Histopathologic Lesions in Bivalve Mollusks Found in Portugal: Etiology and Risk Factors
Abstract
:1. Introduction
2. Materials and Methods
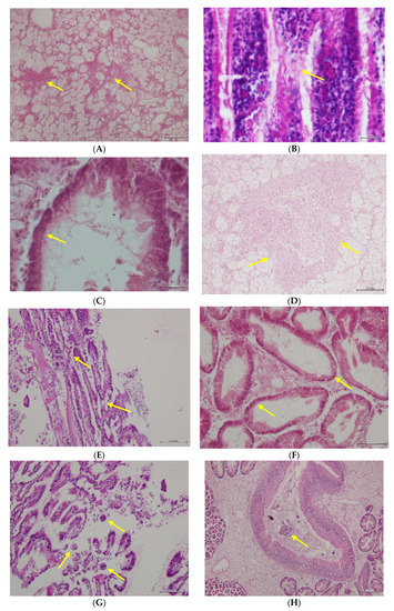
3. Results
4. Discussion
Author Contributions
Funding
Institutional Review Board Statement
Informed Consent Statement
Data Availability Statement
Conflicts of Interest
References
- Ruano, F. Fisheries and farming of important marine bivalves in Portugal. NOAA Tech. Rep. NMFS 1997, 3, 191–200. [Google Scholar]
- Government of Portugal. Fisheries Statistics 2018; Government of Portugal: Lisboa, Portugal, 2019.
- Grizel, H.; Bachere, E.; Mialhe, E.; Tige, G. Solving parasite-related problems in cultured molluscs. Int. J. Parasit. 1987, 17, 301–308. [Google Scholar] [CrossRef]
- McAllister, T.; Topp, E. Role of livestock in microbiological contamination of water: Commonly the blame, but not always the source. Anim. Front. 2021, 2, 17–27. [Google Scholar] [CrossRef] [Green Version]
- D’Ugo, E.; Marcheggiani, S.; D’Angelo, A.; Caciolli, S.; Puccinelli, C.; Giuseppetti, R.; Marcoaldi, R.; Romanelli, C.; Mancini, L. Microbiological water quality in the medical device industry in Italy. Microchem. J. 2018, 136, 293–299. [Google Scholar] [CrossRef]
- Maran, N.; Crispim, B.; Iahnn, S.; Araújo, R.; Grisolia, A.; Oliveira, K. Depth and Well Type Related to Groundwater Microbiological Contamination. Int. J. Environ. Res. Public Health 2016, 13, 1036. [Google Scholar] [CrossRef] [PubMed]
- Pasquale, V.; Romano, V.; Rupnik, M.; Capuano Bove, D.; Aliberti, F.; Krovacek, K.; Dumontet, S. Occurrence of toxigenic Clostridium difficile in edible bivalve molluscs. Food Microbiol. 2012, 31, 309–312. [Google Scholar] [CrossRef] [PubMed]
- Martinez, O.; Rodriguez-Calleja, J.; Santos, J.; Otero, A.; Garcia-Lopez, M.L. Foodborne and Indicator Bacteria in Farmed Molluscan Shellfish before and after Depuration. J. Food Prot. 2009, 72, 1443–1449. [Google Scholar] [CrossRef] [PubMed]
- Ukwo, S.; Ezeama, C.; Obot, O. Microbiological safety and toxic element contaminants in bivalve shellfish from intertidal mudflats of IKO estuary, Niger delta, Nigeria. South Asian J. Food Technol. Environ. 2019, 5, 846–854. [Google Scholar] [CrossRef]
- Gabrieli, R.; Macaluso, A.; Lanni, L.; Saccares, S.; Giamberardino, F.; Petrinca, B.; Divizia, M. Enteric viruses in molluscan shellfish. New Microbiol. 2007, 30, 471–475. [Google Scholar]
- Iaconelli, M.; Purpari, G.; Della Libera, S.; Petricca, S.; Guercio, A.; Ciccaglione, A.; Bruni, R.; Taffon, S.; Equestre, M.; Fratini, M.; et al. Hepatitis A and E Viruses in Wastewaters, in River Waters and in Bivalve Molluscs in Italy. Food Environ. Virol. 2015, 7, 316–324. [Google Scholar] [CrossRef]
- Schets, F.; Van Den Berg, H.; Husman, A. Determination of the Recovery Efficiency of Cryptosporidium Oocysts and Giardia Cysts from Seeded Bivalve Mollusks. J. Food Prot. 2013, 76, 93–98. [Google Scholar] [CrossRef] [PubMed]
- Gomez-Couso, H.; Mendez-Hermida, F.; Castro-Hermida, J.; Ares-Mazás, E. Cryptosporidium Contamination in Harvesting Areas of Bivalve Molluscs. J. Food Prot. 2006, 69, 185–190. [Google Scholar] [CrossRef] [PubMed]
- Alfaro, A.; Nguyen, T.; Merien, F. The complex interactions of Ostreid herpesvirus 1, Vibrio bacteria, environment and host factors in mass mortality outbreaks of Crassostrea gigas. Aquaculture 2019, 11, 1148–1168. [Google Scholar] [CrossRef]
- Barbosa-Solomieu, V.; Renault, T.; Travers, M.-A. Mass mortality in bivalves and the intricate case of the Pacific oyster, Crassostrea gigas. J. Invertebr. Pathol. 2015, 131, 2–10. [Google Scholar] [CrossRef] [PubMed] [Green Version]
- Burge, C.; Judah, L.R.; Conquest, L.; Griffin, F.; Cheney, D.; Suhrbier, A.; Vadopalas, B.; Olin, P.; Renault, T.; Friedman, C. Summer seed mortality of the Pacific oyster, Crassostrea gigas Thunberg grown in Tomales Bay, California, USA: The influence of oyster stock, planting time, pathogens, and environmental stressors. J. Shellfish Res. 2007, 26, 163–172. [Google Scholar] [CrossRef] [Green Version]
- Hine, P.; Wesney, B.; Hay, B. Herpesviruses associated with mortalities among hatchery-reared Pacific oysters, Crassostrea gigas. Dis. Aquat. Org. 1992, 12, 135–142. [Google Scholar] [CrossRef]
- Renault, T.; Le Deuff, R.; Lipart, C.; Delsert, C. Development of a PCR procedure for the detection of a herpes-like virus infecting oysters in France. J. Virol. Meth. 2000, 88, 41–50. [Google Scholar] [CrossRef]
- Elandaloussi, L.; Carrasco, N.; Andree, K.; Furones, D.; Roque, A. Esdeveniments de mortalitat de lostró del Pacific (Crassostrea gigas) en el delta del Ebre. Estudi de cas. In Proceedings of the II Simposi d’aqüicultura de Catalunya, Sant Carles de la Rapita, Spain, 15–17 October 2009. [Google Scholar]
- World Organisation for Animal Health (OIE). Infection with Bonamia ostreae. In Manual of Diagnostic Tests for Aquatic Animals; World Organisation for Animal Health: Paris, France, 2018; Chapter 2.4.3. [Google Scholar]
- The Food and Agriculture Organization (FAO). Cultured Aquatic Species Information Programme. Ostrea edulis (Linnaeus, 1758). 2018. Available online: http://www.fao.org/fishery/culturedspecies/Ostrea_edulis/en (accessed on 15 May 2021).
- The Food and Agriculture Organization (FAO). Cultured Aquatic Species Information Programme. Mytilus galloprovincialis (Lamarck, 1819). 2018. Available online: http://www.fao.org/fishery/culturedspecies/Mytilus_galloprovincialis/en (accessed on 15 May 2021).
- The Food and Agriculture Organization (FAO). Cultured Aquatic Species Information Programme. Mytilus edulis (Linnaeus, 1758). Available online: http://www.fao.org/fishery/culturedspecies/Mytilus_edulis/en (accessed on 15 May 2021).
- Azevedo, C. Fine structure of Perkinsus atlanticus sp. (Apicomplexa, Perkinsea) parasite of the clam Ruditapes decussatus from Port. J. Parasitol. 1989, 75, 627–635. [Google Scholar]
- Azevedo, C. Virus-like particles in Perkinsus atlanticus (Apicomplexa, Perkinsidae). Dis. Aquat. Org. 1990, 9, 63–65. [Google Scholar] [CrossRef]
- The Food and Agriculture Organization (FAO). Cultured Aquatic Species Information Programme. Ruditapes decussatus (Linnaeus, 1758). 2018. Available online: http://www.fao.org/fishery/culturedspecies/Ruditapes_decussatus/en (accessed on 15 May 2021).
- The Food and Agriculture Organization (FAO). Cultured Aquatic Species Information Programme. Ruditapes philippinarum (Adams & Reeve, 1850). 2018. Available online: http://www.fao.org/fishery/culturedspecies/Ruditapes_philippinarum/en (accessed on 15 May 2021).
- Vilela, H. Sporozoaires parasites de la palourde, Tapes decussatus (L.). In Revista da Faculdade de Ciências, Lisboa; University of Lisbon: Lisbon, Portugal, 1951; Volume 1, pp. 379–386. [Google Scholar]
- Ruano, F.; Batista, F.; Arcangeli, G. Perkinsosis in the clams Ruditapes decussatus and Ruditapes philippinarum in the Northeastern Atlantic and Mediterranean Sea: A review. J. Invertebr. Pathol. 2015, 131, 58–67. [Google Scholar] [CrossRef]
- Vale, P. Marine Biotoxins; Faculty of Veterinary Medicine, Technical University of Lisbon: Lisbon, Portugal, 2004; Volume 99, pp. 3–18. [Google Scholar]
- Bricelj, V.; Shumway, S. Paralytic shellfish toxins in bivalve Molluscs: Occurence, transfer kinetics, and biotransformation. Rev. Fish. Sci. 1998, 6, 315–383. [Google Scholar] [CrossRef]
- Costa, P.; Costa, S.; Braga, A.; Rodrigues, S.; Vale, P. Relevance and challenges in monitoring marine biotoxins in non-bivalve vectors. Food Control 2017, 76, 24–33. [Google Scholar] [CrossRef]
- Gupta, S.; Singh, J. Evaluation of mollusc as sensitive indicatior of heavy metal pollution in aquatic system: A review. IOAB J. 2011, 2, 49–57. [Google Scholar]
- Nour, H. Distribution and accumulation ability of heavy metals in bivalve shells and associated sediment from Red Sea coast, Egypt. Environ. Monit. Assess 2020, 192, 353. [Google Scholar] [CrossRef]
- Souza, R.; Garbossa, L.; Campos, C.; Vianna, L.; Vanz, A.; Rupp, G. Metals and pesticides in commercial bivalve mollusc production areas in the North and South Bays, Santa Catarina (Brazil). Mar. Pollut. Bull. 2016, 105, 377–384. [Google Scholar] [CrossRef] [PubMed]
- Bower, S.; Mcgladdery, S.; Price, I. Synopsis of Infectious Diseases and Parasites of Commercially Exploited Shellfish. Annu. Rev. Fish Dis. 1994, 4, 1–199. [Google Scholar] [CrossRef]
- Gallardi, D.; Dörner, J.; Carbonell, P.; Pino, S.; Farías, A. Effects of Bivalve Aquaculture on the Environment and Their Possible Mitigation: A Review. Fish. Aquac. J. 2014, 5, 3. [Google Scholar] [CrossRef] [Green Version]
- Wan, W.; Lu, G. Heavy Metals in Bivalve Mollusks. In Chemical Contaminants and Residues in Food, 2nd ed.; Schrenk, D., Cartus, A., Eds.; Woodhead Publishing Limited: Cambridge, UK, 2017; pp. 553–594. [Google Scholar]
- Lacoste, A.; Jalabert, F.; Malham, S.K.; Cueff, A.; Poulet, S.A. Stress and Stress-Induced Neuroendocrine Changes Increase the Susceptibility of Juvenile Oysters (Crassostrea gigas) to Vibrio splendidus. Appl. Environ. Microbiol. 2001, 67, 2304–2309. [Google Scholar] [CrossRef] [Green Version]
- Kennedy, V.; Newell, R.; Eble, F. The Eastern Oyster Crassostrea virginica; Maryland Sea Grant College: College Park, MD, USA, 1996. [Google Scholar]
- Garnier, M.; Labreuche, Y.; Garcia, C.; Robert, M.; Nicolas, J.-L. Evidence for the Involvement of Pathogenic Bacteria in Summer Mortalities of the Pacific Oyster Crassostrea gigas. Microb. Ecol. 2007, 53, 187–196. [Google Scholar] [CrossRef] [PubMed] [Green Version]
- Héral, M.; Deslous-Paoli, J. Oyster Culture in European Countries. In Estuarine and Marine Bivalve Mollusk Culture; Menzel, W., Ed.; CRC Press: Boca Raton, FL, USA, 1991; pp. 153–190. [Google Scholar]
- Sarà, G.; Mazzola, A. Effects of trophic and environmental conditions on the growth of Crassostrea gigas in culture. Aquaculture 1997, 153, 81–91. [Google Scholar] [CrossRef]
- Iglesias, D.; Rodriguez, L.; Gómez, L.; Azevedo, C.; Montes, J. Histological survey of Pacific oysters Crassostrea gigas (Thunberg) in Galicia (NW Spain). J. Invertebr. Pathol. 2012, 111, 244–251. [Google Scholar] [CrossRef]
- Sabry, R.; Gesteira, T.; Magalhães, A.; Barracco, M.; Guertler, C.; Ferreira, L.; Vianna, R.; Silva, P. Parasitological survey of mangrove oyster, Crassostrea rhizophorae, in the Pacoti River Estuary, Ceará State, Brazil. J. Invertebr. Pathol. 2013, 112, 24–32. [Google Scholar] [CrossRef] [PubMed] [Green Version]
- Aguirre-Macedo, M.; Kennedy, C. Diversity of metazoan parasites of the introduced oyster species Crassostrea gigas in the Exe Estuary. J. Mar. Biol. Assoc. U.K. 1999, 79, 57–63. [Google Scholar] [CrossRef]
- Pogoda, B. Current Status of European Oyster Decline and Restoration in Germany. Humanities 2019, 8, 9. [Google Scholar] [CrossRef] [Green Version]
- Bromley, C.; McGonigle, C.; Ashton, E.C.; Roberts, D. Bad moves: Pros and cons of moving oysters—A case study of global translocations of Ostrea edulis Linnaeus, 1758 (Mollusca: Bivalvia). Ocean. Coast. Manag. 2016, 122, 103–115. [Google Scholar] [CrossRef]
- Ruesink, J.L.; Lenihan, H.S.; Trimble, A.C.; Heiman, K.W.; Micheli, F.; Byers, J.E.; Kay, M.C. Introduction of non-native oysters: Ecosystem effects and restoration implications. Annu. Rev. Ecol. Syst. 2005, 36, 643–689. [Google Scholar] [CrossRef] [Green Version]
- Beaz-Hidalgo, R.; Romalde, S.; Figueras, M. Diversity and pathogenecity of Vibrio species in cultured bivalve molluscs. Environ. Microbiol. Rep. 2010, 2, 34–43. [Google Scholar] [CrossRef] [PubMed]
- Azéma, P.; Lamy, J.-B.; Boudry, P.; Renault, T.; Travers, M.-A.; Dégremont, L. Genetic parameters of resistance to Vibrio aestuarianus, and OsHV-1 infections in the Pacific oyster, Crassostrea gigas, at three different life stages. Genet. Sel. Evol. 2017, 49, 23. [Google Scholar] [CrossRef] [PubMed] [Green Version]





| Macroscopic Lesions and Parasites | Site 1 | Site 2 | Site 3 | Site 4 |
|---|---|---|---|---|
| Tricodina sp. | 13% | 0% | 13% | 23% |
| Ancistrocoma sp. | 13% | 0% | 30% | 13% |
| Mytilicola sp. | 10% | 0% | 3% | 10% |
| Myicola ostrea | 10% | 17% | 0% | 0% |
| Shell disease | 0% | 10% | 10% | 0% |
| Mud blisters | 3% | 20% | 97% | 10% |
| Gills lesions | 0% | 33% | 50% | 0% |
| Microscopic Lesions | Site 1 | Site 2 | Site 3 | Site 4 |
|---|---|---|---|---|
| Necrosis | 13% | 13% | 40% | 23% |
| Hemocytosis | 36% | 36% | 53% | 16% |
| Ceroidosis | 10% | 0% | 6% | 0% |
| Edema | 36% | 0% | 30% | 0% |
| Metaplasia | 3% | 26% | 10% | 6% |
Publisher’s Note: MDPI stays neutral with regard to jurisdictional claims in published maps and institutional affiliations. |
© 2022 by the authors. Licensee MDPI, Basel, Switzerland. This article is an open access article distributed under the terms and conditions of the Creative Commons Attribution (CC BY) license (https://creativecommons.org/licenses/by/4.0/).
Share and Cite
Pires, D.; Grade, A.; Ruano, F.; Afonso, F. Histopathologic Lesions in Bivalve Mollusks Found in Portugal: Etiology and Risk Factors. J. Mar. Sci. Eng. 2022, 10, 133. https://doi.org/10.3390/jmse10020133
Pires D, Grade A, Ruano F, Afonso F. Histopathologic Lesions in Bivalve Mollusks Found in Portugal: Etiology and Risk Factors. Journal of Marine Science and Engineering. 2022; 10(2):133. https://doi.org/10.3390/jmse10020133
Chicago/Turabian StylePires, Daniel, Ana Grade, Francisco Ruano, and Fernando Afonso. 2022. "Histopathologic Lesions in Bivalve Mollusks Found in Portugal: Etiology and Risk Factors" Journal of Marine Science and Engineering 10, no. 2: 133. https://doi.org/10.3390/jmse10020133
APA StylePires, D., Grade, A., Ruano, F., & Afonso, F. (2022). Histopathologic Lesions in Bivalve Mollusks Found in Portugal: Etiology and Risk Factors. Journal of Marine Science and Engineering, 10(2), 133. https://doi.org/10.3390/jmse10020133

