Diagnostic and Therapeutic Approaches for Spinal Subarachnoid Hemorrhage Due to Spinal Aneurysms and Other Etiologies
Abstract
1. Introduction
2. Materials and Methods
3. Results
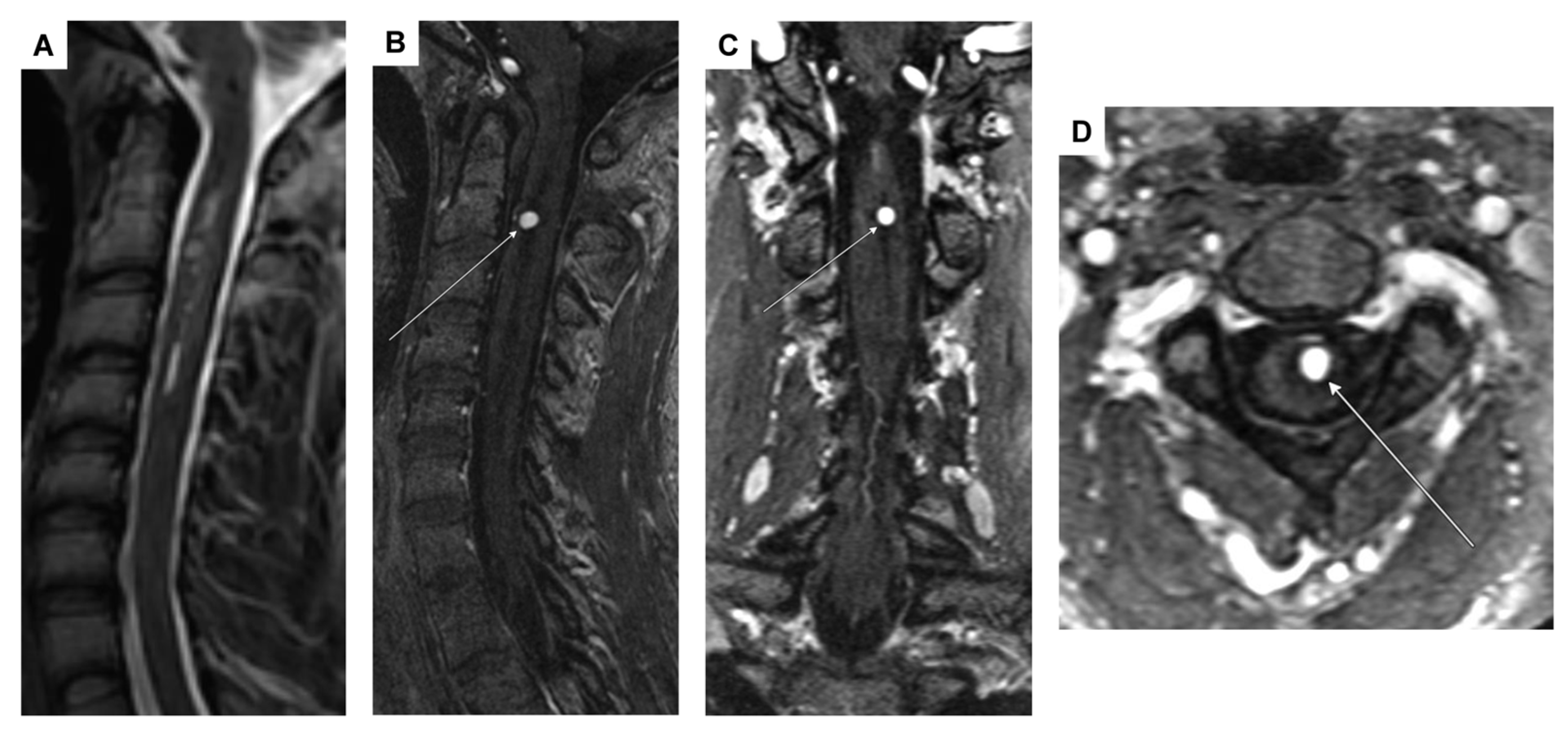
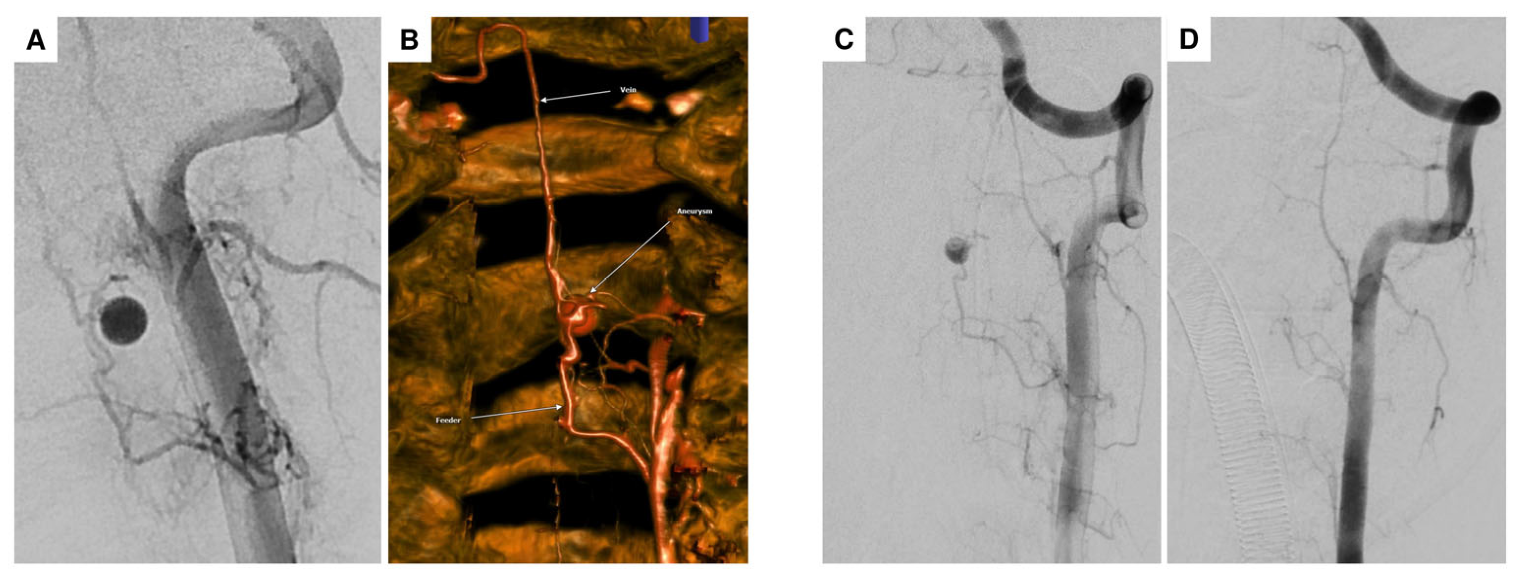
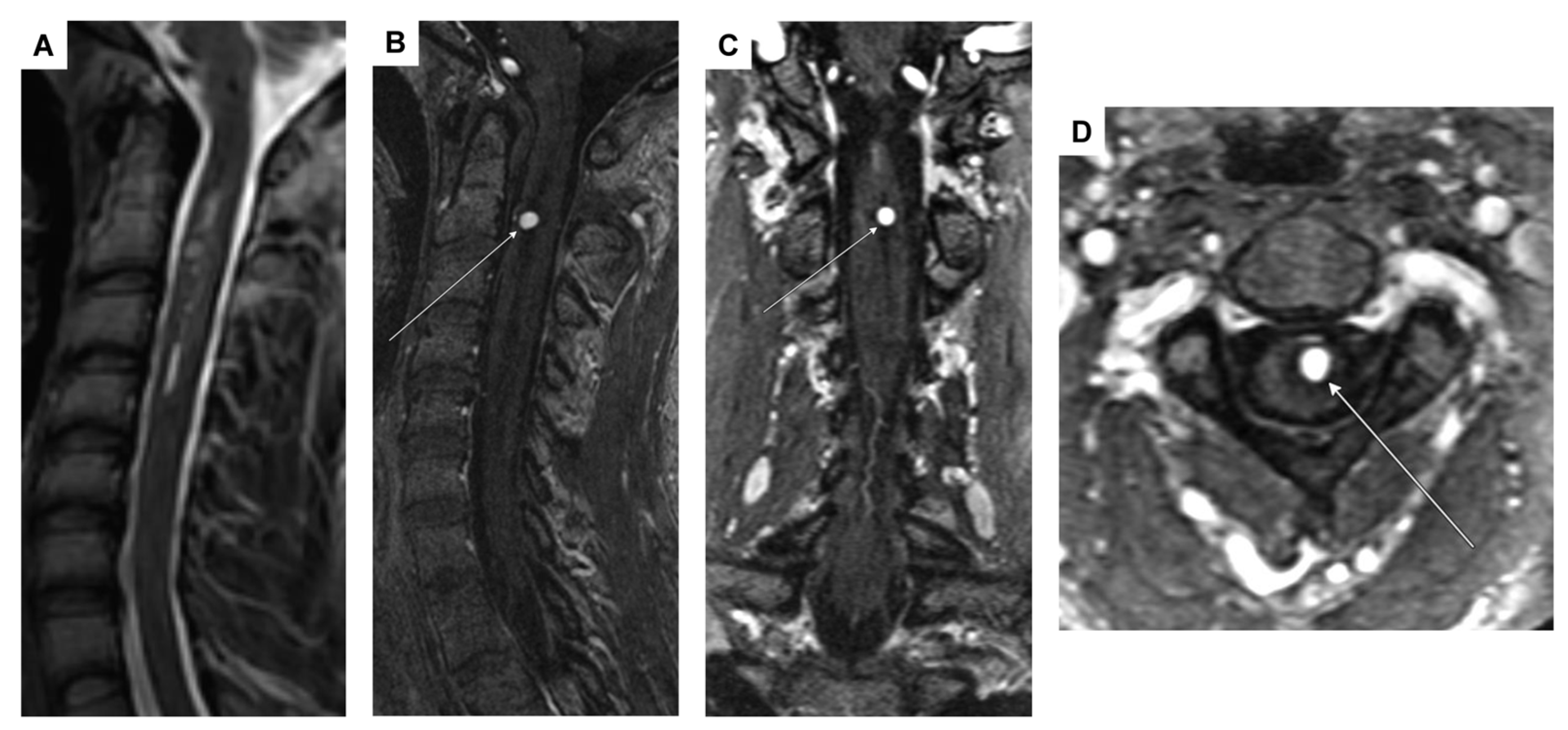
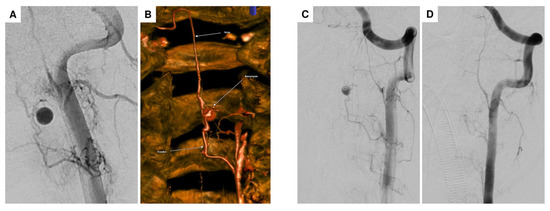
3.1. Case 1
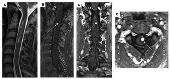
3.2. Case 2
3.3. Case 3
3.4. Case 4
3.5. Case 5
3.6. Case 6
3.7. Literature Review
4. Discussion
4.1. Etiology of Spinal SAH and Spinal Aneurysms
4.2. Clinical Presentation of Spinal SAH and Spinal Aneurysms
4.3. Imaging Modalities
4.4. Treatment of Spinal SAH and Spinal Aneurysms
5. Conclusions
Author Contributions
Funding
Institutional Review Board Statement
Informed Consent Statement
Data Availability Statement
Conflicts of Interest
References
- Santana-Ramirez, A.; Farias-Serratos, F.; Garzon-Muvdi, T.; Quinones-Hinojosa, A. A giant spinal arterial aneurysm in a child presenting as quadriparesis. BMJ Case Rep. 2013, 2013, bcr2013200298. [Google Scholar] [CrossRef]
- Donauer, E.; Aguilar Perez, M.; Jangid, N.; Tomandl, B.; Ganslandt, O.; Henkes, H. Spontaneous Cervical Intramedullary and Subarachnoid Hemorrhage due to a Sulco-Commissural Artery Aneurysm. Clin. Neuroradiol. 2019, 29, 777–781. [Google Scholar] [CrossRef] [PubMed]
- Singh, V.; Naik, S.; Bhoi, S.K.; Phadke, R.V. Anterior spinal artery aneurysm in aortic stenosis of different etiology: Report of three cases. Neuroradiol. J. 2017, 30, 180–185. [Google Scholar] [CrossRef]
- Johnson, J.; Patel, S.; Saraf-Lavi, E.; Aziz-Sultan, M.A.; Yavagal, D.R. Posterior spinal artery aneurysm rupture after ’Ecstasy’ abuse. BMJ Case Rep. 2014, 2014, bcr2014011248. [Google Scholar] [CrossRef] [PubMed]
- Miyamoto, S.; Kikuchi, H.; Karasawa, J.; Ikota, T.; Nagata, I. Spinal cord arteriovenous malformations associated with spinal aneurysms. Neurosurgery 1983, 13, 577–580. [Google Scholar] [CrossRef]
- Seerangan, G.; Narayanan, M. A Rare Case of Subarachnoid Hemorrhage due to Rupture of Isolated Anterior Spinal Artery Aneurysm in a Patient with Polycystic Kidney Disease. Case Rep. Nephrol. Urol. 2012, 2, 108–112. [Google Scholar] [CrossRef] [PubMed]
- Kim, S.B.; Ban, S.P.; Kim, H.J.; Kwon, O.K. Surgical Removal of a Ruptured Radiculomedullary Artery Aneurysm: A Case Report. J. Cerebrovasc. Endovasc. Neurosurg. 2017, 19, 217–222. [Google Scholar] [CrossRef]
- Rengachary, S.S.; Duke, D.A.; Tsai, F.Y.; Kragel, P.J. Spinal arterial aneurysm: Case report. Neurosurgery 1993, 33, 125–129; discussion 129–130. [Google Scholar] [CrossRef]
- Sankarappan, K.; Doucet, D.; Daly, S.R.; Nguyen, A.V.; Garrett, D., Jr.; Lesley, W.S.; Feng, D.; Vance, A.Z.; Huang, J.H. Exploring Spinal Subarachnoid Hemorrhage: A Neurosurgical Case Series. Cureus 2023, 15, e45627. [Google Scholar] [CrossRef]
- Vincent, F.M. Anterior spinal artery aneurysm presenting as a subarachnoid hemorrhage. Stroke 1981, 12, 230–232. [Google Scholar] [CrossRef]
- Son, S.; Lee, S.G.; Park, C.W. Solitary ruptured aneurysm of the spinal artery of adamkiewicz with subarachnoid hemorrhage. J. Korean Neurosurg. Soc. 2013, 54, 50–53. [Google Scholar] [CrossRef] [PubMed]
- Renieri, L.; Raz, E.; Lanzino, G.; Krings, T.; Shapiro, M.; Shirani, P.; Brinjikji, W. Spinal artery aneurysms: Clinical presentation, radiological findings and outcome. J. Neurointerv. Surg. 2018, 10, 644–648. [Google Scholar] [CrossRef]
- Gonzalez, L.F.; Zabramski, J.M.; Tabrizi, P.; Wallace, R.C.; Massand, M.G.; Spetzler, R.F. Spontaneous spinal subarachnoid hemorrhage secondary to spinal aneurysms: Diagnosis and treatment paradigm. Neurosurgery 2005, 57, 1127–1131; discussion 1127–1131. [Google Scholar] [CrossRef]
- Limaye, K.; Kandemirli, S.; Dlouhy, K. Spinal subarachnoid hemorrhage secondary to ruptured artery of Adamkiewicz aneurysm: Is conservative management the first best step? Clin. Neurol. Neurosurg. 2021, 205, 106647. [Google Scholar] [CrossRef] [PubMed]
- Cobb, M.; Griffin, A.; Karikari, I.; Gonzalez, L.F. Endovascular Treatment of Ruptured Enlarging Dissecting Anterior Spinal Artery Aneurysm. World Neurosurg. 2020, 139, e658–e662. [Google Scholar] [CrossRef]
- Kawai, N.; Tatano, M.; Imoto, R.; Hirashita, K.; Yunoki, M.; Yoshino, K. A Case of Coil Embolization for a Ruptured Anterior Spinal Artery Aneurysm Associated with Bilateral Vertebral Artery Occlusion. NMC Case Rep. J. 2021, 8, 331–334. [Google Scholar] [CrossRef]
- Abdalkader, M.; Samuelsen, B.T.; Moore, J.M.; Cervantes-Arslanian, A.; Ong, C.J.; Setty, B.N.; Mian, A.Z.; Nguyen, T.N. Ruptured Spinal Aneurysms: Diagnosis and Management Paradigms. World Neurosurg. 2021, 146, e368–e377. [Google Scholar] [CrossRef]
- Bergeron, D.; Nehme, A.; Berthelet, F.; Farzin, B.; Obaid, S.; Westwick, H.; Letourneau, L.; Chaalala, C.; Bojanowski, M.W. Repeated Retching and Vomiting in the Pathophysiology of Isolated Spinal Aneurysms. World Neurosurg. 2021, 149, e512–e520. [Google Scholar] [CrossRef]
- Cadieux, M.; Tso, M.; Fox, S.; Jacobs, W.B. Spontaneous Spinal Subarachnoid Hemorrhage from a Ruptured Radiculopial Artery Aneurysm. World Neurosurg. 2021, 145, 114–118. [Google Scholar] [CrossRef]
- Duangprasert, G.; Tantongtip, D. Ruptured aneurysm arising at anterior spinal artery as the collateral circulation with bulbar artery supply to posterior inferior cerebellar artery treated by proximal occlusion and occipital artery-posterior inferior cerebellar artery bypass: A case report and literature review. Acta Neurochir. 2021, 163, 2977–2982. [Google Scholar] [CrossRef]
- Tenorio, A.; Holmes, B.B.; Abla, A.A.; Amans, M.; Meisel, K. An isolated ruptured spinal aneurysm presents with a thalamic Infarct: Case report. BMC Neurol. 2021, 21, 52. [Google Scholar] [CrossRef]
- Malhotra, A.K.; Ku, J.C.; Pereira, V.M.; Radovanovic, I. Posterior spinal artery aneurysm as an unlikely culprit for perimesencephalic pattern subarachnoid hemorrhage: Illustrative case. J. Neurosurg. Case Lessons 2021, 1, CASE21103. [Google Scholar] [CrossRef]
- Shima, S.; Sato, S.; Motizuki, T.; Niimi, Y. Endovascular treatment for ruptured cervical anterior spinal artery aneurysm caused by occlusive disease of bilateral vertebral arteries: A case report and literature review. Clin. Neurol. Neurosurg. 2021, 208, 106862. [Google Scholar] [CrossRef] [PubMed]
- Turrini, A.; D’Andrea, M.; Antonelli, V.; Tosatto, L. Ruptured Isolated Aneurysm of a Coronal Branch of the Anterior Spinal Artery: Case Report and Discussion of Treatment Strategies. World Neurosurg. 2021, 145, 119–126. [Google Scholar] [CrossRef] [PubMed]
- Watanabe, Y.; Takechi, A.; Kajiwara, Y.; Miyoshi, H. Subarachnoid Hemorrhage Related to a Ruptured Anterior Spinal Artery Aneurysm Associated with Bilateral Vertebral Artery Occlusion. J. Neuroendovasc. Ther. 2021, 15, 107–112. [Google Scholar] [CrossRef] [PubMed]
- Chen, F.; Lu, W.; Lian, B.; Kang, D.; Dai, L. Isolated Cervical Ruptured Radiculomedullary Artery Aneurysm Predominantly Presenting as Supratentorial Subarachnoid Hemorrhage: Case Report and Review of the Literature. Brain Sci. 2022, 12, 519. [Google Scholar] [CrossRef]
- Crobeddu, E.; Pilloni, G.; Zenga, F.; Cossandi, C.; Garbossa, D.; Lanotte, M. Dissecting Aneurysm of the L1 Radiculomedullary Artery Associated with Subarachnoid Hemorrhage: A Case Report. J. Neurol. Surg. Cent. Eur. Neurosurg. 2022, 83, 99–103. [Google Scholar] [CrossRef]
- Kulubya, E.S.; Karnati, T.; Thaci, B.; Cua, D.; Duong, H. Endoscopic Endonasal Transodontoid Treatment of a Ruptured Anterior Spinal Artery Aneurysm. J. Neurol. Surg. Rep. 2022, 83, e67–e71. [Google Scholar] [CrossRef]
- Otaki, Y.; Yonezawa, A.; Kagoshima, K.; Yoshida, T.; Kohyama, S.; Yoshimoto, Y. Intra-aneurysmal embolization for subarachnoid hemorrhage due to rupture of an aneurysm located at the anterior spinal artery and vertebral artery: Illustrative case. J. Neurosurg. Case Lessons 2022, 4, CASE22350. [Google Scholar] [CrossRef]
- McGuire, L.S.; Fuentes, A.; Charbel, F.T.; Alaraj, A.; Amin-Hanjani, S. Ruptured isolated spinal artery aneurysms: Case series of five patients and a review of the literature on management strategies. Interv. Neuroradiol. 2023, 15910199221149562. [Google Scholar] [CrossRef]
- Zanaty, M.; Atluri, S.; Choutka, O. Microsurgical Resection of Spinal Arteriovenous Malformation with Clipping of Anterior Spinal Artery Aneurysm. World Neurosurg. 2023, 177, 16. [Google Scholar] [CrossRef]
- Sokol, Z.; Oselkin, M. Spinal subarachnoid hemorrhage as a consequence of dissection with pseudoaneurysm in a cervical radiculomedullary branch of the anterior spinal artery. Radiol. Case Rep. 2024, 19, 403–407. [Google Scholar] [CrossRef]
- Zhou, Y.; Tu, T.Q.; Li, J.W.; He, C.; Ye, M.; Li, G.L.; Hu, P.; Sun, L.Y.; Ling, F.; Zhang, H.Q.; et al. Isolated spinal artery aneurysm: Etiology, clinical characteristics, and outcomes. J. Neurosurg. Spine 2024, 40, 662–668. [Google Scholar] [CrossRef] [PubMed]
- Ioannidis, I.; Kalogeras, A.; Tasiou, A.; Vlychou, M.; Fountas, K.N. Coil Embolization of a Ruptured Anterior Spinal Artery Aneurysm Associated with Spinal Cord Arteriovenous Malformation. Neurointervention 2024, 19, 190–193. [Google Scholar] [CrossRef]
- Ahmadpour, A.; Morsi, R.Z.; Al-Salihi, M.M.; Kass-Hout, T. Isolated Thoracic Anterior Spinal Artery Aneurysm in a Patient With Autoimmune Disease: A Case Report. Cureus 2024, 16, e64943. [Google Scholar] [CrossRef]
- Kreppel, D.; Antoniadis, G.; Seeling, W. Spinal hematoma: A literature survey with meta-analysis of 613 patients. Neurosurg. Rev. 2003, 26, 1–49. [Google Scholar] [CrossRef] [PubMed]
- Buchta, M.; Eckert, A.; Griessenauer, C.J.; Grassner, L. Traumatic Spinal Subarachnoid Hemorrhage With Spinal Cord Compression: A Case Report and Literature Review. Cureus 2024, 16, e69005. [Google Scholar] [CrossRef]
- Wexler, A.; Hijazi, M.; Neeman, B. Spinal subarachnoid hemorrhage progressing to spinal cord compression in a patient on a direct oral anticoagulant: A case report. AME Case Rep. 2024, 8, 2. [Google Scholar] [CrossRef] [PubMed]
- Heckmann, J.G. Spinal subarachnoid hemorrhage in cortical superficial siderosis after apixaban and clopidogrel therapy. J. Thromb. Thrombolysis 2016, 41, 654–655. [Google Scholar] [CrossRef]
- Domenicucci, M.; Ramieri, A.; Paolini, S.; Russo, N.; Occhiogrosso, G.; Di Biasi, C.; Delfini, R. Spinal subarachnoid hematomas: Our experience and literature review. Acta Neurochir. 2005, 147, 741–750; discussion 750. [Google Scholar] [CrossRef]
- Massand, M.G.; Wallace, R.C.; Gonzalez, L.F.; Zabramski, J.M.; Spetzler, R.F. Subarachnoid hemorrhage due to isolated spinal artery aneurysm in four patients. AJNR Am. J. Neuroradiol. 2005, 26, 2415–2419. [Google Scholar] [PubMed]
- Alomari, S.; Xu, R.; Huang, J.; Tamargo, R.; Bydon, A. Isolated aneurysms of the spinal circulation: A systematic review of the literature. Neurosurg. Rev. 2022, 45, 989–1008. [Google Scholar] [CrossRef]
- Takebayashi, K.; Ishikawa, T.; Murakami, M.; Funatsu, T.; Ishikawa, T.; Taira, T.; Kawamata, T. Isolated Posterior Spinal Artery Aneurysm Presenting with Spontaneous Thrombosis After Subarachnoid Hemorrhage. World Neurosurg. 2020, 134, 544–547. [Google Scholar] [CrossRef]
- Ikeda, S.; Takai, K.; Kikkawa, Y.; Takeda, R.; Ikeda, T.; Kohyama, S.; Kurita, H. Ruptured posterior spinal artery aneurysm: Intraoperative and histologic findings with appreciable thrombosis. Spine J. 2016, 16, e215–e217. [Google Scholar] [CrossRef]
- Maiti, T.K.; Bir, S.C.; Nanda, A. Spinal subarachnoid hemorrhage and aneurysms. Handb. Clin. Neurol. 2017, 143, 215–223. [Google Scholar] [CrossRef]
- Goto, Y.; Kamijyo, Y.; Yonekawa, Y.; Kikuchi, H. Ruptured aneurysm of the posterior spinal artery of the upper cervical spinal cord: Case report. Neurosurgery 1988, 22, 558–560. [Google Scholar] [CrossRef] [PubMed]
- Saunders, F.W.; Birchard, D.; Willmer, J. Spinal artery aneurysm. Surg. Neurol. 1987, 27, 269–272. [Google Scholar] [CrossRef] [PubMed]
- Madhugiri, V.S.; Ambekar, S.; Roopesh Kumar, V.R.; Sasidharan, G.M.; Nanda, A. Spinal aneurysms: Clinicoradiological features and management paradigms. J. Neurosurg. Spine 2013, 19, 34–48. [Google Scholar] [CrossRef]
- Nguyen, N.H.; Le, V.C.; Nguyen, T.Q.; Nguyen, T.H. Subarachnoid Hemorrhage due to Ruptured Spinal Artery Aneurysm: A Diagnostic Challenge. Case Rep. Neurol. 2020, 12, 169–175. [Google Scholar] [CrossRef]
- Longatti, P.; Sgubin, D.; Di Paola, F. Bleeding spinal artery aneurysms. J. Neurosurg. Spine 2008, 8, 574–578. [Google Scholar] [CrossRef]
- Kim, H.J.; Choi, I.S. Dissecting aneurysm of the posterior spinal artery: Case report and review of the literature. Neurosurgery 2012, 71, E749–E756; discussion E756. [Google Scholar] [CrossRef] [PubMed]
- Geibprasert, S.; Krings, T.; Apitzsch, J.; Reinges, M.H.; Nolte, K.W.; Hans, F.J. Subarachnoid hemorrhage following posterior spinal artery aneurysm. A case report and review of the literature. Interv. Neuroradiol. 2010, 16, 183–190. [Google Scholar] [CrossRef] [PubMed]
- Simon-Gabriel, C.P.; Urbach, H.; Meckel, S. Ruptured Fusiform Aneurysm of the Anterior Spinal Artery: Successful Treatment with Flow Diverter Stent Placed in the Feeding Vertebral Artery. Clin. Neuroradiol. 2018, 28, 613–616. [Google Scholar] [CrossRef]
- Ronchetti, G.; Morales-Valero, S.F.; Lanzino, G.; Wald, J.T. A cause of atypical intracranial subarachnoid hemorrhage: Posterior spinal artery aneurysms. Neurocrit. Care 2015, 22, 299–305. [Google Scholar] [CrossRef] [PubMed]







| Case | Sex | Age | Symptoms | Initial Neurological Status | Location of the Aneurysm/SAH | Etiology | Diagnostic Measures | Therapy |
|---|---|---|---|---|---|---|---|---|
| 1 | F | 47 | headaches and pain in the back/neck pain, nausea, vomiting, photophobia/phonophobia | no focal neurological deficit | SAH Fisher IV with spinal aneurysm at T1 | aneurysm | lumbar puncture, multiple DSA, multiple spinal MRI | conservative |
| 2 | F | 69 | headaches and abdominal complaints | oriented 3×, marked meningism, positive Lasègue sign | spinal SAH with (partial) thrombosed intraspinal aneurysm at T2 | aneurysm | multiple DSA, multiple spinal MRI | surgical procedure (resection of the aneurysm) |
| 3 | F | 25 | acute headaches, complete tetraplegia, bradypnea, and asystole → cardiopulmonary resuscitation with ROSC | hypoesthesia on the left side at C6 and left thoracic and abdominal areas, left hemiparesis, tremor, and hemiataxia | spinal intramedullary aneurysm at C2 with perimedullary fistula | aneurysm | multiple DSA, multiple spinal MRI | surgical procedure (arterial feeder coagulation) |
| 4 | F | 86 | iliosacral pain, paraparesis of the legs, and hypoesthesia from T11 | no evidence of manifest paralysis, intact sensation, unavailable reflexes in the lower extremities | spinal SAH; initially suspected T11 aneurysm; angiographically, no evidence of an aneurysm (spot sign) | anticoagulation (apixaban) | 2 lumbar punctures, repeated abdominal/thoracic CTA, DSA | conservative |
| 5 | F | 73 | headaches and pain in the back/neck pain | pronounced paraparesis of both legs | spinal SAH; angiographically, no evidence of an aneurysm | anticoagulation (rivaroxaban) | abdominal/thoracic CTA, multiple DSA, multiple spinal MRI | surgical procedure (evacuation of an intradural hematoma) |
| 6 | M | 55 | pain between the shoulder blades and the cervical spine, tingling sensations in all four extremities | tingling sensations in all extremities, unable to lift the legs, weakness in both arms | epidural bleeding and spinal SAH; suspected perimedullary aneurysm at T1/2; angiographically, no evidence of an aneurysm, epidural bleeding may be due to a microspur at T1/2 | microspur | multiple DSA, multiple spinal MRI | surgical procedure (evacuation of an epidural hematoma), then conservative (no evidence of an aneurysm) |
| Authors | Age | Sex | Location of the Aneurysm/Pathology | Symptoms | Association with AVMs or Other Associated Vascular Disease | Size | Imaging Modality | Treatment | Neurological Outcome |
|---|---|---|---|---|---|---|---|---|---|
| Kawai et al., 2021 [16] | 83 | M | posterior fossa | unconsciousness | yes (bilateral vertebral artery occlusion) | 6 × 5 mm | CT, MRI, DSA | endovascular (coil embolization) | bed-ridden |
| Abdalkader et al., 2021 [17] | 70s | M | anterior spinal artery C2 | headache, vomiting | yes (bilateral vertebral artery occlusion) | 3 × 2.5 mm | cCT, CTA | surgery (clipping) | stable neurological status |
| 60s | F | T3/T4 | neck and shoulder pain, headache | no | 6 × 3 mm | cCT, CTA, MRI, DSA | conservative treatment | stable neurological status | |
| 50s | M | C2/C3 | neck pain, headache, vomiting | no | 5 × 2.5 mm | CTA, MRI | conservative treatment | stable neurological status | |
| 40s | F | C1/C2 | confusion, decreased level of consciousness | no | 3 mm | cCT, CTA, DSA | conservative treatment | death (severe diffuse vasospasm, bihemispheric infarcts, cardiopulmonary arrest) | |
| Bergeron et al., 2021 [18] | 56 | F | posterior spinal artery T11 | thunderclap headache, sudden cervical pain, vomiting, leg pain | no | 5 mm | cCT, MRI, DSA | surgery (excision) | stable neurological status |
| 51 | F | T5, T7 | thunderclap headache, nausea, vomiting, weakness of the right leg | no | 5 mm (T5), 3.5 mm (T7) | cCT, CTA, MRI, DSA | conservative treatment | stable neurological status | |
| 72 | F | T10 | headaches, dorsolumbar pain, vomiting, severe back pain, nuchal rigidity, left proximal leg weakness | no | 4 mm | cCT, MRI, DSA | conservative treatment | left leg weakness remained unchanged | |
| 37 | F | T3 | cervical, thoracic pain, headache, neck stiffness | no | 8 mm | cCT, MRI, DSA | conservative treatment | stable neurological status | |
| Cadieux et al., 2021 [19] | 54 | F | T2 | headache, intrascapular pain, acute paraplegia | yes (hypophyseal artery aneurysm) | 4 mm | cCT, CTA, MRI, DSA | surgery (1. cervicothoracic decompression and hematoma evacuation; 2. resection of the aneurysm) | near-complete return to normal strength |
| Duangprasert et al., 2021 [20] | 71 | F | right anterior spinal artery arising from the vertebral artery | severe headache, hemiparesis | no | 3.1 mm | cCT, CTA, DSA | surgery (occipital artery–PICA bypass) | mRS score = 1 |
| Tenorio et al., 2021 [21] | 49 | N/A | posterior spinal artery T11/T12 | walking difficulty, diaphoresis, back and abdominal pain, and paraplegia | no | 1.7 cm (intradural cystic mass) | MRI, DSA | surgery (excision) | partial recovery |
| Limaye et al., 2021 [14] | 43 | F | T12 | severe lower back pain, paresthesias in the lower extremities | no | 4 × 2 mm | cCT, MRI, DSA | conservative treatment | no neurologic deficits |
| Malhotra et al., 2021 [22] | 76 | F | posterior spinal artery T10/11 | lower back pain, headache, nuchal rigidity, depressed level of consciousness | no | 7 × 4 mm | cCT, CTA, MRI, DSA | endovascular (glue embolization) | mildly impaired tandem gait |
| Shima et al., 2021 [23] | 77 | F | C3 | headache, nausea, hemiparesis, disturbance of consciousness | yes (bilateral vertebral artery occlusion) | 3 mm | cCT, CTA, DSA | endovascular (coil embolization) | mRS score = 3 |
| Turrini et al., 2021 [24] | 64 | M | C1 | dizziness, numbness, headache, vomiting | no | N/A | cCT, MRI, DSA | surgery (excision) | gradual recovery after rehabilitation |
| Watanabe et al., 2021 [25] | 78 | M | C3 | severe headache, slight hemiparesis | yes (bilateral vertebral artery occlusion) | 8 mm | cCT, MRI, DSA | endovascular (parent artery occlusion of contralateral vertebral artery aneurysm) | death |
| Chen et al., 2022 [26] | 68 | F | C2 | headache, lethargy, nuchal rigidity | no | approx. 3 mm | cCT, DSA | unsuccessful endovascular procedure, surgery (clipping) | death (sudden cardiac arrest) |
| Crobeddu et al., 2022 [27] | 62 | M | L1 | paresthesia in the lower limbs and walking impairment | no | N/A | MRI, DSA | surgery (decompressive hemilaminectomy due to spinal cord compression), conservative treatment (spontaneous occlusion) | fully recovered after surgery |
| Kulubya et al., 2022 [28] | 49 | F | C1 | sudden-onset severe headache and nausea | no | 1 × 1 × 1.3 mm | cCT, DSA | surgery (wrapping) | no neurologic deficits |
| Otaki et al., 2022 [29] | 54 | M | left vertebral artery—anterior spinal artery bifurcation |
not reported (severe SAH WFNS grade II) | no | 2 mm | cCT, DSA | endovascular (coil embolization) | mRS Score = 0 |
| McGuire et al., 2023 [30] | 23 | M | T7 | neck pain, paraplegia | no | N/A | MRI, DSA | endovascular (glue embolization); surgery (hematoma evacuation) | good neurological status (ambulatory) |
| 54 | M | L3 | headache, back pain, leg pain, lower extremity weakness | no | N/A | MRI, DSA | endovascular (glue embolization), surgery (hematoma evacuation) | good neurological status (ambulatory) | |
| 72 | F | T12 | neck pain, back pain, paraplegia | no | N/A | MRI, DSA | surgery (trapping with hematoma evacuation) | good neurological status (ambulatory) | |
| 60 | F | T3, T6, T10 | lower extremity weakness | no | N/A | MRI, DSA | conservative treatment | good neurological status (ambulatory) | |
| 64 | M | T8, T10 | back pain, urinary retention | no | N/A | MRI, DSA | conservative treatment | good neurological status (ambulatory) | |
| Zanaty et al., 2023 [31] | 76 | F | AVM at T9/10 | unsteady gait, thoracic pain, numbness, weakness in both legs, urinary retention | yes (AVM) | N/A | MRI, DSA | surgery (clipping, AVM resection) | recovery of the bladder and motor function, impaired proprioception |
| Sokol et al., 2024 [32] | 58 | M | pseudoaneurysm C5/C6 | neck pain, headache, mild upper extremity ataxia | no | 1 mm | cCT, MRI, DSA | conservative treatment | mild balance difficulties |
| Zhou et al., 2024 [33] | 74 | N/A | T2 | back pain | no | N/A | MRI | surgery (parent artery sacrifice) | mRS score = 1 |
| 32 | N/A | T1 | headache | yes (coarctation of the thoracic aorta) | 7.53 mm | DSA | conservative treatment | mRS score = 0 | |
| 34 | N/A | C7 | headache | yes (coarctation of the thoracic aorta) | 3.64 mm | DSA | endovascular (coil) | mRS score = 0 | |
| 16 | N/A | C2 | headache | unclear (multiple aneurysms may indicate connective tissue disease) | 2.10 mm | DSA | endovascular (coil) | death (due to SAH 5 months post-discharge) | |
| 29 | N/A | T12 | lower back pain, lower extremity weakness, urinary retention | unclear (vestige of arteriovenous shunt suspected) | 3.03 mm | DSA | conservative treatment | mRS score = 1 | |
| 57 | N/A | C6 | headache | no | 4.24 mm | DSA | conservative treatment | mRS score = 0 | |
| 57 | N/A | T12 | lower back pain, lower extremity weakness, urinary retention | no | N/A | MRI | surgery (parent artery sacrifice) | mRS score = 3 | |
| Ioannidis et al., 2024 [34] | 37 | F | T8 | acute headache, vomiting, episode of loss of consciousness, 3/5 right leg paresis | yes (AVM) | 12 × 11 mm | cCT, CTA, DSA | endovascular (coil) | stable neurological status |
| Ahmadpour et al., 2024 [35] | 30 | M | anterior spinal artery T11/T12 | acute-onset back pain and bilateral lower extremity motor paraplegia | yes (infectious etiology assumed: mycotic aneurysm) | 7 × 5 mm | cCT, MRI, DSA | conservative treatment | death (complications from severe sepsis secondary to necrotizing pneumonia attributed to the patient’s underlying autoimmune disease and thrombotic microangiopathy) |
Disclaimer/Publisher’s Note: The statements, opinions and data contained in all publications are solely those of the individual author(s) and contributor(s) and not of MDPI and/or the editor(s). MDPI and/or the editor(s) disclaim responsibility for any injury to people or property resulting from any ideas, methods, instructions or products referred to in the content. |
© 2025 by the authors. Licensee MDPI, Basel, Switzerland. This article is an open access article distributed under the terms and conditions of the Creative Commons Attribution (CC BY) license (https://creativecommons.org/licenses/by/4.0/).
Share and Cite
Harapan, B.N.; Forbrig, R.; Liebig, T.; Schichor, C.; Thorsteinsdottir, J. Diagnostic and Therapeutic Approaches for Spinal Subarachnoid Hemorrhage Due to Spinal Aneurysms and Other Etiologies. J. Clin. Med. 2025, 14, 2398. https://doi.org/10.3390/jcm14072398
Harapan BN, Forbrig R, Liebig T, Schichor C, Thorsteinsdottir J. Diagnostic and Therapeutic Approaches for Spinal Subarachnoid Hemorrhage Due to Spinal Aneurysms and Other Etiologies. Journal of Clinical Medicine. 2025; 14(7):2398. https://doi.org/10.3390/jcm14072398
Chicago/Turabian StyleHarapan, Biyan Nathanael, Robert Forbrig, Thomas Liebig, Christian Schichor, and Jun Thorsteinsdottir. 2025. "Diagnostic and Therapeutic Approaches for Spinal Subarachnoid Hemorrhage Due to Spinal Aneurysms and Other Etiologies" Journal of Clinical Medicine 14, no. 7: 2398. https://doi.org/10.3390/jcm14072398
APA StyleHarapan, B. N., Forbrig, R., Liebig, T., Schichor, C., & Thorsteinsdottir, J. (2025). Diagnostic and Therapeutic Approaches for Spinal Subarachnoid Hemorrhage Due to Spinal Aneurysms and Other Etiologies. Journal of Clinical Medicine, 14(7), 2398. https://doi.org/10.3390/jcm14072398

