What Is the Significance of Placental Lakes in Pregnancy? A Historic Literature Review
Abstract
1. Introduction
2. Methods
2.1. Pathology
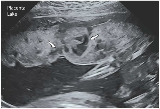
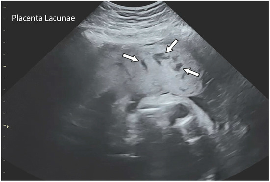
2.2. What Are Placenta Lakes vs. What Are Placenta Lacunae?
2.3. Prevalence
2.4. Histologic Findings with Placental Lakes
2.5. Diagnosis/Imaging
2.6. Clinical Management
2.7. Perinatal Outcomes
3. Discussion
Funding
Acknowledgments
Conflicts of Interest
References
- Cooperberg, P.L.; Wright, V.J.; Carpenter, C.W. Ultrasonographic demonstration of a placental maternal lake. J. Clin. Ultrasound JCU 1979, 7, 62–64. [Google Scholar] [CrossRef] [PubMed]
- Katz, V.L.; Blanchard, G.F.; Watson, W.J.; Miller, R.C.; Chescheir, N.C.; Thorp, J.M. The clinical implications of subchorionic placental lucencies. Am. J. Obstet. Gynecol. 1991, 164 Pt 1, 99–100. [Google Scholar] [CrossRef] [PubMed]
- Wan Masliza, W.D.; Bajuri, M.Y.; Hassan, M.R.; Naim, N.M.; Shuhaila, A.; Das, S. Sonographically abnormal placenta: An association with an increased risk poor pregnancy outcomes. La Clin. Ter. 2017, 168, e283–e289. [Google Scholar] [CrossRef]
- Hwang, H.S.; Sohn, I.S.; Kwon, H.S. The clinical significance of large placental lakes. Eur. J. Obstet. Gynecol. Reprod. Biol. 2012, 162, 139–143. [Google Scholar] [CrossRef]
- Reis, N.S.V.; Brizot, M.L.; Schultz, R.; Nomura, R.M.Y.; Zugaib, M. Placental lakes on sonographic examination: Correlation with obstetric outcome and pathologic findings. J. Clin. Ultrasound JCU 2005, 33, 67–71. [Google Scholar] [CrossRef] [PubMed]
- Thompson, M.O.; Vines, S.K.; Aquilina, J.; Wathen, N.C.; Harrington, K. Are placental lakes of any clinical significance? Placenta 2002, 23, 685–690. [Google Scholar] [CrossRef] [PubMed]
- Bian, Y.; Zheng, X.-Q.; Zheng, S.-S.; Liu, X.-W.; Liu, Z.-D. Clinical correlation between volume of placental lakes and non-reassuring fetal status: A retrospective cohort study. Eur. Rev. Med. Pharmacol. Sci. 2022, 26, 7905–7911. [Google Scholar] [CrossRef] [PubMed]
- Cooley, S.M.; Donnelly, J.C.; Walsh, T.; McMahon, C.; Gillan, J.; Geary, M.P. The impact of ultrasonographic placental architecture on antenatal course, labor and delivery in a low-risk primigravid population. J. Matern. -Fetal Neonatal Med. 2011, 24, 493–497. [Google Scholar] [CrossRef]
- Gavanier, D.; Berthet, G.; Hajri, T.; Allias, F.; Atallah, A.; Massoud, M.; Golfier, F.; Bolze, P.-A.; Massardier, J. Vesicules or placental lakes in ultrasonography, determining the correct etiology. J. Gynecol. Obstet. Hum. Reprod. 2021, 50, 101738. [Google Scholar] [CrossRef]
- Inubashiri, E.; Deguchi, K.; Abe, K.; Saitou, A.; Watanabe, Y.; Akutagawa, N.; Kuroki, K.; Sugawara, M.; Maeda, N. Three-dimensional high-definition flow in the diagnosis of placental lakes. J. Med. Ultrason. 2014, 41, 491–494. [Google Scholar] [CrossRef]
- Inubashiri, E.; Watanabe, Y.; Akutagawa, N.; Sugawara, M.; Kuroki, K.; Maeda, N. Visualization of the spiral artery jet in fetal growth-restricted pregnancy by utilizing spatiotemporal image correlation with high-definition flow. J. Med. Ultrason. 2015, 42, 601–603. [Google Scholar] [CrossRef] [PubMed]
- Jauniaux, E.; Zosmer, N.; D’Antonio, F.; Hussein, A.M. Placental lakes vs lacunae: Spot the differences. Ultrasound Obstet. Gynecol. 2024, 63, 173–180. [Google Scholar] [CrossRef] [PubMed]
- Yoshihara, M.; Mizutani, S.; Matsumoto, K.; Kato, Y.; Masuo, Y.; Tano, S.; Mizutani, H.; Kotani, T.; Mizutani, E.; Shibata, K.; et al. Crosstalk between foetal vasoactive peptide hormones and placental aminopeptidases regulates placental blood flow: Its significance in preeclampsia. Placenta 2022, 121, 32–39. [Google Scholar] [CrossRef]
- Has, R.; Yüksel, A.; Günay, S.; Aydinhan, E.; Ozgün, T. Antenatal sonographic detection of an unusual placental lake under the cord insertion. Arch. Gynecol. Obstet. 2005, 271, 59–61. [Google Scholar] [CrossRef]
- Morikawa, M.; Cho, K.; Kataoka, S.; Kato, E.H.; Yamada, T.; Yamada, H.; Minakami, H. Magnetic resonance image findings of placental lake: Report of two cases. Prenat. Diagn. 2005, 25, 250–252. [Google Scholar] [CrossRef] [PubMed]
- Di Donato, N.; Bartolini, L.; Pilu, G.; Rizzo, N. A case report of a large placental lake in a woman affected by complex cardiac disease. J. Obstet. Gynaecol. 2016, 36, 386–387. [Google Scholar] [CrossRef] [PubMed]
- Schiffer, V.; van Haren, A.; De Cubber, L.; Bons, J.; Coumans, A.; van Kuijk, S.M.; Spaanderman, M.; Al-Nasiry, S. Ultrasound evaluation of the placenta in healthy and placental syndrome pregnancies: A systematic review. Eur. J. Obstet. Gynecol. Reprod. Biol. 2021, 262, 45–56. [Google Scholar] [CrossRef]
- Bursac, D.; Madzarac, V.; Kardum, V.; Skrtic, A.; Kulas, T.; Hrgovic, Z. Placental lake in high-risk pregnancy. Z. Fur Geburtshilfe Und Neonatol. 2014, 218, 43–44. [Google Scholar] [CrossRef]
- Kawakita, T.; Sasaki, H.; Hirabuki, S.; Asamoto, A. Fetal growth restriction and reversed middle cerebral artery end-diastolic flow with subchorionic placental lake. J. Obstet. Gynaecol. Res. 2013, 39, 578–582. [Google Scholar] [CrossRef] [PubMed]
- Jauniaux, E.; Nicolaides, K.H. Placental lakes, absent umbilical artery diastolic flow and poor fetal growth in early pregnancy. Ultrasound Obstet. Gynecol. 1996, 7, 141–144. [Google Scholar] [CrossRef] [PubMed]
- Muramatsu, K.; Itoh, H.; Yamasaki, T.; Nakamura, Y.; Kobayashi, Y.; Hirai, K.; Suzuki, K.; Sugihara, K.; Sugimura, M.; Kanayama, N. A case of a huge placental lake; prenatal differential diagnosis and clinical management. J. Obstet. Gynaecol. Res. 2010, 36, 165–169. [Google Scholar] [CrossRef] [PubMed]
- Mansoor, S.; Kouba, I.; Blitz, M.J.; Bracero, L.A. Size and Number of Placental Lakes on 20-Week Anatomy Ultrasound and Obstetric Outcomes [A190]. Obstet. Gynecol. 2022, 139, 55S. [Google Scholar] [CrossRef]
- Soma, H.; Hata, T.; Oguro, T.; Fujita, K.; Kudo, M.; Vaidya, U. Characteristics of histopathological and ultrastructural features of placental villi in pregnant Nepalese women. Med. Mol. Morphol. 2005, 38, 92–103. [Google Scholar] [CrossRef] [PubMed]
- Japaraj, R.P.; Mimin, T.S.; Mukudan, K. Antenatal diagnosis of placenta previa accreta in patients with previous cesarean scar. J. Obstet. Gynaecol. Res. 2007, 33, 431–437. [Google Scholar] [CrossRef] [PubMed]
- Burton, G.J.; Jauniaux, E. Pathophysiology of placental-derived fetal growth restriction. Am. J. Obs. Gynecol. 2018, 218, S745–S761. [Google Scholar] [CrossRef] [PubMed]
- Basnet, K.M.; Bentley-Lewis, R.; Wexler, D.J.; Kilic, F.; Roberts, D.J. Prevalence of Intervillous Thrombi Is Increased in Placentas from Pregnancies Complicated by Diabetes. Pediatr. Dev. Pathol. 2016, 19, 502–505. [Google Scholar] [CrossRef] [PubMed]







| Author | Publication Year | Country | GA at US | Number of Patients | Placental Lake Size (cm) | Outcome |
|---|---|---|---|---|---|---|
| Hwang [4] | 2012 | Korea | 19–23 + 6 | 1294 (109 with lakes) | 2 × 2, large > 5 in length | Large placental lakes are correlated with small-for-gestational-age status |
| Reis [5] | 2005 | Brazil | 15–40 | 4106 (92 with lakes) | >2 × 1 | No diff in birth wt, PTD, adverse outcomes |
| Thompson [6] | 2002 | UK | 18–22 | 1198 (213 w/lakes) | 2 × 2 | No diff in IUGR, PIH, severe PE or abrupt |
| Bian [7] | 2022 | China | 20–24 | 1728 (156 w/lakes) | 1 | No diff in NR-FHR, higher vol lakes had increased NR-FHR |
| Cooley [8] | 2011 | Ireland | 2nd and 3rd trimester | 810 | Not stated | Placental lakes more common in women with first trimester bleeding |
| Gavanier [9] | 2021 | France | All trimesters | Not stated | >/=1 (lacunae), thickness > 4 | Placental lakes or vesicles can signal a range of diseases and complications that are potentially serious for the mother or the fetus |
| Inubashari [10] | 2001 | Japan | 36 + 3 | One | Not stated | Using spatiotemporal image correlation with high-definition flow (STIC-HDF) to evaluate placenta lake |
| Inubashari [11] | 2001 | Japan | 16 | One | 3.0 × 2.8 × 4.0 | Applying three-dimensional high-definition flow (3D-HDF) for diagnosing placental lakes |
| Jauniaux [12] | 2023 | UK | 20–23 weeks | Ten | Homogenous anechoic areas of >2 cm in diameter | Placental lakes, including large ones, have no clinical significance; placental lacunae develop progressively during the second trimester in pregnancies complicated by PAS at birth |
| Cooperberg [1] | 1979 | Canada | 32 | One (case study) | 3 × 4 × 5 | One of the earliest reports of a placental maternal lake diagnosed by ultrasound and confirmed by pathologic examination |
| Katz [2] | 1991 | US | 19.3 weeks (mean)—range 13 to 34 | 46 | >2 × 2 | Subchorionic placental lucencies do not appear to be associated with adverse pregnancy outcomes |
| Yoshihara [13] | 2022 | Japan | Not relevant | Not relevant | Not relevant | The placental circulation in pregnancy occurs through two independent circulation systems in which the circulation systems do not mix |
| Wan Masliza Wan Daud [3] | 2005 | Malaysia | 20–22 w and 30–32 w | 68 | Presence of small placental lakes more than 3, or less than 3 but large (more than 2 cm in diameter) | Presence of abnormal placental thickness and lakes at 30–32-week scan is associated with maternal hypertensive disease, fetal growth restriction and low umbilical cord pH; however, these were not statistically significant |
| Has [14] | 2001 | Turkey | 28 w | 1 | 10 × 10.3 × 10 | No complications during pregnancy; however, obstetric hemorrhage took place during second stage of delivery |
| Morikawa [15] | 2005 | Japan | 24 w and 35 w | 2 | 11 × 4.8 × 4.0 cm; 6.6 × 3.7 × 2.2 cm | SGA infants were born at term in both cases; however, placental lakes considered benign finding |
| Di Donato [16] | 2016 | Italy | 20 w | 1 | 10 × 6.5 × 5 | Lake resolved in the 3rd trimester, pt delivered via elective cesarean section due to maternal cardiac history and did not have a PPH |
| Schiffer [17] | 2021 | Netherlands | Between 12 and 31 weeks—for placental lakes specifically | 28 studies were included, describing a total of 1719 cases of placenta syndrome pregnancies. For placental lakes specifically, a total of five studies | Generally, >2 × 2 cm surrounded by placental tissue of normal echogenicity | No statistically significant difference in presence of placental lakes between complicated and uncomplicated pregnancies |
| Bursac [18] | 2014 | Croatia | 33 w | 1 | 3.6 × 2.3 | Incidental finding of a placental lake associated with several other risk factors for adverse outcome in high-risk pregnancy, resulted in premature birth and newborn pathologic brain US with clinical correlate |
| Kawakita [19] | 2013 | Japan | 26 w | 1 | 14 × 2.4 × 2.7 cm | Severe FGR associated with huge subchorionic placental lake and reversed MCA end-diastolic flow, resulted in a C-section at 27 w 3 d |
| Jauniaux [20] | 1996 | UK | 12 w | 1 | Not stated | FGR in a patient who had multiple placental lakes who subsequently underwent medical termination as follow-up US showed no fetal growth and poor prognosis |
| Muramatsu [21] | 2010 | Japan | 35 w | 1 | 2–4 cm thick | Delivered by elective cesarean at term because of the potential risk of hemorrhage and lack of guidelines |
| Mansoor [22] | 2022 | US | 20 w | 210 | Small < 5 cm; Large </= 5 cm | No difference in gestational age at delivery, preterm birth, C-section, preeclampsia or birth weight between groups with small vs. large placental lakes |
| Soma [23] | 2005 | Japan | All trimesters | 6500 | Not stated | Chorangiosis associated with placental lakes |
| Japaraj [24] | 2007 | Malaysia | >28 w | 21 | Not stated | Multiple placental lakes most common ultrasound finding in patients with a history of previous cesarean section diagnosed with placenta accreta |
| Ultrasound Description | Definition |
|---|---|
| Sonolucent | Appears black on ultrasound (waves without echo) |
| Anechoic | No echo on ultrasound |
| Hypoechoic | Not many echoes on ultrasound and appears gray on ultrasound |
| Hyperechoic | Produces echoes of larger amplitude or density than surrounding tissue |
| Characteristics | Placental Lake | Placental Lacunae |
|---|---|---|
| Sonographic appearance | Anechoic area surrounded by normal tissue | Anechoic area surrounded by normal tissue |
| First ultrasound appearance | First trimester of pregnancy | Second trimester |
| Location | Areas of low villous density, under fetal plate, marginal areas | Distortion of placental lobular development around the prior uterine scar |
| Blood flow | Low volume or varying velocity | High volume and high velocity |
| Fetal Growth Assessment | Antenatal Surveillance | Delivery Timing/Route | |
|---|---|---|---|
| Isolated small (<4 cm) placental lakes | Third trimester growth with reassessment of placenta | Not recommended | Usual OB indications |
| Multiple placental lakes | Serial growth ultrasounds q3–4 weeks with continued placental evaluation | Consider weekly NST or BPP | Usual OB indications though shared decision making on route in certain cases is reasonable |
| Large placental lakes (≥4 cm) | |||
| Thickened placental with lakes |
Disclaimer/Publisher’s Note: The statements, opinions and data contained in all publications are solely those of the individual author(s) and contributor(s) and not of MDPI and/or the editor(s). MDPI and/or the editor(s) disclaim responsibility for any injury to people or property resulting from any ideas, methods, instructions or products referred to in the content. |
© 2025 by the authors. Licensee MDPI, Basel, Switzerland. This article is an open access article distributed under the terms and conditions of the Creative Commons Attribution (CC BY) license (https://creativecommons.org/licenses/by/4.0/).
Share and Cite
Choi-Klier, J.; Masters, S.; Lewis, D.; Taylor, K.; Magann, E.F. What Is the Significance of Placental Lakes in Pregnancy? A Historic Literature Review. J. Clin. Med. 2025, 14, 1260. https://doi.org/10.3390/jcm14041260
Choi-Klier J, Masters S, Lewis D, Taylor K, Magann EF. What Is the Significance of Placental Lakes in Pregnancy? A Historic Literature Review. Journal of Clinical Medicine. 2025; 14(4):1260. https://doi.org/10.3390/jcm14041260
Chicago/Turabian StyleChoi-Klier, Joanna, Stephanie Masters, Danielle Lewis, Kaitlyn Taylor, and Everett F. Magann. 2025. "What Is the Significance of Placental Lakes in Pregnancy? A Historic Literature Review" Journal of Clinical Medicine 14, no. 4: 1260. https://doi.org/10.3390/jcm14041260
APA StyleChoi-Klier, J., Masters, S., Lewis, D., Taylor, K., & Magann, E. F. (2025). What Is the Significance of Placental Lakes in Pregnancy? A Historic Literature Review. Journal of Clinical Medicine, 14(4), 1260. https://doi.org/10.3390/jcm14041260

