Deep Learning for Automated Detection of Cyst and Tumors of the Jaw in Panoramic Radiographs
Abstract
1. Introduction
2. Materials and Methods
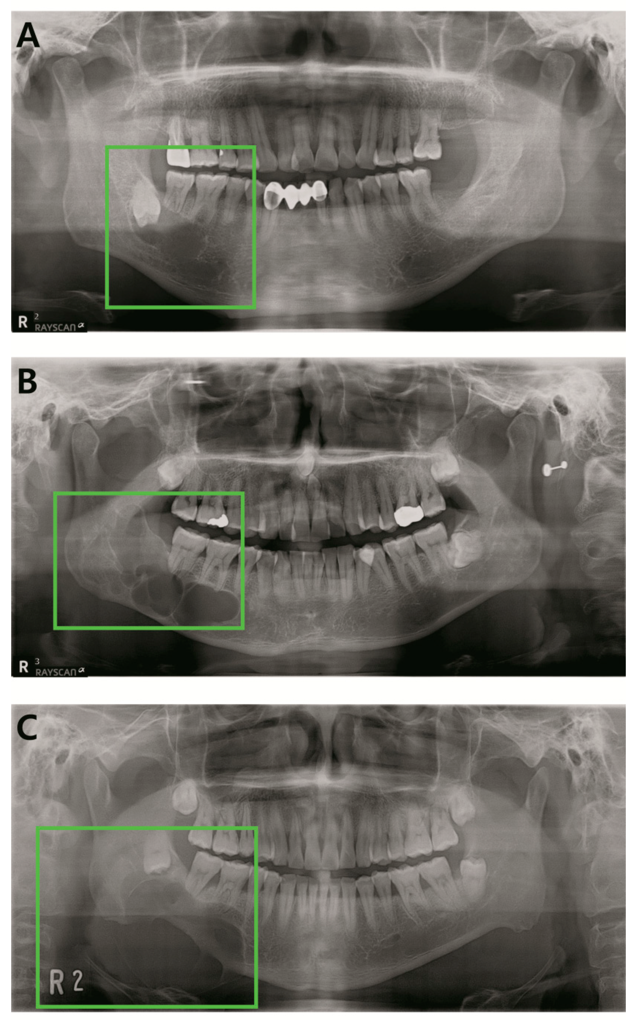
2.1. Patients Selection and Data Collection
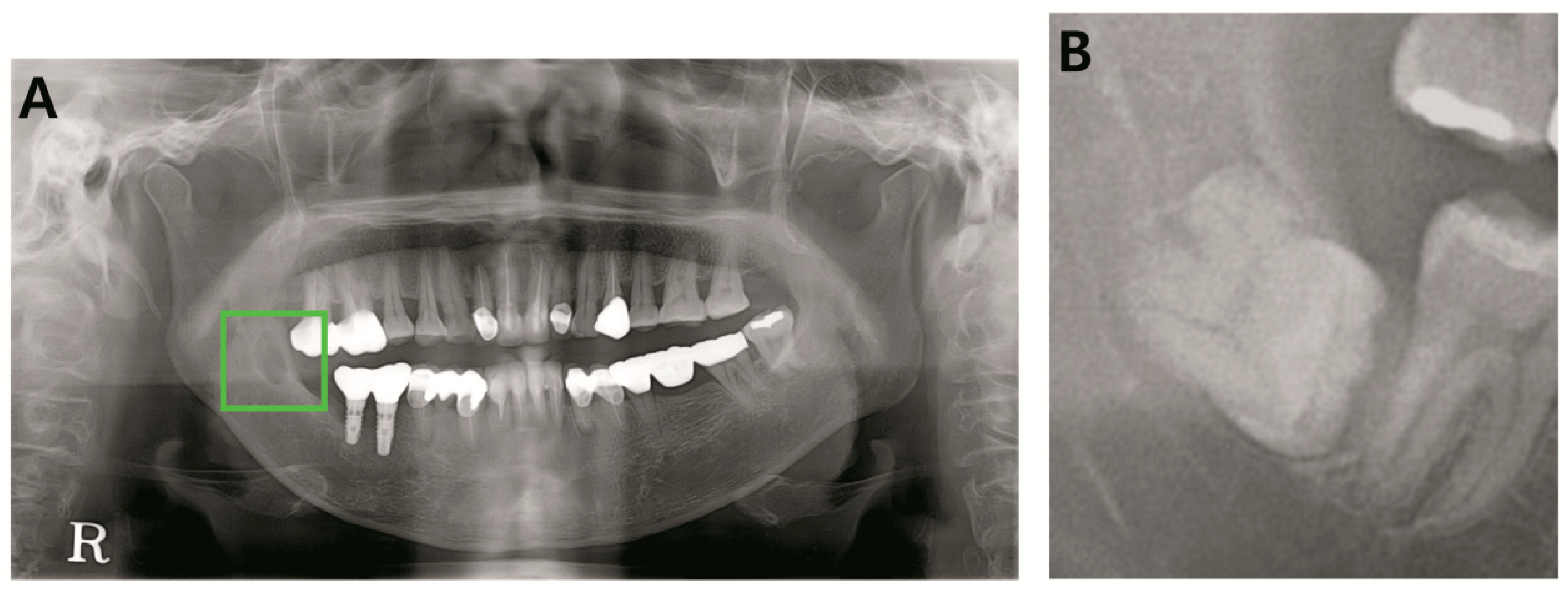
2.2. Annotation of Images
2.3. Pre-Processing and Image Augmentation
2.4. YOLO Architecture and Workflow
2.5. Performance Evaluation Method
3. Results
4. Discussion
Author Contributions
Funding
Conflicts of Interest
References
- González-Alva, P.; Tanaka, A.; Oku, Y.; Yoshizawa, D.; Itoh, S.; Sakashita, H.; Ide, F.; Tajima, Y.; Kusama, K. Keratocystic odontogenic tumor: A retrospective study of 183 cases. J. Oral Sci. 2008, 50, 205–212. [Google Scholar] [CrossRef]
- Meara, J.G.; Shah, S.; Li, K.K.; Cunningham, M.J. The odontogenic keratocyst: A 20-year clinicopathologic review. Laryngoscope 1998, 108, 280–283. [Google Scholar] [CrossRef]
- Ariji, Y.; Morita, M.; Katsumata, A.; Sugita, Y.; Naitoh, M.; Goto, M.; Izumi, M.; Kise, Y.; Shimozato, K.; Kurita, K.; et al. Imaging features contributing to the diagnosis of ameloblastomas and keratocystic odontogenic tumours: Logistic regression analysis. Dentomaxillofac. Radiol. 2011, 40, 133–140. [Google Scholar] [CrossRef] [PubMed]
- Vinci, R.; Teté, G.; Lucchetti, F.R.; Capparé, P.; Gherlone, E.F. Implant survival rate in calvarial bone grafts: A retrospective clinical study with 10 year follow-up. Clin. Implant. Dent. Relat. Res. 2019, 21, cid.12799. [Google Scholar] [CrossRef] [PubMed]
- Jain, M.; Mittal, S.; Gupta, D.K. Primary intraosseous squamous cell carcinoma arising in odontogenic cysts: An insight in pathogenesis. J. Oral Maxillofac. Surg. 2013, 71, e7–e14. [Google Scholar] [CrossRef] [PubMed]
- Swinson, B.D.; Jerjes, W.; Thomas, G.J. Squamous cell carcinoma arising in a residual odontogenic cyst: Case report. J. Oral Maxillofac. Surg. 2005, 63, 1231–1233. [Google Scholar] [CrossRef] [PubMed]
- Chaisuparat, R.; Coletti, D.; Kolokythas, A.; Ord, R.A.; Nikitakis, N.G. Primary intraosseous odontogenic carcinoma arising in an odontogenic cyst or de novo: A clinicopathologic study of six new cases. Oral Surgery Oral Med. Oral Pathol. Oral Radiol. Endodontol. 2006, 101, 194–200. [Google Scholar] [CrossRef] [PubMed]
- Park, J.H.; Kwak, E.-J.; You, K.S.; Jung, Y.-S.; Jung, H.-D. Volume change pattern of decompression of mandibular odontogenic keratocyst. Maxillofac. Plast. Reconstr. Surg. 2019, 41, 2. [Google Scholar] [CrossRef]
- Kim, J.; Nam, E.; Yoon, S. Conservative management (marsupialization) of unicystic ameloblastoma: Literature review and a case report. Maxillofac. Plast. Reconstr. Surg. 2017, 39, 38. [Google Scholar] [CrossRef]
- Choi, J.-W. Assessment of panoramic radiography as a national oral examination tool: Review of the literature. Imaging Sci. Dent. 2011, 41, 1. [Google Scholar] [CrossRef]
- Bell, G.W.; Rodgers, J.M.; Grime, R.J.; Edwards, K.L.; Hahn, M.R.; Dorman, M.L.; Keen, W.D.; Stewart, D.J.C.; Hampton, N. The accuracy of dental panoramic tomographs in determining the root morphology of mandibular third molar teeth before surgery. Oral Surgery Oral Med. Oral Pathol. Oral Radiol. Endodontol. 2003, 95, 119–125. [Google Scholar] [CrossRef] [PubMed]
- Rohlin, M.; Kullendorff, B.; Ahlqwist, M.; Stenström, B. Observer performance in the assessment of periapical pathology: A comparison of panoramic with periapical radiography. Dentomaxillofac. Radiol. 1991, 20, 127–131. [Google Scholar] [CrossRef] [PubMed]
- Al-masni, M.A.; Al-antari, M.A.; Park, J.M.; Gi, G.; Kim, T.Y.; Rivera, P.; Valarezo, E.; Choi, M.T.; Han, S.M.; Kim, T.S. Simultaneous detection and classification of breast masses in digital mammograms via a deep learning YOLO-based CAD system. Comput. Methods Programs Biomed. 2018, 157, 85–94. [Google Scholar] [CrossRef]
- Ariji, Y.; Yanashita, Y.; Kutsuna, S.; Muramatsu, C.; Fukuda, M.; Kise, Y.; Nozawa, M.; Kuwada, C.; Fujita, H.; Katsumata, A.; et al. Automatic detection and classification of radiolucent lesions in the mandible on panoramic radiographs using a deep learning object detection technique. Oral Surg. Oral Med. Oral Pathol. Oral Radiol. 2019, 128, 424–430. [Google Scholar] [CrossRef]
- Poedjiastoeti, W.; Suebnukarn, S. Application of Convolutional Neural Network in the Diagnosis of Jaw Tumors. Healthc. Inform. Res. 2018, 24, 236. [Google Scholar] [CrossRef] [PubMed]
- Lee, J.H.; Kim, D.H.; Jeong, S.N. Diagnosis of cystic lesions using panoramic and cone beam computed tomographic images based on deep learning neural network. Oral Dis. 2020, 26, 152–158. [Google Scholar] [CrossRef] [PubMed]
- Cattoni, F.; Teté, G.; Calloni, A.M.; Manazza, F.; Gastaldi, G.; Capparè, P. Milled versus moulded mock-ups based on the superimposition of 3D meshes from digital oral impressions: A comparative in vitro study in the aesthetic area. BMC Oral Health 2019, 19, 230. [Google Scholar] [CrossRef]
- Manacorda, M.; Poletti de Chaurand, B.; Merlone, A.; Tetè, G.; Mottola, F.; Vinci, R. Virtual Implant Rehabilitation of the Severely Atrophic Maxilla: A Radiographic Study. Dent. J. 2020, 8, 14. [Google Scholar] [CrossRef]
- Redmon, J.; Divvala, S.; Girshick, R.; Farhadi, A. You Only look once: Unified, Real-Time Object Detection. In Proceedings of the 2016 IEEE Conference on Computer Vision and Pattern Recognition (CVPR), Las Vegas, NV, USA, 27–30 June 2016; pp. 779–788. [Google Scholar] [CrossRef]
- Esteva, A.; Kuprel, B.; Novoa, R.A.; Ko, J.; Swetter, S.M.; Blau, H.M.; Thrun, S. Dermatologist-level classification of skin cancer with deep neural networks. Nature 2017, 542, 115–118. [Google Scholar] [CrossRef]
- Gulshan, V.; Peng, L.; Coram, M.; Stumpe, M.C.; Wu, D.; Narayanaswamy, A.; Venugopalan, S.; Widner, K.; Madams, T.; Cuadros, J.; et al. Development and validation of a deep learning algorithm for detection of diabetic retinopathy in retinal fundus photographs. JAMA J. Am. Med. Assoc. 2016, 316, 2402–2410. [Google Scholar] [CrossRef]
- Girshick, R.; Donahue, J.; Darrell, T.; Berkeley, U.C.; Malik, J. Rich Feature Hierarchies for Accurate Object Detection and Semantic Segmentation. In Proceedings of the 2014 IEEE Conference on Computer Vision and Pattern Recognition, Columbus, OH, USA, 23–28 June 2014; pp. 2–9. [Google Scholar]
- Silva, G.; Oliveira, L.; Pithon, M. Automatic segmenting teeth in X-ray images: Trends, a novel data set, benchmarking and future perspectives. Expert Syst. Appl. 2018, 107, 15–31. [Google Scholar] [CrossRef]
- Girshick, R. Fast R-CNN. In Proceedings of the 2015 IEEE International Conference on Computer Vision (ICCV), Santiago, Chile, 7–13 December 2015; pp. 1440–1448. [Google Scholar] [CrossRef]
- Lee, J.; Han, S.; Kim, Y.H.; Lee, C.; Kim, I. Application of a fully deep convolutional neural network to the automation of tooth segmentation on panoramic radiographs. Oral Surg. Oral Med. Oral Pathol. Oral Radiol. 2019. [Google Scholar] [CrossRef]
- Hinton, G.E.; Srivastava, N.; Krizhevsky, A.; Sutskever, I.; Salakhutdinov, R.R. Improving neural networks by preventing co-adaptation of feature detectors. arXiv 2012, arXiv:1207.0580. [Google Scholar]
- Mihailova, H. Cystic Lesion of the Maxilla. CASE Rep. 2006, 12, 21–23. [Google Scholar]
- Vincent, S.D.; Deahl, S.T.; Johnson, D.L. An asymptomatic radiolucency of the posterior maxilla. J. Oral Maxillofac. Surg. 1991, 49, 1109–1115. [Google Scholar] [CrossRef]
- Ruslin, M.; Hendra, F.N.; Vojdani, A.; Hardjosantoso, D.; Gazali, M.; Tajrin, A.; Wolff, J.; Forouzanfar, T. The epidemiology, treatment, and complication of ameloblastoma in East-Indonesia: 6 years retrospective study. Med. Oral Patol. Oral Cir. Bucal 2018, 23, e54–e58. [Google Scholar] [CrossRef] [PubMed]
- Montoro, J.R.D.M.C.; Tavares, M.G.; Melo, D.H.; Franco, R.D.L.; De Mello-Filho, F.V.; Xavier, S.P.; Trivellato, A.E.; Lucas, A.S. Ameloblastoma mandibular tratado por ressecção óssea e reconstrução imediata. Braz. J. Otorhinolaryngol. 2008, 74, 155–157. [Google Scholar] [CrossRef]
- Bataineh, A.B. Effect of preservation of the inferior and posterior borders on recurrence of ameloblastomas of the mandible. Oral Surg. Oral Med. Oral Pathol. Oral Radiol. Endod. 2000, 90, 155–163. [Google Scholar] [CrossRef] [PubMed]
- Chapelle, K.A.O.M.; Stoelinga, P.J.W.; de Wilde, P.C.M.; Brouns, J.J.A.; Voorsmit, R.A.C.A. Rational approach to diagnosis and treatment of ameloblastomas and odontogenic keratocysts. Br. J. Oral Maxillofac. Surg. 2004, 42, 381–390. [Google Scholar] [CrossRef]
- Updegrave, W.J. The role of panoramic radiography in diagnosis. Oral Surg. Oral Med. Oral Pathol. 1966, 22, 49–57. [Google Scholar] [CrossRef]
- Kweon, H.H.I.; Lee, J.H.; Youk, T.M.; Lee, B.A.; Kim, Y.T. Panoramic radiography can be an effective diagnostic tool adjunctive to oral examinations in the national health checkup program. J. Periodontal Implant. Sci. 2018, 48, 317–325. [Google Scholar] [CrossRef] [PubMed]
- Cha, D.; Pae, C.; Seong, S.-B.; Choi, J.Y.; Park, H.-J. Automated diagnosis of ear disease using ensemble deep learning with a big otoendoscopy image database. EBioMedicine 2019, 45, 606–614. [Google Scholar] [CrossRef] [PubMed]
- Açikgöz, A.; Uzun-Bulut, E.; Özden, B.; Gündüz, K. Prevalence and distribution of odontogenic and nonodontogenic cysts in a Turkish population. Med. Oral Patol. Oral Cir. Bucal. 2012, 17, 108. [Google Scholar] [CrossRef]
- Nguyen, L.D.; Lin, D.; Lin, Z.; Cao, J. Deep CNNs for Microscopic Image Classification by Exploiting Transfer Learning and Feature Concatenation. In Proceedings of the 2018 IEEE International Symposium on Circuits and Systems (ISCAS), Florence, Italy, 27–30 May 2018. [Google Scholar] [CrossRef]
- Cao, H.; Bernard, S.; Heutte, L.; Sabourin, R. Improve the Performance of Transfer Learning without Fine-Tuning Using Dissimilarity-Based Multi-View Learning for Breast Cancer Histology Images. In Proceedings of the 15th International Conference, ICIAR 2018, Póvoa de Varzim, Portugal, 27–29 June 2018; pp. 779–787. [Google Scholar] [CrossRef]









| Characteristics | Training Set | Testing Set |
|---|---|---|
| (N = 1422) | (N = 181) | |
| Age [IQR] | 42.0 [31.0; 53.0] | 37.0 [25.0; 48.0] |
| Diagnosis | ||
| Dentigerous cyst | 1042 (73.3%) | 52 (28.7%) |
| OKC | 268 (18.8%) | 48 (26.5%) |
| Ameloblastoma | 112 (7.9%) | 48 (26.5%) |
| No lesion* | 0 (0.0%) | 33 (18.2%) |
| Sex | ||
| Female | 455 (32.0%) | 62 (34.3%) |
| Male | 967 (68.0%) | 119 (65.7%) |
| Location | ||
| Mandible | 1246 (87.6%) | 125 (69.1%) |
| Maxilla | 176 (12.4%) | 23 (12.7%) |
| No lesion* | 0 (0.0%) | 33 (18.2%) |
| Precision | Dentigerous Cyst | OKC | Ameloblastoma | No Lesion* | Mean (sd) |
| YOLO | 0.804 | 0.635 | 0.889 | 0.500 | 0.707 (0.174) |
| OMS specialist | 0.671 (0.124) | ||||
| OMS1 | 0.662 | 0.513 | 0.643 | 0.857 | 0.669 (0.142) |
| OMS2 | 0.717 | 0.491 | 0.576 | 0.789 | 0.643 (0.135) |
| OMS3 | 0.717 | 0.529 | 0.826 | 0.738 | 0.703 (0.125) |
| GP | 0.658 (0.138) | ||||
| GP1 | 0.705 | 0.492 | 0.633 | 0.604 | 0.608 (0.089) |
| GP2 | 0.804 | 0.635 | 0.889 | 0.500 | 0.707 (0.174) |
| Recall | Dentigerous Cyst | OKC | Ameloblastoma | No Lesion* | Mean (sd) |
| YOLO | 0.774 | 0.702 | 0.333 | 0.909 | 0.680 (0.246) |
| OMS specialist | 0.673 (0.203) | ||||
| OMS1 | 0.811 | 0.426 | 0.563 | 0.909 | 0.677 (0.222) |
| OMS2 | 0.717 | 0.596 | 0.396 | 0.909 | 0.654 (0.215) |
| OMS3 | 0.623 | 0.787 | 0.396 | 0.939 | 0.686 (0.233) |
| GP | 0.649 (0.21) | ||||
| GP1 | 0.585 | 0.617 | 0.396 | 0.879 | 0.619 (0.199) |
| GP2 | 0.774 | 0.702 | 0.333 | 0.909 | 0.68 (0.246) |
© 2020 by the authors. Licensee MDPI, Basel, Switzerland. This article is an open access article distributed under the terms and conditions of the Creative Commons Attribution (CC BY) license (http://creativecommons.org/licenses/by/4.0/).
Share and Cite
Yang, H.; Jo, E.; Kim, H.J.; Cha, I.-h.; Jung, Y.-S.; Nam, W.; Kim, J.-Y.; Kim, J.-K.; Kim, Y.H.; Oh, T.G.; et al. Deep Learning for Automated Detection of Cyst and Tumors of the Jaw in Panoramic Radiographs. J. Clin. Med. 2020, 9, 1839. https://doi.org/10.3390/jcm9061839
Yang H, Jo E, Kim HJ, Cha I-h, Jung Y-S, Nam W, Kim J-Y, Kim J-K, Kim YH, Oh TG, et al. Deep Learning for Automated Detection of Cyst and Tumors of the Jaw in Panoramic Radiographs. Journal of Clinical Medicine. 2020; 9(6):1839. https://doi.org/10.3390/jcm9061839
Chicago/Turabian StyleYang, Hyunwoo, Eun Jo, Hyung Jun Kim, In-ho Cha, Young-Soo Jung, Woong Nam, Jun-Young Kim, Jin-Kyu Kim, Yoon Hyeon Kim, Tae Gyeong Oh, and et al. 2020. "Deep Learning for Automated Detection of Cyst and Tumors of the Jaw in Panoramic Radiographs" Journal of Clinical Medicine 9, no. 6: 1839. https://doi.org/10.3390/jcm9061839
APA StyleYang, H., Jo, E., Kim, H. J., Cha, I.-h., Jung, Y.-S., Nam, W., Kim, J.-Y., Kim, J.-K., Kim, Y. H., Oh, T. G., Han, S.-S., Kim, H., & Kim, D. (2020). Deep Learning for Automated Detection of Cyst and Tumors of the Jaw in Panoramic Radiographs. Journal of Clinical Medicine, 9(6), 1839. https://doi.org/10.3390/jcm9061839

