Advances in Skin Ultrasonography for Malignant and Benign Tumors of the Head and Neck: Current Insights and Future Directions
Abstract
1. Introduction
1.1. Skin Ultrasound Overview
1.2. Normal Facial Skin Ultrasound: Characteristics and Potential Applications
2. Basal Cell Carcinoma
3. Squamous Cell Carcinoma
4. Merkel Cell Carcinoma
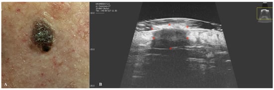
5. Melanoma
6. Mycosis Fungoides
7. Fibroma
8. Epidermoid Cyst
9. Dermatofibrosarcoma Protuberans
10. Primary Cutaneous Lymphoma
11. Latest Ultrasonographic Imaging Techniques
12. Clinical Implications and Limitations
13. Future Perspectives of HFUS
14. Conclusions
Author Contributions
Funding
Institutional Review Board Statement
Informed Consent Statement
Data Availability Statement
Acknowledgments
Conflicts of Interest
Abbreviations
| 3D | three-dimensional |
| AI | artificial intelligence |
| BCC | basal cell carcinoma |
| fUS | functional ultrasound |
| HFUS | high-frequency ultrasonography |
| MF | mycosis fungoides |
| MRI | magnetic resonance imaging |
| OCT | optical coherence tomography |
| UV | ultraviolet radiation |
| PCL | primary cutaneous lymphoma |
| SCC | squamous cell carcinoma |
| SLEB | subepidermal low echogenic band |
References
- Khayyati Kohnehshahri, M.; Sarkesh, A.; Mohamed Khosroshahi, L.; HajiEsmailPoor, Z.; Aghebati-Maleki, A.; Yousefi, M.; Aghebati-Maleki, L. Current status of skin cancers with a focus on immunology and immunotherapy. Cancer Cell Int. 2023, 23, 174. [Google Scholar] [PubMed]
- Situm, M.; Buljan, M.; Bulat, V.; Lugović Mihić, L.; Bolanca, Z.; Simić, D. The role of UV radiation in the development of basal cell carcinoma. Coll. Antropol. 2008, 32 (Suppl. S2), 167–170. [Google Scholar] [PubMed]
- Fania, L.; Didona, D.; Di Pietro, F.R.; Verkhovskaia, S.; Morese, R.; Paolino, G.; Donati, M.; Ricci, F.; Coco, V.; Ricci, F.; et al. Cutaneous Squamous Cell Carcinoma: From Pathophysiology to Novel Therapeutic Approaches. Biomedicines 2021, 9, 171. [Google Scholar] [CrossRef] [PubMed]
- Arnold, M.; Singh, D.; Laversanne, M.; Vignat, J.; Vaccarella, S.; Meheus, F.; Cust, A.E.; de Vries, E.; Whiteman, D.C.; Bray, F. Global Burden of Cutaneous Melanoma in 2020 and Projections to 2040. JAMA Dermatol. 2022, 158, 495–503. [Google Scholar] [PubMed]
- Combalia, A.; Carrera, C. Squamous Cell Carcinoma: An Update on Diagnosis and Treatment. Dermatol. Pract. Concept. 2020, 10, e2020066. [Google Scholar]
- Atak, M.F.; Farabi, B.; Navarrete-Dechent, C.; Rubinstein, G.; Rajadhyaksha, M.; Jain, M. Confocal Microscopy for Diagnosis and Management of Cutaneous Malignancies: Clinical Impacts and Innovation. Diagnostics 2023, 13, 854. [Google Scholar] [CrossRef]
- Vergilio, M.M.; Monteiro e Silva, S.A.; Jales, R.M.; Leonardi, G.R. High-frequency ultrasound as a scientific tool for skin imaging analysis. Exp. Dermatol. 2021, 30, 897–910. [Google Scholar]
- Crisan, D.; Wortsman, X.; Alfageme, F.; Catalano, O.; Badea, A.; Scharffetter-Kochanek, K.; Sindrilaru, A.; Crisan, M. Ultrasonography in dermatologic surgery: Revealing the unseen for improved surgical planning. J. Dtsch. Dermatol. Ges. 2022, 20, 913–926. [Google Scholar]
- Płocka, M.; Czajkowski, R. High-frequency ultrasound in the diagnosis and treatment of skin neoplasms. Postepy Dermatol. Alergol. 2023, 40, 204–207. [Google Scholar]
- Dinnes, J.; Bamber, J.; Chuchu, N.; Bayliss, S.E.; Takwoingi, Y.; Davenport, C.; Godfrey, K.; O’Sullivan, C.; Matin, R.N.; Deeks, J.J.; et al. High-frequency ultrasound for diagnosing skin cancer in adults. Cochrane Database Syst. Rev. 2018, 12, CD013188. [Google Scholar]
- Wortsman, X.; Wortsmann, J.; Carreno, L.; Morales, C.; Sazunic, I.; Jemec, G. Sonographic anatomy of the skin appendages and adjacent structures. In Dermatologic Ultrasound with Clinical and Histological Correlations, 1st ed.; Wortsmann, X., Jemec, G., Eds.; Springer: Berlin/Heidelberg, Germany, 2013; pp. 15–35. [Google Scholar]
- Belfiore, M.P.; Reginelli, A.; Russo, A.; Russo, G.M.; Rocco, M.P.; Moscarella, E.; Ferrante, M.; Sica, A.; Grassi, R.; Cappabianca, S. Usefulness of High-Frequency Ultrasonography in the Diagnosis of Melanoma: Mini Review. Front. Oncol. 2021, 11, 673026. [Google Scholar]
- Wortsman, X. Common applications of dermatologic sonography. J. Ultrasound Med. 2012, 31, 97–111. [Google Scholar] [PubMed]
- Almuhanna, N.; Wortsman, X.; Wohlmuth-Wieser, I.; Kinoshita-Ise, M.; Alhusayen, R. Overview of Ultrasound Imaging Applications in Dermatology. J. Cutan. Med. Surg. 2021, 25, 521–529. [Google Scholar]
- Izzetti, R.; Vitali, S.; Aringhieri, G.; Nisi, M.; Oranges, T.; Dini, V.; Ferro, F.; Baldini, C.; Romanelli, M.; Caramella, D.; et al. Ultra-High Frequency Ultrasound, A Promising Diagnostic Technique: Review of the Literature and Single-Center Experience. Can. Assoc. Radiol. J. 2021, 72, 418–431. [Google Scholar]
- Levy, J.; Barrett, D.L.; Harris, N.; Jeong, J.J.; Yang, X.; Chen, S.C. High-frequency ultrasound in clinical dermatology: A review. Ultrasound J. 2021, 13, 24. [Google Scholar]
- Kitajima, K.; Murakami, K.; Yamasaki, E.; Fukasawa, I.; Inaba, N.; Kaji, Y.; Sugimura, K. Accuracy of 18F-FDG PET/CT in detecting pelvic and paraaortic lymph node metastasis in patients with endometrial cancer. Am. J. Roentgenol. 2008, 190, 1652–1658. [Google Scholar]
- Lee, S.W.; Jeong, H.W.; Kim, B.M.; Ahn, Y.C.; Jung, W.; Chen, Z. Optimization for Axial Resolution, Depth Range, and Sensitivity of Spectral Domain Optical Coherence Tomography at 1.3 µm. J. Korean Phys. Soc. 2009, 55, 2354–2360. [Google Scholar]
- Aziz, M.U.; Eisenbrey, J.R.; Deganello, A.; Zahid, M.; Sharbidre, K.; Sidhu, P.; Robbin, M.L. Microvascular Flow Imaging: A State-of-the-Art Review of Clinical Use and Promise. Radiology 2022, 305, 250–264. [Google Scholar]
- Keong, K.M.; Seo, J.Y.; Kim, A.; Kim, Y.C.; Baek, Y.S.; Oh, C.H.; Jeon, J. Ultrasonographic analysis of facial skin thickness in relation to age, site, sex, and body mass index. Skin Res. Technol. 2023, 29, e13426. [Google Scholar]
- Brown, A.C.; Brindley, L.; Hunt, W.T.N.; Earp, E.M.; Veitch, D.; Mortimer, N.J.; Salmon, P.J.M.; Wernham, A. A review of the evidence for Mohs micrographic surgery. Part 2: Basal cell carcinoma. Clin. Exp. Dermatol. 2022, 47, 1794–1804. [Google Scholar]
- Paoli, J.; Daryoni, S.; Wennberg, A.M.; Mölne, L.; Gillstedt, M.; Miocic, M.; Stenquist, B. 5-year recurrence rates of Mohs micrographic surgery for aggressive and recurrent facial basal cell carcinoma. Acta Derm. Venereol. 2011, 91, 689–693. [Google Scholar]
- Badea, A.; Crisan, D. High-frequency ultrasound in auricular skin cancer surgery: A precise, in vivo tool for identification of a potential cartilage infiltration and planning the therapeutic approach. Int. J. Dermatol. 2024, 63, 1277–1279. [Google Scholar] [PubMed]
- Raza, S.; Ali, F.; Al-Niaimi, F. Ultrasonography in diagnostic dermatology: A primer for clinicians. Arch. Dermatol. Res. 2023, 315, 1–6. [Google Scholar] [PubMed]
- Wang, Q.; Ren, W.; Wang, L.; Li, X.; Zhu, A.; Shan, D.; Wang, J.; Zhao, Y.; Li, D.; Ren, T.T.; et al. Role of high-frequency ultrasound in differentiating benign and malignant skin lesions: Potential and limitations. Ultrasonography 2024, 43, 238–249. [Google Scholar] [PubMed]
- Meng, Y.; Feng, L.; Shan, J.; Yuan, Z.; Jin, L. Application of high-frequency ultrasound to assess facial skin thickness in association with gender, age, and BMI in healthy adults. BMC Med. Imaging 2022, 22, 113. [Google Scholar]
- Contini, M.; Hollander, M.H.J.; Vissink, A.; Schepers, R.H.; Jansma, J.; Schortinghuis, J. A Systematic Review of the Efficacy of Microfocused Ultrasound for Facial Skin Tightening. Int. J. Environ. Res. Public Health 2023, 20, 1522. [Google Scholar] [CrossRef]
- Bezugly, A.; Rembielak, A. The use of high frequency skin ultrasound in non-melanoma skin cancer. J. Contemp. Brachyther. 2021, 13, 483–491. [Google Scholar]
- Barcaui Ede, O.; Carvalho, A.C.; Piñeiro-Maceira, J.; Barcaui, C.B.; Moraes, H. Study of the skin anatomy with high-frequency (22 MHz) ultrasonography and histological correlation. Radiol. Bras. 2015, 48, 324–329. [Google Scholar]
- Nicolescu, A.C.; Ionescu, S.; Ancuta, I.; Popa, V.T.; Lupu, M.; Soare, C.; Cozma, E.C.; Voiculescu, V.M. Subepidermal Low-Echogenic Band-Its Utility in Clinical Practice: A Systematic Review. Diagnostics 2023, 13, 970. [Google Scholar] [CrossRef]
- Mlosek, R.K.; Malinowska, S. Ultrasound image of the skin, apparatus and imaging basics. J. Ultrason. 2013, 13, 212–221. [Google Scholar] [CrossRef]
- Veronese, S.; Costa, E.; Portuese, A.; Ossanna, R.; Sbarbati, A. Histological analysis of the dermal and hypodermal layers of the face and correlation with high-frequency 24 MHz ultrasonography and elastosonography. Eur. J. Histochem. 2024, 68, 3912. [Google Scholar]
- Gonzalez, C.; Wortsman, X. How to Start on Dermatologic Ultrasound: Basic Anatomical Concepts, Guidelines, Technical Considerations, and Best Tips. Semin. Ultrasound CT MR 2024, 45, 180–191. [Google Scholar] [CrossRef] [PubMed]
- Habib, A.H.I.; El-Kaffas, K.H.; Mustafa, A.S.; Mashour, S.N. Role of ultrasound and colored Doppler examination in the diagnosis and the classification of the superficial soft tissue vascular anomalies. Egypt. J. Radiol. Nucl. Med. 2022, 53, 89. [Google Scholar] [CrossRef]
- Wortsman, X.; Alfageme, F.; Roustan, G.; Arias-Santiago, S.; Martorell, A.; Catalano, O.; Scotto di Santolo, M.; Zarchi, K.; Bouer, M.; Gonzalez, C.; et al. Guidelines for Performing Dermatologic Ultrasound Examinations by the DERMUS Group. J. Ultrasound Med. 2016, 35, 577–580. [Google Scholar] [CrossRef] [PubMed]
- Zhang, W.; Zeng, W.; Jiang, A.; He, Z.; Shen, X.; Dong, X.; Feng, J.; Lu, H. Global, regional and national incidence, mortality and disability-adjusted life-years of skin cancers and trend analysis from 1990 to 2019: An analysis of the Global Burden of Disease Study 2019. Cancer Med. 2021, 10, 4905–4922. [Google Scholar] [CrossRef]
- De Giorgi, V.; Savarese, I.; Gori, A.; Scarfi, F.; Topa, A.; Trane, L.; Portelli, F.; Innocenti, A.; Covarelli, P. Advanced basal cell carcinoma: When a good drug is not enough. J. Dermatolog Treat. 2020, 31, 552–553. [Google Scholar] [CrossRef]
- Marzuka, A.G.; Book, S.E. Basal cell carcinoma: Pathogenesis, epidemiology, clinical features, diagnosis, histopathology, and management. Yale J. Biol. Med. 2015, 88, 167–179. [Google Scholar]
- Baba, P.U.F.; Hassan, A.u.; Khurshid, J.; Wani, A.H. Basal Cell Carcinoma: Diagnosis, Management and Prevention. J. Mol. Pathol. 2024, 5, 153–170. [Google Scholar] [CrossRef]
- Catalano, O.; Corvino, A. Ultrasound of Skin Cancer: What We Need to Know. Semin. Ultrasound CT MRI 2024, 45, 216–232. [Google Scholar] [CrossRef]
- Wortsman, X. Sonography of facial cutaneous basal cell carcinoma: A first-line imaging technique. J. Ultrasound Med. 2013, 32, 567–572. [Google Scholar] [CrossRef]
- Siskou, S.; Pasquali, P.; Trakatelli, M. High Frequency Ultrasound of Basal Cell Carcinomas: Ultrasonographic Features and Histological Subtypes, a Retrospective Study of 100 Tumors. J. Clin. Med. 2023, 12, 3893. [Google Scholar] [CrossRef]
- Hasan, N.; Nadaf, A.; Imran, M.; Jiba, U.; Sheikh, A.; Almalki, W.H.; Almujri, S.S.; Mohammed, Y.H.; Kesharwani, P.; Ahmad, F.J. Skin cancer: Understanding the journey of transformation from conventional to advanced treatment approaches. Mol. Cancer 2023, 22, 168. [Google Scholar] [PubMed]
- Halip, I.A.; Vâţă, D.; Statescu, L.; Salahoru, P.; Patraşcu, A.I.; Temelie Olinici, D.; Tarcau, B.; Popescu, I.A.; Mocanu, M.; Constantin, A.M.; et al. Assessment of Basal Cell Carcinoma Using Dermoscopy and High Frequency Ultrasound Examination. Diagnostics 2022, 12, 735. [Google Scholar] [CrossRef] [PubMed]
- Wortsman, X. Ultrasound in Skin Cancer: Why, How, and When to Use It? Cancers 2024, 16, 3301. [Google Scholar] [CrossRef]
- Wortsman, X.; Vergara, P.; Castro, A.; Saavedra, D.; Bobadilla, F.; Sazunic, I.; Zemelman, V.; Wortsman, J. Ultrasound as predictor of histologic subtypes linked to recurrence in basal cell carcinoma of the skin. J. Eur. Acad. Dermatol. Venereol. 2015, 29, 702–707. [Google Scholar] [PubMed]
- Chen, Z.T.; Yan, J.N.; Zhu, A.Q.; Wang, L.F.; Wang, Q.; Li, L.; Guo, L.H.; Li, X.L.; Xu, H.X. High-frequency ultrasound for differentiation between high-risk basal cell carcinoma and cutaneous squamous cell carcinoma. Skin Res. Technol. 2022, 28, 410–418. [Google Scholar]
- Jambusaria-Pahlajani, A.; Schmults, C.D.; Miller, C.J.; Shin, D.; Williams, J.; Kurd, S.K.; Gelfand, J.M. Test characteristics of high-resolution ultrasound in the preoperative assessment of margins of basal cell and squamous cell carcinoma in patients undergoing Mohs micrographic surgery. Dermatol. Surg. 2009, 35, 9–15. [Google Scholar]
- MacFarlane, D.; Shah, K.; Wysong, A.; Wortsman, X.; Humphreys, T.R. The role of imaging in the management of patients with nonmelanoma skin cancer: Diagnostic modalities and applications. J. Am. Acad. Dermatol. 2017, 76, 579–588. [Google Scholar]
- Christenson, L.J.; Borrowman, T.A.; Vachon, C.M.; Tollefson, M.M.; Otley, C.C.; Weaver, A.L.; Roenigk, R.K. Incidence of Basal Cell and Squamous Cell Carcinomas in a Population Younger Than 40 Years. JAMA 2005, 294, 681–690. [Google Scholar]
- Brancaccio, G.; Briatico, G.; Pellegrini, C.; Rocco, T.; Moscarella, E.; Fargnoli, M.C. Risk Factors and Diagnosis of Advanced Cutaneous Squamous Cell Carcinoma. Dermatol. Pract. Concept. 2021, 11 (Suppl. S2), e2021166S. [Google Scholar]
- Desai, N.; Divatia, M.K.; Jadhav, A.; Wagh, A. Aggressive Cutaneous Squamous Cell Carcinoma of the Head and Neck: A Review. Curr. Oncol. 2023, 30, 6634–6647. [Google Scholar] [CrossRef]
- Zhu, A.-Q.; Wang, L.-F.; Li, X.-L.; Wang, Q.; Li, M.-X.; Ma, Y.-Y.; Xiang, L.-H.; Guo, L.-H.; Xu, H.-X. High-frequency ultrasound in the diagnosis of the spectrum of cutaneous squamous cell carcinoma: Noninvasively distinguishing actinic keratosis, Bowen’s Disease, and invasive squamous cell carcinoma. Skin Res. Technol. 2021, 27, 831–840. [Google Scholar] [PubMed]
- Wortsman, X.; Wortsman, J. Clinical usefulness of variable-frequency ultrasound in localized lesions of the skin. J. Am. Acad. Dermatol. 2010, 62, 247–256. [Google Scholar] [PubMed]
- Rohrbach, D.J.; Muffoletto, D.; Huihui, J.; Saager, R.; Keymel, K.; Paquette, A.; Morgan, J.; Zeitouni, N.; Sunar, U. Preoperative mapping of nonmelanoma skin cancer using spatial frequency domain and ultrasound imaging. Acad. Radiol. 2014, 21, 263–270. [Google Scholar] [PubMed]
- Mandava, A.; Ravuri, P.R.; Konathan, R. High-resolution ultrasound imaging of cutaneous lesions. Indian J. Radiol. Imaging 2013, 23, 269–277. [Google Scholar]
- Schmid-Wendtner, M.H.; Dill-Muller, D. Ultrasound technology in dermatology. Semin. Cutan. Med. Surg. 2008, 27, 44–51. [Google Scholar]
- Wortsman, X. Ultrasound of Skin Cancer. In Atlas of Dermatologic Ultrasound; Wortsman, X., Ed.; Springer International Publishing: Cham, Switzerland, 2018; pp. 115–145. [Google Scholar]
- Li, M.; Wang, Q.; Li, X.; Zhao, C.; Zhu, R.; Chen, J.; Li, L.; Guo, L.; Xu, H. Imaging findings of Bowen’s disease: A comparison between ultrasound biomicroscopy and conventional high-frequency ultrasound. Skin Res. Technol. 2020, 26, 654–663. [Google Scholar]
- Crişan, D.; Badea, A.F.; Crişan, M.; Rastian, I.; Solovastru, L.G.; Badea, R. Integrative analysis of cutaneous skin tumours using ultrasonogaphic criteria. Preliminary results. Med. Ultrason. 2014, 16, 285–290. [Google Scholar]
- Becker, J.C.; Stang, A.; DeCaprio, J.A.; Cerroni, L.; Lebbé, C.; Veness, M.; Nghiem, P. Merkel cell carcinoma. Nat. Rev. Dis. Primers 2017, 3, 17077. [Google Scholar]
- Hernández-Aragüés, I.; Vázquez-Osorio, I.; Alfageme, F.; Ciudad-Blanco, C.; Casas-Férnandez, L.; Rodríguez-Blanco, M.; Suárez-Fernández, R. Skin ultrasound features of Merkel cell carcinoma. J. Eur. Acad. Dermatol. Venereol. 2017, 31, 315–318. [Google Scholar] [CrossRef]
- Akaike, G.; Akaike, T.; Fadl, S.A.; Lachance, K.; Nghiem, P.; Behnia, F. Imaging of Merkel Cell Carcinoma: What Imaging Experts Should Know. Radiographics 2019, 39, 2069–2084. [Google Scholar]
- García-Harana, C.; Fernandez-Canedo, I.; Rodriguez-Lobalzo, S.; de Troya-Martín, M. Carcinoma de células de Merkel: ¿existe un patrón ecográfico distintivo? Actas Dermo-Sifiliogr. 2019, 110, 503–506. [Google Scholar]
- Siegel, R.L.; Miller, K.D.; Wagle, N.S.; Jemal, A. Cancer statistics, 2023. CA Cancer J. Clin. 2023, 73, 17–48. [Google Scholar] [CrossRef] [PubMed]
- Sellyn, G.E.; Lopez, A.A.; Ghosh, S.; Topf, M.C.; Chen, H.; Tkaczyk, E.; Powers, J.G. High-frequency ultrasound accuracy in preoperative cutaneous melanoma assessment: A meta-analysis. J. Eur. Acad. Dermatol. Venereol. 2024, 39, 86–96. [Google Scholar] [CrossRef] [PubMed]
- Reginelli, A.; Belfiore, M.P.; Russo, A.; Turriziani, F.; Moscarella, E.; Troiani, T.; Brancaccio, G.; Ronchi, A.; Giunta, E.; Sica, A.; et al. A Preliminary Study for Quantitative Assessment with HFUS (High-Frequency Ultrasound) of Nodular Skin Melanoma Breslow Thickness in Adults Before Surgery: Interdisciplinary Team Experience. Curr. Radiopharm. 2020, 13, 48–55. [Google Scholar]
- Pilat, P.; Borzęcki, A.; Jazienicki, M.; Gerkowicz, A.; Szubstarski, F.; Krasowska, D. Evaluation of the clinical usefulness of high-frequency ultrasonography in pre-operative evaluation of cutaneous melanoma—A prospective study. Adv. Dermatol. Allergol. 2020, 37, 207–213. [Google Scholar] [CrossRef]
- Machet, L.; Belot, V.; Naouri, M.; Boka, M.; Mourtada, Y.; Giraudeau, B.; Laure, B.; Perrinaud, A.; Machet, M.-C.; Vaillant, L. Preoperative Measurement of Thickness of Cutaneous Melanoma Using High-Resolution 20 MHz Ultrasound Imaging: A Monocenter Prospective Study and Systematic Review of the Literature. Ultrasound Med. Biol. 2009, 35, 1411–1420. [Google Scholar] [CrossRef]
- Kozarova, A.; Kozar, M.; Tonhajzerova, I.; Pappova, T.; Minarikova, E. The value of high-frequency 20 MHz ultrasonography for preoperative measurement of cutaneous melanoma thickness. Acta Dermatovenerol. Croat. 2018, 26, 15–20. [Google Scholar]
- Hinz, T.; Ehler, L.K.; Voth, H.; Fortmeier, I.; Hoeller, T.; Hornung, T.; Schmid-Wendtner, M.H. Assessment of tumor thickness in melanocytic skin lesions: Comparison of optical coherence tomography, 20-MHz ultrasound and histopathology. Dermatology 2011, 223, 161–168. [Google Scholar] [CrossRef]
- Meyer, N.; Lauwers-Cances, V.; Lourari, S.; Laurent, J.; Konstantinou, M.P.; Lagarde, J.M.; Krief, B.; Batatia, H.; Lamant, L.; Paul, C. High-frequency ultrasonography but not 930-nm optical coherence tomography reliably evaluates melanoma thickness in vivo: A prospective validation study. Br. J. Dermatol. 2014, 171, 799–805. [Google Scholar] [CrossRef]
- Marone, U.; Catalano, O.; Caracò, C.; Anniciello, A.M.; Sandomenico, F.; Di Monta, G.; Di Cecilia, M.L.; Mori, S.; Botti, G.; Petrillo, A.; et al. Can High-Resolution Ultrasound Avoid the Sentinel Lymph-Node Biopsy Procedure in the Staging Process of Patients with Stage I–II Cutaneous Melanoma? Ultraschall Med./Eur. J. Ultrasound 2012, 33, 179–185. [Google Scholar] [CrossRef]
- Polańska, A.; Osmola-Mańkowska, A.; Olek-Hrab, K.; Molińska-Glura, M.; Adamski, Z.; Żaba, R.; Dańczak-Pazdrowska, A. High-frequency ultrasonography in objective evaluation of the efficacy of PUVA and UVA 1 phototherapy in mycosis fungoides. Arch. Dermatol. Res. 2017, 309, 645–651. [Google Scholar] [CrossRef]
- Niu, Z.; Wang, Y.; Zhu, Q.; Liu, J.; Liu, Y.; Jin, H. The value of high-frequency ultrasonography in the differential diagnosis of early mycosis fungoides and inflammatory skin diseases: A case-control study. Skin Res. Technol. 2021, 27, 453–460. [Google Scholar] [CrossRef] [PubMed]
- Chen, T.C.; Kuo, T.; Chan, H.L. Dermatofibroma is a clonal proliferative disease. J. Cutan. Pathol. 2000, 27, 36–39. [Google Scholar] [PubMed]
- Bhatt, K.D.; Tambe, S.A.; Jerajani, H.R.; Dhurat, R.S. Utility of high-frequency ultrasonography in the diagnosis of benign and malignant skin tumors. Indian. J. Dermatol. Venereol. Leprol. 2017, 83, 162–182. [Google Scholar] [PubMed]
- Hoang, V.T.; Trinh, C.T.; Nguyen, C.H.; Chansomphou, V.; Chansomphou, V.; Tran, T.T.T. Overview of epidermoid cyst. Eur. J. Radiol. Open 2019, 6, 291–301. [Google Scholar]
- Zhao, Y.; Ding, Y.; Chen, T. Ultrasonography of fibroma of the tendon sheath in the hand and wrist. BMC Musculoskelet. Disord. 2023, 24, 144. [Google Scholar]
- Verdaguer-Faja, J.; Rodríguez-Garijo, N.; Arean-Cuns, C.; Redondo Bellón, P.; García-Martínez, F.J. Cutaneous ultrasound of the nuchal-type fibroma: Diagnostic clues and surgery planning. J. Ultrasound. 2024, 28, 167–171. [Google Scholar]
- Bandera, A.I.R.; Bonilla, G.M.; Rodríguez, M.F.; Merino, M.J.B.; Laguna, R.d.L. Jellyfish-like sonographic pattern can help recognition of dermatofibrosarcoma protuberans. Report of 3 new cases and review of the literature. Australas. J. Dermatol. 2019, 60, 148–150. [Google Scholar]
- Shin, Y.R.; Kim, J.Y.; Sung, M.S.; Jung, J.H. Sonographic Findings of Dermatofibrosarcoma Protuberans with Pathologic Correlation. J. Ultrasound Med. 2008, 27, 269–274. [Google Scholar]
- Díaz, C.G.; Perez, M.O.; Isaac, N.G.; Aguirre, I.H. Dermatofibrosarcoma Protuberans: A Series of 14 Patients in Whom High-Resolution Ultrasound Was the Key to Diagnosis. Actas Dermo-Sifiliogr. 2024, 115, 312–315. [Google Scholar]
- Russo, A.; Patanè, V.; Gagliardi, F.; Urraro, F.; Ronchi, A.; Vitiello, P.; Sica, A.; Argenziano, G.; Nardone, V.; Reginelli, A. Preliminary Experience in Ultra-High Frequency Ultrasound Assessment of Cutaneous Primary Lymphomas: An Innovative Classification. Cancers 2024, 16, 2456. [Google Scholar] [CrossRef]
- Taleb, E.; Yélamos, O.; Ardigo, M.; Christensen, R.E.; Geller, S. Non-invasive Skin Imaging in Cutaneous Lymphomas. Am. J. Clin. Dermatol. 2024, 25, 79–89. [Google Scholar] [PubMed]
- Mandava, A.; Koppula, V.; Wortsman, X.; Catalano, O.; Alfageme, F. The clinical value of imaging in primary cutaneous lymphomas: Role of high resolution ultrasound and PET-CT. Br. J. Radiol. 2019, 92, 20180904. [Google Scholar] [CrossRef] [PubMed]
- Vidal, B.; Droguerre, M.; Venet, L.; Zimmer, L.; Valdebenito, M.; Mouthon, F.; Charvériat, M. Functional ultrasound imaging to study brain dynamics: Application of pharmaco-fUS to atomoxetine. Neuropharmacology 2020, 179, 108273. [Google Scholar] [PubMed]
- Huang, H.; Hsu, P.L.; Tsai, S.F.; Chuang, Y.H.; Chen, D.Q.; Xu, G.X.; Chen, C.; Kuo, Y.M.; Huang, C.C. High-Spatiotemporal-Resolution Ultrasound Flow Imaging to Determine Cerebrovascular Hemodynamics in Alzheimer’s Disease Mice Model. Adv. Sci. 2023, 10, e2302345. [Google Scholar]
- Oglat, A.A.; Abukhalil, T. Ultrasound Elastography: Methods, Clinical Applications, and Limitations: A Review Article. Appl. Sci. 2024, 14, 4308. [Google Scholar] [CrossRef]
- Cui, X.-W.; Li, K.-N.; Yi, A.-J.; Wang, B.; Wei, Q.; Wu, G.-G.; Dietrich, C.F. Ultrasound elastography. Endosc. Ultrasound 2022, 11, 252–274. [Google Scholar]
- Gonçalves, L.F.; Lee, W.; Espinoza, J.; Romero, R. Three- and 4-dimensional ultrasound in obstetric practice: Does it help? J. Ultrasound Med. 2005, 24, 1599–1624. [Google Scholar]
- Lucas, V.S.; Burk, R.S.; Creehan, S.; Grap, M.J. Utility of high-frequency ultrasound: Moving beyond the surface to detect changes in skin integrity. Plast. Surg. Nurs. 2014, 34, 34–38. [Google Scholar]
- Kinoshita-Ise, M.; Ida, T.; Iwasaki, T.; Iwazaki, H.; Yokota, K.; Taguchi, H.; Ohyama, M. Validity and Advantages of Three-Dimensional High-Frequency Ultrasound in Dermatological Evaluation. Diagnostics 2025, 15, 223. [Google Scholar] [CrossRef]
- Jung, J.M.; Cho, J.Y.; Lee, W.J.; Chang, S.E.; Lee, M.W.; Won, C.H. Emerging Minimally Invasive Technologies for the Detection of Skin Cancer. J. Pers. Med. 2021, 11, 951. [Google Scholar] [CrossRef]
- Bhandari, A. Revolutionizing Radiology with Artificial Intelligence. Cureus 2024, 16, e72646. [Google Scholar]












| Ultrasound Frequency and Corresponding Tissue Visualization | ||
|---|---|---|
| Ultrasound Frequency | Depth of Penetration | Visualization |
| 7.5 | >4.0 | Subcutis and lymph nodes |
| 13.5–50 | 3.0–0.3 | Epidermis and dermis |
| 20 | 0.6–0.7 | Epidermis and dermis |
| 50–100 | 0.3–0.015 | Epidermis |
| Category | Application |
|---|---|
| Healthy Skin and Aging | Study of micro-anatomical structure of healthy skin and echo-graphic signs of aging. |
| Cosmetic and Plastic Surgery | Assessment of skin condition and anatomical features before procedures like Botox or fillers injections, post-procedure follow-up including efficacy, side effects, and location of fillers. |
| Differential Diagnosis and Pathology Management | Support for differential diagnosis and management of various skin pathologies, including presurgical assessment. |
| Therapeutic Follow-Up | Monitoring response to pharmacotherapy; topical therapy; physiotherapeutic, destructive skin treatments; and potential disease recurrence. |
| Dermato-Oncology | Assessment of skin tumors characteristics, margins, and vascular patterns in dermato-oncology. Follow-up after surgical tumor removal. |
| Tumor Type | Ultrasonographic Features |
|---|---|
| Basal Cell Carcinoma | Oval, hypoechogenic lesion with well-defined borders. Hyperechoic spots (“cotton flower” pattern) may be present. Poor vascularization on Doppler. |
| Squamous Cell Carcinoma | Hypoechogenic lesion with irregular, poorly defined margins. Epidermal detachment and ulceration are common. More vascularized than BCC. |
| Merkel Cell Carcinoma | Hypoechogenic dermal or hypodermal lesion with chaotic vascular patterns. May exhibit hypoechoic linear bands (“plume-of-smoke” appearance). |
| Melanoma | Hypoechoic, heterogeneous lesion with an oblong or oval shape. Often well demarcated by a hyperechoic epidermal layer. Hypervascular on Doppler. |
| Mycosis Fungoides | Presence of a subepidermal low-echogenic band (SLEB). Useful in monitoring disease progression and response to therapy. |
| Fibroma | Well-defined, hypoechoic epidermal lesion. Typically avascular on Doppler imaging. |
| Epidermoid Cyst | Hypoechogenic mass with well-defined borders. May show posterior acoustic enhancement. Occasionally presents mild heterogeneity. |
| Dermatofibrosarcoma Protuberans | Lobulated hypoechoic lesion with “tentacle-like projections” and moderate vascularity, often more prominent at the periphery. |
| Primary Cutaneous Lymphoma | Hypoechoic focal infiltrative or nodular lesions with high vascularity. B-cell lymphomas appear more nodular; T-cell lymphomas are more diffuse. |
Disclaimer/Publisher’s Note: The statements, opinions and data contained in all publications are solely those of the individual author(s) and contributor(s) and not of MDPI and/or the editor(s). MDPI and/or the editor(s) disclaim responsibility for any injury to people or property resulting from any ideas, methods, instructions or products referred to in the content. |
© 2025 by the authors. Licensee MDPI, Basel, Switzerland. This article is an open access article distributed under the terms and conditions of the Creative Commons Attribution (CC BY) license (https://creativecommons.org/licenses/by/4.0/).
Share and Cite
Stawarz, K.; Galazka, A.; Misiak-Galazka, M.; Durzynska, M.; Gorzelnik, A.; Bienkowska-Pluta, K.; Korzon, J.; Kissin, F.; Zwolinski, J. Advances in Skin Ultrasonography for Malignant and Benign Tumors of the Head and Neck: Current Insights and Future Directions. J. Clin. Med. 2025, 14, 2298. https://doi.org/10.3390/jcm14072298
Stawarz K, Galazka A, Misiak-Galazka M, Durzynska M, Gorzelnik A, Bienkowska-Pluta K, Korzon J, Kissin F, Zwolinski J. Advances in Skin Ultrasonography for Malignant and Benign Tumors of the Head and Neck: Current Insights and Future Directions. Journal of Clinical Medicine. 2025; 14(7):2298. https://doi.org/10.3390/jcm14072298
Chicago/Turabian StyleStawarz, Katarzyna, Adam Galazka, Magdalena Misiak-Galazka, Monika Durzynska, Anna Gorzelnik, Karolina Bienkowska-Pluta, Jacek Korzon, Filip Kissin, and Jakub Zwolinski. 2025. "Advances in Skin Ultrasonography for Malignant and Benign Tumors of the Head and Neck: Current Insights and Future Directions" Journal of Clinical Medicine 14, no. 7: 2298. https://doi.org/10.3390/jcm14072298
APA StyleStawarz, K., Galazka, A., Misiak-Galazka, M., Durzynska, M., Gorzelnik, A., Bienkowska-Pluta, K., Korzon, J., Kissin, F., & Zwolinski, J. (2025). Advances in Skin Ultrasonography for Malignant and Benign Tumors of the Head and Neck: Current Insights and Future Directions. Journal of Clinical Medicine, 14(7), 2298. https://doi.org/10.3390/jcm14072298

