Base Editing of EUI1 Improves the Elongation of the Uppermost Internode in Two-Line Male Sterile Rice Lines
Abstract
1. Introduction
2. Materials and Methods
2.1. Plant Materials and Growth Conditions
2.2. Vector Construction and Plant Transformation
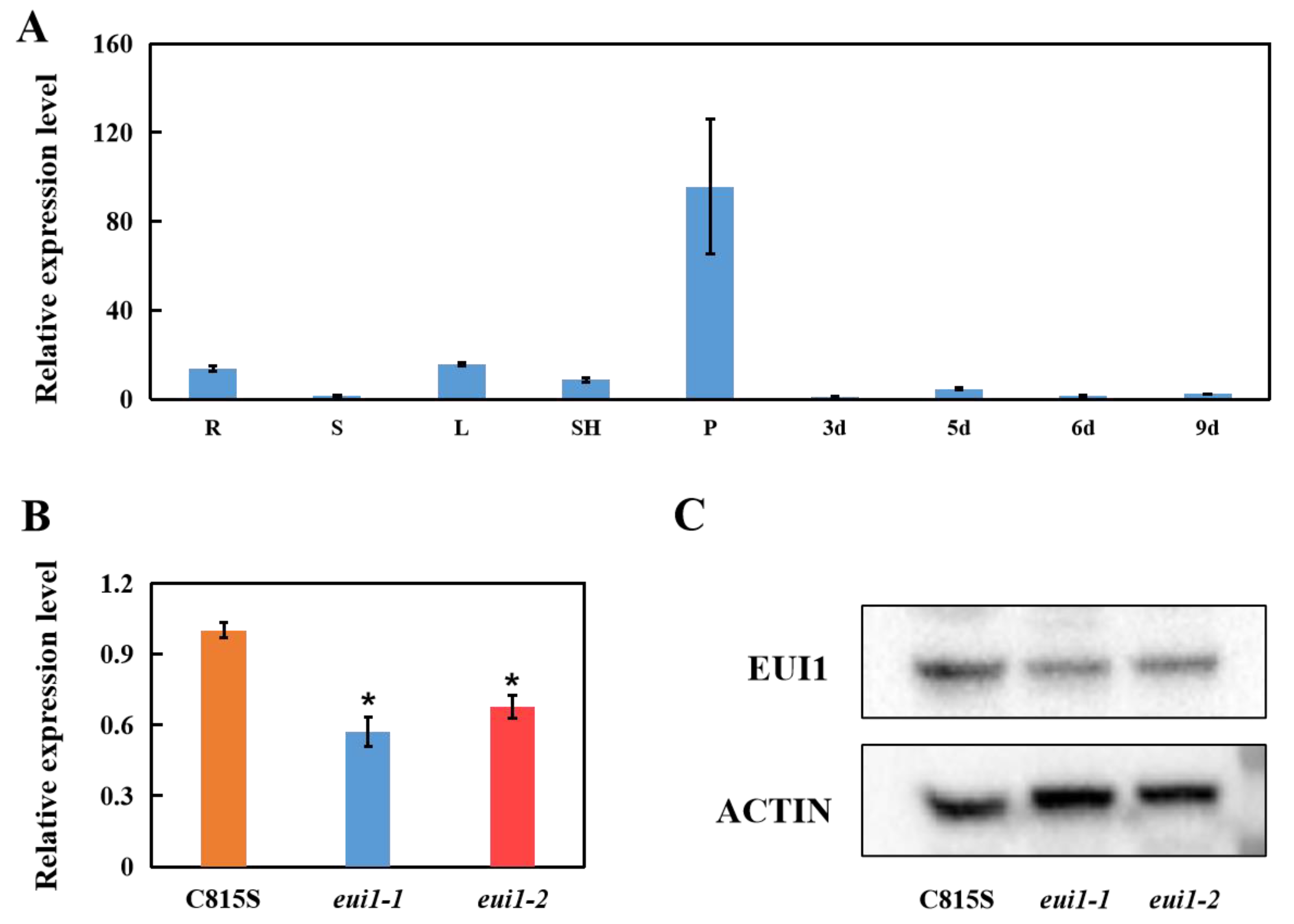
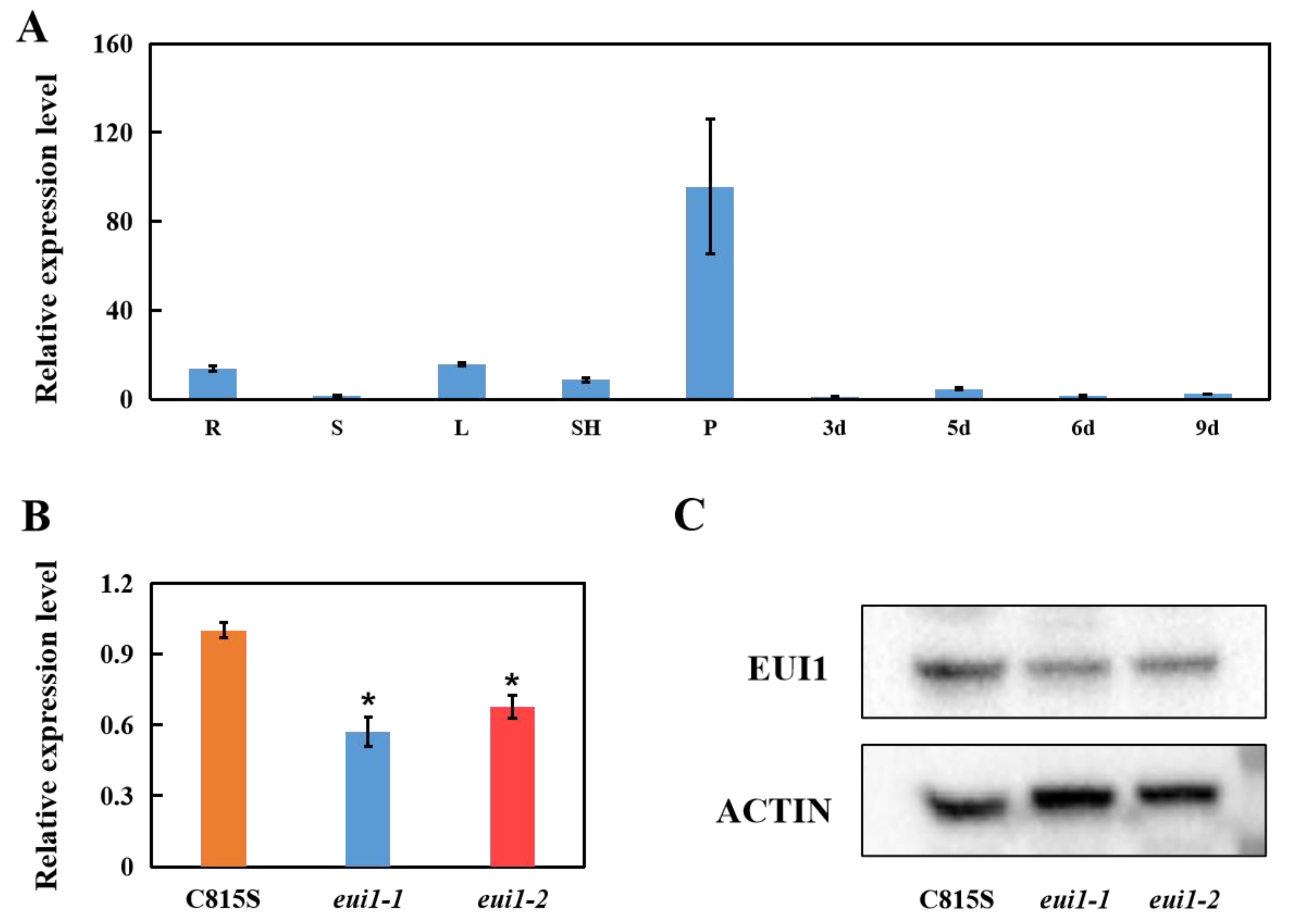
2.3. RNA Extraction and qRT-PCR Analysis
2.4. Protein Extraction and Immunoblotting
2.5. Light Microscopy
2.6. GA Bioactivity Assay
2.7. CYP714D1 ELISA
3. Results
3.1. EUI1 Base Editing
3.2. Panicle Enclosure Rate and Cell Elongation
3.3. Transcription and Protein Content in eui1 Mutant Plants
3.4. CYP714D1 Enzyme Activity and Active GAs Content
3.5. Analysis of Outcrossing Seed Setting Rate
3.6. Analysis of EUI1 in 3K
4. Discussion
Supplementary Materials
Author Contributions
Funding
Institutional Review Board Statement
Data Availability Statement
Conflicts of Interest
References
- Li, J.; Yuan, L. Hybrid rice: Genetics, breeding, and seed production. Plant Breed. Rev. 2010, 17, 15–158. [Google Scholar]
- Luo, D.; Xu, H.; Liu, Z.; Guo, J.; Li, H.; Chen, L.; Fang, C.; Zhang, Q.; Bai, M.; Yao, N.; et al. A detrimental mitochondrial-nuclear interaction causes cytoplasmic male sterility in rice. Nat. Genet. 2013, 45, 573–577. [Google Scholar] [CrossRef] [PubMed]
- Sheng, Z.; Yang, C.; He, Z. Studies on eliminating panicle enclosure in WA Type MS line of rice (Oryza sativa subsp. indica). Chin. J. Rice Sci. 1987, 1, 95–99. [Google Scholar]
- Zhu, K. Genetic Analysis and Mapping of SHP6 Gene in Rice. Ph.D. Thesis, Yangzhou University, Yangzhou, China, 2006. Available online: https://kns.cnki.net/KCMS/detail/detail.aspx?dbname=CMFD2007&filename=2006122586.nh (accessed on 8 December 2022).
- Zhu, Y.; Nomura, T.; Xu, Y.; Zhang, Y.; Peng, Y.; Mao, B.; Hanada, A.; Zhou, H.; Wang, R.; Li, P.; et al. Elongated Uppermost Internode encodes a cytochrome P450 monooxygenase that epoxidizes gibberellins in a novel deactivation reaction in rice. Plant Cell 2006, 18, 442–456. [Google Scholar] [CrossRef]
- Lo, S.; Yang, S.; Chen, K.; Hsing, Y.; Zeevaart, J.; Chen, L.; Yu, S. A novel class of gibberellin 2-oxidases control semidwarfism, tillering, and root development in rice. Plant Cell 2008, 20, 2603–2618. [Google Scholar] [CrossRef]
- Sasaki, A.; Ashikari, M.; Ueguchi-Tanaka, M.; Itoh, H.; Nishimura, A.; Swapan, D.; Ishiyama, K.; Saito, T.; Kobayashi, M.; Khush, G.S.; et al. Green revolution: A mutant gibberellin-synthesis gene in rice. Nature 2002, 416, 701–702. [Google Scholar] [CrossRef]
- Sakamoto, T.; Miura, K.; Itoh, H.; Tatsumi, T.; Ueguchi-Tanaka, M.; Ishiyama, K.; Kobayashi, M.; Agrawal, G.; Takeda, S.; Abe, K.; et al. An overview of gibberellin metabolism enzyme genes and their related mutants in rice. Plant Physiol. 2004, 134, 1642–1653. [Google Scholar] [CrossRef] [PubMed]
- Thomas, S.; Phillips, A.; Hedden, P. Molecular cloning and functional expression of gibberellin 2-oxidases, multifunctional enzymes involved in gibberellin deactivation. Proc. Natl. Acad. Sci. USA 1999, 96, 4698–4703. [Google Scholar] [CrossRef]
- Luo, A.; Qian, Q.; Yin, H.; Liu, X.; Yin, C.; Lan, Y.; Tang, J.; Tang, Z.; Cao, S.; Wang, X.; et al. EUI1, encoding a putative cytochrome P450 monooxygenase, regulates internode elongation by modulating gibberellin responses in rice. Plant Cell Physiol. 2006, 47, 181–191. [Google Scholar] [CrossRef]
- Okuno, K.; Kawai, T. Variations of internode length and other characters in induced long-culm mutants of rice. Ikushugaku Zasshi 1978, 28, 243–250. [Google Scholar] [CrossRef]
- Rutger, J. A fourth genetic element to facilitate hybrid cereal production-a recessive tall in rice. Crop Sci. 1981, 21, 373–376. [Google Scholar] [CrossRef]
- Yang, S.; Yang, R.; Qu, X.; Zhang, Q.; Huang, R.; Wang, B. Genetic and microsatellite analysis of a new elongated uppermost internode gene eui2 of rice. Acta Bot. Sin. 2001, 43, 67–71. [Google Scholar]
- Yang, R.; Yang, S.; Zhang, Q.; Huang, H. A new gene for elongated uppermost internode. Rice Genet. 1999, 16, 41–43. [Google Scholar]
- Zhong, W.; Xiao, H.; Liang, M.; Chen, L. Cyto-logical studies on uppermost internode of TGMS rice with eui gene. Zuowu Xuebao Acta Agron. Sin. 2005, 31, 592–595. [Google Scholar]
- Shen, Z.; He, Z. Interaction between eui gene and WAMS cytoplasm of rice and improvement of panicle exsertion of MS line. SABRAO J. 1989, 6, 753–756. [Google Scholar]
- He, Z.; Shen, Z. Sensitivity of elongated internode gene to GA3 and improvement of MS line in rice. Acta Agron. 1994, 20, 161–167. [Google Scholar]
- Yang, R.; Zhang, S.; Huang, R.; Yang, S.; Zhang, Q. Breeding technology of eui hybrids of rice. Agric. Sci. China 2002, 35, 233–237. [Google Scholar]
- Yang, R. A breeding method of non-panicle enclosure in CMS lines. Invent. Pat. Bull. 1998, 14, 2–3. [Google Scholar]
- Reidt, W.; Wohlfarth, T.; Ellerström, M.; Czihal, A.; Tewes, A.; Ezcurra, I.; Rask, L.; Bäumlein, H. Gene regulation during late embryogenesis: The RY motif of maturation-specific gene promoters is a direct target of the FUS3 gene product. Plant J. Cell Mol. Biol. 2000, 21, 401–408. [Google Scholar] [CrossRef]
- Yaish, M.W.; El-Kereamy, A.; Zhu, T.; Beatty, P.; Good, A.; Bi, Y.; Rothstein, S. The APETALA-2-like transcription factor OsAP2-39 controls key interactions between abscisic acid and gibberellin in rice. PLoS Genet. 2010, 6, e1001098. [Google Scholar] [CrossRef]
- Wei, L.; Gu, L.; Song, X.; Cui, X.; Lu, Z.; Zhou, M.; Wang, L.; Hu, F.; Zhai, J.; Meyers, B.; et al. Dicer-like 3 produces transposable element-associated 24-nt siRNAs that control agricultural traits in rice. Proc. Natl. Acad. Sci. USA 2014, 111, 3877–3882. [Google Scholar] [CrossRef]
- Gao, S.; Fang, J.; Xu, F.; Wang, W.; Chu, C. Rice HOX12 Regulates Panicle Exsertion by Directly Modulating the Expression of ELONGATED UPPERMOST INTERNODE1. Plant Cell 2016, 28, 680–695. [Google Scholar] [CrossRef] [PubMed]
- Komor, A.; Kim, Y.; Packer, M.; Zuris, J.; Liu, D. Programmable editing of a target base in genomic DNA without double-stranded DNA cleavage. Nature 2016, 533, 420–424. [Google Scholar] [CrossRef] [PubMed]
- Gaudelli, N.; Komor, A.; Rees, H.; Packer, M.; Badran, A.; Bryson, D.; Liu, D. Programmable base editing of T to G C in genomic DNA without DNA cleavage. Nature 2017, 551, 464–471. [Google Scholar] [CrossRef] [PubMed]
- Abudayyeh, O.; Gootenberg, J.; Franklin, B.; Koob, J.; Kellner, M.; Ladha, A.; Joung, J.; Kirchgatterer, P.; Cox, D.B.T.; Zhang, F. A cytosine deaminase for programmable single-base RNA editing. Science 2019, 365, 382–386. [Google Scholar] [CrossRef] [PubMed]
- Zong, Y.; Wang, Y.; Li, C.; Zhang, R.; Chen, K.; Ran, Y.; Qiu, J.L.; Wang, D.; Gao, C. Precise base editing in rice, wheat and maize with a Cas9-cytidine deaminase fusion. Nat. Biotechnol. 2017, 35, 438–440. [Google Scholar] [CrossRef]
- Li, C.; Zong, Y.; Wang, Y.; Jin, S.; Zhang, D.; Song, Q.; Zhang, R.; Gao, C. Expanded base editing in rice and wheat using a Cas9-adenosine deaminase fusion. Genome Biol. 2018, 19, 59. [Google Scholar] [CrossRef]
- Seung, D.; Soyk, S.; Coiro, M.; Maier, B.A.; Eicke, S.; Zeeman, S.C. PROTEIN TARGETING TO STARCH is required for localising GRANULE-BOUND STARCH SYNTHASE to starch granules and for normal amylose synthesis in Arabidopsis. PLoS Biol. 2015, 13, e1002080. [Google Scholar] [CrossRef]
- Zheng, T.; Yu, H.; Zhang, H.; Wu, Z.; Wang, W.; Tai, S.; Chi, L.; Ruan, J.; Wei, C.; Shi, J. Rice functional genomics and breeding database (RFGB): 3K-rice SNP and InDel sub-database. Chin. Sci. Bull. 2015, 60, 367–371. [Google Scholar] [CrossRef]
- Wang, W.; Mauleon, R.; Hu, Z.; Chebotarov, D.; Tai, S.; Wu, Z.; Li, M.; Zheng, T.; Fuentes, R.R.; Zhang, F.; et al. Genomic variation in 3,010 diverse accessions of Asian cultivated rice. Nature 2018, 557, 43–49. [Google Scholar] [CrossRef]
- Shao, J.; Haider, I.; Xiong, L.; Zhu, X.; Hussain, R.M.F.; Övernäs, E.; Meijer, A.H.; Zhang, G.; Wang, M.; Bouwmeester, H.J.; et al. Functional analysis of the HD-Zip transcription factor genes Oshox12 and Oshox14 in rice. PLoS ONE 2018, 13, e0199248. [Google Scholar] [CrossRef] [PubMed]
- Monsur, M.B.; Shao, G.; Lv, Y.; Ahmad, S.; Wei, X.; Hu, P.; Tang, S. Base Editing: The Ever Expanding Clustered Regularly Interspaced Short Palindromic Repeats (CRISPR) Tool Kit for Precise Genome Editing in Plants. Genes 2020, 11, 466. [Google Scholar] [CrossRef] [PubMed]






Disclaimer/Publisher’s Note: The statements, opinions and data contained in all publications are solely those of the individual author(s) and contributor(s) and not of MDPI and/or the editor(s). MDPI and/or the editor(s) disclaim responsibility for any injury to people or property resulting from any ideas, methods, instructions or products referred to in the content. |
© 2023 by the authors. Licensee MDPI, Basel, Switzerland. This article is an open access article distributed under the terms and conditions of the Creative Commons Attribution (CC BY) license (https://creativecommons.org/licenses/by/4.0/).
Share and Cite
Wang, Y.; Tang, S.; Guo, N.; An, R.; Ren, Z.; Hu, S.; Wei, X.; Jiao, G.; Xie, L.; Wang, L.; et al. Base Editing of EUI1 Improves the Elongation of the Uppermost Internode in Two-Line Male Sterile Rice Lines. Agriculture 2023, 13, 693. https://doi.org/10.3390/agriculture13030693
Wang Y, Tang S, Guo N, An R, Ren Z, Hu S, Wei X, Jiao G, Xie L, Wang L, et al. Base Editing of EUI1 Improves the Elongation of the Uppermost Internode in Two-Line Male Sterile Rice Lines. Agriculture. 2023; 13(3):693. https://doi.org/10.3390/agriculture13030693
Chicago/Turabian StyleWang, Yakun, Shengjia Tang, Naihui Guo, Ruihu An, Zongliang Ren, Shikai Hu, Xiangjin Wei, Guiai Jiao, Lihong Xie, Ling Wang, and et al. 2023. "Base Editing of EUI1 Improves the Elongation of the Uppermost Internode in Two-Line Male Sterile Rice Lines" Agriculture 13, no. 3: 693. https://doi.org/10.3390/agriculture13030693
APA StyleWang, Y., Tang, S., Guo, N., An, R., Ren, Z., Hu, S., Wei, X., Jiao, G., Xie, L., Wang, L., Chen, Y., Zhao, F., Hu, P., Sheng, Z., & Tang, S. (2023). Base Editing of EUI1 Improves the Elongation of the Uppermost Internode in Two-Line Male Sterile Rice Lines. Agriculture, 13(3), 693. https://doi.org/10.3390/agriculture13030693

