Review of the Diagnosis and Management of Pulmonary Hypertension Associated with Interstitial Lung Disease (ILD-PH)
Abstract
1. Introduction
2. Definitions
3. Epidemiology
3.1. Prevalence and Incidence of ILD-PH
3.2. PH in CTD-ILD
3.3. PH in Combined Pulmonary Fibrosis and Emphysema
3.4. Outcomes in ILD-PH
4. Pathogenesis
5. Diagnostics Suggestive of ILD-PH
5.1. Clinical Features
5.2. Biomarkers
5.3. Physiologic Testing
5.4. Functional Testing
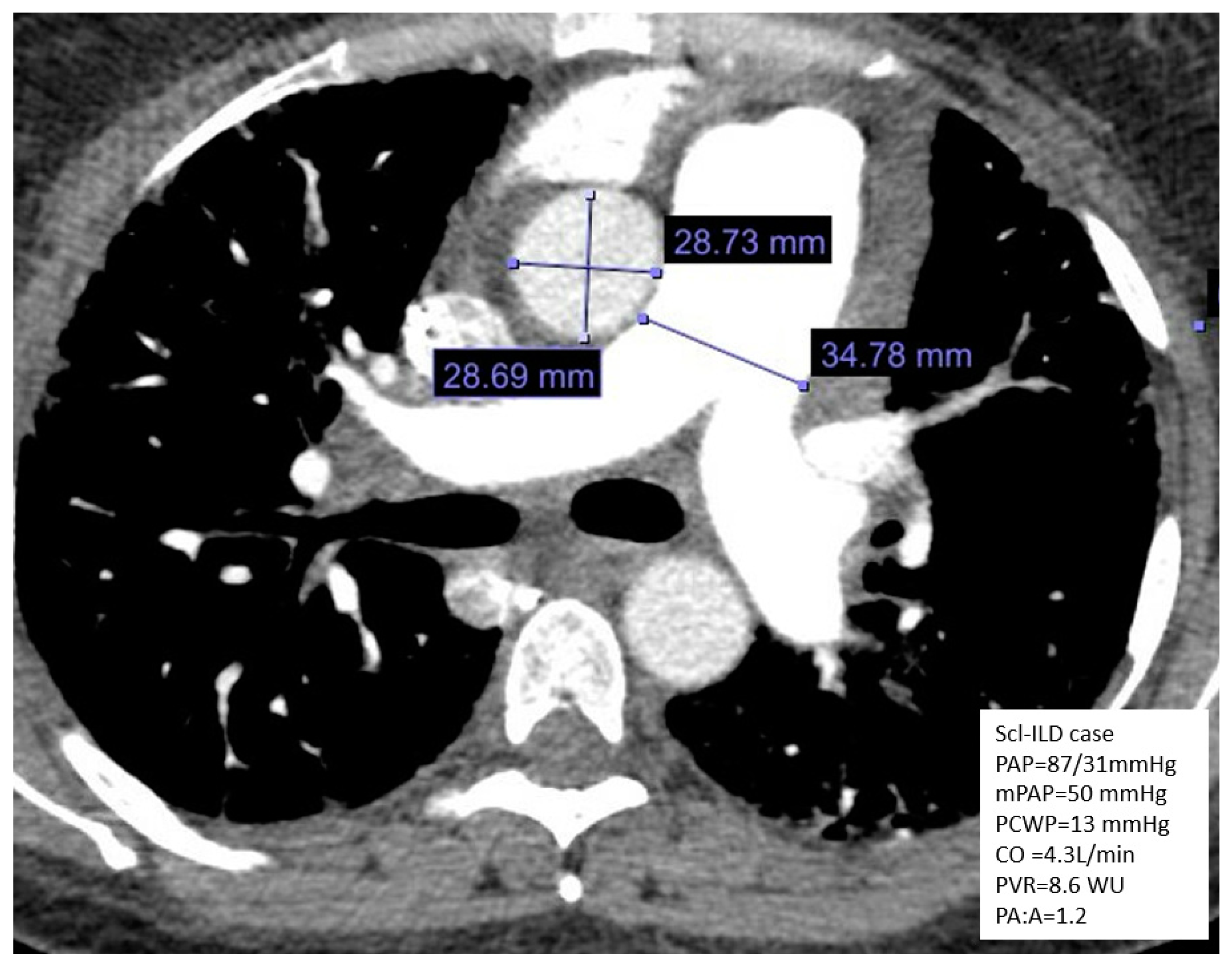
5.5. CT Imaging
5.6. Echocardiography
5.7. Prediction Models
5.8. Hemodynamic Profile
5.9. Distinguishing PAH from PH Due to Lung Disease
6. Management of ILD-PH
7. Pharmacological Management of ILD-PH
7.1. Endothelin Receptor Antagonists (ERAs)
7.2. Riociguat
7.3. Phosphodiesterase 5 (PDE5) Inhibitors
7.4. Prostanoids
7.5. Clinical Trials in ILD-PH
8. Future Directions
9. Conclusions
Funding
Conflicts of Interest
Abbreviations
References
- Kovacs, G.; Bartolome, S.; Denton, C.P.; Gatzoulis, M.A.; Gu, S.; Khanna, D.; Badesch, D.; Montani, D. Definition, classification and diagnosis of pulmonary hypertension. Eur. Respir. J. 2024, 64, 2401324. [Google Scholar] [CrossRef] [PubMed]
- Shlobin, O.A.; Adir, Y.; Barbera, J.A.; Cottin, V.; Harari, S.; Jutant, E.M.; Pepke-Zaba, J.; Ghofrani, H.A.; Channick, R. Pulmonary hypertension associated with lung diseases. Eur. Respir. J. 2024, 64, 820–835. [Google Scholar] [CrossRef] [PubMed]
- Humbert, M.; Kovacs, G.; Hoeper, M.M.; Badagliacca, R.; Berger, R.M.F.; Brida, M.; Carlsen, J.; Coats, A.J.S.; Escribano-Subias, P.; Ferrari, P.; et al. 2022 ESC/ERS Guidelines for the diagnosis and treatment of pulmonary hypertension. Eur. Heart J. 2022, 43, 3618–3731. [Google Scholar] [CrossRef]
- Nathan, S.D.; Barbera, J.A.; Gaine, S.P.; Harari, S.; Martinez, F.J.; Olschewski, H.; Olsson, K.M.; Peacock, A.J.; Pepke-Zaba, J.; Provencher, S.; et al. Pulmonary hypertension in chronic lung disease and hypoxia. Eur. Respir. J. 2019, 53, 1801914. [Google Scholar] [CrossRef] [PubMed]
- Sato, T.; Furukawa, T.; Teramachi, R.; Fukihara, J.; Yamano, Y.; Yokoyama, T.; Matsuda, T.; Kataoka, K.; Kimura, T.; Sakamoto, K.; et al. Mild elevation of pulmonary vascular resistance predicts mortality regardless of mean pulmonary artery pressure in mild interstitial lung disease. Thorax 2024, 79, 422–429. [Google Scholar] [CrossRef]
- Jeganathan, N.; Sathananthan, M. The prevalence and burden of interstitial lung diseases in the USA. ERJ Open Res. 2022, 8, 00630-2021. [Google Scholar] [CrossRef]
- Nathan, S.D.; Barnett, S.D.; King, C.S.; Provencher, S.; Barbera, J.A.; Pastre, J.; Shlobin, O.A.; Seeger, W. Impact of the new definition for pulmonary hypertension in patients with lung disease: An analysis of the United Network for Organ Sharing database. Pulm. Circ. 2021, 11, 2045894021999960. [Google Scholar] [CrossRef] [PubMed]
- Ang, H.L.; Schulte, M.; Chan, R.K.; Tan, H.H.; Harrison, A.; Ryerson, C.J.; Khor, Y.H. Pulmonary Hypertension in Interstitial Lung Disease: A Systematic Review and Meta-Analysis. Chest 2024, 166, 778–792. [Google Scholar] [CrossRef]
- Nikkho, S.M.; Richter, M.J.; Shen, E.; Abman, S.H.; Antoniou, K.; Chung, J.; Fernandes, P.; Hassoun, P.; Lazarus, H.M.; Olschewski, H.; et al. Clinical significance of pulmonary hypertension in interstitial lung disease: A consensus statement from the Pulmonary Vascular Research Institute’s innovative drug development initiative-Group 3 pulmonary hypertension. Pulm. Circ. 2022, 12, e12127. [Google Scholar] [CrossRef]
- Shorr, A.F.; Wainright, J.L.; Cors, C.S.; Lettieri, C.J.; Nathan, S.D. Pulmonary hypertension in patients with pulmonary fibrosis awaiting lung transplant. Eur. Respir. J. 2007, 30, 715–721. [Google Scholar] [CrossRef]
- Nathan, S.D.; Shlobin, O.A.; Ahmad, S.; Koch, J.; Barnett, S.D.; Ad, N.; Burton, N.; Leslie, K. Serial development of pulmonary hypertension in patients with idiopathic pulmonary fibrosis. Respiration 2008, 76, 288–294. [Google Scholar] [CrossRef] [PubMed]
- Todd, N.W.; Lavania, S.; Park, M.H.; Iacono, A.T.; Franks, T.J.; Galvin, J.R.; Jeudy, J.; Britt, E.J.; Luzina, I.G.; Hasday, J.D.; et al. Variable prevalence of pulmonary hypertension in patients with advanced interstitial pneumonia. J. Heart Lung Transplant. 2010, 29, 188–194. [Google Scholar] [CrossRef]
- Raghu, G.; Nathan, S.D.; Behr, J.; Brown, K.K.; Egan, J.J.; Kawut, S.M.; Flaherty, K.R.; Martinez, F.J.; Wells, A.U.; Shao, L.; et al. Pulmonary hypertension in idiopathic pulmonary fibrosis with mild-to-moderate restriction. Eur. Respir. J. 2015, 46, 1370–1377. [Google Scholar] [CrossRef] [PubMed]
- Tyagi, R.; Kant, S.; Verma, S.K.; Kushwaha, R.A.S.; Kumar, S.; Garg, R.; Verma, A.K.; Srivastava, A.; Bajaj, D.K.; Wakhlu, A.; et al. Spectrum of interstitial lung diseases and their association with pulmonary hypertension. Monaldi Arch. Chest Dis. 2021, 92, 2027. [Google Scholar] [CrossRef]
- Young, A.; Vummidi, D.; Visovatti, S.; Homer, K.; Wilhalme, H.; White, E.S.; Flaherty, K.; McLaughlin, V.; Khanna, D. Prevalence, Treatment, and Outcomes of Coexistent Pulmonary Hypertension and Interstitial Lung Disease in Systemic Sclerosis. Arthritis Rheumatol. 2019, 71, 1339–1349. [Google Scholar] [CrossRef]
- Cottin, V.; Nunes, H.; Mouthon, L.; Gamondes, D.; Lazor, R.; Hachulla, E.; Revel, D.; Valeyre, D.; Cordier, J.F.; Groupe d’Etudes et de Recherche sur les Maladies “Orphelines, P. Combined pulmonary fibrosis and emphysema syndrome in connective tissue disease. Arthritis Rheum. 2011, 63, 295–304. [Google Scholar] [CrossRef]
- King, C.S.; Brown, A.W.; Shlobin, O.A.; Weir, N.; Libre, M.; Franco-Palacios, D.; Ahmad, S.; Nathan, S.D. Prevalence and impact of WHO group 3 pulmonary hypertension in advanced idiopathic nonspecific interstitial pneumonia. Eur. Respir. J. 2018, 52, 1800545. [Google Scholar] [CrossRef] [PubMed]
- Cottin, V.; Nunes, H.; Brillet, P.Y.; Delaval, P.; Devouassoux, G.; Tillie-Leblond, I.; Israel-Biet, D.; Court-Fortune, I.; Valeyre, D.; Cordier, J.F.; et al. Combined pulmonary fibrosis and emphysema: A distinct underrecognised entity. Eur. Respir. J. 2005, 26, 586–593. [Google Scholar] [CrossRef]
- Oliveira, R.K.; Pereira, C.A.; Ramos, R.P.; Ferreira, E.V.; Messina, C.M.; Kuranishi, L.T.; Gimenez, A.; Campos, O.; Silva, C.M.; Ota-Arakaki, J.S. A haemodynamic study of pulmonary hypertension in chronic hypersensitivity pneumonitis. Eur. Respir. J. 2014, 44, 415–424. [Google Scholar] [CrossRef]
- Hinchcliff, M.; Fischer, A.; Schiopu, E.; Steen, V.D.; Investigators, P. Pulmonary Hypertension Assessment and Recognition of Outcomes in Scleroderma (PHAROS): Baseline characteristics and description of study population. J. Rheumatol. 2011, 38, 2172–2179. [Google Scholar] [CrossRef]
- Coghlan, J.G.; Denton, C.P.; Grunig, E.; Bonderman, D.; Distler, O.; Khanna, D.; Muller-Ladner, U.; Pope, J.E.; Vonk, M.C.; Doelberg, M.; et al. Evidence-based detection of pulmonary arterial hypertension in systemic sclerosis: The DETECT study. Ann. Rheum. Dis. 2014, 73, 1340–1349. [Google Scholar] [CrossRef] [PubMed]
- Udayakumar, N.; Venkatesan, S.; Rajendiran, C. Pulmonary hypertension in rheumatoid arthritis-relation with the duration of the disease. Int. J. Cardiol. 2008, 127, 410–412. [Google Scholar] [CrossRef]
- Shahane, A. Pulmonary hypertension in rheumatic diseases: Epidemiology and pathogenesis. Rheumatol. Int. 2013, 33, 1655–1667. [Google Scholar] [CrossRef] [PubMed]
- Reeves, G.E.; Collins, N.; Hayes, P.; Knapp, J.; Squance, M.; Tran, H.; Bastian, B. SAPHIRE: Stress and Pulmonary Hypertension in Rheumatoid Evaluation-A Prevalence Study. Int. J. Rheumatol. 2016, 2016, 4564531. [Google Scholar] [CrossRef] [PubMed]
- Cottin, V.; Selman, M.; Inoue, Y.; Wong, A.W.; Corte, T.J.; Flaherty, K.R.; Han, M.K.; Jacob, J.; Johannson, K.A.; Kitaichi, M.; et al. Syndrome of Combined Pulmonary Fibrosis and Emphysema: An Official ATS/ERS/JRS/ALAT Research Statement. Am. J. Respir. Crit. Care Med. 2022, 206, e7–e41. [Google Scholar] [CrossRef]
- Zhao, A.; Gudmundsson, E.; Mogulkoc, N.; van Moorsel, C.; Corte, T.J.; Vasudev, P.; Romei, C.; Chapman, R.; Wallis, T.J.M.; Denneny, E.; et al. Mortality surrogates in combined pulmonary fibrosis and emphysema. Eur. Respir. J. 2024, 63, 2300127. [Google Scholar] [CrossRef]
- Lettieri, C.J.; Nathan, S.D.; Barnett, S.D.; Ahmad, S.; Shorr, A.F. Prevalence and outcomes of pulmonary arterial hypertension in advanced idiopathic pulmonary fibrosis. Chest 2006, 129, 746–752. [Google Scholar] [CrossRef]
- Chebib, N.; Mornex, J.F.; Traclet, J.; Philit, F.; Khouatra, C.; Zeghmar, S.; Turquier, S.; Cottin, V. Pulmonary hypertension in chronic lung diseases: Comparison to other pulmonary hypertension groups. Pulm. Circ. 2018, 8, 2045894018775056. [Google Scholar] [CrossRef]
- Alhamad, E.H.; Cal, J.G.; Alrajhi, N.N.; Alharbi, W.M. Predictors of Mortality in Patients with Interstitial Lung Disease-Associated Pulmonary Hypertension. J. Clin. Med. 2020, 9, 3828. [Google Scholar] [CrossRef]
- Piccari, L.; Allwood, B.; Antoniou, K.; Chung, J.H.; Hassoun, P.M.; Nikkho, S.M.; Saggar, R.; Shlobin, O.A.; Vitulo, P.; Nathan, S.D.; et al. Pathogenesis, clinical features, and phenotypes of pulmonary hypertension associated with interstitial lung disease: A consensus statement from the Pulmonary Vascular Research Institute’s Innovative Drug Development Initiative—Group 3 Pulmonary Hypertension. Pulm. Circ. 2023, 13, e12213. [Google Scholar]
- Douschan, P.; Kovacs, G.; Avian, A.; Foris, V.; Gruber, F.; Olschewski, A.; Olschewski, H. Mild Elevation of Pulmonary Arterial Pressure as a Predictor of Mortality. Am. J. Respir. Crit. Care Med. 2018, 197, 509–516. [Google Scholar] [CrossRef]
- Behr, J.; Nathan, S.D. Pulmonary hypertension in interstitial lung disease: Screening, diagnosis and treatment. Curr. Opin. Pulm. Med. 2021, 27, 396–404. [Google Scholar] [CrossRef]
- Olsson, K.M.; Corte, T.J.; Kamp, J.C.; Montani, D.; Nathan, S.D.; Neubert, L.; Price, L.C.; Kiely, D.G. Pulmonary hypertension associated with lung disease: New insights into pathomechanisms, diagnosis, and management. Lancet Respir. Med. 2023, 11, 820–835. [Google Scholar] [CrossRef]
- Singh, I.; Ma, K.C.; Berlin, D.A. Pathophysiology of Pulmonary Hypertension in Chronic Parenchymal Lung Disease. Am. J. Med. 2016, 129, 366–371. [Google Scholar] [CrossRef] [PubMed]
- Budhiraja, R.; Tuder, R.M.; Hassoun, P.M. Endothelial dysfunction in pulmonary hypertension. Circulation 2004, 109, 159–165. [Google Scholar] [CrossRef] [PubMed]
- Alkhanfar, D.; Shahin, Y.; Alandejani, F.; Dwivedi, K.; Alabed, S.; Johns, C.; Lawrie, A.; Thompson, A.A.R.; Rothman, A.M.K.; Tschirren, J.; et al. Severe pulmonary hypertension associated with lung disease is characterised by a loss of small pulmonary vessels on quantitative computed tomography. ERJ Open Res. 2022, 8, 00503-2021. [Google Scholar] [CrossRef]
- Guignabert, C.; Aman, J.; Bonnet, S.; Dorfmuller, P.; Olschewski, A.J.; Pullamsetti, S.; Rabinovitch, M.; Schermuly, R.T.; Humbert, M.; Stenmark, K.R. Pathology and pathobiology of pulmonary hypertension: Current insights and future directions. Eur. Respir. J. 2024, 64, 2401095. [Google Scholar] [CrossRef] [PubMed]
- Jiang, Q.; Liu, C.; Liu, S.; Lu, W.; Li, Y.; Luo, X.; Ma, R.; Zhang, C.; Chen, H.; Chen, Y.; et al. Dysregulation of BMP9/BMPR2/SMAD signalling pathway contributes to pulmonary fibrosis and pulmonary hypertension induced by bleomycin in rats. Br. J. Pharmacol. 2021, 178, 203–216. [Google Scholar] [CrossRef]
- Chen, N.Y.; Collum, S.D.; Luo, F.; Weng, T.; Le, T.T.; Hernandez, A.M.; Philip, K.; Molina, J.G.; Garcia-Morales, L.J.; Cao, Y.; et al. Macrophage bone morphogenic protein receptor 2 depletion in idiopathic pulmonary fibrosis and Group III pulmonary hypertension. Am. J. Physiol. Lung Cell Mol. Physiol. 2016, 311, L238–L254. [Google Scholar] [CrossRef]
- Rahaghi, F.F.; Kolaitis, N.A.; Adegunsoye, A.; de Andrade, J.A.; Flaherty, K.R.; Lancaster, L.H.; Lee, J.S.; Levine, D.J.; Preston, I.R.; Safdar, Z.; et al. Screening Strategies for Pulmonary Hypertension in Patients With Interstitial Lung Disease: A Multidisciplinary Delphi Study. Chest 2022, 162, 145–155. [Google Scholar] [CrossRef]
- Waxman, A.B.; Elia, D.; Adir, Y.; Humbert, M.; Harari, S. Recent advances in the management of pulmonary hypertension with interstitial lung disease. Eur. Respir. Rev. 2022, 31, 210220. [Google Scholar] [CrossRef]
- Parikh, R.; Thomas, A.; Sharofi, A.; Moallem, N.; Fiscus, G.; Farber, H.W. Severe pulmonary hypertension-interstitial lung disease presenting as right ventricular failure: Stabilisation with intravenous prostacyclin and maintenance with inhaled prostacyclin. ERJ Open Res. 2024, 10, 00659-2023. [Google Scholar] [CrossRef] [PubMed]
- Song, J.W.; Song, J.K.; Kim, D.S. Echocardiography and brain natriuretic peptide as prognostic indicators in idiopathic pulmonary fibrosis. Respir. Med. 2009, 103, 180–186. [Google Scholar] [CrossRef] [PubMed]
- Corte, T.J.; Wort, S.J.; Gatzoulis, M.A.; Engel, R.; Giannakoulas, G.; Macdonald, P.M.; Wells, A.U. Elevated brain natriuretic peptide predicts mortality in interstitial lung disease. Eur. Respir. J. 2010, 36, 819–825. [Google Scholar] [CrossRef]
- Steen, V.D.; Graham, G.; Conte, C.; Owens, G.; Medsger, T.A., Jr. Isolated diffusing capacity reduction in systemic sclerosis. Arthritis Rheum. 1992, 35, 765–770. [Google Scholar] [CrossRef]
- Swigris, J.; Nathan, S.; Tighe, R.; Nagra, S.; Rabe, C.; Kelkhoff, D.; Switzer, T.; Kolatkar, N.; Belloni, P.; Golden, J. STARMAP: An observational study to assess disease-relevant outcomes using home-monitoring devices in patients with idiopathic pulmonary fibrosis (IPF). Eur. Respir. J. 2019, 54 (Suppl. S63), PA1333. [Google Scholar]
- Joseph, P.; Savarimuthu, S.; Zhao, J.; Yan, X.; Oakland, H.T.; Cullinan, M.; Heerdt, P.M.; Singh, I. Noninvasive determinants of pulmonary hypertension in interstitial lung disease. Pulm. Circ. 2023, 13, e12197. [Google Scholar] [CrossRef]
- King, C.S.; Shlobin, O.A. The Trouble With Group 3 Pulmonary Hypertension in Interstitial Lung Disease: Dilemmas in Diagnosis and the Conundrum of Treatment. Chest 2020, 158, 1651–1664. [Google Scholar] [CrossRef] [PubMed]
- Fisher, M.R.; Forfia, P.R.; Chamera, E.; Housten-Harris, T.; Champion, H.C.; Girgis, R.E.; Corretti, M.C.; Hassoun, P.M. Accuracy of Doppler echocardiography in the hemodynamic assessment of pulmonary hypertension. Am. J. Respir. Crit. Care Med. 2009, 179, 615–621. [Google Scholar] [CrossRef] [PubMed]
- Arslan, A.; Smith, J.; Qureshi, M.R.; Uysal, A.; Patel, K.K.; Herazo-Maya, J.D.; Bandyopadhyay, D. Evolution of pulmonary hypertension in interstitial lung disease: A journey through past, present, and future. Front. Med. 2023, 10, 1306032. [Google Scholar] [CrossRef]
- Zisman, D.A.; Ross, D.J.; Belperio, J.A.; Saggar, R.; Lynch, J.P., 3rd; Ardehali, A.; Karlamangla, A.S. Prediction of pulmonary hypertension in idiopathic pulmonary fibrosis. Respir. Med. 2007, 101, 2153–2159. [Google Scholar] [CrossRef] [PubMed]
- Furukawa, T.; Kondoh, Y.; Taniguchi, H.; Yagi, M.; Matsuda, T.; Kimura, T.; Kataoka, K.; Johkoh, T.; Ando, M.; Hashimoto, N.; et al. A scoring system to predict the elevation of mean pulmonary arterial pressure in idiopathic pulmonary fibrosis. Eur. Respir. J. 2018, 51, 1701311. [Google Scholar] [CrossRef]
- Bax, S.; Bredy, C.; Kempny, A.; Dimopoulos, K.; Devaraj, A.; Walsh, S.; Jacob, J.; Nair, A.; Kokosi, M.; Keir, G.; et al. A stepwise composite echocardiographic score predicts severe pulmonary hypertension in patients with interstitial lung disease. ERJ Open Res. 2018, 4, 00124-2017. [Google Scholar] [CrossRef]
- Sonti, R.; Gersten, R.A.; Barnett, S.; Brown, A.W.; Nathan, S.D. Multimodal noninvasive prediction of pulmonary hypertension in IPF. Clin. Respir. J. 2019, 13, 567–573. [Google Scholar] [CrossRef]
- Sobiecka, M.; Lewandowska, K.; Kober, J.; Franczuk, M.; Skoczylas, A.; Tomkowski, W.; Kus, J.; Szturmowicz, M. Can a New Scoring System Improve Prediction of Pulmonary Hypertension in Newly Recognised Interstitial Lung Diseases? Lung 2020, 198, 547–554. [Google Scholar] [CrossRef]
- Refini, R.M.; Bettini, G.; Kacerja, E.; Cameli, P.; d’Alessandro, M.; Bergantini, L.; De Negri, F.; Rottoli, P.; Sestini, P.; Bargagli, E.; et al. The role of the combination of echo-HRCT score as a tool to evaluate the presence of pulmonary hypertension in idiopathic pulmonary fibrosis. Intern. Emerg. Med. 2021, 16, 941–947. [Google Scholar] [CrossRef]
- Nathan, S.D.; Chandel, A.; Wang, Y.; Xu, J.; Shao, L.; Watkins, T.R.; Diviney, J.; King, C.S.; Han, L. Derivation and validation of a noninvasive prediction tool to identify pulmonary hypertension in patients with IPF: Evolution of the model FORD. J. Heart Lung Transplant. 2024, 43, 547–553. [Google Scholar] [CrossRef]
- Parikh, R.; Konstantinidis, I.; O’Sullivan, D.M.; Farber, H.W. Pulmonary hypertension in patients with interstitial lung disease: A tool for early detection. Pulm. Circ. 2022, 12, e12141. [Google Scholar] [CrossRef]
- Arvanitaki, A.; Diller, G.P.; Gatzoulis, M.A.; McCabe, C.; Price, L.C.; Wort, S.J. Noninvasive diagnostic modalities and prediction models for detecting pulmonary hypertension associated with interstitial lung disease: A narrative review. Eur. Respir. Rev. 2024, 33, 240092. [Google Scholar] [CrossRef]
- Singh, N.; Dorfmuller, P.; Shlobin, O.A.; Ventetuolo, C.E. Group 3 Pulmonary Hypertension: From Bench to Bedside. Circ. Res. 2022, 130, 1404–1422. [Google Scholar] [CrossRef]
- Flaherty, K.R.; Wells, A.U.; Cottin, V.; Devaraj, A.; Walsh, S.L.F.; Inoue, Y.; Richeldi, L.; Kolb, M.; Tetzlaff, K.; Stowasser, S.; et al. Nintedanib in Progressive Fibrosing Interstitial Lung Diseases. N. Engl. J. Med. 2019, 381, 1718–1727. [Google Scholar] [CrossRef] [PubMed]
- King, T.E., Jr.; Bradford, W.Z.; Castro-Bernardini, S.; Fagan, E.A.; Glaspole, I.; Glassberg, M.K.; Gorina, E.; Hopkins, P.M.; Kardatzke, D.; Lancaster, L.; et al. A phase 3 trial of pirfenidone in patients with idiopathic pulmonary fibrosis. N. Engl. J. Med. 2014, 370, 2083–2092. [Google Scholar] [CrossRef]
- Nathan, S.D. Progress in the Treatment of Pulmonary Hypertension Associated with Interstitial Lung Disease. Am. J. Respir. Crit. Care Med. 2023, 208, 238–246. [Google Scholar] [CrossRef]
- Raghu, G.; Behr, J.; Brown, K.K.; Egan, J.J.; Kawut, S.M.; Flaherty, K.R.; Martinez, F.J.; Nathan, S.D.; Wells, A.U.; Collard, H.R.; et al. Treatment of idiopathic pulmonary fibrosis with ambrisentan: A parallel, randomized trial. Ann. Intern. Med. 2013, 158, 641–649. [Google Scholar] [CrossRef] [PubMed]
- Raghu, G.; Million-Rousseau, R.; Morganti, A.; Perchenet, L.; Behr, J.; Group, M.S. Macitentan for the treatment of idiopathic pulmonary fibrosis: The randomised controlled MUSIC trial. Eur. Respir. J. 2013, 42, 1622–1632. [Google Scholar] [CrossRef] [PubMed]
- Corte, T.J.; Keir, G.J.; Dimopoulos, K.; Howard, L.; Corris, P.A.; Parfitt, L.; Foley, C.; Yanez-Lopez, M.; Babalis, D.; Marino, P.; et al. Bosentan in pulmonary hypertension associated with fibrotic idiopathic interstitial pneumonia. Am. J. Respir. Crit. Care Med. 2014, 190, 208–217. [Google Scholar] [CrossRef]
- Badesch, D.B.; Feldman, J.; Keogh, A.; Mathier, M.A.; Oudiz, R.J.; Shapiro, S.; Farber, H.W.; McGoon, M.; Frost, A.; Allard, M.; et al. ARIES-3: Ambrisentan therapy in a diverse population of patients with pulmonary hypertension. Cardiovasc. Ther. 2012, 30, 93–99. [Google Scholar] [CrossRef]
- Hoeper, M.M.; Halank, M.; Wilkens, H.; Gunther, A.; Weimann, G.; Gebert, I.; Leuchte, H.H.; Behr, J. Riociguat for interstitial lung disease and pulmonary hypertension: A pilot trial. Eur. Respir. J. 2013, 41, 853–860. [Google Scholar] [CrossRef]
- Nathan, S.D.; Behr, J.; Collard, H.R.; Cottin, V.; Hoeper, M.M.; Martinez, F.J.; Corte, T.J.; Keogh, A.M.; Leuchte, H.; Mogulkoc, N.; et al. Riociguat for idiopathic interstitial pneumonia-associated pulmonary hypertension (RISE-IIP): A randomised, placebo-controlled phase 2b study. Lancet Respir. Med. 2019, 7, 780–790. [Google Scholar] [CrossRef]
- Corte, T.J.; Gatzoulis, M.A.; Parfitt, L.; Harries, C.; Wells, A.U.; Wort, S.J. The use of sildenafil to treat pulmonary hypertension associated with interstitial lung disease. Respirology 2010, 15, 1226–1232. [Google Scholar] [CrossRef]
- Zimmermann, G.S.; von Wulffen, W.; Huppmann, P.; Meis, T.; Ihle, F.; Geiseler, J.; Leuchte, H.H.; Tufman, A.; Behr, J.; Neurohr, C. Haemodynamic changes in pulmonary hypertension in patients with interstitial lung disease treated with PDE-5 inhibitors. Respirology 2014, 19, 700–706. [Google Scholar] [CrossRef]
- Ghofrani, H.A.; Wiedemann, R.; Rose, F.; Schermuly, R.T.; Olschewski, H.; Weissmann, N.; Gunther, A.; Walmrath, D.; Seeger, W.; Grimminger, F. Sildenafil for treatment of lung fibrosis and pulmonary hypertension: A randomised controlled trial. Lancet 2002, 360, 895–900. [Google Scholar] [CrossRef]
- Collard, H.R.; Anstrom, K.J.; Schwarz, M.I.; Zisman, D.A. Sildenafil improves walk distance in idiopathic pulmonary fibrosis. Chest 2007, 131, 897–899. [Google Scholar] [CrossRef] [PubMed]
- Chapman, T.H.; Wilde, M.; Sheth, A.; Madden, B.P. Sildenafil therapy in secondary pulmonary hypertension: Is there benefit in prolonged use? Vascul Pharmacol. 2009, 51, 90–95. [Google Scholar] [CrossRef] [PubMed]
- Brewis, M.J.; Church, A.C.; Johnson, M.K.; Peacock, A.J. Severe pulmonary hypertension in lung disease: Phenotypes and response to treatment. Eur. Respir. J. 2015, 46, 1378–1389. [Google Scholar] [CrossRef]
- Jackson, R.M.; Glassberg, M.K.; Ramos, C.F.; Bejarano, P.A.; Butrous, G.; Gomez-Marin, O. Sildenafil therapy and exercise tolerance in idiopathic pulmonary fibrosis. Lung 2010, 188, 115–123. [Google Scholar] [CrossRef] [PubMed]
- Idiopathic Pulmonary Fibrosis Clinical Research, N.; Zisman, D.A.; Schwarz, M.; Anstrom, K.J.; Collard, H.R.; Flaherty, K.R.; Hunninghake, G.W. A controlled trial of sildenafil in advanced idiopathic pulmonary fibrosis. N. Engl. J. Med. 2010, 363, 620–628. [Google Scholar]
- Dawes, T.J.W.; McCabe, C.; Dimopoulos, K.; Stewart, I.; Bax, S.; Harries, C.; Samaranayake, C.B.; Kempny, A.; Molyneaux, P.L.; Seitler, S.; et al. Phosphodiesterase 5 inhibitor treatment and survival in interstitial lung disease pulmonary hypertension: A Bayesian retrospective observational cohort study. Respirology 2023, 28, 262–272. [Google Scholar] [CrossRef]
- Olschewski, H.; Ghofrani, H.A.; Walmrath, D.; Schermuly, R.; Temmesfeld-Wollbruck, B.; Grimminger, F.; Seeger, W. Inhaled prostacyclin and iloprost in severe pulmonary hypertension secondary to lung fibrosis. Am. J. Respir. Crit. Care Med. 1999, 160, 600–607. [Google Scholar] [CrossRef]
- Krowka, M.J.; Ahmad, S.; de Andrade, J.A.; Frost, A.; Glassberg, M.K.; Lancaster, L.H.; Lasky, J.; Mathier, M.A.; Stocks, J. A randomized, double-blind, placebo-controlled study to evaluate the safety and efficacy of iloprost inhalation in adults with abnormal pulmonary arterial pressure and exercise limitation associated with idiopathic pulmonary fibrosis. Chest 2007, 132, 633A. [Google Scholar] [CrossRef]
- Minai, O.A.; Sahoo, D.; Chapman, J.T.; Mehta, A.C. Vaso-active therapy can improve 6-min walk distance in patients with pulmonary hypertension and fibrotic interstitial lung disease. Respir. Med. 2008, 102, 1015–1020. [Google Scholar] [CrossRef] [PubMed]
- Saggar, R.; Khanna, D.; Vaidya, A.; Derhovanessian, A.; Maranian, P.; Duffy, E.; Belperio, J.A.; Weigt, S.S.; Dua, S.; Shapiro, S.S.; et al. Changes in right heart haemodynamics and echocardiographic function in an advanced phenotype of pulmonary hypertension and right heart dysfunction associated with pulmonary fibrosis. Thorax 2014, 69, 123–129. [Google Scholar] [CrossRef] [PubMed]
- Waxman, A.; Restrepo-Jaramillo, R.; Thenappan, T.; Ravichandran, A.; Engel, P.; Bajwa, A.; Allen, R.; Feldman, J.; Argula, R.; Smith, P.; et al. Inhaled Treprostinil in Pulmonary Hypertension Due to Interstitial Lung Disease. N. Engl. J. Med. 2021, 384, 325–334. [Google Scholar] [CrossRef] [PubMed]
- Nathan, S.D.; Tapson, V.F.; Elwing, J.; Rischard, F.; Mehta, J.; Shapiro, S.; Shen, E.; Deng, C.; Smith, P.; Waxman, A. Efficacy of Inhaled Treprostinil on Multiple Disease Progression Events in Patients with Pulmonary Hypertension due to Parenchymal Lung Disease in the INCREASE Trial. Am. J. Respir. Crit. Care Med. 2022, 205, 198–207. [Google Scholar] [CrossRef]
- Nathan, S.D.; Waxman, A.; Rajagopal, S.; Case, A.; Johri, S.; DuBrock, H.; De La Zerda, D.J.; Sahay, S.; King, C.; Melendres-Groves, L.; et al. Inhaled treprostinil and forced vital capacity in patients with interstitial lung disease and associated pulmonary hypertension: A post-hoc analysis of the INCREASE study. Lancet Respir. Med. 2021, 9, 1266–1274. [Google Scholar] [CrossRef]
- Nathan, S.D.; Medarov, B.; Ho, L.; Kingrey, J.; Hong, T.; Rao, Y.; Shen, E.; Smith, P.; Deng, C.; Waxman, A. A Novel Approach to Clinical Change Endpoints: A Win Ratio Analysis of the INCREASE Trial. Ann. Am. Thorac. Soc. 2023, 20, 1537–1540. [Google Scholar] [CrossRef]
- Nathan, S.D.; Johri, S.; Joly, J.M.; King, C.S.; Raina, A.; McEvoy, C.A.; Lee, D.; Shen, E.; Smith, P.; Deng, C.; et al. Survival analysis from the INCREASE study in PH-ILD: Evaluating the impact of treatment crossover on overall mortality. Thorax 2024, 79, 301–306. [Google Scholar] [CrossRef]
- Sakao, S.; Kondoh, Y.; Kinoshita, H.; Nishiyama, O.; Ogo, T.; Tanabe, N.; Minatsuki, S.; Nakayama, K.; Taniguchi, Y.; Takahashi, K.; et al. Efficacy, safety, and pharmacokinetics of inhaled treprostinil in Japanese patients with pulmonary hypertension associated with interstitial lung disease. Respir. Investig. 2024, 62, 980–986. [Google Scholar] [CrossRef]
- Nathan, S.D.; Fernandes, P.; Psotka, M.; Vitulo, P.; Piccari, L.; Antoniou, K.; Nikkho, S.M.; Stockbridge, N. Pulmonary hypertension in interstitial lung disease: Clinical trial design and endpoints: A consensus statement from the Pulmonary Vascular Research Institute’s Innovative Drug Development Initiative-Group 3 Pulmonary Hypertension. Pulm. Circ. 2022, 12, e12178. [Google Scholar] [CrossRef]






| Subtype | Reference | PH Out of Total Cohort | Prevalence | Location | Diagnostic Modality of ILD | Diagnostic Modality of PH |
|---|---|---|---|---|---|---|
| Pooled Prevalence of ILD | Ang et al., 2024 (pre-6th WSPH definition) [8] | 36% | International | Variable | RHC | |
| Ang et al., 2024 (6th WSPH definition) [8] | 40% | International | Variable | RHC | ||
| Idiopathic pulmonary fibrosis | Shorr et al., 2007 [10] | 1163/2525 | 46% | UNOS Database | Variable | RHC |
| Nathan et al., 2008 [11] | 17/44 | 39% | United States | HRCT +/− pathology | RHC | |
| Todd et al., 2010 [12] | 12/41 | 29% | United States | Clinical + CT +/− pathology | RHC | |
| Raghu et al., 2015 [13] | 68/488 | 14% | Multicenter | Either surgical lung biopsy showing UIP or HRCT with definite UIP | RHC | |
| Tyagi et al., 2021 [14] | 18/38 | 47% | India | Clinical + HRCT +/− pathology | TTE | |
| Systemic sclerosis-ILD (SSc-ILD) | Young et al., 2019 [15] | 29/93 | 31% | United States | ACR/EULAR classification criteria for SSc + HRCT showing ILD | RHC |
| CTD-ILD other than systemic sclerosis | Todd et al., 2010 [12] | 9/14 | 64% | United States | Clinical + CT +/− pathology | RHC |
| Cottin et al., 2011 [16] | 28/61 | 47% | France | HRCT + PFT +/− clinical +/− exclusion of ILD with known etiology and exclusion of CTD | TTE | |
| Tyagi et al., 2021 (Autoimmune ILD) [14] | 33/75 | 44% | India | Clinical + HRCT +/− pathology | TTE | |
| Combined pulmonary fibrosis and emphysema | Cottin et al., 2005 [18] | 61 | 47% | France | Emphysema on HRCT + diffuse parenchymal lung disease on HRCT | TTE |
| Nonspecific interstitial pneumonia (NSIP) | King et al., 2018 [17] | 11/35 | 31% | United States | Biopsy-proven NSIP | RHC |
| Chronic hypersensitivity pneumonitis | Oliveira et al., 2014 [19] | 22/50 | 44% | Brazil | Clinical + HRCT +/− pathology | RHC |
| Tyagi et al., 2021 [14] | 40/77 | 52% | India | Clinical + HRCT +/− pathology | TTE |
| Reference | Population | Parameter | Prediction Equation | Outcome | p-Value (If Available) |
|---|---|---|---|---|---|
| Zisman et al., 2007 [51] | IPF | SpO2, FVC, DLCO | −11.9 + 0.272 × SpO2 + 0.0659 × (100−SpO2) 2 + 3.06 × (% FVC/% DLco) | mPAP | PPV 71% NPV 81% |
| Furukawa et al., 2018 [52] | IPF | DLCO, PA/Ao ratio on CT chest, PaO2 | Simple scoring system assigning 1 point to each variable (DLCO < 50%, PA/Ao > 0.9, PaO2 < 80 Torr) | mPAP | C-index: 0.772, p < 0.001 OR of variables: DLCO 3.6, p < 0.001 PA/Ao 2.6, p = 0.012 PaO2 2.2, p = 0.030 |
| Bax et al., 2018 [53] | ILD | PASP, right atrial area, early diastolic pulmonary regurgitant velocity, FAC, RV:LV ratio, eccentricity index | Stepwise echocardiographic algorithm | mPAP ≥ 35 mmHg | Score ≥ 7 predicting severe PH Sensitivity 89% Specificity 71% PPV 68% NPV 90% |
| Sonti et al., 2019 [54] | IPF | sPAP, FVC/DLco, PA/A ratio | mPAP = −14 + 20.3 × (PA:A ratio) + 2.6 × (FVC/DLCO) + 0.3 × (RVSP) | mPAP | Sensitivity 80% Specificity 68.6% PPV 56% NPV 87.2% |
| Sobiecka et al., 2020 [55] | ILD | Age, TLC/DLCO, 6MWD, saturation at 6 min | Scoring system including age > 53 years, TLC/DLCO > 1.67, 6MWD < 507.5 m, saturation at 6 min < 93% (max score 10) | sPAP by echocardiography | AUC 0.867 Cutoff of 6 points yields: Sensitivity 66% Specificity 94% PPV 90% NPV 78% |
| Refini et al., 2021 [56] | IPF | sPAP, PA area by HRCT, and ratio of segmental artery to adjacent bronchus of L1/2 | Composite index of these variables | mPAP | R2 = 0.53, p = 0.0009 Sensitivity 100% Specificity 53% PPV 71% NPV 100% |
| Parikh et al., 2023 [58] | ILD | History, physical exam, 6MWD, DLCO, PA/A ratio, NT-proBNP | ILD-PH Detection tool (DLCO < 40%, 6MWD < 350 m, NTprBNP > 300 pg/mL, PA enlargement, physical exam for PH, supplemental O2, syncope/presyncope, CTD or sarcoid) | PH | Score of ≥7 predicting PH Sensitivity 87% Specificity 86% |
| Joseph et al., 2023 [47] | ILD | Gas exchange-derived pulmonary vascular capacitance (GXcap), RVSP, FVC/DLCO | GXcap < 416 mL*mmHg, FVC/DLCO > 1.7, RVSP > 73 | ILD-PH | AUC 0.94 Sensitivity 86% Specificity 93% |
| Nathan et al., 2024 [57] | IPF | FVC/DLCO, oxygen saturation nadir, race, 6MWD | FORD calculator (continuous) and FORD index (simple point-score system) | PH (pre-6 WSPH definition) | Derivation cohort AUC 0.75 Validation cohort AUC 0.69 |
| Clinicaltrials.gov Number | Drug | Administration | Mechanism of Action | Phase of Study | Design | Treatment Period (Weeks) | Primary End Point |
|---|---|---|---|---|---|---|---|
| NCT05176951 | Treprostinil palmitil | 80 μg daily DPI titrated up to 640 μg | Inhaled prostanoid | 2 | RCT, double-blind, multicenter, placebo-controlled | 16 | Safety/tolerability; Change from baseline in 6MWT SpO2 |
| NCT06129240 | LIQ861 (treprostinil) | Variable QID DPI dosing | Inhaled prostanoid | 3 | Open-label ASCENT extension, multicenter | 52 | Safety/tolerability |
| NCT04691154 | L606 (liposomal treprostini) | Twice daily aerosolized | Aerosolized liposomal prostanoid | 3 | Open-label extension | 48 | Safety/tolerability |
| NCT05128929 | H01 (Hymecromone) | 80 μg daily DPI titrated up to 640 μg | Inhibitor of hyaluronan synthesis | 2 | SATURN- RCT, double-blind, placebo-controlled | 24 | Change in PVR by RHC; safety/tolerability |
| NCT02036970 | Bardoxolone methyl | Variable QID DPI dosing | Inducer of Nrf2 and suppressor of NF-kB | 2 | RCT, double-blind, placebo-controlled | 16 | Mean change in 6MWD |
| NCT06475781 | Murivadelgat | Twice daily aerosolized | Aldehyde dehydrogenase 2 activator | 2 | WINDWARD- RCT, double, blind, multinational, placebo-controlled | 12 | Mean change in PVR by RHC at week 12 |
| NCT06635850 | Mosliciguat | 80 μg daily DPI titrated up to 640 μg | Soluble guanylate cyclase (sGC) activator | 2 | PHocus- RCT, double-blind, multicenter, placebo-controlled | 24 | Change in PVR by RHC at 26 weeks |
Disclaimer/Publisher’s Note: The statements, opinions and data contained in all publications are solely those of the individual author(s) and contributor(s) and not of MDPI and/or the editor(s). MDPI and/or the editor(s) disclaim responsibility for any injury to people or property resulting from any ideas, methods, instructions or products referred to in the content. |
© 2025 by the authors. Licensee MDPI, Basel, Switzerland. This article is an open access article distributed under the terms and conditions of the Creative Commons Attribution (CC BY) license (https://creativecommons.org/licenses/by/4.0/).
Share and Cite
Kattih, Z.; Kim, H.C.; Aryal, S.; Nathan, S.D. Review of the Diagnosis and Management of Pulmonary Hypertension Associated with Interstitial Lung Disease (ILD-PH). J. Clin. Med. 2025, 14, 2029. https://doi.org/10.3390/jcm14062029
Kattih Z, Kim HC, Aryal S, Nathan SD. Review of the Diagnosis and Management of Pulmonary Hypertension Associated with Interstitial Lung Disease (ILD-PH). Journal of Clinical Medicine. 2025; 14(6):2029. https://doi.org/10.3390/jcm14062029
Chicago/Turabian StyleKattih, Zein, Ho Cheol Kim, Shambhu Aryal, and Steven D. Nathan. 2025. "Review of the Diagnosis and Management of Pulmonary Hypertension Associated with Interstitial Lung Disease (ILD-PH)" Journal of Clinical Medicine 14, no. 6: 2029. https://doi.org/10.3390/jcm14062029
APA StyleKattih, Z., Kim, H. C., Aryal, S., & Nathan, S. D. (2025). Review of the Diagnosis and Management of Pulmonary Hypertension Associated with Interstitial Lung Disease (ILD-PH). Journal of Clinical Medicine, 14(6), 2029. https://doi.org/10.3390/jcm14062029
