Marginal Bone Loss in Implants with External Connection versus Internal Conical Connection Prior to Prosthetic Loading. A Randomized Clinical Study
Abstract
1. Introduction
2. Materials and Methods
2.1. Study Population
2.2. Study Data
2.3. Study Design and Randomization
2.4. Sample Size Calculation
2.5. Surgical Intervention and Clinical Follow-Up
2.6. Implant Success Criteria
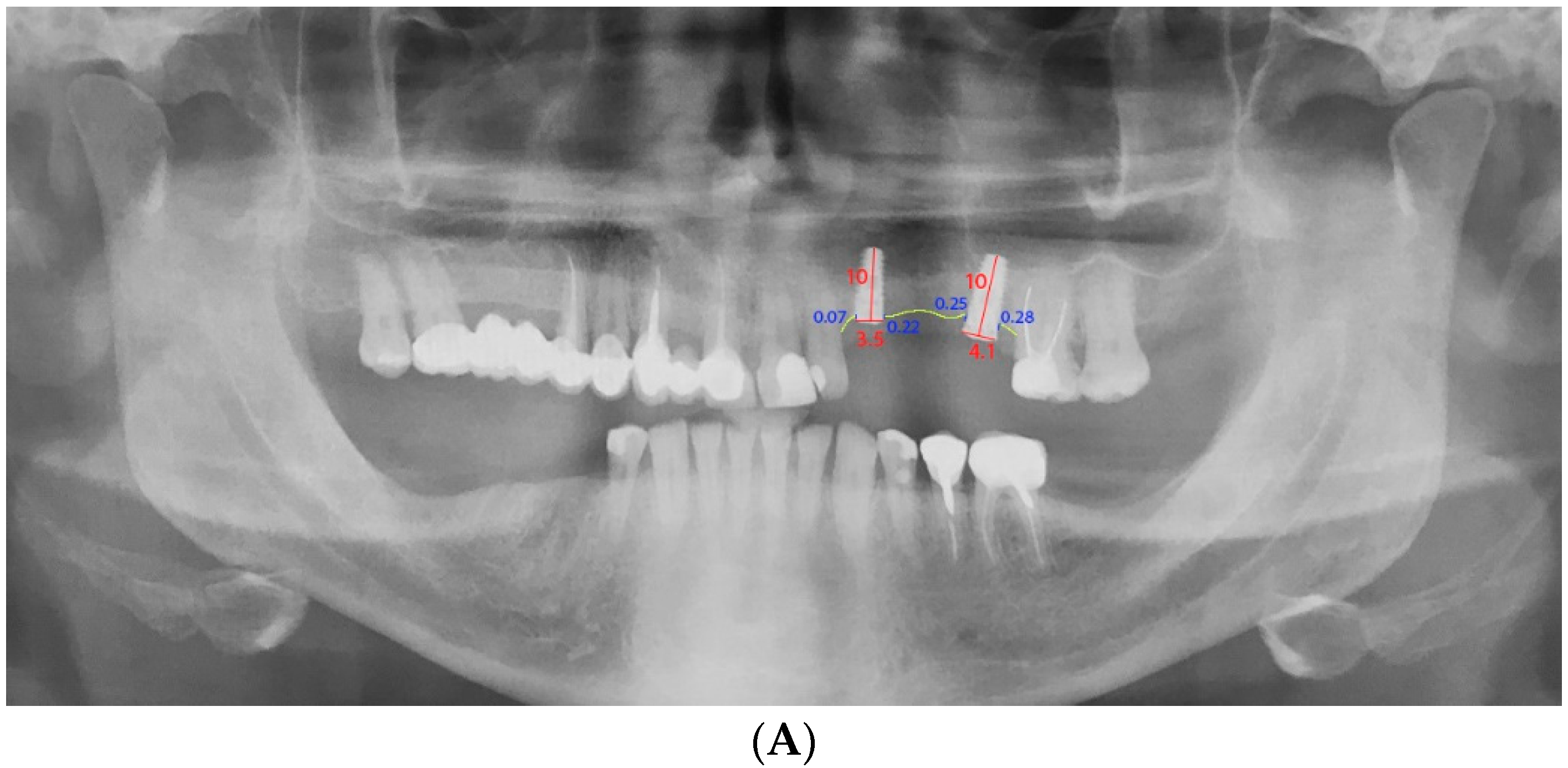
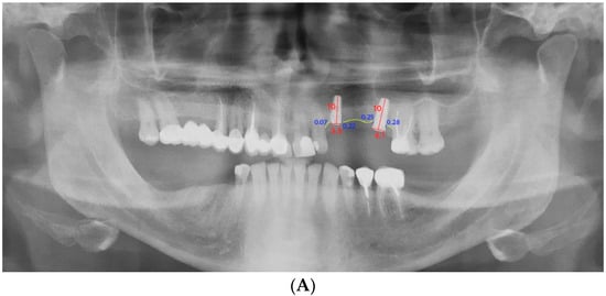
2.7. Radiographic Monitoring of Bone Loss
2.8. Resonance Frequency Analysis (RFA)
2.9. Restorative Procedures
2.10. Single-Blind Study
2.11. Statistical Analysis
3. Results
3.1. Data Referred to Patients
3.2. Data Referring to Implants
3.3. Implant Success and Survival
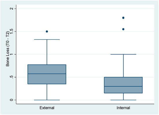
3.4. Bone Loss
3.5. Resonance Frequency Analysis (RFA)
4. Discussion
5. Conclusions
Author Contributions
Funding
Acknowledgments
Conflicts of Interest
References
- Åstrand, P.; Ahlqvist, J.; Gunne, J.; Nilson, H. Implant treatment of patients with edentulous jaws: A 20-year follow-up. Clin. Implant Dent. Relat. Res. 2008, 10, 207–217. [Google Scholar] [CrossRef] [PubMed]
- Khoury-Ribas, L.; Ayuso-Montero, R.; Willaert, E.; Peraire, M.; Martinez-Gomis, J. Changes in masticatory laterality 3 months after treatment with unilateral implant-supported fixed partial prosthesis. J. Oral Rehabil. 2020, 47, 78–85. [Google Scholar] [CrossRef] [PubMed]
- Khoury-Ribas, L.; Ayuso-Montero, R.; Willaert, E.; Peraire, M.; Martinez-Gomis, J. Do implant-supported fixed partial prostheses improve masticatory performance in patients with unilateral posterior missing teeth? Clin. Oral Implants Res. 2019, 30, 420–428. [Google Scholar] [CrossRef] [PubMed]
- Branemark, P.I.; Zarb, A.; Albrektsson, T. Tissue-Integrated Prostheses: Osseointegration in Clinical Dentistry; Quintessence Pub Co.: Batavia, NY, USA, 1985; pp. 11–53. [Google Scholar]
- Gracis, S.; Michalakis, K.; Vigolo, P.; vom Steyern, P.V.; Zwahlen, M.; Sailer, L. Internal vs. external connections for abutments/reconstructions: A systematic review. Clin. Oral Implants Res. 2012, 6, 202–216. [Google Scholar] [CrossRef] [PubMed]
- Sousa, R.; Simamoto-Junior, P.; Fernandes-Neto, A.; Sloten, J.; Jaecques, S.; Pessoa, R. Influence of connection types and implant number on the biomechanical behavior of mandibular full-arch rehabilitation. Int. J. Oral Maxillofac. Implants 2016, 31, 750–760. [Google Scholar] [CrossRef][Green Version]
- Zipprich, H.; Weigl, P.; Ratka, C.; Lange, B.; Lauer, H.C. The micromechanical behavior of implant-abutment connections under a dynamic load protocol. Clin. Implants Dent. Relat. Res. 2018, 20, 814–823. [Google Scholar] [CrossRef] [PubMed]
- Perriard, J.; Wiskott, W.A.; Mellal, A.; Scherrer, S.S.; Botsis, J.; Belser, U.C. Fatigue resistance of ITI implant-abutment connectors—A comparison of the standard cone with a novel internally keyed design. Clin. Oral Implants Res. 2002, 13, 542–549. [Google Scholar] [CrossRef] [PubMed]
- Sutter, F.; Weber, H.P.; Sorensen, J.; Belser, U. The new restorative concept of the ITI dental implant system: Design and engineering. Int. J. Periodontics Restor. Dent. 1993, 13, 409–431. [Google Scholar]
- Meada, Y.; Satoh, T.S.M. In vitro differences of stress concentrations for internal and external hex implant-abutment connections: A short communication. J. Oral Rehabil. 2006, 33, 75–78. [Google Scholar] [CrossRef]
- Macedo, J.P.; Pereira, J.; Vahey, B.R.; Henriques, B.; Benfatti, C.A.M.; Magini, R.S.; López-López, J.; Souza, J.C.M. Morse taper dental implants and platform switching: The new paradigm in oral implantology. Eur. J. Dent. 2016, 10, 148–154. [Google Scholar] [CrossRef] [PubMed]
- Lazzara, R.J.; Porter, S.S. Platform switching: A new concept in implant dentistry for controlling postrestorative crestal bone levels. Int. J. Periodontics Restor. Dent. 2006, 26, 9–17. [Google Scholar]
- Degidi, M.; Perrotti, V.; Shibli, J.A.; Novaes, A.B.; Piattelli, A.; Iezzi, G. Equicrestal and subcrestal dental implants: A histologic and histomorphometric evaluation of nine retrieved human implants. J. Periodontol. 2011, 82, 708–715. [Google Scholar] [CrossRef]
- Enkling, N.; Jöhren, P.; Klimberg, V.; Bayer, S.; Mericske-Stern, R.; Jepsen, S. Effect of platform switching on peri-implant bone levels: A randomized clinical trial. Clin. Oral Implants Res. 2011, 22, 1185–1192. [Google Scholar] [CrossRef] [PubMed]
- Meloni, S.M.; Jovanovic, S.A.; Lolli, F.M.; Pisano, M.; De Riu, G.; De Riu, N.; Lugliè, P.F.; Tullio, A. Platform switching vs. regular platform implants: Nine-month post-loading results from a randomised controlled trial. Eur. J. Oral Implantol. 2014, 7, 257–265. [Google Scholar] [PubMed]
- Dailey, B.; Jordan, L.; Blind, O.; Tavernier, B. Axial displacement of abutments into implants and implant replicas, with the tapered cone-screw internal connection, as a function of tightening torque. Int. J. Oral Maxillofac. Implants 2009, 24, 251–256. [Google Scholar] [PubMed]
- Kim, K.-S.; Lim, Y.-J.; Kim, M.-J.; Kwon, H.-B.; Yang, J.-H.; Lee, J.-B.; Yim, S.-H. Variation in the total lengths of abutment/implant assemblies generated with a function of applied tightening torque in external and internal implant-abutment connection. Clin. Oral Implants Res. 2011, 22, 834–839. [Google Scholar] [CrossRef]
- Albrektsson, T.; Zarb, G.; Worthington, P.; Eriksson, A.R. The long-term efficacy of currently used dental implants: A review and proposed criteria of success. Int. J. Oral Maxillofac. Implants 1986, 1, 11–25. [Google Scholar]
- de Siqueira, R.A.C.; Fontão, F.N.G.K.; Sartori, I.A.d.M.; Santos, P.G.F.; Bernardes, S.R.; Tiossi, R. Effect of different implant placement depths on crestal bone levels and soft tissue behavior: A randomized clinical trial. Clin. Oral Implants Res. 2017, 28, 1227–1233. [Google Scholar] [CrossRef]
- Koutouzis, T.; Neiva, R.; Nair, M.; Nonhoff, J.; Lundgren, T. Cone beam computed tomographic evaluation of implants with platform-switched Morse taper connection with the implant-abutment interface at different levels in relation to the alveolar crest. Int. J. Oral Maxillofac. Implants 2016, 29, 1157–1163. [Google Scholar] [CrossRef]
- Koh, R.U.; Oh, T.-J.; Rudek, I.; Neiva, G.F.; Misch, C.E.; Rothman, E.D.; Wang, H.-L. Hard and soft tissue changes after crestal and subcrestal immediate implant placement. J. Periodontol. 2011, 82, 1112–1120. [Google Scholar] [CrossRef]
- Vervaeke, S.; Matthys, C.; Nassar, R.; Christiaens, V.; Cosyn, J.; De Bruyn, H. Adapting the vertical position of implants with a conical connection in relation with soft tissue thickness prevents early implant surface exposure: A 2-year prospective intra-subject comparison. J. Clin. Periodontol. 2018. [Google Scholar] [CrossRef]
- Al Amri, M.D.; Al-Johany, S.S.; Al Baker, A.M.; Al Rifaiy, M.Q.; Abduljabbar, T.S.; Al-Kheraif, A.A. Soft tissue changes and crestal bone loss around platform-switched implants placed at crestal and subcrestal levels: 36-month results from a prospective split-mouth clinical trial. Clin. Oral Implants Res. 2017, 28, 1342–1347. [Google Scholar] [CrossRef] [PubMed]
- Fickl, S.; Zuhr, O.; Stein, J.M.; Hürzeler, M.B. Peri-implant bone level around implants with platform-switched abutments. Int. J. Oral Maxillofac. Implants 2010, 25, 577–581. [Google Scholar] [PubMed]
- Cooper, L.; Tarnow, D.; Froum, S.; Moriarty, J.; De Kok, I. Comparison of marginal bone changes with internal conus and external hexagon design implant systems: A prospective, randomized study. Int. J. Periodontics Restor. Dent. 2016, 36, 631–642. [Google Scholar] [CrossRef] [PubMed]
- Peñarrocha-Diago, M.A.; Flichy-Fernández, A.J.; Alonso-González, R.; Peñarrocha-Oltra, D.; Balaguer-Martínez, J.; Peñarrocha-Diago, M. Influence of implant neck design and implant-abutment connection type on peri-implant health. Radiological study. Clin. Oral Implants Res. 2013, 24, 1192–1200. [Google Scholar] [CrossRef]
- Arnhart, C.; Kielbassa, A.M.; Martinez-de Fuentes, R.; Goldstein, M.; Jackowski, J.; Lorenzoni, M.; Maiorana, C.; Mericske-Stern, R.; Pozzi, A.; Rompen, E.; et al. Comparison of variable-thread tapered implant designs to a standard tapered implant design after immediate loading. A 3-year multicentre randomised controlled trial. Eur. J. Oral Implantol. 2012, 5, 123–136. [Google Scholar]
- Caricasulo, R.; Malchiodi, L.; Ghensi, P.; Fantozzi, G.; Cucchi, A. The influence of implant-abutment connection to peri-implant bone loss: A systematic review and meta-analysis. Clin. Implants Dent. Relat. Res. 2018, 20, 653–664. [Google Scholar] [CrossRef]
- Lemos, C.A.A.; Verri, F.R.; Bonfante, E.A.; Santiago Júnior, J.F.; Pellizzer, E.P. Comparison of external and internal implant-abutment connections for implant supported prostheses. A systematic review and meta-analysis. J. Dent. 2018, 70, 14–22. [Google Scholar] [CrossRef]
- Palacios-Garzón, N.; Velasco-Ortega, E.; López-López, J. Bone loss in implants placed at subcrestal and crestal level: A systematic review and meta-analysis. Materials 2019, 12, 154. [Google Scholar] [CrossRef]
- Callan, D. DNA probe identification of bacteria colonizing internal surfaces of the implant-abutment interface: A preliminary study. J. Periodontol. 2005, 76, 115–120. [Google Scholar] [CrossRef]
- Capelli, M. Surgical, biologic and implant-related factors affecting bone remodeling around implants. Eur. J. Esthet. Dent. 2013, 8, 279–313. [Google Scholar] [PubMed]
- Karl, M.; Winter, W.; Taylor, T.D.; Heckmann, S.M. In vitro study on passive fit in implant-supported 5-unit fixed partial dentures. Int. J. Oral Maxillofac. Implants 2004, 19, 30–37. [Google Scholar]
- Cha, H.-S.; Kim, Y.-S.; Jeon, J.-H.; Lee, J.-H. Cumulative survival rate and complication rates of single-tooth implant; focused on the coronal fracture of fixture in the internal connection implant. J. Oral Rehabil. 2013, 40, 595–602. [Google Scholar] [CrossRef]
- Goiato, M.C.; Pellizzer, E.P.; da Silva, E.V.F.; Bonatto, L.D.R.; Dos Santos, D.M. Is the internal connection more efficient than external connection in mechanical, biological, and esthetical point of views? A systematic review. Oral Maxillofac. Surg. 2015, 229–242. [Google Scholar] [CrossRef]
- Martellacci, L.; Quaranta, G.; Patini, R.; Isola, G.; Gallenzi, P.; Masucci, L. A literature review of metagenomics and culturomics of the peri-implant microbiome: Current evidence and future perspectives. Materials 2019, 12, 3010. [Google Scholar] [CrossRef]
- Martellacci, L.; Quaranta, G.; Fancello, G.; D’addona, A.; Sanguinetti, M.; Patini, R.; Masucci, L. Characterizing peri-implant and sub-gingival microbiota through culturomics. First isolation of some species in the oral cavity. A pilot study. Pathogens 2020, 9, 365. [Google Scholar] [CrossRef]
- Broggini, N.; McManus, L.M.; Hermann, J.S.; Medina, R.; Schenk, R.K.; Bueser, D. Peri-implant inflammation defined by the implant-abutment interface. J. Dent. Res. 2006, 85, 473–478. [Google Scholar] [CrossRef] [PubMed]
- Meleo, D.; Baggi, L.; Di Girolamo, M.; Di Carlo, F.; Pecci, R.; Bedini, R. Fixture-abutment connection surface and micro-gap measurements by 3D micro-tomographic technique analysis. Annali dell’Istituto Superiore di Sanità 2012, 48, 53–58. [Google Scholar]
- Ceruso, F.M.; Barnaba, P.; Mazzoleni, S.; Ottria, L.; Gargari, M.; Zuccon, A.; Bruno, G.; Di Fiore, A. Implant-abutment connections on single crowns: A systematic review. Oral Implantol. 2017, 10, 349–353. [Google Scholar] [CrossRef]
- Covani, U.; Marconcini, S.; Crespi, R.; Barone, A. Bacterial plaque colonization around dental implant surfaces. Implants Dent. 2006, 15, 298–304. [Google Scholar] [CrossRef]
- Quirynen, M.; Naert, L.; Van Steenberghe, D. Fixture design and overload influence marginal bone loss and fixture success in the Branemark system. Clin. Oral Implants Res. 1992, 3, 104–111. [Google Scholar] [CrossRef] [PubMed]
- Isidor, F. Influence of forces on peri-implant bone. Clin. Oral Implants Res. 2006, 17, 8–18. [Google Scholar] [CrossRef] [PubMed]
- Streckbein, P.; Streckbein, R.G.; Wilbrand, J.F.; Malik, C.Y.; Schaaf, H.; Howaldt, H.P.; Flach, M. Non-linear 3D evaluation of different oral implant-abutment connections. J. Dent. Res. 2012, 91, 1184–1189. [Google Scholar] [CrossRef] [PubMed]
- Lin, M.; Shen, Y.; Huang, H.; Hsu, J.; Fuh, L. A retrospective study of implant—Abutment connections on crestal bone level. J. Dent. Res. 2013, 92 (Suppl. 12), 202S–207S. [Google Scholar] [CrossRef] [PubMed]
- Galindo-Moreno, P.; Fernandez-Jimenez, A.; O’Valle, F.; Monje, A.; Silvestre, F.J.; Juodzbalys, G.; Sanchez-Fernandez, E.; Catena, A. Influence of the crown-implant connection on the preservation of peri-implant bone: A retrospective multifactorial analysis. Int. J. Oral Maxillofac. Implants 2015, 30, 384–390. [Google Scholar] [CrossRef]
- Pessoa, R.S.; Sousa, R.M.; Pereira, L.M.; Neves, F.D.; Bezerra, F.J.B.; Jaecques, S.V.N.; Sloten, J.V.; Quirynen, M.; Teughels, W.; Spin-Neto, R. Bone remodeling around implants with external hexagon and morse-taper connections: A randomized, controlled, split-mouth, Clinical Trial. Clin. Implants Dent. Relat. Res. 2016, 1–14. [Google Scholar] [CrossRef]
- Pozzi, A.; Tallarico, M.; Moy, P.K. Three-year post-loading results of a randomised, controlled, split-mouth trial comparing implants with different prosthetic interfaces and design in partially posterior edentulous mandibles. Eur. J. Oral Implantol. 2014, 7, 47–61. [Google Scholar]
- Almeida, E.O.; Freitas, A.C.; Bonfante, E.A.; Marotta, L.; Silvia, N.R.; Coelho, P.G. Mechanical testing of implant-supported anterior crowns with different implant/abutment connections. Int. J. Oral Maxillofac. Implants 2013, 28, 103–108. [Google Scholar] [CrossRef]
- Bordin, D.; Cavalcanti, I.M.G.; Jardim Pimentel, M.; Fortulan, C.A.; Sotto-Maior, B.S.; Del Bel Cury, A.A.; da Silva, W.J. Biofilm and saliva affect the biomechanical behavior of dental implants. J. Biomech. 2015, 48, 997–1002. [Google Scholar] [CrossRef]
- Palacios-Garzón, N.; Mauri-Obradors, E.; Roselló-LLabrés, X.; Estrugo-Devesa, A.; Jané-Salas, E.; López-López, J. Comparison of marginal bone loss between implants with internal and external connections: A systematic review. Int. J. Oral Maxillofac. Implants 2018, 33. [Google Scholar] [CrossRef]
- Miller, S.A.; Forrest, J.L. Enhancing your practice through evidence-based decision making: PICO, learning how to ask good questions. J. Evid. Based Dent. Pract. 2001, 1, 136–141. [Google Scholar] [CrossRef]
- Lesaffre, E.; Philstrom, B.; Needleman, I.; Worthington, H. The design and analysis of split-mouth studies: What statisticians and clinicians should know. Stat. Med. 2009, 28, 3470–3482. [Google Scholar] [CrossRef] [PubMed]
- Buser, D.; Weber, H.P.; Lang, N.P. Tissue integration of non-submerged implants. Clin. Oral Implants Res. 1990, 1, 33–40. [Google Scholar] [CrossRef] [PubMed]
- Esposito, M.; Maghaireh, H.; Pistilli, R.; Grusovin, M.G.; Lee, S.T.; Gualini, F.; Yoo, J.; Buti, J. Dental implants with internal versus external connections: 1-year post-loading results from a pragmatic multicenter randomised controlled trial. Eur. J. Oral Implantol. 2015, 8, 331–344. [Google Scholar] [PubMed]
- Esposito, M.; Maghaireh, H.; Pistilli, R.; Grusovin, M.G.; Lee, S.T.; Trullenque-Eriksson, A.; Gualini, F. Dental implants with internal versus external connections: 5-year post-loading results from a pragmatic multicenter randomised controlled trial. Eur. J. Oral Implants 2016, 9, 129–141. [Google Scholar]
- Crespi, R.; Capparè, P.; Gherlone, E. Radiographic evaluation of marginal bone levels around platform-switched and non-platform-switched implants used in an immediate loading protocol. Int. J. Oral Maxillofac. Implants 2009, 24, 920–926. [Google Scholar] [PubMed]
- Abrahamsson, I.; Berglundh, T.; Wennström, J.; Lindhe, J. The peri-implant hard and soft tissues at different implant systems: A comparative study in the dog. Clin. Oral Implants Res. 1996, 7, 212–219. [Google Scholar] [CrossRef]
- Hermann, F.; Lerner, H.; Palti, A. Factors influencing the preservation of the peri-implant marginal bone. Implants Dent. 2007, 16, 165–175. [Google Scholar] [CrossRef] [PubMed]
- Adell, R.; Eriksson, B.; Lekholm, U.; Brånemark, P.I.; Jemt, T. Long-term follow-up study of osseointegrated implants in the treatment of totally edentulous jaws. Int. J. Oral Maxillofac. Implants 1990, 5, 347–359. [Google Scholar] [PubMed]
- Jacobs, R.; Pittayapat, P.; Van Steenberghe, D.; De Mars, G.; Gijbels, F.; Van Der Donck, A.; Li, L.; Liang, X.; Van Assche, N.; Quirynen, M.; et al. A split-mouth comparative study up to 16 years of two screw-shaped titanium implant systems. J. Clin. Periodontol. 2010, 37, 1119–1127. [Google Scholar] [CrossRef] [PubMed]
- Ravald, N.; Dahlgren, S.; Teiwik, A.; Gröndahl, K. Long-term evaluation of Astra Tech and Brånemark implants in patients treated with full-arch bridges. Results after 12–15 years. Clin. Oral Implants Res. 2013, 24, 1144–1151. [Google Scholar] [CrossRef] [PubMed]
- Rodrigo, D.; Aracil, L.; Martin, C.; Sanz, M. Diagnosis of implant stability and its impact on implant survival: A prospective case series study. Clin. Oral Implants Res. 2010, 21, 255–261. [Google Scholar] [CrossRef] [PubMed]
- Pjetursson, B.E.; Brägger, U.; Lang, N.P.; Zwahlen, M. Comparison of survival and complication rates of tooth-supported fixed dental prostheses (FDPs) and implant-supported FDPs and single crowns (SCs). Clin. Oral Implants Res. 2007, 18 (Suppl. 3), 97–113. [Google Scholar] [CrossRef]
- Chrcanovic, B.R.; Albrektsson, T.; Wennerberg, A. Smoking and dental implants: A systematic review and meta-analysis. J. Dent. 2015, 43, 487–498. [Google Scholar] [CrossRef] [PubMed]
- Peñarrocha, M.; Palomar, M.; Sanchis, J.M.; Guarinos, J.; Balaguer, J. Radiologic study of marginal bone loss around 108 dental implants and its relationship to smoking, implant location, and morphology. Int. J. Oral Maxillofac. Implants 2004, 19, 861–867. [Google Scholar]








| General Implant Data | Total | |
|---|---|---|
| 93 implants | Maxillary | 40% |
| Mandibular | 60% | |
| At the molar level | 52% | |
| At the premolar level | 28% | |
| At the incisor level | 20% | |
| 27 patients | 24 patients | Crowns and bridges |
| 3 patients | Overdentures | |
| Connection Type | T0–T1 | T1–T2 | T0–T2 | ||||||
|---|---|---|---|---|---|---|---|---|---|
| Mean | SD | 95% CI | Mean | SD | 95% CI | Mean | SD | 95% CI | |
| ICC | 0.17 | 0.28 | 0.1–0.24 | 0.19 | 0.17 | 0.15–0.24 | 0.36 | 0.34 | 0.3–0.45 |
| EC | 0.18 | 0.21 | 0.1–0.26 | 0.39 | 0.24 | 0.3–0.48 | 0.57 | 0.37 | 0.4–0.71 |
| t-test | −0.26 | – | – | −4.4 | – | – | −2.74 | – | – |
| p-value | 0.79 | – | – | 0.00 | – | – | 0.01 | – | – |
| Time of Measurement | Mean | SD | 95% CI |
|---|---|---|---|
| ISQ T0: Day of implant placement | 70.69 | 9.67 | 68.7–72.7 |
| ISQ T1: Day of placement of the healing abutment (second stage) | 73.91 | 7.19 | 72.4–75.4 |
| ISQ T2: During the prosthetic restoration | 75.32 | 6.15 | 74–76.6 |
| Variable | Coefficient |
|---|---|
| 1. Connection Type (Internal) | −0.29 * |
| 2. Implant Placement (Subcrestal) | 0.05 |
| 3. Gender (Male) | −0.04 |
| 4. Age | −0.01 |
| 5. ISQ T0 | 0.00 |
| 6. ISQ T2 | 0.00 |
| 7. Smoker (<5 cigarettes) | −0.08 |
| 8. Smoker (5–10 cigarettes) | 0.01 |
| 9. Smoker (10–15 cigarettes) | −0.04 |
| 10. Smoker (15–20 cigarettes) | −0.07 |
| 11. Smoker (>20 cigarettes) | 0.06 |
| 12. Maxilla (Mandible) | −0.06 |
| 13. Implant Insertion (Good surgeon perception) | −0.07 |
| 14. The implant contacts distally with the non-edentulous area | −0.19 * |
| 15. The implant contacts mesially with the non-edentulous area | 0.00 |
| Constant | 1.68 * |
| Prob > F | 0.02 |
| R2 | 0.29 |
| Insertion of the Implant with the Motor Programmed at 35 Ncm Initially |
|---|
| 0. Low implant stability (can be rotated with manual torque) |
| 1. The motor stops when the implant is fully inserted |
| 2. The motor does not stop and the implant continues to rotate within the implant bed |
| 3. The motor stops, the Ncm is increased in the motor (max 50 Ncm) and the insertion continues with the motor |
| 4. The motor stops and the ratchet insertion continues (1 to 2 turns) |
| 5. The motor stops and the ratchet insertion continues (2 to 3 turns) |
| 6. The motor stops and the ratchet insertion continues (3 to 4 turns) |
| 7. The motor stops with several turns missing and is removed for further implant bed preparation. It is then introduced with motor increasing the Ncm |
| 8. The motor stops with several turns missing and is removed for further implant bed preparation. It is then introduced with motor and the last turns with ratchet |
| 9. The implant is mobile and is removed to place another one with a larger diameter. It is then introduced with motor increasing the Ncm |
| 10. The implant is mobile and is removed to place another of a larger diameter. It is then introduced with motor and finished with ratchet |
Publisher’s Note: MDPI stays neutral with regard to jurisdictional claims in published maps and institutional affiliations. |
© 2020 by the authors. Licensee MDPI, Basel, Switzerland. This article is an open access article distributed under the terms and conditions of the Creative Commons Attribution (CC BY) license (http://creativecommons.org/licenses/by/4.0/).
Share and Cite
Palacios-Garzón, N.; Ayuso-Montero, R.; Jané-Salas, E.; Anglada-Cantarell, J.M.; López-López, J. Marginal Bone Loss in Implants with External Connection versus Internal Conical Connection Prior to Prosthetic Loading. A Randomized Clinical Study. Coatings 2020, 10, 1044. https://doi.org/10.3390/coatings10111044
Palacios-Garzón N, Ayuso-Montero R, Jané-Salas E, Anglada-Cantarell JM, López-López J. Marginal Bone Loss in Implants with External Connection versus Internal Conical Connection Prior to Prosthetic Loading. A Randomized Clinical Study. Coatings. 2020; 10(11):1044. https://doi.org/10.3390/coatings10111044
Chicago/Turabian StylePalacios-Garzón, Natalia, Raul Ayuso-Montero, Enric Jané-Salas, José María Anglada-Cantarell, and José López-López. 2020. "Marginal Bone Loss in Implants with External Connection versus Internal Conical Connection Prior to Prosthetic Loading. A Randomized Clinical Study" Coatings 10, no. 11: 1044. https://doi.org/10.3390/coatings10111044
APA StylePalacios-Garzón, N., Ayuso-Montero, R., Jané-Salas, E., Anglada-Cantarell, J. M., & López-López, J. (2020). Marginal Bone Loss in Implants with External Connection versus Internal Conical Connection Prior to Prosthetic Loading. A Randomized Clinical Study. Coatings, 10(11), 1044. https://doi.org/10.3390/coatings10111044

