterization of the SHIP1-Domains Regarding Their Contribution to Inositol 5-Phosphatase Activity. Biomolecules. 2025; 15(1):105. https://doi.org/10.3390/biom15010105
Chicago/Turabian StyleMüller, Spike Murphy, Nina Nelson, and Manfred Jücker. 2025. "Functional Characterization of the SHIP1-Domains Regarding Their Contribution to Inositol 5-Phosphatase Activity" Biomolecules 15, no. 1: 105. https://doi.org/10.3390/biom15010105
APA StyleMüller, S. M., Nelson, N., & Jücker, M. (2025). Functional Characterization of the SHIP1-Domains Regarding Their Contribution to Inositol 5-Phosphatase Activity. Biomolecules, 15(1), 105. https://doi.org/10.3390/biom15010105


