Tracheal Diverticula in People with Cystic Fibrosis on Elexacaftor/Tezacaftor/Ivacaftor: An Italian Multicenter Retrospective Study
Abstract
1. Introduction
2. Materials and Methods
2.1. Patients
2.2. Imaging
2.3. Bronchoscopy
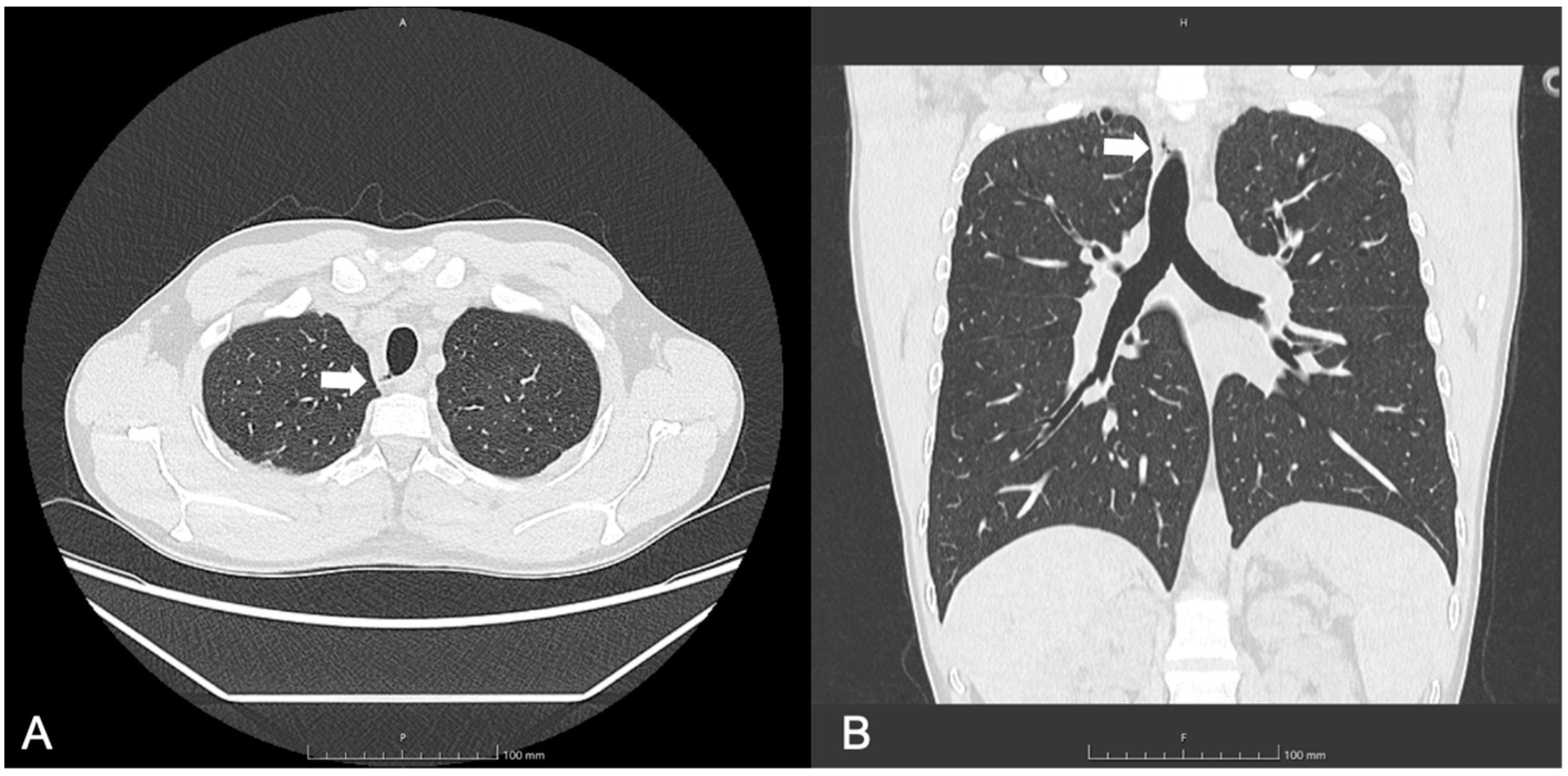
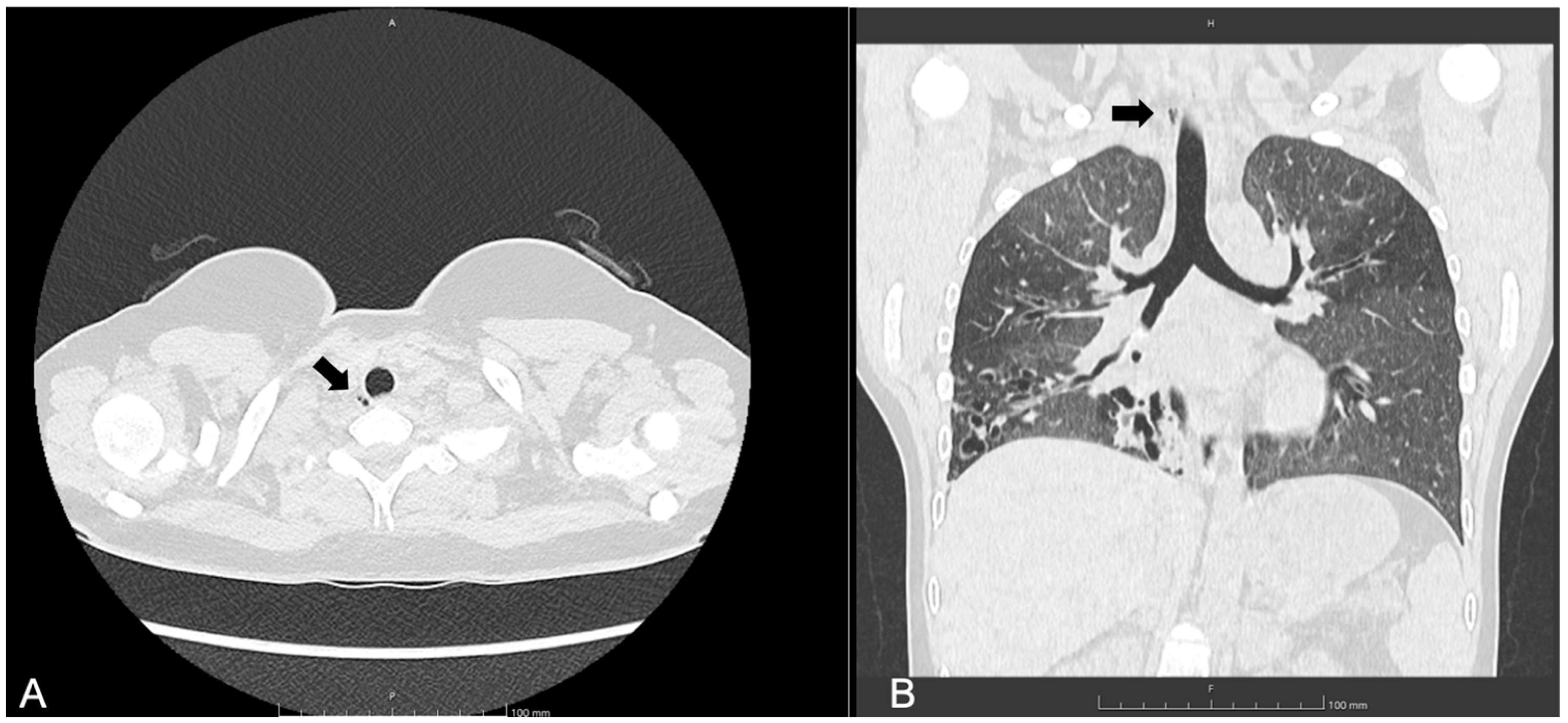
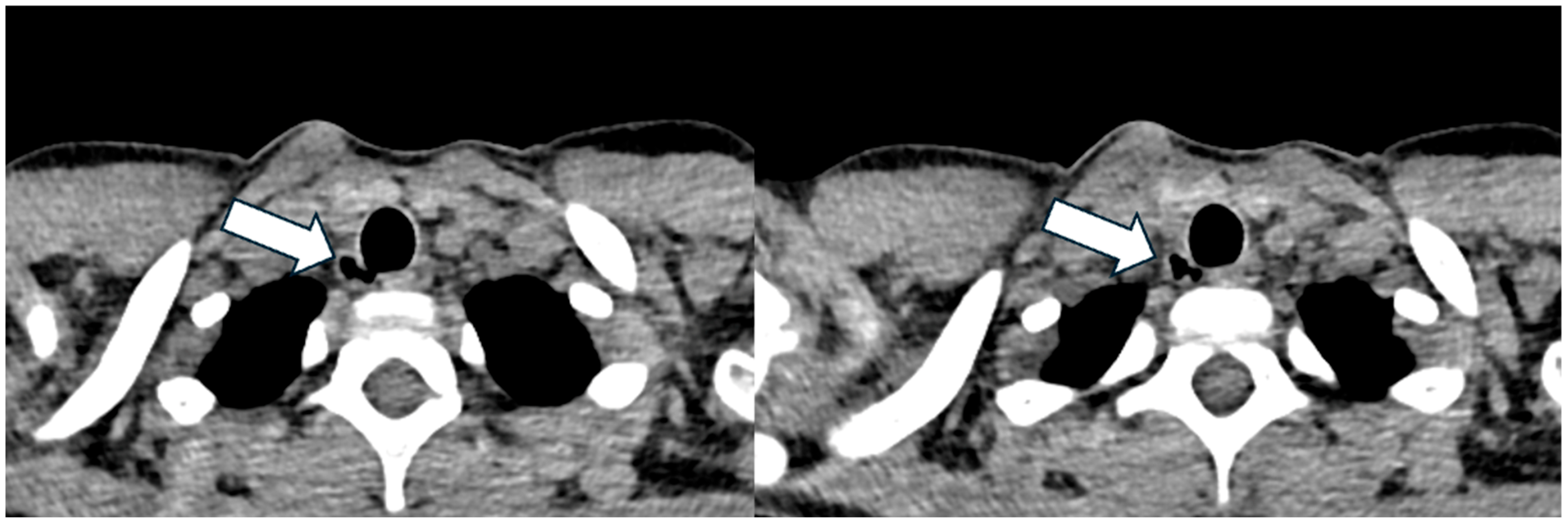
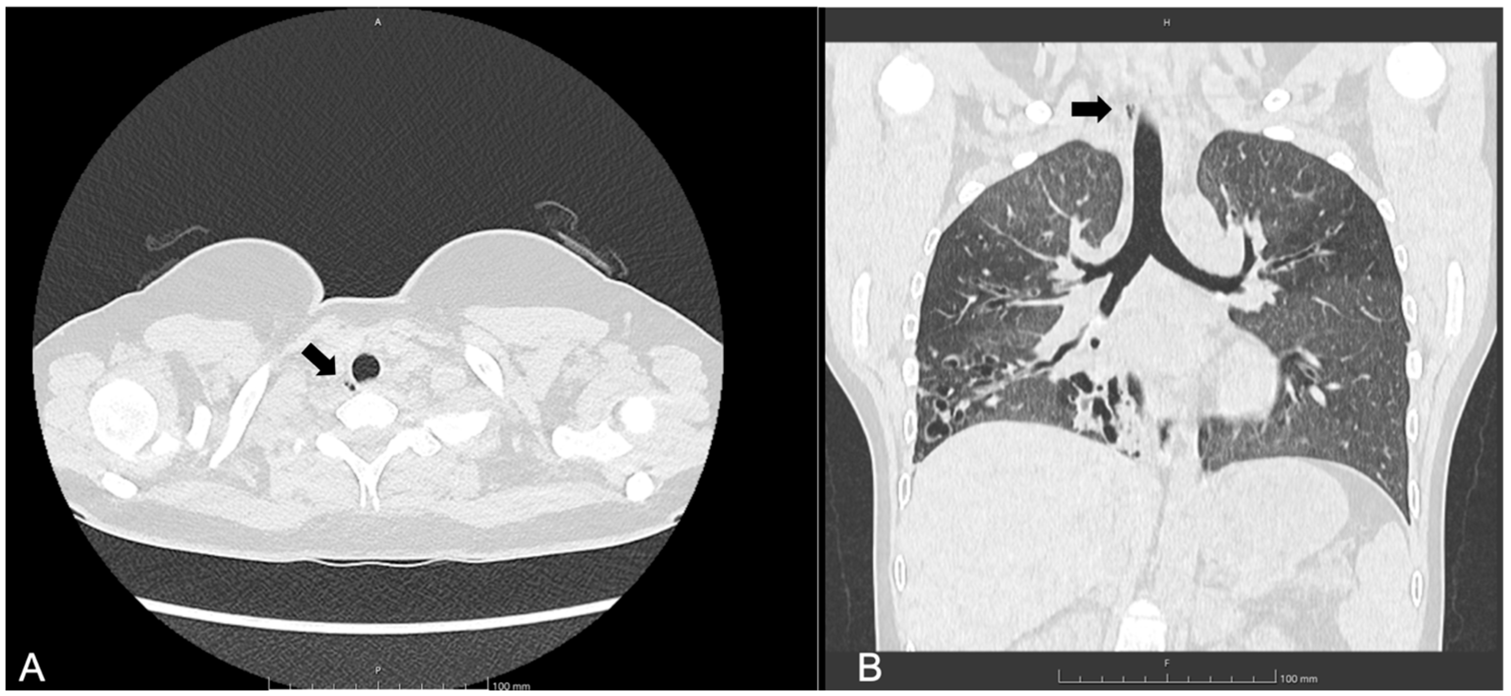
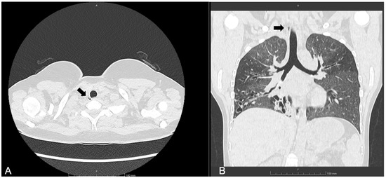
3. Results
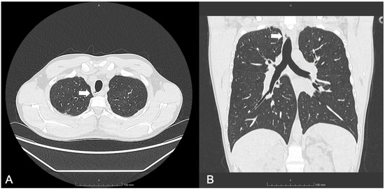
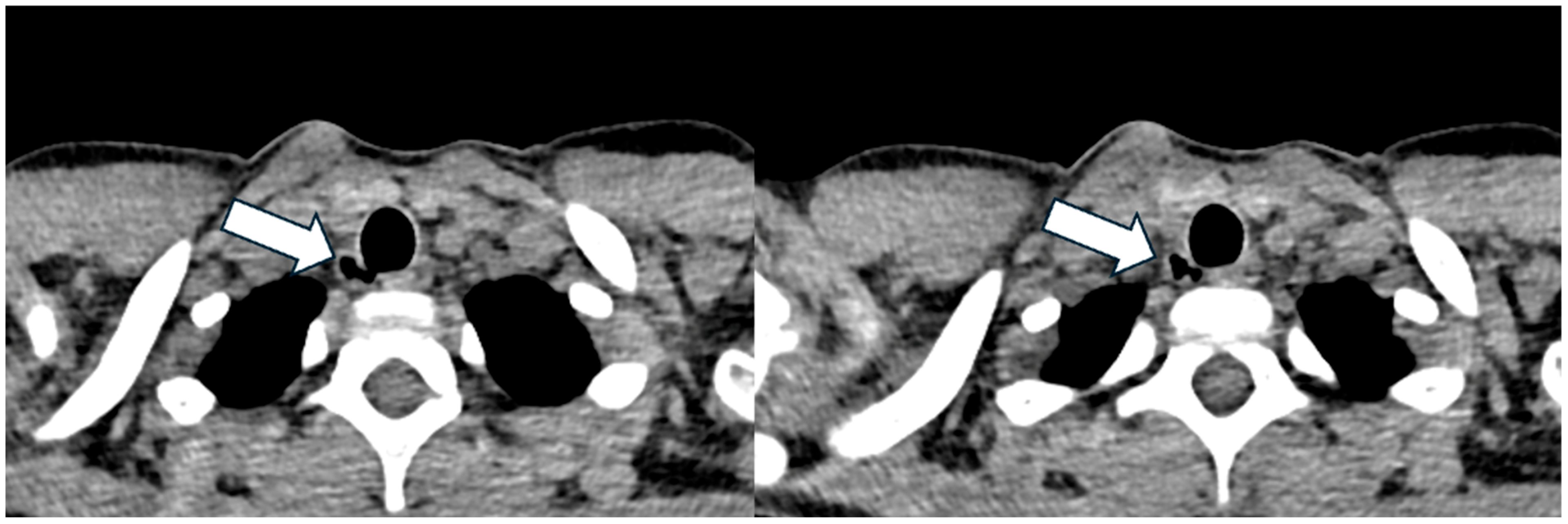
3.1. Patient 1
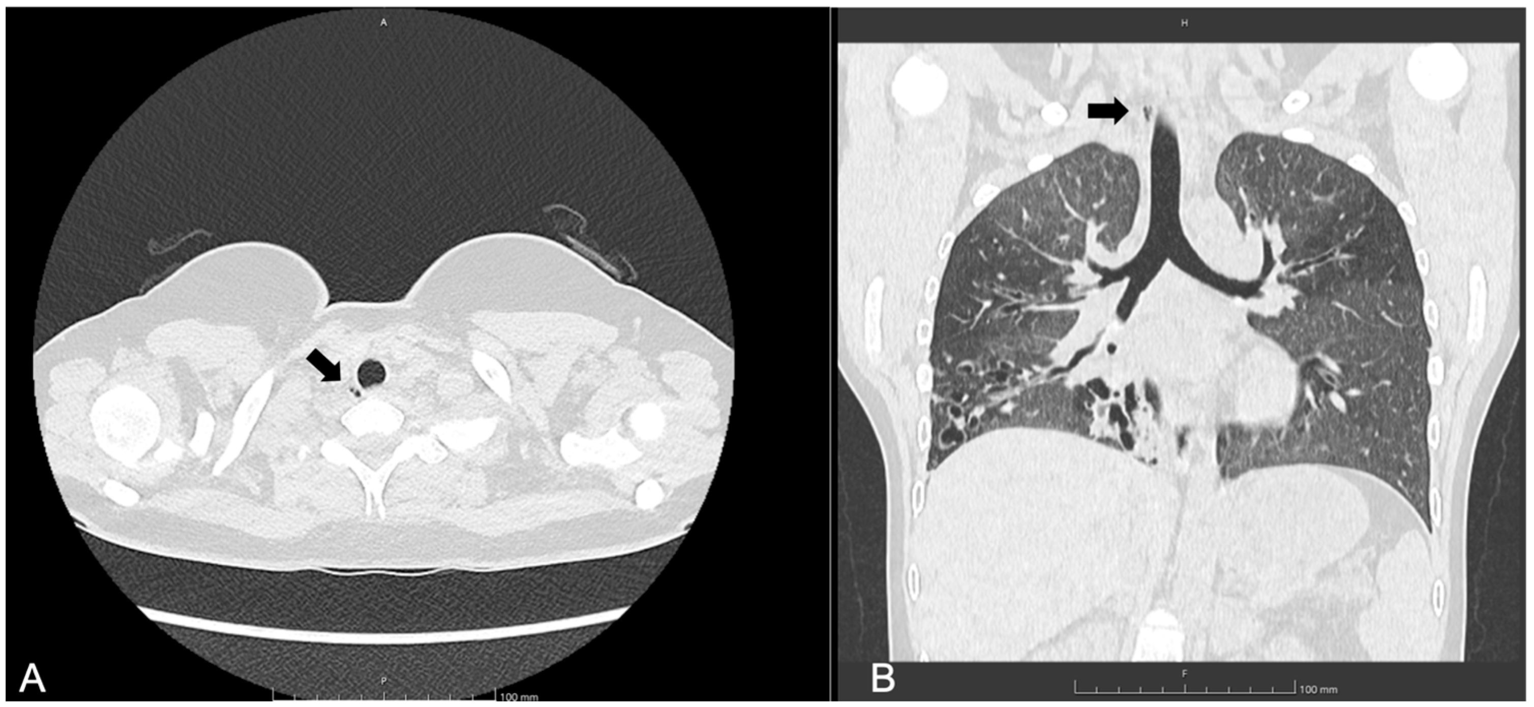
3.2. Patient 2
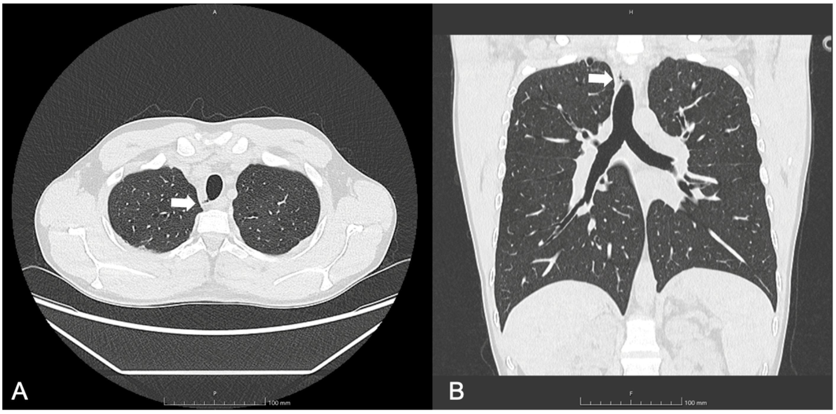
3.3. Patient 3
4. Discussion
5. Conclusions
Author Contributions
Funding
Institutional Review Board Statement
Informed Consent Statement
Data Availability Statement
Acknowledgments
Conflicts of Interest
Abbreviations
| CF | Cystic Fibrosis |
| CFTR | cystic fibrosis transmembrane conductance regulator |
| CT | chest computerized tomography |
| EMA | European Medicines Agency |
| ETI | Elexacaftor/Tezacaftor/Ivacaftor |
| FDA | Food and Drug Administration |
| MRI | Magnetic Resonance Imaging |
| PwCF | People with cystic fibrosis |
| SC | Sweat chloride |
| TD | tracheal diverticula |
References
- O’Sullivan, B.P.; Freedman, S.D. Cystic Fibrosis. Lancet 2009, 373, 1891–1904. [Google Scholar] [CrossRef]
- Terlizzi, V.; Farrell, P.M. Update on Advances in Cystic Fibrosis towards a Cure and Implications for Primary Care Clinicians. Curr. Probl. Pediatr. Adolesc. Health Care 2024, 54, 101637. [Google Scholar] [CrossRef] [PubMed]
- Sly, P.D.; Gangell, C.L.; Chen, L.; Ware, R.S.; Ranganathan, S.; Mott, L.S.; Murray, C.P.; Stick, S.M. AREST CF Investigators Risk Factors for Bronchiectasis in Children with Cystic Fibrosis. N. Engl. J. Med. 2013, 368, 1963–1970. [Google Scholar] [CrossRef] [PubMed]
- Sly, P.D.; Brennan, S.; Gangell, C.; de Klerk, N.; Murray, C.; Mott, L.; Stick, S.M.; Robinson, P.J.; Robertson, C.F.; Ranganathan, S.C.; et al. Lung Disease at Diagnosis in Infants with Cystic Fibrosis Detected by Newborn Screening. Am. J. Respir. Crit. Care Med. 2009, 180, 146–152. [Google Scholar] [CrossRef] [PubMed]
- Scotet, V.; L’Hostis, C.; Férec, C. The Changing Epidemiology of Cystic Fibrosis: Incidence, Survival and Impact of the CFTR Gene Discovery. Genes 2020, 11, 589. [Google Scholar] [CrossRef]
- Davies, J.C.; Wainwright, C.E.; Canny, G.J.; Chilvers, M.A.; Howenstine, M.S.; Munck, A.; Mainz, J.G.; Rodriguez, S.; Li, H.; Yen, K.; et al. Efficacy and Safety of Ivacaftor in Patients Aged 6 to 11 Years with Cystic Fibrosis with a G551D Mutation. Am. J. Respir. Crit. Care Med. 2013, 187, 1219–1225. [Google Scholar] [CrossRef]
- Davies, J.C.; Cunningham, S.; Harris, W.T.; Lapey, A.; Regelmann, W.E.; Sawicki, G.S.; Southern, K.W.; Robertson, S.; Green, Y.; Cooke, J.; et al. Safety, Pharmacokinetics, and Pharmacodynamics of Ivacaftor in Patients Aged 2–5 Years with Cystic Fibrosis and a CFTR Gating Mutation (KIWI): An Open-Label, Single-Arm Study. Lancet Respir. Med. 2016, 4, 107–115. [Google Scholar] [CrossRef]
- Wainwright, C.E.; Elborn, J.S.; Ramsey, B.W.; Marigowda, G.; Huang, X.; Cipolli, M.; Colombo, C.; Davies, J.C.; De Boeck, K.; Flume, P.A.; et al. Lumacaftor-Ivacaftor in Patients with Cystic Fibrosis Homozygous for Phe508del CFTR. N. Engl. J. Med. 2015, 373, 220–231. [Google Scholar] [CrossRef]
- Food and Drug Administration. Elexacaftor-Tezacaftor-Ivacaftor. Available online: https://www.accessdata.fda.gov/drugsatfda_docs/label/2021/212273s008lbl.pdf (accessed on 1 March 2025).
- European Medicines Agency. Elexacaftor-Tezacaftor-Ivacaftor. Available online: https://www.ema.europa.eu/en/medicines/human/epar/kaftrio (accessed on 1 March 2025).
- Macconi, L.; Galici, V.; Di Maurizio, M.; Rossi, E.; Taccetti, G.; Terlizzi, V. Early Effects of Elexacaftor-Tezacaftor-Ivacaftor Therapy on Magnetic Resonance Imaging in Patients with Cystic Fibrosis and Advanced Lung Disease. J. Clin. Med. 2022, 11, 4277. [Google Scholar] [CrossRef]
- Cecchetti, M.; Scarallo, L.; Lionetti, P.; Ooi, C.Y.; Terlizzi, V. Impact of Highly Effective Modulator Therapy on Gastrointestinal Symptoms and Features in People with Cystic Fibrosis. Paediatr. Respir. Rev. 2024. [Google Scholar] [CrossRef]
- Mall, M.A.; Burgel, P.-R.; Castellani, C.; Davies, J.C.; Salathe, M.; Taylor-Cousar, J.L. Cystic Fibrosis. Nat. Rev. Dis. Primers 2024, 10, 53. [Google Scholar] [CrossRef]
- Webb, E.M.; Elicker, B.M.; Webb, W.R. Using CT to Diagnose Nonneoplastic Tracheal Abnormalities: Appearance of the Tracheal Wall. Am. J. Roentgenol. 2000, 174, 1315–1321. [Google Scholar] [CrossRef] [PubMed]
- Lin, H.; Cao, Z.; Ye, Q. Tracheal Diverticulum: A Case Report and Literature Review. Am. J. Otolaryngol. 2014, 35, 542–545. [Google Scholar] [CrossRef] [PubMed]
- Bhatnagar, V.; Lal, R.; Agarwala, S.; Mitra, D.K. Endoscopic Treatment of Tracheal Diverticulum after Primary Repair of Esophageal Atresia and Tracheoesophageal Fistula. J. Pediatr. Surg. 1998, 33, 1323–1324. [Google Scholar] [CrossRef] [PubMed]
- Casal, A.; Golpe Gómez, A.; Riveiro Blanco, V.; Valdés, L. Tracheal Diverticulum: The Role of Fibrobronchoscopy in the Diagnosis. Open Respir. Arch. 2020, 2, 197–198. [Google Scholar] [CrossRef]
- Furlow, P.W.; Mathisen, D.J. Surgical Anatomy of the Trachea. Ann. Cardiothorac. Surg. 2018, 7, 255–260. [Google Scholar] [CrossRef]
- Berlucchi, M.; Pedruzzi, B.; Padoan, R.; Nassif, N.; Stefini, S. Endoscopic Treatment of Tracheocele in Pediatric Patients. Am. J. Otolaryngol. 2010, 31, 272–275. [Google Scholar] [CrossRef]
- Goo, J.M.; Im, J.G.; Ahn, J.M.; Moon, W.K.; Chung, J.W.; Park, J.H.; Seo, J.B.; Han, M.C. Right Paratracheal Air Cysts in the Thoracic Inlet: Clinical and Radiologic Significance. Am. J. Roentgenol. 1999, 173, 65–70. [Google Scholar] [CrossRef]
- Reicher, J.J.; Mohabir, P.; Rad, E.; Gayer, G. Increased Prevalence of Tracheal Diverticula in Cystic Fibrosis Patients. Br. J. Radiol. 2016, 89, 20150694. [Google Scholar] [CrossRef]
- Tanrivermis Sayit, A.; Elmali, M.; Saglam, D.; Celenk, C. The Diseases of Airway-Tracheal Diverticulum: A Review of the Literature. J. Thorac. Dis. 2016, 8, E1163–E1167. [Google Scholar] [CrossRef]
- Leedman, S.; Quick, M.; Coombs, A.; Hee, G. An Unusual Cause for Globus Sensation: Infected Tracheal Diverticulum with Abscess Formation. J. Laryngol. Otol. 2022, 136, 185–187. [Google Scholar] [CrossRef] [PubMed]
- Krag, C.H.; Wille, M.M.W. Incidental Discovery of Multiple Tracheal Diverticula. Radiol. Case Rep. 2021, 16, 312–314. [Google Scholar] [CrossRef]
- Gayer, G.; Sarouk, I.; Kanaany, N.; Efrati, O. Tracheal Diverticula in Cystic Fibrosis—A Potentially Important Underreported Finding on Chest CT. J. Cyst. Fibros. 2016, 15, 503–509. [Google Scholar] [CrossRef]
- Kapnadak, S.G.; Kicska, G.A.; Ramos, K.J.; Marshall, D.A.; Carroll, T.Y.; Pipavath, S.N.; Mulligan, M.S.; Goss, C.H.; Aitken, M.L. Tracheal Diverticula in Advanced Cystic Fibrosis: Prevalence, Features, and Outcomes after Lung Transplantation. J. Cyst. Fibros. 2017, 16, 735–743. [Google Scholar] [CrossRef][Green Version]
- Kurt, A.; Tanrivermis Sayit, A.; İpek, A.; Gunes Tatar, I. A Multi Detector Computed Tomography Survey of Tracheal Diverticulum. Eurasian J. Med. 2013, 45, 145–148. [Google Scholar] [CrossRef]
- Bae, H.-J.; Kang, E.-Y.; Yong, H.S.; Kim, Y.K.; Woo, O.H.; Oh, Y.-W.; Doo, K.W. Paratracheal Air Cysts on Thoracic Multidetector CT: Incidence, Morphological Characteristics and Relevance to Pulmonary Emphysema. Br. J. Radiol. 2013, 86, 20120218. [Google Scholar] [CrossRef]
- Buterbaugh, J.E.; Erly, W.K. Paratracheal Air Cysts: A Common Finding on Routine CT Examinations of the Cervical Spine and Neck That May Mimic Pneumomediastinum in Patients With Traumatic Injuries. AJNR Am. J. Neuroradiol. 2008, 29, 1218–1221. [Google Scholar] [CrossRef]
- Southern, K.W.; Burgel, P.-R.; Castellani, C.; De Boeck, K.; Davies, J.C.; Dunlevy, F.; Fajac, I.; Gramegna, A.; Lammertyn, E.; Middleton, P.G.; et al. Standards for the Care of People with Cystic Fibrosis (CF). J. Cyst. Fibros. 2023, 22, 961–962. [Google Scholar] [CrossRef]
- Farrell, P.M.; White, T.B.; Ren, C.L.; Hempstead, S.E.; Accurso, F.; Derichs, N.; Howenstine, M.; McColley, S.A.; Rock, M.; Rosenfeld, M.; et al. Diagnosis of Cystic Fibrosis: Consensus Guidelines from the Cystic Fibrosis Foundation. J. Pediatr. 2017, 181S, S4–S15.e1. [Google Scholar] [CrossRef]
- Graham, B.L.; Steenbruggen, I.; Miller, M.R.; Barjaktarevic, I.Z.; Cooper, B.G.; Hall, G.L.; Hallstrand, T.S.; Kaminsky, D.A.; McCarthy, K.; McCormack, M.C.; et al. Standardization of Spirometry 2019 Update. An Official American Thoracic Society and European Respiratory Society Technical Statement. Am. J. Respir. Crit. Care Med. 2019, 200, e70–e88. [Google Scholar] [CrossRef]
- Löser, C.; Möllgaard, A.; Fölsch, U.R. Faecal Elastase 1: A Novel, Highly Sensitive, and Specific Tubeless Pancreatic Function Test. Gut 1996, 39, 580–586. [Google Scholar] [CrossRef] [PubMed]
- Lee, T.W.R.; Brownlee, K.G.; Conway, S.P.; Denton, M.; Littlewood, J.M. Evaluation of a New Definition for Chronic Pseudomonas Aeruginosa Infection in Cystic Fibrosis Patients. J. Cyst. Fibros. 2003, 2, 29–34. [Google Scholar] [CrossRef]
- Flume, P.A.; Mogayzel, P.J.; Robinson, K.A.; Goss, C.H.; Rosenblatt, R.L.; Kuhn, R.J.; Marshall, B.C. Clinical Practice Guidelines for Pulmonary Therapies Committee Cystic Fibrosis Pulmonary Guidelines: Treatment of Pulmonary Exacerbations. Am. J. Respir. Crit. Care Med. 2009, 180, 802–808. [Google Scholar] [CrossRef]
- Pathak, V.; Welsby, I.; Mahmood, K.; Wahidi, M.; MacIntyre, N.; Shofer, S. Ventilation and Anesthetic Approaches for Rigid Bronchoscopy. Ann. Am. Thorac. Soc. 2014, 11, 628–634. [Google Scholar] [CrossRef] [PubMed]
- Dolce, D.; Fevola, C.; Camera, E.; Orioli, T.; Lucenteforte, E.; Malanima, M.A.; Taccetti, G.; Terlizzi, V. Comparison between Gibson–Cooke and Macroduct Methods in the Cystic Fibrosis Neonatal Screening Program and in Subjects Who Are Cystic Fibrosis Screen-Positive with an Inconclusive Diagnosis. Int. J. Neonatal Screen. 2023, 9, 41. [Google Scholar] [CrossRef]
- Bianchimani, C.; Dolce, D.; Centrone, C.; Campana, S.; Ravenni, N.; Orioli, T.; Camera, E.; Mergni, G.; Fevola, C.; Bonomi, P.; et al. Impact of Pancreatitis-Associated Protein on Newborn Screening Outcomes and Detection of CFTR-Related Metabolic Syndrome (CRMS)/Cystic Fibrosis Screen Positive, Inconclusive Diagnosis (CFSPID): A Monocentric Prospective Pilot Experience. Int. J. Neonatal Screen. 2022, 8, 46. [Google Scholar] [CrossRef] [PubMed]
- Taccetti, G.; Botti, M.; Terlizzi, V.; Cavicchi, M.C.; Neri, A.S.; Galici, V.; Mergni, G.; Centrone, C.; Peroni, D.G.; Festini, F. Clinical and Genotypical Features of False-Negative Patients in 26 Years of Cystic Fibrosis Neonatal Screening in Tuscany, Italy. Diagnostics 2020, 10, 446. [Google Scholar] [CrossRef]
- Stevens, D.A.; Moss, R.B.; Kurup, V.P.; Knutsen, A.P.; Greenberger, P.; Judson, M.A.; Denning, D.W.; Crameri, R.; Brody, A.S.; Light, M.; et al. Allergic Bronchopulmonary Aspergillosis in Cystic Fibrosis–State of the Art: Cystic Fibrosis Foundation Consensus Conference. Clin. Infect. Dis. 2003, 37 (Suppl. S3), S225–S264. [Google Scholar] [CrossRef]
- Munck, A.; Berger, D.O.; Southern, K.W.; Carducci, C.; De Winter-de Groot, K.M.; Gartner, S.; Kashirskaya, N.; Linnane, B.; Proesmans, M.; Sands, D.; et al. European Survey of Newborn Bloodspot Screening for CF: Opportunity to Address Challenges and Improve Performance. J. Cyst. Fibros. 2023, 22, 484–495. [Google Scholar] [CrossRef]
- Pace, M.; Dapoto, A.; Surace, A.; Di Giacomo, A.; Morzenti, C.; Costantini, E.; Sala, F.; Sironi, S. Tracheal Diverticula: A Retrospective Analysis of Patients Referred for Thoracic CT. Medicine 2018, 97, e12544. [Google Scholar] [CrossRef]
- Rojas, J.; Bostanci, K.; Katsenos, S.; Becker, H.D. Tracheal Diverticulum. J. Bronchol. Interv. Pulmonol. 2011, 18, 91–93. [Google Scholar] [CrossRef] [PubMed]
- Mitsuzawa, K.; Kumagai, T.; Uchida, H.; Shimizu, T. Positional Relationships between a Tracheal Diverticulum and the Tracheal Tube under General Anesthesia: A Single-Center Observational and Simulation Study. BMC Anesth. 2023, 23, 386. [Google Scholar] [CrossRef]
- Schaupp, L.; Addante, A.; Völler, M.; Fentker, K.; Kuppe, A.; Bardua, M.; Duerr, J.; Piehler, L.; Röhmel, J.; Thee, S.; et al. Longitudinal Effects of Elexacaftor/Tezacaftor/Ivacaftor on Sputum Viscoelastic Properties, Airway Infection and Inflammation in Patients with Cystic Fibrosis. Eur. Respir. J. 2023, 62, 2202153. [Google Scholar] [CrossRef]
- Lepissier, A.; Bonnel, A.S.; Wizla, N.; Weiss, L.; Mittaine, M.; Bessaci, K.; Kerem, E.; Houdouin, V.; Reix, P.; Marguet, C.; et al. Moving the Dial on Airway Inflammation in Response to Trikafta in Adolescents with Cystic Fibrosis. Am. J. Respir. Crit. Care Med. 2023, 207, 792–795. [Google Scholar] [CrossRef] [PubMed]
- Nichols, D.P.; Morgan, S.J.; Skalland, M.; Vo, A.T.; Van Dalfsen, J.M.; Singh, S.B.P.; Ni, W.; Hoffman, L.R.; McGeer, K.; Heltshe, S.L.; et al. Pharmacologic Improvement of CFTR Function Rapidly Decreases Sputum Pathogen Density, but Lung Infections Generally Persist. J. Clin. Investig. 2023, 133, e167957. [Google Scholar] [CrossRef] [PubMed]
- Morgan, S.J.; Coulter, E.; Betts, H.L.; Solomon, G.M.; Clancy, J.P.; Rowe, S.M.; Nichols, D.P.; Singh, P.K. Elexacaftor/Tezacaftor/Ivacaftor’s Effects on Cystic Fibrosis Infections Are Maintained but Not Increased after 3.5-Years of Treatment. J. Clin. Investig. 2024, 134, e184171. [Google Scholar] [CrossRef]
- Blardone, C.; Gambazza, S.; Mariani, A.; Galgani, R.; Brivio, A.; Nobili, R.M.; Rizza, C.; Tutino, A.L.; Gramegna, A.; Daccò, V.; et al. Perceived Burden of Respiratory Physiotherapy in People with Cystic Fibrosis Taking Elexacaftor–Tezacaftor–Ivacaftor Combination: A 1-Year Observational Study. Ther. Adv. Respir. Dis. 2024, 18, 17534666241235054. [Google Scholar] [CrossRef]
- Urquhart, D.S.; Cunningham, S.; Taylor, E.; Vogiatzis, I.; Allen, L.; Lewis, S.; Neilson, A.R.; Soilemezi, D.; Akooji, N.; Saynor, Z.L. Exercise as an Airway Clearance Technique in People with Cystic Fibrosis (ExACT-CF): Rationale and Study Protocol for a Randomised Pilot Trial. NIHR Open Res. 2022, 2, 64. [Google Scholar] [CrossRef]
- Zhang, Y.; Tan, Y.; Chen, J.; Fang, C. The Role of MRI in the Diagnosis and Management of Tracheal Diverticulum. BMC Med. Imaging 2022, 22, 74. [Google Scholar] [CrossRef]






| Age (Years), Sex | CFTR Genetic Profile | Chronic Colonization | ppFEV1 (%) | ETI Months | TD n, Size (mm) and Position | Confirmed by Bronchoscopy | Communication with the Trachea | Follow-Up |
|---|---|---|---|---|---|---|---|---|
| 30, M | F508del/ E585X | SA, PA | 73 | 36 | 2, 10 mm, right posterolateral at T2 level | Yes | Visible radiologically and endoscopically | Bronchoscopy after 6 months: stable TD; occurrence of punctiform paracarenal TD |
| 13, F | F508del/ Delexon22–24 | SA, PA | 63 | 12 | 1, right paratracheal at T2-T3 level | No | Not identified | MRI after 6 months: TD non reported |
| 10, F | F508del/ F508del | SA, first PA detection | 117 | 16 | 1, 9, right posterolateral at T1 level | No | Visible radiologically, not endoscopically | Not yet performed |
Disclaimer/Publisher’s Note: The statements, opinions and data contained in all publications are solely those of the individual author(s) and contributor(s) and not of MDPI and/or the editor(s). MDPI and/or the editor(s) disclaim responsibility for any injury to people or property resulting from any ideas, methods, instructions or products referred to in the content. |
© 2025 by the authors. Licensee MDPI, Basel, Switzerland. This article is an open access article distributed under the terms and conditions of the Creative Commons Attribution (CC BY) license (https://creativecommons.org/licenses/by/4.0/).
Share and Cite
Venditto, L.; Tosco, A.; Sepe, A.; Castaldo, A.; Cimbalo, C.; Fevola, C.; Di Maurizio, M.; Baggi, R.; Avenali, S.; Terlizzi, V. Tracheal Diverticula in People with Cystic Fibrosis on Elexacaftor/Tezacaftor/Ivacaftor: An Italian Multicenter Retrospective Study. J. Clin. Med. 2025, 14, 2320. https://doi.org/10.3390/jcm14072320
Venditto L, Tosco A, Sepe A, Castaldo A, Cimbalo C, Fevola C, Di Maurizio M, Baggi R, Avenali S, Terlizzi V. Tracheal Diverticula in People with Cystic Fibrosis on Elexacaftor/Tezacaftor/Ivacaftor: An Italian Multicenter Retrospective Study. Journal of Clinical Medicine. 2025; 14(7):2320. https://doi.org/10.3390/jcm14072320
Chicago/Turabian StyleVenditto, Laura, Antonella Tosco, Angela Sepe, Alice Castaldo, Chiara Cimbalo, Cristina Fevola, Marco Di Maurizio, Roberto Baggi, Stefano Avenali, and Vito Terlizzi. 2025. "Tracheal Diverticula in People with Cystic Fibrosis on Elexacaftor/Tezacaftor/Ivacaftor: An Italian Multicenter Retrospective Study" Journal of Clinical Medicine 14, no. 7: 2320. https://doi.org/10.3390/jcm14072320
APA StyleVenditto, L., Tosco, A., Sepe, A., Castaldo, A., Cimbalo, C., Fevola, C., Di Maurizio, M., Baggi, R., Avenali, S., & Terlizzi, V. (2025). Tracheal Diverticula in People with Cystic Fibrosis on Elexacaftor/Tezacaftor/Ivacaftor: An Italian Multicenter Retrospective Study. Journal of Clinical Medicine, 14(7), 2320. https://doi.org/10.3390/jcm14072320

