Stent-Assisted Coiling of Unruptured MCA Aneurysms Using the LVIS Jr. Device: A Multicenter Registry
Abstract
1. Introduction
2. Materials and Methods
3. Results
3.1. Study Population and Aneurysm Characteristics
3.2. Immediate Angiographic Outcome and Periprocedural Complications
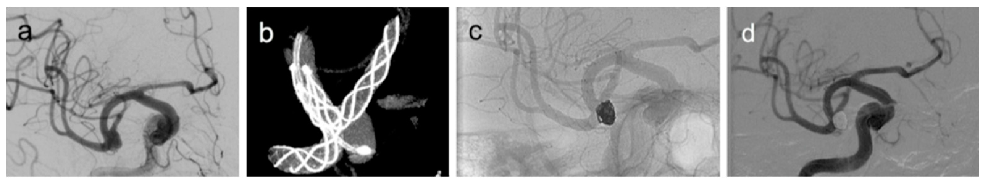
3.3. Follow-up Imaging and Clinical Outcomes
4. Discussion
5. Conclusions
Author Contributions
Funding
Conflicts of Interest
References
- Wanke, I.; Doerfler, A.; Dietrich, U.; Egelhof, T.; Schoch, B.; Stolke, D.; Forsting, M. Endovascular treatment of unruptured intracranial aneurysms. AJNR Am. J. Neuroradiol. 2002, 23, 756–761. [Google Scholar]
- Van Rooij, W.J.; Sluzewski, M. Procedural morbidity and mortality of elective coil treatment of unruptured intracranial aneurysms. AJNR Am. J. Neuroradiol. 2006, 27, 1678–1680. [Google Scholar] [PubMed]
- Higashida, R.T.; Lahue, B.J.; Torbey, M.T.; Hopkins, L.N.; Leip, E.; Hanley, D.F. Treatment of unruptured intracranial aneurysms: A nationwide assessment of effectiveness. AJNR Am. J. Neuroradiol. 2007, 28, 146–151. [Google Scholar] [PubMed]
- Standhardt, H.; Boecher-Schwarz, H.; Gruber, A.; Benesch, T.; Knosp, E.; Bavinzski, G. Endovascular treatment of unruptured intracranial aneurysms with Guglielmi detachable coils: Short- and long-term results of a single-centre series. Stroke 2008, 39, 899–904. [Google Scholar] [CrossRef]
- Koyanagi, M.; Ishii, A.; Imamura, H.; Satow, T.; Yoshida, K.; Hasegawa, H.; Kikuchi, T.; Takenobu, Y.; Ando, M.; Takahashi, J.C.; et al. Long-term outcomes of coil embolization of unruptured intracranial aneurysms. J. Neurosurg. 2018, 129, 1492–1498. [Google Scholar] [CrossRef] [PubMed]
- Pierot, L.; Spelle, L.; Vitry, F. ATENA Investigators. Immediate clinical outcome of patients harboring unruptured intracranial aneurysms treated by endovascular approach: Results of the ATENA study. Stroke 2008, 39, 2497–2504. [Google Scholar] [CrossRef]
- Pierot, L.; Gubucz, I.; Buhk, J.-H.; Holtmannspötter, M.; Herbreteau, D.; Stockx, L.; Spelle, L.; Berkefeld, J.; Januel, A.-C.; Molyneux, A.; et al. Safety and Efficacy of Aneurysm Treatment with the WEB: Results of the WEBCAST 2 Study. AJNR Am. J. Neuroradiol. 2017, 38, 1151–1155. [Google Scholar] [CrossRef]
- Shapiro, M.; Becske, T.; Sahlein, D.; Babb, J.; Nelson, P.K. Stent-supported aneurysm coiling: A literature survey of treatment and follow-up. AJNR Am. J. Neuroradiol. 2012, 33, 159–163. [Google Scholar] [CrossRef]
- King, B.; Vaziri, S.; Singla, A.; Fargen, K.M.; Mocco, J. Clinical and angiographic outcomes after stent-assisted coiling of cerebral aneurysms with Enterprise and Neuroform stents: A comparative analysis of the literature. J. Neurointerv. Surg. 2015, 7, 905–909. [Google Scholar] [CrossRef]
- Chalouhi, N.; Jabbour, P.; Singhal, S.; Drueding, R.; Starke, R.M.; Dalyai, R.T.; Tjoumakaris, S.; Gonzalez, L.F.; Dumont, A.S.; Rosenwasser, R.; et al. Stent-assisted coiling of intracranial aneurysms: Predictors of complications, recanalization, and outcome in 508 cases. Stroke 2013, 44, 1348–1353. [Google Scholar] [CrossRef] [PubMed]
- Johnson, A.K.; Heiferman, D.M.; Lopes, D.K. Stent-assisted embolization of 100 middle cerebral artery aneurysms. J. Neurosurg. 2013, 118, 950–955. [Google Scholar] [CrossRef] [PubMed]
- Vendrell, J.F.; Costalat, V.; Brunel, H.; Riquelme, C.; Bonafe, A. Stent-Assisted Coiling of Complex Middle Cerebral Artery Aneurysms: Initial and Midterm Results. AJNR Am. J. Neuroradiol. 2011, 32, 259–263. [Google Scholar] [CrossRef] [PubMed]
- Chen, Y.; Zhang, Y.; Chao, Y.-J.; Gao, G.; Ni, C.-S.; Fu, X.-M.; Wei, J.-J.; Gu, D.-Q.; Yu, J. Stent-assisted coiling embolization of middle cerebral artery trifurcation wide-necked aneurysms. Eur. Rev. Med. Pharmacol. Sci. 2017, 21, 4346–4349. [Google Scholar] [PubMed]
- Fields, J.D.; Brambrink, L.; Dogan, A.; Helseth, E.K.; Liu, K.C.; Lee, D.S.; Nesbit, G.M.; Petersen, B.D.; Barnwell, S.L. Stent assisted coil embolization of unruptured middle cerebral artery aneurysms. J. NeuroIntervent. Surg. 2013, 5, 15–19. [Google Scholar] [CrossRef]
- Won, Y.S.; Rho, M.H.; Kim, B.M.; Park, H.J.; Kwag, H.J.; Chung, E.C. Various techniques of stent-assisted coil embolization of wide-necked or fusiform middle cerebral artery aneurysms: Initial and mid-term results. J. Korean Neurosurg. Soc. 2013, 53, 274–280. [Google Scholar] [CrossRef] [PubMed]
- Zhou, Y.; Yang, P.-F.; Li, Q.; Zhao, R.; Fang, Y.; Xu, Y.; Hong, B.; Zhao, W.-Y.; Huang, Q.; Liu, J. Stent placement for complex middle cerebral artery aneurysms. J. Stroke. Cerebrovasc. Dis. 2014, 23, 1447–1456. [Google Scholar] [CrossRef]
- Hagen, F.; Maurer, C.J.; Berlis, A. Endovascular Treatment of Unruptured MCA Bifurcation Aneurysms Regardless of Aneurysm Morphology: Short- and Long-Term Follow-Up. AJNR Am. J. Neuroradiol. 2019, 40, 503–509. [Google Scholar] [CrossRef]
- Cagnazzo, F.; Limbucci, N.; Nappini, S.; Renieri, L.; Rosi, A.; Laiso, A.; Tiziano di Carlo, D.; Perrini, P.; Mangiaficoa, S. Y-Stent-Assisted Coiling of Wide-Neck Bifurcation Intracranial Aneurysms: A Meta-Analysis. AJNR Am. J. Neuroradiol. 2019, 40, 122–128. [Google Scholar] [CrossRef]
- Zhang, X.; Zhong, J.; Gao, H.; Xu, F.; Bambakidis, N.C. Endovascular treatment of intracranial aneurysms with the LVIS device: A systematic review. J. Neurointerv. Surg. 2017, 9, 553–557. [Google Scholar] [CrossRef]
- Grossberg, J.A.; Hanel, R.A.; Dabus, G.; Keigher, K.; Haussen, D.C.; Sauvageau, E.; Linfante, I.; Gonsales, D.; Salinas, P.A.; Bouslama, M.; et al. Treatment of wide-necked aneurysms with the Low-profile Visualized Intraluminal Support (LVIS Jr) device: A multicenter experience. J. Neurointerv. Surg. 2017, 9, 1098–1102. [Google Scholar] [CrossRef]
- Möhlenbruch, M.; Herweh, C.; Behrens, L.; Jestaedt, L.; Amiri, H.; Ringleb, P.A.; Bendszus, M.; Pham, M. The LVIS Jr. microstent to assist coil embolization of wide-neck intracranial aneurysms: Clinical study to assess safety and efficacy. Neuroradiology 2014, 56, 389–395. [Google Scholar] [CrossRef] [PubMed]
- Cho, Y.D.; Sohn, C.-H.; Kang, H.-S.; Kim, J.E.; Cho, W.-S.; Hwang, G.; Kwon, O.-K.; Ko, M.-S.; Park, N.-M.; Han, M.H. Coil embolization of intracranial saccular aneurysms using the Low-profile Visualized Intraluminal Support (LVIS™) device. Neuroradiology 2014, 56, 543–551. [Google Scholar] [CrossRef] [PubMed]
- Feng, Z.; Li, Q.; Zhao, R.; Zhang, P.; Chen, L.; Xu, Y.; Hong, B.; Zhao, W.; Liu, J.; Huang, Q. Endovascular Treatment of Middle Cerebral Artery Aneurysm with the LVIS Junior Stent. J. Stroke Cerebrovasc. Dis. 2015, 24, 1357–1362. [Google Scholar] [CrossRef] [PubMed]
- Feng, Z.; Zhang, L.; Li, Q.; Zhao, R.; Xu, Y.; Hong, B.; Zhao, W.; Liu, J.; Huang, Q. Endovascular treatment of wide-neck anterior communicating artery aneurysms using the LVIS Junior stent. J. Clin. Neurosci. 2015, 22, 1288–1291. [Google Scholar] [CrossRef]
- Poncyljusz, W.; Biliński, P.; Safranow, K.; Baron, J.; Zbroszczyk, M.; Jaworski, M.; Bereza, S.; Burke, T.H.; Ski, P.B. The LVIS/LVIS Jr. stents in the treatment of wide-neck intracranial aneurysms: Multicentre registry. J. Neurointerv. Surg. 2014, 7, 524–529. [Google Scholar] [CrossRef]
- Behme, D.; Weber, A.; Kowoll, A.; Berlis, A.; Burke, T.H.; Weber, W. Low-profile Visualized Intraluminal Support device (LVIS Jr) as a novel tool in the treatment of wide-necked intracranial aneurysms: Initial experience in 32 cases. J. Neurointerv. Surg. 2015, 7, 281–285. [Google Scholar] [CrossRef]
- Alghamdi, F.; Mine, B.; Morais, R.; Scillia, P.; Lubicz, B. Stent-assisted coiling of intracranial aneurysms located on small vessels: Midterm results with the LVIS Junior stent in 40 patients with 43 aneurysms. Neuroradiology 2016, 58, 665–671. [Google Scholar] [CrossRef]
- Shankar, J.J.S.; Quateen, A.; Weill, A.; Tampieri, D.; Cortes, M.D.P.; Fahed, R.; Patro, S.; Kaderali, Z.; Lum, C.; Lesiuk, H.; et al. Canadian Registry of LVIS Jr. for Treatment of Intracranial Aneurysms (CaRLA). J. Neurointerv. Surg. 2016, 9, 849–853. [Google Scholar] [CrossRef]
- Iosif, C.; Piotin, M.; Saleme, S.; Barreau, X.; Sedat, J.; Chau, Y.; Sourour, N.; Aggour, M.; Brunel, H.; Bonafe, A.; et al. Safety and effectiveness of the Low Profile Visualized Intraluminal Support (LVIS and LVIS Jr) devices in the endovascular treatment of intracranial aneurysms: Results of the TRAIL multicenter observational study. J. Neurointerv. Surg. 2017, 10, 675–681. [Google Scholar] [CrossRef]
- Samaniego, E.A.; Abdo, G.; Hanel, R.A.; Lima, A.; Ortega-Gutierrez, S.; Dabus, G. Endovascular treatment of PICA aneurysms with a Low-profile Visualized Intraluminal Support (LVIS Jr) device. J. Neurointerv. Surg. 2016, 8, 1030–1033. [Google Scholar] [CrossRef]
- Wang, C.-C.; Fang, Y.-B.; Zhang, P.; Zhu, X.; Hong, B.; Xu, Y.; Liu, J.-M.; Huang, Q.-H. Reconstructive endovascular treatment of vertebral artery dissecting aneurysms with the Low-profile Visualized Intraluminal Support (LVIS) device. PLoS ONE 2017, 12, e0180079. [Google Scholar] [CrossRef] [PubMed]
- Santillán, A.; Boddu, S.; Schwarz, J.; Lin, N.; Gobin, Y.P.; Knopman, J.; Patsalides, A. LVIS Jr. stent for treatment of intracranial aneurysms with parent vessel diameter of 2.5 mm or less. Interv. Neuroradiol. 2018, 24, 246–253. [Google Scholar] [CrossRef] [PubMed]
- Park, K.Y.; Kim, B.M.; Kim, D.J.; Chung, J.; Lee, J.W. Y-configuration stenting for coiling of wide-neck bifurcation aneurysms using Low-profile Visualized Intraluminal Support Junior. J. Neurointerv. Surg. 2019, 11, 400–404. [Google Scholar] [CrossRef] [PubMed]
- Fiorella, D.; Boulos, A.; Turk, A.S.; Siddiqui, A.H.; Arthur, A.S.; Diaz, O.; Lopes, D.K. The safety and effectiveness of the LVIS stent system for the treatment of wide-necked cerebral aneurysms: Final results of the pivotal US LVIS trial. J. Neurointerv. Surg. 2018, 11, 357–361. [Google Scholar] [CrossRef]
- Cagnazzo, F.; Cappucci, M.; Lefevre, P.-H.; Dargazanli, C.; Gascou, G.; Morganti, R.; Mazzotti, V.; Di Carlo, D.; Perrini, P.; Mantilla, D.; et al. Treatment of Intracranial Aneurysms with Self-Expandable Braided Stents: A Systematic Review and Meta-Analysis. Am. J. Neuroradiol. 2018, 39, 2064–2069. [Google Scholar] [CrossRef]
- Wang, J.; Vargas, J.; Spiotta, A.; Chaudry, I.; Turner, R.D.; Lena, J.; Turk, A. Stent-assisted coiling of cerebral aneurysms: A single-center clinical and angiographic analysis. J. Neurointerv. Surg. 2017, 10, 687–692. [Google Scholar] [CrossRef]
- Rezek, I.; Lingineni, R.K.; Sneade, M.; Molyneux, A.J.; Fox, A.J.; Kallmes, D.F. Differences in the angiographic evaluation of coiled cerebral aneurysms between a core laboratory reader and operators: Results of the Cerecyte Coil Trial. AJNR Am. J. Neuroradiol. 2014, 35, 124–127. [Google Scholar] [CrossRef]
- De Leacy, R.A.; Fargen, K.M.; Mascitelli, J.R.; Fifi, J.; Turkheimer, L.; Zhang, X.; Patel, A.B.; Koch, M.J.; Pandey, A.S.; Wilkinson, D.A.; et al. Wide-neck bifurcation aneurysms of the middle cerebral artery and basilar apex treated by endovascular techniques: A multicentre, core lab adjudicated study evaluating safety and durability of occlusion (BRANCH). J. Neurointerv. Surg. 2018, 11, 31–36. [Google Scholar] [CrossRef]
- Brinjikji, W.; Rabinstein, A.A.; Lanzino, G.; Kallmes, D.F.; Cloft, H.J. Patient outcomes are better for unruptured cerebral aneurysms treated at centers that preferentially treat with endovascular coiling: A study of the national inpatient sample 2001–2007. AJNR Am. J. Neuroradiol. 2011, 32, 1065–1070. [Google Scholar] [CrossRef]
- Van Amerongen, M.J.; Boogaarts, H.D.; De Vries, J.; Verbeek, A.L.M.; Meijer, F.J.A.; Prokop, M.; Bartels, R.H.M.A. MRA Versus DSA for Follow-Up of Coiled Intracranial Aneurysms: A Meta-Analysis. Am. J. Neuroradiol. 2013, 35, 1655–1661. [Google Scholar] [CrossRef]



| No of Patients | 162 |
| Age, mean (range) | 57 (29–79) |
| Gender, n (%) | |
| Women | 112 (69.1) |
| Men | 50 (30.9) |
| Multiple aneurysms, n (%) | 60 (37) |
| Family history of intracranial aneurysms, n (%) | 7 (4) |
| Hypertension, n (%) | 117 (72) |
| Smoking, n (%) | 96 (59.3) |
| No of aneurysms treated | 162 |
| Aneurysm location, n (%) | |
| Bifurcation | 154 (95.1) |
| Sidewall | 8 (4.9) |
| Aneurysm size, mm, n (%) | |
| <7 | 86 (53.1) |
| 7–10 mm | 50 (30.9) |
| >10 mm | 26 (16) |
| Neck width, mm, n (%) | |
| ≥4 | 130 (80.2) |
| <4 | 32 (19.8) |
| Dome-to-neck ratio, n (%) | |
| ≤2 | 145 (89.5) |
| >2 | 17 (10.5) |
| Complete Occlusion (%) | Residual Neck (%) | Residual Sac (%) | |
|---|---|---|---|
| Immediate postprocedural angiography | 118 (72.8%) | 23 (14.2%) | 21 (13%) |
| 12–18 months follow-up imaging | 132 (81.5%) | 17 (10.5%) | 13 (8%) |
| Initial complete occlusion | 111 (94.1%) | 4 (3.4%) | 3 (2.5%) |
| Initial residual neck | 10 (43.5%) | 9 (39.1%) | 4 (17.4%) |
| Initial residual sac | 11 (52.4%) | 4 (19%) | 6 (28.6%) |
| Aneurysm Size | Immediate Postprocedural Angiography | 12–18 Months Follow-up Imaging | ||||
|---|---|---|---|---|---|---|
| Complete Occlusion (%) | Residual Neck (%) | Residual Sac (%) | Complete Occlusion (%) | Residual Neck (%) | Residual Sac (%) | |
| <7 mm | 69 (80.2%) | 5 (5.8%) | 12 (14%) | 76 (88.4%) | 6 (7%) | 4 (4.6%) |
| 7–10 mm | 36 (72%) | 6 (12%) | 8 (16%) | 43 (86%) | 4 (8%) | 3 (6%) |
| >10 mm | 13 (50%) | 12 (46.2%) | 1 (3.8%) | 13 (50%) | 7 (27%) | 6 (23%) |
| No. of Implanted Stents | Immediate Postprocedural Angiography | 12–18 Months Follow-up Imaging | ||||
|---|---|---|---|---|---|---|
| Complete Occlusion (%) | Residual Neck (%) | Residual Sac (%) | Complete Occlusion (%) | Residual Neck (%) | Residual Sac (%) | |
| single stent | 111 (73.5%) | 20 (13.25%) | 20 (13.25%) | 122 (80.8%) | 16 (10.6%) | 13 (8.6%) |
| Y-stenting | 7 (63.6%) | 3 (27.3%) | 1 (9.1%) | 10 (90.9%) | 1 (9.1%) | 0 (0%) |
© 2020 by the authors. Licensee MDPI, Basel, Switzerland. This article is an open access article distributed under the terms and conditions of the Creative Commons Attribution (CC BY) license (http://creativecommons.org/licenses/by/4.0/).
Share and Cite
Poncyljusz, W.; Zwarzany, Ł.; Limanówka, B.; Zbroszczyk, M.; Banach, M.; Bereza, S.; Sagan, L. Stent-Assisted Coiling of Unruptured MCA Aneurysms Using the LVIS Jr. Device: A Multicenter Registry. J. Clin. Med. 2020, 9, 3168. https://doi.org/10.3390/jcm9103168
Poncyljusz W, Zwarzany Ł, Limanówka B, Zbroszczyk M, Banach M, Bereza S, Sagan L. Stent-Assisted Coiling of Unruptured MCA Aneurysms Using the LVIS Jr. Device: A Multicenter Registry. Journal of Clinical Medicine. 2020; 9(10):3168. https://doi.org/10.3390/jcm9103168
Chicago/Turabian StylePoncyljusz, Wojciech, Łukasz Zwarzany, Bartosz Limanówka, Miłosz Zbroszczyk, Mariusz Banach, Sławomir Bereza, and Leszek Sagan. 2020. "Stent-Assisted Coiling of Unruptured MCA Aneurysms Using the LVIS Jr. Device: A Multicenter Registry" Journal of Clinical Medicine 9, no. 10: 3168. https://doi.org/10.3390/jcm9103168
APA StylePoncyljusz, W., Zwarzany, Ł., Limanówka, B., Zbroszczyk, M., Banach, M., Bereza, S., & Sagan, L. (2020). Stent-Assisted Coiling of Unruptured MCA Aneurysms Using the LVIS Jr. Device: A Multicenter Registry. Journal of Clinical Medicine, 9(10), 3168. https://doi.org/10.3390/jcm9103168

