The Interplay between Histamine H4 Receptor and the Kidney Function: The Lesson from H4 Receptor Knockout Mice
Abstract
1. Introduction
2. Materials and Methods
2.1. Materials
2.2. Animal Care and Ethics Statement
2.3. Experiment Protocol
2.4. Renal Function Evaluations
2.5. Morphological Analysis
2.6. IL-6 Renal Content Assessment
2.7. Immunohistochemistry
2.8. Immunofluorescence Analysis
2.9. Immunoblotting
2.10. Statistical Analysis
3. Results
3.1. Comparison between Wild-Type and H4R−/− Mice on Histamine Receptor Expression
3.2. Comparison between Wild-Type and H4R−/− Mice on Functional Parameters
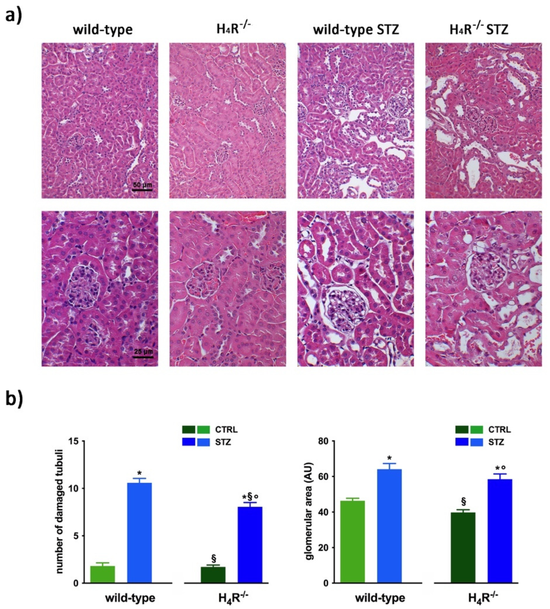
3.3. Diabetic Nephropathy Development in H4R−/− Mice
3.4. Megalin Expression in Wild-Type and H4R−/− Mice
3.5. NHE3 Expression in Wild-Type and H4R−/− Mice
3.6. AQPs Expression in Wild-Type and H4R−/− Mice
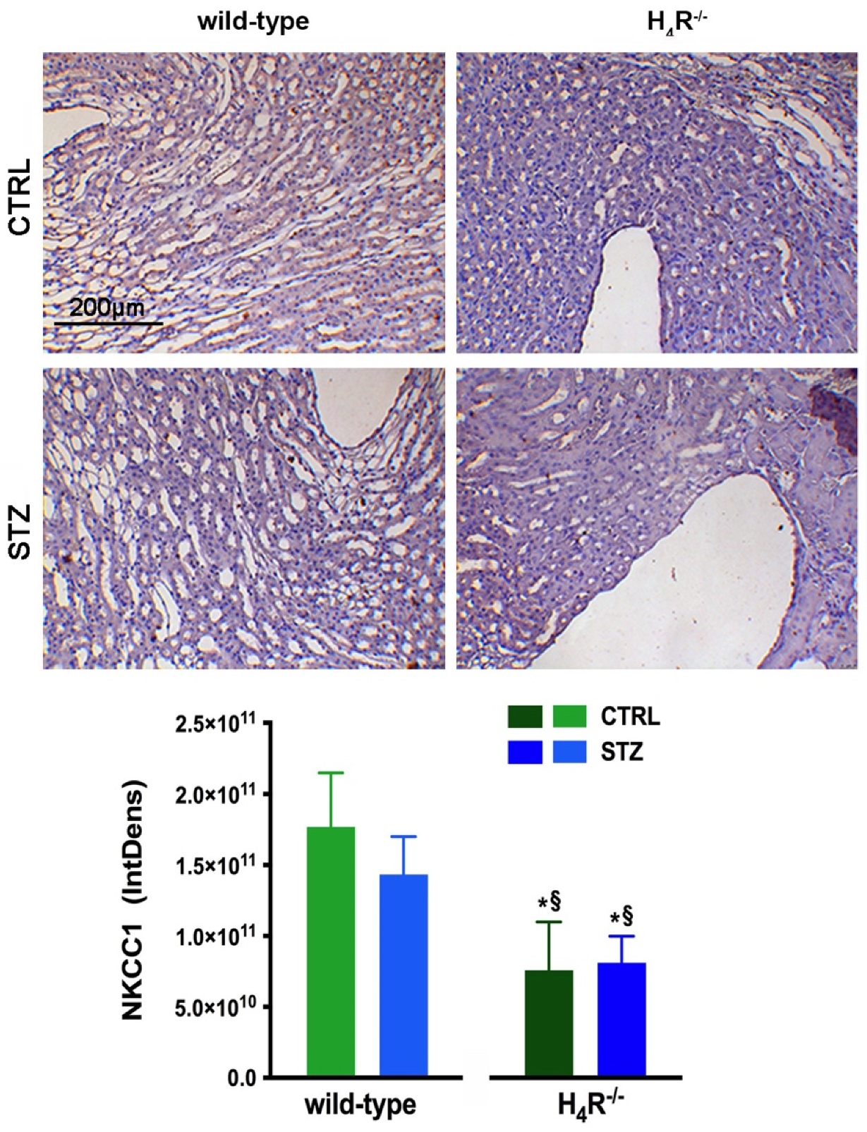
3.7. NKCC1 Expression in Wild-Type and H4R−/− Mice
4. Discussion
5. Conclusions
Supplementary Materials
Author Contributions
Funding
Institutional Review Board Statement
Data Availability Statement
Acknowledgments
Conflicts of Interest
References
- Nakamura, T.; Itadani, H.; Hidaka, Y.; Ohta, M.; Tanaka, K. Molecular cloning and characterization of a new human histamine receptor, HH4R. Biochem. Biophys. Res. Commun. 2000, 279, 615–620. [Google Scholar] [CrossRef] [PubMed]
- Oda, T.; Morikawa, N.; Saito, Y.; Masuho, Y.; Matsumoto, S.-I. Molecular cloning and Characterization of a Novel Type of Histamine Receptor Preferentially Expressed in Leukocytes. J. Biol. Chem. 2000, 275, 36781–36786. [Google Scholar] [CrossRef] [PubMed]
- Liu, C.; Ma, X.-J.; Jiang, X.; Wilson, S.J.; Hofstra, C.L.; Blevitt, J.; Pyati, J.; Li, X.; Chai, W.; Carruthers, N.; et al. Cloning and pharmacological Characterization of a Fourth Histamine Receptor (H4) Expressed in Bone Marrow. Mol. Pharmacol. 2001, 59, 420–426. [Google Scholar] [CrossRef]
- Seifert, R.; Strasser, A.; Schneider, E.H.; Neumann, D.; Dove, S.; Buschauer, A. Molecular and cellular analysis of human histamine receptor subtypes. Trends Pharmacol. Sci. 2013, 34, 33–58. [Google Scholar] [CrossRef] [PubMed]
- Neumann, D.; Schneider, E.H.; Seifert, R. Analysis of histamine Receptor Knockout Mice in Models of Inflammation. J. Pharmacol. Exp. Ther. 2014, 348, 2–11. [Google Scholar] [CrossRef]
- Panula, P.; Chazot, P.L.; Cowart, M.; Gutzmer, R.; Leurs, R.; Liu, W.L.S.; Stark, H.; Thurmond, R.L.; Haas, H.L. International Union of Basic and Clinical Pharmacology. XCVIII. Histamine Receptors. Pharmacol. Rev. 2015, 67, 601–655. [Google Scholar] [CrossRef] [PubMed]
- Rosa, A.C.; Grange, C.; Pini, A.; Katebe, M.A.; Benetti, E.; Collino, M.; Miglio, G.; Bani, D.; Camussi, G.; Chazot, P.L.; et al. Overexpression of Histamine H4 receptors in the kidney of diabetic rat. Inflamm. Res. 2013, 62, 357–365. [Google Scholar] [CrossRef] [PubMed]
- Pini, A.; Grange, C.; Veglia, E.; Argenziano, M.; Cavalli, R.; Guasti, D.; Calosi, L.; Ghè, C.; Solarino, R.; Thurmond, R.L.; et al. Histamine H4 receptor antagonism prevents the progression of diabetic nephropathy in male DBA2/J mice. Pharmacol. Res. 2018, 128, 18–28. [Google Scholar] [CrossRef]
- Hofstra, C.L.; Desai, P.J.; Thurmond, R.L.; Fung-Leung, W.-P. Histamine H4 Receptor mediates Chemotaxis and Calcium Mobilization of Mast Cells. J. Pharmacol. Exp. Ther. 2003, 305, 1212–1221. [Google Scholar] [CrossRef] [PubMed]
- Dunford, P.J.; O’Donnell, N.; Riley, J.P.; Williams, K.N.; Karlsson, L.; Thurmond, R.L. The Histamine H4 receptor Mediates Allergic Airway Inflammation by Regulating the Activation of CD4+ T Cells. J. Immunol. 2006, 176, 7062–7070. [Google Scholar] [CrossRef]
- Dunford, P.J.; Williams, K.N.; Desai, P.J.; Karlsson, L.; McQueen, D.; Thurmond, R. Histamine H4 receptor antagonists are superior to traditional antihistamines in the attenuation of experimental pruritus. J. Allergy Clin. Immunol. 2007, 119, 176–183. [Google Scholar] [CrossRef]
- Hartwig, C.; Munder, A.; Glage, S.; Wedekind, D.; Schenk, H.; Seifert, R.; Neumann, D. The histamine H4-receptor (H4R) regulates eosinophilic inflammation in ovalbumin-induced experimental allergic asthma in mice. Eur. J. Immunol. 2014, 45, 1129–1140. [Google Scholar] [CrossRef] [PubMed]
- Rossbach, K.; Schaper, K.; Kloth, C.; Gutzmer, R.; Werfel, T.; Kietzmann, M.; Bäumer, W. Histamine H4 receptor knockout mice display reduced inflammation in a chronic model of atopic dermatitis. Allergy 2015, 71, 189–197. [Google Scholar] [CrossRef] [PubMed]
- Schirmer, B.; Bringmann, L.; Seifert, R.; Neumann, D. In vivo evidence for Partial Activation of Eosinophils via the Histamine H4-Receptor: Adoptive Transfer Experiments Using Eosinophils from H4R−/− and H4R+/+ Mice. Front. Immunol. 2018, 9, 2119. [Google Scholar] [CrossRef] [PubMed]
- Sanna, M.D.; Ghelardini, C.; Thurmond, R.; Masini, E.; Galeotti, N. Behavioural phenotype of Histamine H4 receptor knockout mice: Focus on central neuronal functions. Neuropharmacology 2017, 114, 48–57. [Google Scholar] [CrossRef]
- Sterle, H.; Nicoud, M.B.; Massari, N.A.; Delgado, M.A.T.; Ducloux, M.V.H.; Cremaschi, G.A.; Medina, V.A. Immunomodulatory role of Histamine H4 receptor in breast cancer. Br. J. Cancer 2018, 120, 128–138. [Google Scholar] [CrossRef]
- Pini, A.; Obara, I.; Battell, E.; Chazot, P.L.; Rosa, A.C. Histamine in diabetes: Is it time to reconsider? Pharmacol. Res. 2016, 111, 316–324. [Google Scholar] [CrossRef]
- Grange, C.; Gurrieri, M.; Verta, R.; Fantozzi, R.; Pini, A.; Rosa, A.C. Histamine in the kidneys: What is its role in renal pathophysiology? Br. J. Pharmacol. 2020, 177, 503–515. [Google Scholar] [CrossRef]
- McEvoy, R.C.; Andersson, J.; Sandler, S.; Hellerström, C. Multiple low-dose streptozotocin-induced diabetes in the mouse. Evidence for stimulation of a cytotoxic cellular immune response against an insulin-producing beta cell line. J. Clin. Investig. 1984, 74, 715–722. [Google Scholar] [CrossRef] [PubMed]
- Chow, B.S.; Allen, T.J. Mouse models for Studying Diabetic Nephropathy. Curr. Protoc. Mouse Biol. 2015, 5, 85–94. [Google Scholar] [CrossRef]
- Dunn, S.R.; Qi, Z.; Bottinger, E.P.; Breyer, M.D.; Sharma, K. Utility of endogenous creatinine clearance as a measure of renal function in mice. Kidney Int. 2004, 65, 1959–1967. [Google Scholar] [CrossRef]
- Yuen, P.S.T.; Dunn, S.R.; Miyaji, T.; Yasuda, H.; Sharma, K.; Star, R.A. A simplified method for HPLC determination of creatinine in mouse serum. Am. J. Physiol. Physiol. 2004, 286, F1116–F1119. [Google Scholar] [CrossRef]
- Grange, C.; Tritta, S.; Tapparo, M.; Cedrino, M.; Tetta, C.; Camussi, G.; Brizzi, M.F. Stem cell-derived extracellular vesicles inhibit and revert fibrosis progression in a mouse model of diabetic nephropathy. Sci. Rep. 2019, 9, 4468. [Google Scholar] [CrossRef] [PubMed]
- De, S.; Kuwahara, S.; Saito, A. The endocytic Receptor Megalin and its Associated Proteins in Proximal Tubule Epithelial Cells. Membranes 2014, 4, 333–355. [Google Scholar] [CrossRef]
- Girardi, A.; Di Sole, F. Deciphering the mechanisms of the Na+/H+ exchanger-3 regulation in organ dysfunction. Am. J. Physiol. Physiol. 2012, 302, C1569–C1587. [Google Scholar] [CrossRef] [PubMed]
- Azad, A.K.; Raihan, T.; Ahmed, J.; Hakim, A.; Emon, T.H.; Chowdhury, P.A. Human aquaporins: Functional diversity and Potential Roles in Infectious and Non-infectious Diseases. Front. Genet. 2021, 12, 654865. [Google Scholar] [CrossRef] [PubMed]
- Maunsbach, A.B.; Marples, D.; Chin, E.; Ning, G.; Bondy, C.; Agre, P.; Nielsen, S. Aquaporin-1 water channel expression in human kidney. J. Am. Soc. Nephrol. 1997, 8, 1–14. [Google Scholar] [CrossRef] [PubMed]
- Chen, X.-F.; Li, C.-F.; Lu, L.; Mei, Z.-C. Expression and clinical significance of aquaglyceroporins in human hepatocellular carcinoma. Mol. Med. Rep. 2016, 13, 5283–5289. [Google Scholar] [CrossRef] [PubMed]
- Su, W.; Cao, R.; Zhang, X.; Guan, Y. Aquaporins in the kidney: Physiology and pathophysiology. Am. J. Physiol. Physiol. 2020, 318, F193–F203. [Google Scholar] [CrossRef]
- Hendriks, G.; Koudijs, M.; van Balkom, B.W.M.; Oorschot, V.; Klumperman, J.; Deen, P.M.T.; van der Sluijs, P. Glycosylation is Important for Cell Surface Expression of the Water Channel Aquaporin-2 but Is Not Essential for Tetramerization in the Endoplasmic Reticulum. J. Biol. Chem. 2004, 279, 2975–2983. [Google Scholar] [CrossRef] [PubMed]
- Wall, S.M.; Fischer, M.P. Contribution of the Na+-K+-2Cl− Cotransporter (NKCC1) to transepithelial Transport of H+, NH4+, K+, and Na+ in Rat Outer Medullary Collecting Duct. J. Am. Soc. Nephrol. 2002, 13, 827–835. [Google Scholar] [CrossRef] [PubMed]
- Sun, J.; Hultenby, K.; Axelsson, J.; Nordström, J.; He, B.; Wernerson, A.; Lindström, K. Proximal tubular Expression Patterns of Megalin and Cubilin in Proteinuric Nephropathies. Kidney Int. Rep. 2017, 2, 721–732. [Google Scholar] [CrossRef]
- Hosojima, M.; Sato, H.; Yamamoto, K.; Kaseda, R.; Soma, T.; Kobayashi, A.; Suzuki, A.; Kabasawa, H.; Takeyama, A.; Ikuyama, K.; et al. Regulation of megalin Expression in Cultured Proximal Tubule Cells by Angiotensin II Type 1A Receptor- and Insulin-Mediated Signaling Cross Talk. Endocrinology 2009, 150, 871–878. [Google Scholar] [CrossRef] [PubMed]
- Pini, A.; Chazot, P.L.; Veglia, E.; Moggio, A.; Rosa, A.C. H3 receptor renal expression in normal and diabetic rats. Inflamm. Res. 2015, 64, 271–273. [Google Scholar] [CrossRef]
- Vallon, V.; Schwark, J.-R.; Richter, K.; Hropot, M. Role of Na+/H+ exchanger NHE3 in nephron function: Micropuncture studies with S3226, an inhibitor of NHE3. Am. J. Physiol. Physiol. 2000, 278, F375–F379. [Google Scholar] [CrossRef]
- Veglia, E.; Pini, A.; Moggio, A.; Grange, C.; Premoselli, F.; Miglio, G.; Tiligada, K.; Fantozzi, R.; Chazot, P.L.; Rosa, A.C. Histamine type 1-receptor activation by low dose of histamine undermines human glomerular slit diaphragm integrity. Pharmacol. Res. 2016, 114, 27–38. [Google Scholar] [CrossRef]
- Veglia, E.; Grange, C.; Pini, A.; Moggio, A.; Lanzi, C.; Camussi, G.; Chazot, P.L.; Rosa, A.C. Histamine receptor expression in human renal tubules: A comparative pharmacological evaluation. Inflamm. Res. 2015, 64, 261–270. [Google Scholar] [CrossRef]
- Yun, C.H.C.; Oh, S.; Zizak, M.; Steplock, D.; Tsao, S.; Tse, C.-M.; Weinman, E.J.; Donowitz, M. cAMP-mediated inhibition of the epithelial brush border Na+/H+ exchanger, NHE3, requires an associated regulatory protein. Proc. Natl. Acad. Sci. USA 1997, 94, 3010–3015. [Google Scholar] [CrossRef] [PubMed]
- Honegger, K.J.; Capuano, P.; Winter, C.; Bacic, D.; Stange, G.; Wagner, C.A.; Biber, J.; Murer, H.; Hernando, N. Regulation of sodium-proton exchanger isoform 3 (NHE3) by PKA and exchange protein directly activated by cAMP (EPAC). Proc. Natl. Acad. Sci. USA 2006, 103, 803–808. [Google Scholar] [CrossRef] [PubMed]
- Gunaratne, R.; Braucht, D.W.W.; Rinschen, M.M.; Chou, C.-L.; Hoffert, J.D.; Pisitkun, T.; Knepper, M.A. Quantitative phosphoproteomic analysis reveals cAMP/vasopressin-dependent signaling pathways in native renal thick ascending limb cells. Proc. Natl. Acad. Sci. USA 2010, 107, 15653–15658. [Google Scholar] [CrossRef] [PubMed]
- Cacabelos, R.; Yamatodani, A.; Niigawa, H.; Hariguchi, S.; Nishimura, T.; Wada, H. Histaminergic Neuromodulation of the Release of Vasopressin. Neuroendocrinology 1987, 45, 368–375. [Google Scholar] [CrossRef] [PubMed]
- Sohara, E.; Rai, T.; Sasaki, S.; Uchida, S. Physiological roles of AQP7 in the kidney: Lessons from AQP7 knockout mice. Biochim. Biophys. Acta (BBA) Biomembr. 2006, 1758, 1106–1110. [Google Scholar] [CrossRef] [PubMed]
- Wilson, J.L.L.; Miranda, C.A.; Knepper, M.A. Vasopressin and the regulation of aquaporin-2. Clin. Exp. Nephrol. 2013, 17, 751–764. [Google Scholar] [CrossRef]
- Wakamatsu, S.; Nonoguchi, H.; Ikebe, M.; Machida, K.; Izumi, Y.; Memetimin, H.; Nakayama, Y.; Nakanishi, T.; Kohda, Y.; Tomita, K. Vasopressin and hyperosmolality regulate NKCC1 expression in rat OMCD. Hypertens. Res. 2009, 32, 481–487. [Google Scholar] [CrossRef]
- Wall, S.M.; Knepper, M.A.; Hassell, K.A.; Fischer, M.P.; Shodeinde, A.; Shin, W.; Pham, T.D.; Meyer, J.W.; Lorenz, J.N.; Beierwaltes, W.H.; et al. Hypotension in NKCC1 null mice: Role of the kidneys. Am. J. Physiol. Physiol. 2006, 290, F409–F416. [Google Scholar] [CrossRef]
- Pini, A.; Verta, R.; Grange, C.; Gurrieri, M.; Rosa, A.C. Histamine and diabetic nephropathy: An up-to-date overview. Clin. Sci. 2019, 133, 41–54. [Google Scholar] [CrossRef]
- O’Mahony, L.; Akdis, M.; Akdis, C.A. Regulation of the immune response and inflammation by histamine and histamine receptors. J. Allergy Clin. Immunol. 2011, 128, 1153–1162. [Google Scholar] [CrossRef] [PubMed]
- Branco, A.C.C.C.; Yoshikawa, F.S.Y.; Pietrobon, A.J.; Sato, M.N. Role of histamine in Modulating the Immune Response and Inflammation. Mediat. Inflamm. 2018, 2018, 1–10. [Google Scholar] [CrossRef] [PubMed]
- Sim, Y.-B.; Park, S.-H.; Kim, S.-S.; Kim, C.-H.; Kim, S.-J.; Lim, S.-M.; Jung, J.-S.; Ryu, O.-H.; Choi, M.-G.; Suh, H.-W. The modulatory Role of Spinally Located Histamine Receptors in the Regulation of the Blood Glucose Level in D-Glucose-Fed Mice. Korean J. Physiol. Pharmacol. 2014, 18, 41–46. [Google Scholar] [CrossRef][Green Version]
- Sharma, N.; Sim, Y.-B.; Park, S.-H.; Kim, S.-S.; Lee, J.-R.; Jung, J.-S.; Suh, H.-W. Effect of histamine receptors agonists or antagonists administered intracerebroventricularly and intrathecally on the blood glucose level in immobilization stress model. Anim. Cells Syst. 2015, 19, 365–373. [Google Scholar] [CrossRef]
- Vallon, V.; Platt, K.A.; Cunard, R.; Schroth, J.; Whaley, J.; Thomson, S.C.; Koepsell, H.; Rieg, T. SGLT2 mediates Glucose Reabsorption in the Early Proximal Tubule. J. Am. Soc. Nephrol. 2010, 22, 104–112. [Google Scholar] [CrossRef] [PubMed]
- Nair, S.; Wilding, J.P.H. Sodium glucose Cotransporter 2 Inhibitors as a New Treatment for Diabetes Mellitus. J. Clin. Endocrinol. Metab. 2010, 95, 34–42. [Google Scholar] [CrossRef]
- Rafieian-Kopaei, M.; Nasri, H. Diabetes mellitus and renal failure: Prevention and management. J. Res. Med. Sci. 2015, 20, 1112–1120. [Google Scholar] [CrossRef]
- Peng, H.; Wang, J.; Ye, X.Y.; Cheng, J.; Huang, C.Z.; Li, L.Y.; Li, T.Y.; Li, C.W. Histamine H4 receptor regulates IL-6 and INF-γ secretion in native monocytes from healthy subjects and patients with allergic rhinitis. Clin. Transl. Allergy 2019, 9, 1–49. [Google Scholar] [CrossRef] [PubMed]
- Triggiani, M.; Gentile, M.; Secondo, A.; Granata, F.; Oriente, A.; Taglialatela, M.; Annunziato, L.; Marone, G. Histamine induces Exocytosis and IL-6 Production from Human Lung Macrophages Through Interaction with H1Receptors. J. Immunol. 2001, 166, 4083–4091. [Google Scholar] [CrossRef]
- Morimitsu, A.; Sumigama, S.; Kotani, T.; Mano, Y.; Suzuki, K.; Araki-Taguchi, M.; Yamamoto, E.; Hayakawa, H.; Okada, M.; Itakura, A.; et al. Histamine stimulates Interleukin-6 Production through Histamine H1 Receptors in Human Amnion Cells. Gynecol. Obstet. Investig. 2010, 69, 67–72. [Google Scholar] [CrossRef]
- Li, Y.; Chi, L.; Stechschulte, D.J.; Dileepan, K.N. Histamine-induced Production of Interleukin-6 and Interleukin-8 by Human Coronary Artery Endothelial Cells Is Enhanced by Endotoxin and Tumor Necrosis Factor-α. Microvasc. Res. 2001, 61, 253–262. [Google Scholar] [CrossRef]
- Park, I.-H.; Um, J.-Y.; Cho, J.-S.; Lee, S.H.; Lee, S.H.; Lee, H.-M. Histamine promotes the Release of Interleukin-6 via the H1R/p38 and NF-κB Pathways in Nasal Fibroblasts. Allergy Asthma Immunol. Res. 2014, 6, 567–572. [Google Scholar] [CrossRef] [PubMed]
- Desai, P.; Thurmond, R.L. Histamine H4 receptor activation enhances LPS-induced IL-6 production in mast cells via ERK and PI3K activation. Eur. J. Immunol. 2011, 41, 1764–1773. [Google Scholar] [CrossRef] [PubMed]
- Su, H.; Lei, C.-T.; Zhang, C. Interleukin-6 signaling Pathway and Its Role in Kidney Disease: An Update. Front. Immunol. 2017, 8, 405. [Google Scholar] [CrossRef]
- Anbar, H.S.; Shehatou, G.S.; Suddek, G.M.; Gameil, N.M. Comparison of the effects of levocetirizine and losartan on diabetic nephropathy and vascular dysfunction in streptozotocin-induced diabetic rats. Eur. J. Pharmacol. 2016, 780, 82–92. [Google Scholar] [CrossRef] [PubMed]
- Verta, R.; Grange, C.; Gurrieri, M.; Borga, S.; Nardini, P.; Argenziano, M.; Ghè, C.; Cavalli, R.; Benetti, E.; Miglio, G.; et al. Effect of bilastine on Diabetic Nephropathy in DBA2/J Mice. Int. J. Mol. Sci. 2019, 20, 2554. [Google Scholar] [CrossRef] [PubMed]
- Qi, Z.; Fujita, H.; Jin, J.; Davis, L.S.; Wang, Y.; Fogo, A.B.; Breyer, M. Characterization of susceptibility of Inbred Mouse Strains to Diabetic Nephropathy. Diabetes 2005, 54, 2628–2637. [Google Scholar] [CrossRef] [PubMed]
- Kitada, M.; Ogura, Y.; Koya, D. Rodent models of diabetic nephropathy: Their utility and limitations. Int. J. Nephrol. Renov. Dis. 2016, ume 9, 279–290. [Google Scholar] [CrossRef]
- Sohara, E.; Rai, T.; Miyazaki, J.-I.; Verkman, A.S.; Sasaki, S.; Uchida, S. Defective water and glycerol transport in the proximal tubules of AQP7 knockout mice. Am. J. Physiol. Physiol. 2005, 289, F1195–F1200. [Google Scholar] [CrossRef] [PubMed]











| Wild-Type | H4R−/− | STZ Wild-Type | STZ H4R−/− | |
|---|---|---|---|---|
| Urine volume (mL) | 1.33 ± 0.01 | 0.44 ± 0.10 * | 11.57 ± 0.91 * | 21.86 ± 1.84 °§ |
| pH # | 6.35 ± 0.16 | 6.5 ± 0.00 | 5.24 ± 0.03 * | 5.37 ± 0.09 ° |
| UPE (mg/24 h) | 3.85 ± 0.11 | 1.1 ± 0.22 * | 21.95 ± 1.63 * | 31.62 ± 2.94 °§ |
| Albumin excretion (µg/24 h) | 0.26 ± 0.04 | 0.09 ± 0.03 * | 0.91 ± 0.04 * | 0.31 ± 0.06 °§ |
| ACR (µg/mg) | 17.74 ± 1.63 | 8.67 ± 2.89 * | 267.38 ± 22.78 * | 56.92 ± 6.89 °§ |
| CrCl (mL/min) | 0.49 ± 0.12 | 0.28 ± 0.11 | 1.66 ± 0.19 * | 1.17 ± 0.75 |
Publisher’s Note: MDPI stays neutral with regard to jurisdictional claims in published maps and institutional affiliations. |
© 2021 by the authors. Licensee MDPI, Basel, Switzerland. This article is an open access article distributed under the terms and conditions of the Creative Commons Attribution (CC BY) license (https://creativecommons.org/licenses/by/4.0/).
Share and Cite
Verta, R.; Gurrieri, M.; Borga, S.; Benetti, E.; Pollicino, P.; Cavalli, R.; Thurmond, R.L.; Chazot, P.L.; Pini, A.; Rosa, A.C.; et al. The Interplay between Histamine H4 Receptor and the Kidney Function: The Lesson from H4 Receptor Knockout Mice. Biomolecules 2021, 11, 1517. https://doi.org/10.3390/biom11101517
Verta R, Gurrieri M, Borga S, Benetti E, Pollicino P, Cavalli R, Thurmond RL, Chazot PL, Pini A, Rosa AC, et al. The Interplay between Histamine H4 Receptor and the Kidney Function: The Lesson from H4 Receptor Knockout Mice. Biomolecules. 2021; 11(10):1517. https://doi.org/10.3390/biom11101517
Chicago/Turabian StyleVerta, Roberta, Maura Gurrieri, Sara Borga, Elisa Benetti, Paolo Pollicino, Roberta Cavalli, Robin L. Thurmond, Paul L. Chazot, Alessandro Pini, Arianna Carolina Rosa, and et al. 2021. "The Interplay between Histamine H4 Receptor and the Kidney Function: The Lesson from H4 Receptor Knockout Mice" Biomolecules 11, no. 10: 1517. https://doi.org/10.3390/biom11101517
APA StyleVerta, R., Gurrieri, M., Borga, S., Benetti, E., Pollicino, P., Cavalli, R., Thurmond, R. L., Chazot, P. L., Pini, A., Rosa, A. C., & Grange, C. (2021). The Interplay between Histamine H4 Receptor and the Kidney Function: The Lesson from H4 Receptor Knockout Mice. Biomolecules, 11(10), 1517. https://doi.org/10.3390/biom11101517

