Sturge–Weber Syndrome: A Narrative Review of Clinical Presentation and Updates on Management
Abstract
1. Introduction
2. Epidemiology and Outcomes
3. Genetics and Etiopathogenesis
4. Clinical Features
4.1. Neurological Abnormalities
4.1.1. Seizures and Drug-Resistant Epilepsy
4.1.2. Stroke-like Episodes
4.1.3. Migraines and Headaches
4.1.4. Intellectual Disability and Behavioral Problems
4.2. Cutaneous Manifestations
4.3. Ocular Manifestations
4.4. Endocrine Abnormalities
5. Diagnosis and Management
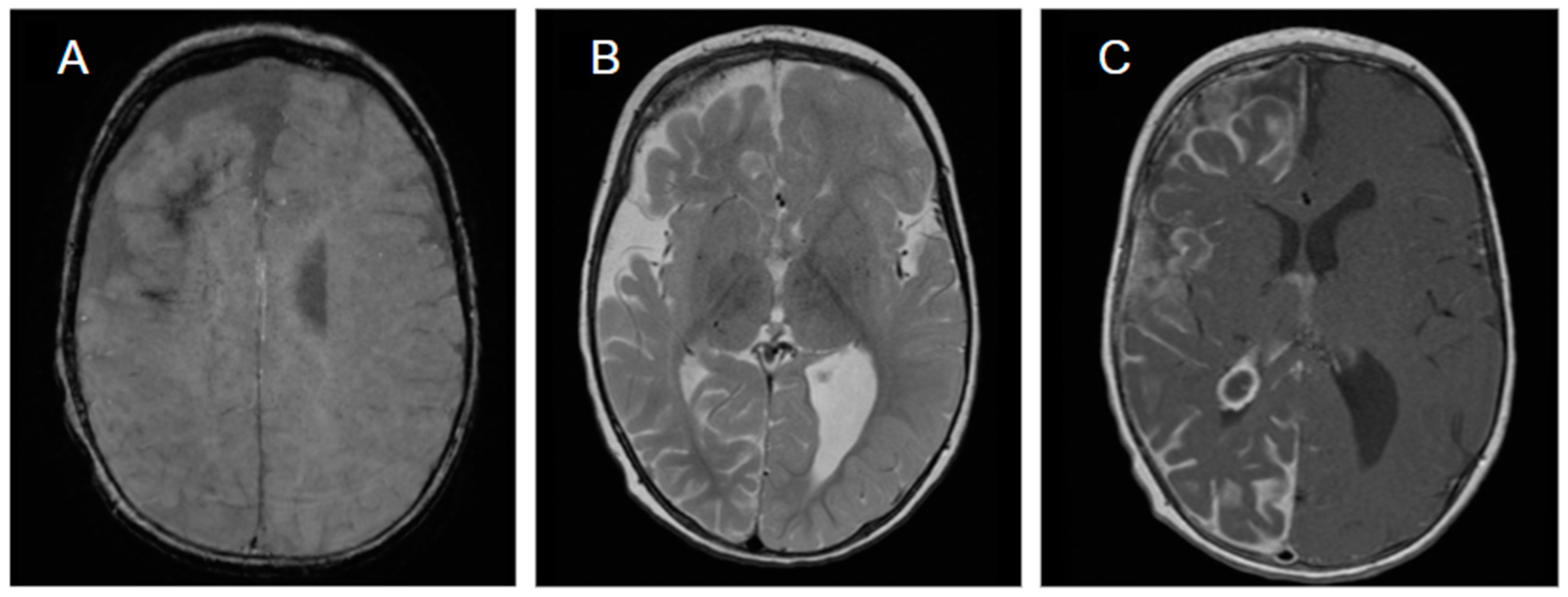
5.1. Diagnosis
5.2. Epilepsy Management
5.2.1. Medical Management of Seizures and Epilepsy
5.2.2. Surgical Management of Drug-Resistant Epilepsy
5.2.3. Additional Management Strategies in Seizure and Epilepsy
5.3. Glaucoma and Ocular Issues
5.4. Port Wine Birthmark
5.5. Measures to Improve Quality of Life
6. Newer Therapies
6.1. Cannabidiol (CBD)
6.2. mTOR Inhibitors
7. Conclusions and Future Directions
Author Contributions
Funding
Acknowledgments
Conflicts of Interest
Abbreviations
| ASM | anti-seizure medication |
| CBD | Cannabidiol |
| CM | capillary malformations |
| EEG | electroencephalography |
| GNAQ gene | G protein guanine Nucleotide-binding protein Alpha subunit q |
| GPR | G protein-coupled receptor |
| MRI | magnetic resonance imaging |
| mTOR | mechanistic Target of Rapamycin |
| NF | neurofibromatosis |
| PDL | pulsed dye laser |
| PW | port wine birthmark |
| QoL | quality of life |
| SWS | Sturge–Weber Syndrome |
| SWS-NRS | Sturge–Weber Syndrome Neurological Rating Score |
| VEGF | vascular endothelial growth factor |
References
- Comi, A.M. Sturge-Weber syndrome. Handb. Clin. Neurol. 2015, 132, 157–168. [Google Scholar] [CrossRef] [PubMed]
- Rihani, H.T.; Dalvin, L.A.; Hodge, D.O.; Pulido, J.S. Incidence of Sturge-Weber syndrome and associated ocular involvement in Olmsted County, Minnesota, United States. Ophthalmic Genet. 2020, 41, 108–124. [Google Scholar] [CrossRef] [PubMed]
- Ha, A.; Kim, S.H.; Baek, S.U.; Kim, J.S.; Yoon, H.J.; Kim, Y.K. Incidence of Sturge-Weber Syndrome and Risk of Secondary Glaucoma: A Nationwide Population-based Study Using a Rare Disease Registry. Am. J. Ophthalmol. 2023, 247, 121–126. [Google Scholar] [CrossRef]
- Barbour, K.; Tian, N.; Yozawitz, E.G.; Wolf, S.; McGoldrick, P.E.; Sands, T.T.; Nelson, A.; Basma, N.; Grinspan, Z.M. Population-based study of rare epilepsy incidence in a US urban population. Epilepsia 2024, 65, 2341–2353. [Google Scholar] [CrossRef]
- Nabbout, R.; Juhasz, C. Sturge-Weber syndrome. Handb. Clin. Neurol. 2013, 111, 315–321. [Google Scholar] [CrossRef] [PubMed]
- Alkonyi, B.; Chugani, H.T.; Karia, S.; Behen, M.E.; Juhasz, C. Clinical outcomes in bilateral Sturge-Weber syndrome. Pediatr. Neurol. 2011, 44, 443–449. [Google Scholar] [CrossRef]
- Rasmussen, S.A.; Yang, Q.; Friedman, J.M. Mortality in neurofibromatosis 1: An analysis using U.S. death certificates. Am. J. Hum. Genet. 2001, 68, 1110–1118. [Google Scholar] [CrossRef]
- Huang, L.; Couto, J.A.; Pinto, A.; Alexandrescu, S.; Madsen, J.R.; Greene, A.K.; Sahin, M.; Bischoff, J. Somatic GNAQ Mutation is Enriched in Brain Endothelial Cells in Sturge-Weber Syndrome. Pediatr. Neurol. 2017, 67, 59–63. [Google Scholar] [CrossRef]
- Yeom, S.; Comi, A.M. Updates on Sturge-Weber Syndrome. Stroke 2022, 53, 3769–3779. [Google Scholar] [CrossRef]
- Joslyn, K.E.; Truver, N.F.; Comi, A.M. A Review of Sturge-Weber Syndrome Brain Involvement, Cannabidiol Treatment and Molecular Pathways. Molecules 2024, 29, 5279. [Google Scholar] [CrossRef]
- Solomon, C.; Comi, A. Sturge-Weber syndrome: Updates in translational neurology. Front. Neurol. 2024, 15, 1493873. [Google Scholar] [CrossRef]
- Sanchez-Espino, L.F.; Ivars, M.; Antonanzas, J.; Baselga, E. Sturge-Weber Syndrome: A Review of Pathophysiology, Genetics, Clinical Features, and Current Management Approache. Appl. Clin. Genet. 2023, 16, 63–81. [Google Scholar] [CrossRef]
- Comi, A.M. Presentation, diagnosis, pathophysiology, and treatment of the neurological features of Sturge-Weber syndrome. Neurologist 2011, 17, 179–184. [Google Scholar] [CrossRef] [PubMed]
- Dompmartin, A.; van der Vleuten, C.J.M.; Dekeuleneer, V.; Duprez, T.; Revencu, N.; Desir, J.; Te Loo, D.; Flucke, U.; Eijkelenboom, A.; Schultze Kool, L.; et al. GNA11-mutated Sturge-Weber syndrome has distinct neurological and dermatological features. Eur. J. Neurol. 2022, 29, 3061–3070. [Google Scholar] [CrossRef]
- Kossoff, E.H.; Hatfield, L.A.; Ball, K.L.; Comi, A.M. Comorbidity of epilepsy and headache in patients with Sturge-Weber syndrome. J. Child. Neurol. 2005, 20, 678–682. [Google Scholar] [CrossRef] [PubMed]
- Sugano, H.; Iimura, Y.; Igarashi, A.; Nakazawa, M.; Suzuki, H.; Mitsuhashi, T.; Nakajima, M.; Higo, T.; Ueda, T.; Nakanishi, H.; et al. Extent of Leptomeningeal Capillary Malformation is Associated with Severity of Epilepsy in Sturge-Weber Syndrome. Pediatr. Neurol. 2021, 117, 64–71. [Google Scholar] [CrossRef] [PubMed]
- Miyata, H.; Kuwashige, H.; Hori, T.; Kubota, Y.; Pieper, T.; Coras, R.; Blumcke, I.; Yoshida, Y. Variable histopathology features of neuronal dyslamination in the cerebral neocortex adjacent to epilepsy-associated vascular malformations suggest complex pathogenesis of focal cortical dysplasia ILAE type IIIc. Brain Pathol. 2022, 32, e13052. [Google Scholar] [CrossRef]
- Lance, E.I.; Sreenivasan, A.K.; Zabel, T.A.; Kossoff, E.H.; Comi, A.M. Aspirin use in Sturge-Weber syndrome: Side effects and clinical outcomes. J. Child. Neurol. 2013, 28, 213–218. [Google Scholar] [CrossRef]
- Aimee, F.L.; Aimee, F.L.; Csaba, J.; Csaba, J.; Jeffrey, A.L.; Jeffrey, A.L.; Jeffrey, A.L.; Jeffrey, A.L.; Harry, T.C.; Harry, T.C.; et al. Neurological Complications of Sturge-Weber Syndrome: Current Status and Unmet Needs. Pediatr. Neurol. 2019, 98, 31–38. [Google Scholar] [CrossRef]
- Ferretti, A.; Muscianese, M.; Fanfoni, C.; Bellone, G.; Mennini, M.; Di, G.N.; Abdolrahimzadeh, S.; De, G.M.; Orsini, A.; Foiadelli, T.; et al. Headache in Sturge-Weber syndrome: A systematic review. Cephalalgia Int. J. Headache 2024, 44, 03331024241265881. [Google Scholar] [CrossRef]
- Pascual-Castroviejo, I.; Diaz-Gonzalez, C.; Garcia-Melian, R.M.; Gonzalez-Casado, I.; Munoz-Hiraldo, E. Sturge-Weber syndrome: Study of 40 patients. Pediatr. Neurol. 1993, 9, 283–288. [Google Scholar] [CrossRef]
- Sujansky, E.; Conradi, S. Outcome of Sturge-Weber syndrome in 52 adults. Am. J. Med. Genet. 1995, 57, 35–45. [Google Scholar] [CrossRef] [PubMed]
- Chapieski, L.; Friedman, A.; Lachar, D. Psychological functioning in children and adolescents with Sturge-Weber syndrome. J. Child. Neurol. 2000, 15, 660–665. [Google Scholar] [CrossRef] [PubMed]
- Gittins, S.; Steel, D.; Brunklaus, A.; Newsom-Davis, I.; Hawkins, C.; Aylett, S.E. Autism spectrum disorder, social communication difficulties, and developmental comorbidities in Sturge-Weber syndrome. Epilepsy Behav. 2018, 88, 1–4. [Google Scholar] [CrossRef]
- Hennedige, A.A.; Quaba, A.A.; Al-Nakib, K. Sturge-Weber syndrome and dermatomal facial port-wine stains: Incidence, association with glaucoma, and pulsed tunable dye laser treatment effectiveness. Plast. Reconstr. Surg. 2008, 121, 1173–1180. [Google Scholar] [CrossRef] [PubMed]
- Van Trigt, W.K.; Kelly, K.M.; Hughes, C.C.W. GNAQ mutations drive port wine birthmark-associated Sturge-Weber syndrome: A review of pathobiology, therapies, and current models. Front. Hum. Neurosci. 2022, 16, 1006027. [Google Scholar] [CrossRef]
- Bar, C.; Pedespan, J.M.; Boccara, O.; Garcelon, N.; Levy, R.; Grevent, D.; Boddaert, N.; Nabbout, R. Early magnetic resonance imaging to detect presymptomatic leptomeningeal angioma in children with suspected Sturge-Weber syndrome. Dev. Med. Child. Neurol. 2020, 62, 227–233. [Google Scholar] [CrossRef]
- Miller, R.S.; Ball, K.L.; Comi, A.M.; Germain-Lee, E.L. Growth hormone deficiency in Sturge-Weber syndrome. Arch. Dis. Child. 2006, 91, 340–341. [Google Scholar] [CrossRef]
- Comi, A.M.; Bellamkonda, S.; Ferenc, L.M.; Cohen, B.A.; Germain-Lee, E.L. Central hypothyroidism and Sturge-Weber syndrome. Pediatr. Neurol. 2008, 39, 58–62. [Google Scholar] [CrossRef]
- Sabeti, S.; Ball, K.L.; Bhattacharya, S.K.; Bitrian, E.; Blieden, L.S.; Brandt, J.D.; Burkhart, C.; Chugani, H.T.; Falchek, S.J.; Jain, B.G.; et al. Consensus Statement for the Management and Treatment of Sturge-Weber Syndrome: Neurology, Neuroimaging, and Ophthalmology Recommendations. Pediatr. Neurol. 2021, 121, 59–66. [Google Scholar] [CrossRef]
- Smegal, L.F.; Vedmurthy, P.; Ryan, M.; Eagen, M.; Andrejow, N.W.; Sweeney, K.; Reidy, T.G.; Yeom, S.; Lin, D.D.; Suskauer, S.J.; et al. Cannabidiol Treatment for Neurological, Cognitive, and Psychiatric Symptoms in Sturge-Weber Syndrome. Pediatr. Neurol. 2023, 139, 24–34. [Google Scholar] [CrossRef] [PubMed]
- De la Torre, A.J.; Luat, A.F.; Juhasz, C.; Ho, M.L.; Argersinger, D.P.; Cavuoto, K.M.; Enriquez-Algeciras, M.; Tikkanen, S.; North, P.; Burkhart, C.N.; et al. A Multidisciplinary Consensus for Clinical Care and Research Needs for Sturge-Weber Syndrome. Pediatr. Neurol. 2018, 84, 11–20. [Google Scholar] [CrossRef] [PubMed]
- Sabeti, S.; Ball, K.L.; Burkhart, C.; Eichenfield, L.; Fernandez Faith, E.; Frieden, I.J.; Geronemus, R.; Gupta, D.; Krakowski, A.C.; Levy, M.L.; et al. Consensus Statement for the Management and Treatment of Port-Wine Birthmarks in Sturge-Weber Syndrome. JAMA Dermatol. 2021, 157, 98–104. [Google Scholar] [CrossRef] [PubMed]
- El Hachem, M.; Diociaiuti, A.; Galeotti, A.; Grussu, F.; Gusson, E.; Ferretti, A.; Marras, C.E.; Vecchio, D.; Cappelletti, S.; Severino, M.; et al. Multidisciplinary, multicenter consensus for the care of patients affected with Sturge-Weber syndrome. Orphanet J. Rare Dis. 2025, 20, 28. [Google Scholar] [CrossRef]
- Smegal, L.F.; Sebold, A.J.; Hammill, A.M.; Juhasz, C.; Lo, W.D.; Miles, D.K.; Wilfong, A.A.; Levin, A.V.; Fisher, B.; Ball, K.L.; et al. Multicenter Research Data of Epilepsy Management in Patients with Sturge-Weber Syndrome. Pediatr. Neurol. 2021, 119, 3–10. [Google Scholar] [CrossRef]
- Kaplan, E.H.; Kossoff, E.H.; Bachur, C.D.; Gholston, M.; Hahn, J.; Widlus, M.; Comi, A.M. Anticonvulsant Efficacy in Sturge-Weber Syndrome. Pediatr. Neurol. 2016, 58, 31–36. [Google Scholar] [CrossRef]
- Rosser, T. Neurocutaneous Disorders. CONTINUUM Lifelong Learn. Neurol. 2018, 24, 96–129. [Google Scholar] [CrossRef]
- Comi, A.M. Sturge-Weber syndrome and epilepsy: An argument for aggressive seizure management in these patients. Expert. Rev. Neurother. 2007, 7, 951–956. [Google Scholar] [CrossRef]
- Wang, S.; Pan, J.; Zhao, M.; Wang, X.; Zhang, C.; Li, T.; Wang, M.; Wang, J.; Zhou, J.; Liu, C.; et al. Characteristics, surgical outcomes, and influential factors of epilepsy in Sturge-Weber syndrome. Brain 2022, 145, 3431–3443. [Google Scholar] [CrossRef]
- Tuxhorn, I.E.; Pannek, H.W. Epilepsy surgery in bilateral Sturge-Weber syndrome. Pediatr. Neurol. 2002, 26, 394–397. [Google Scholar] [CrossRef]
- Mozaffari, K.; Krishnakumar, A.; Chen, J.S.; Goel, K.; Wang, A.; Shlobin, N.A.; Weil, A.G.; Fallah, A. Seizure outcomes in children with Sturge-Weber syndrome undergoing epilepsy surgery: An individual participant data meta-analysis. Seizure 2023, 107, 43–51. [Google Scholar] [CrossRef] [PubMed]
- Wang, S.; Liu, Q.Z.; Zhao, R.; Zhai, X.; Zhang, K.; Cai, L.; Li, S.; Yang, Z.; Shan, Y.; Ma, K.; et al. Seizure, Motor, and Cognitive Outcomes After Epilepsy Surgery for Patients with Sturge-Weber Syndrome: Results From a Multicenter Study. Neurology 2024, 103, e209525. [Google Scholar] [CrossRef]
- Day, A.M.; Hammill, A.M.; Juhasz, C.; Pinto, A.L.; Roach, E.S.; McCulloch, C.E.; Comi, A.M.; National Institutes of Health Sponsor: Rare Diseases Clinical Research Network (RDCRN) Brain; Vascular Malformation Consortium (BVMC) SWS Investigator Group. Hypothesis: Presymptomatic treatment of Sturge-Weber Syndrome with Aspirin and Antiepileptic Drugs May Delay Seizure Onset. Pediatr. Neurol. 2019, 90, 8–12. [Google Scholar] [CrossRef]
- Farrar, N.; Yan, D.B.; Johnson, M. Modeling the effects of glaucoma surgery on intraocular pressure. Exp. Eye Res. 2021, 209, 108620. [Google Scholar] [CrossRef] [PubMed]
- Karaconji, T.; Ting, E.R.; Zagora, S.L.; Ardern-Holmes, S.; Jamieson, R.V.; Grigg, J.R. Surgical Treatment for SWS Glaucoma: Experience From a Tertiary Referral Pediatric Hospital. J. Glaucoma 2020, 29, 1132–1137. [Google Scholar] [CrossRef] [PubMed]
- Li, T.; Lindsley, K.; Rouse, B.; Hong, H.; Shi, Q.; Friedman, D.S.; Wormald, R.; Dickersin, K. Comparative Effectiveness of First-Line Medications for Primary Open-Angle Glaucoma: A Systematic Review and Network Meta-analysis. Ophthalmology 2016, 123, 129–140. [Google Scholar] [CrossRef]
- Silverstein, M.; Salvin, J. Ocular manifestations of Sturge-Weber syndrome. Curr. Opin. Ophthalmol. 2019, 30, 301–305. [Google Scholar] [CrossRef]
- Chou, M.; Karim, M.; Josephs, J.; Itzkowitz, T.; Dreker, M.R.; Labadie, J.G. Pulsed dye laser and adjuvant topical therapies for the treatment of port-wine stains: A systematic review. Lasers Surg. Med. 2024, 56, 39–44. [Google Scholar] [CrossRef]
- Sebold, A.J.; Day, A.M.; Ewen, J.; Adamek, J.; Byars, A.; Cohen, B.; Kossoff, E.H.; Mizuno, T.; Ryan, M.; Sievers, J.; et al. Sirolimus Treatment in Sturge-Weber Syndrome. Pediatr. Neurol. 2021, 115, 29–40. [Google Scholar] [CrossRef]
- Marques, L.; Nunez-Cordoba, J.M.; Aguado, L.; Pretel, M.; Boixeda, P.; Nagore, E.; Baselga, E.; Redondo, P. Topical rapamycin combined with pulsed dye laser in the treatment of capillary vascular malformations in Sturge-Weber syndrome: Phase II, randomized, double-blind, intraindividual placebo-controlled clinical trial. J. Am. Acad. Dermatol. 2015, 72, 151–158.e1. [Google Scholar] [CrossRef]
- Harmon, K.A.; Day, A.M.; Hammill, A.M.; Pinto, A.L.; McCulloch, C.E.; Comi, A.M.; National Institutes of Health Rare Disease Clinical Research Consortium (RDCRN) Brain; Vascular Malformation Consortium (BVMC) SWS Investigator Group. Quality of Life in Children with Sturge-Weber Syndrome. Pediatr. Neurol. 2019, 101, 26–32. [Google Scholar] [CrossRef]
- Sebold, A.J.; Ahmed, A.S.; Ryan, T.C.; Cohen, B.A.; Jampel, H.D.; Suskauer, S.J.; Zabel, T.A.; Comi, A.M.; Rybczynski, S. Suicide Screening in Sturge-Weber Syndrome: An Important Issue in Need of Further Study. Pediatr. Neurol. 2020, 110, 80–86. [Google Scholar] [CrossRef]
- Reidy, T.G.; Suskauer, S.J.; Bachur, C.D.; McCulloch, C.E.; Comi, A.M. Preliminary reliability and validity of a battery for assessing functional skills in children with Sturge-Weber syndrome. Childs Nerv. Syst. 2014, 30, 2027–2036. [Google Scholar] [CrossRef] [PubMed]
- Hadjinicolaou, A.; Quinlan, A.; Liu, S.; Zhang, B.; Takeoka, M.; Sahin, M.; Prabhu, S.P.; Pinto, A.L. Variation in neuroimaging and outcomes in patients with Sturge Weber syndrome Type III. Brain Dev. 2024, 46, 244–249. [Google Scholar] [CrossRef]
- Kossoff, E.H.; Bachur, C.D.; Quain, A.M.; Ewen, J.B.; Comi, A.M. EEG evolution in Sturge-Weber syndrome. Epilepsy Res. 2014, 108, 816–819. [Google Scholar] [CrossRef] [PubMed]
- Golub, V.; Reddy, D.S. Cannabidiol Therapy for Refractory Epilepsy and Seizure Disorders. In Cannabinoids and Neuropsychiatric Disorders; Murillo-Rodriguez, E., Pandi-Perumal, S.R., Monti, J.M., Eds.; Springer International Publishing: Cham, Switzerland, 2021; pp. 93–110. [Google Scholar]
- Moreira, F.A.; de Oliveira, A.C.P.; Santos, V.R.; Moraes, M.F.D. Chapter Seven—Cannabidiol and epilepsy. In International Review of Neurobiology; Del-Bel, E., Gomes, F.V., Lisboa, S.F., Eds.; Academic Press: Cambridge, MA, USA, 2024; Volume 177, pp. 135–147. [Google Scholar]
- Talwar, A.; Estes, E.; Aparasu, R.; Reddy, D.S. Clinical efficacy and safety of cannabidiol for pediatric refractory epilepsy indications: A systematic review and meta-analysis. Exp. Neurol. 2023, 359, 114238. [Google Scholar] [CrossRef]
- Chuang, S.H.; Westenbroek, R.E.; Stella, N.; Catterall, W.A. Combined Antiseizure Efficacy of Cannabidiol and Clonazepam in a Conditional Mouse Model of Dravet Syndrome. J. Exp. Neurol. 2021, 2, 81–85. [Google Scholar] [CrossRef] [PubMed]
- Kaplan, E.H.; Offermann, E.A.; Sievers, J.W.; Comi, A.M. Cannabidiol Treatment for Refractory Seizures in Sturge-Weber Syndrome. Pediatr. Neurol. 2017, 71, 18–23.e12. [Google Scholar] [CrossRef]
- Golub, V.; Ramakrishnan, S.; Reddy, D.S. Isobolographic analysis of adjunct antiseizure activity of the FDA-approved cannabidiol with neurosteroids and benzodiazepines in adult refractory focal onset epilepsy. Exp. Neurol. 2023, 360, 114294. [Google Scholar] [CrossRef]
- Caraballo, R.H.; Reyes Valenzuela, G.; Fortini, S.; Espeche, A.; Gamboni, B.; Silva, W.; Semprino, M.; Fasulo, L.; Chacon, S.; Gallo, A.; et al. Cannabidiol in children with treatment-resistant epilepsy with myoclonic-atonic seizures. Epilepsy Behav. 2023, 143, 109245. [Google Scholar] [CrossRef]
- Szaflarski, J.P.; Bebin, E.M.; Comi, A.M.; Patel, A.D.; Joshi, C.; Checketts, D.; Beal, J.C.; Laux, L.C.; De Boer, L.M.; Wong, M.H.; et al. Long-term safety and treatment effects of cannabidiol in children and adults with treatment-resistant epilepsies: Expanded access program results. Epilepsia 2018, 59, 1540–1548. [Google Scholar] [CrossRef] [PubMed]
- Sun, B.; Han, T.; Wang, Y.; Gao, Q.; Cui, J.; Shen, W. Sirolimus as a Potential Treatment for Sturge-Weber Syndrome. J. Craniofacial Surg. 2021, 32, 257–260. [Google Scholar] [CrossRef]
- Giacaman, A.; Salinas Sanz, J.A.; Navarro Noguera, S.; Lastra Rodriguez, J.; Montis Palos, M.C.; Martin-Santiago, A. Facial hemihypertrophy in a girl with sturge-weber syndrome: Treatment with oral sirolimus. Pediatr. Dermatol. 2021, 38, 469–471. [Google Scholar] [CrossRef] [PubMed]
- Kalantary, A.; Halbert, A.; Franchina, M.; Heath Jeffery, R.C.; O’Day, R.; Chen, F.K. Oral Sirolimus for Diffuse Choroidal Hemangioma in Sturge-Weber Syndrome. JAMA Ophthalmol. 2024, 142, 585–587. [Google Scholar] [CrossRef]




Disclaimer/Publisher’s Note: The statements, opinions and data contained in all publications are solely those of the individual author(s) and contributor(s) and not of MDPI and/or the editor(s). MDPI and/or the editor(s) disclaim responsibility for any injury to people or property resulting from any ideas, methods, instructions or products referred to in the content. |
© 2025 by the authors. Licensee MDPI, Basel, Switzerland. This article is an open access article distributed under the terms and conditions of the Creative Commons Attribution (CC BY) license (https://creativecommons.org/licenses/by/4.0/).
Share and Cite
Shah, A.D.; Alexieff, P.; Tatachar, P. Sturge–Weber Syndrome: A Narrative Review of Clinical Presentation and Updates on Management. J. Clin. Med. 2025, 14, 2182. https://doi.org/10.3390/jcm14072182
Shah AD, Alexieff P, Tatachar P. Sturge–Weber Syndrome: A Narrative Review of Clinical Presentation and Updates on Management. Journal of Clinical Medicine. 2025; 14(7):2182. https://doi.org/10.3390/jcm14072182
Chicago/Turabian StyleShah, Aarnav D., Peter Alexieff, and Priyamvada Tatachar. 2025. "Sturge–Weber Syndrome: A Narrative Review of Clinical Presentation and Updates on Management" Journal of Clinical Medicine 14, no. 7: 2182. https://doi.org/10.3390/jcm14072182
APA StyleShah, A. D., Alexieff, P., & Tatachar, P. (2025). Sturge–Weber Syndrome: A Narrative Review of Clinical Presentation and Updates on Management. Journal of Clinical Medicine, 14(7), 2182. https://doi.org/10.3390/jcm14072182

