Efficacy of Fetal Wharton’s Jelly Mesenchymal Stem Cells-Derived Small Extracellular Vesicles in Metabolic Syndrome
Abstract
1. Introduction
2. Study Design
3. Materials and Method
3.1. Fetal Umbilical Cord Protocol and Isolation of Small Extracellular Vesicles
3.1.1. Isolation and Culture of Fetal UCMSCs
3.1.2. Characterization of Fetal WJMSCs
3.1.3. Isolation of sEVs
3.1.4. Characterisation of sEVs
3.1.5. Pooled sEVs Preparations
3.2. Animal Management
3.3. Animal Induction of MetS (−16 to 0 Weeks)
3.4. Animal Treatment of MetS (0–12 Weeks)
3.5. Parameters for Animal Study
3.5.1. Morbidity and Mortality Observations
- Severe weight loss from anorexia and/or dehydration.
- Dyspnoea (laboured breathing, hyperventilation, and abdominal distension).
- Prolonged hypothermia or hyperthermia (palpable temperature).
- Stress and/or poor grooming (rough stained coat and porphyrin built around nose and eyes).
- Lethargy, hunched posture and inability to rise or ambulate.
- Poor reflex or irresponsiveness to external stimuli.
- Tumour growth.
3.5.2. Physical Measurements
3.5.3. Blood Serum Analysis
3.5.4. Fasting Blood Glucose and Oral Glucose Tolerance Test
3.5.5. Blood Pressure
3.5.6. Necropsy and Relative Organ Weight
3.5.7. Histopathological Analysis
3.5.8. ELISA (Insulin and CRP)
3.5.9. Mechanistic Study (Leptin and Adiponectin)
3.5.10. IR HOMA Score
3.6. Statistical Analysis
4. Results
4.1. MetS Induction of Rat
4.2. Mortality, Morbidity, and Physical Measurement
4.3. Fasting Lipid Profile
4.4. FBG and OGTT
4.5. Blood Pressure
4.6. Fasting Serum Insulin and IR HOMA Score
4.7. Fasting Serum CRP, Leptin, and Adiponectin
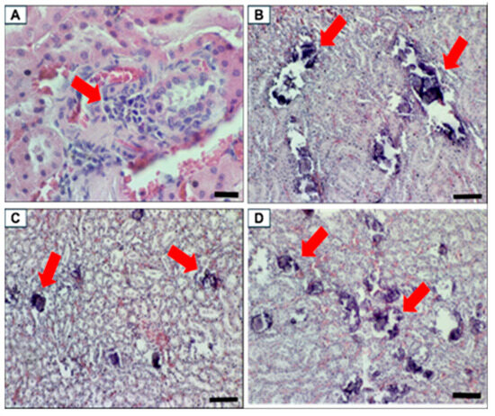
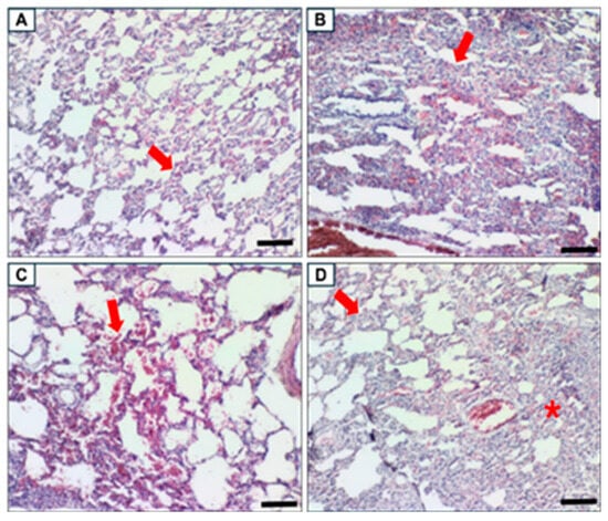
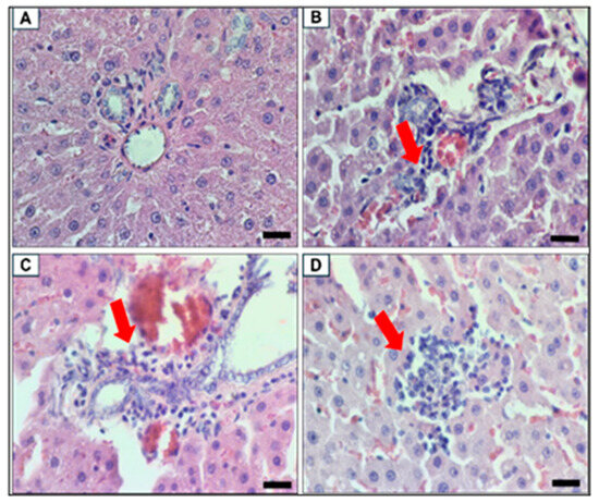
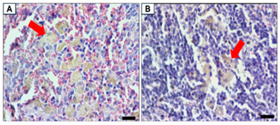
4.8. Necropsy, Relative Organ Weight, and Histopathological Assessment
5. Discussion
6. Conclusions and Limitation
Supplementary Materials
Author Contributions
Funding
Institutional Review Board Statement
Informed Consent Statement
Data Availability Statement
Conflicts of Interest
References
- Lemieux, I.; Després, J.-P. Metabolic Syndrome: Past, Present and Future. Nutrients 2020, 12, 3501. [Google Scholar] [CrossRef]
- Alemany, M. The Metabolic Syndrome, a Human Disease. Int. J. Mol. Sci. 2024, 25, 2251. [Google Scholar] [CrossRef] [PubMed]
- Wei, X.; Min, Y.; Song, G.; Ye, X.; Liu, L. Association between triglyceride-glucose related indices with the all-cause and cause-specific mortality among the population with metabolic syndrome. Cardiovasc. Diabetol. 2024, 23, 134. [Google Scholar] [CrossRef] [PubMed]
- Fahed, G.; Aoun, L.; Bou Zerdan, M.; Allam, S.; Bou Zerdan, M.; Bouferraa, Y.; Assi, H.I. Metabolic Syndrome: Updates on Pathophysiology and Management in 2021. Int. J. Mol. Sci. 2022, 23, 786. [Google Scholar] [CrossRef] [PubMed]
- Masenga, S.K.; Kabwe, L.S.; Chakulya, M.; Kirabo, A. Mechanisms of Oxidative Stress in Metabolic Syndrome. Int. J. Mol. Sci. 2023, 24, 7898. [Google Scholar] [CrossRef] [PubMed]
- Monserrat-Mesquida, M.; Quetglas-Llabrés, M.; Capó, X.; Bouzas, C.; Mateos, D.; Pons, A.; Tur, J.A.; Sureda, A. Metabolic Syndrome is Associated with Oxidative Stress and Proinflammatory State. Antioxidants 2020, 9, 236. [Google Scholar] [CrossRef] [PubMed]
- Kılıç Toprak, E.; Tunç Ata, M. Effect of quercetin on perirenal adipose tissue adiponectin and resistin levels in rats with metabolic syndrome induced by high fructose-diet. Pamukkale Med. J. 2024, 17, 347–357. [Google Scholar] [CrossRef]
- Shang, Y.; Guan, H.; Zhou, F. Biological Characteristics of Umbilical Cord Mesenchymal Stem Cells and Its Therapeutic Potential for Hematological Disorders. Front. Cell Dev. Biol. 2021, 9, 570179. [Google Scholar] [CrossRef]
- Yang, X.; Meng, Y.; Han, Z.; Ye, F.; Wei, L.; Zong, C. Mesenchymal stem cell therapy for liver disease: Full of chances and challenges. Cell Biosci. 2020, 10, 123. [Google Scholar] [CrossRef]
- Main, B.J.; Maffulli, N.; Valk, J.A.; Rodriguez, H.C.; Gupta, M.; El-Amin, S.F., 3rd; Gupta, A. Umbilical Cord-Derived Wharton’s Jelly for Regenerative Medicine Applications: A Systematic Review. Pharmaceuticals 2021, 14, 1090. [Google Scholar] [CrossRef]
- Sharma, P.; Maurya, D.K. Wharton’s jelly mesenchymal stem cells: Future regenerative medicine for clinical applications in mitigation of radiation injury. World J. Stem Cells 2024, 16, 742–759. [Google Scholar] [CrossRef]
- Capcha, J.M.C.; Rodrigues, C.E.; Moreira, R.d.S.; Silveira, M.D.; Dourado, P.; dos Santos, F.; Irigoyen, M.C.; Jensen, L.; Garnica, M.R.; Noronha, I.L.; et al. Wharton’s jelly-derived mesenchymal stem cells attenuate sepsis-induced organ injury partially via cholinergic anti-inflammatory pathway activation. Am. J. Physiol.-Regul. Integr. Comp. Physiol. 2019, 318, R135–R147. [Google Scholar] [CrossRef] [PubMed]
- Shokeir, A.A.; Awadalla, A.; Hamam, E.T.; Hussein, A.M.; Mahdi, M.R.; Abosteta, A.N.; Shahin, M.; Barakat, N.; El-Adl, M.; El-Sherbiny, M.; et al. Human Wharton’s jelly-derived mesenchymal stromal stem cells preconditioned with valproic acid promote cell migration and reduce renal inflammation in ischemia/reperfusion injury by activating the AKT/P13K and SDF1/CXCR4 pathways. Arch. Biochem. Biophys. 2024, 755, 109985. [Google Scholar] [CrossRef] [PubMed]
- Vieira Paladino, F.; de Moraes Rodrigues, J.; da Silva, A.; Goldberg, A.C. The Immunomodulatory Potential of Wharton’s Jelly Mesenchymal Stem/Stromal Cells. Stem Cells Int. 2019, 2019, 3548917. [Google Scholar] [CrossRef] [PubMed]
- Lim, J.; Razi, Z.R.; Law, J.; Nawi, A.M.; Idrus, R.B.; Ng, M.H. MSCs can be differentially isolated from maternal, middle and fetal segments of the human umbilical cord. Cytotherapy 2016, 18, 1493–1502. [Google Scholar] [CrossRef] [PubMed]
- Lim, J.; Razi, Z.R.M.; Law, J.X.; Nawi, A.M.; Idrus, R.B.H.; Chin, T.G.; Mustangin, M.; Ng, M.H. Mesenchymal Stromal Cells from the Maternal Segment of Human Umbilical Cord is Ideal for Bone Regeneration in Allogenic Setting. Tissue Eng. Regen. Med. 2018, 15, 75–87. [Google Scholar] [CrossRef]
- Roelen, D.L.; van der Mast, B.J.; in’t Anker, P.S.; Kleijburg, C.; Eikmans, M.; van Beelen, E.; de Groot-Swings, G.M.; Fibbe, W.E.; Kanhai, H.H.; Scherjon, S.A.; et al. Differential immunomodulatory effects of fetal versus maternal multipotent stromal cells. Hum. Immunol. 2009, 70, 16–23. [Google Scholar] [CrossRef]
- Alvites, R.; Branquinho, M.; Sousa, A.C.; Lopes, B.; Sousa, P.; Maurício, A.C. Mesenchymal Stem/Stromal Cells and Their Paracrine Activity—Immunomodulation Mechanisms and How to Influence the Therapeutic Potential. Pharmaceutics 2022, 14, 381. [Google Scholar] [CrossRef]
- Chang, C.; Yan, J.; Yao, Z.; Zhang, C.; Li, X.; Mao, H.-Q. Effects of Mesenchymal Stem Cell-Derived Paracrine Signals and Their Delivery Strategies. Adv. Healthc. Mater. 2021, 10, 2001689. [Google Scholar] [CrossRef]
- Baranovskii, D.S.; Klabukov, I.D.; Arguchinskaya, N.V.; Yakimova, A.O.; Kisel, A.A.; Yatsenko, E.M.; Ivanov, S.A.; Shegay, P.V.; Kaprin, A.D. Adverse events, side effects and complications in mesenchymal stromal cell-based therapies. Stem Cell Investig. 2022, 9, 7. [Google Scholar] [CrossRef] [PubMed]
- Buzas, E.I. The roles of extracellular vesicles in the immune system. Nat. Rev. Immunol. 2023, 23, 236–250. [Google Scholar] [CrossRef] [PubMed]
- Sanko, C. Chapter 9-Drug testing. In Translational Sports Medicine; Eltorai, A.E.M., Bakal, J.A., DeFroda, S.F., Owens, B.D., Eds.; Academic Press: Cambridge, MA, USA, 2023; pp. 53–55. [Google Scholar] [CrossRef]
- Takimoto, C.H.; Wick, M.J.; Agoram, B.; Jin, D. Chapter 30-Nonclinical drug development. In Atkinson’s Principles of Clinical Pharmacology, 4th ed.; Huang, S.-M., Lertora, J.J.L., Vicini, P., Atkinson, A.J., Eds.; Academic Press: Boston, MA, USA, 2022; pp. 573–588. [Google Scholar] [CrossRef]
- Langhof, H.; Chin, W.W.L.; Wieschowski, S.; Federico, C.; Kimmelman, J.; Strech, D. Preclinical efficacy in therapeutic area guidelines from the U.S. Food and Drug Administration and the European Medicines Agency: A cross-sectional study. Br. J. Pharmacol. 2018, 175, 4229–4238. [Google Scholar] [CrossRef]
- Hagey, D.W.; Ojansivu, M.; Bostancioglu, B.R.; Saher, O.; Bost, J.P.; Gustafsson, M.O.; Gramignoli, R.; Svahn, M.; Gupta, D.; Stevens, M.M.; et al. The cellular response to extracellular vesicles is dependent on their cell source and dose. Sci. Adv. 2023, 9, eadh1168. [Google Scholar] [CrossRef]
- Tabak, S.; Schreiber-Avissar, S.; Beit-Yannai, E. Extracellular vesicles have variable dose-dependent effects on cultured draining cells in the eye. J. Cell. Mol. Med. 2018, 22, 1992–2000. [Google Scholar] [CrossRef] [PubMed]
- Tubau-Juni, N.; Hontecillas, R.; Ehrich, M.; Leber, A.; Zoccoli-Rodriguez, V.; Bassaganya-Riera, J. Preclinical Studies: Efficacy and Safety. In Accelerated Path to Cures; Bassaganya-Riera, J., Ed.; Springer International Publishing: Cham, Switzerland, 2018; pp. 25–40. [Google Scholar] [CrossRef]
- Rodríguez-Correa, E.; González-Pérez, I.; Clavel-Pérez, P.I.; Contreras-Vargas, Y.; Carvajal, K. Biochemical and nutritional overview of diet-induced metabolic syndrome models in rats: What is the best choice? Nutr. Diabetes 2020, 10, 24. [Google Scholar] [CrossRef] [PubMed]
- Hu, Y.; Zhang, Y.; Ni, C.-Y.; Chen, C.-Y.; Rao, S.-S.; Yin, H.; Huang, J.; Tan, Y.-J.; Wang, Z.-X.; Cao, J.; et al. Human umbilical cord mesenchymal stromal cells-derived extracellular vesicles exert potent bone protective effects by CLEC11A-mediated regulation of bone metabolism. Theranostics 2020, 10, 2293–2308. [Google Scholar] [CrossRef] [PubMed]
- Silachev, D.N.; Goryunov, K.V.; Shpilyuk, M.A.; Beznoschenko, O.S.; Morozova, N.Y.; Kraevaya, E.E.; Popkov, V.A.; Pevzner, I.B.; Zorova, L.D.; Evtushenko, E.A.; et al. Effect of MSCs and MSC-Derived Extracellular Vesicles on Human Blood Coagulation. Cells 2019, 8, 258. [Google Scholar] [CrossRef]
- Chan, A.M.L.; Ng, A.M.H.; Mohd Yunus, M.H.; Hj Idrus, R.B.; Law, J.X.; Yazid, M.D.; Chin, K.Y.; Shamsuddin, S.A.; Mohd Yusof, M.R.; Razali, R.A.; et al. Safety study of allogeneic mesenchymal stem cell therapy in animal model. Regen. Ther. 2022, 19, 158–165. [Google Scholar] [CrossRef] [PubMed]
- Hassan, M.N.F.; Yap, Z.Y.; Tang, Y.L.; Ng, M.H.; Law, J.X. Expired Platelet Concentrate as a Source of Human Platelet Lysate for Xenogeneic-Free Culture of Human Dermal Fibroblasts. Sains Malays. 2021, 50, 2355–2365. [Google Scholar] [CrossRef]
- Dominici, M.; Le Blanc, K.; Mueller, I.; Slaper-Cortenbach, I.; Marini, F.; Krause, D.; Deans, R.; Keating, A.; Prockop, D.; Horwitz, E. Minimal criteria for defining multipotent mesenchymal stromal cells. The International Society for Cellular Therapy position statement. Cytotherapy 2006, 8, 315–317. [Google Scholar] [CrossRef]
- Théry, C.; Witwer, K.W.; Aikawa, E.; Alcaraz, M.J.; Anderson, J.D.; Andriantsitohaina, R.; Antoniou, A.; Arab, T.; Archer, F.; Atkin-Smith, G.K.; et al. Minimal information for studies of extracellular vesicles 2018 (MISEV2018): A position statement of the International Society for Extracellular Vesicles and update of the MISEV2014 guidelines. J. Extracell. Vesicles 2018, 7, 1535750. [Google Scholar] [CrossRef]
- UMB. Endpoint Guidelines for Animal Use Protocols. Available online: https://www.umaryland.edu/media/umb/oaa/oac/oawa/guidelines/Endpoint-Guidelines_01.2024.pdf (accessed on 16 June 2024).
- Chan, A.M.L.; Ng, A.M.H.; Yunus, M.H.M.; Idrus, R.H.; Law, J.X.; Yazid, M.D.; Chin, K.-Y.; Yusof, M.R.M.; Ng, S.N.; Koh, B.; et al. Single high-dose intravenous injection of Wharton’s jelly-derived mesenchymal stem cell exerts protective effects in a rat model of metabolic syndrome. Stem Cell Res. Ther. 2024, 15, 160. [Google Scholar] [CrossRef] [PubMed]
- Kuo, F.Y.; Cheng, K.C.; Li, Y.; Cheng, J.T. Oral glucose tolerance test in diabetes, the old method revisited. World J. Diabetes 2021, 12, 786–793. [Google Scholar] [CrossRef]
- Okoduwa, S.I.; Umar, I.A.; James, D.B.; Inuwa, H.M. Appropriate Insulin Level in Selecting Fortified Diet-Fed, Streptozotocin-Treated Rat Model of Type 2 Diabetes for Anti-Diabetic Studies. Public Libr. Sci. One 2017, 12, e0170971. [Google Scholar] [CrossRef] [PubMed]
- Arifin, W.N.; Zahiruddin, W.M. Sample Size Calculation in Animal Studies Using Resource Equation Approach. Malays. J. Med. Sci. 2017, 24, 101–105. [Google Scholar] [CrossRef]
- Charan, J.; Kantharia, N.D. How to calculate sample size in animal studies? J. Pharmacol. Pharmacother. 2013, 4, 303–306. [Google Scholar] [CrossRef]
- Codazzi, V.; Frontino, G.; Galimberti, L.; Giustina, A.; Petrelli, A. Mechanisms and risk factors of metabolic syndrome in children and adolescents. Endocrine 2024, 84, 16–28. [Google Scholar] [CrossRef] [PubMed]
- Huang, W.; Percie du Sert, N.; Vollert, J.; Rice, A.S.C. General Principles of Preclinical Study Design. Handb. Exp. Pharmacolology 2020, 257, 55–69. [Google Scholar] [CrossRef]
- Singh, S.; Kachhawaha, K.; Singh, S.K. Comprehensive approaches to preclinical evaluation of monoclonal antibodies and their next-generation derivatives. Biochem. Pharmacol. 2024, 225, 116303. [Google Scholar] [CrossRef]
- Ferreira, G.S.; Veening-Griffioen, D.H.; Boon, W.P.C.; Moors, E.H.M.; van Meer, P.J.K. Levelling the Translational Gap for Animal to Human Efficacy Data. Animals 2020, 10, 1199. [Google Scholar] [CrossRef]
- He, P.; Qu, Q.; Zhong, Z.; Zeng, P. Animal models for probiotics intervention on metabolic syndrome. Chin. Med. J. 2023, 136, 2771–2772. [Google Scholar] [CrossRef] [PubMed]
- Fuchs, T.; Loureiro, M.P.; Macedo, L.E.; Nocca, D.; Nedelcu, M.; Costa-Casagrande, T.A. Animal models in metabolic syndrome. Rev. Do Colégio Bras. De Cir. 2018, 45, e1975. [Google Scholar] [CrossRef]
- Crawford, M.S.; Gumpricht, E.; Sweazea, K.L. A novel organic mineral complex prevented high fat diet-induced hyperglycemia, endotoxemia, liver injury and endothelial dysfunction in young male Sprague-Dawley rats. Public Libr. Sci. One 2019, 14, e0221392. [Google Scholar] [CrossRef]
- Nascimento, A.R.; Gomes, F.; Machado, M.V.; Gonçalves-de-Albuquerque, C.; Bousquet, P.; Tibiriçá, E. I1-imidazoline receptor-mediated cardiovascular and metabolic effects in high-fat diet-induced metabolic syndrome in rats. Auton. Neurosci. Basic Clin. 2019, 217, 18–25. [Google Scholar] [CrossRef] [PubMed]
- Yang, G.T.; Zhao, H.Y.; Kong, Y.; Sun, N.N.; Dong, A.Q. Study of the effects of nesfatin-1 on gastric function in obese rats. World J. Gastroenterol. 2017, 23, 2940–2947. [Google Scholar] [CrossRef]
- Gunawan, S.; Aulia, A.; Soetikno, V. Development of rat metabolic syndrome models: A review. Vet World 2021, 14, 1774–1783. [Google Scholar] [CrossRef]
- Li, J.; Zhao, W.-G.; Shen, Z.-F.; Yuan, T.; Liu, S.-N.; Liu, Q.; Fu, Y.; Sun, W. Comparative Proteome Analysis of Brown Adipose Tissue in Obese C57BL/6J Mice Using iTRAQ-Coupled 2D LC-MS/MS. Public Libr. Sci. One 2015, 10, e0119350. [Google Scholar] [CrossRef] [PubMed][Green Version]
- de Moura e Dias, M.; dos Reis, S.A.; da Conceição, L.L.; Sediyama, C.M.N.d.O.; Pereira, S.S.; de Oliveira, L.L.; Gouveia Peluzio, M.d.C.; Martinez, J.A.; Milagro, F.I. Diet-induced obesity in animal models: Points to consider and influence on metabolic markers. Diabetol. Metab. Syndr. 2021, 13, 32. [Google Scholar] [CrossRef]
- Rocha-Rodrigues, S.; Gonçalves, I.O.; Beleza, J.; Ascensão, A.; Magalhães, J. Physical exercise mitigates high-fat diet-induced adiposopathy and related endocrine alterations in an animal model of obesity. J. Physiol. Biochem. 2018, 74, 235–246. [Google Scholar] [CrossRef]
- Chan, A.M.L.; Ng, A.M.H.; Mohd Yunus, M.H.; Idrus, R.B.H.; Law, J.X.; Yazid, M.D.; Chin, K.Y.; Shamsuddin, S.A.; Lokanathan, Y. Recent Developments in Rodent Models of High-Fructose Diet-Induced Metabolic Syndrome: A Systematic Review. Nutrients 2021, 13, 2497. [Google Scholar] [CrossRef]
- Hannou, S.A.; Haslam, D.E.; McKeown, N.M.; Herman, M.A. Fructose metabolism and metabolic disease. J. Clin. Investig. 2018, 128, 545–555. [Google Scholar] [CrossRef] [PubMed]
- Choo, V.L.; Viguiliouk, E.; Blanco Mejia, S.; Cozma, A.I.; Khan, T.A.; Ha, V.; Wolever, T.M.S.; Leiter, L.A.; Vuksan, V.; Kendall, C.W.C.; et al. Food sources of fructose-containing sugars and glycaemic control: Systematic review and meta-analysis of controlled intervention studies. BMJ 2018, 363, k4644. [Google Scholar] [CrossRef] [PubMed]
- Kubacka, M.; Kotańska, M.; Szafarz, M.; Pociecha, K.; Waszkielewicz, A.M.; Marona, H.; Filipek, B.; Mogilski, S. Beneficial effects of non-quinazoline α1-adrenolytics on hypertension and altered metabolism in fructose-fed rats. A comparison with prazosin. Nutr. Metab. Cardiovasc. Dis. 2019, 29, 751–760. [Google Scholar] [CrossRef] [PubMed]
- Ramírez-Higuera, A.; Peña-Montes, C.; Herrera-Meza, S.; Mendoza-López, R.; Valerio-Alfaro, G.; Oliart-Ros, R.M. Preventive Action of Sterculic Oil on Metabolic Syndrome Development on a Fructose-Induced Rat Model. J. Med. Food 2020, 23, 305–311. [Google Scholar] [CrossRef] [PubMed]
- Cheng, H.S.; Ton, S.H.; Phang, S.C.W.; Tan, J.B.L.; Kadir, K.A. Increased susceptibility of post-weaning rats on high-fat diet to metabolic syndrome. J. Adv. Res. 2017, 8, 743–752. [Google Scholar] [CrossRef]
- Solares, I.; Izquierdo-Sánchez, L.; Morales-Conejo, M.; Jericó, D.; Castelbón, F.J.; Córdoba, K.M.; Sampedro, A.; Lumbreras, C.; Moreno-Aliaga, M.J.; Enríquez de Salamanca, R.; et al. High Prevalence of Insulin Resistance in Asymptomatic Patients with Acute Intermittent Porphyria and Liver-Targeted Insulin as a Novel Therapeutic Approach. Biomedicines 2021, 9, 255. [Google Scholar] [CrossRef]
- Lopez-Lopez, J.P.; Cohen, D.D.; Ney-Salazar, D.; Martinez, D.; Otero, J.; Gomez-Arbelaez, D.; Camacho, P.A.; Sanchez-Vallejo, G.; Arcos, E.; Narvaez, C.; et al. The prediction of Metabolic Syndrome alterations is improved by combining waist circumference and handgrip strength measurements compared to either alone. Cardiovasc. Diabetol. 2021, 20, 68. [Google Scholar] [CrossRef] [PubMed]
- Baveicy, K.; Mostafaei, S.; Darbandi, M.; Hamzeh, B.; Najafi, F.; Pasdar, Y. Predicting Metabolic Syndrome by Visceral Adiposity Index, Body Roundness Index and a Body Shape Index in Adults: A Cross-Sectional Study from the Iranian RaNCD Cohort Data. Diabetes Metab. Syndr. Obes. 2020, 13, 879–887. [Google Scholar] [CrossRef] [PubMed]
- Ross, R.; Neeland, I.J.; Yamashita, S.; Shai, I.; Seidell, J.; Magni, P.; Santos, R.D.; Arsenault, B.; Cuevas, A.; Hu, F.B.; et al. Waist circumference as a vital sign in clinical practice: A Consensus Statement from the IAS and ICCR Working Group on Visceral Obesity. Nat. Rev. Endocrinol. 2020, 16, 177–189. [Google Scholar] [CrossRef] [PubMed]
- Sulistyowati, E.; Handayani, D.; Soeharto, S.; Rudijanto, A. A high-fat and high-fructose diet lowers the cecal digesta’s weight and short-chain fatty acid level of a Sprague-Dawley rat model. Turk. J. Med. Sci. 2022, 52, 268–275. [Google Scholar] [CrossRef]
- Macêdo, A.P.A.; Cordeiro, G.S.; Santos, L.S.; Santo, D.A.E.; Perez, G.S.; Couto, R.D.; Machado, M.; Medeiros, J.M.B. Murinometric measurements and retroperitoneal adipose tissue in young rats exposed to the high-fat diet: Is there correlation? Braz. J. Biol. 2021, 81, 246–250. [Google Scholar] [CrossRef] [PubMed]
- Mwangi, K.J.; Kariuki, K.J.; Elijah, M.; Dominic, M.; Wairimu, M.A.; Walter, R. The ameliorative effects of graded intensities of exercise training on anthropometrical parameters on high fat diet and sucrose-induced obesity in Wistar rats. J. Agric. Sci. Technol. 2023, 22, 26–36. [Google Scholar]
- Franczyk, M.P.; He, M.; Yoshino, J. Removal of Epididymal Visceral Adipose Tissue Prevents Obesity-Induced Multi-organ Insulin Resistance in Male Mice. J. Endocrinol. Soc. 2021, 5, bvab024. [Google Scholar] [CrossRef] [PubMed]
- Heyn, G.S.; Corrêa, L.H.; Magalhães, K.G. The Impact of Adipose Tissue–Derived miRNAs in Metabolic Syndrome, Obesity, and Cancer. Front. Endocrinol. 2020, 11, 563816. [Google Scholar] [CrossRef] [PubMed]
- Comariţa, I.K.; Vîlcu, A.; Constantin, A.; Procopciuc, A.; Safciuc, F.; Alexandru, N.; Dragan, E.; Nemecz, M.; Filippi, A.; Chiţoiu, L.; et al. Therapeutic Potential of Stem Cell-Derived Extracellular Vesicles on Atherosclerosis-Induced Vascular Dysfunction and Its Key Molecular Players. Front. Cell Dev. Biol. 2022, 10, 817180. [Google Scholar] [CrossRef] [PubMed]
- Watanabe, T.; Tsuchiya, A.; Takeuchi, S.; Nojiri, S.; Yoshida, T.; Ogawa, M.; Itoh, M.; Takamura, M.; Suganami, T.; Ogawa, Y.; et al. Development of a non-alcoholic steatohepatitis model with rapid accumulation of fibrosis, and its treatment using mesenchymal stem cells and their small extracellular vesicles. Regen. Ther. 2020, 14, 252–261. [Google Scholar] [CrossRef]
- Cheng, L.; Yu, P.; Li, F.; Jiang, X.; Jiao, X.; Shen, Y.; Lai, X. Human umbilical cord-derived mesenchymal stem cell-exosomal miR-627-5p ameliorates non-alcoholic fatty liver disease by repressing FTO expression. Hum. Cell 2021, 34, 1697–1708. [Google Scholar] [CrossRef]
- Sun, Y.; Shi, H.; Yin, S.; Ji, C.; Zhang, X.; Zhang, B.; Wu, P.; Shi, Y.; Mao, F.; Yan, Y.; et al. Human Mesenchymal Stem Cell Derived Exosomes Alleviate Type 2 Diabetes Mellitus by Reversing Peripheral Insulin Resistance and Relieving β-Cell Destruction. ACS Nano 2018, 12, 7613–7628. [Google Scholar] [CrossRef] [PubMed]
- Al-Awar, A.; Kupai, K.; Veszelka, M.; Szűcs, G.; Attieh, Z.; Murlasits, Z.; Török, S.; Pósa, A.; Varga, C. Experimental Diabetes Mellitus in Different Animal Models. J. Diabetes Res. 2016, 2016, 9051426. [Google Scholar] [CrossRef]
- Yap, S.K.; Tan, K.L.; Abd Rahaman, N.Y.; Saulol Hamid, N.F.; Ooi, D.J.; Tor, Y.S.; Daniel Looi, Q.H.; Stella Tan, L.K.; How, C.W.; Foo, J.B. Human Umbilical Cord Mesenchymal Stem Cell-Derived Small Extracellular Vesicles Ameliorated Insulin Resistance in Type 2 Diabetes Mellitus Rats. Pharmaceutics 2022, 14, 649. [Google Scholar] [CrossRef]
- Zhang, Y.; Xu, L.; Liu, X.; Wang, Y. Evaluation of insulin sensitivity by hyperinsulinemic-euglycemic clamps using stable isotope-labeled glucose. Cell Discov. 2018, 4, 17. [Google Scholar] [CrossRef]
- Gar, C.; Rottenkolber, M.; Prehn, C.; Adamski, J.; Seissler, J.; Lechner, A. Serum and plasma amino acids as markers of prediabetes, insulin resistance, and incident diabetes. Crit. Rev. Clin. Lab. Sci. 2018, 55, 21–32. [Google Scholar] [CrossRef] [PubMed]
- Hamaya, R.; Mora, S.; Lawler, P.R.; Cook, N.R.; Ridker, P.M.; Buring, J.E.; Lee, I.-M.; Manson, J.E.; Tobias, D.K. Association of Plasma Branched-Chain Amino Acid With Biomarkers of Inflammation and Lipid Metabolism in Women. Circ. Genom. Precis. Med. 2021, 14, e003330. [Google Scholar] [CrossRef]
- Feng, R.; Ullah, M.; Chen, K.; Ali, Q.; Lin, Y.; Sun, Z. Stem cell-derived extracellular vesicles mitigate ageing-associated arterial stiffness and hypertension. J. Extracell. Vesicles 2020, 9, 1783869. [Google Scholar] [CrossRef]
- Hu, L.; Wang, J.; Lin, D.; Shen, Y.; Huang, H.; Cao, Y.; Li, Y.; Li, K.; Yu, Y.; Yu, Y.; et al. Mesenchymal Stem Cell-derived Nanovesicles as a Credible Agent for Therapy of Pulmonary Hypertension. Am. J. Respir. Cell Mol. Biol. 2022, 67, 61–75. [Google Scholar] [CrossRef] [PubMed]
- Banait, T.; Wanjari, A.; Danade, V.; Banait, S.; Jain, J. Role of High-Sensitivity C-reactive Protein (Hs-CRP) in Non-communicable Diseases: A Review. Cureus 2022, 14, e30225. [Google Scholar] [CrossRef] [PubMed]
- Lau, D.C.; Dhillon, B.; Yan, H.; Szmitko, P.E.; Verma, S. Adipokines: Molecular links between obesity and atheroslcerosis. Am. J. Physiol.-Heart Circ. Physiol. 2005, 288, H2031–H2041. [Google Scholar] [CrossRef]
- den Engelsen, C.; Koekkoek, P.S.; Gorter, K.J.; van den Donk, M.; Salomé, P.L.; Rutten, G.E. High-sensitivity C-reactive protein to detect metabolic syndrome in a centrally obese population: A cross-sectional analysis. Cardiovasc. Diabetol. 2012, 11, 25. [Google Scholar] [CrossRef] [PubMed]
- Noordam, R.; Boersma, V.; Verkouter, I.; le Cessie, S.; Christen, T.; Lamb, H.J.; Rosendaal, F.R.; Willems van Dijk, K.; van Heemst, D.; de Mutsert, R. The role of C-reactive protein, adiponectin and leptin in the association between abdominal adiposity and insulin resistance in middle-aged individuals. Nutr. Metab. Cardiovasc. Dis. 2020, 30, 1306–1314. [Google Scholar] [CrossRef]
- Hong, G.B.; Gao, P.C.; Chen, Y.Y.; Xia, Y.; Ke, X.S.; Shao, X.F.; Xiong, C.X.; Chen, H.S.; Xiao, H.; Ning, J.; et al. High-Sensitivity C-Reactive Protein Leads to Increased Incident Metabolic Syndrome in Women but Not in Men: A Five-Year Follow-Up Study in a Chinese Population. Diabetes Metab. Syndr. Obes. 2020, 13, 581–590. [Google Scholar] [CrossRef] [PubMed]
- Raya-Cano, E.; Vaquero-Abellán, M.; Molina-Luque, R.; De Pedro-Jiménez, D.; Molina-Recio, G.; Romero-Saldaña, M. Association between metabolic syndrome and uric acid: A systematic review and meta-analysis. Sci. Rep. 2022, 12, 18412. [Google Scholar] [CrossRef]
- Carmen Zaha, D.; Vesa, C.; Uivarosan, D.; Bratu, O.; Fratila, O.; Mirela Tit, D.; Pantis, C.; Diaconu, C.C.; Bungau, S. Influence of inflammation and adipocyte biochemical markers on the components of metabolic syndrome. Exp. Ther. Med. 2020, 20, 121–128. [Google Scholar] [CrossRef]
- Ter Horst, R.; van den Munckhof, I.C.L.; Schraa, K.; Aguirre-Gamboa, R.; Jaeger, M.; Smeekens, S.P.; Brand, T.; Lemmers, H.; Dijkstra, H.; Galesloot, T.E.; et al. Sex-Specific Regulation of Inflammation and Metabolic Syndrome in Obesity. Arterioscler. Thromb. Vasc. Biol. 2020, 40, 1787–1800. [Google Scholar] [CrossRef] [PubMed]
- Agostinis-Sobrinho, C.; Vicente, S.; Norkiene, S.; Rauckienė-Michaelsson, A.; Kievisienė, J.; Dubey, V.P.; Razbadauskas, A.; Lopes, L.; Santos, R. Is the Leptin/Adiponectin Ratio a Better Diagnostic Biomarker for Insulin Resistance than Leptin or Adiponectin Alone in Adolescents? Children 2022, 9, 1193. [Google Scholar] [CrossRef]
- Tarighat Esfanjani, A.; Saleh-Ghadimi, S.; Ebrahimi-Mameghani, M.; Asghari Jafarabadi, M.; Ehteshami, M.; Moloudi, J.; Maleki, V.; Omidi, H.; Jafari-Vayghan, H. Relationship Between Leptin to Adiponectin Ratio and Metabolic Syndrome Indices in Apparently Healthy Adults. Turk. J. Endocrinol. Metab. 2020, 24, 122–131. [Google Scholar] [CrossRef]
- Zhao, S.; Kusminski, C.M.; Scherer, P.E. Adiponectin, Leptin and Cardiovascular Disorders. Circ. Res. 2021, 128, 136–149. [Google Scholar] [CrossRef] [PubMed]
- Ouerghi, N.; Ben Fradj, M.K.; Talbi, E.; Bezrati, I.; Feki, M.; Bouassida, A. Association of selected adipokines with metabolic syndrome and cardio-metabolic risk factors in young males. Cytokine 2020, 133, 155170. [Google Scholar] [CrossRef]
- Aisike, G.; Kuerbanjiang, M.; Muheyati, D.; Zaibibuli, K.; Lv, M.-X.; Han, J. Correlation analysis of obesity phenotypes with leptin and adiponectin. Sci. Rep. 2023, 13, 17718. [Google Scholar] [CrossRef]
- Chihara, K.; Hattori, N.; Ichikawa, N.; Matsuda, T.; Saito, T. Re-evaluation of serum leptin and adiponectin concentrations normalized by body fat mass in patients with rheumatoid arthritis. Sci. Rep. 2020, 10, 15932. [Google Scholar] [CrossRef]
- Mirza, A.C.; Panchal, S.S. Safety Assessment of Vanillic Acid: Subacute Oral Toxicity Studies in Wistar Rats. Turk. J. Pharm. Sci. 2020, 17, 432–439. [Google Scholar] [CrossRef]
- Rivero, L.A.; Zhang, S.; Schultz, L.G.; Adkins, P.R.F. Gross necropsy, histopathology, and ancillary test results from neonatal beef calves submitted to a veterinary diagnostic laboratory. J. Am. Vet. Med. Assoc. 2022, 260, 1690–1696. [Google Scholar] [CrossRef]
- Chen, J.; Li, C.; Liang, Z.; Li, C.; Li, Y.; Zhao, Z.; Qiu, T.; Hao, H.; Niu, R.; Chen, L. Human mesenchymal stromal cells small extracellular vesicles attenuate sepsis-induced acute lung injury in a mouse model: The role of oxidative stress and the mitogen-activated protein kinase/nuclear factor kappa B pathway. Cytotherapy 2021, 23, 918–930. [Google Scholar] [CrossRef] [PubMed]
- Hu, Q.; Zhang, S.; Yang, Y.; Yao, J.-Q.; Tang, W.-F.; Lyon, C.J.; Hu, T.Y.; Wan, M.-H. Extracellular vesicles in the pathogenesis and treatment of acute lung injury. Mil. Med. Res. 2022, 9, 61. [Google Scholar] [CrossRef] [PubMed]
- Worthington, E.N.; Hagood, J.S. Therapeutic Use of Extracellular Vesicles for Acute and Chronic Lung Disease. Int. J. Mol. Sci. 2020, 21, 2318. [Google Scholar] [CrossRef] [PubMed]
- Muzurović, E.; Mikhailidis, D.P.; Mantzoros, C. Non-alcoholic fatty liver disease, insulin resistance, metabolic syndrome and their association with vascular risk. Metabolism 2021, 119, 154770. [Google Scholar] [CrossRef]
- Randall, T.D. Bronchus-associated lymphoid tissue (BALT) structure and function. Adv. Immunol. 2010, 107, 187–241. [Google Scholar] [CrossRef]
- Trivedi, A.; Reed, H.O. The lymphatic vasculature in lung function and respiratory disease. Front. Med. 2023, 10, 1118583. [Google Scholar] [CrossRef]
- Radu, F.; Potcovaru, C.G.; Salmen, T.; Filip, P.V.; Pop, C.; Fierbințeanu-Braticievici, C. The Link between NAFLD and Metabolic Syndrome. Diagnostics 2023, 13, 614. [Google Scholar] [CrossRef]
- Rinaldi, L.; Pafundi, P.C.; Galiero, R.; Caturano, A.; Morone, M.V.; Silvestri, C.; Giordano, M.; Salvatore, T.; Sasso, F.C. Mechanisms of Non-Alcoholic Fatty Liver Disease in the Metabolic Syndrome. A Narrative Review. Antioxidants 2021, 10, 270. [Google Scholar] [CrossRef]
- Kaur, H.; Singh, O.; Pathak, D. Histochemical and Immunohistochemical Studies on Pig Spleen (Sus scrofa). Indian J. Vet. Sci. Biotechnol. 2022, 18, 23–27. [Google Scholar]
- Cesta, M.F. Normal Structure, Function, and Histology of the Spleen. Toxicol. Pathol. 2006, 34, 455–465. [Google Scholar] [CrossRef] [PubMed]
- Kapizova Dilafruz, R. Spleen Histostructure, Function and Formation: Medical science. Ethiop. Int. J. Multidiscip. Res. 2023, 10, 86–93. Available online: https://www.eijmr.org/index.php/eijmr/article/view/43 (accessed on 16 June 2024).
- Tang, P.-K.; Jepson, R.E.; Chang, Y.-M.; Geddes, R.F.; Hopkinson, M.; Elliott, J. Risk factors and implications associated with renal mineralization in chronic kidney disease in cats. J. Vet. Intern. Med. 2022, 36, 634–646. [Google Scholar] [CrossRef] [PubMed]
- Gupta, D.; Zickler, A.M.; El Andaloussi, S. Dosing extracellular vesicles. Adv. Drug Deliv. Rev. 2021, 178, 113961. [Google Scholar] [CrossRef]















| Type | Frequency | Parameters/Organs |
|---|---|---|
| Physical measurement | Every 6 weeks (−16, 0, 6, 12) | BW, BL, AC, BMI, food consumption, and fluid intake |
| BP | Every 6 weeks (−16, 0, 6, 12) | SBP and DBP |
| Blood glucose | Every 6 weeks (−16, 0, 6, 12) | FBG and OGTT |
| Serum insulin | Every 6 weeks (−16, 0, 6, 12) | Fasting serum insulin |
| Serum CRP | Every 6 weeks (−16, 0, 6, 12) | Fasting serum CRP |
| Serum leptin and adiponectin | In week 12 only | Fasting serum leptin and adiponectin |
| Lipid profile | Every 6 weeks (−16, 0, 6, 12) | Fasting serum CHO, LDL, HDL, and triglycerides |
| Insulin resistance (IR) and glucose tolerance | Every 6 weeks (−16, 0, 6, 12) | IR HOMA score |
| Necropsy | End of week 12 | Gross pathological evaluation of lungs, liver, spleen, and kidney with relative weight of the organs |
| Histopathological | End of week 12 | Assessment of lungs, liver, spleen, and kidney |
| MetS Parameters | Average | Standard Deviation (SD) | Range |
|---|---|---|---|
| Systolic BP (mmHg) | 107.6 | 13.7 | 93.9–121.3 |
| Diastolic BP (mmHg) | 74.8 | 10.2 | 64.6–85.0 |
| FBG (mmol/L) | 5.5 | 0.53 | 4.97–6.03 |
| Triglycerides (mmol/L) | 0.39 | 0.14 | 0.25–0.53 |
| HDL (mmol/L) | 0.65 | 0.05 | 0.6–0.7 |
| AC (cm) | 21.6 | 0.58 | 21.02–22.18 |
| MetS Score | Number of HFHF Rats |
|---|---|
| 1/5 | 0 |
| 2/5 | 1 |
| 3/5 | 3 |
| 4/5 | 16 |
| 5/5 | 5 |
| Total | 25 |
| Group | Observations | |||
|---|---|---|---|---|
| Lungs | Liver | Spleen | Kidney | |
| Control ND | Mild congestion (n = 4) | Normal | Normal | Normal |
| MetS Control | Normal | Discoloration (n = 1) | Normal | Discoloration (n = 1) |
| MetS LD | Mild congestion (n = 1) | Discoloration and mottled appearance (n = 3) | Normal | Lesion (n = 1) Fluid collection (n = 1) |
| MetS HD | Normal | Discoloration (n = 2) | Blunt edge appearance (n = 1) | Lesion (n = 1) |
| Assessment Parameter | Control ND | MetS Control | MetS LD | MetS HD |
|---|---|---|---|---|
| Inflammation (interstitial pneumonia) | Moderate | Moderate | Moderate | Moderate |
| Interstitial pneumonia description | Mild to moderate multifocal thickening | Moderate to severe focal thickening | Moderate multifocal thickening | Moderate multifocal thickening |
| Hemorrhage | Mild | Mild to moderate | Mild | Mild |
| Congestion | Yes | Yes | Yes | Yes |
| Bronchus-associated lymphoid tissue (BALT) hyperplasia | No | Yes | Yes | Yes |
| Assessment Parameter | Control ND | MetS Control | MetS LD | MetS HD |
|---|---|---|---|---|
| Inflammation | Absent | Absent | Absent | Absent |
| Cellular infiltrate | Mild | Mild | Mild | Mild |
| Other | None | Fatty changes | Fatty changes | Fatty changes |
| Assessment Parameter | Control ND | MetS Control | MetS LD | MetS HD |
|---|---|---|---|---|
| Pigment distribution | Red and white pulp contains light brown pigment | Red and white pulp contains light brown pigment | Red and white pulp contains light brown pigment | Red and white pulp contains light brown pigment |
| Assessment Parameter | Control ND | MetS Control | MetS LD | MetS HD |
|---|---|---|---|---|
| Interstitium cellular infiltrate | Absent | Absent | Absent | Absent |
| Mineralisation | None | Moderate to severe | Mild to moderate | Mild to moderate |
| Others | Congestion | Congestion | Congestion | Congestion |
Disclaimer/Publisher’s Note: The statements, opinions and data contained in all publications are solely those of the individual author(s) and contributor(s) and not of MDPI and/or the editor(s). MDPI and/or the editor(s) disclaim responsibility for any injury to people or property resulting from any ideas, methods, instructions or products referred to in the content. |
© 2025 by the authors. Licensee MDPI, Basel, Switzerland. This article is an open access article distributed under the terms and conditions of the Creative Commons Attribution (CC BY) license (https://creativecommons.org/licenses/by/4.0/).
Share and Cite
Krishnan, I.; Ling, M.T.M.; Ng, M.H.; Law, J.X.; Yusof, M.R.M.; Thangarajah, T.; Mahmood, Z.; Uda Zahli, N.I.; Rajamanickam, S.; Subramani, B.; et al. Efficacy of Fetal Wharton’s Jelly Mesenchymal Stem Cells-Derived Small Extracellular Vesicles in Metabolic Syndrome. Biomolecules 2025, 15, 44. https://doi.org/10.3390/biom15010044
Krishnan I, Ling MTM, Ng MH, Law JX, Yusof MRM, Thangarajah T, Mahmood Z, Uda Zahli NI, Rajamanickam S, Subramani B, et al. Efficacy of Fetal Wharton’s Jelly Mesenchymal Stem Cells-Derived Small Extracellular Vesicles in Metabolic Syndrome. Biomolecules. 2025; 15(1):44. https://doi.org/10.3390/biom15010044
Chicago/Turabian StyleKrishnan, Illayaraja, Magdalene Tan Mei Ling, Min Hwei Ng, Jia Xian Law, Mohd Rafizul Mohd Yusof, Thavachelvi Thangarajah, Zalina Mahmood, Nurul Izzati Uda Zahli, Shathiya Rajamanickam, Baskar Subramani, and et al. 2025. "Efficacy of Fetal Wharton’s Jelly Mesenchymal Stem Cells-Derived Small Extracellular Vesicles in Metabolic Syndrome" Biomolecules 15, no. 1: 44. https://doi.org/10.3390/biom15010044
APA StyleKrishnan, I., Ling, M. T. M., Ng, M. H., Law, J. X., Yusof, M. R. M., Thangarajah, T., Mahmood, Z., Uda Zahli, N. I., Rajamanickam, S., Subramani, B., & Lokanathan, Y. (2025). Efficacy of Fetal Wharton’s Jelly Mesenchymal Stem Cells-Derived Small Extracellular Vesicles in Metabolic Syndrome. Biomolecules, 15(1), 44. https://doi.org/10.3390/biom15010044

