Expression of SCD and FADS2 Is Lower in the Necrotic Core and Growing Tumor Area than in the Peritumoral Area of Glioblastoma Multiforme
Abstract
1. Introduction
2. Materials and Methods
2.1. Patient Samples
2.2. Immunohistochemistry
2.3. Cell Culture and Treatment
2.4. Quantitative Real-Time Polymerase Chain Reaction (qRT-PCR)
2.5. Statistical Methods
3. Results
3.1. The Expression of SCD and FADS2 Was Lower in GBM Growing Tumor Area than in Peritumoral Area
3.2. Desaturase Expression Positively Correlated within and between Individual GBM Zones Glucose
3.3. No Significant Differences between the Sexes in the Expression of Desaturases
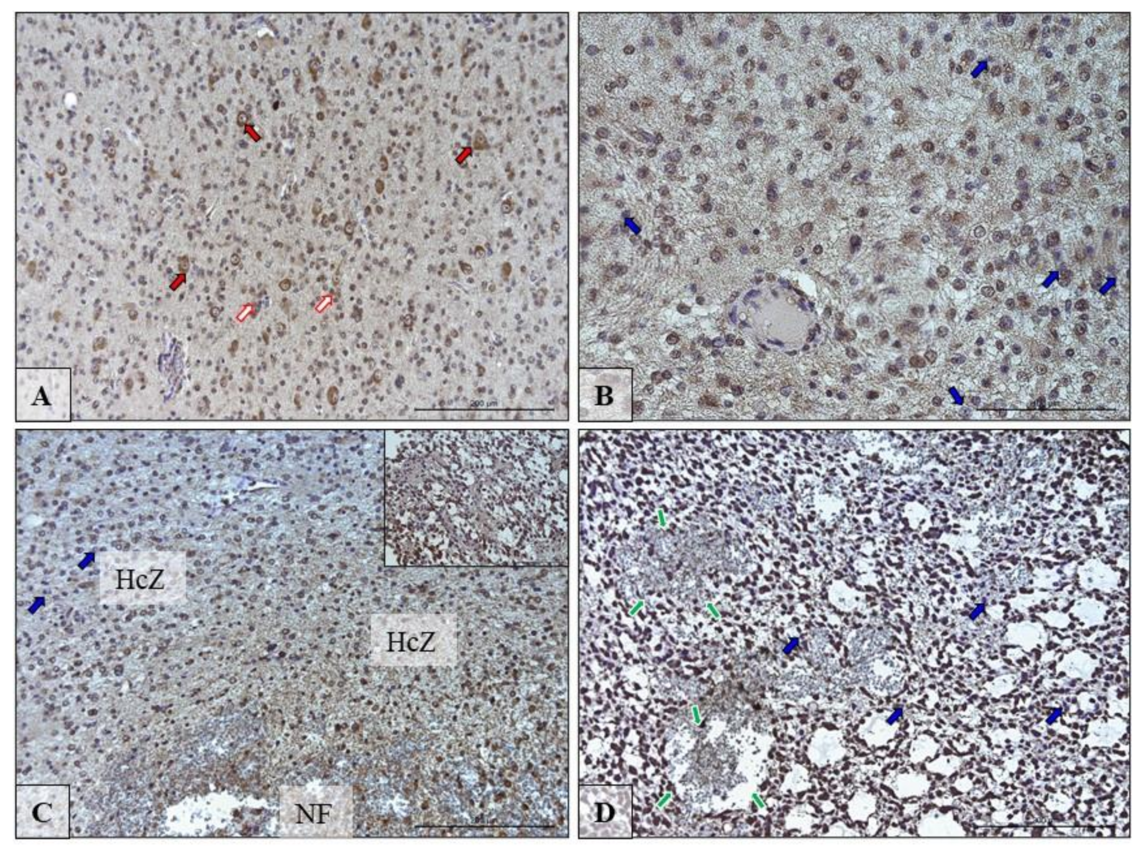
3.4. The Immunolocalization of SCD and FADS2 Desaturases in Glioblastoma Multiforme Tumor
3.5. The Effect on Necrotic Factors on the Expression of Desaturases in U-87 MG Cells
4. Discussion
4.1. Analysis of SCD Expression in GBM Tumors
4.2. Analysis of SCD5 Expression in GBM Tumors
4.3. Expression of FADS1 and FADS2 in GBM Tumors
4.4. FADS3 Expression in GBM Tumors
4.5. The effect of Necrotic Factors on the Expression of Desaturases in U-87 MG Cells
4.6. Effect of Mutation in IDH1/2 Genes on the Expression of Desaturases
4.7. Conclusions
Author Contributions
Funding
Conflicts of Interest
References
- Stupp, R.; Hegi, M.E.; Mason, W.P.; Bent, M.J.B.V.D.; Taphoorn, M.J.; Janzer, R.C.; Ludwin, S.K.; Allgeier, A.; Fisher, B.; Bélanger, K.; et al. Effects of radiotherapy with concomitant and adjuvant temozolomide versus radiotherapy alone on survival in glioblastoma in a randomised phase III study: 5-year analysis of the EORTC-NCIC trial. Lancet Oncol. 2009, 10, 459–466. [Google Scholar] [CrossRef]
- Aulakh, S.; DeDeo, M.R.; Free, J.; Rosenfeld, S.S.; Quinones-Hinojosa, A.; Paulus, A.; Manna, A.; Manochakian, R.; Chanan-Khan, A.A.; Ailawadhi, S. Survival trends in glioblastoma and association with treating facility volume. J. Clin. Neurosci. 2019, 68, 271–274. [Google Scholar] [CrossRef] [PubMed]
- Uto, Y. Recent progress in the discovery and development of stearoyl CoA desaturase inhibitors. Chem. Phys. Lipids 2016, 197, 3–12. [Google Scholar] [CrossRef] [PubMed]
- Imamura, K.; Tomita, N.; Kawakita, Y.; Ito, Y.; Ono, K.; Nii, N.; Miyazaki, T.; Yonemori, K.; Tawada, M.; Sumi, H.; et al. Discovery of Novel and Potent Stearoyl Coenzyme A Desaturase 1 (SCD1) Inhibitors as Anticancer Agents. Bioorganic Med. Chem. 2017, 25, 3768–3779. [Google Scholar] [CrossRef] [PubMed]
- Hodson, L.; Fielding, B.A. Stearoyl-CoA desaturase: Rogue or innocent bystander? Prog. Lipid Res. 2013, 52, 15–42. [Google Scholar] [CrossRef] [PubMed]
- Enoch, H.G.; Catalá, A.; Strittmatter, P. Mechanism of rat liver microsomal stearyl-CoA desaturase. Studies of the substrate specificity, enzyme-substrate interactions, and the function of lipid. J. Biol. Chem. 1976, 251, 5095–5103. [Google Scholar]
- Wang, J.; Yu, L.; Schmidt, R.E.; Su, C.; Huang, X.; Gould, K.; Cao, G. Characterization of HSCD5, a novel human stearoyl-CoA desaturase unique to primates. Biochem. Biophys. Res. Commun. 2005, 332, 735–742. [Google Scholar] [CrossRef]
- Fagerberg, L.; Hallström, B.M.; Oksvold, P.; Kampf, C.; Djureinovic, D.; Odeberg, J.; Habuka, M.; Tahmasebpoor, S.; Danielsson, A.; Edlund, K.; et al. Analysis of the human tissue-specific expression by genome-wide integration of transcriptomics and antibody-based proteomics. Mol. Cell. Proteom. 2013, 13, 397–406. [Google Scholar] [CrossRef]
- Paton, C.M.; Ntambi, J.M. Biochemical and physiological function of stearoyl-CoA desaturase. Am. J. Physiol. Metab. 2008, 297, E28–E37. [Google Scholar] [CrossRef]
- Mauvoisin, D.; Mounier, C. Hormonal and nutritional regulation of SCD1 gene expression. Biochimie 2011, 93, 78–86. [Google Scholar] [CrossRef]
- Jiang, G.; Li, Z.; Liu, F.; Ellsworth, K.; Dallas-Yang, Q.; Wu, M.; Ronan, J.; Esau, C.; Murphy, C.; Szalkowski, D.; et al. Prevention of obesity in mice by antisense oligonucleotide inhibitors of stearoyl-CoA desaturase-1. J. Clin. Investig. 2005, 115, 1030–1038. [Google Scholar] [CrossRef] [PubMed]
- Miyazaki, M.; Flowers, M.T.; Sampath, H.; Chu, K.; Otzelberger, C.; Liu, X.; Ntambi, J.M. Hepatic Stearoyl-CoA Desaturase-1 Deficiency Protects Mice from Carbohydrate-Induced Adiposity and Hepatic Steatosis. Cell Metab. 2007, 6, 484–496. [Google Scholar] [CrossRef] [PubMed]
- Yee, J.K.; Wahjudi, P.N.; Vega, J.; Lim, S.; Martin, A.; Patterson, M.E.; Cohen, J.N.; Mao, C.S.; Lee, W.-N.P. Stearoyl-CoA desaturase enzyme 1 inhibition reduces glucose utilization for de novo fatty acid synthesis and cell proliferation in 3T3-L1 adipocytes. Metabolomics 2013, 9, 809–816. [Google Scholar] [CrossRef] [PubMed]
- Dobrzyn, P.; Jazurek, M.; Dobrzyn, A. Stearoyl-CoA desaturase and insulin signaling—What is the molecular switch? Biochim. Biophys. Acta 2010, 1797, 1189–1194. [Google Scholar] [CrossRef]
- Scaglia, N.; Igal, R.A. Stearoyl-CoA Desaturase Is Involved in the Control of Proliferation, Anchorage-independent Growth, and Survival in Human Transformed Cells. J. Biol. Chem. 2005, 280, 25339–25349. [Google Scholar] [CrossRef]
- Li, J.; Ding, S.-F.; Habib, N.A.; Fermor, B.F.; Wood, C.B.; Gilmour, R.S. Partial characterization of a cDNA for human stearoyl-CoA desaturase and changes in its mRNA expression in some normal and malignant tissues. Int. J. Cancer 1994, 57, 348–352. [Google Scholar] [CrossRef]
- Guo, S.; Wang, Y.; Zhou, D.; Li, Z. Significantly increased monounsaturated lipids relative to polyunsaturated lipids in six types of cancer microenvironment are observed by mass spectrometry imaging. Sci. Rep. 2014, 4, 5959. [Google Scholar] [CrossRef]
- Bansal, S.; Berk, M.; Alkhouri, N.; Partrick, D.A.; Fung, J.J.; Feldstein, A. Stearoyl-CoA desaturase plays an important role in proliferation and chemoresistance in human hepatocellular carcinoma. J. Surg. Res. 2013, 186, 29–38. [Google Scholar] [CrossRef]
- Roongta, U.V.; Pabalan, J.G.; Wang, X.; Fargnoli, J.; Henley, B.J.; Zhu, J.; Madireddi, M.T.; Lawrence, R.M.; Wong, T.W.; Rupnow, B.A.; et al. Cancer Cell Dependence on Unsaturated Fatty Acids Implicates Stearoyl-CoA Desaturase as a Target for Cancer Therapy. Mol. Cancer Res. 2011, 9, 1551–1561. [Google Scholar] [CrossRef]
- Peck, B.; Schug, Z.T.; Zhang, Q.; Dankworth, B.; Jones, D.T.; Smethurst, E.; Patel, R.; Mason, S.; Jiang, M.; Saunders, R.; et al. Inhibition of fatty acid desaturation is detrimental to cancer cell survival in metabolically compromised environments. Cancer Metab. 2016, 4, 6. [Google Scholar] [CrossRef]
- Von Roemeling, C.; Marlow, L.; Pinkerton, A.B.; Crist, A.; Miller, J.; Tun, H.W.; Smallridge, R.C.; Copland, J.A. Aberrant lipid metabolism in anaplastic thyroid carcinoma reveals stearoyl CoA desaturase 1 as a novel therapeutic target. J. Clin. Endocrinol. Metab. 2015, 100, E697–E709. [Google Scholar] [CrossRef] [PubMed]
- Huang, J.; Fan, X.-X.; He, J.; Pan, H.; Li, R.-Z.; Huang, L.; Jiang, Z.; Yao, X.-J.; Liu, L.; Leung, E.L.-H.; et al. SCD1 is associated with tumor promotion, late stage and poor survival in lung adenocarcinoma. Oncotarget 2016, 7, 39970–39979. [Google Scholar] [CrossRef] [PubMed]
- Wang, J.; Xu, Y.; Zhu, L.; Zou, Y.; Kong, W.; Dong, B.; Huang, J.; Chen, Y.; Xue, W.; Huang, Y.; et al. High Expression of Stearoyl-CoA Desaturase 1 Predicts Poor Prognosis in Patients with Clear-Cell Renal Cell Carcinoma. PLoS ONE 2016, 11, e0166231. [Google Scholar] [CrossRef] [PubMed]
- Castro, L.F.C.; Wilson, J.M.; Gonçalves, O.; Galante-Oliveira, S.; Rocha, E.; Cunha, I. The evolutionary history of the stearoyl-CoA desaturase gene family in vertebrates. BMC Evol. Biol. 2011, 11, 132. [Google Scholar] [CrossRef]
- Sinner, D.I.; Kim, G.J.; Henderson, G.C.; Igal, R.A. StearoylCoA Desaturase-5: A Novel Regulator of Neuronal Cell Proliferation and Differentiation. PLoS ONE 2012, 7, e39787. [Google Scholar] [CrossRef]
- Bellenghi, M.; Puglisi, R.; Pedini, F.; De Feo, A.; Felicetti, F.; Bottero, L.; Sangaletti, S.; Errico, M.C.; Petrini, M.; Gesumundo, C.; et al. SCD5-induced oleic acid production reduces melanoma malignancy by intracellular retention of SPARC and cathepsin B. J. Pathol. 2015, 236, 315–325. [Google Scholar] [CrossRef]
- Angelucci, C.; D’Alessio, A.; Iacopino, F.; Proietti, G.; Di Leone, A.; Masetti, R.; Sica, G. Pivotal role of human stearoyl-CoA desaturases (SCD1 and 5) in breast cancer progression: Oleic acid-based effect of SCD1 on cell migration and a novel pro-cell survival role for SCD5. Oncotarget 2018, 9, 24364–24380. [Google Scholar] [CrossRef]
- Puglisi, R.; Bellenghi, M.; Pontecorvi, G.; Gulino, A.; Petrini, M.; Felicetti, F.; Bottero, L.; Mattia, G.; Carè, A. SCD5 restored expression favors differentiation and epithelial-mesenchymal reversion in advanced melanoma. Oncotarget 2018, 9, 7567–7581. [Google Scholar] [CrossRef][Green Version]
- Cho, H.P.; Nakamura, M.; Clarke, S.D. Cloning, expression, and fatty acid regulation of the human delta-5 desaturase. J. Biol. Chem. 1999, 274, 37335–37339. [Google Scholar] [CrossRef]
- Cho, H.P.; Nakamura, M.T.; Clarke, S.D. Cloning, expression, and nutritional regulation of the mammalian Delta-6 desaturase. J. Biol. Chem. 1999, 274, 471–477. [Google Scholar] [CrossRef]
- De Antueno, R.; Knickle, L.C.; Smith, H.; Elliot, M.L.; Allen, S.J.; Nwaka, S.; Winther, M.D. Activity of human Delta5 and Delta6 desaturases on multiple n-3 and n-6 polyunsaturated fatty acids. FEBS Lett. 2001, 509, 77–80. [Google Scholar] [CrossRef]
- D’Andrea, S.; Guillou, H.; Jan, S.; Catheline, D.; Thibault, J.-N.; Bouriel, M.; Rioux, V.; Legrand, P. The same rat Delta6-desaturase not only acts on 18- but also on 24-carbon fatty acids in very-long-chain polyunsaturated fatty acid biosynthesis. Biochem. J. 2002, 364, 49–55. [Google Scholar] [CrossRef] [PubMed]
- Zhang, J.Y.; Kothapalli, K.S.; Brenna, J.T. Desaturase and elongase-limiting endogenous long-chain polyunsaturated fatty acid biosynthesis. Curr. Opin. Clin. Nutr. Metab. Care 2016, 19, 103–110. [Google Scholar] [CrossRef] [PubMed]
- Park, W.J.; Kothapalli, K.S.D.; Lawrence, P.; Brenna, J.T. FADS2 Function Loss at the Cancer Hotspot 11q13 Locus Diverts Lipid Signaling Precursor Synthesis to Unusual Eicosanoid Fatty Acids. PLoS ONE 2011, 6, e28186. [Google Scholar] [CrossRef] [PubMed]
- He, C.; Qu, X.; Wan, J.-B.; Rong, R.; Huang, L.; Cai, C.; Zhou, K.; Gu, Y.; Qian, S.Y.; Kang, J.X. Inhibiting Delta-6 Desaturase Activity Suppresses Tumor Growth in Mice. PLoS ONE 2012, 7, e47567. [Google Scholar] [CrossRef] [PubMed]
- Hansen-Petrik, M.B.; McEntee, M.; Johnson, B.T.; Obukowicz, M.G.; Masferrer, J.; Zweifel, B.; Chiu, C.H.; Whelan, J. Selective inhibition of Delta-6 desaturase impedes intestinal tumorigenesis. Cancer Lett. 2002, 175, 157–163. [Google Scholar] [CrossRef]
- Liu, Y.; Zhu, X.; Zhu, J.; Liao, S.; Tang, Q.; Liu, K.; Guan, X.; Zhang, J.; Feng, Z. Identification of differential expression of genes in hepatocellular carcinoma by suppression subtractive hybridization combined cDNA microarray. Oncol. Rep. 2007, 18, 943–951. [Google Scholar] [CrossRef]
- Allam-Ndoul, B.; Guénard, F.; Barbier, O.; Vohl, M.-C. A Study of the Differential Effects of Eicosapentaenoic Acid (EPA) and Docosahexaenoic Acid (DHA) on Gene Expression Profiles of Stimulated Thp-1 Macrophages. Nutrients 2017, 9, 424. [Google Scholar] [CrossRef]
- Larsson, S.C.; Kumlin, M.; Ingelman-Sundberg, M.; Wolk, A. Dietary long-chain n−3 fatty acids for the prevention of cancer: A review of potential mechanisms. Am. J. Clin. Nutr. 2004, 79, 935–945. [Google Scholar] [CrossRef]
- Das, M.; Das, S. Identification of cytotoxic mediators and their putative role in the signaling pathways during docosahexaenoic acid (DHA)-induced apoptosis of cancer cells. Apoptosis 2016, 21, 1408–1421. [Google Scholar] [CrossRef]
- Kim, S.; Jing, K.; Shin, S.; Jeong, S.; Han, S.H.; Oh, H.; Yoo, Y.S.; Han, J.; Jeon, Y.J.; Heo, J.Y.; et al. ω3-polyunsaturated fatty acids induce cell death through apoptosis and autophagy in glioblastoma cells: In vitro and in vivo. Oncol. Rep. 2018, 39, 239–246. [Google Scholar] [CrossRef] [PubMed]
- Rioux, V.; Pédrono, F.; Blanchard, H.; Duby, C.; Boulier-Monthéan, N.; Bernard, L.; Beauchamp, E.; Catheline, D.; Legrand, P. Trans-vaccenate is Δ13-desaturated by FADS3 in rodents. J. Lipid Res. 2013, 54, 3438–3452. [Google Scholar] [CrossRef] [PubMed]
- Zhang, J.Y.; Qin, X.; Liang, A.; Kim, E.; Lawrence, P.; Park, W.J.; Kothapalli, K.S.D.; Brenna, J.T. Fads3 modulates docosahexaenoic acid in liver and brain. Prostaglandins Leukot. Essent. Fat. Acids 2017, 123, 25–32. [Google Scholar] [CrossRef] [PubMed]
- Lemée, J.-M.; Com, E.; Clavreul, A.; Avril, T.; Quillien, V.; De Tayrac, M.; Pineau, C.; Menei, P. Proteomic analysis of glioblastomas: What is the best brain control sample? J. Proteom. 2013, 85, 165–173. [Google Scholar] [CrossRef][Green Version]
- Gorin, F.A.; Harley, W.; Schnier, J.; Lyeth, B.; Jue, T. Perinecrotic glioma proliferation and metabolic profile within an intracerebral tumor xenograft. Acta Neuropathol. 2004, 107, 235–244. [Google Scholar] [CrossRef]
- Schiffer, D.; Mellai, M.; Annovazzi, L.; Caldera, V.; Piazzi, A.; Denysenko, T.; Melcarne, A. Stem Cell Niches in Glioblastoma: A Neuropathological View. BioMed Res. Int. 2014, 2014, 725921. [Google Scholar] [CrossRef]
- Nigim, F.; Cavanaugh, J.; Patel, A.P.; Curry, W.T.; Esaki, S.-I.; Kasper, E.M.; Chi, A.S.; Louis, D.N.; Martuza, R.L.; Rabkin, S.D.; et al. Targeting Hypoxia-Inducible Factor 1α in a New Orthotopic Model of Glioblastoma Recapitulating the Hypoxic Tumor Microenvironment. J. Neuropathol. Exp. Neurol. 2015, 74, 710–722. [Google Scholar] [CrossRef]
- Ishii, A.; Kimura, T.; Sadahiro, H.; Kawano, H.; Takubo, K.; Suzuki, M.; Ikeda, E. Histological Characterization of the Tumorigenic “Peri-Necrotic Niche” Harboring Quiescent Stem-Like Tumor Cells in Glioblastoma. PLoS ONE 2016, 11, e0147366. [Google Scholar] [CrossRef]
- Ali, M.A.; Kandasamy, A.D.; Fan, X.; Schulz, R. Hydrogen peroxide-induced necrotic cell death in cardiomyocytes is independent of matrix metalloproteinase-2. Toxicol. In Vitro 2013, 27, 1686–1692. [Google Scholar] [CrossRef]
- Zhao, L.; Lin, H.; Chen, S.; Chen, S.; Cui, M.; Shi, D.; Wang, B.; Ma, K.; Shao, Z. Hydrogen peroxide induces programmed necrosis in rat nucleus pulposus cells through the RIP1/RIP3-PARP-AIF pathway. J. Orthop. Res. 2018, 36, 1269–1282. [Google Scholar] [CrossRef]
- Maher, E.A.; Marin-Valencia, I.; Bachoo, R.M.; Mashimo, T.; Raisanen, J.; Hatanpaa, K.J.; Jindal, A.; Jeffrey, F.M.; Choi, C.; Madden, C.; et al. Metabolism of [U-13C]glucose in human brain tumorsin vivo. NMR Biomed. 2012, 25, 1234–1244. [Google Scholar] [CrossRef] [PubMed]
- Ta, N.L.; Seyfried, T.N. Influence of Serum and Hypoxia on Incorporation of [14C]-d-Glucose or [14C]-l-Glutamine into Lipids and Lactate in Murine Glioblastoma Cells. Lipids 2015, 50, 1167–1184. [Google Scholar] [CrossRef] [PubMed]
- Said, H.M.; Hagemann, C.; Anacker, J.; Schömig, B.; Vince, G.; Flentje, M.; Roosen, K.; Vordermark, D. GAPDH is not regulated in human glioblastoma under hypoxic conditions. BMC Mol. Biol. 2007, 8, 55. [Google Scholar] [CrossRef] [PubMed]
- Kreth, S.; Heyn, J.; Grau, S.; Kretzschmar, H.A.; Egensperger, R.; Kreth, F.W. Identification of valid endogenous control genes for determining gene expression in human glioma. Neuro-Oncology 2010, 12, 570–579. [Google Scholar] [CrossRef] [PubMed]
- Grube, S.; Göttig, T.; Freitag, D.; Ewald, C.; Kalff, R.; Walter, J. Selection of suitable reference genes for expression analysis in human glioma using RT-qPCR. J. Neuro-Oncology 2015, 123, 35–42. [Google Scholar] [CrossRef] [PubMed]
- Holder, A.; Gonzalez-Angulo, A.M.; Chen, H.; Akcakanat, A.; Anh, K.-; Symmans, W.F.; Pusztai, L.; Hortobagyi, G.N.; Mills, G.B.; Meric-Bernstam, F. High stearoyl-CoA desaturase 1 expression is associated with shorter survival in breast cancer patients. Breast Cancer Res. Treat. 2012, 137, 319–327. [Google Scholar] [CrossRef] [PubMed]
- Moore, S.; Knudsen, B.; True, L.D.; Hawley, S.; Etzioni, R.; Wade, C.; Gifford, D.; Coleman, I.M.; Nelson, P.S. Loss of stearoyl-CoA desaturase expression is a frequent event in prostate carcinoma. Int. J. Cancer 2005, 114, 563–571. [Google Scholar] [CrossRef]
- Zhang, R.L.; Chopp, M.; Roberts, C.; Liu, X.; Wei, M.; Nejad-Davarani, S.; Wang, X.; Zhang, Z.G. Stroke Increases Neural Stem Cells and Angiogenesis in the Neurogenic Niche of the Adult Mouse. PLoS ONE 2014, 9, e113972. [Google Scholar] [CrossRef]
- Guo, D.; Prins, R.M.; Dang, J.; Kuga, D.; Iwanami, A.; Soto, H.; Lin, K.Y.; Huang, T.T.; Akhavan, D.; Hock, M.B.; et al. EGFR Signaling Through an Akt-SREBP-1-Dependent, Rapamycin-Resistant Pathway Sensitizes Glioblastomas to Antilipogenic Therapy. Sci. Signal. 2009, 2, ra82. [Google Scholar] [CrossRef]
- Ma, D.; Nutt, C.L.; Shanehsaz, P.; Peng, X.; Louis, D.N.; Kaetzel, D.M. Autocrine Platelet-Derived Growth Factor–Dependent Gene Expression in Glioblastoma Cells Is Mediated Largely by Activation of the Transcription Factor Sterol Regulatory Element Binding Protein and Is Associated with Altered Genotype and Patient Survival in Human Brain Tumors. Cancer Res. 2005, 65, 5523–5534. [Google Scholar] [CrossRef]
- Andersson, U.; Guo, D.; Malmer, B.; Bergenheim, A.; Henriksson, R. Epidermal growth factor receptor family (EGFR, ErbB2?4) in gliomas and meningiomas. Acta Neuropathol. 2004, 108, 135–142. [Google Scholar] [CrossRef] [PubMed]
- Phillips, J.J.; Aranda, D.; Ellison, D.W.; Judkins, A.R.; Croul, S.E.; Brat, D.J.; Ligon, K.L.; Horbinski, C.; Venneti, S.; Zadeh, G.; et al. PDGFRA amplification is common in pediatric and adult high-grade astrocytomas and identifies a poor prognostic group in IDH1 mutant glioblastoma. Brain Pathol. 2013, 23, 565–573. [Google Scholar] [CrossRef] [PubMed]
- Dai, S.; Yan, Y.; Xu, Z.; Zeng, S.; Qian, L.; Huo, L.; Li, X.; Sun, L.; Gong, Z. SCD1 Confers Temozolomide Resistance to Human Glioma Cells via the Akt/GSK3β/β-Catenin Signaling Axis. Front. Pharmacol. 2018, 8, 960. [Google Scholar] [CrossRef] [PubMed]
- Gzell, C.; Wheeler, H.; Huang, D.; Gaur, P.; Chen, J.; Kastelan, M.; Back, M.; Information, P.E.K.F.C. Proliferation Index Predicts Survival after Second Craniotomy within 6 Months of Adjuvant Radiotherapy for High-grade Glioma. Clin. Oncol. 2016, 28, 215–222. [Google Scholar] [CrossRef]
- Uhlén, M.; Zhang, C.; Lee, S.; Sjöstedt, E.; Fagerberg, L.; Bidkhori, G.; Benfeitas, R.; Arif, M.; Liu, Z.; Edfors, F.; et al. A pathology atlas of the human cancer transcriptome. Science 2017, 357, eaan2507. [Google Scholar] [CrossRef]
- Expression of SCD in Glioma—The Human Protein Atlas. Available online: https://www.proteinatlas.org/ENSG00000099194-SCD/pathology/glioma (accessed on 14 January 2020).
- Liu, Y.; Jandacek, R.; Rider, T.; Tso, P.; McNamara, R.K. Elevated delta-6 desaturase (FADS2) expression in the postmortem prefrontal cortex of schizophrenic patients: Relationship with fatty acid composition. Schizophr. Res. 2009, 109, 113–120. [Google Scholar] [CrossRef]
- McNamara, R.K.; Liu, Y. Reduced expression of fatty acid biosynthesis genes in the prefrontal cortex of patients with major depressive disorder. J. Affect. Disord. 2010, 129, 359–363. [Google Scholar] [CrossRef]
- Yu, X.; Jiang, Y.; Wei, W.; Cong, P.; Ding, Y.; Xiang, L.; Wu, K. Androgen receptor signaling regulates growth of glioblastoma multiforme in men. Tumor Biol. 2014, 36, 967–972. [Google Scholar] [CrossRef]
- Bao, D.; Cheng, C.; Lan, X.; Xing, R.; Chen, Z.; Zhao, H.; Sun, J.; Wang, Y.; Niu, C.; Zhang, B.; et al. Regulation of p53wt glioma cell proliferation by androgen receptor-mediated inhibition of small VCP/p97-interacting protein expression. Oncotarget 2017, 8, 23142–23154. [Google Scholar] [CrossRef]
- Liu, X.; Wang, L.; Chen, J.; Ling, Q.; Wang, H.; Li, S.; Li, L.; Yang, S.; Xia, M.; Jing, L. Estrogen receptor β agonist enhances temozolomide sensitivity of glioma cells by inhibiting PI3K/AKT/mTOR pathway. Mol. Med. Rep. 2014, 11, 1516–1522. [Google Scholar] [CrossRef]
- Cao, L.; Qu, D.; Wang, H.; Zhang, S.; Jia, C.; Shi, Z.; Wang, Z.; Zhang, J.; Ma, J. Toosendanin Exerts an Anti-Cancer Effect in Glioblastoma by Inducing Estrogen Receptor β- and p53-Mediated Apoptosis. Int. J. Mol. Sci. 2016, 17, 1928. [Google Scholar] [CrossRef] [PubMed]
- Sareddy, G.R.; Li, X.; Liu, J.; Viswanadhapalli, S.; Garcia, L.; Gruslova, A.; Cavazos, D.; Garcia, M.; Strom, A.M.; Gustafsson, J.-A.; et al. Selective Estrogen Receptor β Agonist LY500307 as a Novel Therapeutic Agent for Glioblastoma. Sci. Rep. 2016, 6, 24185. [Google Scholar] [CrossRef] [PubMed]
- Huang, P.H.; Xu, A.; White, F.M. Oncogenic EGFR Signaling Networks in Glioma. Sci. Signal. 2009, 2, re6. [Google Scholar] [CrossRef] [PubMed]
- Zuccarini, M.; Giuliani, P.; Ziberi, S.; Carluccio, M.; Di Iorio, P.; Caciagli, F.; Ciccarelli, R. The Role of Wnt Signal in Glioblastoma Development and Progression: A Possible New Pharmacological Target for the Therapy of This Tumor. Genes 2018, 9, 105. [Google Scholar] [CrossRef] [PubMed]
- Expression of SCD5 in Glioma—The Human Protein Atlas. Available online: https://www.proteinatlas.org/ENSG00000145284-SCD5/pathology/glioma (accessed on 14 January 2020).
- Wang, N.; Lin, Y.; Gao, B.; Yan, S.; Wu, H.; Li, Y.; Wu, Q.; Wei, Y.-C. Reduced Expression of FADS1 Predicts Worse Prognosis in Non-Small-Cell Lung Cancer. J. Cancer 2016, 7, 1226–1232. [Google Scholar] [CrossRef] [PubMed]
- Yang, X.; Xu, Y.; Wang, T.; Shu, D.; Guo, P.; Miskimins, K.; Qian, S.Y. Inhibition of cancer migration and invasion by knocking down delta-5-desaturase in COX-2 overexpressed cancer cells. Redox Biol. 2017, 11, 653–662. [Google Scholar] [CrossRef]
- Du, Y.; Yan, S.-M.; Gu, W.-Y.; He, F.; Huang, L.-Y.; Li, M.; Yuan, Y.; Chen, R.-H.; Zhong, Q.; Li, M.-Z.; et al. Decreased Expression of FADS1 Predicts a Poor Prognosis in Patients with Esophageal Squamous Cell Carcinoma. Asian Pac. J. Cancer Prev. 2015, 16, 5089–5094. [Google Scholar] [CrossRef][Green Version]
- Expression of FADS1 in Glioma—The Human Protein Atlas. Available online: https://www.proteinatlas.org/ENSG00000149485-FADS1/pathology/glioma (accessed on 14 January 2020).
- Expression of FADS2 in Glioma—The Human Protein Atlas. Available online: https://www.proteinatlas.org/ENSG00000134824-FADS2/pathology/glioma (accessed on 14 January 2020).
- Kitson, A.P.; Smith, T.L.; Marks, K.A.; Stark, K.D. Tissue-specific sex differences in docosahexaenoic acid and Δ6-desaturase in rats fed a standard chow diet. Appl. Physiol. Nutr. Metab. 2012, 37, 1200–1211. [Google Scholar] [CrossRef]
- Extier, A.; Langelier, B.; Perruchot, M.-H.; Guesnet, P.; Van Veldhoven, P.P.; Lavialle, M.; Alessandri, J.-M. Gender affects liver desaturase expression in a rat model of n−3 fatty acid repletion. J. Nutr. Biochem. 2010, 21, 180–187. [Google Scholar] [CrossRef]
- Sibbons, C.M.; Brenna, J.T.; Lawrence, P.; Hoile, S.P.; Clarke-Harris, R.; Lillycrop, K.A.; Burdge, G.C. Effect of sex hormones on n-3 polyunsaturated fatty acid biosynthesis in HepG2 cells and in human primary hepatocytes. Prostaglandins Leukot. Essent. Fat. Acids 2013, 90, 47–54. [Google Scholar] [CrossRef]
- Extier, A.; Perruchot, M.-H.; Baudry, C.; Guesnet, P.; Lavialle, M.; Alessandri, J.-M. Differential effects of steroids on the synthesis of polyunsaturated fatty acids by human neuroblastoma cells. Neurochem. Int. 2009, 55, 295–301. [Google Scholar] [CrossRef] [PubMed]
- Maggiora, M.; Bologna, M.; Ceru, M.P.; Possati, L.; Angelucci, A.; Cimini, A.; Miglietta, A.; Bozzo, F.; Margiotta, C.; Muzio, G.; et al. An overview of the effect of linoleic and conjugated-linoleic acids on the growth of several human tumor cell lines. Int. J. Cancer 2004, 112, 909–919. [Google Scholar] [CrossRef] [PubMed]
- Cimini, A.; Cristiano, L.; Colafarina, S.; Benedetti, E.; Di Loreto, S.; Festuccia, C.; Amicarelli, F.; Canuto, R.A.; Cerù, M.P. PPARgamma-dependent effects of conjugated linoleic acid on the human glioblastoma cell line (ADF). Int. J. Cancer 2005, 117, 923–933. [Google Scholar] [CrossRef] [PubMed]
- Expression of FADS3 in Glioma—The Human Protein Atlas. Available online: https://www.proteinatlas.org/ENSG00000221968-FADS3/pathology/glioma (accessed on 14 January 2020).
- Marquardt, A.; Stöhr, H.; White, K.; Weber, B.H. cDNA Cloning, Genomic Structure, and Chromosomal Localization of Three Members of the Human Fatty Acid Desaturase Family. Genomics 2000, 66, 175–183. [Google Scholar] [CrossRef] [PubMed]
- Drag, J.; Goździalska, A.; Knapik-Czajka, M.; Gawedzka, A.; Gawlik, K.; Jaśkiewicz, J. Effect of high carbohydrate diet on elongase and desaturase activity and accompanying gene expression in rat’s liver. Genes Nutr. 2017, 12, 2. [Google Scholar] [CrossRef] [PubMed]
- Kaminska, B.; Czapski, B.; Guzik, R.; Król, S.K.; Gielniewski, B. Consequences of IDH1/2 Mutations in Gliomas and an Assessment of Inhibitors Targeting Mutated IDH Proteins. Molecules 2019, 24, 968. [Google Scholar] [CrossRef]
- Chowdhury, R.; Yeoh, K.K.; Tian, Y.-M.; Hillringhaus, L.; Bagg, E.; Rose, N.; Leung, I.K.H.; Li, X.S.; Woon, E.C.Y.; Yang, M.; et al. The oncometabolite 2-hydroxyglutarate inhibits histone lysine demethylases. EMBO Rep. 2011, 12, 463–469. [Google Scholar] [CrossRef]
- Xu, W.; Yang, H.; Liu, Y.; Yang, Y.; Wang, P.; Kim, S.-H.; Ito, S.; Yang, C.; Wang, P.; Xiao, M.-T.; et al. Oncometabolite 2-Hydroxyglutarate Is a Competitive Inhibitor of α-Ketoglutarate-Dependent Dioxygenases. Cancer Cell 2011, 19, 17–30. [Google Scholar] [CrossRef]
- Koivunen, P.; Lee, S.; Duncan, C.; Lopez, G.; Lu, G.; Ramkissoon, S.; Losman, J.A.; Joensuu, P.; Bergmann, U.; Gross, S.; et al. Transformation by the (R)-enantiomer of 2-hydroxyglutarate linked to EGLN activation. Nature 2012, 483, 484–488. [Google Scholar] [CrossRef]
- Cykowski, M.D.; Allen, R.A.; Fung, K.-M.; Harmon, M.A.; Dunn, S.T. Pyrosequencing of IDH1 and IDH2 Mutations in Brain Tumors and Non-neoplastic Conditions. Diagn. Mol. Pathol. 2012, 21, 214–220. [Google Scholar] [CrossRef]
- Deng, L.; Xiong, P.; Luo, Y.; Bu, X.; Qian, S.; Zhong, W.; Lv, S. Association between IDH1/2 mutations and brain glioma grade. Oncol. Lett. 2018, 16, 5405–5409. [Google Scholar] [CrossRef] [PubMed]
- Mellai, M.; Piazzi, A.; Caldera, V.; Monzeglio, O.; Cassoni, P.; Valente, G.; Schiffer, D. IDH1 and IDH2 mutations, immunohistochemistry and associations in a series of brain tumors. J. Neuro-Oncology 2011, 105, 345–357. [Google Scholar] [CrossRef] [PubMed]
- Stuani, L.; Riols, F.; Millard, P.; Sabatier, M.; Batut, A.; Saland, E.; Viars, F.; Tonini, L.; Zaghdoudi, S.; Linares, L.K.; et al. Stable Isotope Labeling Highlights Enhanced Fatty Acid and Lipid Metabolism in Human Acute Myeloid Leukemia. Int. J. Mol. Sci. 2018, 19, 3325. [Google Scholar] [CrossRef] [PubMed]
- Zhou, L.; Wang, Z.; Hu, C.; Zhang, C.; Kovatcheva-Datchary, P.; Yu, D.; Liu, S.; Ren, F.; Wang, X.; Li, Y.; et al. Integrated Metabolomics and Lipidomics Analyses Reveal Metabolic Reprogramming in Human Glioma with IDH1 Mutation. J. Proteome Res. 2018, 18, 960–969. [Google Scholar] [CrossRef]
- Viswanath, P.; Radoul, M.; Izquierdo-García, J.L.; Ong, W.Q.; Luchman, H.A.; Cairncross, J.G.; Huang, B.; Pieper, R.O.; Phillips, J.J.; Ronen, S.M. 2-Hydroxyglutarate-Mediated Autophagy of the Endoplasmic Reticulum Leads to an Unusual Downregulation of Phospholipid Biosynthesis in Mutant IDH1 Gliomas. Cancer Res. 2018, 78, 2290–2304. [Google Scholar] [CrossRef]









| N | Mean | Standard Deviation | Median | Minimum | Maximum | First Quartile | Third Quartile | Interquartile Range | |
|---|---|---|---|---|---|---|---|---|---|
| Age at surgery | 24 | 60.7 | 12.5 | 64 | 36 | 81 | 54 | 68.5 | 14.5 |
| Weight | 24 | 84 | 19 | 89 | 55 | 130 | 67.5 | 95 | 27.5 |
| Height | 23 | 172 | 12 | 172 | 147 | 196 | 163 | 182 | 19 |
| Body mass index (BMI) | 23 | 28.7 | 4.8 | 27.9 | 21.5 | 38.9 | 24.7 | 31.9 | 7.2 |
| Physical activity | 21 | 3.05 | 1.16 | 3 | 1 | 4 | 3 | 4 | 1 |
| Limitation of physical activity caused by disease | 21 | 2.10 | 0.83 | 2 | 1 | 3 | 1 | 3 | 2 |
| Limitation of cognitive abilities | 21 | 2.19 | 0.87 | 2 | 1 | 3 | 1 | 3 | 2 |
| Inclusion Criteria | Exclusion Criteria |
|---|---|
| Age 18+ | Age below 18 |
| Central nervous system tumor confirmed by radiological examination | Histopathological diagnosis other than GBM |
| Surgical and anesthetic qualification for surgery | |
| Histopathological diagnosis of biopsied tumor mass: GBM |
| Studied Gene/ Location | FADS1 | FADS2 | FADS3 | SCD | SCD5 | |||||||||||
|---|---|---|---|---|---|---|---|---|---|---|---|---|---|---|---|---|
| GTA | NC | PA | GTA | NC | PA | GTA | NC | PA | GTA | NC | PA | GTA | NC | PA | ||
| FADS1 | GTA | 1.00 | ||||||||||||||
| NC | 0.26 | 1.00 | ||||||||||||||
| PA | 0.48 * | 0.15 | 1.00 | |||||||||||||
| FADS2 | GTA | 0.77 * | 0.09 | 0.51 | 1.00 | |||||||||||
| NC | 0.15 | 0.58 * | 0.33 | 0.48 | 1.00 | |||||||||||
| PA | 0.22 | 0.10 | 0.48 * | 0.50 * | 0.53 * | 1.00 | ||||||||||
| FADS3 | GTA | 0.10 | −0.11 | 0.21 | 0.18 | 0.08 | 0.40 | 1.00 | ||||||||
| NC | 0.00 | 0.52 * | −0.01 | 0.14 | 0.21 | 0.37 | 0.40 | 1.00 | ||||||||
| PA | −0.10 | −0.03 | 0.43 * | 0.12 | 0.23 | 0.37 | 0.71 * | 0.29 | 1.00 | |||||||
| SCD | GTA | 0.58 * | 0.16 | 0.13 | 0.68* | 0.50 | 0.40 | 0.22 | 0.17 | 0.25 | 1.00 | |||||
| NC | 0.35 | 0.63 * | 0.04 | 0.38 | 0.45 * | 0.07 | 0.12 | 0.59 * | 0.09 | 0.30 | 1.00 | |||||
| PA | 0.20 | 0.35 | 0.46 * | 0.46 | 0.68 * | 0.74 * | 0.35 | 0.49 * | 0.39 | 0.64 * | 0.40 | 1.00 | ||||
| SCD5 | GTA | 0.65 * | −0.07 | 0.48 * | 0.82 * | 0.35 | 0.52 * | 0.03 | −0.05 | −0.05 | 0.56 * | 0.20 | 0.57 * | 1.00 | ||
| NC | 0.30 | 0.66 * | 0.37 | 0.51 * | 0.80 * | 0.65 * | 0.05 | 0.42 | 0.25 | 0.52 * | 0.63 * | 0.76 * | 0.48 | 1.00 | ||
| PA | 0.47 * | 0.21 | 0.55* | 0.68 * | 0.62 * | 0.70 * | 0.16 | 0.08 | −0.02 | 0.24 | 0.22 | 0.59 * | 0.65 * | 0.71 * | 1.00 | |
| Studied Gene/ Location | FADS1 | FADS2 | FADS3 | SCD | SCD5 | |||||||||||
|---|---|---|---|---|---|---|---|---|---|---|---|---|---|---|---|---|
| GTA | NC | PA | GTA | NC | PA | GTA | NC | PA | GTA | NC | PA | GTA | NC | PA | ||
| FADS1 | GTA | 1.00 | ||||||||||||||
| NC | 0.44 | 1.00 | ||||||||||||||
| PA | 0.22 | 0.31 | 1.00 | |||||||||||||
| FADS2 | GTA | 0.59 * | −0.31 | −0.20 | 1.00 | |||||||||||
| NC | 0.01 | 0.13 | 0.11 | −0.07 | 1.00 | |||||||||||
| PA | 0.16 | −0.26 | 0.52 * | 0.13 | 0.45 | 1.00 | ||||||||||
| FADS3 | GTA | 0.47 * | 0.14 | −0.01 | 0.29 | −0.16 | −0.01 | 1.00 | ||||||||
| NC | 0.13 | 0.57 * | −0.13 | −0.20 | −0.18 | −0.09 | 0.36 | 1.00 | ||||||||
| PA | −0.16 | 0.19 | 0.53 * | −0.53 * | 0.02 | 0.31 | 0.26 | 0.32 | 1.00 | |||||||
| SCD | GTA | 0.78 * | 0.30 | 0.10 | 0.67 * | 0.18 | 0.14 | 0.55 * | 0.12 | −0.13 | 1.00 | |||||
| NC | 0.14 | 0.44 | −0.06 | 0.10 | 0.24 | −0.14 | 0.02 | 0.26 | 0.11 | 0.13 | 1.00 | |||||
| PA | 0.35 | −0.09 | 0.44 | 0.37 | 0.50 * | 0.66 * | 0.22 | −0.17 | 0.32 | 0.51 * | 0.00 | 1.00 | ||||
| SCD5 | GTA | 0.65 * | −0.21 | 0.09 | 0.78 * | −0.05 | 0.20 | 0.11 | −0.44 | −0.55 * | 0.46 | 0.02 | 0.38 | 1.00 | ||
| NC | 0.19 | 0.03 | 0.03 | 0.13 | 0.69 * | 0.48 * | −0.09 | −0.19 | 0.00 | 0.15 | 0.40 | 0.45 | 0.14 | 1.00 | ||
| PA | 0.34 | −0.19 | 0.56 * | 0.30 | 0.33 | 0.72* | −0.01 | −0.35 | 0.03 | 0.04 | 0.02 | 0.42 | 0.62 * | 0.40 | 1.00 | |
| Sex | Female | Male | |||||||
|---|---|---|---|---|---|---|---|---|---|
| Studied Gene/Reference Gene/Location | Median | 1st Quartile | 3rd Quartile | N | Median | 1st Quartile | 3rd Quartile | N | p |
| SCD/B2M | |||||||||
| GTA | 0.0023 | 0.0013 | 0.0064 | 9 | 0.0009 | 0.0004 | 0.0033 | 9 | 0.233 |
| NC | 0.0004 | 0.0002 | 0.0017 | 8 | 0.0026 | 0.0004 | 0.0193 | 12 | 0.090 |
| PA | 0.0063 | 0.0018 | 0.0207 | 8 | 0.0104 | 0.0019 | 0.0202 | 12 | 1.000 |
| GTA/NC | 3.5421 | 1.0997 | 9.4235 | 8 | 0.2712 | 0.0410 | 1.3336 | 7 | 0.083 |
| SCD/GAPDH | |||||||||
| GTA | 0.0044 | 0.0008 | 0.0107 | 9 | 0.0043 | 0.0017 | 0.0060 | 9 | 0.965 |
| NC | 0.0012 | 0.0005 | 0.0036 | 8 | 0.0078 | 0.0010 | 0.0125 | 12 | 0.105 |
| PA | 0.0092 | 0.0021 | 0.0470 | 8 | 0.0186 | 0.0046 | 0.0468 | 12 | 0.758 |
| SCD5/B2M | |||||||||
| GTA | 0.0079 | 0.0017 | 0.0432 | 10 | 0.0078 | 0.0016 | 0.0088 | 9 | 0.568 |
| NC | 0.0016 | 0.0006 | 0.0102 | 9 | 0.0121 | 0.0036 | 0.0854 | 12 | 0.201 |
| PA | 0.0054 | 0.0021 | 0.0423 | 9 | 0.0235 | 0.0038 | 0.0654 | 13 | 0.664 |
| GTA/NC | 3.5979 | 1.3722 | 5.6384 | 9 | 0.3880 | 0.1523 | 0.9700 | 7 | 0.063 |
| SCD5/GAPDH | |||||||||
| GTA | 0.0090 | 0.0026 | 0.0199 | 10 | 0.0299 | 0.0046 | 0.0967 | 9 | 0.327 |
| NC | 0.0065 | 0.0012 | 0.0177 | 9 | 0.0235 | 0.0081 | 0.0328 | 12 | 0.320 |
| PA | 0.0085 | 0.0024 | 0.0502 | 9 | 0.0629 | 0.0090 | 0.1460 | 13 | 0.117 |
| Sex | Female | Male | |||||||
|---|---|---|---|---|---|---|---|---|---|
| Studied Gene/Reference Gene/Location | Median | 1st Quartile | 3rd Quartile | N | Median | 1st Quartile | 3rd Quartile | N | p |
| FADS1/B2M | |||||||||
| GTA | 0.0175 | 0.0051 | 0.0271 | 10 | 0.0065 | 0.0039 | 0.0143 | 9 | 0.369 |
| NC | 0.0128 | 0.0069 | 0.0175 | 9 | 0.0208 | 0.0054 | 0.0402 | 12 | 0.155 |
| PA | 0.0277 | 0.0155 | 0.0357 | 9 | 0.0088 | 0.0021 | 0.0306 | 13 | 0.133 |
| NC/PA | 0.4949 | 0.2562 | 0.6068 | 8 | 1.7582 | 0.4924 | 4.4001 | 11 | 0.021 * |
| FADS1/GAPDH | |||||||||
| GTA | 0.0121 | 0.0050 | 0.0204 | 10 | 0.0394 | 0.0112 | 0.0591 | 9 | 0.142 |
| NC | 0.0115 | 0.0035 | 0.0485 | 9 | 0.0183 | 0.0116 | 0.0548 | 12 | 0.477 |
| PA | 0.0340 | 0.0084 | 0.0497 | 9 | 0.0286 | 0.0050 | 0.0513 | 13 | 0.867 |
| FADS2/B2M | |||||||||
| GTA | 0.0205 | 0.0086 | 0.1085 | 10 | 0.0153 | 0.0044 | 0.0392 | 9 | 0.414 |
| NC | 0.0179 | 0.0075 | 0.0468 | 9 | 0.0260 | 0.0024 | 0.1177 | 12 | 0.670 |
| PA | 0.0836 | 0.0130 | 0.2199 | 9 | 0.0448 | 0.0079 | 0.1201 | 13 | 0.193 |
| FADS2/GAPDH | |||||||||
| GTA | 0.0482 | 0.0116 | 0.0644 | 10 | 0.0485 | 0.0184 | 0.1061 | 9 | 0.744 |
| NC | 0.0303 | 0.0066 | 0.0493 | 9 | 0.0301 | 0.0112 | 0.1144 | 12 | 0.887 |
| PA | 0.0163 | 0.0096 | 0.2084 | 9 | 0.0867 | 0.0057 | 0.2571 | 13 | 0.973 |
| FADS3/B2M | |||||||||
| GTA | 0.0086 | 0.0053 | 0.0178 | 10 | 0.0029 | 0.0019 | 0.0057 | 9 | 0.060 |
| NC | 0.0020 | 0.0013 | 0.0048 | 9 | 0.0073 | 0.0017 | 0.0242 | 12 | 0.201 |
| PA | 0.0112 | 0.0096 | 0.0255 | 9 | 0.0030 | 0.0010 | 0.0094 | 13 | 0.021 * |
| NC/PA | 0.2007 | 0.1072 | 0.2872 | 8 | 3.1901 | 0.5512 | 9.2635 | 11 | 0.013 * |
| FADS3/GAPDH | |||||||||
| GTA | 0.0100 | 0.0026 | 0.0280 | 10 | 0.0205 | 0.0032 | 0.0474 | 9 | 0.568 |
| NC | 0.0068 | 0.0008 | 0.0226 | 9 | 0.0111 | 0.0029 | 0.0257 | 12 | 0.356 |
| PA | 0.0103 | 0.0022 | 0.0358 | 9 | 0.0067 | 0.0032 | 0.0255 | 13 | 0.526 |
© 2020 by the authors. Licensee MDPI, Basel, Switzerland. This article is an open access article distributed under the terms and conditions of the Creative Commons Attribution (CC BY) license (http://creativecommons.org/licenses/by/4.0/).
Share and Cite
Korbecki, J.; Kojder, K.; Jeżewski, D.; Simińska, D.; Tarnowski, M.; Kopytko, P.; Safranow, K.; Gutowska, I.; Goschorska, M.; Kolasa-Wołosiuk, A.; et al. Expression of SCD and FADS2 Is Lower in the Necrotic Core and Growing Tumor Area than in the Peritumoral Area of Glioblastoma Multiforme. Biomolecules 2020, 10, 727. https://doi.org/10.3390/biom10050727
Korbecki J, Kojder K, Jeżewski D, Simińska D, Tarnowski M, Kopytko P, Safranow K, Gutowska I, Goschorska M, Kolasa-Wołosiuk A, et al. Expression of SCD and FADS2 Is Lower in the Necrotic Core and Growing Tumor Area than in the Peritumoral Area of Glioblastoma Multiforme. Biomolecules. 2020; 10(5):727. https://doi.org/10.3390/biom10050727
Chicago/Turabian StyleKorbecki, Jan, Klaudyna Kojder, Dariusz Jeżewski, Donata Simińska, Maciej Tarnowski, Patrycja Kopytko, Krzysztof Safranow, Izabela Gutowska, Marta Goschorska, Agnieszka Kolasa-Wołosiuk, and et al. 2020. "Expression of SCD and FADS2 Is Lower in the Necrotic Core and Growing Tumor Area than in the Peritumoral Area of Glioblastoma Multiforme" Biomolecules 10, no. 5: 727. https://doi.org/10.3390/biom10050727
APA StyleKorbecki, J., Kojder, K., Jeżewski, D., Simińska, D., Tarnowski, M., Kopytko, P., Safranow, K., Gutowska, I., Goschorska, M., Kolasa-Wołosiuk, A., Wiszniewska, B., Chlubek, D., & Baranowska-Bosiacka, I. (2020). Expression of SCD and FADS2 Is Lower in the Necrotic Core and Growing Tumor Area than in the Peritumoral Area of Glioblastoma Multiforme. Biomolecules, 10(5), 727. https://doi.org/10.3390/biom10050727

