Clinical and Radiologic Outcomes of Augmented Partial Repair with Acellular Dermal Allograft and Superior Capsular Reconstruction in Massive Rotator Cuff Tears: 2-Year Follow-Up
Abstract
1. Introduction
2. Materials and Methods
2.1. Study Design
2.2. Clinical and Radiologic Assessment
2.3. Surgical Procedure
2.4. Postoperative Rehabilitation
2.5. Statistical Analysis
3. Results
3.1. Patients
3.2. Clinical Assessment
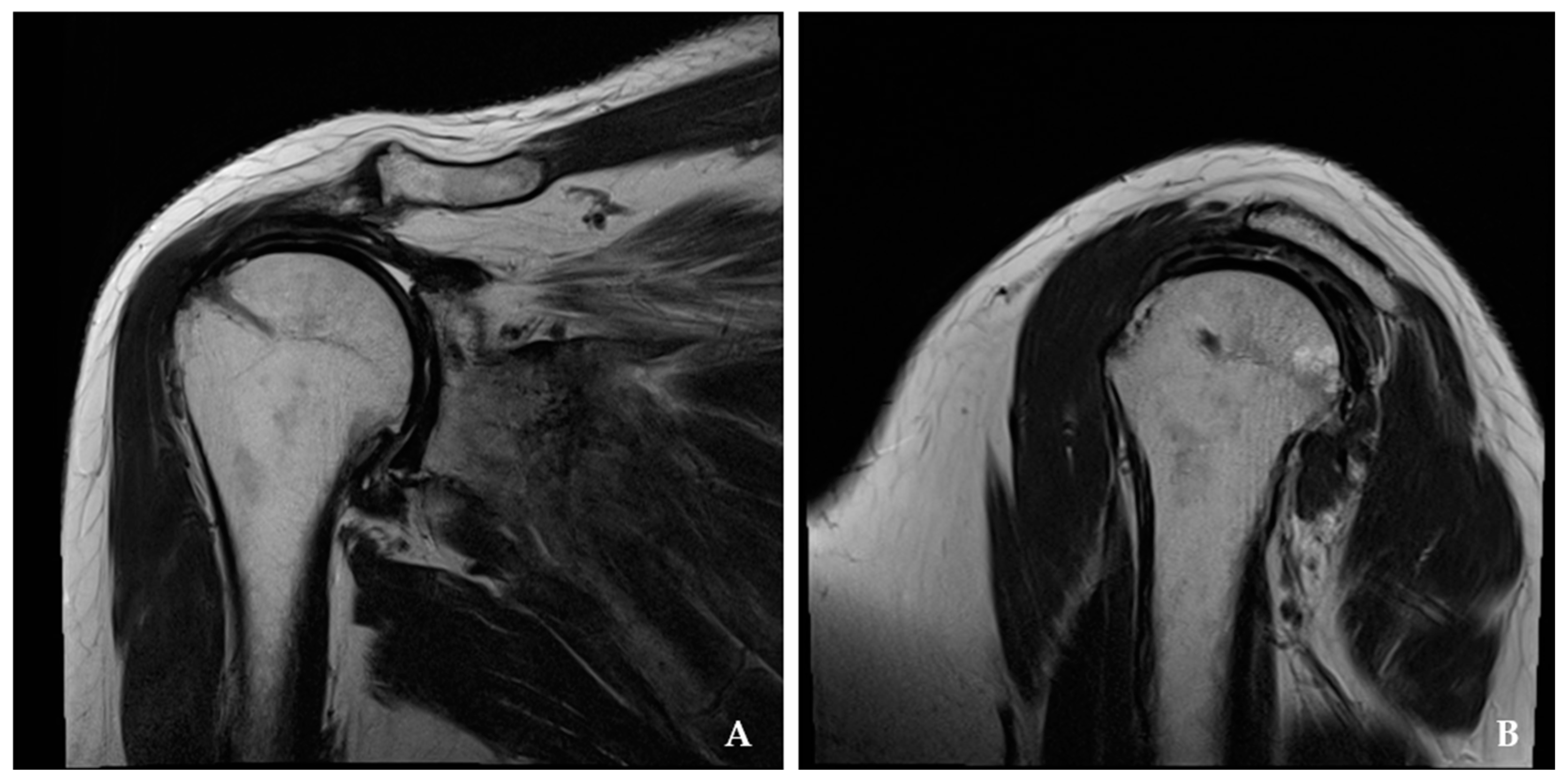
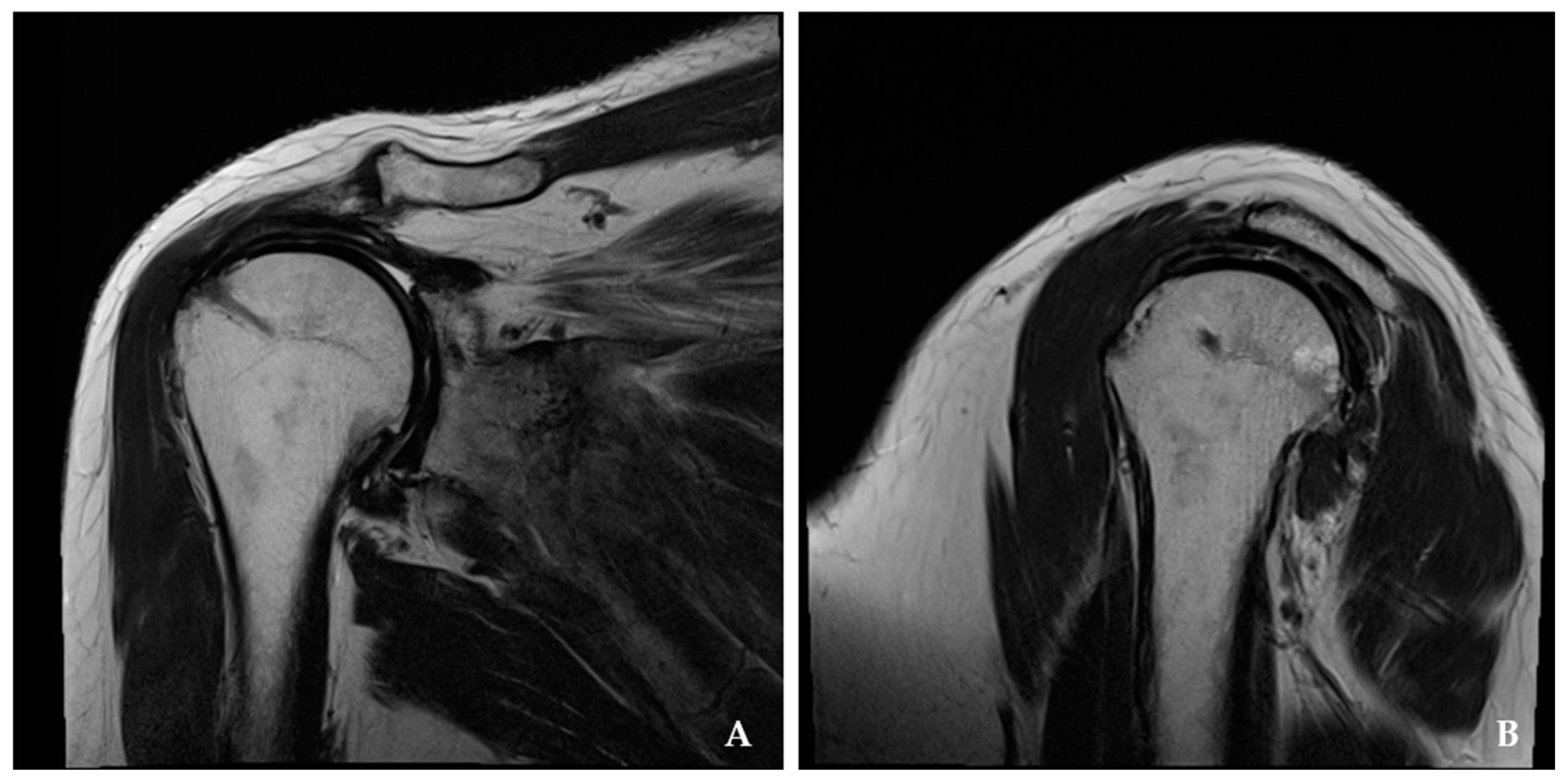
3.3. Radiologic Assessment
3.4. Complications
4. Discussion
5. Conclusions
Author Contributions
Funding
Institutional Review Board Statement
Informed Consent Statement
Data Availability Statement
Conflicts of Interest
References
- Rho, J.Y.; Kwon, Y.S.; Choi, S. Current Concepts and Recent Trends in Arthroscopic Treatment of Large to Massive Rotator Cuff Tears: A Review. Clin. Shoulder Elb. 2019, 22, 50–57. [Google Scholar] [CrossRef] [PubMed]
- Rotini, R.; Marinelli, A.; Guerra, E.; Bettelli, G.; Castagna, A.; Fini, M.; Bondioli, E.; Busacca, M. Human dermal matrix scaffold augmentation for large and massive rotator cuff repairs: Preliminary clinical and MRI results at 1-year follow-up. Musculoskelet. Surg. 2011, 95, S13–S23. [Google Scholar] [CrossRef] [PubMed]
- Oh, J.H.; Kim, S.H.; Kang, J.Y.; Oh, C.H.; Gong, H.S. Effect of age on functional and structural outcome after rotator cuff repair. Am. J. Sports Med. 2010, 38, 672–678. [Google Scholar] [CrossRef]
- Warner, J.J. Management of massive irreparable rotator cuff tears: The role of tendon transfer. Instr. Course Lect. 2001, 50, 63–71. [Google Scholar] [CrossRef]
- Di Benedetto, P.; Mancuso, F.; Tosolini, L.; Buttironi, M.M.; Beltrame, A.; Causero, A. Treatment options for massive rotator cuff tears: A narrative review. Acta Biomed. 2021, 92, e2021026. [Google Scholar] [CrossRef]
- Oh, J.H.; Park, M.S.; Rhee, S.M. Treatment Strategy for Irreparable Rotator Cuff Tears. Clin. Orthop. Surg. 2018, 10, 119–134. [Google Scholar] [CrossRef] [PubMed]
- Pandey, R.; Tafazal, S.; Shyamsundar, S.; Modi, A.; Singh, H.P. Outcome of partial repair of massive rotator cuff tears with and without human tissue allograft bridging repair. Shoulder Elb. 2017, 9, 23–30. [Google Scholar] [CrossRef]
- Duralde, X.A.; Bair, B. Massive rotator cuff tears: The result of partial rotator cuff repair. J. Shoulder Elb. Surg. 2005, 14, 121–127. [Google Scholar] [CrossRef]
- Berth, A.; Neumann, W.; Awiszus, F.; Pap, G. Massive rotator cuff tears: Functional outcome after debridement or arthroscopic partial repair. J. Orthop. Traumatol. 2010, 11, 13–20. [Google Scholar] [CrossRef] [PubMed]
- Castricini, R.; Galasso, O.; Riccelli, D.A.; Familiari, F.; De Benedetto, M.; Orlando, N.; Gasparini, G. Arthroscopic Partial Repair of Irreparable, Massive Rotator Cuff Tears. Arthrosc. Tech. 2017, 6, e143–e147. [Google Scholar] [CrossRef] [PubMed][Green Version]
- Kim, S.J.; Kim, S.H.; Lee, S.K.; Seo, J.W.; Chun, Y.M. Arthroscopic repair of massive contracted rotator cuff tears: Aggressive release with anterior and posterior interval slides do not improve cuff healing and integrity. J. Bone Jt. Surgery. Am. Vol. 2013, 95, 1482–1488. [Google Scholar] [CrossRef]
- Chen, K.H.; Chiang, E.R.; Wang, H.Y.; Ma, H.L. Arthroscopic Partial Repair of Irreparable Rotator Cuff Tears: Factors Related to Greater Degree of Clinical Improvement at 2 Years of Follow-Up. Arthrosc. J. Arthrosc. Relat. Surg. Off. Publ. Arthrosc. Assoc. N. Am. Int. Arthrosc. Assoc. 2017, 33, 1949–1955. [Google Scholar] [CrossRef]
- Ciampi, P.; Scotti, C.; Nonis, A.; Vitali, M.; Di Serio, C.; Peretti, G.M.; Fraschini, G. The benefit of synthetic versus biological patch augmentation in the repair of posterosuperior massive rotator cuff tears: A 3-year follow-up study. Am. J. Sports Med. 2014, 42, 1169–1175. [Google Scholar] [CrossRef]
- Ferguson, D.P.; Lewington, M.R.; Smith, T.D.; Wong, I.H. Graft Utilization in the Augmentation of Large-to-Massive Rotator Cuff Repairs: A Systematic Review. Am. J. Sports Med. 2016, 44, 2984–2992. [Google Scholar] [CrossRef] [PubMed]
- Mihata, T.; McGarry, M.H.; Pirolo, J.M.; Kinoshita, M.; Lee, T.Q. Superior capsule reconstruction to restore superior stability in irreparable rotator cuff tears: A biomechanical cadaveric study. Am. J. Sports Med. 2012, 40, 2248–2255. [Google Scholar] [CrossRef]
- Castagna, A.; Cesari, E.; Di Matteo, B.; Osimani, M.; Garofalo, R.; Kon, E.; Marcacci, M.; Chillemi, C. Porcine Dermal Xenograft as Augmentation in the Treatment of Large Rotator Cuff Tears: Clinical and Magnetic Resonance Results at 2-Year Follow-Up. Joints 2018, 6, 135–140. [Google Scholar] [CrossRef]
- Flury, M.; Rickenbacher, D.; Jung, C.; Schneider, M.M.; Endell, D.; Audigé, L. Porcine Dermis Patch Augmentation of Supraspinatus Tendon Repairs: A Pilot Study Assessing Tendon Integrity and Shoulder Function 2 Years After Arthroscopic Repair in Patients Aged 60 Years or Older. Arthrosc. J. Arthrosc. Relat. Surg. Off. Publ. Arthrosc. Assoc. N. Am. Int. Arthrosc. Assoc. 2018, 34, 24–37. [Google Scholar] [CrossRef]
- Denard, P.J.; Brady, P.C.; Adams, C.R.; Tokish, J.M.; Burkhart, S.S. Preliminary Results of Arthroscopic Superior Capsule Reconstruction with Dermal Allograft. Arthrosc. J. Arthrosc. Relat. Surg. Off. Publ. Arthrosc. Assoc. N. Am. Int. Arthrosc. Assoc. 2018, 34, 93–99. [Google Scholar] [CrossRef]
- Shin, S.J.; Lee, S.; Hwang, J.Y.; Lee, W.; Koh, K.H. Tear pattern after superior capsular reconstruction using an acellular dermal matrix allograft. J. Shoulder Elb. Surg. 2022, 31, e279–e288. [Google Scholar] [CrossRef] [PubMed]
- Lederman, E.S.; McLean, J.B.; Bormann, K.T.; Guttmann, D.; Ortega, K.D.; Miles, J.W.; Hartzler, R.U.; Dorfman, A.L.; Softic, D.; Qin, X. Histologic case series of human acellular dermal matrix in superior capsule reconstruction. J. Shoulder Elb. Surg. 2021, 30, 2146–2155. [Google Scholar] [CrossRef]
- Farazdaghi, A.; Paschos, N.K.; Kelly, J.D. Comparison between partial and full coverage repair in massive rotator cuff tears. A minimum five year follow-up. Orthop. Traumatol. Surg. Res. OTSR 2021, 107, 102911. [Google Scholar] [CrossRef]
- DeOrio, J.K.; Cofield, R.H. Results of a second attempt at surgical repair of a failed initial rotator-cuff repair. J. Bone Jt. Surgery. Am. Vol. 1984, 66, 563–567. [Google Scholar] [CrossRef]
- Hamada, K.; Fukuda, H.; Mikasa, M.; Kobayashi, Y. Roentgenographic findings in massive rotator cuff tears. A long-term observation. Clin. Orthop. Relat. Res. 1990, 254, 92–96. [Google Scholar] [CrossRef]
- Collin, P.; Matsumura, N.; Lädermann, A.; Denard, P.J.; Walch, G. Relationship between massive chronic rotator cuff tear pattern and loss of active shoulder range of motion. J. Shoulder Elb. Surg. 2014, 23, 1195–1202. [Google Scholar] [CrossRef]
- Patte, D. Classification of rotator cuff lesions. Clin. Orthop. Relat. Res. 1990, 254, 81–86. [Google Scholar] [CrossRef]
- Goutallier, D.; Postel, J.M.; Bernageau, J.; Lavau, L.; Voisin, M.C. Fatty muscle degeneration in cuff ruptures. Pre- and postoperative evaluation by CT scan. Clin. Orthop. Relat. Res. 1994, 304, 78–83. [Google Scholar] [CrossRef]
- Sugaya, H.; Maeda, K.; Matsuki, K.; Moriishi, J. Functional and structural outcome after arthroscopic full-thickness rotator cuff repair: Single-row versus dual-row fixation. Arthrosc. J. Arthrosc. Relat. Surg. Off. Publ. Arthrosc. Assoc. N. Am. Int. Arthrosc. Assoc. 2005, 21, 1307–1316. [Google Scholar] [CrossRef]
- Lee, S.C.; Williams, D.; Endo, Y. The Repaired Rotator Cuff: MRI and Ultrasound Evaluation. Curr. Rev. Musculoskelet. Med. 2018, 11, 92–101. [Google Scholar] [CrossRef]
- Yoo, S.J.; Kang, H.; Kim, B.; Lee, C.H.; Song, J.; Choi, S. Which is better? Early versus delayed rehabilitation after arthroscopic rotator cuff repair. Knee Surg. Sports Traumatol. Arthrosc. Off. J. ESSKA 2024, 32, 1049–1057. [Google Scholar] [CrossRef]
- Hirahara, A.M.; Andersen, W.J.; Panero, A.J. Superior Capsular Reconstruction: Clinical Outcomes After Minimum 2-Year Follow-Up. Am. J. Orthop. 2017, 46, 266–278. [Google Scholar]
- Ciccotti, M.; Horan, M.P.; Nolte, P.C.; Elrick, B.P.; Millett, P.J. Outcomes After Arthroscopic Rotator Cuff Repair Using Margin Convergence Versus Superior Capsular Reconstruction: Should Candidates for Margin Convergence Be Treated with Superior Capsular Reconstruction? Orthop. J. Sports Med. 2021, 9, 23259671211050624. [Google Scholar] [CrossRef] [PubMed]
- Kim, M.S.; Jang, G.Y.; Cho, N.S. Effect of Preoperative Lipidemic Control on Retear Rates After Rotator Cuff Repair in Patients with Hyperlipidemia. Am. J. Sports Med. 2024, 52, 2835–2842. [Google Scholar] [CrossRef]
- Kwon, J.; Kim, S.H.; Lee, Y.H.; Kim, T.I.; Oh, J.H. The Rotator Cuff Healing Index: A New Scoring System to Predict Rotator Cuff Healing After Surgical Repair. Am. J. Sports Med. 2019, 47, 173–180. [Google Scholar] [CrossRef]
- de Andrade, A.L.L.; Garcia, T.A.; Brandão, H.S.; Sardeli, A.V.; Mouraria, G.G.; Belangero, W.D. Benefits of Patch Augmentation on Rotator Cuff Repair: A Systematic Review and Meta-analysis. Orthop. J. Sports Med. 2022, 10, 23259671211071146. [Google Scholar] [CrossRef]
- Chung, S.W.; Kim, J.Y.; Kim, M.H.; Kim, S.H.; Oh, J.H. Arthroscopic repair of massive rotator cuff tears: Outcome and analysis of factors associated with healing failure or poor postoperative function. Am. J. Sports Med. 2013, 41, 1674–1683. [Google Scholar] [CrossRef] [PubMed]
- Matthewson, G.; Coady, C.M.; Wong, I.H. Rotator Cuff Reconstruction Using Fascia Lata Patch Autograft for the Nonrepairable Rotator Cuff Tear. Arthrosc. Tech. 2020, 9, e123–e130. [Google Scholar] [CrossRef] [PubMed]
- Na, Y.; Jue, H.; Xia, T.; Xue, X.; Sun, L.; Chen, J.; Hua, Y. Histologic and biomechanical comparison of fascia lata autograft, acellular dermal xenograft, and synthetic patch for bridging massive rotator cuff tear in a rabbit model. Asia-Pac. J. Sports Med. Arthrosc. Rehabil. Technol. 2024, 36, 28–39. [Google Scholar] [CrossRef]
- Russo, M.; Dirkx, G.K.; Rosso, C. Patch Augmentation in Arthroscopic Rotator Cuff Surgery-Review of Current Evidence and Newest Trends. J. Clin. Med. 2024, 13, 5066. [Google Scholar] [CrossRef]
- Bi, M.; Ding, W.; Zheng, M.; Peng, Z.; Li, J.; Ding, S. Arthroscopic Superior Capsule Reconstruction with Combined Fascia Lata Autograft and Synthetic Scaffold Patch Graft for the Treatment of Irreparable Rotator Cuff Tears Yields Favorable Clinical and Radiographic Outcomes at Minimum 2-Year Follow-Up. Arthrosc. J. Arthrosc. Relat. Surg. Off. Publ. Arthrosc. Assoc. N. Am. Int. Arthrosc. Assoc. 2023, 39, 1800–1810. [Google Scholar] [CrossRef]
- Chalmers, P.N.; Granger, E.; Nelson, R.; Yoo, M.; Tashjian, R.Z. Factors Affecting Cost, Outcomes, and Tendon Healing After Arthroscopic Rotator Cuff Repair. Arthrosc. J. Arthrosc. Relat. Surg. Off. Publ. Arthrosc. Assoc. N. Am. Int. Arthrosc. Assoc. 2018, 34, 1393–1400. [Google Scholar] [CrossRef]
- Yamaguchi, K. Initial Nonoperative Care Is Reasonable for Older Patients: Commentary on an article by Juha Kukkonen, MD, PhD; et al. Treatment of Nontraumatic Rotator Cuff Tears. A Randomized Controlled Trial with Two Years of Clinical and Imaging Follow-up. J. Bone Jt. Surg. Am. Vol. 2015, 97, e70. [Google Scholar] [CrossRef] [PubMed][Green Version]
- Ide, J.; Kikukawa, K.; Hirose, J.; Iyama, K.; Sakamoto, H.; Mizuta, H. Reconstruction of large rotator-cuff tears with acellular dermal matrix grafts in rats. J. Shoulder Elb. Surg. 2009, 18, 288–295. [Google Scholar] [CrossRef] [PubMed]
- Shim, I.K.; Kang, M.S.; Lee, E.S.; Choi, J.H.; Lee, Y.N.; Koh, K.H. Decellularized Bovine Pericardial Patch Loaded with Mesenchymal Stromal Cells Enhance the Mechanical Strength and Biological Healing of Large-to-Massive Rotator Cuff Tear in a Rat Model. Arthrosc. J. Arthrosc. Relat. Surg. Off. Publ. Arthrosc. Assoc. N. Am. Int. Arthrosc. Assoc. 2022, 38, 2987–3000. [Google Scholar] [CrossRef]
- Millett, P.J.; Hussain, Z.B.; Fritz, E.M.; Warth, R.J.; Katthagen, J.C.; Pogorzelski, J. Rotator Cuff Tears at the Musculotendinous Junction: Classification and Surgical Options for Repair and Reconstruction. Arthrosc. Tech. 2017, 6, e1075–e1085. [Google Scholar] [CrossRef]
- Hall, T.; Danielson, K.; Brandenburg, S.; Matelic, T. A case series of recurrent myotendinous rotator cuff tears repaired and augmented with dermal allograft: Clinical outcomes at two years. J. Shoulder Elb. Surg. 2020, 29, 2264–2271. [Google Scholar] [CrossRef]
- Mihata, T.; Lee, T.Q.; Watanabe, C.; Fukunishi, K.; Ohue, M.; Tsujimura, T.; Kinoshita, M. Clinical results of arthroscopic superior capsule reconstruction for irreparable rotator cuff tears. Arthrosc. J. Arthrosc. Relat. Surg. Off. Publ. Arthrosc. Assoc. N. Am. Int. Arthrosc. Assoc. 2013, 29, 459–470. [Google Scholar] [CrossRef]
- Denard, P.J.; Lädermann, A.; Jiwani, A.Z.; Burkhart, S.S. Functional outcome after arthroscopic repair of massive rotator cuff tears in individuals with pseudoparalysis. Arthrosc. J. Arthrosc. Relat. Surg. Off. Publ. Arthrosc. Assoc. N. Am. Int. Arthrosc. Assoc. 2012, 28, 1214–1219. [Google Scholar] [CrossRef]
- Uchida, A.; Mihata, T.; Hasegawa, A.; Noguchi, Y.; Neo, M. Superior Capsule Reconstruction for Irreparable Rotator Cuff Tears Yields Good Clinical Outcomes for Patients with and Without Diabetes Mellitus. Arthrosc. J. Arthrosc. Relat. Surg. Off. Publ. Arthrosc. Assoc. N. Am. Int. Arthrosc. Assoc. 2024. Online ahead of print. [Google Scholar] [CrossRef] [PubMed]
- Hasegawa, A.; Mihata, T.; Fukunishi, K.; Itami, Y.; Uchida, A.; Neo, M. Structural and clinical outcomes after superior capsule reconstruction using an at least 6-mm-thick fascia lata autograft including the intermuscular septum. J. Shoulder Elb. Surg. 2023, 32, e48–e59. [Google Scholar] [CrossRef] [PubMed]
- Snow, M.; Kuiper, J.H.; Thimmegowda, A.; Ramsingh, V.; Haikal, M.; Amit, P. Midterm outcome of superior capsular reconstruction using doubled acellular human dermal allograft for irreparable rotator cuff tear. J. Shoulder Elb. Surg. 2024, 33, 38–45. [Google Scholar] [CrossRef]
- Smith, T.J.; Gowd, A.K.; Kunkel, J.; Kaplin, L.; Hubbard, J.B.; Coates, K.E.; Graves, B.R.; Waterman, B.R. Clinical Outcomes of Superior Capsular Reconstruction for Massive, Irreparable Rotator Cuff Tears: A Systematic Review Comparing Acellular Dermal Allograft and Autograft Fascia Lata. Arthrosc. Sports Med. Rehabil. 2021, 3, e257–e268. [Google Scholar] [CrossRef]
- Pennington, W.T.; Bartz, B.A.; Pauli, J.M.; Walker, C.E.; Schmidt, W. Arthroscopic Superior Capsular Reconstruction with Acellular Dermal Allograft for the Treatment of Massive Irreparable Rotator Cuff Tears: Short-Term Clinical Outcomes and the Radiographic Parameter of Superior Capsular Distance. Arthrosc. J. Arthrosc. Relat. Surg. Off. Publ. Arthrosc. Assoc. N. Am. Int. Arthrosc. Assoc. 2018, 34, 1764–1773. [Google Scholar] [CrossRef] [PubMed]
- Claro, R.; Fonte, H. Superior capsular reconstruction: Current evidence and limits. EFORT Open Rev. 2023, 8, 340–350. [Google Scholar] [CrossRef]
- Thangarajah, T.; Tsuchiya, S.; Lukenchuk, J.; Lo, I.K. Arthroscopic superior capsular reconstruction with dermal allograft for primary and recurrent rotator cuff tears. JSES Int. 2023, 7, 574–580. [Google Scholar] [CrossRef]
- LeVasseur, C.M.; Kane, G.; Hughes, J.D.; Lin, A.; Anderst, W. In Vivo Graft Elongation After Arthroscopic Dermal Superior Capsular Reconstruction. Am. J. Sports Med. 2023, 51, 2671–2678. [Google Scholar] [CrossRef] [PubMed]
- Yamamoto, N.; Arino, A.; Kawakami, J.; Aizawa, T.; Itoi, E. When and how much does the muscle strength recover after arthroscopic superior capsular reconstruction? J. Shoulder Elb. Surg. 2023, 33, 306–311. [Google Scholar] [CrossRef]
- Ben, H.; Zeng, C.H.; Kholinne, E.; Ryu, S.M.; Ling, J.L.; Koh, K.H.; Jeon, I.H. Time required to achieve clinically significant outcomes after arthroscopic superior capsular reconstruction. Knee Surg. Sports Traumatol. Arthrosc. Off. J. ESSKA 2023, 31, 5987–5993. [Google Scholar] [CrossRef]
- Kendirci, A.; Chodza, M.; Şahin, K.; Bayram, S.; Kızılkurt, T.; Erşen, A. Arthroscopic superior capsular reconstruction versus reverse shoulder arthroplasty in patients with massive irreparable rotator cuff tears: A comparative clinical study. Acta Orthop. Traumatol. Turc. 2023, 57, 161–168. [Google Scholar] [CrossRef]
- Ishihara, Y.; Mihata, T.; Tamboli, M.; Nguyen, L.; Park, K.J.; McGarry, M.H.; Takai, S.; Lee, T.Q. Role of the superior shoulder capsule in passive stability of the glenohumeral joint. J. Shoulder Elb. Surg. 2014, 23, 642–648. [Google Scholar] [CrossRef]
- Rybalko, D.; Bobko, A.; Amirouche, F.; Peresada, D.; Hussain, A.; Patetta, M.; Sood, A.; Koh, J.; Goldberg, B. Biomechanical effects of superior capsular reconstruction in a rotator cuff-deficient shoulder: A cadaveric study. J. Shoulder Elb. Surg. 2020, 29, 1959–1966. [Google Scholar] [CrossRef] [PubMed]




| APR | SCR | p-Value | |
|---|---|---|---|
| Gender | 0.75 | ||
| Male | 18 (69.2%) | 14 (60.9%) | |
| Female | 8 (30.8%) | 9 (39.1%) | |
| Age | 64.3 ± 6.5 | 63.5 ± 6.0 | 0.67 |
| BMI | 25.3 ± 2.5 | 26.5 ± 4.7 | 0.26 |
| Dominant hand | 1.00 | ||
| Right | 25 (96.2%) | 23 (100.0%) | |
| Left | 1 (3.8%) | 0 (0.0%) | |
| Operative side | 1.00 | ||
| Right | 21 (80.8%) | 18 (78.3%) | |
| Left | 5 (19.2%) | 5 (21.7%) | |
| Diabetes Mellitus | 0.45 | ||
| Yes | 18 (69.2%) | 19 (82.6%) | |
| No | 8 (30.8%) | 4 (17.4%) | |
| Smoking | 0.44 | ||
| Yes | 23 (88.5%) | 18 (78.3%) | |
| No | 3 (11.5%) | 5 (21.7%) | |
| ASA | 2.0 [1.0; 2.0] | 2.0 [2.0; 2.0] | 0.54 |
| VAS | 6.0 [4.0; 8.0] | 8.0 [6.0; 8.0] | 0.08 |
| UCLA | 18.0 ± 4.2 | 16.3 ± 3.5 | 0.11 |
| CONSTANT | 46.8 ± 20.1 | 43.2 ± 15.4 | 0.51 |
| FF, degree | 170.0° [160.0; 180.0] | 170.0° [155.0; 170.0] | 0.42 |
| ABD, degree | 162.5° [90.0; 180.0] | 160.0° [90.0; 170.0] | 0.25 |
| ER, degree | 45.0° [40.0; 45.0] | 45.0° [30.0; 45.0] | 0.93 |
| IR, point † | 4.0 [3.0; 6.0] | 4.0 [3.5; 6.0] | 0.50 |
| Involved tendons | 3.0 [2.0; 3.0] | 2.0 [2.0; 3.0] | 0.59 |
| Tear size | 4.0 cm [3.0; 4.0] | 4.0 cm [3.0; 4.0] | 0.54 |
| ML. | 3.3 cm [2.6; 4.0] | 3.8 cm ± 0.9 | 0.05 |
| AP. | 3.5 cm [3.0; 4.0] | 4.0 cm [3.0; 4.8] | 0.13 |
| Goutallier Stages | |||
| SSC | 2.0 [1.0; 2.0] | 1.0 [1.0; 2.5] | 0.41 |
| SST | 3.0 [3.0; 4.0] | 4.0 [3.0; 4.0] | 0.16 |
| IST | 2.0 [2.0; 2.0] | 2.0 [1.5; 3.0] | 0.44 |
| TM | 1.0 [1.0; 1.0] | 1.0 [1.0; 1.0] | 0.75 |
| Hamada Classification | 0.20 | ||
| Stage 1 | 33 (84.6%) | 16 (69.7%) | |
| Stage 2 | 4 (15.4%) | 5 (21.7%) | |
| Stage 3 | 0 (0.0%) | 2 (8.7%) | |
| Stage 4 and 5 | 0 (0.0%) | 0 | |
| AHD | 5.3 mm ± 1.4 | 4.6 mm ± 1.7 | 0.08 |
| Patch (N = 26) | SCR (N = 23) | p-Value | |
|---|---|---|---|
| Postoperative 3rd month | |||
| VAS | 3.5 [0.0; 5.0] | 4.0 [1.0; 6.0] | 0.60 |
| UCLA | 18.2 ± 5.1 | 22.8 ± 5.8 | 0.18 |
| CONSTANT | 35.0 ± 11.4 | 41.2 ± 16.2 | 0.49 |
| FF | 165.0 [150.0; 175.0] | 160.0 [90.0; 165.0] | 0.17 |
| ABD | 165.0 [140.0; 175.0] | 150.0 [100.0; 165.0] | 0.63 |
| ER | 42.9 ± 13.8 | 25.7 ± 21.3 | 0.09 |
| IR | 3.5 ± 1.8 | 4.6 ± 1.8 | 0.19 |
| Postoperative 6th month | |||
| VAS | 1.0 [0.0; 4.0] | 5.0 [1.0; 6.0] | 0.06 |
| UCLA | 31.0 [29.0; 31.0] | 28.5 [23.0; 31.0] | 0.27 |
| CONSTANT | 58.0 [58.0; 68.0] | 54.5 [38.5; 61.5] | 0.43 |
| FF, degree | 175.0° [165.0; 180.0] | 167.5° [165.0; 175.0] | 0.08 |
| ABD, degree | 176.0° [117.5; 180.0] | 165.0° [115.0; 172.5] | 0.43 |
| ER, degree | 54.2° ± 26.9 | 21.7° ± 17.8 | 0.01 |
| IR, point † | 6.0 [4.0; 6.0] | 5.0 [2.5; 6.0] | 0.37 |
| Postoperative 1st year | |||
| VAS | 0.4 ± 1.0 | 3.9 ± 3.2 | 0.02 |
| UCLA | 33.0 [29.0; 35.0] | 29.0 [24.0; 32.0] | 0.27 |
| CONSTANT | 66.5 [58.0; 71.0] | 61.0 [45.5; 62.5] | 0.18 |
| FF, degree | 177.5° [167.5; 180.0] | 170.0° [160.0; 180.0] | 0.27 |
| ABD, degree | 175.0° [165.0; 180.0] | 170.0° [155.0; 175.0] | 0.58 |
| ER, degree | 45.0° ± 11.5 | 28.3° ± 20.2 | 0.03 |
| IR, point † | 6.0 [6.0; 7.0] | 6.0 [5.0; 6.0] | 0.18 |
| Postopeartive 2nd year | |||
| VAS | 2.0 [0.0; 2.0] | 1.0 [0.0; 2.5] | 0.89 |
| UCLA | 33.2 ± 1.6 | 32.1 ± 3.2 | 0.49 |
| CONSTANT | 71.7 ± 9.2 | 66.4 ± 6.4 | 0.25 |
| FF, degree | 170.0° [165.0; 180.0] | 160.0° [150.0; 170.0] | 0.02 |
| ABD, degree | 177.0° [167.5; 180.0] | 160.0° [150.0; 165.0] | 0.01 |
| ER, degree | 50.7° ± 10.2 | 27.5° ± 12.8 | 0.01 |
| IR, point † | 7.4 ± 2.5 | 6.3 ± 2.5 | 0.40 |
| Patch (N = 26) | SCR (N = 23) | p-Value | |
|---|---|---|---|
| AHD | |||
| Pre | 5.3 mm ± 1.4 | 4.6 mm ± 1.7 | 0.08 |
| POD3 M | 9.3 mm ± 2.4 | 6.3 mm ± 1.8 | 0.01 |
| POD6 M | 9.7 mm ± 3.3 | 6.3 mm ± 4.7 | 0.28 |
| POD1 Y | 8.6 mm ± 1.9 | 7.0 mm ± 2.1 | 0.13 |
| POD2 Y | 9.9 mm ± 2.4 | 6.3 mm ± 2.9 | 0.05 |
| Hamada classification | |||
| Pre | 1.0 ± 0.0 | 1.2 ± 0.7 | 0.35 |
| POD3 M | 1.1 ± 0.3 | 2.1 ± 1.4 | 0.04 |
| POD6 M | 1.2 ± 0.4 | 2.0 ± 1.4 | 0.55 |
| POD1 Y | 1.0 ± 0.0 | 1.8 ± 1.3 | 0.08 |
| POD2 Y | 1.0 ± 0.0 | 2.0 ± 1.7 | 0.20 |
| Collin classification | 0.15 | ||
| Type A | 1 (3.8%) | 4 (17.4%) | |
| Type B | 2 (7.7%) | 1 (4.3%) | |
| Type C | 13 (50.0%) | 6 (26.1%) | |
| Type D | 10 (38.5%) | 10 (43.5%) | |
| Type E | 0 (0.0%) | 2 (8.7%) | |
| Patte classification | 0.25 | ||
| Grade 1 | 0 | 0 | |
| Grade 2 | 6 (23.1%) | 2 (8.7%) | |
| Grade 3 | 20 (76.9%) | 21 (91.3%) | |
| Sugaya classification | |||
| Grade 1–3 (Intact) | 24 (92.3%) | 21 (91.3%) | 0.29 |
| Grade 4–5 (Re-tear) | 2 (6.7%) | 2 (8.7%) | 1.00 |
Disclaimer/Publisher’s Note: The statements, opinions and data contained in all publications are solely those of the individual author(s) and contributor(s) and not of MDPI and/or the editor(s). MDPI and/or the editor(s) disclaim responsibility for any injury to people or property resulting from any ideas, methods, instructions or products referred to in the content. |
© 2025 by the authors. Licensee MDPI, Basel, Switzerland. This article is an open access article distributed under the terms and conditions of the Creative Commons Attribution (CC BY) license (https://creativecommons.org/licenses/by/4.0/).
Share and Cite
Yoo, S.-J.; Kim, B.-S.; Kim, H.-H.; Choi, S. Clinical and Radiologic Outcomes of Augmented Partial Repair with Acellular Dermal Allograft and Superior Capsular Reconstruction in Massive Rotator Cuff Tears: 2-Year Follow-Up. J. Clin. Med. 2025, 14, 219. https://doi.org/10.3390/jcm14010219
Yoo S-J, Kim B-S, Kim H-H, Choi S. Clinical and Radiologic Outcomes of Augmented Partial Repair with Acellular Dermal Allograft and Superior Capsular Reconstruction in Massive Rotator Cuff Tears: 2-Year Follow-Up. Journal of Clinical Medicine. 2025; 14(1):219. https://doi.org/10.3390/jcm14010219
Chicago/Turabian StyleYoo, Seung-Jin, Byung-Suk Kim, Ho-Hyup Kim, and Sungwook Choi. 2025. "Clinical and Radiologic Outcomes of Augmented Partial Repair with Acellular Dermal Allograft and Superior Capsular Reconstruction in Massive Rotator Cuff Tears: 2-Year Follow-Up" Journal of Clinical Medicine 14, no. 1: 219. https://doi.org/10.3390/jcm14010219
APA StyleYoo, S.-J., Kim, B.-S., Kim, H.-H., & Choi, S. (2025). Clinical and Radiologic Outcomes of Augmented Partial Repair with Acellular Dermal Allograft and Superior Capsular Reconstruction in Massive Rotator Cuff Tears: 2-Year Follow-Up. Journal of Clinical Medicine, 14(1), 219. https://doi.org/10.3390/jcm14010219

