Decellularized Antler Cancellous Bone Matrix Material Can Serve as Potential Bone Tissue Scaffold
Abstract
1. Introduction
2. Materials and Methods
2.1. Preparation of DACB
2.2. DNA Residue Detection and Characterization of Collagen
2.3. Surface Observation and Chemical Composition
2.4. Compressive Strength
2.5. Preparation of Extracts for In Vitro Cell Assay
2.6. Cell Culture
2.7. Cell Activity Assay on Scaffold Material
2.8. Alkaline Phosphatase (ALP) Staining
2.9. Calcium Deposition Capacity Test
2.10. Osteogenic Differentiation-Related Gene Expression Assay
2.11. Whole-Body Acute Toxicity Test
2.12. In Vitro Hemolysis Test
2.13. Subcutaneous Implantation
2.14. Surgical Procedures
2.15. Micro-CT Analysis
2.16. Histological Evaluation
2.17. Transcriptome Sequencing
2.18. Statistical Analysis
3. Results
3.1. Preparation and Characterization of DACB
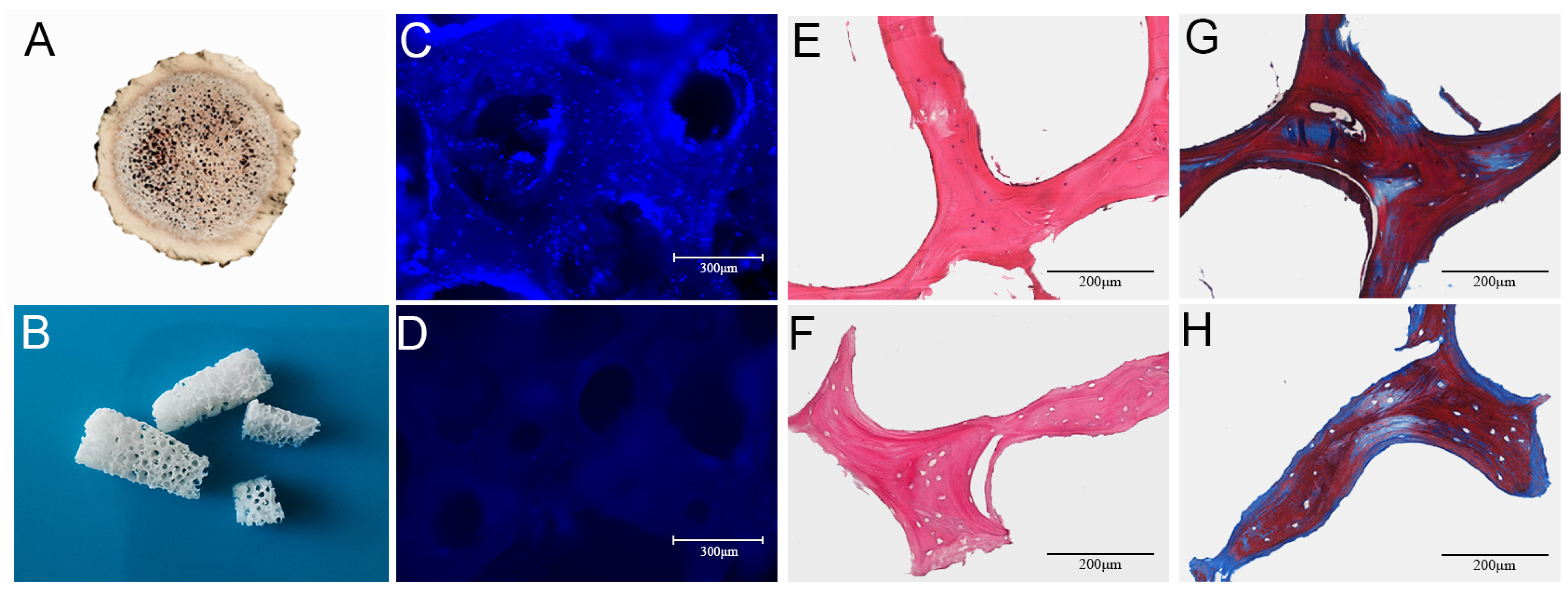
3.1.1. Morphologies of DACB
3.1.2. SEM Analysis
3.1.3. Energy-Dispersive X-ray Spectroscopy (EDS) Findings
3.1.4. FTIR and XRD Analysis
3.1.5. Mechanical Properties
3.2. In Vitro Cell Studies
3.2.1. Assays of Cell Viability and Proliferation
3.2.2. Osteogenic Differentiation and Related Gene Expression of C3H10T1/2
3.3. Biosafety of DACB
3.3.1. Systemic Acute Toxicity Test
3.3.2. In Vitro Hemolysis Test
3.3.3. Biocompatibility In Vivo
3.3.4. Micro-CT Reconstruction and Quantification
3.3.5. Histological Analysis
3.3.6. RNA-Sequencing Analysis
4. Discussion
5. Conclusions
Supplementary Materials
Author Contributions
Funding
Institutional Review Board Statement
Data Availability Statement
Conflicts of Interest
Correction Statement
References
- Walsh, W.R.; Oliver, R.A.; Christou, C.; Lovric, V.; Walsh, E.R.; Prado, G.R.; Haider, T. Critical Size Bone Defect Healing Using Collagen-Calcium Phosphate Bone Graft Materials. PLoS ONE 2017, 12, e0168883. [Google Scholar] [CrossRef]
- Kumar, P.; Vinitha, B.; Fathima, G. Bone grafts in dentistry. J. Pharm. Bioallied Sci. 2013, 5, S125–S127. [Google Scholar] [CrossRef]
- Schmidt, A.H. Autologous bone graft: Is it still the gold standard? Injury 2021, 52 (Suppl. S2), S18–S22. [Google Scholar] [CrossRef] [PubMed]
- Sohn, H.S.; Oh, J.K. Review of bone graft and bone substitutes with an emphasis on fracture surgeries. Biomater. Res. 2019, 23, 9. [Google Scholar] [CrossRef] [PubMed]
- Donnaloja, F.; Jacchetti, E.; Soncini, M.; Raimondi, M.T. Natural and Synthetic Polymers for Bone Scaffolds Optimization. Polymers 2020, 12, 905. [Google Scholar] [CrossRef] [PubMed]
- Bouyer, M.; Guillot, R.; Lavaud, J.; Plettinx, C.; Olivier, C.; Curry, V.; Boutonnat, J.; Coll, J.L.; Peyrin, F.; Josserand, V.; et al. Surface delivery of tunable doses of BMP-2 from an adaptable polymeric scaffold induces volumetric bone regeneration. Biomaterials 2016, 104, 168–181. [Google Scholar] [CrossRef]
- Levingstone, T.J.; Ramesh, A.; Brady, R.T.; Brama, P.A.J.; Kearney, C.; Gleeson, J.P.; O’Brien, F.J. Cell-free multi-layered collagen-based scaffolds demonstrate layer specific regeneration of functional osteochondral tissue in caprine joints. Biomaterials 2016, 87, 69–81. [Google Scholar] [CrossRef]
- Sivakumar, P.M.; Yetisgin, A.A.; Demir, E.; Sahin, S.B.; Cetinel, S. Polysaccharide-bioceramic composites for bone tissue engineering: A review. Int. J. Biol. Macromol. 2023, 250, 126237. [Google Scholar] [CrossRef]
- Dimitriou, R.; Jones, E.; McGonagle, D.; Giannoudis, P.V. Bone regeneration: Current concepts and future directions. BMC Med. 2011, 9, 66. [Google Scholar] [CrossRef]
- Ginebra, M.P.; Espanol, M.; Maazouz, Y.; Bergez, V.; Pastorino, D. Bioceramics and bone healing. EFORT Open Rev. 2018, 3, 173–183. [Google Scholar] [CrossRef]
- Ramírez Fernández, M.P.; Gehrke, S.A.; Pérez Albacete Martinez, C.; Calvo Guirado, J.L.; de Aza, P.N. SEM-EDX Study of the Degradation Process of Two Xenograft Materials Used in Sinus Lift Procedures. Materials 2017, 10, 542. [Google Scholar] [CrossRef]
- Chen, M.Y.; Fang, J.J.; Lee, J.N.; Periasamy, S.; Yen, K.C.; Wang, H.C.; Hsieh, D.J. Supercritical Carbon Dioxide Decellularized Xenograft-3D CAD/CAM Carved Bone Matrix Personalized for Human Bone Defect Repair. Genes 2022, 13, 755. [Google Scholar] [CrossRef] [PubMed]
- Ahn, W.B.; Lee, Y.B.; Ji, Y.-H.; Moon, K.-S.; Jang, H.-S.; Kang, S.-W. Decellularized Human Adipose Tissue as an Alternative Graft Material for Bone Regeneration. Tissue Eng. Regen. Med. 2022, 19, 1089–1098. [Google Scholar] [CrossRef] [PubMed]
- Amirazad, H.; Dadashpour, M.; Zarghami, N. Application of decellularized bone matrix as a bioscaffold in bone tissue engineering. J. Biol. Eng. 2022, 16, 1. [Google Scholar] [CrossRef]
- Lee, J.H.; Yi, G.S.; Lee, J.W.; Kim, D.J. Physicochemical characterization of porcine bone-derived grafting material and comparison with bovine xenografts for dental applications. J. Periodontal Implant. Sci. 2017, 47, 388. [Google Scholar] [CrossRef]
- Luo, L.; Li, S.; Ji, M.; Ding, Z.; Yan, Y.; Yin, J.; Xiong, Y. Preparation of a novel bovine cancellous bone/poly-amino acid composite with low immunogenicity, proper strength, and cytocompatibility in vitro. J. Biomed. Mater. Res. Part A 2021, 109, 1490–1501. [Google Scholar] [CrossRef]
- Kakabadze, A.; Mardaleishvili, K.; Loladze, G.; Karalashvili, L.; Chutkerashvili, G.; Chakhunashvili, D.; Kakabadze, Z. Reconstruction of mandibular defects with autogenous bone and decellularized bovine bone grafts with freeze-dried bone marrow stem cell paracrine factors. Oncol. Lett. 2017, 13, 1811–1818. [Google Scholar] [CrossRef]
- Rössner, G.E.; Costeur, L.; Scheyer, T.M. Antiquity and fundamental processes of the antler cycle in Cervidae (Mammalia). Die Naturwissenschaften 2020, 108, 3. [Google Scholar] [CrossRef]
- Goss, R.J. Tumor-like growth of antlers in castrated fallow deer: An electron microscopic study. Scanning Microsc. 1990, 4, 715–720, Discussion 720–711. [Google Scholar] [CrossRef]
- Li, C.; Zhao, H.; Liu, Z.; McMahon, C. Deer antler—A novel model for studying organ regeneration in mammals. Int. J. Biochem. Cell Biol. 2014, 56, 111–122. [Google Scholar] [CrossRef] [PubMed]
- Goss, R.J. Photoperiodic control of antler cycles in deer. III. Decreasing versus increasing day lengths. J. Exp. Zool. 1976, 197, 307–312. [Google Scholar] [CrossRef]
- Launey, M.E.; Chen, P.Y.; McKittrick, J.; Ritchie, R.O. Mechanistic aspects of the fracture toughness of elk antler bone. Acta Biomater. 2010, 6, 1505–1514. [Google Scholar] [CrossRef]
- Currey, J.D.; Landete-Castillejos, T.; Estevez, J.; Ceacero, F.; Olguin, A.; Garcia, A.; Gallego, L. The mechanical properties of red deer antler bone when used in fighting. J. Exp. Biol. 2009, 212, 3985–3993. [Google Scholar] [CrossRef]
- He, Y.; Hasan, I.; Keilig, L.; Fischer, D.; Ziegler, L.; Abboud, M.; Wahl, G.; Bourauel, C. Biomechanical characteristics of immediately loaded and osseointegration dental implants inserted into Sika deer antler. Med. Eng. Phys. 2018, 59, 8–14. [Google Scholar] [CrossRef] [PubMed]
- He, Y.; Hasan, I.; Keilig, L.; Fischer, D.; Ziegler, L.; Abboud, M.; Wahl, G.; Bourauel, C. Numerical investigation of bone remodelling around immediately loaded dental implants using sika deer (Cervus nippon) antlers as implant bed. Comput. Methods Biomech. Biomed. Eng. 2018, 21, 359–369. [Google Scholar] [CrossRef]
- Peric, M.; Dumic-Cule, I.; Grcevic, D.; Matijasic, M.; Verbanac, D.; Paul, R.; Grgurevic, L.; Trkulja, V.; Bagi, C.M.; Vukicevic, S. The rational use of animal models in the evaluation of novel bone regenerative therapies. Bone 2015, 70, 73–86. [Google Scholar] [CrossRef]
- Li, X.; Feng, Q.; Liu, X.; Dong, W.; Cui, F. Collagen-based implants reinforced by chitin fibres in a goat shank bone defect model. Biomaterials 2006, 27, 1917–1923. [Google Scholar] [CrossRef]
- Kargozar, S.; Lotfibakhshaiesh, N.; Ai, J.; Mozafari, M.; Brouki Milan, P.; Hamzehlou, S.; Barati, M.; Baino, F.; Hill, R.G.; Joghataei, M.T. Strontium- and cobalt-substituted bioactive glasses seeded with human umbilical cord perivascular cells to promote bone regeneration via enhanced osteogenic and angiogenic activities. Acta Biomater. 2017, 58, 502–514. [Google Scholar] [CrossRef]
- McGovern, J.A.; Griffin, M.; Hutmacher, D.W. Animal models for bone tissue engineering and modelling disease. Dis. Models Mech. 2018, 11, dmm033084. [Google Scholar] [CrossRef]
- GB/T 16886.1–2011; Translated English PDF of Chinese Standard GB/T16886. 1-2011: Biological Evaluation of Medical Devices-Part 1: Evaluation and Testing within a Risk-Management Process (GBT16886. 1-2011; GBT 16886.1-2011). Standardization Administration of the People’s Republic of China: Beijing, China, 2014.
- Stang, K.; Krajewski, S.; Neumann, B.; Kurz, J.; Post, M.; Stoppelkamp, S.; Fennrich, S.; Avci-Adali, M.; Armbruster, D.; Schlensak, C.; et al. Hemocompatibility testing according to ISO 10993-4: Discrimination between pyrogen- and device-induced hemostatic activation. Mater. Sci. Eng. C 2014, 42, 422–428. [Google Scholar] [CrossRef]
- Hussey, G.S.; Dziki, J.L.; Badylak, S.F. Extracellular matrix-based materials for regenerative medicine. Nat. Rev. Mater. 2018, 3, 159–173. [Google Scholar] [CrossRef]
- Hillebrandt, K.H.; Everwien, H.; Haep, N.; Keshi, E.; Pratschke, J.; Sauer, I.M. Strategies based on organ decellularization and recellularization. Transpl. Int. 2019, 32, 571–585. [Google Scholar] [CrossRef]
- Carvalho, M.S.; Cabral, J.M.S.; da Silva, C.L.; Vashishth, D. Bone Matrix Non-Collagenous Proteins in Tissue Engineering: Creating New Bone by Mimicking the Extracellular Matrix. Polymers 2021, 13, 1095. [Google Scholar] [CrossRef] [PubMed]
- Keane, T.J.; Swinehart, I.T.; Badylak, S.F. Methods of tissue decellularization used for preparation of biologic scaffolds and in vivo relevance. Methods 2015, 84, 25–34. [Google Scholar] [CrossRef]
- Gilpin, A.; Yang, Y. Decellularization Strategies for Regenerative Medicine: From Processing Techniques to Applications. BioMed Res. Int. 2017, 2017, 9831534. [Google Scholar] [CrossRef]
- He, J.; Li, Z.; Yu, T.; Wang, W.; Tao, M.; Ma, Y.; Wang, S.; Fan, J.; Tian, X.; Wang, X.; et al. Preparation and evaluation of acellular sheep periostea for guided bone regeneration. J. Biomed. Mater. Res. Part A 2020, 108, 19–29. [Google Scholar] [CrossRef]
- Crapo, P.M.; Gilbert, T.W.; Badylak, S.F. An overview of tissue and whole organ decellularization processes. Biomaterials 2011, 32, 3233–3243. [Google Scholar] [CrossRef] [PubMed]
- Norbertczak, H.T.; Fermor, H.L.; Edwards, J.H.; Rooney, P.; Ingham, E.; Herbert, A. Decellularised human bone allograft from different anatomical sites as a basis for functionally stratified repair material for bone defects. J. Mech. Behav. Biomed Mater. 2022, 125, 104965. [Google Scholar] [CrossRef] [PubMed]
- Malagón-Escandón, A.; Hautefeuille, M.; Jimenez-Díaz, E.; Arenas-Alatorre, J.; Saniger, J.M.; Badillo-Ramírez, I.; Vazquez, N.; Piñón-Zarate, G.; Castell-Rodríguez, A. Three-Dimensional Porous Scaffolds Derived from Bovine Cancellous Bone Matrix Promote Osteoinduction, Osteoconduction, and Osteogenesis. Polymers 2021, 13, 4390. [Google Scholar] [CrossRef]
- Nakamura, N.; Kimura, T.; Nam, K.; Fujisato, T.; Iwata, H.; Tsuji, T.; Kishida, A. Induction of In Vivo Ectopic Hematopoiesis by a Three-Dimensional Structured Extracellular Matrix Derived from Decellularized Cancellous Bone. ACS Biomater. Sci. Eng. 2019, 5, 5669–5680. [Google Scholar] [CrossRef]
- Garreta, E.; Oria, R.; Tarantino, C.; Pla-Roca, M.; Prado, P.; Fernández-Avilés, F.; Campistol, J.M.; Samitier, J.; Montserrat, N. Tissue engineering by decellularization and 3D bioprinting. Mater. Today 2017, 20, 166–178. [Google Scholar] [CrossRef]
- Lee, D.J.; Diachina, S.; Lee, Y.T.; Zhao, L.; Zou, R.; Tang, N.; Han, H.; Chen, X.; Ko, C.-C. Decellularized bone matrix grafts for calvaria regeneration. J. Tissue Eng. 2016, 7, 2041731416680306. [Google Scholar] [CrossRef] [PubMed]
- Zhang, X.; Xu, M.; Song, L.; Wei, Y.; Lin, Y.; Liu, W.; Heng, B.C.; Peng, H.; Wang, Y.; Deng, X. Effects of compatibility of deproteinized antler cancellous bone with various bioactive factors on their osteogenic potential. Biomaterials 2013, 34, 9103–9114. [Google Scholar] [CrossRef] [PubMed]
- Saris, N.E.; Mervaala, E.; Karppanen, H.; Khawaja, J.A.; Lewenstam, A. Magnesium. An update on physiological, clinical and analytical aspects. Clin. Chim. Acta Int. J. Clin. Chem. 2000, 294, 1–26. [Google Scholar] [CrossRef] [PubMed]
- Erggelet, C.; Neumann, K.; Endres, M.; Haberstroh, K.; Sittinger, M.; Kaps, C.J.B. Regeneration of ovine articular cartilage defects by cell-free polymer-based implants. Biomaterials 2007, 28, 5570–5580. [Google Scholar] [CrossRef] [PubMed]
- Theocharis, A.D.; Skandalis, S.S.; Gialeli, C.; Karamanos, N.K. Extracellular matrix structure. Adv. Drug Deliv. Rev. 2016, 97, 4–27. [Google Scholar] [CrossRef]
- Gao, C.; Deng, Y.; Feng, P.; Mao, Z.; Li, P.; Yang, B.; Deng, J.; Cao, Y.; Shuai, C.; Peng, S. Current progress in bioactive ceramic scaffolds for bone repair and regeneration. Int. J. Mol. Sci. 2014, 15, 4714–4732. [Google Scholar] [CrossRef] [PubMed]
- Naleway, S.E.; Porter, M.M.; McKittrick, J.; Meyers, M.A. Structural Design Elements in Biological Materials: Application to Bioinspiration. Adv. Mater. 2015, 27, 5455–5476. [Google Scholar] [CrossRef]
- Zhang, C.; Hu, C.; Su, K.; Wang, K.; Du, X.; Xing, B.; Liu, X. The Integrative Analysis of Thrombospondin Family Genes in Pan-Cancer Reveals that THBS2 Facilitates Gastrointestinal Cancer Metastasis. J. Oncol. 2021, 2021, 4405491. [Google Scholar] [CrossRef]
- Zheng, X.; Suzuki, M.; Zhang, X.; Ichim, T.E.; Zhu, F.; Ling, H.; Shunnar, A.; Wang, M.H.; Garcia, B.; Inman, R.D.; et al. RNAi-mediated CD40-CD154 interruption promotes tolerance in autoimmune arthritis. Arthritis Res. Ther. 2010, 12, R13. [Google Scholar] [CrossRef]
- Zhang, W.; Ke, C.H.; Guo, H.H.; Xiao, L. Antler stem cells and their potential in wound healing and bone regeneration. World J. Stem Cells 2021, 13, 1049–1057. [Google Scholar] [CrossRef]










| Osteogenic Gene | Primer Sequence (5–3′) |
|---|---|
| ALP | Forward CCAGAAAGACACCTTGACTGTGG Reverse TCTTGTCCGTGTCGCTCACCAT |
| OCN | Forward GCAATAAGGTAGTGAACAGACTCC Reverse CCATAGATGCGTTTGTAGGCGG |
| OPN | Forward GCTTGGCTTATGGACTGAGGTC Reverse CCTTAGACTCACCGCTCTTCATG |
| Col I | Forward TGGAGAGAGCATGACCGATG Reverse GAGCCCTCGCTTCCGTACT |
| Runx2 | Forward CCTGAACTCTGCACCAAGTCCT Reverse TCATCTGGCTCAGATAGGAGGG |
| GAPDH | Forward CATGGCCTTCCGTGTTCCTA Reverse GTTGAAGTCGCAGGAGACAAC |
| Reaction Level | Evaluation Criteria |
|---|---|
| Non-toxic | Animals were in good general condition and showed no obvious signs of intoxication. |
| Mild toxicity | Experimental animals moved normally, but exhibited mild respiratory distress and signs of abdominal irritation. |
| Obvious poisoning | Experimental animals showed difficulty in breathing, severe abdominal irritation, reduced activity and food intake, and mild weight loss. |
| Severe intoxication | Experimental animals exhibited cyanosis, tremors, respiratory failure, etc., and significant weight loss. |
| Death | Experimental animals died after injection. |
| Elements | Chemical Compositions (wt%) | |||
|---|---|---|---|---|
| NACB | DACB | XKC | TCP | |
| C | 7.21 ± 1.74 | 9.88 ± 2.74 | 3.26 ± 0.74 | 0.36 ± 1.74 |
| O | 48.11 ± 9.74 | 55.14 ± 12.74 | 48.55 ± 7.74 | 43.75 |
| Na | 1.16 ± 0.39 | 1.65 ± 0.63 | 0.70 ± 0.09 | —— |
| P | 13.73 ± 3.59 | 11.20 ± 2.42 | 15.41 ± 4.34 | 19.27 |
| Ca | 27.65 ± 6.69 | 20.10 ± 5.46 | 30.25 ± 8.49 | 36.62 |
| Mg | 0.45 ± 0.13 | 0.58 ± 0.21 | —— | —— |
| Ca/P | 2.02 | 1.78 | 1.96 | 1.90 |
Disclaimer/Publisher’s Note: The statements, opinions and data contained in all publications are solely those of the individual author(s) and contributor(s) and not of MDPI and/or the editor(s). MDPI and/or the editor(s) disclaim responsibility for any injury to people or property resulting from any ideas, methods, instructions or products referred to in the content. |
© 2024 by the authors. Licensee MDPI, Basel, Switzerland. This article is an open access article distributed under the terms and conditions of the Creative Commons Attribution (CC BY) license (https://creativecommons.org/licenses/by/4.0/).
Share and Cite
Wang, Y.; Zong, Y.; Chen, W.; Diao, N.; Zhao, Q.; Li, C.; Jia, B.; Zhang, M.; Li, J.; Zhao, Y.; et al. Decellularized Antler Cancellous Bone Matrix Material Can Serve as Potential Bone Tissue Scaffold. Biomolecules 2024, 14, 907. https://doi.org/10.3390/biom14080907
Wang Y, Zong Y, Chen W, Diao N, Zhao Q, Li C, Jia B, Zhang M, Li J, Zhao Y, et al. Decellularized Antler Cancellous Bone Matrix Material Can Serve as Potential Bone Tissue Scaffold. Biomolecules. 2024; 14(8):907. https://doi.org/10.3390/biom14080907
Chicago/Turabian StyleWang, Yusu, Ying Zong, Weijia Chen, Naichao Diao, Quanmin Zhao, Chunyi Li, Boyin Jia, Miao Zhang, Jianming Li, Yan Zhao, and et al. 2024. "Decellularized Antler Cancellous Bone Matrix Material Can Serve as Potential Bone Tissue Scaffold" Biomolecules 14, no. 8: 907. https://doi.org/10.3390/biom14080907
APA StyleWang, Y., Zong, Y., Chen, W., Diao, N., Zhao, Q., Li, C., Jia, B., Zhang, M., Li, J., Zhao, Y., Du, R., & He, Z. (2024). Decellularized Antler Cancellous Bone Matrix Material Can Serve as Potential Bone Tissue Scaffold. Biomolecules, 14(8), 907. https://doi.org/10.3390/biom14080907

