Diabetic Foot Infections: The Diagnostic Challenges
Abstract
1. Introduction
2. Surgical Management of DFI: How Can Imaging Be Useful?
- Prophylactic procedures are those performed in neuropathic patients to reduce the risk of ulceration or recurrent ulceration in the absence of open wounds;
- Curative surgery when cutaneous ulcers are present is often performed to provide a cure by joint resection, removing underlying bony prominences (surgical decompression), osteomyelitis, or by draining underlying abscesses or phlegmons;
- Urgent procedures are performed for severe deep or ascending infections (infectious gangrene, necrotizing fasciitis, etc.) to control the progression of infection. These procedures are performed emergently and usually consist in wide open drainages or minor amputations at the foot level.
- Treat and cure the infection;
- Reduce pain (not always present because of neuropathy);
- Retain foot and allow best function (rehabilitation);
- Reduce recurrency.
3. Radiological Modalities for Imaging DFI
3.1. Radiography
3.2. Magnetic Resonance Imaging
- Skin ulcer: Skin ulceration is typified by focal interruption of the cutaneous line, with raised margins (secondary to preexisting callus formation). Acute ulcer appears hyperintense on fluid-sensitive fat-suppressed images, with marked peripheral post-contrast enhancement, which is a finding that is indicative of granulation tissue at the base of the ulcer. Chronic ulcer may be associated with fibrous healing and thus appears as a mass with low signal intensity on T1-weighted images and low to intermediate signal intensity on fluid-sensitive fat-suppressed images [42,43,46].
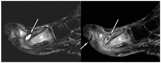
- Sinus tract and abscess: Sinus tracts and abscesses are some of the major findings in osteomyelitis. Morrison et al. determined the usefulness of primary and secondary MRI signs of OM and found that the identification of a sinus tract showed high specificity (average, 85%) for the diagnosis of osteomyelitis in the adjacent bone [47]. Sinus tracts typically extend from skin ulcers to tendon sheaths, bones, or joints, and they represent a route for the subsequent spread of infection leading to abscesses, septic tenosynovitis, and/or osteomyelitis [47]. Sinus tracts appear as linear fluid signal intensity on fluid-sensitive fat-suppressed images and display a characteristic “tram-track” pattern of the enhancement on contrast-enhanced images. The latter are the most sensitive MRI feature for detecting sinus tracts (Figure 3). Abscess is seen as a focal fluid collection that is hypointense on T1-weighted images and hyperintense on fluid-sensitive fat-suppressed images, with a thick rim post-contrast enhancement, due to the presence of granulation tissue (Figure 3). The presence of rim enhancement is essential in distinguishing abscesses from cellulitis or phlegmons, which present diffuse post-contrast enhancement [42,43,46].
- Septic tenosynovitis: Septic tenosynovitis generally results from the contiguous spread of infection from an adjacent ulcer, abscess, or sinus tract. On MRI, it is characterized by an abnormal increase in fluid within the tendon sheath, and post-contrast images may show a thick rim enhancement around the tendon, due to inflamed synovium. The tendon loses its constant low signal intensity and becomes thickened and indistinct [42,43,46].
- Septic arthritis: Similar to OM and tenosynovitis, septic arthritis occurs also as a result of contiguous spread from an adjacent ulcer, abscess, or sinus tract. No single MRI feature can differentiate septic from nonseptic arthritis; increased joint fluid and synovial thickening with contrast enhancement may also be seen in non-infectious inflammatory arthropathies. However, in pedal infections, the diagnosis of septic arthritis may be more specific if an ulcer and adjacent soft-tissue infection directly abut the joint, or, a sinus tract extends into the joint. Septic arthritis may demonstrate edema with post-contrast enhancement in adjacent soft tissue and on both sides of the joint. Reactive BM oedema, secondary to septic arthritis, should be differentiated from a superimposed OM. A low signal intensity on T1-weighted images, and proximal extension of subchondral edema beyond the subchondral bone usually indicate OM [42,48].
4. Nuclear Medicine Imaging for DFI
4.1. Gamma-Camera Imaging for DFI
4.2. PET/CT Imaging for DFI
5. Consensus Statements Emerged from Round Table of 3rd European Congress of Infection and Inflammation
5.1. Is Radiography Useful in a Patient with Suspected OM?
5.2. Is a Negative Radiographic Examination Enough to Rule Out OM?
5.3. Is MRI Indicated Since the First Diagnostic Steps?
5.4. Is MRI Indicated for Therapy Evaluation?
5.5. Is WBC Scintigraphy Able to Differentiate between Superficial or Deep Infection?
5.6. Can [18F]FDG PET/CT be Used as an Alternative to WBC?
5.7. Is SUVmax Evaluation Useful for the Correct Interpretation of by [18F]FDG PET/CT Scan?
5.8. Is It Possible to Perform Radiolabelled WBC Scintigraphy during an Antibiotic Treatment?
5.9. Do We Need to Perform a Combined Bone Marrow Scintigraphy in Addition to Radiolabelled WBC Scintigraphy for the Evaluation of Charcot?
6. Conclusions
Author Contributions
Funding
Conflicts of Interest
References
- Raspovic, K.M.; Wukich, D.K. Self-reported quality of life and diabetic foot infections. J. Foot. J. Med. 2017, 376, 2367–2375. [Google Scholar] [CrossRef]
- Singh, N.; Armstrong, D.G.; Lipsky, B.A. Preventing foot ulcers in patients with diabetes. JAMA 2005, 293, 217–228. [Google Scholar] [CrossRef] [PubMed]
- Armostrong, D.G.; Lavery, L.A.; Harkless, L.B. Validation of a diabetic wound classification system. The contribution of depth, infection and ischemia to risk of amputation. Diabetes Care 1998, 21, 855–859. [Google Scholar] [CrossRef] [PubMed]
- Prompers, L.; Huijbert, M.; Alpeqvist, J.; Jude, E.; Piaggesi, A.; Bakker, K.; Edmonds, M.; Holstein, P.; Jirkovska, A.; Mauricio, D.; et al. High prevalence of ischaemia, infection and serious comorbidity in patients with diabetic foot disease in Europe. Baseline results from the Eurodiale study. Diabetologia 2007, 50, 18–25. [Google Scholar] [CrossRef] [PubMed]
- Delamaire, M.; Maugendre, D.; Moreno, M.; Le Goff, M.C.; Allannic, H.; Genetet, B. Impaired leucocyte functions in diabetic patients. Diabet. Med. 1997, 14, 29–34. [Google Scholar] [CrossRef]
- Alexiewicz, J.M.; Kumar, D.; Smogorzewski, M.; Klin, M.; Massry, S.G. Polymorphonuclear leukocytes in non-insulin-dependent diabetes mellitus: Abnormalities in metabolism and function. Ann. Intern. Med. 1995, 123, 919–924. [Google Scholar] [CrossRef]
- Lipsky, B.A.; Berendt, A.R.; Cornia, P.B.; Pile, J.C.; Peters, E.J.; Armstrong, D.G.; Deery, H.G.; Embil, J.M.; Joseph, W.S.; Karchmer, A.W.; et al. Infectious Diseases Society of America. 2012 Infectious Diseases Society of America Clinical Practice Guideline for the Diagnosis and Treatment of Diabetic Foot Infections. Clin. Infect. Dis. 2012, 54, e132–e173. [Google Scholar] [CrossRef]
- Lipsky, B.A.; Aragon-Sanchez, J.; Diggle, M.; Embil, J.; Kono, S.; Lavery, L.; Senneville, E.; Urbancic-Rovan, V.; van Asten, S.; on behalf of the International Working Group on the Diabetic Foot; et al. IWGDF guidance on the diagnosis and management of foot infections in persons with diabetes. Diabetes Metab. Res. Rev. 2016, 32, 45–74. [Google Scholar] [CrossRef] [PubMed]
- Lavery, L.A.; Armstrong, D.G.; Murdoch, D.P.; Peters, E.J.; Lipsky, B.A. Validation of the Infectious Diseases Society of America’s diabetic foot infection classification system. Clin. Infect. Dis. 2007, 44, 562–565. [Google Scholar] [CrossRef]
- Lipsky, B.A.; Senneville, É.; Abbas, Z.G.; Aragón-Sánchez, J.; Diggle, M.; Embil, J.M.; Kono, S.; Lavery, L.A.; Malone, M.; van Asten, S.A.; et al. International Working Group on the Diabetic Foot (IWGDF). Guidelines on the diagnosis and treatment of foot infection in persons with diabetes (IWGDF 2019 update). Diabetes Metab. Res. Rev. 2020, 36, e3280. [Google Scholar] [CrossRef]
- Lipsky, B.A.; Berendt, A.R.; Deery, H.G.; Embil, J.M.; Joseph, W.S.; Karchmer, A.W.; LeFrock, J.L.; Lew, D.P.; Mader, J.T.; Norden, C.; et al. Infectious Diseases Society of America. Diagnosis and treatment of diabetic foot infections. Clin. Infect. Dis. 2004, 39, 885–910. [Google Scholar] [CrossRef] [PubMed]
- Faglia, E.; Clerici, G.; Caminiti, M.; Quarantiello, A.; Gino, M.; Morabito, A. The role of Early Surgical Debridement and Revascularization in Patients with Diabetes and Deep Foot Space Abscess: Retrospective review of 106 patients with Diabetes. J. Foot Ankle Surg. 2006, 45, 220–226. [Google Scholar] [CrossRef]
- Lavery, L.A.; Ryan, E.C.; Ahn, J.; Crisologo, P.A.; Oz, O.K.; La Fontaine, J.; Wukich, D.K. The infected Diabetic Foot: Re-evaluating the infectious Diseases Society of America Diabetic Foot Infection Classification. Clin. Infect. Dis. 2020, 70, 1573–1579. [Google Scholar] [CrossRef]
- Giurato, L.; Meloni, M.; Izzo, V.; Uccioli, L. Osteomyelitis in diabetic foot. A comprehensive overview. World J. Diabetes 2017, 8, 135–142. [Google Scholar] [CrossRef]
- Aragón-Sánchez, J.; Lipsky, B.A.; Lázaro-Martínez, J.L. Diagnosing diabetic foot osteomyelitis: Is the combination of probe-to-bone test and plain radiography sufficient for high-risk inpatients? Diabet. Med. 2011, 28, 191–194. [Google Scholar] [CrossRef] [PubMed]
- Alvaro-Afonso, F.J.; Lazaro-Martinez, J.L.; Aragón-Sánchez, J.; Garcia-Morales, E.; Garcia-Alvarez, Y.; Molines-Barroso, R.J. Inter-observer reproducibility of diagnosis of diabetic foot osteomyelitis based on a combination of probe-to-bone test and simple radiography. Diabetes Res. Clin. Prac. 2014, 105, e3–e5. [Google Scholar] [CrossRef] [PubMed]
- Malone, M.; Bowling, F.L.; Gannass, A.; Jude, E.B.; Boulton, A.J.M. Deep wound cultures correlate well with bone biopsy culture in diabetic foot osteomyelitis. Diabetes Metab. Res. Rev. 2013, 29, 546–550. [Google Scholar] [CrossRef] [PubMed]
- Singer, A. Surgical treatment of mal perforans. Arch. Surg. 1976, 111, 964–968. [Google Scholar] [CrossRef]
- Kelly, P.J.; Coventry, M.B. Neurotrophic ulcers of the feet; review of forty-seven cases. JAMA 1958, 168, 388–393. [Google Scholar] [CrossRef]
- Lavery, L.A. Effectiveness and safety of elective surgical procedures to improve wound healing and reduce re-ulceration in diabetic patients with foot ulcers. Diabetes Metab. Res. Rev. 2012, 28, 60–63. [Google Scholar] [CrossRef]
- Ledoux, W.R.; Shofer, J.B.; Smith, D.G.; Sullivan, K.; Hayes, S.G.; Assal, M.; Reiber, G.E. Relationship between foot type, foot deformity, and ulcer occurrence in the high-risk diabetic foot. J. Rehabil. Res. Dev. 2005, 42, 665–672. [Google Scholar] [CrossRef] [PubMed]
- Fernando, M.E.; Crowther, R.G.; Lazzarini, P.A.; Yogakanthi, S.; Sangla, K.S.; Buttner, P.; Jones, R.; Golledge, J. Plantar pressures are elevated in people with longstanding diabetes-related foot ulcers during follow-up. PLoS ONE 2017, 12, e018191. [Google Scholar] [CrossRef] [PubMed]
- Armstrong, D.G.; Boulton, A.J.M.; Bus, S.A. Diabetic foot ulcers and their recurrence. N. Engl. J. Med. 2017, 376, 2367–2375. [Google Scholar] [CrossRef]
- Frykberg, R.G.; Bevilacqua, N.J.; Habershaw, G. Surgical off-loading of the diabetic foot. J. Vasc. Surg. 2010, 52, 44S–58S. [Google Scholar] [CrossRef] [PubMed]
- Frykberg, R.G.; Wittmayer, B.; Zgonis, T. Surgical management of diabetic foot infections and osteomyelitis. Clin. Podiatr. Med. Surg. 2007, 24, 469–482. [Google Scholar] [CrossRef]
- Armstrong, D.G.; Frykberg, R.G. Classifying diabetic foot surgery: Toward a rational definition. Diabet. Med. 2003, 20, 329–331. [Google Scholar] [CrossRef]
- Cavallini, M. Gestione Delle Lesioni Cutanee (Wound Care & Cure); Cic Edizioni Internazionali: Rome, Italy, 2020; ISBN 978-88-9389-029-8. [Google Scholar]
- Harries, R.L.; Bosanquet, D.C.; Harding, K.G. Wound bed preparation: TIME for an update. Int. Wound J. 2016, 13, 8–14. [Google Scholar] [CrossRef]
- Forsberg, J.A.; Potter, B.K.; Cierny, G., III; Webb, L. Diagnosis and management of chronic infection. J. Am. Acad. Orthop. Surg. 2011, 19, S8–S19. [Google Scholar] [CrossRef]
- Simpson, A.H.R.W.; Deakin, M.; Latham, J.M. Chronic osteomyelitis: The Effect of the Extent of Surgical Resection on Infection-Free Survival. J. Bone Joint Surg. Br. 2001, 83, 403–407. [Google Scholar] [CrossRef]
- Costerton, J.W. Biofilm theory can guide the treatment of device-related orthopaedic infections. Clin. Orthop. Relat. Res. 2005, 437, 7–11. [Google Scholar] [CrossRef]
- Percival, S.L.; McCarty, S.M.; Lipsky, B. Biofilms and wounds: An overview of the evidence. Adv. Wound Care (New Rochelle) 2015, 4, 373–381. [Google Scholar] [CrossRef]
- Tiemann, A.H.; Hofmann, G.O. Principles of the therapy of bone infections in adult extremities: Are there any new developments? Strateg. Trauma Limb Reconstr. 2009, 4, 57–64. [Google Scholar] [CrossRef]
- Cavallini, M. Ulcer piercing: Cleansing of complicated diabetic neuropathic foot ulcers by positive pressure irrigation. J. Wound Care 2014, 23, 60–65. [Google Scholar] [CrossRef] [PubMed]
- Butalia, S.; Palda, V.A.; Sargeant, R.J.; Detsky, A.S.; Mourad, O. Does this patient with diabetes have osteomyelitis of the lower extremity? JAMA 2008, 299, 806–813. [Google Scholar] [CrossRef]
- Lam, K.; van Asten, S.A.; Nguyen, T.; La Fontaine, J.; Lavery, L.A. Diagnostic Accuracy of Probe to Bone to Detect Osteomyelitis in the Diabetic Foot: A Systematic Review. Clin. Infect. Dis. 2016, 63, 944–948. [Google Scholar] [CrossRef]
- Wrobel, J.; Schmidt, B. Probe-to-bone testing for osteomyelitis in the diabetic foot: A literature review. Diabet. Foot J. 2016, 19, 64–68. [Google Scholar]
- Walker, E.A.; Beaman, F.D.; Wessell, D.E.; Cassidy, R.C.; Czuczman, G.J.; Demertzis, J.L.; Lenchik, L.; Motamedi, K.; Pierce, J.L.; Sharma, A.; et al. Expert Panel on Musculoskeletal Imaging. ACR Appropriateness Criteria® Suspected Osteomyelitis of the Foot in Patients with Diabetes Mellitus. J. Am. Coll. Radiol. 2019, 16, S440–S450. [Google Scholar] [CrossRef] [PubMed]
- Lim, A.K. Diabetic nephropathy-complications and treatment. Int. J. Nephrol. Renov. Dis. 2014, 7, 361–381. [Google Scholar] [CrossRef]
- Markanday, A. Diagnosing diabetic foot osteomyelitis: Narrative review and a suggested 2-step score-based diagnostic pathway for clinicians. Open Forum Infect. Dis. 2014, 1, ofu060. [Google Scholar] [CrossRef]
- Merashli, M.; Chowdhury, T.A.; Jawad, A.S. Musculoskeletal manifestations of diabetes mellitus. QJM 2015, 108, 853–857. [Google Scholar] [CrossRef]
- Donovan, A.; Schweitzer, M.E. Use of MR imaging in diagnosing diabetes-related pedal osteomyelitis. Radiographics 2010, 30, 723–736. [Google Scholar] [CrossRef] [PubMed]
- Tan, P.L.; Teh, J. MRI of the diabetic foot: Differentiation of infection from neuropathic change. Br. J. Radiol. 2007, 80, 939–948. [Google Scholar] [CrossRef] [PubMed]
- Kapoor, A.; Page, S.; Lavalley, M.; Gale, D.R.; Felson, D.T. Magnetic resonance imaging for diagnosing foot osteomyelitis: A meta-analysis. Arch. Intern. Med. 2007, 167, 125–132. [Google Scholar] [CrossRef] [PubMed]
- Martín Noguerol, T.; Luna Alcalá, A.; Beltrán, L.S.; Gómez Cabrera, M.; Broncano Cabrero, J.; Vilanova, J.C. Advanced MR Imaging Techniques for Differentiation of Neuropathic Arthropathy and Osteomyelitis in the Diabetic Foot. Radiographics 2017, 37, 1161–1180. [Google Scholar] [CrossRef] [PubMed]
- Leone, A.; Vitiello, C.; Gullì, C.; Sikora, A.K.; Macagnino, S.; Colosimo, C. Bone and soft tissue infections in patients with diabetic foot. Radiol. Med. 2020, 125, 177–187. [Google Scholar] [CrossRef] [PubMed]
- Morrison, W.B.; Schweitzer, M.E.; Batte, W.G.; Radack, D.P.; Russel, K.M. Osteomyelitis of the foot: Relative importance of primary and secondary MR imaging signs. Radiology 1998, 207, 625–632. [Google Scholar] [CrossRef]
- Toledano, T.R.; Fatone, E.A.; Weis, A.; Cotten, A.; Beltran, J. MRI evaluation of bone marrow changes in the diabetic foot: A practical approach. Semin. Musculoskelet. Radiol. 2011, 15, 257–268. [Google Scholar] [CrossRef]
- Ledermann, H.P.; Morrison, W.B.; Schweitzer, M.E. MR image analysis of pedal osteomyelitis: Distribution, patterns of spread, and frequency of associated ulceration and septic arthritis. Radiology 2002, 223, 747–755. [Google Scholar] [CrossRef]
- Low, K.T.; Peh, W.C. Magnetic resonance imaging of diabetic foot complications. Singap. Med. J. 2015, 56, 23–33. [Google Scholar] [CrossRef]
- Ahmadi, M.E.; Morrison, W.B.; Carrino, J.A.; Schweitzer, M.E.; Raikin, S.M.; Ledermann, H.P. Neuropathic arthropathy of the foot with and without superimposed osteomyelitis: MR imaging characteristics. Radiology 2006, 238, 622–631. [Google Scholar] [CrossRef]
- Signore, A.; Lauri, C.; Galli, F. Radiolabelled probes targeting infection and inflammation for personalized medicine. Curr. Pharm. Des. 2014, 20, 2338–2345. [Google Scholar] [CrossRef]
- de Vries, E.F.; Roca, M.; Jamar, F.; Israel, O.; Signore, A. Guidelines for the labelling of leucocytes with 99mTc-HMPAO. Inflammation/Infection Taskgroup of the European Association of Nuclear Medicine. Eur. J. Nucl. Med. Mol. Imaging 2010, 37, 842–848. [Google Scholar] [CrossRef]
- Roca, M.; de Vries, E.F.; Jamar, F.; Israel, O.; Signore, A. Guidelines for the labelling of leucocytes with 111In-oxine. Inflammation/Infection Taskgroup of the European Association of Nuclear Medicine. Eur. J. Nucl. Med. Mol. Imaging 2010, 37, 835–841. [Google Scholar] [CrossRef]
- Signore, A.; Jamar, F.; Israel, O.; Buscombe, J.; Martin-Comin, J.; Lazzeri, E. Clinical indications, image acquisition and data interpretation for white blood cells and anti-granulocyte monoclonal antibody scintigraphy: An EANM procedural guideline. Eur. J. Nucl. Med. Mol. Imaging 2018, 45, 1816–1831. [Google Scholar] [CrossRef]
- Glaudemans, A.W.; de Vries, E.F.; Vermeulen, L.E.; Slart, R.H.; Dierckx, R.A.; Signore, A. A large retrospective single-centre study to define the best image acquisition protocols and interpretation criteria for white blood cell scintigraphy with (99) mTc-HMPAO-labelled leucocytes in musculoskeletal infections. Eur. J. Nucl. Med. Mol. Imaging 2013, 40, 1760–1769. [Google Scholar] [CrossRef]
- Erba, P.A.; Glaudemans, A.W.; Veltman, N.C.; Sollini, M.; Pacilio, M.; Galli, F.; Dierckx, R.A.; Signore, A. Image acquisition and interpretation criteria for 99mTc-HMPAO-labelled white blood cell scintigraphy: Results of a multicenter study. Eur. J. Nucl. Med. Mol. Imaging 2014, 41, 615–623. [Google Scholar] [CrossRef]
- Glaudemans, A.W.; Prandini, N.; Di Girolamo, M.; Argento, G.; Lauri, C.; Lazzeri, E.; Muto, M.; Sconfienza, L.M.; Signore, A. Hybrid imaging of musculoskeletal infections. Q. J. Nucl. Med. Mol. Imaging 2018, 62, 3–13. [Google Scholar] [CrossRef]
- Lauri, C.; Tamminga, M.; Glaudemans, A.W.J.M.; Juárez Orozco, L.E.; Erba, P.A.; Jutte, P.C.; Lipsky, B.A.; IJzerman, M.J.; Signore, A.; Slart, R.H.J.A. Detection of Osteomyelitis in the Diabetic Foot by Imaging Techniques: A Systematic Review and Meta-analysis Comparing MRI, White Blood Cell Scintigraphy, and FDG-PET. Diabetes Care 2017, 40, 1111–1120. [Google Scholar] [CrossRef]
- Lauri, C.; Glaudemans, A.W.J.M.; Signore, A. Leukocyte Imaging of the Diabetic Foot. Curr. Pharm. Des. 2018, 24, 1270–1276. [Google Scholar] [CrossRef]
- Maurer, A.H.; Millmond, S.H.; Knight, L.C.; Mesgarzadeh, M.; Siegel, J.A.; Shuman, C.R.; Adler, L.P.; Greene, G.S.; Malmud, L.S. Infection in diabetic osteoarthropathy: Use of indium-labeled leukocytes for diagnosis. Radiology 1986, 161, 221–225. [Google Scholar] [CrossRef]
- Keenan, A.M.; Tindel, N.L.; Alavi, A. Diagnosis of pedal osteomyelitis in diabetic patients using current scintigraphic techniques. Arch. Intern. Med. 1989, 149, 2262–2266. [Google Scholar] [CrossRef]
- Johnson, J.E.; Kennedy, E.J.; Shereff, M.J.; Patel, N.C.; Collier, B.D. Prospective study of bone, indium-111-labeled white blood cell, and gallium-67 scanning for the evaluation of osteomyelitis in the diabetic foot. Foot Ankle Int. 1996, 17, 10–16. [Google Scholar] [CrossRef]
- Newman, L.G.; Waller, J.; Palestro, C.J.; Hermann, G.; Klein, M.J.; Schwartz, M.; Harrington, E.; Harrington, M.; Roman, S.H.; Stagnaro-Green, A. Leukocyte scanning with 111In is superior to magnetic resonance imaging in diagnosis of clinically unsuspected osteomyelitis in diabetic foot ulcers. Diabetes Care 1992, 15, 1527–1530. [Google Scholar] [CrossRef]
- Unal, S.N.; Birinci, H.; Baktiroğlu, S.; Cantez, S. Comparison of Tc- 99m methylene diphosphonate, Tc-99m human immune globulin, and Tc-99m-labeled white blood cell scintigraphy in the diabetic foot. Clin. Nucl. Med. 2001, 26, 1016–1021. [Google Scholar] [CrossRef]
- Heiba, S.I.; Kolker, D.; Mocherla, B.; Kapoor, K.; Jiang, M.; Son, H.; Rangaswamy, B.; Kostakoglu, L.; Savitch, I.; DaCosta, M.; et al. The optimized evaluation of diabetic foot infection by dual isotope SPECT/CT imaging protocol. J. Foot Ankle Surg. 2010, 49, 529–536. [Google Scholar] [CrossRef]
- Heiba, S.; Kolker, D.; Ong, L.; Sharma, S.; Travis, A.; Teodorescu, V.; Ellozy, S.; Kostakoglu, L.; Savitch, I.; Machac, J. Dual-isotope SPECT/CT impact on hospitalized patients with suspected diabetic foot infection: Saving limbs, lives, and resources. Nucl. Med. Commun. 2013, 34, 877–884. [Google Scholar] [CrossRef]
- Ertugrul, M.B.; Baktiroglu, S.; Salman, S.; Unal, S.; Aksoy, M.; Berberoglu, K.; Calangu, S. The diagnosis of osteomyelitis of the foot in diabetes: Microbiological examination vs. magnetic resonance imaging and labelled leucocyte scanning. Diabet. Med. 2006, 23, 649–653. [Google Scholar] [CrossRef]
- Larcos, G.; Brown, M.L.; Sutton, R.T. Diagnosis of osteomyelitis of the foot in diabetic patients: Value of 111In-leukocyte scintigraphy. Am. J. Roentgenol. 1991, 157, 527–531. [Google Scholar] [CrossRef]
- Palestro, C.J.; Mehta, H.H.; Patel, M.; Freeman, S.J.; Harrington, W.N.; Tomas, M.B.; Marwin, S.E. Marrow versus infection in the Charcot joint: Indium-111 leukocyte and technetium-99m sulphur colloid scintigraphy. J. Nucl. Med. 1998, 39, 346–350. [Google Scholar]
- Palestro, C.J.; Roumanas, P.; Swyer, A.J.; Kim, C.K.; Goldsmith, S.J. Diagnosis of musculoskeletal infection using combined In-111 labeled leukocyte and Tc-99m SC marrow imaging. Clin. Nucl. Med. 1992, 17, 269–273. [Google Scholar] [CrossRef]
- Tomas, M.B.; Patel, M.; Marwin, S.E.; Palestro, C.J. The diabetic foot. Br. J. Radiol. 2000, 73, 443–450. [Google Scholar] [CrossRef] [PubMed]
- Auletta, S.; Riolo, D.; Varani, M.; Lauri, C.; Galli, F.; Signore, A. Labelling and clinical performance of human leukocytes with 99mTc-HMPAO using Leukokit® with gelofusine versus Leukokit® with HES as sedimentation agent. Contrast Media Mol. Imaging 2019, 4368342. [Google Scholar] [CrossRef] [PubMed]
- Dominguez-Gadea, L.; Martin-Curto, L.M.; de la Calle, H.; Crespo, A. Diabetic foot infections: Scintigraphic evaluation with 99mTc labelled anti-granulocyte antibodies. Nucl. Med. Commun. 1993, 14, 212–218. [Google Scholar] [CrossRef] [PubMed]
- Palestro, C.J.; Caprioli, R.; Love, C.; Richardson, H.L.; Kipper, S.L.; Weiland, F.L.; Tomas, M.B. Rapid diagnosis of pedal osteomyelitis in diabetics with a technetium-99m-labeled monoclonal antigranulocyte antibody. J. Foot Ankle Surg. 2003, 42, 2–8. [Google Scholar] [CrossRef]
- Delcourt, A.; Huglo, D.; Prangere, T.; Benticha, H.; Devemy, F.; Tsirtsikoulou, D.; Lepeut, M.; Fontaine, P.; Steinling, M. Comparison between Leukoscan (Sulesomab) and Gallium-67 for the diagnosis of osteomyelitis in the diabetic foot. Diabetes Metab. 2005, 31, 125–133. [Google Scholar] [CrossRef]
- Jamar, F.; Buscombe, J.; Chiti, A.; Christian, P.E.; Delbeke, D.; Donohoe, K.J.; Israel, O.; Martin-Comin, J.; Signore, A. EANM/SNMMI guideline for 18F-FDG use in inflammation and infection. J. Nucl. Med. 2013, 54, 647–658. [Google Scholar] [CrossRef]
- Treglia, G.; Sadeghi, R.; Annunziata, S.; Zakavi, S.R.; Caldarella, C.; Muoio, B.; Bertagna, F.; Ceriani, L.; Giovannella, L. Diagnostic performance of Fluorine-18-Fluorodeoxyglucose positron emission tomography for the diagnosis of osteomyelitis related to diabetic foot: A systematic review and a meta-analysis. Foot (Edinb) 2013, 23, 140–148. [Google Scholar] [CrossRef]
- Nawaz, A.; Torigian, D.A.; Siegelman, E.S.; Basu, S.; Chryssikos, T.; Alavi, A. Diagnostic performance of FDG-PET, MRI, and plain film radiography (PFR) for the diagnosis of osteomyelitis in the diabetic foot. Mol. Imaging Biol. 2010, 12, 335–342. [Google Scholar] [CrossRef]
- Basu, S.; Chryssikos, T.; Houseni, M.; Scot Malay, D.; Shah, J.; Zhuang, H.; Alavi, A. Potential role of FDG PET in the setting of diabetic neuro-osteoarthropathy: Can it differentiate uncomplicated Charcot’s neuroarthropathy from osteomyelitis and soft-tissue infection? Nucl. Med. Commun. 2007, 28, 465–472. [Google Scholar] [CrossRef]
- Familiari, D.; Glaudemans, A.W.; Vitale, V.; Prosperi, D.; Bagni, O.; Lenza, A.; Cavallini, M.; Scopinaro, F.; Signore, A. Can sequential 18F-FDG PET/CT replace WBC imaging in the diabetic foot? J. Nucl. Med. 2011, 52, 1012–1019. [Google Scholar] [CrossRef]
- Glaudemans, A.W.; Uçkay, I.; Lipsky, B.A. Challenges in diagnosing infection in the diabetic foot. Diabet. Med. 2015, 32, 748–759. [Google Scholar] [CrossRef]
- Gariani, K.; Lebowitz, D.; von Dach, E.; Kressmann, B.; Lipsky, B.A.; Uçkay, I. Remission in diabetic foot infections: Duration of antibiotic therapy and other possible associated factors. Diabetes Obes. Metab. 2019, 21, 244–251. [Google Scholar] [CrossRef] [PubMed]
- Erdman, W.A.; Buethe, J.; Bhore, R.; Ghayee, H.K.; Thompson, C.; Maewal, P.; Anderson, J.; Klemow, S.; Oz, O.K. Indexing severity of diabetic foot infection with 99mTc-WBC SPECT/CT hybrid imaging. Diabetes Care 2012, 35, 1826–1831. [Google Scholar] [CrossRef] [PubMed]
- Przybylski, M.M.; Holloway, S.; Vyce, S.D.; Obando, A. Diagnosing osteomyelitis in the diabetic foot: A pilot study to examine the sensitivity and specificity of Tc(99m) white blood cell-labelled single photon emission computed tomography/computed tomography. Int. Wound J. 2016, 13, 382–389. [Google Scholar] [CrossRef] [PubMed]
- Filippi, L.; Uccioli, L.; Giurato, L.; Schillaci, O. Diabetic foot infection: Usefulness of SPECT/CT for 99mTc-HMPAO-labeled leukocyte imaging. J. Nucl. Med. 2009, 50, 1042–1046. [Google Scholar] [CrossRef]
- Vouillarmet, J.; Morelec, I.; Thivolet, C. Assessing diabetic foot osteomyelitis remission with white blood cell SPECT/CT imaging. Diabet. Med. 2014, 31, 1093–1099. [Google Scholar] [CrossRef]
- Lazaga, F.; Van Asten, S.A.; Nichols, A.; Bhavan, K.; La Fontaine, J.; Oz, O.K.; Lavery, L.A. Hybrid imaging with 99mTc-WBC SPECT/CT to monitor the effect of therapy in diabetic foot osteomyelitis. Int. Wound J. 2016, 13, 1158–1160. [Google Scholar] [CrossRef]
- Lauri, C.; Glaudemans, A.W.J.M.; Campagna, G.; Keidar, Z.; Kurash, M.M.; Georga, S.; Arsos, G.; Noriega-Álvarez, E.; Argento, G.; Kwee, T.C.; et al. Comparison of White Blood Cell Scintigraphy, FDG PET/CT and MRI in Suspected Diabetic Foot Infection: Results of a Large Retrospective Multicenter Study. J. Clin. Med. 2020, 9, 1645. [Google Scholar] [CrossRef]
- Kagna, O.; Srour, S.; Melamed, E.; Militianu, D.; Keidar, Z. FDG PET/CT imaging in the diagnosis of osteomyelitis in the diabetic foot. Eur. J. Nucl. Med. Mol. Imaging 2012, 39, 1545–1550. [Google Scholar] [CrossRef]
- Vesco, L.; Boulahdour, H.; Hamissa, S.; Kretz, S.; Montazel, J.L.; Perlemuter, L.; Meignan, M.; Rahmouni, A. The value of combined radionuclide and magnetic resonance imaging in the diagnosis and conservative management of minimal or localized osteomyelitis of the foot in diabetic patients. Metabolism 1999, 48, 922–927. [Google Scholar] [CrossRef]
- Newman, L.G.; Waller, J.; Palestro, C.J.; Schwartz, M.; Klein, M.J.; Hermann, G.; Harrington, E.; Harrington, M.; Roman, S.H.; Stagnaro-Green, A. Unsuspected osteomyelitis in diabetic foot ulcers. Diagnosis and monitoring by leukocyte scanning with indium 111 oxyquinoline. JAMA 1991, 266, 1246–1251. [Google Scholar] [CrossRef] [PubMed]
- Glaudemans, A.W.; Galli, F.; Pacilio, M.; Signore, A. Leukocyte and bacteria imaging in prosthetic joint infections. Eur. Cell Mater. 2013, 25, 61–77. [Google Scholar] [CrossRef] [PubMed]
- Ruotolo, V.; Di Pietro, B.; Giurato, L.; Masala, S.; Meloni, M.; Schillaci, O.; Bergamini, A.; Uccioli, L. A new natural history of Charcot foot: Clinical evolution and final outcome of stage 0 Charcot neuroarthropathy in a tertiary referral diabetic foot clinic. Clin. Nucl. Med. 2013, 38, 506–509. [Google Scholar] [CrossRef] [PubMed]





| OM | STI | Charcot | Pitfalls | |
|---|---|---|---|---|
| Radiography | Anatomical overview of the area of interest and any preexisting conditions that might influence the interpretation of subsequent procedures | Soft-tissue gas, and calcifications | Bony fragmentation, debris formation, subluxation/dislocation, bony fragments fusion, sclerosis of bone ends, fractures, osteophytosis, and deformity | Very poor sensitivity in the early stages of the diseases. BM edema cannot be detected |
| CT | Cortical erosions, periosteal reaction, small sequestra | Soft-tissue gas, and calcifications | No potential in acute condition. In chronic condition, CT may be acquired for a preoperative bone assessment | Very limited role in the imaging of DFI. BM oedema can not be detected |
| MRI | Diffuse BM involvement: decreased marrow signal intensity on T1-w images, increased marrow signal intensity on fluid-sensitive, fat-suppressed sequences, and post-contrast enhancement. Ghost sign | Identification of subtending skin ulcer, sinus tract, abscess, tenosynovitis | BM involvement is limited to periarticular locations | Poor discrimination between infection and sterile inflammation in Charcot |
| Radiolabelled WBC | Planar images: focal activity at 20–24 h that is often increased compared with the uptake at 3–4 h; SPECT/CT: uptake clearly associated with bone at CT | Planar images: focal/diffuse activity at 20–24 h that is often stable or decreased compared with the uptake at 3–4 h; SPECT/CT: uptake clearly associated with soft tissues at CT | Planar images: diffuse activity at 20–24 h that is stable or decreased compared with the uptake at 3–4 h; positive match with BMS; SPECT/CT: uptake clearly associated with bone destruction | Possible FN during antibiotic treatment or severe vascular disease |
| [18F]FDG PET/CT | Focal or diffuse uptake clearly associated with bone at CT | Focal or diffuse uptake clearly associated with soft tissues at CT without bone involvement | Diffuse uptake involving tarsal/metatarsal joints and bone destruction at CT | Poor discrimination between infection and sterile inflammation. FP in Charcot and. after foot surgery |
© 2020 by the authors. Licensee MDPI, Basel, Switzerland. This article is an open access article distributed under the terms and conditions of the Creative Commons Attribution (CC BY) license (http://creativecommons.org/licenses/by/4.0/).
Share and Cite
Lauri, C.; Leone, A.; Cavallini, M.; Signore, A.; Giurato, L.; Uccioli, L. Diabetic Foot Infections: The Diagnostic Challenges. J. Clin. Med. 2020, 9, 1779. https://doi.org/10.3390/jcm9061779
Lauri C, Leone A, Cavallini M, Signore A, Giurato L, Uccioli L. Diabetic Foot Infections: The Diagnostic Challenges. Journal of Clinical Medicine. 2020; 9(6):1779. https://doi.org/10.3390/jcm9061779
Chicago/Turabian StyleLauri, Chiara, Antonio Leone, Marco Cavallini, Alberto Signore, Laura Giurato, and Luigi Uccioli. 2020. "Diabetic Foot Infections: The Diagnostic Challenges" Journal of Clinical Medicine 9, no. 6: 1779. https://doi.org/10.3390/jcm9061779
APA StyleLauri, C., Leone, A., Cavallini, M., Signore, A., Giurato, L., & Uccioli, L. (2020). Diabetic Foot Infections: The Diagnostic Challenges. Journal of Clinical Medicine, 9(6), 1779. https://doi.org/10.3390/jcm9061779

