An Approach to and Treatment of Indeterminate Biliary Strictures: A Comprehensive Review of the Literature
Abstract
1. Introduction
2. Indeterminate Biliary Stricture Characteristics
3. Main Diagnostic Tools
3.1. ERCP
3.2. EUS
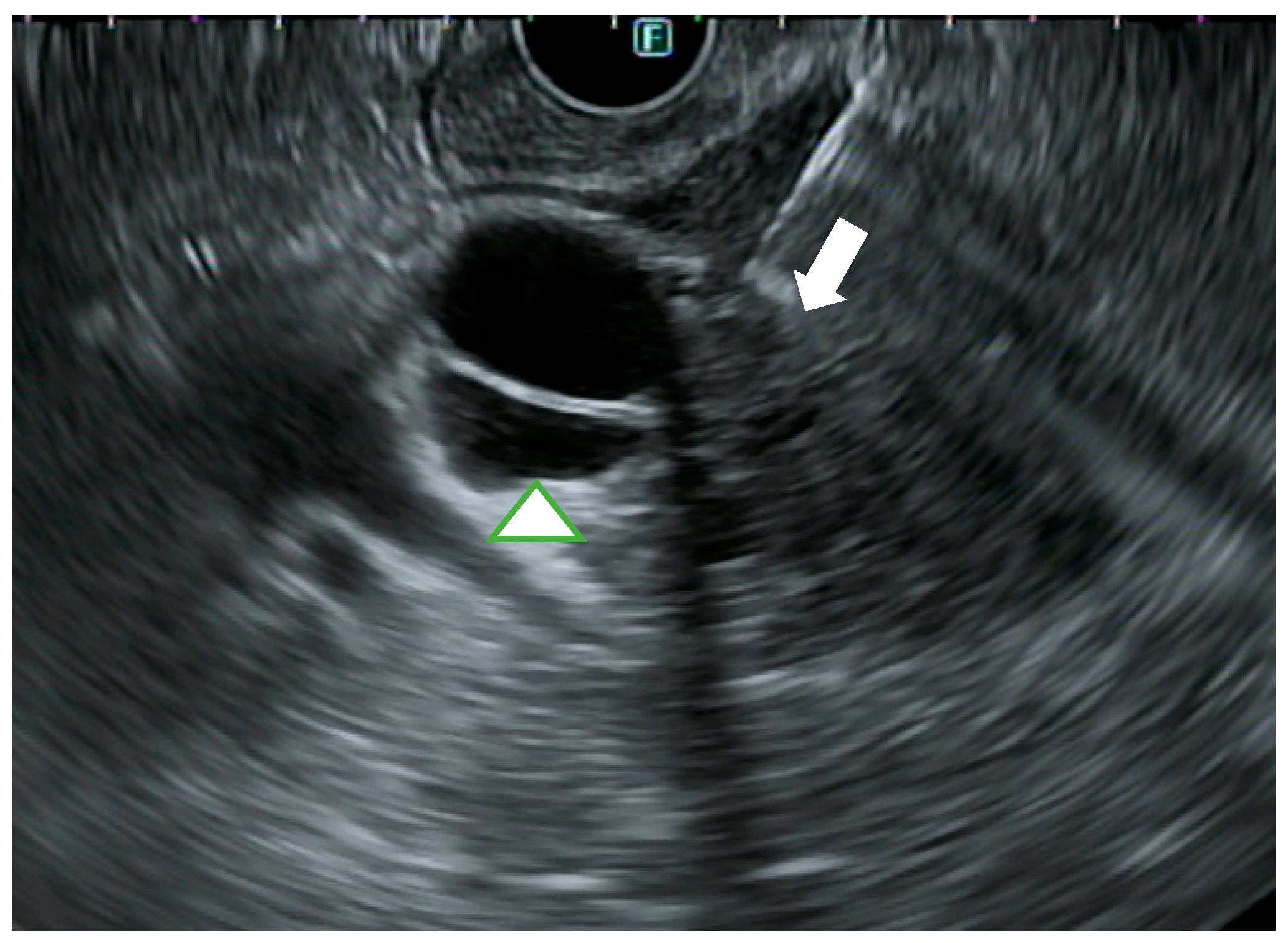
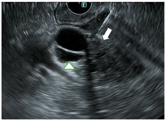
3.3. Intraductal Ultrasound (Miniprobe Endoscopic Ultrasound)
3.4. Cholangioscopy
3.5. Confocal Laser Endomicroscopy
3.6. Other Diagnostic Approaches
4. Management and Therapeutic Approach
4.1. ERCP in Distal Strictures
4.2. ERCP in Perihilar Strictures
4.3. EUS-Guided Biliary Drainage (EUS-BD)
4.4. Percutaneous Transhepatic Biliary Drainage (PTBD)
5. Conclusions and Future Directions
Funding
Conflicts of Interest
References
- Pouw, R.E.; Barret, M.; Biermann, K.; Bisschops, R.; Czakó, L.; Gecse, K.B.; de Hertogh, G.; Hucl, T.; Iacucci, M.; van Hooft, J.E.; et al. Endoscopic tissue sampling—Part 1: Upper gastrointestinal and hepatopancreatobiliary tracts. European Society of Gastrointestinal Endoscopy (ESGE) Guideline. Endoscopy 2021, 53, 1174–1188. [Google Scholar] [CrossRef]
- Fujii-Lau, L.L.; Thosani, N.C.; Al-Haddad, M.; Acoba, J.; Wray, C.J.; Zvavanjanja, R.; Dabr, F.; Amateau, S.K.; Buxbaum, J.L.; Qumseya, B.J.; et al. American Society for Gastrointestinal Endoscopy guideline on the role of endoscopy in the diagnosis of malignancy in biliary strictures of undetermined etiology: Summary and recommendations. Gastrointest Endosc. 2023, 98, 685–693. [Google Scholar] [CrossRef]
- Tummala, P.; Munigala, S.; Eloubeidi, M.A.; Agarwal, B. Patients with obstructive jaundice and biliary stricture ± mass lesion on imaging: Prevalence of malignancy and potential role of EUS-FNA. J. Clin. Gastroenterol. 2013, 47, 532–537. [Google Scholar] [CrossRef]
- DeWitt, J.; Misra, V.L.; Leblanc, J.K.; McHenry, L.; Sherman, S. EUS-guided FNA of proximal biliary strictures after negative ERCP brush cytology results. Gastrointest. Endosc. 2006, 64, 325–333. [Google Scholar] [CrossRef] [PubMed]
- Bowlus, C.L.; Olson, K.A.; Gershwin, M.E. Evaluation of indeterminate biliary strictures. Nat. Rev. Gastroenterol. Hepatol. 2016, 13, 28–37, Erratum in: Nat. Rev. Gastroenterol. Hepatol. 2017, 14, 749. [Google Scholar] [CrossRef]
- Navaneethan, U.; Njei, B.; Lourdusamy, V.; Konjeti, R.; Vargo, J.J.; Parsi, M.A. Comparative effectiveness of biliary brush cytology and intraductal biopsy for detection of malignant biliary strictures: A systematic review and meta-analysis. Gastrointest. Endosc. 2015, 81, 168–176. [Google Scholar] [CrossRef]
- Baroud, S.; Sahakian, A.J.; Sawas, T.; Storm, A.C.; Martin, J.A.; Abu Dayyeh, B.K.; Topazian, M.D.; Levy, M.J.; Roberts, L.R.; Gores, G.J.; et al. Impact of trimodality sampling on detection of malignant biliary strictures compared with patients with primary sclerosing cholangitis. Gastrointest. Endosc. 2022, 95, 884–892. [Google Scholar] [CrossRef]
- Lee, S.J.; Lee, Y.S.; Lee, M.G.; Lee, S.H.; Shin, E.; Hwang, J.H. Triple-tissue sampling during endoscopic retrograde cholangiopancreatography increases the overall diagnostic sensitivity for cholangiocarcinoma. Gut Liver 2014, 8, 669–673. [Google Scholar] [CrossRef]
- Mohamadnejad, M.; DeWitt, J.M.; Sherman, S.; LeBlanc, J.K.; Pitt, H.A.; House, M.G.; Jones, K.J.; Fogel, E.L.; McHenry, L.; Watkins, J.L.; et al. Role of EUS for preoperative evaluation of cholangiocarcinoma: A large single-center experience. Gastrointest. Endosc. 2011, 73, 71–78. [Google Scholar] [CrossRef]
- Conway, J.D.; Mishra, G. The Role of Endoscopic Ultrasound in Biliary Strictures. Curr. Gastroenterol. Rep. 2008, 10, 157–162. [Google Scholar] [CrossRef] [PubMed]
- Jo, J.H.; Cho, C.M.; Jun, J.H.; Chung, M.J.; Kim, T.H.; Seo, D.W.; Kim, J.; Park, D.H.; Research Group for Endoscopic Ultrasonography in KSGE. Same-session endoscopic ultrasound-guided fine needle aspiration and endoscopic retrograde cholangiopancreatography-based tissue sampling in suspected malignant biliary obstruction: A multicenter experience. J. Gastroenterol. Hepatol. 2019, 34, 799–805. [Google Scholar] [CrossRef] [PubMed]
- De Moura, D.T.H.; Ryou, M.; De Moura, E.G.H.; Ribeiro, I.B.; Bernardo, W.M.; Thompson, C.C. Endoscopic Ultrasound-Guided Fine Needle Aspiration and Endoscopic Retrograde Cholangiopancreatography-Based Tissue Sampling in Suspected Malignant Biliary Strictures: A Meta-Analysis of Same-Session Procedures. Clin. Endosc. 2020, 53, 417–428. [Google Scholar] [CrossRef]
- Heimbach, J.K.; Sanchez, W.; Rosen, C.B.; Gores, G.J. Trans-peritoneal fine needle aspiration biopsy of hilar cholangiocarcinoma is associated with disease dissemination. HPB 2011, 13, 356–360. [Google Scholar] [CrossRef] [PubMed]
- Levy, M.J.; Gleeson, F.C.; Campion, M.B.; Caudill, J.L.; E Clain, J.; Halling, K.; Rajan, E.; Topazian, M.D.; Wang, K.K.; Wiersema, M.J.; et al. Prospective cytological assessment of gastrointestinal luminal fluid acquired during EUS: A potential source of false-positive FNA and needle tract seeding. Am. J. Gastroenterol. 2010, 105, 1311–1318. [Google Scholar] [CrossRef]
- Ngamruengphong, S.; Xu, C.; Woodward, T.A.; Raimondo, M.; Stauffer, J.A.; Asbun, H.J.; Wallace, M.B. Risk of gastric or peritoneal recurrence, and long-term outcomes, following pancreatic cancer resection with preoperative endosonographically guided fine needle aspiration. Endoscopy 2013, 45, 619–626. [Google Scholar] [CrossRef]
- Ikezawa, K.; Uehara, H.; Sakai, A.; Fukutake, N.; Imanaka, K.; Ohkawa, K.; Tanakura, R.; Ioka, T.; Tanaka, S.; Ishikawa, O.; et al. Risk of peritoneal carcinomatosis by endoscopic ultrasound-guided fine needle aspiration for pancreatic cancer. J. Gastroenterol. 2013, 48, 966–972. [Google Scholar] [CrossRef] [PubMed]
- El Chafic, A.H.; Dewitt, J.; Leblanc, J.K.; El Hajj, I.I.; Cote, G.; House, M.G.; Sherman, S.; McHenry, L.; Pitt, H.A.; Johnson, C.; et al. Impact of preoperative endoscopic ultrasound-guided fine needle aspiration on postoperative recurrence and survival in cholangiocarcinoma patients. Endoscopy 2013, 45, 883–889. [Google Scholar] [CrossRef] [PubMed]
- Yoon, W.J.; Daglilar, E.S.; Fernández-del Castillo, C.; Mino-Kenudson, M.; Pitman, M.B.; Brugge, W.R. Peritoneal seeding in intraductal papillary mucinous neoplasm of the pancreas patients who underwent endoscopic ultrasound-guided fine-needle aspiration: The PIPE study. Endoscopy 2014, 46, 382–387. [Google Scholar] [CrossRef] [PubMed]
- Tsutsumi, H.; Hara, K.; Mizuno, N.; Hijioka, S.; Imaoka, H.; Tajika, M.; Tanaka, T.; Ishihara, M.; Yoshimura, K.; Shimizu, Y.; et al. Clinical impact of preoperative endoscopic ultrasound-guided fine-needle aspiration for pancreatic ductal adenocarcinoma. Endosc. Ultrasound 2016, 5, 94–100. [Google Scholar] [PubMed]
- Chiang, A.; Theriault, M.; Salim, M.; James, P.D. The incremental benefit of EUS for the identification of malignancy in indeterminate extrahepatic biliary strictures: A systematic review and meta-analysis. Endosc. Ultrasound 2019, 8, 310–317. [Google Scholar]
- Tamada, K.; Ueno, N.; Tomiyama, T.; Oohashi, A.; Wada, S.; Nishizono, T.; Tano, S.; Aizawa, T.; Ido, K.; Kimura, K. Characterization of biliary strictures using intraductal ultrasonography: Comparison with percutaneous cholangioscopic biopsy. Gastrointest. Endosc. 1998, 47, 341–349. [Google Scholar] [CrossRef]
- Robles-Medranda, C.; Valero, M.; Soria-Alcivar, M.; Puga-Tejada, M.; Oleas, R.; Ospina-Arboleda, J.; Alvarado-Escobar, H.; Baquerizo-Burgos, J.; Robles-Jara, C.; Pitanga-Lukashok, H.; et al. Reliability and accuracy of a novel classification system using peroral cholangioscopy for the diagnosis of bile duct lesions. Endoscopy 2018, 50, 1059–1070. [Google Scholar] [CrossRef] [PubMed]
- De Oliveira, P.V.A.G.; de Moura, D.T.H.; Ribeiro, I.B.; Bazarbashi, A.N.; Franzini, T.A.P.; dos Santos, M.E.L.; Bernardo, W.M.; de Moura, E.G.H. Efficacy of digital single-operator cholangioscopy in the visual interpretation of indeterminate biliary strictures: A systematic review and meta-analysis. Surg. Endosc. 2020, 34, 3321–3329. [Google Scholar] [CrossRef] [PubMed]
- Badshah, M.B.; Vanar, V.; Kandula, M.; Kalva, N.; Badshah, M.B.; Revenur, V.; Bechtold, M.L.; Forcione, D.G.; Donthireddy, K.; Puli, S.R. Peroral cholangioscopy with cholangioscopy-directed biopsies in the diagnosis of biliary malignancies: A systemic review and meta-analysis. Eur. J. Gastroenterol. Hepatol. 2019, 31, 935–940. [Google Scholar] [CrossRef] [PubMed]
- Caillol, F.; Filoche, B.; Gaidhane, M.; Kahaleh, M. Refined probe-based confocal laser endomicroscopy classification for biliary strictures: The Paris Classification. Dig. Dis. Sci. 2013, 58, 1784–1789. [Google Scholar] [CrossRef]
- Kahaleh, M.; Giovannini, M.; Jamidar, P.; Gan, S.I.; Cesaro, P.; Caillol, F.; Filoche, B.; Karia, K.; Smith, I.; Gaidhane, M.; et al. Probe-based confocal laser endomicroscopy for indeterminate biliary strictures: Refinement of the image interpretation classification. Gastroenterol. Res. Pract. 2015, 2015, 675210. [Google Scholar] [CrossRef] [PubMed]
- Yadlapati, S.; Mulki, R.; Sánchez-Luna, A.S.; Ahmed, A.M.; Baig, K.R.K.K.; Peter, S. Clinical approach to indeterminate biliary strictures: Clinical presentation, diagnosis, and workup. World J. Gastroenterol. 2023, 29, 5198–5210. [Google Scholar] [CrossRef] [PubMed]
- Meining, A.; Shah, R.J.; Slivka, A.; Pleskow, D.; Chuttani, R.; Stevens, P.D.; Becker, V.; Chen, Y.K. Classification of probe-based confocal laser endomicroscopy findings in pancreaticobiliary strictures. Endoscopy 2012, 44, 251–257. [Google Scholar] [CrossRef]
- Sato, T.; Nakai, Y.; Fujishiro, M. Current endoscopic approaches to biliary strictures. Curr. Opin. Gastroenterol. 2022, 38, 450–460. [Google Scholar] [CrossRef]
- Navaneethan, U.; Gutierrez, N.G.; Jegadeesan, R.; Venkatesh, P.G.K.; Poptic, E.; Liu, X.; Sanaka, M.R.; Jang, S.; Vargo, J.J.; Parsi, M.A. Vascular endothelial growth factor levels in bile distinguishes pancreatic cancer from other etiologies of biliary stricture: A pilot study. Dig. Dis. Sci. 2013, 58, 2986–2992. [Google Scholar] [CrossRef] [PubMed]
- Liew, Z.H.; Loh, T.J.; Lim, T.K.H.; Lim, T.H.; Khor CJ, L.; Mesenas, S.J.; Kong, C.S.C.; Ong, W.C.; Tan, D.M.Y. Role of fluorescence in situ hybridization in diagnosing cholangiocarcinoma in indeterminate biliary strictures. J. Gastroenterol. Hepatol. 2018, 33, 315–319. [Google Scholar] [CrossRef]
- Garcea, G.; Chee, W.; Ong, S.L.; Maddern, G.J. Preoperative biliary drainage for distal obstruction: The case against revisited. Pancreas 2010, 39, 119–126. [Google Scholar] [CrossRef] [PubMed]
- Moole, H.; Bechtold, M.; Puli, S.R. Efficacy of preoperative biliary drainage in malignant obstructive jaundice: A meta-analysis and systematic review. World J. Surg. Oncol. 2016, 14, 182. [Google Scholar] [CrossRef]
- Scheufele, F.; Schorn, S.; Demir, I.E.; Sargut, M.; Tieftrunk, E.; Calavrezos, L.; Jäger, C.; Friess, H.; Ceyhan, G.O. Preoperative biliary stenting versus operation first in jaundiced patients due to malignant lesions in the pancreatic head: A meta-analysis of current literature. Surgery 2017, 161, 939–950. [Google Scholar] [CrossRef]
- Dumonceau, J.M.; Tringali, A.; Papanikolaou, I.S.; Blero, D.; Mangiavillano, B.; Schmidt, A.; Vanbiervliet, G.; Costamagna, G.; Devière, J.; García-Cano, J.; et al. Endoscopic biliary stenting: Indications, choice of stents, and results: European Society of Gastrointestinal Endoscopy (ESGE) Clinical Guideline—Updated October 2017. Endoscopy 2018, 50, 910–930. [Google Scholar] [CrossRef]
- Elmunzer, B.J.; Maranki, J.L.; Gómez, V.; Tavakkoli, A.; Sauer, B.G.; Limketkai, B.N.; Brennan, E.A.; Attridge, E.M.; Brigham, T.J.; Wang, A.Y. ACG Clinical Guideline: Diagnosis and Management of Biliary Strictures. Am. J. Gastroenterol. 2023, 118, 405–426. [Google Scholar] [CrossRef]
- Moole, H.; Jaeger, A.; Cashman, M.; Volmar, F.H.; Dhillon, S.; Bechtold, M.L.; Puli, S.R. Are self-expandable metal stents superior to plastic stents in palliating malignant distal biliary strictures? A meta-analysis and systematic review. Med. J. Armed Forces India 2017, 73, 42–48. [Google Scholar] [CrossRef] [PubMed]
- Zorrón, P.L.; de Moura, E.G.; Bernardo, W.M.; Baracat, F.I.; Mendonça, E.Q.; Kondo, A.; Luz, G.Q.; Júnior, C.K.F.; Artifon, E.L.d.A. Endoscopic stenting for inoperable malignant biliary obstruction: A systematic review and meta-analysis. World J Gastroenterol. 2015, 21, 13374–13385. [Google Scholar]
- Almadi, M.A.; Barkun, A.; Martel, M. Plastic vs. Self-Expandable Metal Stents for Palliation in Malignant Biliary Obstruction: A Series of Meta-Analyses. Am. J. Gastroenterol. 2017, 112, 260–273. [Google Scholar] [CrossRef]
- Xia, M.X.; Pan, Y.L.; Cai, X.B.; Wu, J.; Gao, D.; Ye, X.; Wang, T.; Hu, B. Comparison of endoscopic bilateral metal stent drainage with plastic stents in the palliation of unresectable hilar biliary malignant strictures: Large multicenter study. Dig. Endosc. 2021, 33, 179–189. [Google Scholar] [CrossRef]
- Kim, J.Y.; Lee, S.G.; Kang, D.; Lee, D.K.; Park, J.K.; Lee, K.T.; Lee, J.K.; Lee, K.H. The Comparison of Endoscopic Biliary Drainage in Malignant Hilar Obstruction by Cholangiocarcinoma: Bilateral Metal Stents versus Multiple Plastic Stents. Gut Liver 2021, 15, 922–929. [Google Scholar] [CrossRef] [PubMed]
- Kerdsirichairat, T.; Arain, M.A.; Attam, R.; Glessing, B.; Bakman, Y.; Amateau, S.K.; Freeman, M.L. Endoscopic Drainage of >50% of Liver in Malignant Hilar Biliary Obstruction Using Metallic or Fenestrated Plastic Stents. Clin. Transl. Gastroenterol. 2017, 8, e115. [Google Scholar] [CrossRef] [PubMed]
- Mangiavillano, B.; Pagano, N.; Baron, T.H.; Arena, M.; Iabichino, G.; Consolo, P.; Opocher, E.; Luigiano, C. Biliary and pancreatic stenting: Devices and insertion techniques in therapeutic endoscopic retrograde cholangiopancreatography and endoscopic ultrasonography. World J. Gastrointest. Endosc. 2016, 8, 143–156. [Google Scholar] [CrossRef] [PubMed]
- Moole, H.; Bechtold, M.L.; Forcione, D.; Puli, S.R. A meta-analysis and systematic review: Success of endoscopic ultrasound guided biliary stenting in patients with inoperable malignant biliary strictures and a failed ERCP. Medicine 2017, 96, e5154. [Google Scholar] [CrossRef] [PubMed]
- Khan, M.A.; Akbar, A.; Baron, T.H.; Khan, S.; Kocak, M.; Alastal, Y.; Hammad, T.; Lee, W.M.; Sofi, A.; Artifon, E.L.A.; et al. Endoscopic Ultrasound-Guided Biliary Drainage: A Systematic Review and Meta-Analysis. Dig. Dis. Sci. 2016, 61, 684–703. [Google Scholar] [CrossRef]
- Dhindsa, B.S.; Mashiana, H.S.; Dhaliwal, A.; Dhaliwal, A.; Mohan, B.; Jayaraj, M.; Sayles, H.; Singh, S.; Ohning, G.; Bhat, I. EUS-guided biliary drainage: A systematic review and meta-analysis. Endosc. Ultrasound 2020, 9, 101–109. [Google Scholar]
- Liu, J.G.; Wu, J.; Wang, J.; Shu, G.-M.; Wang, Y.-J.; Lou, C.; Zhang, J.; Du, Z. Endoscopic Biliary Drainage Versus Percutaneous Transhepatic Biliary Drainage in Patients with Resectable Hilar Cholangiocarcinoma: A Systematic Review and Meta-Analysis. J. Laparoendosc. Adv. Surg. Tech. A 2018, 28, 1053–1060. [Google Scholar] [CrossRef]
- Moll, C.F.; de Moura, D.T.H.; Ribeiro, I.B.; Proença, I.M.; Monte ES, D.; Sánchez-Luna, S.A.; Merchán, M.F.S.; Intriago, J.M.V.; Bernardo, W.M.; de Moura, E.G.H.; et al. Endoscopic Biliary Darinage (EBD) versus Percutaneous Transhepatic Biliary Drainage (PTBD) for biliary drainage in patients with Perihilar Cholangiocarcinoma (PCCA): A systematic review and meta-analysis. Clinics 2023, 78, 100163. [Google Scholar] [CrossRef]
- Giri, S.; Seth, V.; Afzalpurkar, S.; Angadi, S.M.; Jearth, V.M.; Sundaram, S.M. Endoscopic Ultrasound-guided Versus Percutaneous Transhepatic Biliary Drainage After Failed ERCP: A Systematic Review and Meta-analysis. Surg. Laparosc. Endosc. Percutan Tech. 2023, 33, 411–419. [Google Scholar] [CrossRef] [PubMed]







| Malignant | Benign |
|---|---|
| Pancreatic cancer | Inflammatory: chronic pancreatitis, PSC, IgG4-related cholangitis/pancreatitis |
| Cholangiocarcinoma | Iatrogenic: cholecystectomy, liver transplant, chemotherapy, radiation |
| Gallbladder malignancy | Vascular: ischemic biliary injury, portal hypertensive biliopathy, vasculitis |
| Hepatocellular carcinoma | Infectious: recurrent pyogenic cholangitis, HIV cholangiopathy, parasitic infections |
| Ampullary cancer | Traumatic |
| Lymphoma | Mirizzi syndrome |
| Metastasis | Other: sarcoidosis, eosinophilic cholangitis, mastocytosis |
Disclaimer/Publisher’s Note: The statements, opinions and data contained in all publications are solely those of the individual author(s) and contributor(s) and not of MDPI and/or the editor(s). MDPI and/or the editor(s) disclaim responsibility for any injury to people or property resulting from any ideas, methods, instructions or products referred to in the content. |
© 2024 by the authors. Licensee MDPI, Basel, Switzerland. This article is an open access article distributed under the terms and conditions of the Creative Commons Attribution (CC BY) license (https://creativecommons.org/licenses/by/4.0/).
Share and Cite
Impellizzeri, G.; Grassini, M.V.; Donato, G.; De Angelis, C.G.; Pagano, N. An Approach to and Treatment of Indeterminate Biliary Strictures: A Comprehensive Review of the Literature. J. Clin. Med. 2025, 14, 29. https://doi.org/10.3390/jcm14010029
Impellizzeri G, Grassini MV, Donato G, De Angelis CG, Pagano N. An Approach to and Treatment of Indeterminate Biliary Strictures: A Comprehensive Review of the Literature. Journal of Clinical Medicine. 2025; 14(1):29. https://doi.org/10.3390/jcm14010029
Chicago/Turabian StyleImpellizzeri, Giovanna, Maria Vittoria Grassini, Giulio Donato, Claudio Giovanni De Angelis, and Nico Pagano. 2025. "An Approach to and Treatment of Indeterminate Biliary Strictures: A Comprehensive Review of the Literature" Journal of Clinical Medicine 14, no. 1: 29. https://doi.org/10.3390/jcm14010029
APA StyleImpellizzeri, G., Grassini, M. V., Donato, G., De Angelis, C. G., & Pagano, N. (2025). An Approach to and Treatment of Indeterminate Biliary Strictures: A Comprehensive Review of the Literature. Journal of Clinical Medicine, 14(1), 29. https://doi.org/10.3390/jcm14010029

