Spinal Cord Infarction: Clinical and Neuroradiological Clues of a Rare Stroke Subtype
Abstract
1. Introduction
2. Epidemiological Notes
3. Arterial Supply to the Spinal Cord
4. Diagnostic Criteria
5. Neurological Issues
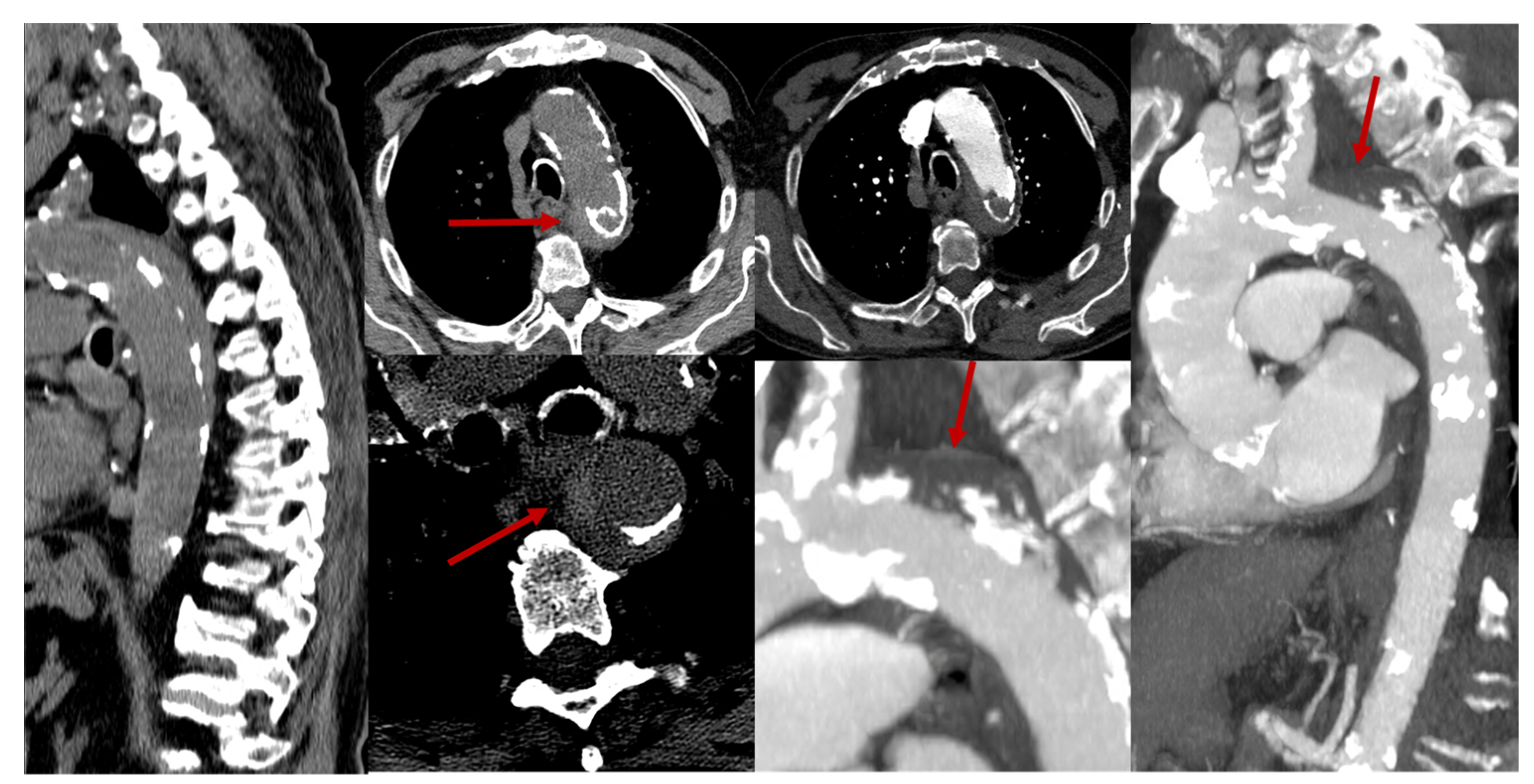
6. Neuroradiological Investigations
- -
- Predominant involvement of the thoracic cord and conus, typically within the ASA territory;
- -
- Initial MRI may appear normal;
- -
- Restricted diffusion, with a high signal on DWI and low signal on apparent diffusion coefficient (ADC) images, is similar to arterial infarcts in the brain;
- -
- ASA infarcts on T2-weighted images commonly show central gray matter involvement, with an H- or butterfly-shaped appearance, or the “owl’s eyes” or “snake-eyes” sign;
- -
- Central gray matter involvement is characteristic but not definitive for diagnosis;
- -
- PSA infarcts, though less common, affect the posterolateral third of the cord, including the dorsal columns and posterior horns;
- -
- In the hyperacute and acute phases, parenchymal T2-hyperintensity appears non-expansile, thin, and pencil-like on sagittal images;
- -
- In the later acute and early subacute phases, spinal cord enlargement may occur;
- -
- Parenchymal enhancement, often linear and involving the anterior gray matter, may appear in the acute–subacute phase;
- -
- Hemorrhagic transformation is rare;
- -
- Vertebral body infarcts may also be observed.
7. Etiologies
8. Gray Areas
9. Acute Treatment
10. Conclusions
Author Contributions
Funding
Institutional Review Board Statement
Informed Consent Statement
Data Availability Statement
Conflicts of Interest
References
- Li, X.Y.; Kong, X.M.; Yang, C.H.; Cheng, Z.F.; Lv, J.J.; Guo, H.; Liu, X.H. Global, regional, and national burden of ischemic stroke, 1990–2021: An analysis of data from the global burden of disease study 2021. eClinicalMedicine 2024, 75, 1027582024. [Google Scholar] [CrossRef] [PubMed]
- GBD 2021 Nervous System Disorders Collaborators. Global, regional, and national burden of disorders affecting the nervous system, 1990–2021: A systematic analysis for the Global Burden of Disease Study 2021. Lancet Neurol. 2024, 23, 344–381. [Google Scholar] [CrossRef] [PubMed]
- Aho, K.; Harmsen, P.; Hatano, S.; Marquardsen, J.; Smirnov, V.E.; Strasser, T. Cerebrovascular disease in the community: Results of a WHO collaborative study. Bull. World Health Organ. 1980, 58, 113–130. [Google Scholar] [PubMed]
- Available online: https://icd.who.int/en (accessed on 7 November 2024).
- Sacco, R.L.; Kasner, S.E.; Broderick, J.P.; Caplan, L.R.; Connors, J.J.; Culebras, A.; Elkind, M.S.; George, M.G.; Hamdan, A.D.; Higashida, R.T.; et al. An updated definition of stroke for the 21st century: A statement for healthcare professionals from the American Heart Association/American Stroke Association. Stroke 2013, 44, 2064–2089. [Google Scholar] [CrossRef]
- Marshall, J. The natural history of transient ischaemic cerebro-vascular attacks. QJM 1964, 33, 309–324. [Google Scholar]
- Siekert, R.G.; Whisnant, J.P. (Eds.) Cerebral Vascular Diseases: Fourth Conference; Grune & Stratton: New York, NY, USA, 1965. [Google Scholar]
- A classification and outline of cerebrovascular diseases. Stroke 1975, 6, 564–616. [CrossRef]
- Albers, G.W.; Caplan, L.R.; Easton, J.D.; Fayad, P.B.; Mohr, J.P.; Saver, J.L.; Sherman, D.G.; TIA Working Group. Transient ischemic attack--proposal for a new definition. N. Engl. J. Med. 2002, 347, 1713–1716. [Google Scholar] [CrossRef]
- Sandson, T.A.; Friedman, J.H. Spinal cord infarction. Report of 8 cases and review of the literature. Medicine 1989, 68, 282. [Google Scholar] [CrossRef]
- Williams, G.R. Incidence and characteristics of total stroke in the United States. BMC Neurol. 2001, 1, 2. [Google Scholar] [CrossRef]
- Novy, J.; Carruzzo, A.; Maeder, P.; Bogousslavsky, J. Spinal cord ischemia: Clinical and imaging patterns, pathogenesis, and outcomes in 27 patients. Arch. Neurol. 2006, 63, 1113–1120. [Google Scholar] [CrossRef]
- Faig, J.; Busse, O.; Salbeck, R. Vertebral body infarction as a confirmatory sign of spinal cord ischemic stroke report of three. Stroke 1998, 29, 239–243. [Google Scholar] [CrossRef] [PubMed]
- Piffaretti, G.; Bonardelli, S.; Bellosta, R.; Mariscalco, G.; Lomazzi, C.; Tolenaar, J.L.; Zanotti, C.; Guadrini, C.; Sarcina, A.; Castelli, P.; et al. Spinal cord ischemia after simultaneous and sequential treatment of multilevel aortic disease. J. Thorac. Cardiovasc. Surg. 2014, 148, 1435–1442.e1. [Google Scholar] [CrossRef] [PubMed][Green Version]
- McGarvey, M.L.; Cheung, A.T.; Szeto, W.; Messe, S.R. Management of neurologic complications of thoracic aortic surgery. J. Clin. Neurophysiol. 2007, 24, 336–343. [Google Scholar] [CrossRef] [PubMed]
- Gialdini, G.; Parikh, N.S.; Chatterjee, A.; Lerario, M.P.; Kamel, H.; Schneider, D.B.; Navi, B.B.; Murthy, S.B.; Iadecola, C.; Merkler, A.E. Rates of Spinal Cord Infarction After Repair of Aortic Aneurysm or Dissection. Stroke 2017, 48, 2073–2077. [Google Scholar] [CrossRef]
- Mateen, F.J.; Monrad, P.A.; Leep Hunderfund, A.N.; Robertson, C.E.; Sorenson, E.J. Clinically suspected fibrocartilaginous embolism: Clinical characteristics, treatments, and outcomes. Eur. J. Neurol. 2010, 18, 218–225. [Google Scholar] [CrossRef]
- Qureshi, A.I.; Afzal, M.R.; Suri, M.F.K. A Population-Based Study of the Incidence of Acute Spinal Cord Infarction. J. Vasc. Interv. Neurol. 2017, 9, 44–48. [Google Scholar]
- Qureshi, A.I.; Chughtai, M.; Malik, A.A. Analysis of spinal cord infarction associated with aortic stent graft placement using nationwide inpatient sample (2002–2011). J. Vasc. Interv. Neurol. 2016, 8, 9–16. [Google Scholar]
- Gharios, M.; Stenimahitis, V.; El-Hajj, V.G.; Mahdi, O.A.; Fletcher-Sandersjöö, A.; Jabbour, P.; Andersson, M.; Hultling, C.; Elmi-Terander, A.; Edström, E. Spontaneous spinal cord infarction: A systematic review. BMJ Neurol. Open 2024, 6, e000754. [Google Scholar] [CrossRef]
- Robertson, C.E.; Brown, R.D., Jr.; Wijdicks, E.F.; Rabinstein, A.A. Recovery after spinal cord infarcts: Long-term outcome in 115 patients. Neurology 2012, 78, 114. [Google Scholar] [CrossRef]
- Spencer, S.P.; Brock, T.D.; Matthews, R.R.; Stevens, W.K. Three unique presentations of a traumatic spinal cord infarction in the pediatric emergency department. Pediatr. Emerg. Care 2014, 30, 354. [Google Scholar] [CrossRef]
- Vuong, S.M.; Jeong, W.J.; Morales, H.; Abruzzo, T.A. Vascular Diseases of the Spinal Cord: Infarction, Hemorrhage, and Venous Congestive Myelopathy. Semin. Ultrasound CT MRI 2016, 37, 466–481. [Google Scholar] [CrossRef] [PubMed]
- Hughes, J.T. The Pathology of Vascular Disorders of the Spinal Cord. Paraplegia 1965, 2, 207–213. [Google Scholar] [CrossRef] [PubMed][Green Version]
- Gailloud, P. Spinal Vascular Anatomy. Neuroimaging Clin. N. Am. 2019, 29, 615–633. [Google Scholar] [CrossRef] [PubMed]
- Gailloud, P.; Gregg, L.; Galan, P.; Becker, D.; Pardo, C. Periconal arterial anastomotic circle and posterior lumbosacral watershed zone of the spinal cord. J. NeuroInterventional Surg. 2014, 7, 848–853. [Google Scholar] [CrossRef]
- Struhal, W.; Seifert-Held, T.; Lahrmann, H.; Fazekas, F.; Grisold, W. Clinical core symptoms of posterior spinal artery ischemia. Eur. Neurol. 2011, 65, 183–186. [Google Scholar] [CrossRef]
- Artemis, D.; Wolf, M.; Blahak, C.; Szabo, K.; Hennerici, M.G.; Fatar, M. Diagnostic and Prognostic relevance of magnetic resonance imaging and electrophysiological findings in acute spinal ischemia. J. Stroke Cerebrovasc. Dis. 2017, 26, 459–464. [Google Scholar] [CrossRef]
- Zalewski, N.L.; Rabinstein, A.A.; Krecke, K.N.; Brown, R.D.; Wijdicks, E.F.; Weinshenker, B.G.; Kaufmann, T.J.; Morris, J.M.; Aksamit, A.J.; Bartleson, J.D.; et al. Characteristics of spontaneous spinal cord infarction and proposed diagnostic criteria. JAMA Neurol. 2019, 76, 56. [Google Scholar] [CrossRef]
- Barreras, P.; Fitzgerald, K.C.; Mealy, M.A.; Jimenez, J.A.; Becker, D.; Newsome, S.D.; Levy, M.; Gailloud, P.; Pardo, C.A. Clinical biomarkers differentiate myelitis from vascular and other causes of myelopathy. Neurology 2018, 90, e12–e21. [Google Scholar] [CrossRef]
- Zalewski, N.L.; Rabinstein, A.A.; Krecke, K.N.; Brown, R.D.; Wijdicks, E.F.M.; Weinshenker, B.G.; Doolittle, D.A.; Flanagan, E.P. Spinal cord infarction: Clinical and imaging insights from the periprocedural setting. J. Neurol. Sci. 2018, 388, 162–167. [Google Scholar] [CrossRef]
- Cheng, M.Y.; Lyu, R.K.; Chang, Y.J.; Chen, R.S.; Huang, C.C.; Wu, T.; Lee, T.H.; Lu, C.S.; Ro, L.S. Spinal cord infarction in Chinese patients. Clinical features, risk factors, imaging and prognosis. Cerebrovasc. Dis. 2008, 26, 502–508. [Google Scholar] [CrossRef]
- Dokponou, Y.C.H.; Ontsi Obame, F.L.; Takoutsing, B.; Mustapha, M.J.; Nyalundja, A.D.; Elmi Saad, M.; Badirou, O.B.A.; Adjiou, D.K.F.P.; Agada Kpègnon, N.; Djimrabeye, A.; et al. Spinal cord infarction: A systematic review and meta-analysis of patient’s characteristics, diagnosis accuracy, management, and outcome. Surg. Neurol. Int. 2024, 15, 325. [Google Scholar] [CrossRef] [PubMed]
- Thurnher, M.M.; Bammer, R. Diffusion-weighted MR imaging (DWI) in spinal cord ischemia. Neuroradiology 2006, 48, 795–801. [Google Scholar] [CrossRef]
- Udiya, A.K.; Shetty, G.S.; Singh, V.; Phadke, R.V. “Owl eye sign”: Anterior spinal artery syndrome. Neurol. India 2015, 63, 459. [Google Scholar] [CrossRef] [PubMed]
- Kobayashi, M. Spinal cord, vertebral body, paraspinal muscle, and rib infarction: Tiny thrombus detected by CT. Neurology 2016, 87, 642–643. [Google Scholar] [CrossRef] [PubMed]
- Wei, J.; Kang, J.; Hui, B. Spinal cord infarction with a negative MRI finding: A case report and literature review. Neurosci. Med. 2022, 13, 53–60. [Google Scholar] [CrossRef]
- Masson, C.; Pruvo, J.P.; Meder, J.F.; Cordonnier, C.; Touzé, E.; de la Sayette, V.; Giroud, M.; Mas, J.L.; Leys, D. Spinal cord infarction: Clinical and magnetic resonance imaging findings and short term outcome. J. Neurol. Neurosurg. Psychiatry 2004, 75, 1431–1435. [Google Scholar] [CrossRef]
- Pikija, S.; Mutzenbach, J.S.; Kunz, A.B.; Nardone, R.; Leis, S.; Deak, I.; McCoy, M.R.; Trinka, E.; Sellner, J. Delayed hospital presentation and neuroimaging in non-surgical spinal cord infarction. Front. Neurol. 2017, 8, 143. [Google Scholar] [CrossRef][Green Version]
- van Everdingen, K.; van der Grond, J.; Kappelle, L.; Ramos, L.; Mali, W. Diffusion-weighted magnetic resonance imaging in acute stroke. Stroke 1998, 29, 1783–1790. [Google Scholar] [CrossRef]
- Nogueira, R.G.; Ferreira, R.; Grant, P.E.; Maier, S.E.; Koroshetz, W.J.; Gonzalez, R.G.; Sheth, K.N. Restricted diffusion in spinal cord infarction demonstrated by magnetic resonance line scan diffusion imaging. Stroke 2012, 43, 532–535. [Google Scholar] [CrossRef]
- Stenimahitis, V.; Fletcher-Sandersjöö, A.; El-Hajj, V.G.; Hultling, C.; Andersson, M.; Sveinsson, O.; Elmi-Terander, A.; Edström, E. Long-term Outcomes After Periprocedural and Spontaneous Spinal Cord Infarctions: A Population-Based Cohort Study. Neurology 2023, 101, e114–e124. [Google Scholar] [CrossRef]
- Kister, I.; Johnson, E.; Raz, E.; Babb, J.; Loh, J.; Shepherd, T.M. Specific MRI findings help distinguish acute transverse myelitis of Neuromyelitis Optica from spinal cord infarction. Mult. Scler. Relat. Disord. 2016, 9, 62–67. [Google Scholar] [CrossRef]
- Weidauer, S.; Nichtweiss, M.; Lanfermann, H.; Zanella, F.E. Spinal cord infarction: MR imaging and clinical features in 16 cases. Neuroradiology 2002, 44, 851–857. [Google Scholar] [CrossRef] [PubMed]
- AbdelRazek, M.A.; Mowla, A.; Farooq, S.; Silvestri, N.; Sawyer, R.; Wolfe, G. Fibrocartilaginous embolism: A comprehensive review of an under-studied cause of spinal cord infarction and proposed diagnostic criteria. J. Spinal Cord Med. 2015, 39, 146–154. [Google Scholar] [CrossRef] [PubMed]
- Edlow, B.L.; Hurwitz, S.; Edlow, J.A. Diagnosis of DWI-negative acute ischemic stroke: A meta-analysis. Neurology 2017, 89, 256–262. [Google Scholar] [CrossRef] [PubMed]
- Amano, Y.; Machida, T.; Kumazaki, T. Spinal cord infarcts with contrast enhancement of the cauda equina: Two cases. Neuroradiology 1998, 40, 669–672. [Google Scholar] [CrossRef]
- Diehn, F.E.; Hunt, C.H.; Lehman, V.T.; Schwartz, K.M.; Eckel, L.J.; Black, D.F.; Wood, C.P.; Kotsenas, A.L.; Wald, J.T.; Hocker, S.E. Vertebral body infarct and ventral cauda equina enhancement: Two confirmatory findings of acute spinal cord infarct. J. Neuroimaging 2013, 25, 133–135. [Google Scholar] [CrossRef]
- Kawaguchi, C.; Niwa, K.; Hamano, H.; Haida, M.; Shinohara, Y. Long-term gadolinium-enhancement of cauda equina on MRI in a case of spinal cord infarction after epidural anesthesia. Clin. Neurol. 1998, 38, 440–445. [Google Scholar]
- Pravata, E.; Cereda, C.; Gabutti, A.; Distefano, D.; Cianfoni, A. Late-onset cauda equine contrast enhancement: A rare magnetic resonance imaging finding in subacute spinal cord infarction. Spine J. 2014, 14, 3065–3066. [Google Scholar] [CrossRef]
- Flanagan, E.P.; Kaufmann, T.J.; Krecke, K.N.; Aksamit, A.J.; Pittock, S.J.; Keegan, B.M.; Giannini, C.; Weinshenker, B.G. Discriminating long myelitis of neuromyelitis optica from sarcoidosis. Ann. Neurol. 2016, 79, 437–447. [Google Scholar] [CrossRef]
- Savoldi, F.; Kaufmann, T.J.; Flanagan, E.P.; Toledano, M.; Weinshenker, B.G. Elsberg syndrome: A rarely recognized cause of cauda equina syndrome and lower thoracic myelitis. Neurol. Neuroimmunol. Neuroinflammation 2017, 4, e355. [Google Scholar] [CrossRef]
- Yuh, W.T.; Marsh, E.E.; Wang, A.K.; Russell, J.W.; Chiang, F.; Koci, T.M.; Ryals, T.J. MR imaging of spinal cord and vertebral body infarction. AJNR Am. J. Neuroradiol. 1992, 13, 145–154. [Google Scholar] [PubMed]
- Sakurai, T.; Wakida, K.; Nishida, H. Cervical posterior spinal artery syndrome: A case report and literature review. J. Stroke Cerebrovasc. Dis. 2016, 25, 1552–1556. [Google Scholar] [CrossRef] [PubMed]
- Tubbs, S.; Blouir, M.C.; Singh, R.; Lachman, N.; D’Antoni, A.V.; Loukas, M.; Hattab, E.; Oskouian, R.J. Relationship between regional atherosclerosis and adjacent spinal cord histology. Cureus 2015, 7, e329. [Google Scholar] [CrossRef]
- Cuvinciuc, V.; Viallon, M.; Momjian-Mayor, I.; Sztajzel, R.; Pereira, V.M.; Lovblad, K.-O.; Vargas, M.I. 3D fat-saturated T1 SPACE sequence for the diagnosis of cervical artery dissection. Neuroradiology 2013, 55, 595–602. [Google Scholar] [CrossRef] [PubMed]
- Brinjikji, W.; Luetmer, P.; Comstock, B.; Bresnahan, B.; Chen, L.; Deyo, R.; Halabi, S.; Turner, J.; Avins, A.; James, K.; et al. Systematic literature review of imaging features of spinal degeneration in asymptomatic populations. AJNR Am. J. Neuroradiol. 2015, 36, 811–816. [Google Scholar] [CrossRef]
- Bankole, N.D.; Janot, K.; Listrat, A.; Travers, N.; Maldonado, I.L.; Velut, S. Child pial arteriovenous fistula of the conus medullaris presenting with spinal cord venous congestion: Case report and literature review. Interdiscip. Neurosurg. 2021, 25, 101128. [Google Scholar] [CrossRef]
- Vargas, M.I.; Gariani, J.; Sztajzel, R.; Barnaure-Nachbar, I.; Delattre, B.M.; Lovblad, K.O.; Dietemann, J.L. Spinal cord ischemia: Practical imaging tips, pearls, and pitfalls. Am. J. Neuroradiol. 2014, 36, 825–830. [Google Scholar] [CrossRef]
- Ahmann, P.A.; Smith, S.A.; Schwartz, J.F.; Clark, D.B. Spinal cord infarction due to minor trauma in children. Neurology 1975, 25, 301. [Google Scholar] [CrossRef]
- Lynch, D.R.; Dawson, T.M.; Raps, E.C.; Galetta, S.L. Risk factors for the neurologic complications associ-ated with aortic aneurysms. Arch. Neurol. 1992, 49, 284–288. [Google Scholar] [CrossRef]
- Phillips, O.C.; Ebner, H.; Nelson, A.T.; Black, M.H. Neurologic complications following spinal anesthesia with lidocaine: A prospective review of 10,440 cases. Anesthesiology 1969, 30, 284–289. [Google Scholar] [CrossRef]
- Kane, R.E. Neurologic deficits following epidural or spinal anesthesia. Anesth. Analg. 1981, 60, 150–161. [Google Scholar] [CrossRef]
- Mosberg, W.H.; Voris, H.C.; Duffy, J. Paraplegia as a complication of sympathectomy for hypertension. Ann. Surg. 1954, 139, 330–334. [Google Scholar] [CrossRef] [PubMed]
- Hughes, J.T.; Macintyre, A.G. Spinal Cord Infarction Occurring During Thoraco-Lumbar Sympathectomy. J. Neurol. Neurosurg. Psychiatry 1963, 26, 418–421. [Google Scholar] [CrossRef][Green Version]
- Kumral, E.; Polat, F.; Güllüoglu, H.; Uzunköprü, C.; Tuncel, R.; Alpaydın, S. Spinal ischaemic stroke: Clinical and radiological findings and short-term outcome. Eur. J. Neurol. 2011, 18, 232–239. [Google Scholar] [CrossRef]
- Rigney, L.; Cappelen-Smith, C.; Sebire, D.; Beran, R.G.; Cordato, D. Nontraumatic spinal cord ischaemic syndrome. J. Clin. Neurosci. 2015, 22, 1544–1549. [Google Scholar] [CrossRef]
- Qureshi, A.I.; Akbar, M.S.; Czander, E.; Safdar, K.; Janssen, R.S.; Frankel, M.R. Crack cocaine use and stroke in young patients. Neurology 1997, 48, 341–345. [Google Scholar] [CrossRef]
- Darouiche, R.O. Spinal epidural abscess. N. Engl. J. Med. 2006, 355, 2012–2020. [Google Scholar] [CrossRef]
- Iseli, E.; Cavigelli, A.; Dietz, V.; Curt, A. Prognosis and recovery in ischaemic and traumatic spinal cord injury: Clinical and electrophysiological evaluation. J. Neurol. Neurosurg. Psychiatry 1999, 67, 567. [Google Scholar] [CrossRef]
- Messé, S.R.; Bavaria, J.E.; Mullen, M.; Cheung, A.T.; Davis, R.; Augoustides, J.G.; Gutsche, J.; Woo, E.Y.; Szeto, W.Y.; Pochettino, A.; et al. Neurologic outcomes from high risk descendingthoracic and thoracoabdominal aortic operations in the era of endovascular repair. Neurocrit Care 2008, 9, 344. [Google Scholar] [CrossRef]
- Xenos, E.S.; Abedi, N.N.; Davenport, D.L.; Minion, D.J.; Hamdallah, O.; Sorial, E.E.; Endean, E.D. Meta-analysis of endovascular vs open repairfor traumatic descending thoracic aortic rupture. J. Vasc. Surg. 2008, 48, 1343. [Google Scholar] [CrossRef]
- Scali, S.T.; Giles, K.A.; Wang, G.J.; Kubilis, P.; Neal, D.; Huber, T.S.; Upchurch, G.R.; Siracuse, J.J.; Shutze, W.P.; Beck, A.W. National incidence, mortality outcomes, and predictors of spinal cord ischemia after thoracic endovascular aortic repair. J. Vasc. Surg. 2020, 72, 92–104. [Google Scholar] [CrossRef] [PubMed]
- Rocha, R.V.; Lindsay, T.F.; Austin, P.C.; Al-Omran, M.; Forbes, T.L.; Lee, D.S.; Ouzounian, M. Outcomes after endovascular versus open thoraco-abdominal aortic aneurysm repair: A population-based study. J. Thorac. Cardiovasc. Surg. 2021, 161, 516. [Google Scholar] [CrossRef] [PubMed]
- Liu, J.; Xia, J.; Yan, G.; Zhang, Y.; Ge, J.; Cao, L. Thoracic endovascular aortic repair versus open chest surgical repair for patients with type B aortic dissection: A systematic review and meta-analysis. Ann. Med. 2019, 51, 360–370. [Google Scholar] [CrossRef] [PubMed]
- Cheung, A.T.; Weiss, S.J.; McGarvey, M.L.; Stecker, M.M.; Hogan, M.S.; Escherich, A.; E Bavaria, J. Interventions for reversing delayed-onset postoperative paraplegia after thoracic aortic reconstruction. Ann. Thorac. Surg. 2002, 74, 413–421. [Google Scholar] [CrossRef]
- Maniar, H.S.; Sundt, I.I.I.T.M.; Prasad, S.M.; Chu, C.M.; Camillo, C.J.; Moon, M.R.; Rubin, B.G.; Sicard, G.A. Delayed paraplegia after thoracic and thoraco-abdominal aneurysm repair: A continuing risk. Ann. Thorac. Surg. 2003, 75, 113. [Google Scholar] [CrossRef]
- Cambria, R.P.; Clouse, W.D.; Davison, J.K.; Dunn, P.F.; Corey, M.; Dorer, D. Thoraco-abdominal aneurysm repair: Results with 337 operations performed over a 15-year interval. Ann. Surg. 2002, 236, 471. [Google Scholar] [CrossRef]
- Estrera, A.L.; Miller, C.C., 3rd; Huynh, T.T.; Porat, E.; Safi, H.J. Neurologic outcome after thoracic and thoraco-abdominal aortic aneurysm repair. Ann. Thorac. Surg. 2001, 72, 1225. [Google Scholar] [CrossRef]
- Crawford, E.S.; Mizrahi, E.M.; Hess, K.R.; Coselli, J.S.; Safi, H.J.; Patel, V.M. The impact of distal aortic perfusion and somatosensory evoked potential monitoring on prevention of paraplegia after aorticaneurysm operation. J. Thorac. Cardiovasc. Surg. 1988, 95, 357. [Google Scholar] [CrossRef]
- Sandridge, L.; Kern, J.A. Acute descending aortic dissections: Management of visceral, spinal cord, and extremity malperfusion. Semin. Thorac. Cardiovasc. Surg. 2005, 17, 256–261. [Google Scholar] [CrossRef]
- Gaul, C.; Dietrich, W.; Friedrich, I.; Sirch, J.; Erbguth, F.J. Neurological symptoms in type A aortic dissections. Stroke 2007, 38, 292. [Google Scholar] [CrossRef]
- Joo, J.B.; Cummings, A.J. Acute thoraco-abdominal aortic dissection presenting as painless, transient paralysis of the lower extremities: A case report. J. Emerg. Med. 2000, 19, 333. [Google Scholar] [CrossRef] [PubMed]
- Donovan, E.M.; Seidel, G.K.; Cohen, A. Painless aortic dissection presenting as high paraplegia: A case report. Arch. Phys. Med. Rehabil. 2000, 81, 1436–1438. [Google Scholar] [CrossRef] [PubMed]
- Zull, D.N.; Cydulka, R. Acute paraplegia: A presenting manifestation of aortic dissection. Am. J. Med. 1988, 84, 765–770. [Google Scholar] [CrossRef] [PubMed]
- Nandeesh, B.N.; Mahadevan, A.; Santosh, V.; Yasha, T.C.; Shankar, S.K. Acute aortic dissection presenting as painful paraplegia. Clin. Neurol. Neurosurg. 2007, 109, 531–534. [Google Scholar] [CrossRef]
- Inamasu, J.; Hori, S.; Yokoyama, M.; Funabiki, T.; Aoki, K.; Aikawa, N. Paraplegia caused by painless acute aortic dissection. Spinal Cord 2000, 38, 702–704. [Google Scholar] [CrossRef]
- Wityk, R.J.; Zanferrari, C.; Oppenheimer, S. Neurovascular complications of Marfan syndrome: A retrospective, hospital-based study. Stroke 2002, 33, 680. [Google Scholar] [CrossRef]
- Salna, M.; Beck, J.; Willey, J.; Takeda, K. Spinal Cord Infarction During Femoral Venoarterial Extracorporeal Membrane Oxygenation. Ann. Thorac. Surg. 2021, 111, e279. [Google Scholar] [CrossRef]
- Cheshire, W.P.; Santos, C.C.; Massey, E.W.; Howard, J.F., Jr. Spinal cord infarction: Etiology and outcome. Neurology 1996, 47, 321. [Google Scholar] [CrossRef]
- Nedeltchev, K.; Loher, T.J.; Stepper, F.; Arnold, M.; Schroth, G.; Mattle, H.P.; Sturzenegger, M. Long-term outcome of acute spinal cord ischemia syndrome. Stroke 2004, 35, 560. [Google Scholar] [CrossRef]
- Restrepo, L.; Guttin, J.F. Acute spinal cord ischemia during aortography treated with intravenous thrombolytic therapy. Tex. Heart Inst. J. 2006, 33, 74. [Google Scholar]
- Winter, R.B. Neurologic safety in spinal deformity surgery. Spine 1997, 22, 1527. [Google Scholar] [CrossRef] [PubMed]
- Hobai, I.A.; Bittner, E.A.; Grecu, L. Perioperative spinal cord infarction in non-aortic surgery: Report of three cases and review of the literature. J. Clin. Anesth. 2008, 20, 307. [Google Scholar] [CrossRef] [PubMed]
- Kalb, S.; Fakhran, S.; Dean, B.; Ross, J.; Porter, R.W.; Kakarla, U.K.; Ruggieri, P.; Theodore, N. Cervical spinal cord infarction after cervical spine decompressive surgery. World Neurosurg. 2014, 81, 810–817. [Google Scholar] [CrossRef]
- Kaya, A.; Yıldız, Z.; Nurkalem, Z. Spinal cord infarction as a complication of percutaneous coronary intervention. Spinal Cord 2014, 52, S5–S7. [Google Scholar] [CrossRef]
- Matsubara, N.; Miyachi, S.; Okamaoto, T.; Izumi, T.; Asai, T.; Yamanouchi, T.; Ota, K.; Oda, K.; Wakabayashi, T. Spinal cord infarction is an unusual complication of intracranial neuroendovascular intervention. Interv. Neuroradiol. 2013, 19, 500–505. [Google Scholar] [CrossRef]
- Fujii, L.; Clain, J.E.; Morris, J.M.; Levy, M.J. Anterior spinal cord infarction with permanent paralysis following endoscopic ultrasound celiac plexus neurolysis. Endoscopy 2011, 44, E265–E266. [Google Scholar] [CrossRef] [PubMed]
- Brown, A.C.; Ray, C.E. Anterior Spinal Cord Infarction following Bronchial Artery Embolization. Semin. Interv. Radiol. 2012, 29, 241–244. [Google Scholar] [CrossRef]
- Park, S.J.; Kim, C.H.; Kim, J.D.; Um, S.H.; Yim, S.Y.; Seo, M.H.; Lee, D.I.; Kang, J.H.; Keum, B.; Kim, Y.S. Spinal cord injury after conducting transcatheter arterial chemoembolization for costal metastasis of hepatocellular carcinoma. Clin. Mol. Hepatol. 2012, 18, 316. [Google Scholar] [CrossRef]
- Bansal, S.; Brown, W.; Dayal, A.; Carpenter, J.L. Posterior spinal cord infarction due to fibrocartilaginous embolization in a 16-year-old athlete. Pediatrics 2014, 134, e289. [Google Scholar] [CrossRef]
- Reynolds, J.M.; Belvadi, Y.S.; Kane, A.G.; Poulopoulos, M. Thoracic disc herniation leads to anterior spinal artery syndrome demonstrated by diffusion-weighted magnetic resonance imaging (DWI): A case report and literature review. Spine J. 2014, 14, e17–e22. [Google Scholar] [CrossRef]
- Duprez, T.P.; Danvoye, L.; Hernalsteen, D.; Cosnard, G.; Sindic, C.J.; Godfraind, C. Fibrocartilaginous embolization to the spinal cord: Serial MR imaging monitoring and pathologic study. AJNR Am. J. Neuroradiol. 2005, 26, 496–501. [Google Scholar] [PubMed]
- Beer, S.; Kesselring, J. Fibrocartilaginous embolisation of the spinal cord in a 7-year-oldgirl. J. Neurol. 2002, 249, 936. [Google Scholar] [CrossRef] [PubMed]
- Tosi, L.; Rigoli, G.; Beltramello, A. Fibrocartilaginous embolism of the spinal cord: A clinical and pathogenetic reconsideration. J. Neurol. Neurosurg. Psychiatry 1996, 60, 55–60. [Google Scholar] [CrossRef] [PubMed]
- Piao, Y.S.; Lu, D.H.; Su, Y.Y.; Yang, X.P. Anterior spinal cord infarction caused by fibrocartilaginous embolism. Neuropathology 2009, 29, 172. [Google Scholar] [CrossRef]
- Freyaldenhoven, T.E.; Mrak, R.E.; Rock, L. Fibrocartilaginous embolization. Neurology 2001, 56, 1354. [Google Scholar] [CrossRef]
- Chang, C.W.; Donovan, D.J.; Liem, L.K.; O’Phelan, K.H.; Green, D.M.; Bassin, S.; Asai, S. Surfers’ myelopathy: A case series of 19 novice surfers with non-traumatic myelopathy. Neurology 2012, 79, 2171. [Google Scholar] [CrossRef]
- Duggal, N.; Lach, B. Selective vulnerability of the lumbosacral spinal cord after cardiac arrest and hypotension. Stroke 2002, 33, 116. [Google Scholar] [CrossRef]
- Sladky, J.T.; Rorke, L.B. Perinatal hypoxic/ischemic spinal cord injury. Pediatr. Pathol. 1986, 6, 87–101. [Google Scholar] [CrossRef]
- Lin, C.-C.; Chen, S.-Y.; Lan, C.; Shih, T.T.-F.; Lin, M.-C.; Lai, J.-S. Spinal cord infarction caused by cardiac tamponade. Am. J. Phys. Med. Rehabil. 2002, 81, 68–71. [Google Scholar] [CrossRef]
- Young, G.; Krohn, K.A.; Packer, R.J. Prothrombin G20210A mutation in a child with spinal cord infarction. J. Pediatr. 1999, 134, 777–779. [Google Scholar] [CrossRef]
- Ramelli, G.P.; Wyttenbach, R.; von der Weid, N.; Ozdoba, C. Anterior spinal artery syndrome in an adolescent with protein S deficiency. J. Child Neurol. 2001, 16, 134. [Google Scholar] [CrossRef] [PubMed]
- Rothman, S.M.; Nelson, J.S. Spinal cord infarction in a patient with sickle cell anemia. Neurology 1980, 30, 1072. [Google Scholar] [CrossRef] [PubMed]
- Márquez, J.C.; Granados, A.M.; Castillo, M. MRI of cervical spinal cord infarction in a patient with sickle cell disease. Clin. Imaging 2012, 36, 595–598. [Google Scholar] [CrossRef] [PubMed]
- Edwards, A.; Clay, E.L.J.; Jewells, V.; Adams, S.; Crawford, R.D.; Redding-Lallinger, R. A 19-year-old man with sickle cell disease presenting with spinal infarction: A case report. J. Med. Case Rep. 2013, 7, 210. [Google Scholar] [CrossRef]
- Khoueiry, M.; Moussa, H.; Sawaya, R. Spinal cord infarction in a young adult: What is the culprit? J. Spinal Cord Med. 2021, 44, 1015. [Google Scholar] [CrossRef]
- Ram, S.; Osman, A.; Cassar-Pullicino, V.N.; Short, D.J.; E Masry, W. Spinal cord infarction secondary to intervertebral foraminal disease. Spinal Cord 2004, 42, 481. [Google Scholar] [CrossRef]
- Helm, S.; Harmon, P.C.; Noe, C.; Calodney, A.K.; Abd-Elsayed, A.; Knezevic, N.N.; Racz, G.B. Transforaminal Epidural Steroid Injections: A Systematic Review and Meta-Analysis of Efficacy and Safety. Pain Physician 2021, 24, S209. [Google Scholar]
- Kennedy, D.J.; Dreyfuss, P.; Aprill, C.N.; Bogduk, N. Paraplegia following image-guided transforaminal lumbar spine epidural steroid injection: Two case reports. Pain Med. 2009, 10, 1389. [Google Scholar] [CrossRef]
- Wybier, M. Transforaminal epidural corticosteroid injections and spinal cord infarction. Jt. Bone Spine 2008, 75, 523–525. [Google Scholar] [CrossRef]
- Houten, J.K.; Errico, T.J. Paraplegia after lumbosacral nerve root block: Report of three cases. Spine J. 2002, 2, 70. [Google Scholar] [CrossRef]
- Huntoon, M.A.; Martin, D.P. Paralysis after transforaminal epidural injection and previous spinal surgery. Reg. Anesth. Pain Med. 2004, 29, 494. [Google Scholar] [CrossRef] [PubMed]
- Somayaji, H.S.; Saifuddin, A.; Casey, A.T.; Briggs, T.W. Spinal cord infarction following therapeutic computed tomography-guided left L2 nerve root injection. Spine 2005, 30, E106. [Google Scholar] [CrossRef] [PubMed]
- Quintero, N.; Laffont, I.; Bouhmidi, L.; Rech, C.; Schneider, A.E.; Gavardin, T.; Dizien, O. Transforaminal epidural steroid injection and paraplegia: Case report and bibliographic review. Ann. Readapt. Med. Phys. 2006, 49, 242. [Google Scholar] [CrossRef] [PubMed]
- Wybier, M.; Gaudart, S.; Petrover, D.; Houdart, E.; Laredo, J.-D. Paraplegia complicating selective steroid injections of the lumbar spine. Report of five cases and review of the literature. Eur. Radiol. 2009, 20, 181–189. [Google Scholar] [CrossRef]
- Lemke, R.P.; Idiong, N.; Al-Saedi, S.; Giddins, N.G.; Ward, C.; Hamilton, A.; Hawkins, L.; Hancock, B.J.; Odim, J.N. Spinal cord infarct after arterial switch associated with an umbilical artery catheter. Ann. Thorac. Surg. 1996, 62, 1532–1534. [Google Scholar] [CrossRef]
- Brown, M.S.; Phibbs, R.H. Spinal cord injury in newborns from use of umbilical artery catheters: Report of two cases and a review of the literature. J. Perinatol. 1988, 8, 105. [Google Scholar]
- Mori, S.; Sadoshima, S.; Tagawa, K.; Iino, K.; Fujishima, M. Massive spinal cord infarction with multiple paradoxical embolism: A case report. Angiology 1993, 44, 251. [Google Scholar] [CrossRef]
- Hirose, G.; Kosoegawa, H.; Takado, M.; Shimazaki, K.; Murakami, E. Spinal cord ischemia and left atrial myxoma. Arch. Neurol. 1979, 36, 439. [Google Scholar] [CrossRef]
- Petruzzellis, M.; Fraddosio, A.; Giorelli, M.; Prontera, M.; Tinelli, A.; Lucivero, V.; Federico, F. Posterior spinal artery infarct due to patent foramen ovale: A case report. Spine 2010, 35, E155. [Google Scholar] [CrossRef]
- Ishikawa, H.; Ohbe, H.; Omachi, N.; Morita, K.; Yasunaga, H. Spinal Cord Infarction after Bronchial Artery Embolization for Hemoptysis: A Nationwide Observational Study in Japan. Radiology 2021, 298, 673. [Google Scholar] [CrossRef]
- Padgett, M.; Abi-Jaoudeh, N.; Benn, B.S.; Rahimian, R.; Nelson, K. Anterior Cord Syndrome after Embolization for Malignant Hemoptysis. Semin. Interv. Radiol. 2019, 36, 111. [Google Scholar] [CrossRef] [PubMed]
- Mustafa, K.N.; Hadidy, A.; Joudeh, A.; Obeidat, F.N.; Abdulfattah, K.W. Spinal cord infarction in giant cell arteritis associated with scalp necrosis. Rheumatol. Int. 2014, 35, 377–381. [Google Scholar] [CrossRef] [PubMed]
- Laufs, H.; Weidauer, S.; Heller, C.; Lorenz, M.; Neumann-Haefelin, T. Hemi-spinal cord infarction due to vertebral artery dissection in congenital afibrinogenemia. Neurology 2004, 63, 1522. [Google Scholar] [CrossRef] [PubMed]
- Hsu, C.-Y.; Cheng, C.-Y.; Lee, J.-D.; Lee, M.; Huang, Y.-C.; Wu, C.-Y.; Hsu, H.-L.; Lin, Y.-H.; Huang, Y.-C.; Weng, H.-H.; et al. Clinical features and outcomes of spinal cord infarction following vertebral artery dissection: A systematic review of the literature. Neurol. Res. 2013, 35, 676. [Google Scholar] [CrossRef]
- Hakimi, K.N.; Massagli, T.L. Anterior spinal artery syndrome in two children with genetic thrombotic disorders. J. Spinal Cord Med. 2005, 28, 69–73. [Google Scholar] [CrossRef]
- Zalewski, N.L.; Flanagan, E.P.; Keegan, B.M. Evaluation of idiopathic transverse myelitis revealing specific myelopathy diagnoses. Neurology 2018, 90, e96–e102. [Google Scholar] [CrossRef]
- Griepp, E.B.; Di Luozzo, G.; Schray, D.; Stefanovic, A.; Geisbüsch, S.; Griepp, R.B. The anatomy of the spinal cord collateral circulation. Ann. Cardiothorac. Surg. 2012, 1, 350–357. [Google Scholar]
- Abou Al-Shaar, H.; AbouAl-Shaar, I.; Al-Kawi, M.Z. Acute cervical cord infarction in anterior spinal artery territory with acute swelling mimicking myelitis. Neurosciences 2015, 20, 372–375. [Google Scholar] [CrossRef][Green Version]
- Ducrocq, X.; Lacour, J.C.; Debouverie, M.; Bracard, S.; Girard, F.; Weber, M. Cerebral ischemic accidents in young subjects: A prospective study of 296 patients aged 16 to 45 years. Rev. Neurol. 1999, 155, 575–582. (In French) [Google Scholar]
- Markus, H.S.; Hayter, E.; Levi, C.; Feldman, A.; Venables, G.; Norris, J.; CADISS trial investigators. Antiplatelet treatment compared with anticoagulation treatment for cervical artery dissection (CADISS): A randomised trial. Lancet Neurol. 2015, 14, 361–367. [Google Scholar]
- Romi, F.; Naess, H. Spinal cord infarction in clinical neurology: A review of characteristics and long-term prognosis in comparison to cerebral infarction. Eur. Neurol. 2016, 76, 95–98. [Google Scholar] [CrossRef] [PubMed]
- Cheng, M.-Y.; Lyu, R.-K.; Chang, Y.-J.; Chen, C.-M.; Chen, S.-T.; Wai, Y.-Y.; Ro, L.-S. Concomitant spinal cord and vertebral body infarction is highly associated with aortic pathology: A clinical and magnetic resonance imaging study. J. Neurol. 2009, 256, 1418–1426. [Google Scholar] [CrossRef] [PubMed]
- Focke, J.K.; Seitz, R.J. Reversal of Acute Spinal Cord Ischemia by Intravenous Thrombolysis. Neurol. Clin. Pract. 2021, 11, e975–e976. [Google Scholar] [CrossRef] [PubMed] [PubMed Central]
- Berger, J.R.; Marado, K.; Atkins, M. Spinal Cord Infarction: Clinical Features, Diagnosis, and Management. Continuum 2020, 26, 151–167. [Google Scholar]








| Criteria | ||
|---|---|---|
| 1 | Acute non-traumatic myelopathy (no preceding progressive myelopathy) Onset to nadir of severe deficits ≤ 12 h If stuttering course is >12 h, severe deficits rapidly develop in 12 h or less | |
| 2 | MRI A. No spinal cord compression B. Supportive: Intramedullary T2-hyperintense spinal cord lesion C. Specific (1 of): Diffusion-weighted imaging/apparent diffusion coefficient restriction, associated vertebral body infarction, arterial dissection/occlusion adjacent to lesion | |
| 3 | Non-inflammatory CSF (normal cell count, IgG index, and no oligoclonal bands) | |
| 4 | Alternative diagnosis is not likely | |
| Probability Level | ||
| Definite spontaneous SCI | 1, 2A, 2B, 2C, 4 | |
| Probable spontaneous SCI | 1, 2A, 2B, 3, 4 | |
| Possible spontaneous SCI | 1, 4 | |
| Definite periprocedural SCI | 1, 2A, 2B, 4 | |
| Probable periprocedural SCI | 1, 4 | |
| Probability of the Diagnosis of Vascular Myelopathy | ||
|---|---|---|
| Definite | Probable | Possible |
| MRI hyperintense lesion in a defined vascular territory or watershed area on T2- weighted images | MRI hyperintense lesion in a defined vascular territory or watershed area on T2-weighted images | MRI hyperintense lesion in a defined vascular territory or watershed area on T2-weighted images |
| Vascular abnormality demonstrated on spinal angiogram explanatory of the clinical presentation | Spinal angiogram negative or not available | Spinal angiogram and DWI negative or not available |
| Exclusion of other etiologies | Positive DWI or known stroke risk factors or mechanism explanatory of the clinical presentation (i.e., severe hypotension, hypercoagulable state) | No identifiable risk factor or mechanism |
| Exclusion of other etiologies | Exclusion of other etiologies | |
| Acute Phase |
|
| Subacute Phase |
|
| Chronic Phase |
|
Disclaimer/Publisher’s Note: The statements, opinions and data contained in all publications are solely those of the individual author(s) and contributor(s) and not of MDPI and/or the editor(s). MDPI and/or the editor(s) disclaim responsibility for any injury to people or property resulting from any ideas, methods, instructions or products referred to in the content. |
© 2025 by the authors. Licensee MDPI, Basel, Switzerland. This article is an open access article distributed under the terms and conditions of the Creative Commons Attribution (CC BY) license (https://creativecommons.org/licenses/by/4.0/).
Share and Cite
Zedde, M.; De Falco, A.; Zanferrari, C.; Guarino, M.; Pezzella, F.R.; Haggiag, S.; Cossu, G.; Quatrale, R.; Micieli, G.; Del Sette, M.; et al. Spinal Cord Infarction: Clinical and Neuroradiological Clues of a Rare Stroke Subtype. J. Clin. Med. 2025, 14, 1293. https://doi.org/10.3390/jcm14041293
Zedde M, De Falco A, Zanferrari C, Guarino M, Pezzella FR, Haggiag S, Cossu G, Quatrale R, Micieli G, Del Sette M, et al. Spinal Cord Infarction: Clinical and Neuroradiological Clues of a Rare Stroke Subtype. Journal of Clinical Medicine. 2025; 14(4):1293. https://doi.org/10.3390/jcm14041293
Chicago/Turabian StyleZedde, Marialuisa, Arturo De Falco, Carla Zanferrari, Maria Guarino, Francesca Romana Pezzella, Shalom Haggiag, Gianni Cossu, Rocco Quatrale, Giuseppe Micieli, Massimo Del Sette, and et al. 2025. "Spinal Cord Infarction: Clinical and Neuroradiological Clues of a Rare Stroke Subtype" Journal of Clinical Medicine 14, no. 4: 1293. https://doi.org/10.3390/jcm14041293
APA StyleZedde, M., De Falco, A., Zanferrari, C., Guarino, M., Pezzella, F. R., Haggiag, S., Cossu, G., Quatrale, R., Micieli, G., Del Sette, M., & Pascarella, R. (2025). Spinal Cord Infarction: Clinical and Neuroradiological Clues of a Rare Stroke Subtype. Journal of Clinical Medicine, 14(4), 1293. https://doi.org/10.3390/jcm14041293

