Inhibition of MEK1/2 Signaling Pathway Limits M2 Macrophage Polarization and Interferes in the Dental Socket Repair Process in Mice
Simple Summary
Abstract
1. Introduction
2. Materials and Methods
2.1. Animals
2.2. Experimental Protocol and Mice Tooth Extraction Model
2.3. Microcomputed Tomography (μCT) Assessment
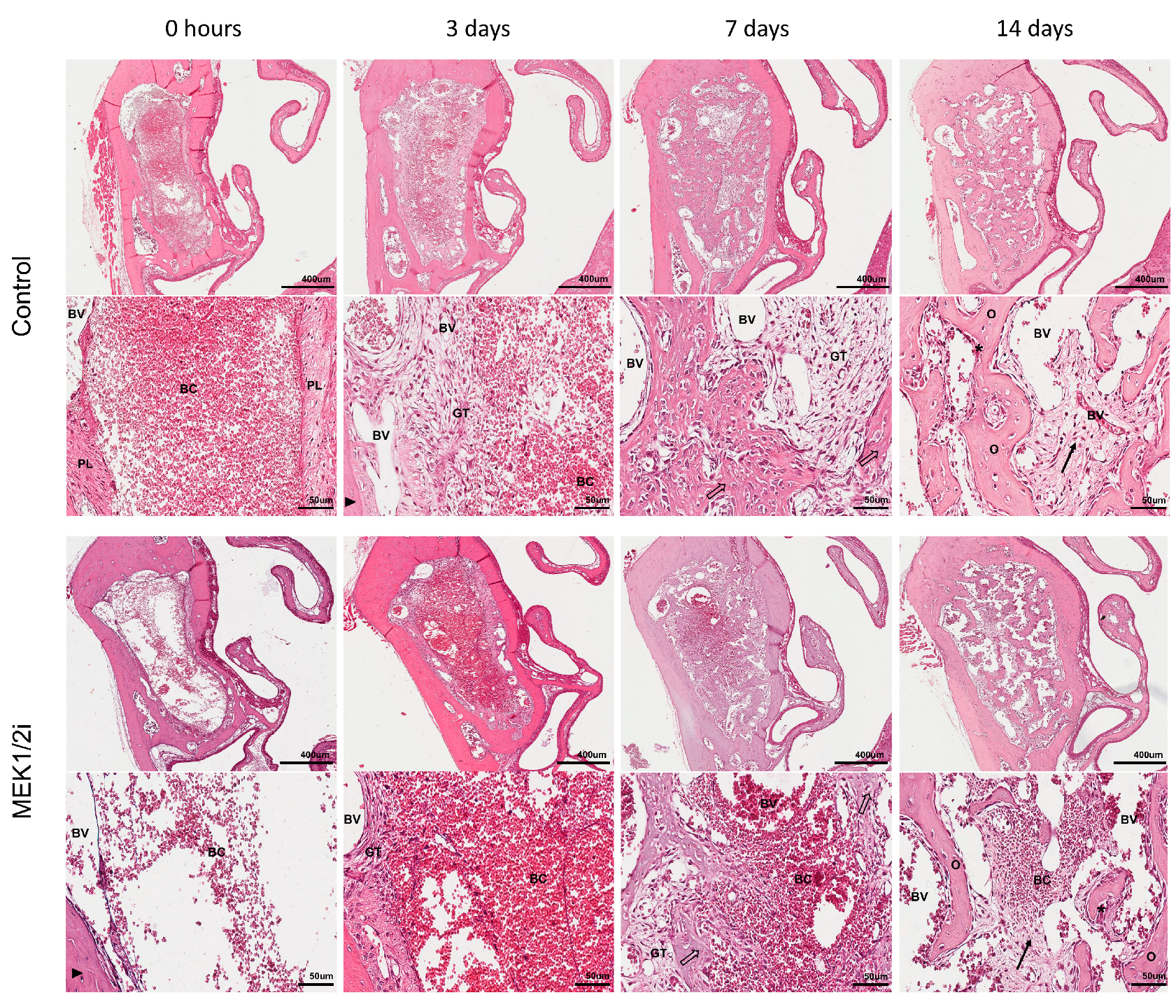
2.4. Histology Sample Preparation and Histomorphometric Analysis
2.5. Collagen Birefringence Analysis
2.6. Immunohistochemistry Analysis
2.7. Real-Time PCR Array Reactions
2.8. Statistical Analysis
3. Results
3.1. Expression of Different Molecules Present Between Groups Throughout the Evolution of Dental Socket Repair
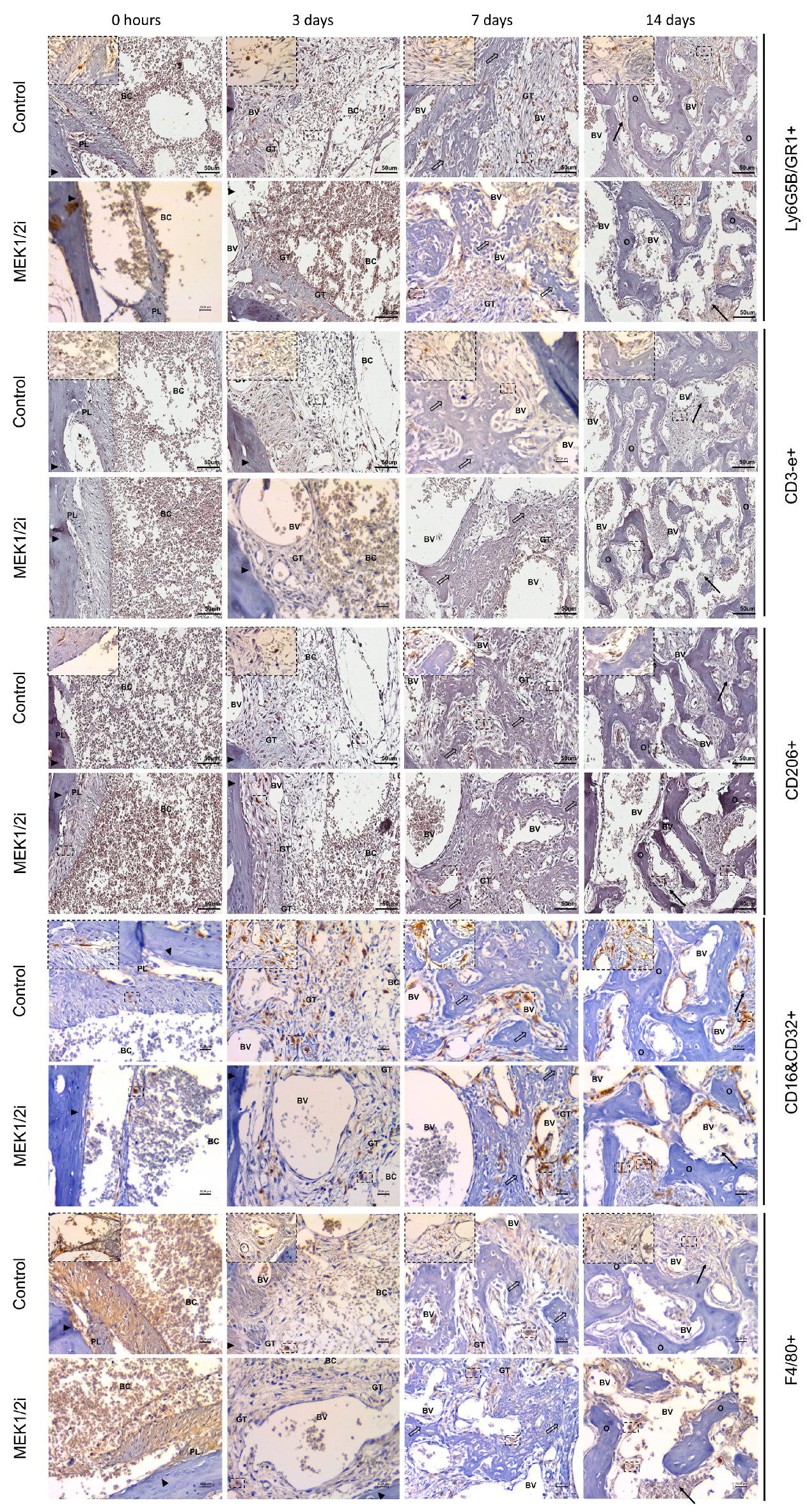
3.2. Immunolabeling Inflammatory Cells Between Groups Throughout the Evolution of Dental Socket Repair
3.2.1. Granulocyte Ly6G5B and Lymphocyte CD3-e
3.2.2. Macrophage CD206, F4/80, and CD16+CD32
3.3. Bone Microarchitecture Between Groups Throughout the Evolution of Dental Socket Repair
3.4. Density of Different Structures Present Between Groups Throughout the Evolution of Dental Socket Repair
3.5. Organization of Collagen Fibers Between Groups Throughout the Evolution of Dental Socket Repair
4. Discussion
5. Conclusions
Supplementary Materials
Author Contributions
Funding
Institutional Review Board Statement
Informed Consent Statement
Data Availability Statement
Acknowledgments
Conflicts of Interest
References
- El Sayed, S.A.; Nezwek, T.A.; Varacallo, M.A. Physiology, Bone. StatPearls: St. Petersburg, FL, USA, 2022. [Google Scholar] [PubMed]
- Mills, L.A.; Simpson, A.H.R.W. In vivo models of bone repair. J. Bone Jt. Surg. Br. 2012, 7, 865–874. [Google Scholar] [CrossRef] [PubMed]
- Maruyama, M.; Rhee, C.; Utsunomiya, T.; Zhang, N.; Ueno, M.; Yao, Z.; Goodman, S.B. Modulation of the Inflammatory Response and Bone Healing. Front. Endocrinol. 2020, 11, 386. [Google Scholar] [CrossRef] [PubMed]
- Colavite, P.M.; Vieira, A.E.; Repeke, C.E.P.; Linhari, R.P.; Andrade, R.G.C.S.; Borrego, A.; Franco, M.; Trombone, A.P.F.; Garlet, G.P. Alveolar bone healing in mice genetically selected in the maximum (AIRmax) or minimum (AIRmin) infllammatory reaction. Cytokine 2019, 114, 47–60. [Google Scholar] [CrossRef] [PubMed]
- Fan, S.; Sun, X.; Su, C.; Xue, Y.; Song, X.; Deng, R. Macrophages—Bone marrow mesenchymal stem cells crosstalk in bone healing. Front. Cell Dev. Biol. 2023, 11, 1193765. [Google Scholar] [CrossRef] [PubMed]
- Schlundt, C.; Khassawna, T.E.; Serra, A.; Dienelt, A.; Wendler, S.; Schell, H.; Rooijen, N.V.; Radbruch, A.; Lucius, R.; Hartmann, S.; et al. Macrophages in bone fracture healing: Their essential role in endochondral ossification. Bone 2016, 106, 78–89. [Google Scholar] [CrossRef]
- Muñoz, J.; Akhavan, N.S.; Mullins, A.P.; Arjmandi, B.H. Macrophage polarization and osteoporosis: A review. Nutrients 2020, 12, 2999. [Google Scholar] [CrossRef]
- Rathinam, C.; Poueymirou, W.T.; Rojas, J.; Murphy, A.J.; Murphy, A.J.; Valenzuela, D.M.; Yancopoulos, G.D.; Rongvaux, A.; Eynon, E.E.; Manz, M.G.; et al. Efficient differentiation and function of human macrophages in humanized CSF-1 mice. Blood 2011, 118, 3119–3128. [Google Scholar] [CrossRef]
- Ono, T.; Takayanagi, H. Osteoimmunology in Bone Fracture Healing. Curr. Osteoporos. Rep. 2017, 15, 367–375. [Google Scholar] [CrossRef]
- Funes, S.C.; Rios, M.; Escobar-Vera, J.; Kalergis, A.M. Implications of macrophage polarization in autoimmunity. Immunology 2018, 154, 186–195. [Google Scholar] [CrossRef]
- He, L.; Jhong, J.; Chen, Q.; Huang, K.; Strittmatter, K.; Kreuzer, J.; DeRan, M.; Wu, X.; Lee, T.; Slavov, N.; et al. Global characterization of macrophage polarization mechanisms and identification of M2-type polarization inhibitors. Cell Rep. 2021, 37, 109955. [Google Scholar] [CrossRef]
- Chang, F.; Steelman, L.S.; Lee, J.T.; Shelton, J.G.; Navolanic, P.M.; Blalok, W.L.; Franklin, R.A.; McCubrey, J.A. Signal transduction mediated by the Ras/Raf/MEK/ERK pathway from cytokine receptors to transcription factors: Potential targeting for therapeutic intervention. Nature 2003, 17, 1263–1293. [Google Scholar] [CrossRef] [PubMed]
- Azevedo, M.C.S.; Fonseca, A.C.; Colavite, P.M.; Melchiades, J.L.; Tabanez, A.P.; Codo, A.C.; Medeiros, A.I.; Trombone, A.P.F.; Garlet, G.P. Macrophage Polarization and Alveolar Bone Healing Outcome: Despite a Significant M2 Polarizing Effect, VIP and PACAP Treatments Present a Minor Impact in Alveolar Bone Healing in Homeostatic Conditions. Front. Immunol. 2021, 12, 782566. [Google Scholar] [CrossRef] [PubMed]
- Witzel, R.; Block, A.; Pollmann, S.; Oetzel, L.; Fleck, F.; Bonaterra, G.A.; Kinscherf, R.; Schwarz, A. PACAP regulates VPAC1 expression, inflammatory processes and lipid homeostasis in M1- and M2-macrophages. Front. Cardiovasc. Med. 2023, 10, 1264901. [Google Scholar] [CrossRef] [PubMed]
- Geel, R.M.J.M.; Brummelen, E.M.J.; Eskens, F.A.L.M.; Huijberts, S.C.F.A.; Vos, F.Y.F.L.; Lolkema, M.P.J.K.; Devriese, L.A.; Opdam, F.L.; Marchetti, S.; Steeghs, N.; et al. Phase 1 study of the pan-HER inhibitor dacomitinib plus the MEK1/2 inhibitor PD-0325901 in patients with KRAS-mutation-positive colorectal, non-small-cell lung and pancreatic cancer. Br. J. Cancer 2020, 8, 1166–1174. [Google Scholar] [CrossRef] [PubMed]
- Long, M.E.; Gong, K.Q.; Eddy, W.E.; Volk, J.S.; Morrell, E.D.; Mikacenic, C.; West, T.E.; Skerrett, S.J.; Charron, J.; Liles, W.C.; et al. MEK1 regulates pulmonary macrophage inflammatory responses and resolution of acute lung injury. JCI Insight 2019, 4, 23. [Google Scholar] [CrossRef]
- Mohammed, K.A.K.; Madeddu, P.; Avolio, E. MEK inhibitors: A promising targeted therapy for cardiovascular disease. Front. Cardiovasc. Med. 2024, 11, 1404253. [Google Scholar] [CrossRef]
- Martin-Vega, A.; Cobb, M.H. Navigating the ERK1/2 MAPK Cascade. Biomolecules 2023, 13, 1555. [Google Scholar] [CrossRef]
- Strizova, Z.; Benesova, I.; Bartolini, R.; Novysedlak, R.; Cecrdlova, R.; Foley, L.K.; Striz, I. M1/M2 macropaheges and their overlaps—Myth or reality? Clin. Sci. 2023, 137, 1067–1093. [Google Scholar] [CrossRef]
- Vieira, A.E.; Repeke, C.E.; Junior, S.B.F.; Colavite, P.M.; Biguetti, C.C.; Oliveira, R.C.; Assis, G.F.; Taga, R.; Trombone, A.P.F.; Garlet, G.P. Intramembranous bone healing process subsequent to tooth extraction in mice: Micro-computed tomography, histomorphometric and molecular characterization. PLoS ONE 2015, 10, e0128021. [Google Scholar] [CrossRef]
- Thompson, E.M.; Matsiko, A.; Farrell, E.; Kelly, D.J.; Brien, F.O. Recapitulating endochondral ossification: A promising route to in vivo bone regeneration. J. Tissue Eng. Regen. Med. 2015, 9, 889–902. [Google Scholar] [CrossRef]
- Sager, H.B.; Hulsmans, M.; Lavine, K.J.; Moreira, M.B.; Heidt, T.; Courties, G.; Sun, Y.; Iwamoto, Y.; Tricot, B.; Khan, O.F.; et al. Integrative Physiology Proliferation and Recruitment Contribute to Myocardial Macrophage Expansion in Chronic Heart Failure. Circ. Res. 2016, 7, 853–864. [Google Scholar] [CrossRef] [PubMed]
- Dessel, J.V.; Nicolielo, L.F.P.; Huang, Y.; Slagmolen, P.; Politis, C.; Lambrichts, I.; Jacobs, R. Quantification of bone quality using different cone beam computed tomography devices: Accuracy assessment for edentulous human mandibles. Eur. J. Oral Implantol. 2016, 9, 411–424. [Google Scholar] [CrossRef] [PubMed]
- Loi, F.; Córdova, L.A.; Pajarinen, J.; Lin, T.; Yao, Z.; Goodman, S.B. Inflammation, Fracture and Bone Repair. Bone 2016, 86, 119–130. [Google Scholar] [CrossRef] [PubMed]
- Sinder, B.P.; Pettit, A.R.; McCauley, L.K. Macrophages: Their Emerging Roles in Bone. J. Bone Miner. Res. 2015, 30, 2140–2149. [Google Scholar] [CrossRef]
- Long, M.E.; Eddy, W.E.; Gong, K.; Lovelace-Macon, L.L.; McMahan, R.S.; Charron, J.; Liles, W.C.; Manicone, A.M. MEK1/2 Inhibition Promotes Macrophage Reparative Properties. J. Immunol. 2017, 198, 862–872. [Google Scholar] [CrossRef]
- Abdelaziz, M.H.; Abdelwahab, S.F.; Wan, J.; Cai, W.; Huixuan, W.; Jianjun, C.; Kumar, K.D.; Vasudevan, A.; Sadek, A.; Su, Z.; et al. Alternatively activated macrophages; A double-edged sword in allergic asthma. J. Transl. Med. 2020, 18, 58. [Google Scholar] [CrossRef]
- Geiß, C.; Salas, E.; Guevara-coto, J.; Régnier-Vigouroux, A.; Mora-Rodriguez, R.A. Multistability in Macrophage Activation Pathways and Metabolic Implications. Cells 2022, 3, 404. [Google Scholar] [CrossRef]
- Yuan, K.; Zheng, J.; Shen, X.; Wu, Y.; Han, Y.; Jin, X.; Huang, X. Sensory nerves promote corneal inflammation resolution via CGRP mediated transformation of macrophages to the M2 phenotype through the PI3K/AKT signaling pathway. Int. Immunopharmacol. 2022, 102, 108426. [Google Scholar] [CrossRef]
- De, M.; Serpa, G.; Zuiker, E.; Hisert, K.B.; Liles, W.C.; Manicone, A.M.; Hemann, E.A.; Long, M.E. MEK1/2 inibition decreases pro-inflammatory responses in macrophages from people with cystic fibrosis and mitigates severity of illness in experimental murine methicillin-resistant Staphylococcus aureus infection. Front. Cell. Infect. Microbiol. 2024, 14, 1275940. [Google Scholar] [CrossRef]
- Hashimoto, R.; Kakigi, R.; Miyamoto, Y.; Nakamura, K.; Itoh, S.; Daida, H.; Okada, T.; Katoh, Y. JAK-STAT-dependent regulation of scavenger receptors in LPS-activated murine macrophages. Eur. J. Pharmacol. 2020, 871, 2–8. [Google Scholar] [CrossRef]
- Tabanez, A.P.; Azevedo, M.C.S.; Melchiades, J.L.; Fonseca, A.C.; Francisconi, C.F.; Colavite, P.M.; Biguetti, C.C.; Pegoraro, C.O.R.; Trombone, A.P.; Garlet, G.P. FTY720 administration results in a M2 associated immunoregulatory effect that positively influences the outcome of alveolar bone repair outcome in mice. Bone 2022, 163, 116506. [Google Scholar] [CrossRef] [PubMed]
- Soliman, A.M.; Barreda, D.R. Acute Inflammation in Tissue Healing. Int. J. Mol. Sci. 2023, 24, 641. [Google Scholar] [CrossRef] [PubMed]
- Ren, D.; Sun, A.; Li, Y.; Chen, M.; Ge, S.; Hu, B. Exogenous melatonin inhibits neutrophil migration through suppression of ERK activation. J. Endocrinol. 2015, 1, 49–60. [Google Scholar] [CrossRef] [PubMed]
- Mizuno, R.; Kamioka, Y.; Kabashima, K.; Imajo, M.; Sumiyama, K.; Nakasho, E.; Ito, T.; Hamazaki, Y.; Okuchi, Y.; Sakai, Y.; et al. In vivo imaging reveals PKA regulation of ERK activity during neutrophil recruitment to inflamed intestines. J. Exp. Med. 2014, 211, 1123–1136. [Google Scholar] [CrossRef]
- Wang, X.; Xue, Y.; Ye, W.; Pang, J.; Liu, Z.; Cao, Y.; Zheng, Y.; Ding, D. The MEK-ERK1/2 signaling pathway regulates hyaline cartilage formation and the redifferentiation of dedifferentiated chondrocytes in vitro. Am. J. Transl. Res. 2018, 10, 3068–3085. [Google Scholar]
- Lee, J.; Honjo, M.; Aihara, M. A MEK inhibitor arrests the cell cycle of human conjunctival fibroblasts and improves the outcome of glaucoma filtration surgery. Sci. Rep. 2024, 14, 1871. [Google Scholar] [CrossRef]
- El-hoss, J.; Kolind, M.; Jackson, M.T.; Deo, N.; Mikulec, K.; McDonald, M.M.; Little, C.B.; Little, D.G.; Schindeler, A. Modulation of endochondral ossification by MEK inhibitors PD0325901 and AZD6244 (Selumetinib). Bone 2014, 59, 151–161. [Google Scholar] [CrossRef]
- Ranch, D.; Zhang, M.Y.H.; Portale, A.A.; Perwad, F. Fibroblast growth factor 23 regulates renal 1,25-dihydroxyvitamin D and phosphate metabolism via the MAP kinase signaling pathway in Hyp mice. J. Bone Miner. Res. 2011, 26, 1883–1890. [Google Scholar] [CrossRef]
- McArthur, K.; D’Cruz, A.A.; Segal, D.; Lackovic, K.; Wilks, A.F.; O’Donnell, J.A.; Nowell, C.J.; Gerlic, M.; Huang, D.C.S.; Burns, C.J.; et al. Defining a therapeutic window for kinase inhibitors in leukemia to avoid neutropenia. Oncotarget 2017, 8, 57948–57963. [Google Scholar] [CrossRef]
- Ciuffreda, L.; Bufalo, D.D.; Desideri, M.; Sanza, C.D.; Stoppacciaro, A.; Ricciardi, M.R.; Chiaretti, S.; Tavolaro, S.; Benassi, B.; Bellacosa, A.; et al. Growth-inhibitory and antiangiogenic activity of the MEK inhibitor PD0325901 in malignant melanoma with or without BRAF mutations. Neoplasia 2009, 11, 720–731. [Google Scholar] [CrossRef]
- Moroi, A.J.; Watson, S.P. Akt and mitogen-activated protein kinase enhance C-type lectin-like receptor 2-mediated platelet activation by inhibition of glycogen synthase kinase 3α/β. J. Thromb. Haemost. 2015, 13, 1139–1150. [Google Scholar] [CrossRef] [PubMed]
- Zhang, Z.; Hu, X.; Lu, Y.; Zhang, J.; Li, W.; Zhang, W.; Feng, W.; Ding, D.; Xu, J. MEK1/2 Inhibitor (GDC0623) Promotes Osteogenic Differentiation of Primary Osteoblasts Inhibited by IL-1β through the MEK-Erk1/2 and Jak/Stat3 Pathways. Int. J. Endocrinol. 2021, 2021, 5720145. [Google Scholar] [CrossRef] [PubMed]
- Yu, Y.; Wang, X.; Zhang, X.; Zhai, Y.; Lu, X.; Ma, H.; Zhu, K.; Zhao, T.; Jiao, J.; Zhao, Z.; et al. ERK inhibition promotes neuroectodermal precursor commitment by blocking self-renewal and primitive streak formation of the epiblast. Stem Cell Res. Ther. 2018, 9, 2. [Google Scholar] [CrossRef] [PubMed]
- El-Hoss, J.; Cheng, T.; Carpenter, E.C.; Sullivan, K.; Deo, N.; Mikulec, K.; Little, D.G.; Schindeler, A. A Combination of rhBMP-2 (Recombinant Human Bone Morphogenetic Protein-2) and MEK (MAP Kinase/ERK Kinase) Inhibitor PD0325901 Increases Bone Formation in a Murine Model of Neurofibromatosis Type I Pseudarthrosis. J. Bone Jt. Surg. Am. 2014, 96, 117. [Google Scholar] [CrossRef]
- Jiang, T.; Gong, Y.; Zhang, W.; Qiu, J.; Zheng, X.; Li, Z.; Yang, G.; Hong, Z. PD0325901, an ERK inhibitor, attenuates RANKL-induced osteoclast formation and mitigates cartilage inflammation by inhibiting the NF-kb and MAPK pathways. Bioorg. Chem. 2023, 132, 2–11. [Google Scholar] [CrossRef]
- Wen, X.; Hu, G.; Xiao, X.; Zhang, X.; Zhang, Q.; Guo, H.; Li, X.; Liu, Q.; Li, H. FGF2 positively regulates osteoclastogenesis via activating the ERK-CREB pathway. Arch. Biochem. Biophys. 2022, 727, 109348. [Google Scholar] [CrossRef]









Disclaimer/Publisher’s Note: The statements, opinions and data contained in all publications are solely those of the individual author(s) and contributor(s) and not of MDPI and/or the editor(s). MDPI and/or the editor(s) disclaim responsibility for any injury to people or property resulting from any ideas, methods, instructions or products referred to in the content. |
© 2025 by the authors. Licensee MDPI, Basel, Switzerland. This article is an open access article distributed under the terms and conditions of the Creative Commons Attribution (CC BY) license (https://creativecommons.org/licenses/by/4.0/).
Share and Cite
Fonseca, A.C.; Colavite, P.M.; Azevedo, M.d.C.S.; Passadori, D.C.; Melchiades, J.L.; Ortiz, R.C.; Rodini, C.O.; Trombone, A.P.F.; Garlet, G.P. Inhibition of MEK1/2 Signaling Pathway Limits M2 Macrophage Polarization and Interferes in the Dental Socket Repair Process in Mice. Biology 2025, 14, 107. https://doi.org/10.3390/biology14020107
Fonseca AC, Colavite PM, Azevedo MdCS, Passadori DC, Melchiades JL, Ortiz RC, Rodini CO, Trombone APF, Garlet GP. Inhibition of MEK1/2 Signaling Pathway Limits M2 Macrophage Polarization and Interferes in the Dental Socket Repair Process in Mice. Biology. 2025; 14(2):107. https://doi.org/10.3390/biology14020107
Chicago/Turabian StyleFonseca, Angélica Cristina, Priscila Maria Colavite, Michelle de Campos Soriani Azevedo, Daniela Carignatto Passadori, Jessica Lima Melchiades, Rafael Carneiro Ortiz, Camila Oliveira Rodini, Ana Paula Favaro Trombone, and Gustavo Pompermaier Garlet. 2025. "Inhibition of MEK1/2 Signaling Pathway Limits M2 Macrophage Polarization and Interferes in the Dental Socket Repair Process in Mice" Biology 14, no. 2: 107. https://doi.org/10.3390/biology14020107
APA StyleFonseca, A. C., Colavite, P. M., Azevedo, M. d. C. S., Passadori, D. C., Melchiades, J. L., Ortiz, R. C., Rodini, C. O., Trombone, A. P. F., & Garlet, G. P. (2025). Inhibition of MEK1/2 Signaling Pathway Limits M2 Macrophage Polarization and Interferes in the Dental Socket Repair Process in Mice. Biology, 14(2), 107. https://doi.org/10.3390/biology14020107

