Fibrin with Laminin-Nidogen Reduces Fibrosis and Improves Soft Palate Regeneration Following Palatal Injury
Abstract
1. Introduction
2. Materials and Methods
2.1. Animals
2.2. Fibrin Constructs
2.3. Surgical Wounding and Implantation
2.4. Immunohistology
2.5. Digital Imaging, Image Analysis and Quantification
2.6. Statistical Analysis
3. Results
3.1. Clinical Observations
3.2. Regenerative Effects of Fibrin Constructs Following Wounding
3.3. Effects of Fibrin Constructs on Muscle Regeneration Following Wounding
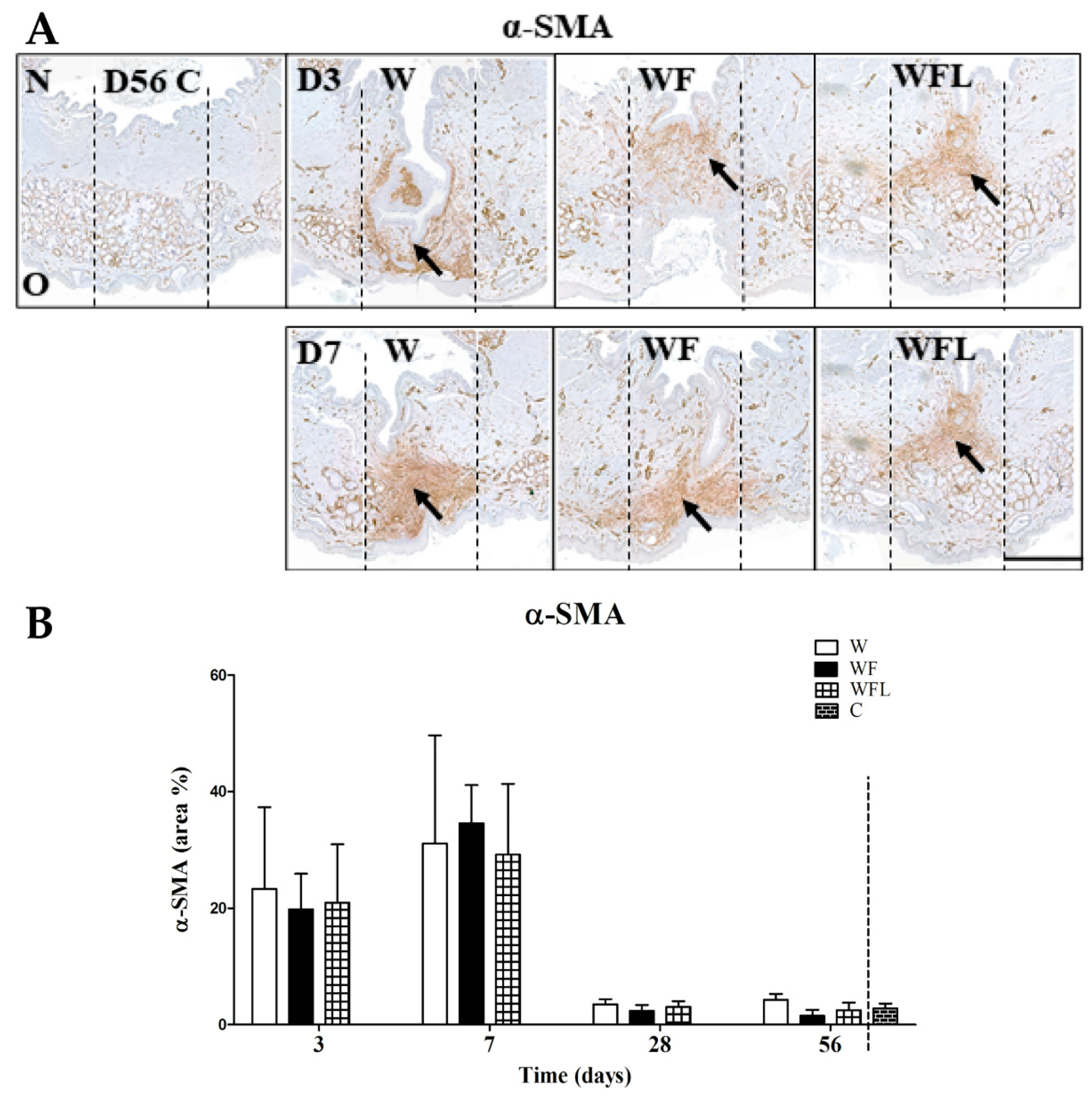
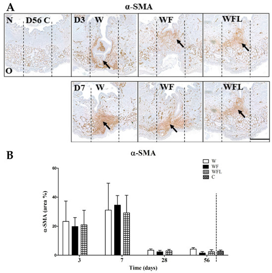
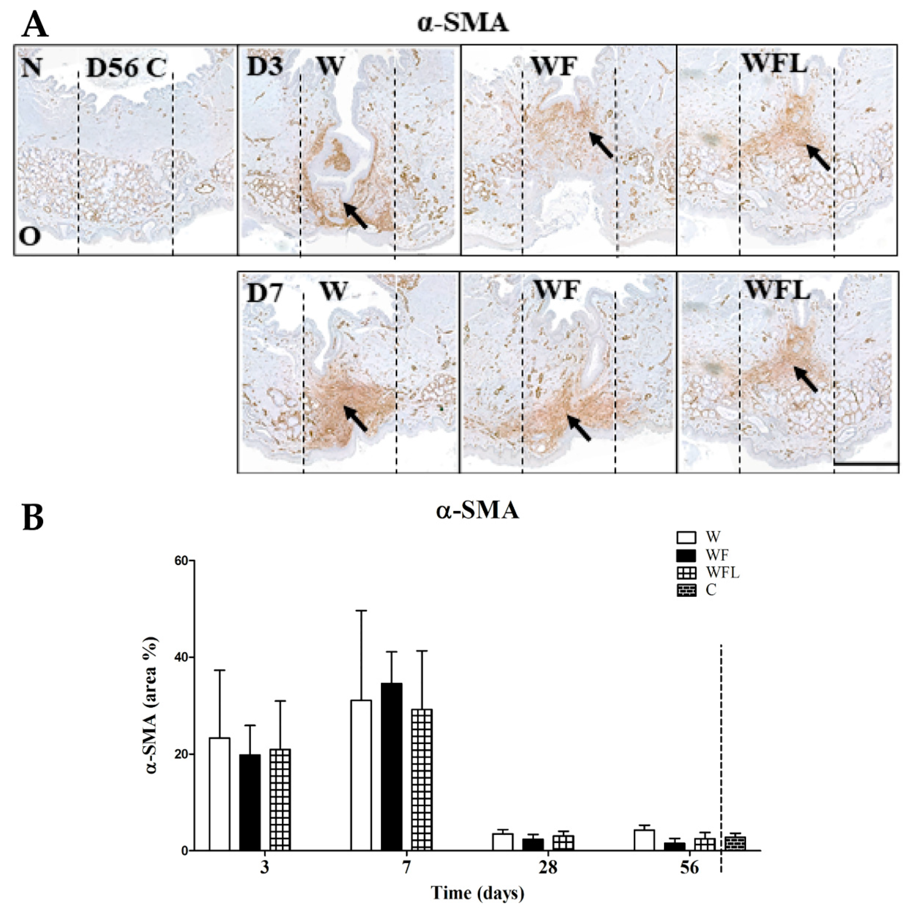
3.4. Effects of Fibrin Constructs on α-SMA Expression Following Injury
3.5. Effects of Fibrin Constructs on Satellite Cell Recruitment Following Wounding
4. Discussion
5. Conclusion
Author Contributions
Funding
Institutional Review Board Statement
Informed Consent Statement
Data Availability Statement
Acknowledgments
Conflicts of Interest
References
- Cobourne, M. The complex genetics of cleft lip and palate. Eur. J. Orthod. 2004, 26, 7–16. [Google Scholar] [CrossRef] [PubMed]
- Yilmaz, H.N.; Ozbilen, E.O.; Ustun, T.; Practice, I.P. The Prevalence of Cleft Lip and Palate Patients: A Single-Center Experience for 17 Years. Turk. J. Orthod. 2019, 32, 139–144. [Google Scholar] [CrossRef]
- Salazar, D.R.; Monroy, P.C.; Wagener, F.; Von den Hoff, J.W. Orofacial Muscles: Embryonic Development and Regeneration after Injury. J. Dent. Res. 2020, 99, 125–132. [Google Scholar] [CrossRef]
- Wehby, G.; Cassell, C.H. The impact of orofacial clefts on quality of life and healthcare use and costs. Oral Dis. 2010, 16, 3–10. [Google Scholar] [CrossRef]
- Andersson, E.-M.; Sandvik, L.; Åbyholm, F.; Semb, G. Clefts of the Secondary Palate Referred to the Oslo Cleft Team: Epidemiology and Cleft Severity in 994 Individuals. Cleft Palate Craniofacial J. 2010, 47, 335–342. [Google Scholar] [CrossRef]
- Monroy, P.L.C.; Grefte, S.; Kuijpers-Jagtman, A.M.; Wagener, F.A.; Von den Hoff, J.W. Strategies to Improve Regeneration of the Soft Palate Muscles After Cleft Palate Repair. Tissue Eng. Part B Rev. 2012, 18, 468–477. [Google Scholar] [CrossRef]
- Mercer, N.S.G.; Pigott, R.W. Assessment and surgical management of velopharyngeal dysfunction. In Management of Cleft Lip and Palate; Watson, A.C.H.S., Grunwell, P.D.A., Eds.; Whurr Publishers: London, UK, 2001; pp. 258–285. [Google Scholar]
- Wynn, T.A.; Vannella, K.M. Macrophages in Tissue Repair, Regeneration, and Fibrosis. Immunity 2016, 44, 450–462. [Google Scholar] [CrossRef]
- Yin, H.; Price, F.; Rudnicki, M. Satellite Cells and the Muscle Stem Cell Niche. Physiol. Rev. 2013, 93, 23–67. [Google Scholar] [CrossRef] [PubMed]
- Thomas, K.; Engler, A.; Meyer, G.A. Extracellular matrix regulation in the muscle satellite cell niche. Connect. Tissue Res. 2015, 56, 1–8. [Google Scholar] [CrossRef] [PubMed]
- Cescon, M.; Gattazzo, F.; Chen, P.; Bonaldo, P. Collagen VI at a glance. J. Cell Sci. 2015, 128, 3525–3531. [Google Scholar] [CrossRef] [PubMed]
- Sanes, J.R. The Basement Membrane/Basal Lamina of Skeletal Muscle. J. Biol. Chem. 2003, 278, 12601–12604. [Google Scholar] [CrossRef] [PubMed]
- Holmberg, J.; Durbeej, M. Laminin-211 in skeletal muscle function. Cell Adhes. Migr. 2013, 7, 111–121. [Google Scholar] [CrossRef] [PubMed]
- Grefte, S.; Adjobo-Hermans, M.; Versteeg, E.; Koopman, W.; Daamen, W. Impaired primary mouse myotube formation on crosslinked type I collagen films is enhanced by laminin and entactin. Acta Biomater. 2016, 30, 265–276. [Google Scholar] [CrossRef]
- Weisel, J.W.; Litvinov, R.I. Fibrin Formation, Structure and Properties. Subcell. Biochem. 2017, 82, 405–456. [Google Scholar] [CrossRef] [PubMed]
- Pavlovic, V.; Ciric, M.; Jovanovic, V.; Trandafilovic, M.; Stojanovic, P. Platelet-rich fibrin: Basics of biological actions and protocol modifications. Open Med. 2021, 16, 446–454. [Google Scholar] [CrossRef]
- Borie, E.; Oliví, D.G.; Orsi, I.A.; Garlet, K.; Weber, B.; Beltrán, V.; Fuentes, R. Platelet-rich fibrin application in dentistry: A literature review. Int. J. Clin. Exp. Med. 2015, 8, 7922–7929. [Google Scholar] [PubMed]
- Barsotti, M.C.; Felice, F.; Balbarini, A.; Di Stefano, R. Fibrin as a scaffold for cardiac tissue engineering. Biotechnol. Appl. Biochem. 2011, 58, 301–310. [Google Scholar] [CrossRef]
- Xiong, Q.; Hill, K.L.; Li, Q.; Suntharalingam, P.; Mansoor, A.; Wang, X.; Jameel, M.N.; Zhang, P.; Swingen, C.; Kaufman, D.; et al. A Fibrin Patch-Based Enhanced Delivery of Human Embryonic Stem Cell-Derived Vascular Cell Transplantation in a Porcine Model of Postinfarction Left Ventricular Remodeling. Stem Cells 2011, 29, 367–375. [Google Scholar] [CrossRef]
- Matthias, N.; Hunt, S.D.; Wu, J.; Lo, J.; Callahan, L.S.; Li, Y.; Huard, J.; Darabi, R. Volumetric muscle loss injury repair using in situ fibrin gel cast seeded with muscle-derived stem cells (MDSCs). Stem Cell Res. 2018, 27, 65–73. [Google Scholar] [CrossRef]
- Noori, A.; Ashrafi, S.J.; Vaez-Ghaemi, R.; Hatamian-Zaremi, A.; Webster, T.J. A review of fibrin and fibrin composites for bone tissue engineering. Int. J. Nanomed. 2017, 12, 4937–4961. [Google Scholar] [CrossRef]
- Bluteau, G.; Pilet, P.; Bourges, X.; Bilban, M.; Spaethe, R.; Daculsi, G.; Guicheux, J. The modulation of gene expression in osteoblasts by thrombin coated on biphasic calcium phosphate ceramic. Biomaterials 2006, 27, 2934–2943. [Google Scholar] [CrossRef] [PubMed]
- Ho, W.; Tawil, B.; Dunn, J.C.; Wu, B.M. The Behavior of Human Mesenchymal Stem Cells in 3D Fibrin Clots: Dependence on Fibrinogen Concentration and Clot Structure. Tissue Eng. 2006, 12, 1587–1595. [Google Scholar] [CrossRef]
- Marcinczyk, M.; Dunn, A.; Haas, G.; Madsen, J.; Scheidt, R.; Patel, K.; Talovic, M.; Garg, K. The Effect of Laminin-111 Hydrogels on Muscle Regeneration in a Murine Model of Injury. Tissue Eng. Part A 2019, 25, 1001–1012. [Google Scholar] [CrossRef]
- Ziemkiewicz, M.N.; Hilliard, M.G.; Dunn, A.J.; Madsen, J.; Haas, G.; Au, J.; Genovese, P.; Chauvin, M.H.; West, C.; Paoli, M.A.; et al. Laminin-111 Enriched Fibrin Hydrogels Enhance Functional Muscle Regeneration Following Trauma. Tissue Eng. Part A 2021. [Google Scholar] [CrossRef] [PubMed]
- Smoak, M.; Mikos, A. Advances in biomaterials for skeletal muscle engineering and obstacles still to overcome. Mater. Today Bio 2020, 7, 100069. [Google Scholar] [CrossRef] [PubMed]
- Monroy, P.L.C.; Grefte, S.; Kuijpers-Jagtman, A.M.; Helmich, M.P.A.C.; Ulrich, D.J.O.; Von den Hoff, J.W.; Wagener, F.A.D.T.G. A Rat Model for Muscle Regeneration in the Soft Palate. PLoS ONE 2013, 8, e59193. [Google Scholar] [CrossRef]
- Monroy, P.L.C.; Grefte, S.; Kuijpers-Jagtman, A.M.; Helmich, M.P.; Wagener, F.A.; Von den Hoff, J.W. Fibrosis impairs the formation of new myofibers in the soft palate after injury. Wound Repair Regen. 2015, 23, 866–873. [Google Scholar] [CrossRef]
- Rosero-Salazar, D.H.; Carvajal-Monroy, P.L.; Wagener, F.A.; Von den Hoff, J.W. Functional analysis of the rat soft palate by real-time wireless electromyography. Arch. Oral Biol. 2021, 122, 105021. [Google Scholar] [CrossRef]
- Duong, H.; Wu, B.; Tawil, B. Modulation of 3D Fibrin Matrix Stiffness by Intrinsic Fibrinogen–Thrombin Compositions and by Extrinsic Cellular Activity. Tissue Eng. Part A 2009, 15, 1865–1876. [Google Scholar] [CrossRef]
- Brown, A.C.; Barker, T.H. Fibrin-based biomaterials: Modulation of macroscopic properties through rational design at the molecular level. Acta Biomater. 2014, 10, 1502–1514. [Google Scholar] [CrossRef]
- Hadi, A.M.; Mouchaers, K.T.B.; Schalij, I.; Grunberg, K.; Meijer, G.A.; Vonk-Noordegraaf, A.; van der Laarse, W.J.; Beliën, J.A.M. Rapid quantification of myocardial fibrosis: A new macro-based automated analysis. Anal. Cell. Pathol. 2010, 33, 257–269. [Google Scholar] [CrossRef][Green Version]
- Li, H.; Duann, P.; Lin, P.-H.; Zhao, L.; Fan, Z.; Tan, T.; Zhou, X.; Sun, M.; Fu, M.; Orange, M.; et al. Modulation of Wound Healing and Scar Formation by MG53 Protein-mediated Cell Membrane Repair. J. Biol. Chem. 2015, 290, 24592–24603. [Google Scholar] [CrossRef] [PubMed]
- Li, Y.; Meng, H.; Liu, Y.; Lee, B.P. Fibrin Gel as an Injectable Biodegradable Scaffold and Cell Carrier for Tissue Engineering. Sci. World J. 2015, 2015, 685690. [Google Scholar] [CrossRef] [PubMed]
- Alarcin, E.; Bal-Öztürk, A.; Avci, H.; Ghorbanpoor, H.; Guzel, F.D.; Akpek, A.; Yesiltas, G.; Canak-Ipek, T.; Avci-Adali, M. Current Strategies for the Regeneration of Skeletal Muscle Tissue. Int. J. Mol. Sci. 2021, 22, 5929. [Google Scholar] [CrossRef] [PubMed]
- Grecu, A.F.; Reclaru, L.; Ardelean, L.C.; Nica, O.; Ciucă, E.M.; Ciurea, M.E. Platelet-Rich Fibrin and Its Emerging Therapeutic Benefits for Musculoskeletal Injury Treatment. Medicina 2019, 55, 141. [Google Scholar] [CrossRef] [PubMed]
- Wu, X.; Corona, B.T.; Chen, X.; Walters, T.J. A Standardized Rat Model of Volumetric Muscle Loss Injury for the Development of Tissue Engineering Therapies. BioRes. Open Access 2012, 1, 280–290. [Google Scholar] [CrossRef] [PubMed]
- Desmouliere, A.; Darby, I.; Laverdet, B.; Bonté, F. Fibroblasts and myofibroblasts in wound healing. Clin. Cosmet. Investig. Dermatol. 2014, 7, 301–311. [Google Scholar] [CrossRef] [PubMed]
- Gonzalez, A.C.D.O.; Costa, T.F.; Andrade, Z.D.A.; Medrado, A. Wound healing—A literature review. An. Bras. de Dermatol. 2016, 91, 614–620. [Google Scholar] [CrossRef] [PubMed]
- Von den Hoff, J.W.; Monroy, P.L.C.; Ongkosuwito, E.M.; Van Kuppevelt, T.H.; Daamen, W.F. Muscle fibrosis in the soft palate: Delivery of cells, growth factors and anti-fibrotics. Adv. Drug Deliv. Rev. 2018, 146, 60–76. [Google Scholar] [CrossRef]
- Garg, K.; Corona, B.T.; Walters, T.J. Therapeutic strategies for preventing skeletal muscle fibrosis after injury. Front. Pharmacol. 2015, 6, 87. [Google Scholar] [CrossRef]
- Swieringa, F.; Spronk, H.M.; Heemskerk, J.W.; Van Der Meijden, P.E. Integrating platelet and coagulation activation in fibrin clot formation. Res. Pract. Thromb. Haemost. 2018, 2, 450–460. [Google Scholar] [CrossRef]
- Suess, P.M.; Smith, S.A.; Morrissey, J.H. Platelet polyphosphate induces fibroblast chemotaxis and myofibroblast differentiation. J. Thromb. Haemost. 2020, 18, 3043–3052. [Google Scholar] [CrossRef]
- Grainger, D.J.; Wakefield, L.; Bethell, H.W.; Farndale, R.W.; Metcalfe, J.C. Release and activation of platelet latent TGF–β in blood clots during dissolution with plasmin. Nat. Med. 1995, 1, 932–937. [Google Scholar] [CrossRef]
- Liarte, S.; Bernabé-García, A.; Nicolás, F.J. Role of TGF-β in Skin Chronic Wounds: A Keratinocyte Perspective. Cells 2020, 9, 306. [Google Scholar] [CrossRef] [PubMed]
- Ahmad, K.; Shaikh, S.; Ahmad, S.S.; Lee, E.J.; Choi, I. Cross-Talk between Extracellular Matrix and Skeletal Muscle: Implications for Myopathies. Front. Pharmacol. 2020, 11, 142. [Google Scholar] [CrossRef] [PubMed]
- Baranowsky, A.; Mokkapati, S.; Bechtel, M.; Krügel, J.; Miosge, N.; Wickenhauser, C.; Smyth, N.; Nischt, R. Impaired wound healing in mice lacking the basement membrane protein nidogen 1. Matrix Biol. 2010, 29, 15–21. [Google Scholar] [CrossRef] [PubMed]
- Zhou, S.; Chen, S.; Pei, Y.A.; Pei, M. Nidogen: A matrix protein with potential roles in musculoskeletal tissue regeneration. Genes Dis. 2021. [Google Scholar] [CrossRef]
- Pujuguet, P.; Simian, M.; Liaw, J.; Timpl, R.; Werb, Z.; Bissell, M. Nidogen-1 regulates laminin-1-dependent mammary-specific gene expression. J. Cell Sci. 2000, 113, 849–858. [Google Scholar] [CrossRef]
- Miura, T.; Kishioka, Y.; Wakamatsu, J.; Hattori, A.; Nishimura, T. Interaction between myostatin and extracellular matrix components. Anim. Sci. J. 2010, 81, 102–107. [Google Scholar] [CrossRef]
- Yablonka-Reuveni, Z. Myostatin Blockade: A New Way to Enhance Skeletal Muscle Repair in Old Age? Mol. Ther. 2007, 15, 1407–1409. [Google Scholar] [CrossRef]
- Wagner, K.R.; McPherron, A.; Winik, N.; Lee, S.-J. Loss of myostatin attenuates severity of muscular dystrophy inmdx mice. Ann. Neurol. 2002, 52, 832–836. [Google Scholar] [CrossRef]
- Silva-Barbosa, S.D.; Butler-Browne, G.S.; de Mello, W.; Riederer, I.; Di Santo, J.P.; Savino, W.; Mouly, V. Human Myoblast Engraftment Is Improved in Laminin-Enriched Microenvironment. Transplantation 2008, 85, 566–575. [Google Scholar] [CrossRef]
- Robson, M.I.; de Las Heras, J.I.; Czapiewski, R.; Thành, P.L.; Booth, D.G.; Kelly, D.A.; Webb, S.; Kerr, A.R.; Schirmer, E.C. Tissue-Specific Gene Repositioning by Muscle Nuclear Membrane Proteins Enhances Repression of Critical Developmental Genes during Myogenesis. Mol. Cell 2016, 62, 834–847. [Google Scholar] [CrossRef] [PubMed]
- Fox, M.A.; Ho, M.S.; Smyth, N.; Sanes, J.R. A synaptic nidogen: Developmental regulation and role of nidogen-2 at the neuromuscular junction. Neural Dev. 2008, 3, 24. [Google Scholar] [CrossRef] [PubMed]
- Sinanan, A.C.M.; Machell, J.R.A.; Hunt, N.P.; Lewis, M.P.; Wynne-Hughes, G.T. αvβ3 and αvβ5 integrins and their role in muscle precursor cell adhesion. Biol. Cell 2008, 100, 465–477. [Google Scholar] [CrossRef]
- Lewis, M.P.; Machell, J.R.A.; Hunt, N.P.; Sinanan, A.C.M.; Tippett, H.L. The extracellular matrix of muscle—Implications for manipulation of the craniofacial musculature. Eur. J. Oral Sci. 2001, 109, 209–221. [Google Scholar] [CrossRef] [PubMed]
- Kruegel, J.; Miosge, N. Basement membrane components are key players in specialized extracellular matrices. Cell. Mol. Life Sci. 2010, 67, 2879–2895. [Google Scholar] [CrossRef]
- Wu, C.; Chung, A. Potential role of entactin in hemostasis. Specific interaction of entactin with fibrinogen A alpha and B beta chains. J. Biol. Chem. 1991, 266, 18802–18807. [Google Scholar] [CrossRef]
- Nagaoka, K.; Tanne, K. Activities of the Muscles Involved in Swallowing in Patients with Cleft Lip and Palate. Dysphagia 2007, 22, 140–144. [Google Scholar] [CrossRef]
- Dunn, A.; Talovic, M.; Patel, K.; Patel, A.; Marcinczyk, M.; Garg, K. Biomaterial and stem cell-based strategies for skeletal muscle regeneration. J. Orthop. Res. 2019, 37, 1246–1262. [Google Scholar] [CrossRef]
- Patel, V.N.; Hoffman, M.P. Salivary gland development: A template for regeneration. Semin. Cell Dev. Biol. 2014, 25-26, 52–60. [Google Scholar] [CrossRef] [PubMed]
- Kadoya, Y.; Yamashina, S. Salivary gland morphogenesis and basement membranes. Anat. Sci. Int. 2005, 80, 71–79. [Google Scholar] [CrossRef] [PubMed]
- Nam, K.; Maruyama, C.L.; Wang, C.-S.; Trump, B.G.; Lei, P.; Andreadis, S.T.; Baker, O.J. Laminin-111-derived peptide conjugated fibrin hydrogel restores salivary gland function. PLoS ONE 2017, 12, e0187069. [Google Scholar] [CrossRef] [PubMed]







Publisher’s Note: MDPI stays neutral with regard to jurisdictional claims in published maps and institutional affiliations. |
© 2021 by the authors. Licensee MDPI, Basel, Switzerland. This article is an open access article distributed under the terms and conditions of the Creative Commons Attribution (CC BY) license (https://creativecommons.org/licenses/by/4.0/).
Share and Cite
Rosero Salazar, D.H.; van Rheden, R.E.M.; van Hulzen, M.; Carvajal Monroy, P.L.; Wagener, F.A.D.T.G.; Von den Hoff, J.W. Fibrin with Laminin-Nidogen Reduces Fibrosis and Improves Soft Palate Regeneration Following Palatal Injury. Biomolecules 2021, 11, 1547. https://doi.org/10.3390/biom11101547
Rosero Salazar DH, van Rheden REM, van Hulzen M, Carvajal Monroy PL, Wagener FADTG, Von den Hoff JW. Fibrin with Laminin-Nidogen Reduces Fibrosis and Improves Soft Palate Regeneration Following Palatal Injury. Biomolecules. 2021; 11(10):1547. https://doi.org/10.3390/biom11101547
Chicago/Turabian StyleRosero Salazar, Doris H., René E. M. van Rheden, Manon van Hulzen, Paola L. Carvajal Monroy, Frank A. D. T. G. Wagener, and Johannes W. Von den Hoff. 2021. "Fibrin with Laminin-Nidogen Reduces Fibrosis and Improves Soft Palate Regeneration Following Palatal Injury" Biomolecules 11, no. 10: 1547. https://doi.org/10.3390/biom11101547
APA StyleRosero Salazar, D. H., van Rheden, R. E. M., van Hulzen, M., Carvajal Monroy, P. L., Wagener, F. A. D. T. G., & Von den Hoff, J. W. (2021). Fibrin with Laminin-Nidogen Reduces Fibrosis and Improves Soft Palate Regeneration Following Palatal Injury. Biomolecules, 11(10), 1547. https://doi.org/10.3390/biom11101547

