Effects of the PARP Inhibitor Olaparib on the Response of Human Peripheral Blood Leukocytes to Bacterial Challenge or Oxidative Stress
Abstract
:1. Introduction
2. Materials and Methods
2.1. Healthy Volunteers and PBMC Preparations
2.2. Olaparib, PJ-34, LPS, Gram-Negative, and Gram-Positive Bacteria
2.3. Cell Viability Assays
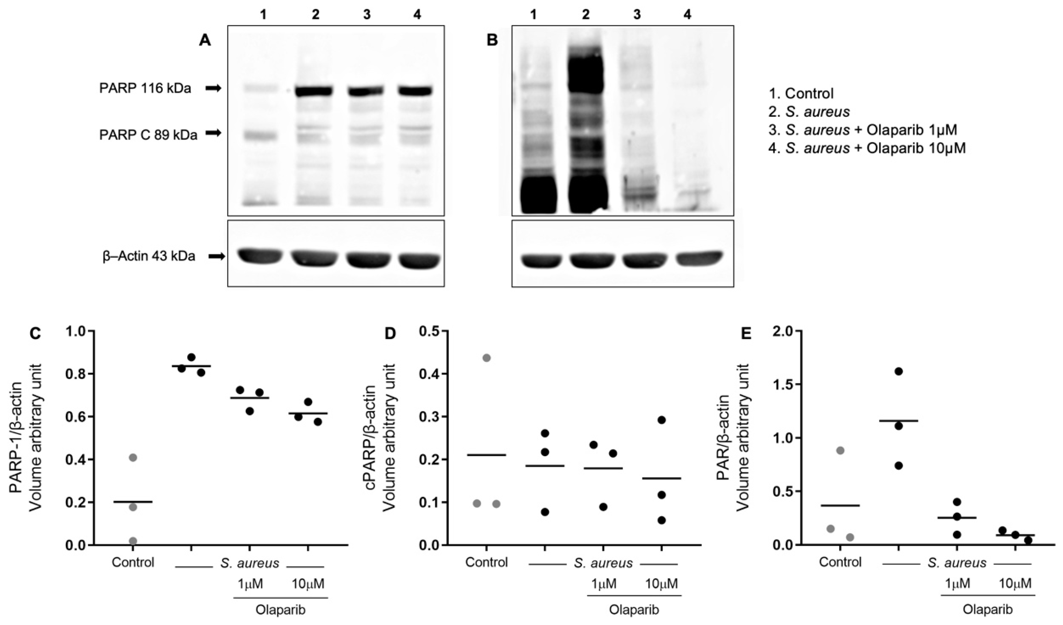
2.4. PARP1 Detection and Detection of PARylation
2.5. Detection of Cellular NAD+ Levels in PBMCs
2.6. Detection of Cellular ATP Levels in PBMCs
2.7. Mitochondrial Membrane Potential (MMP) Measurement
2.8. PBMC Culture and Measurement of Secreted Cytokines
2.9. Measurement of ROS and NO Production
2.10. Measurement of Phagocytosis
2.11. Measurement of Bacterial Killing
2.12. Flow Cytometry
2.13. Statistical Analysis
3. Results
3.1. Clinically Relevant Concentrations of Olaparib Do Not Alter Human Lymphocyte Viability
3.2. Olaparib Inhibits Protein PARylation in Human PBMCs in a Concentration-Dependent Manner
3.3. NAD+ and ATP Depletion Is Prevented, and H2O2-Induced Mitochondrial Membrane Depolarization Is Attenuated by Olaparib in PBMCs Subjected to Oxidative Stress
3.4. Olaparib Modulates Cytokine Secretion in Human PBMCs Stimulated with LPS
3.5. Olaparib Does Not Interfere with Pathogen Eradication by Human Leukocytes
4. Discussion
5. Conclusions
Author Contributions
Funding
Institutional Review Board Statement
Informed Consent Statement
Data Availability Statement
Conflicts of Interest
References
- Curtin, N.J.; Szabo, C. Poly(ADP-ribose) polymerase inhibition: Past, present and future. Nat. Rev. Drug Discov. 2020, 19, 711–736. [Google Scholar] [CrossRef]
- Hegedűs, C.; Virág, L. Inputs and outputs of poly(ADP-ribosyl)ation: Relevance to oxidative stress. Redox. Biol. 2014, 2, 978–982. [Google Scholar] [CrossRef] [Green Version]
- Katsyuba, E.; Romani, M.; Hofer, D.; Auwerx, J. NAD+ homeostasis in health and disease. Nat. Metab. 2020, 2, 9–31. [Google Scholar]
- Santos, S.S.; Brunialti, M.K.C.; Soriano, F.G.; Szabo, C.; Salomão, R. Repurposing of clinically approved poly-(ADP-ribose) polymerase inhibitors for the therapy of sepsis. Shock 2021, 56, 901–909. [Google Scholar] [CrossRef]
- Krukenberg, K.A.; Kim, S.; Tan, E.S.; Maliga, Z.; Mitchison, T.J. Extracellular poly(ADP-ribose) is a pro-inflammatory signal for macrophages. Chem. Biol. 2015, 22, 446–452. [Google Scholar] [CrossRef] [Green Version]
- Fehr, A.R.; Singh, S.A.; Kerr, C.M.; Mukai, S.; Higashi, H.; Aikawa, M. The impact of PARPs and ADP-ribosylation on inflammation and host-pathogen interactions. Genes Dev. 2020, 34, 341–359. [Google Scholar] [CrossRef]
- Singer, M.; Deutschman, C.S.; Seymour, C.W.; Shankar-Hari, M.; Annane, D.; Bauer, M.; Bellomo, R.; Bernard, G.R.; Chiche, J.D.; Coopersmith, C.M.; et al. The third international consensus definitions for sepsis and septic shock (Sepsis-3). JAMA 2016, 315, 801–810. [Google Scholar] [CrossRef]
- Chiu, C.; Legrand, M. Epidemiology of sepsis and septic shock. Curr. Opin. Anaesthesiol. 2021, 34, 71–76. [Google Scholar] [CrossRef]
- Machado, F.R.; Cavalcanti, A.B.; Bozza, F.A.; Ferreira, E.M.; Angotti Carrara, F.S.; Sousa, J.L.; Caixeta, N.; Salomao, R.; Angus, D.C.; SPREAD Investigators. Latin American Sepsis Institute Network: The epidemiology of sepsis in Brazilian intensive care units (the Sepsis PREvalence Assessment Database, SPREAD): An observational study. Lancet Infect. Dis. 2017, 17, 1180–1189. [Google Scholar] [CrossRef]
- Schmid, A.; Pugin, J.; Chevrolet, J.C.; Marsch, S.; Ludwig, S.; Stocker, R.; Finnern, H. Burden of illness imposed by severe sepsis in Switzerland. Swiss Med. Wkly. 2004, 134, 97–102. [Google Scholar]
- Salomão, R.; Ferreira, B.L.; Salomão, M.C.; Santos, S.S.; Azevedo, L.C.P.; Brunialti, M.K.C. Sepsis: Evolving concepts and challenges. Braz. J. Med. Biol. Res. 2019, 52, e8595. [Google Scholar] [CrossRef]
- Pacher, P.; Szabo, C. Role of the peroxynitrite-poly(ADP-ribose) polymerase pathway in human disease. Am. J. Pathol. 2008, 173, 2–13. [Google Scholar] [CrossRef] [PubMed] [Green Version]
- Berger, N.A.; Besson, V.C.; Boulares, A.H.; Bürkle, A.; Chiarugi, A.; Clark, R.S.; Curtin, N.J.; Cuzzocrea, S.; Dawson, T.M.; Dawson, V.L.; et al. Opportunities for the repurposing of PARP inhibitors for the therapy of non-oncological diseases. Br. J. Pharmacol. 2018, 175, 192–222. [Google Scholar] [CrossRef] [PubMed]
- Szabó, C.; Salzman, A.L.; Ischiropoulos, H. Peroxynitrite-mediated oxidation of dihydrorhodamine 123 occurs in early stages of endotoxic and hemorrhagic shock and ischemia-reperfusion injury. FEBS Lett. 1995, 372, 229–232. [Google Scholar] [CrossRef] [Green Version]
- Martins, P.S.; Brunialti, M.K.; Martos, L.S.; Machado, F.R.; Assuncao, M.S.; Blecher, S.; Salomão, R. Expression of cell surface receptors and oxidative metabolism modulation in the clinical continuum of sepsis. Crit. Care 2008, 12, R25. [Google Scholar] [CrossRef] [Green Version]
- Szabó, C.; Módis, K. Pathophysiological roles of peroxynitrite in circulatory shock. Shock 2010, 34 (Suppl. S1), 4–14. [Google Scholar] [CrossRef] [Green Version]
- Maybauer, D.M.; Maybauer, M.O.; Szabó, C.; Cox, R.A.; Westphal, M.; Kiss, L.; Horvath, E.M.; Traber, L.D.; Hawkins, H.K.; Salzman, A.L.; et al. The peroxynitrite catalyst WW-85 improves pulmonary function in ovine septic shock. Shock 2011, 35, 148–155. [Google Scholar] [CrossRef] [Green Version]
- Santos, S.S.; Brunialti, M.K.; Rigato, O.; Machado, F.R.; Silva, E.; Salomao, R. Generation of nitric oxide and reactive oxygen species by neutrophils and monocytes from septic patients and association with outcomes. Shock 2012, 38, 18–23. [Google Scholar] [CrossRef]
- Santos, S.S.; Carmo, A.M.; Brunialti, M.K.; Machado, F.R.; Azevedo, L.C.; Assunção, M.; Trevelin, S.C.; Cunha, F.Q.; Salomao, R. Modulation of monocytes in septic patients: Preserved phagocytic activity, increased ROS and NO generation, and decreased production of inflammatory cytokines. Intensive Care Med. Exp. 2016, 4, 5. [Google Scholar] [CrossRef] [Green Version]
- Szabó, C.; Zingarelli, B.; Salzman, A.L. Role of poly-ADP ribosyltransferase activation in the vascular contractile and energetic failure elicited by exogenous and endogenous nitric oxide and peroxynitrite. Circ. Res. 1996, 78, 1051–1063. [Google Scholar] [CrossRef]
- Ahmad, A.; Vieira, J.C.; de Mello, A.H.; de Lima, T.M.; Ariga, S.K.; Barbeiro, D.F.; Barbeiro, H.V.; Szczesny, B.; Törö, G.; Druzhyna, N.; et al. The PARP inhibitor olaparib exerts beneficial effects in mice subjected to cecal ligature and puncture and in cells subjected to oxidative stress without impairing DNA integrity: A potential opportunity for repurposing a clinically used oncological drug for the experimental therapy of sepsis. Pharmacol. Res. 2019, 145, 104263. [Google Scholar] [PubMed] [Green Version]
- Bartha, E.; Asmussen, S.; Olah, G.; Rehberg, S.W.; Yamamoto, Y.; Traber, D.L.; Szabo, C. Burn and smoke injury activates poly(ADP-ribose)polymerase in circulating leukocytes. Shock 2011, 36, 144–148. [Google Scholar] [CrossRef] [PubMed] [Green Version]
- Soriano, F.G.; Nogueira, A.C.; Caldini, E.G.; Lins, M.H.; Teixeira, A.C.; Cappi, S.B.; Lotufo, P.A.; Bernik, M.M.; Zsengellér, Z.; Chen, M.; et al. Potential role of poly(adenosine 5′-diphosphate-ribose) polymerase activation in the pathogenesis of myocardial contractile dysfunction associated with human septic shock. Crit. Care Med. 2006, 34, 1073–1079. [Google Scholar] [CrossRef] [PubMed]
- Oláh, G.; Finnerty, C.C.; Sbrana, E.; Elijah, I.; Gerö, D.; Herndon, D.N.; Szabó, C. Increased poly(ADP-ribosyl)ation in skeletal muscle tissue of pediatric patients with severe burn injury: Prevention by propranolol treatment. Shock 2011, 36, 18–23. [Google Scholar] [CrossRef] [PubMed] [Green Version]
- Rolfo, C.; de Vos-Geelen, J.; Isambert, N.; Molife, L.R.; Schellens, J.H.M.; De Grève, J.; Dirix, L.; Grundtvig-Sørensen, P.; Jerusalem, G.; Leunen, K.; et al. Pharmacokinetics and safety of olaparib in patients with advanced solid tumours and renal impairment. Clin. Pharmacokinet. 2019, 58, 1165–1174. [Google Scholar] [CrossRef]
- Choudhuri, S.; Bhavnani, S.K.; Zhang, W.; Botelli, V.; Barrientos, N.; Iñiguez, F.; Zago, M.P.; Garg, N.J. Prognostic performance of peripheral blood biomarkers in identifying seropositive individuals at risk of developing clinically symptomatic Chagas cardiomyopathy. Microbiol. Spectr. 2021, 39, e0036421. [Google Scholar] [CrossRef]
- Liaudet, L.; Pacher, P.; Mabley, J.G.; Virág, L.; Soriano, F.G.; Haskó, G.; Szabó, C. Activation of poly(ADP-ribose) polymerase-1 is a central mechanism of lipopolysaccharide-induced acute lung inflammation. Am. J. Respir. Crit. Care Med. 2002, 165, 372–377. [Google Scholar] [CrossRef]
- Shimoda, K.; Murakami, K.; Enkhbaatar, P.; Traber, L.D.; Cox, R.A.; Hawkins, H.K.; Schmalstieg, F.C.; Komjati, K.; Mabley, J.G.; Szabo, C.; et al. Effect of poly(ADP ribose) synthetase inhibition on burn and smoke inhalation injury in sheep. Am. J. Physiol. Lung Cell. Mol. Physiol. 2003, 285, L240–L249. [Google Scholar] [CrossRef] [Green Version]
- Szabo, C.; Martins, V.; Liaudet, L. Poly(ADP-ribose) polymerase inhibition in acute lung injury. A reemerging concept. Am. J. Respir. Cell. Mol. Biol. 2020, 63, 571–590. [Google Scholar] [CrossRef]
- Molnár, A.; Tóth, A.; Bagi, Z.; Papp, Z.; Edes, I.; Vaszily, M.; Galajda, Z.; Papp, J.G.; Varró, A.; Szüts, V.; et al. Activation of the poly(ADP-ribose) polymerase pathway in human heart failure. Mol. Med. 2006, 12, 143–152. [Google Scholar] [CrossRef]
- Tóth-Zsámboki, E.; Horváth, E.; Vargova, K.; Pankotai, E.; Murthy, K.; Zsengellér, Z.; Bárány, T.; Pék, T.; Fekete, K.; Kiss, R.G.; et al. Activation of poly(ADP-ribose) polymerase by myocardial ischemia and coronary reperfusion in human circulating leukocytes. Mol. Med. 2006, 12, 221–228. [Google Scholar] [CrossRef] [PubMed]
- Li, L.; Hu, B.; Gong, S.; Yu, Y.; Dai, H.; Yan, J. Association of poly(ADP-ribose) polymerase activity in circulating mononuclear cells with myocardial dysfunction in patients with septic shock. Chin. Med. J. 2014, 127, 2775–2778. [Google Scholar] [PubMed]
- Gariani, K.; Ryu, D.; Menzies, K.J.; Yi, H.S.; Stein, S.; Zhang, H.; Perino, A.; Lemos, V.; Katsyuba, E.; Jha, P.; et al. Inhibiting poly ADP-ribosylation increases fatty acid oxidation and protects against fatty liver disease. J. Hepatol. 2017, 66, 132–141. [Google Scholar] [CrossRef] [PubMed] [Green Version]
- Szabó, C.; Zingarelli, B.; O’Connor, M.; Salzman, A.L. DNA strand breakage, activation of poly (ADP-ribose) synthetase, and cellular energy depletion are involved in the cytotoxicity of macrophages and smooth muscle cells exposed to peroxynitrite. Proc. Natl. Acad. Sci. USA 1996, 93, 1753–1758. [Google Scholar] [CrossRef] [PubMed] [Green Version]
- Szabó, C.; Virág, L.; Cuzzocrea, S.; Scott, G.S.; Hake, P.; O’Connor, M.P.; Zingarelli, B.; Salzman, A.; Kun, E. Protection against peroxynitrite-induced fibroblast injury and arthritis development by inhibition of poly(ADP-ribose) synthase. Proc. Natl. Acad. Sci. USA 1998, 95, 3867–3872. [Google Scholar] [CrossRef] [Green Version]
- Jagtap, P.; Soriano, F.G.; Virág, L.; Liaudet, L.; Mabley, J.; Szabó, E.; Haskó, G.; Marton, A.; Lorigados, C.B.; Gallyas, F., Jr.; et al. Novel phenanthridinone inhibitors of poly (adenosine 5’-diphosphate-ribose) synthetase: Potent cytoprotective and antishock agents. Crit. Care Med. 2002, 30, 1071–1082. [Google Scholar] [CrossRef] [PubMed]
- Tarantini, S.; Yabluchanskiy, A.; Csipo, T.; Fulop, G.; Kiss, T.; Balasubramanian, P.; DelFavero, J.; Ahire, C.; Ungvari, A.; Nyúl-Tóth, Á.; et al. Treatment with the poly(ADP-ribose) polymerase inhibitor PJ-34 improves cerebromicrovascular endothelial function, neurovascular coupling responses and cognitive performance in aged mice, supporting the NAD+ depletion hypothesis of neurovascular aging. Geroscience 2019, 41, 533–542. [Google Scholar] [CrossRef]
- Virág, L.; Scott, G.S.; Cuzzocrea, S.; Marmer, D.; Salzman, A.L.; Szabó, C. Peroxynitrite-induced thymocyte apoptosis: The role of caspases and poly (ADP-ribose) synthetase (PARS) activation. Immunology 1998, 94, 345–355. [Google Scholar] [CrossRef]
- Virág, L.; Salzman, A.L.; Szabó, C. Poly(ADP-ribose) synthetase activation mediates mitochondrial injury during oxidant-induced cell death. J. Immunol. 1998, 161, 3753–3759. [Google Scholar]
- Ha, H.C.; Snyder, S.H. Poly(ADP-ribose) polymerase is a mediator of necrotic cell death by ATP depletion. Proc. Natl. Acad. Sci. USA 1999, 96, 13978–13982. [Google Scholar] [CrossRef] [Green Version]
- Andrabi, S.A.; Umanah, G.K.; Chang, C.; Stevens, D.A.; Karuppagounder, S.S.; Gagné, J.P.; Poirier, G.G.; Dawson, V.L.; Dawson, T.M. Poly(ADP-ribose) polymerase-dependent energy depletion occurs through inhibition of glycolysis. Proc. Natl. Acad. Sci. USA 2014, 111, 10209–10214. [Google Scholar] [CrossRef] [PubMed] [Green Version]
- Song, H.; Yoon, S.P.; Kim, J. Poly(ADP-ribose) polymerase regulates glycolytic activity in kidney proximal tubule epithelial cells. Anat. Cell Biol. 2016, 49, 79–87. [Google Scholar] [CrossRef] [PubMed] [Green Version]
- Cameron, A.M.; Castoldi, A.; Sanin, D.E.; Flachsmann, L.J.; Field, C.S.; Puleston, D.J.; Kyle, R.L.; Patterson, A.E.; Hässler, F.; Buescher, J.M.; et al. Inflammatory macrophage dependence on NAD+ salvage is a consequence of reactive oxygen species-mediated DNA damage. Nat. Immunol. 2019, 20, 420–432. [Google Scholar] [CrossRef] [PubMed]
- Wasyluk, W.; Zwolak, A. PARP inhibitors: An innovative approach to the treatment of inflammation and metabolic disorders in sepsis. J. Inflamm. Res. 2021, 14, 1827–1844. [Google Scholar] [CrossRef]
- Ahmad, A.; Haas De Mello, A.; Szczesny, B.; Törö, G.; Marcatti, M.; Druzhyna, N.; Liaudet, L.; Tarantini, S.; Salomao, R.; Garcia Soriano, F.; et al. Effects of the poly(ADP-ribose) polymerase inhibitor olaparib in cerulein-induced pancreatitis. Shock 2020, 53, 653–665. [Google Scholar] [CrossRef]
- Protti, A.; Singer, M. Bench-to-bedside review: Potential strategies to protect or reverse mitochondrial dysfunction in sepsis-induced organ failure. Crit. Care 2006, 10, 228. [Google Scholar] [CrossRef] [Green Version]
- Nucci, L.A.; Santos, S.S.; Brunialti, M.K.; Sharma, N.K.; Machado, F.R.; Assunção, M.; de Azevedo, L.C.; Salomao, R. Expression of genes belonging to the interacting TLR cascades, NADPH-oxidase and mitochondrial oxidative phosphorylation in septic patients. PLoS ONE 2017, 12, e0172024. [Google Scholar] [CrossRef]
- Wen, J.J.; Yin, Y.W.; Garg, N.J. PARP1 depletion improves mitochondrial and heart function in Chagas disease: Effects on POLG dependent mtDNA maintenance. PLoS Pathog. 2018, 14, e1007065. [Google Scholar] [CrossRef] [Green Version]
- Hassa, P.O.; Hottiger, M.O. The functional role of poly(ADP-ribose)polymerase 1 as novel coactivator of NF-κB in inflammatory disorders. Cell. Mol. Life Sci. 2002, 59, 1534–1553. [Google Scholar] [CrossRef]
- Bohio, A.A.; Sattout, A.; Wang, R.; Wang, K.; Sah, R.K.; Guo, X.; Zeng, X.; Ke, Y.; Boldogh, I.; Ba, X. c-Abl-mediated tyrosine phosphorylation of PARP1 is crucial for expression of proinflammatory genes. J. Immunol. 2019, 203, 1521–1531. [Google Scholar] [CrossRef] [Green Version]
- Ahmad, A.; Olah, G.; Herndon, D.N.; Szabo, C. The clinically used PARP inhibitor olaparib improves organ function, suppresses inflammatory responses and accelerates wound healing in a murine model of third-degree burn injury. Br. J. Pharmacol. 2018, 175, 232–245. [Google Scholar] [CrossRef] [PubMed] [Green Version]
- Sahu, B.; Narota, A.; Naura, A.S. Pharmacological inhibition of poly (ADP-ribose) polymerase by olaparib, prevents acute lung injury associated cognitive deficits potentially through suppression of inflammatory response. Eur. J. Pharmacol. 2020, 877, 173091. [Google Scholar] [CrossRef] [PubMed]
- Kapoor, K.; Singla, E.; Sahu, B.; Naura, A.S. PARP inhibitor, olaparib ameliorates acute lung and kidney injury upon intratracheal administration of LPS in mice. Mol. Cell. Biochem. 2015, 400, 153–162. [Google Scholar] [CrossRef] [PubMed]
- Ghonim, M.A.; Pyakurel, K.; Ibba, S.V.; Al-Khami, A.A.; Wang, J.; Rodriguez, P.; Rady, H.F.; El-Bahrawy, A.H.; Lammi, M.R.; Mansy, M.S.; et al. PARP inhibition by olaparib or gene knockout blocks asthma-like manifestation in mice by modulating CD4+ T cell function. J. Transl. Med. 2015, 13, 225. [Google Scholar] [CrossRef] [Green Version]
- Brunialti, M.K.; Martins, P.S.; Barbosa de Carvalho, H.; Machado, F.R.; Barbosa, L.M.; Salomao, R. TLR2, TLR4, CD14, CD11B, and CD11C expressions on monocytes surface and cytokine production in patients with sepsis, severe sepsis, and septic shock. Shock 2006, 25, 351–357. [Google Scholar] [CrossRef]
- Salomao, R.; Brunialti, M.K.; Rapozo, M.M.; Baggio-Zappia, G.L.; Galanos, C.; Freudenberg, M. Bacterial sensing, cell signaling, and modulation of the immune response during sepsis. Shock 2012, 38, 227–242. [Google Scholar] [CrossRef] [Green Version]





| Monocytes Median (Percentiles 25–75) | Neutrophils Median (Percentiles 25–75) | |
|---|---|---|
| ROS | 1020 (836–1466) | 693 (542–847) |
| Control | 2053 (1804–2522) | 8056 (7733–8586) |
| S. aureus | 2430 (1680–3168) | 9335 (6625–9806) |
| S. aureus + olaparib (0.1 µM) | 2376 (1651–3050) | 9635 (7528–10,122) |
| S. aureus + olaparib (1 µM) | 1899 (1688–2634) | 8147 (7021–1017) |
| S. aureus + olaparib (10 µM) | 1020 (836–1466) | 693 (542–847) |
| NO | 467 (390–564) | 448 (387–552) |
| Control | 660 (616–921) | 1066 (957–1288) |
| S. aureus | 722 (587–1151) | 1166 (976–1372) |
| S. aureus + olaparib (0.1 µM) | 726 (700–1137) | 1278 (1096–1446) |
| S. aureus + olaparib (1 µM) | 467 (390–564) | 448 (387–552) |
| S. aureus + olaparib (10 µM) | 808 (675–1272) | 1158 (1072–1696) |
Publisher’s Note: MDPI stays neutral with regard to jurisdictional claims in published maps and institutional affiliations. |
© 2022 by the authors. Licensee MDPI, Basel, Switzerland. This article is an open access article distributed under the terms and conditions of the Creative Commons Attribution (CC BY) license (https://creativecommons.org/licenses/by/4.0/).
Share and Cite
Santos, S.S.; Brunialti, M.K.C.; Rodrigues, L.d.O.C.P.; Liberatore, A.M.A.; Koh, I.H.J.; Martins, V.; Soriano, F.G.; Szabo, C.; Salomão, R. Effects of the PARP Inhibitor Olaparib on the Response of Human Peripheral Blood Leukocytes to Bacterial Challenge or Oxidative Stress. Biomolecules 2022, 12, 788. https://doi.org/10.3390/biom12060788
Santos SS, Brunialti MKC, Rodrigues LdOCP, Liberatore AMA, Koh IHJ, Martins V, Soriano FG, Szabo C, Salomão R. Effects of the PARP Inhibitor Olaparib on the Response of Human Peripheral Blood Leukocytes to Bacterial Challenge or Oxidative Stress. Biomolecules. 2022; 12(6):788. https://doi.org/10.3390/biom12060788
Chicago/Turabian StyleSantos, Sidneia Sousa, Milena Karina Coló Brunialti, Larissa de Oliveira Cavalcanti Peres Rodrigues, Ana Maria Alvim Liberatore, Ivan Hong Jun Koh, Vanessa Martins, Francisco Garcia Soriano, Csaba Szabo, and Reinaldo Salomão. 2022. "Effects of the PARP Inhibitor Olaparib on the Response of Human Peripheral Blood Leukocytes to Bacterial Challenge or Oxidative Stress" Biomolecules 12, no. 6: 788. https://doi.org/10.3390/biom12060788
APA StyleSantos, S. S., Brunialti, M. K. C., Rodrigues, L. d. O. C. P., Liberatore, A. M. A., Koh, I. H. J., Martins, V., Soriano, F. G., Szabo, C., & Salomão, R. (2022). Effects of the PARP Inhibitor Olaparib on the Response of Human Peripheral Blood Leukocytes to Bacterial Challenge or Oxidative Stress. Biomolecules, 12(6), 788. https://doi.org/10.3390/biom12060788

