Renal T1 Times on Cardiac Magnetic Resonance Reflect Renal Dysfunction and Are Associated with Adverse Outcomes: Insights from an All-Comer Cohort
Abstract
1. Introduction
2. Methods
2.1. Study Design
2.2. Cardiac Magnetic Resonance Imaging
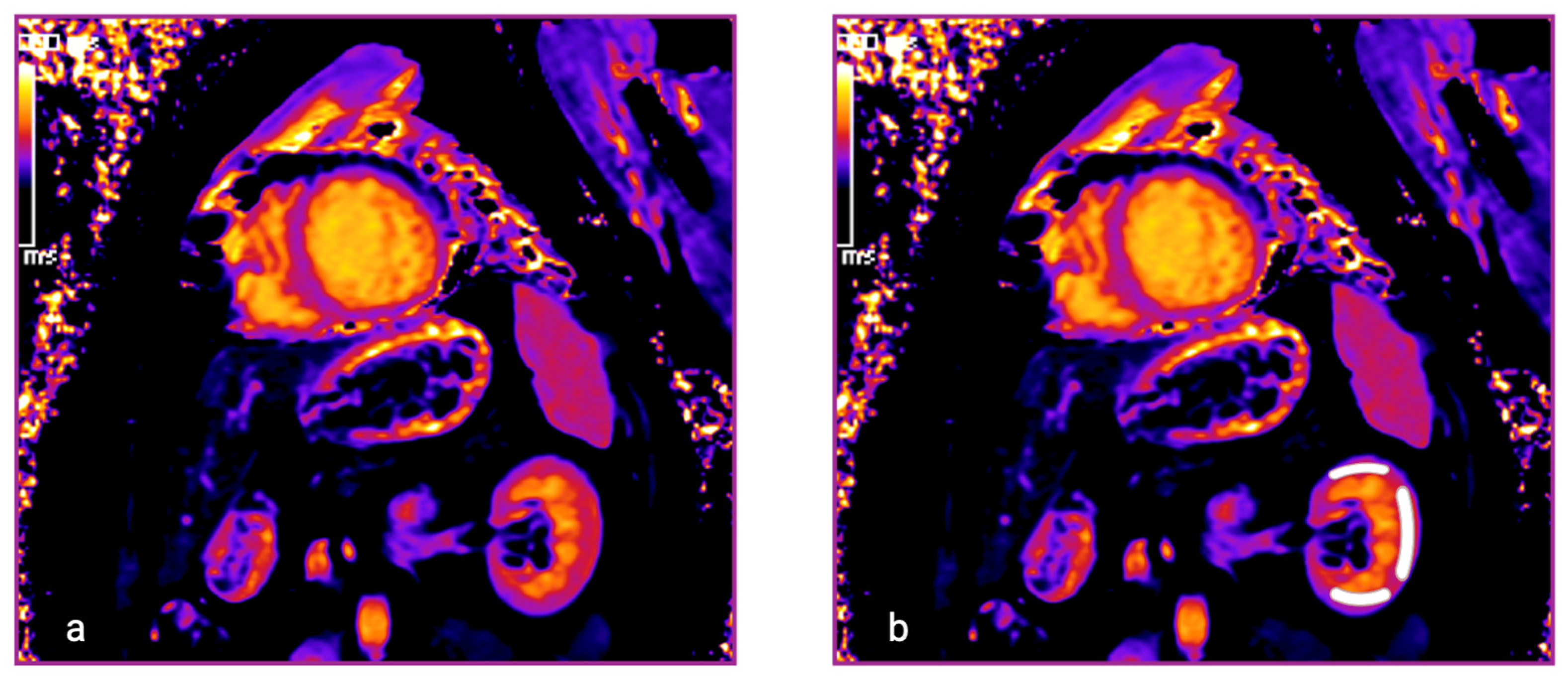
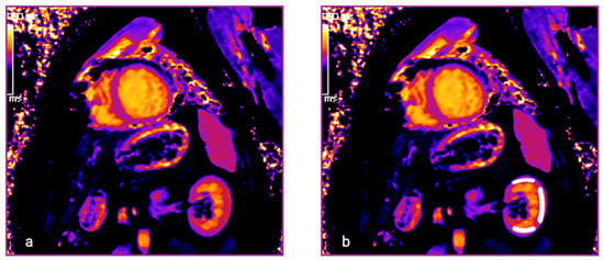
2.3. Definition of Renal T1 Times
2.4. Outcome Measures
2.5. Statistical Analysis
3. Results
3.1. Correlation and Regression Analysis
3.2. Association Between Renal T1 Times and Outcome
4. Discussion
4.1. Extracardiac Applications of T1 Mapping
4.2. Risk Stratification and the Relevance of T1 Mapping in Patients with Cardiorenal or Cardiovascular–Kidney–Metabolic Syndrome
4.3. Limitations
5. Conclusions
6. Clinical Perspectives
Author Contributions
Funding
Institutional Review Board Statement
Informed Consent Statement
Data Availability Statement
Conflicts of Interest
Abbreviations
| ACR | Albumin-to-creatinine ratio |
| BMI | Body mass index |
| CMR | Cardiac magnetic resonance |
| CRS | Cardiorenal syndrome |
| CVD | Cardiovascular disease |
| CKD | Chronic kidney disease |
| CRP | C-reactive protein |
| ECV | Extracellular volume fraction |
| eGFR | Estimated glomerular filtration rate |
| LVEF | Left ventricular ejection fraction |
| NT-proBNP | N-terminal pro-brain natriuretic peptide |
| ROI | Region of interest |
| RVEF | Right ventricular ejection fraction |
| uACR | Urine albumin-creatinine ratio |
References
- Couser, W.G.; Remuzzi, G.; Mendis, S.; Tonelli, M. The contribution of chronic kidney disease to the global burden of major noncommunicable diseases. Kidney Int. 2011, 80, 1258–1270. [Google Scholar] [CrossRef] [PubMed]
- Pokhrel, N.; Maharjan, N.; Dhakal, B.; Arora, R.R. Cardiorenal syndrome: A literature review. Exp. Clin. Cardiol. 2008, 13, 165–170. [Google Scholar] [PubMed] [PubMed Central]
- Ronco, C.; Haapio, M.; House, A.A.; Anavekar, N.; Bellomo, R. Cardiorenal syndrome. J. Am. Coll. Cardiol. 2008, 52, 1527–1539. [Google Scholar] [CrossRef] [PubMed]
- Schefold, J.C.; Filippatos, G.; Hasenfuss, G.; Anker, S.D.; von Haehling, S. Heart failure and kidney dysfunction: Epidemiology, mechanisms and management. Nat. Rev. Nephrol. 2016, 12, 610–623. [Google Scholar] [CrossRef] [PubMed]
- Khan, S.S.; Coresh, J.; Pencina, M.J.; Ndumele, C.E.; Rangaswami, J.; Chow, S.L.; Palaniappan, L.P.; Sperling, L.S.; Virani, S.S.; Ho, J.E.; et al. Novel Prediction Equations for Absolute Risk Assessment of Total Cardiovascular Disease Incorporating Cardiovascular-Kidney-Metabolic Health: A Scientific Statement from the American Heart Association. Circulation 2023, 148, 1982–2004. [Google Scholar] [CrossRef] [PubMed]
- Ndumele, C.E.; Rangaswami, J.; Chow, S.L.; Neeland, I.J.; Tuttle, K.R.; Khan, S.S.; Coresh, J.; Mathew, R.O.; Baker-Smith, C.M.; Carnethon, M.R.; et al. Cardiovascular-Kidney-Metabolic Health: A Presidential Advisory from the American Heart Association. Circulation 2023, 148, 1606–1635. [Google Scholar] [CrossRef] [PubMed]
- Larkin, H. Here’s What to Know About Cardiovascular-Kidney-Metabolic Syndrome, Newly Defined by the AHA. JAMA 2023, 330, 2042–2043. [Google Scholar] [CrossRef] [PubMed]
- Jankowski, J.; Floege, J.; Fliser, D.; Böhm, M.; Marx, N. Cardiovascular Disease in Chronic Kidney Disease: Pathophysiological Insights and Therapeutic Options. Circulation 2021, 143, 1157–1172. [Google Scholar] [CrossRef] [PubMed] [PubMed Central]
- Poggio, E.D.; McClelland, R.L.; Blank, K.N.; Hansen, S.; Bansal, S.; Bomback, A.S.; Canetta, P.A.; Khairallah, P.; Kiryluk, K.; Lecker, S.H.; et al. Kidney Precision Medicine Project. Systematic Review and Meta-Analysis of Native Kidney Biopsy Complications. Clin. J. Am. Soc. Nephrol. 2020, 15, 1595–1602. [Google Scholar] [CrossRef] [PubMed] [PubMed Central]
- Taylor, A.J.; Salerno, M.; Dharmakumar, R.; Jerosch-Herold, M. T1 Mapping: Basic Techniques and Clinical Applications. JACC Cardiovasc. Imaging 2016, 9, 67–81. [Google Scholar] [CrossRef] [PubMed]
- Parsai, C.; O’Hanlon, R.; Prasad, S.K.; Mohiaddin, R.H. Diagnostic and prognostic value of cardiovascular magnetic resonance in non-ischaemic cardiomyopathies. J. Cardiovasc. Magn. Reson. 2012, 14, 54. [Google Scholar] [CrossRef] [PubMed] [PubMed Central]
- Haaf, P.; Garg, P.; Messroghli, D.R.; Broadbent, D.A.; Greenwood, J.P.; Plein, S. Cardiac T1 Mapping and Extracellular Volume (ECV) in clinical practice: A comprehensive review. J. Cardiovasc. Magn. Reson. 2016, 18, 89. [Google Scholar] [CrossRef] [PubMed] [PubMed Central]
- Wu, J.; Shi, Z.; Zhang, Y.; Yan, J.; Shang, F.; Wang, Y.; Lu, H.; Gu, H.; Dou, W.; Wang, X.; et al. Native T1 Mapping in Assessing Kidney Fibrosis for Patients with Chronic Glomerulonephritis. Front Med. 2021, 8, 772326. [Google Scholar] [CrossRef] [PubMed] [PubMed Central]
- Peperhove, M.; Vo Chieu, V.D.; Jang, M.S.; Gutberlet, M.; Hartung, D.; Tewes, S.; Warnecke, G.; Fegbeutel, C.; Haverich, A.; Gwinner, W.; et al. Assessment of acute kidney injury with T1 mapping MRI following solid organ transplantation. Eur. Radiol. 2018, 28, 44–50. [Google Scholar] [CrossRef] [PubMed]
- Hua, C.; Qiu, L.; Zhou, L.; Zhuang, Y.; Cai, T.; Xu, B.; Hao, S.; Fang, X.; Wang, L.; Jiang, H. Value of multiparametric magnetic resonance imaging for evaluating chronic kidney disease and renal fibrosis. Eur. Radiol. 2023, 33, 5211–5221. [Google Scholar] [CrossRef] [PubMed]
- Graham-Brown, M.P.; Singh, A.; Wormleighton, J.; Brunskill, N.J.; McCann, G.P.; Barratt, J.; Burton, J.O.; Xu, G. Association between native T1 mapping of the kidney and renal fibrosis in patients with IgA nephropathy. BMC Nephrol. 2019, 20, 256. [Google Scholar] [CrossRef] [PubMed] [PubMed Central]
- Nauffal, V.; Klarqvist, M.D.R.; Hill, M.C.; Pace, D.F.; Di Achille, P.; Choi, S.H.; Rämö, J.T.; Pirruccello, J.P.; Singh, P.; Kany, S.; et al. Noninvasive assessment of organ-specific and shared pathways in multi-organ fibrosis using T1 mapping. Nat. Med. 2024, 30, 1749–1760. [Google Scholar] [CrossRef]
- Menn-Josephy, H.; Lee, C.S.; Nolin, A.; Christov, M.; Rybin, D.V.; Weinberg, J.M.; Henderson, J.; Bonegio, R.; Havasi, A. Renal Interstitial Fibrosis: An Imperfect Predictor of Kidney Disease Progression in Some Patient Cohorts. Am. J. Nephrol. 2016, 44, 289–299. [Google Scholar] [CrossRef] [PubMed] [PubMed Central]
- Szummer, K.; Evans, M.; Carrero, J.J.; Alehagen, U.; Dahlström, U.; Benson, L.; Lund, L.H. Comparison of the Chronic Kidney Disease Epidemiology Collaboration, the Modification of Diet in Renal Disease study and the Cockcroft-Gault equation in patients with heart failure. Open Heart 2017, 4, e000568. [Google Scholar] [CrossRef] [PubMed] [PubMed Central]
- Messroghli, D.R.; Moon, J.C.; Ferreira, V.M.; Grosse-Wortmann, L.; He, T.; Kellman, P.; Mascherbauer, J.; Nezafat, R.; Salerno, M.; Schelbert, E.B.; et al. Clinical recommendations for cardiovascular magnetic resonance mapping of T1, T2, T2* and extracellular volume: A consensus statement by the Society for Cardiovascular Magnetic Resonance (SCMR) endorsed by the European Association for Cardiovascular Imaging (EACVI). J. Cardiovasc. Magn. Reason. 2017, 19, 75. [Google Scholar] [CrossRef]
- Kramer, C.M.; Barkhausen, J.; Bucciarelli-Ducci, C.; Flamm, S.D.; Kim, R.J.; Nagel, E. Standardized cardiovascular magnetic resonance imaging (CMR) protocols: 2020 update. J. Cardiovasc. Magn. Reson. 2020, 22, 17. [Google Scholar] [CrossRef]
- Yuan, Q.; Tang, B.; Zhang, C. Signaling pathways of chronic kidney diseases, implications for therapeutics. Signal Transduct. Target. Ther. 2022, 7, 182. [Google Scholar]
- Kronberger, C.; Mascherbauer, K.; Willixhofer, R.; Duca, F.; Rettl, R.; Binder-Rodriguez, C.; Poledniczek, M.; Ermolaev, N.; Donà, C.; Koschutnik, M.; et al. Native skeletal muscle T1-time on cardiac magnetic resonance: A predictor of outcome in patients with heart failure with preserved ejection fraction. Eur. J. Intern. Med. 2024, 129, 93–99. [Google Scholar] [CrossRef] [PubMed]
- Mascherbauer, K.; Donà, C.; Koschutnik, M.; Dannenberg, V.; Nitsche, C.; Duca, F.; Heitzinger, G.; Halavina, K.; Steinacher, E.; Kronberger, C.; et al. Hepatic T1-Time Predicts Cardiovascular Risk in All-Comers Referred for Cardiovascular Magnetic Resonance: A Post-Hoc Analysis. Circ. Cardiovasc. Imaging 2022, 15, e014716. [Google Scholar] [CrossRef] [PubMed]
- Chen, T.K.; Knicely, D.H.; Grams, M.E. Chronic kidney disease diagnosis and management: A review. JAMA 2019, 322, 1294–1304. [Google Scholar] [CrossRef] [PubMed]
- Glassock, R.J.; Warnock, D.G.; Delanaye, P. The global burden of chronic kidney disease: Estimates, variability and pitfalls. Nat. Rev. Nephrol. 2017, 13, 104–114. [Google Scholar] [CrossRef] [PubMed]
- Ruiz-Ortega, M.; Rayego-Mateos, S.; Lamas, S.; Ortiz, A.; Rodrigues-Diez, R.R. Targeting the progression of chronic kidney disease. Nat. Rev. Nephrol. 2020, 16, 269–288. [Google Scholar] [CrossRef] [PubMed]
- Vanholder, R.; Annemans, L.; Bello, A.K.; Bikbov, B.; Gallego, D.; Gansevoort, R.T.; Lameire, N.; Luyckx, V.A.; Noruisiene, E.; Oostrom, T.; et al. Fighting the unbearable lightness of neglecting kidney health: The decade of the kidney. Clin. Kidney J. 2021, 14, 1719–1730. [Google Scholar] [CrossRef] [PubMed]





| Variables | All Patients (n = 506) | Renal Cortical T1 Times Below Median (T1 ≤ 1090 ms) (n = 255) | Renal Cortical T1 Times Above Median (T1 ≥ 1091 ms) (n = 251) | p-Value |
|---|---|---|---|---|
| Mean ± SD | Mean ± SD | |||
| Clinical parameters | ||||
| Age, years | 61 ± 15 | 57 ± 16 | 67 ± 13 | <0.001 |
| Male sex, n (%) | 268 (53%) | 149 (58%) | 119 (47%) | 0.004 |
| BMI, kg/m2 | 27 ± 4 | 27 ± 4 | 27 ± 4 | 0.887 |
| Comorbidities | ||||
| Diabetes mellitus, n (%) | 97 (19%) | 38 (15%) | 56 (22%) | 0.076 |
| Coronary artery disease, n (%) | 52 (10%) | 28 (11%) | 22 (9%) | 0.704 |
| Atrial fibrillation, n (%) | 153 (13%) | 63 (26%) | 89 (36%) | 0.015 |
| Arterial hypertension, n (%) | 239 (47%) | 106 (43%) | 131 (52%) | 0.035 |
| Hyperlipidemia, n (%) | 91 (18%) | 51 (21%) | 37 (15%) | 0.888 |
| CKD G1, n (%) | 108 (21%) | 91 (35%) | 18 (7%) | <0.001 |
| CKD G2, n (%) | 183 (36%) | 130 (50%) | 53 (21%) | <0.001 |
| CKD G3a, n (%) | 112 (22%) | 22 (9%) | 92 (37%) | <0.001 |
| CKD G3b, n (%) | 65 (13%) | 3 (1%) | 62 (25%) | <0.001 |
| CKD G4, n (%) | 14 (3%) | 0 (0%) | 14 (5%) | <0.001 |
| CKD G5, n (%) | 0 (0%) | 0 (0%) | 0 (0%) | |
| Laboratory markers | ||||
| NT-proBNP, pg/mL | 937 (306–2291) | 540 (160–1276) | 1435 (657–3327) | <0.001 |
| Creatinine, mg/dL | 1.1 ± 0.4 | 0.9 ± 0.2 | 1.3 ± 0.5 | <0.001 |
| eGFR mL/min/1.73 m2 | 70 ± 26 | 85 ± 22 | 54 ± 21 | <0.001 |
| CRP, mg/dL | 0.9 ± 2 | 0.8 ± 1 | 1.2 ± 1.7 | 0.015 |
| Hb, mg/dL | 13 ± 2 | 13 ± 2 | 12 ± 2 | <0.001 |
| Troponin T | 146 ± 545 | 107 ± 419 | 185 ± 645 | <0.001 |
| Cardiac magnetic resonance imaging parameters | ||||
| LVEF, % | 57 ± 14 | 58 ± 14 | 55 ± 15 | 0.06 |
| LVEF, ≥50% | 338 (67%) | 179 (70%) | 159 (63%) | 0.190 |
| LVEF, ≥40 and <49% | 57 (11%) | 25 (10%) | 32 (23%) | 0.514 |
| LVEF, ≤39% | 62 (12%) | 23 (9%) | 39 (16%) | 0.085 |
| RVEF, % | 52 ± 11 | 53 ± 10 | 51 ± 12 | 0.029 |
| IVS, mm | 12 ± 3 | 12 ± 3 | 12 ± 3 | 0.379 |
| LVEDVi, mL/m2 | 84 ± 30 | 86 ± 28 | 82 ± 32 | 0.01 |
| RVEDVi, mL/m2 | 81 ± 28 | 81 ± 22 | 81 ± 32 | 0.222 |
| Myocardial T1 times, ms | 1016 ± 46 | 1008 ± 43 | 1024 ± 47 | <0.001 |
| ECV, % | 27 ± 4 | 27 ± 4 | 28 ± 4 | 0.001 |
| Univariable Analysis | Age- and Sex-Adjusted | |||||||
|---|---|---|---|---|---|---|---|---|
| β | 95% CI | p-Value | Adj. β | 95% CI | p-Value | |||
| Variables | Lower | Upper | Lower | Upper | ||||
| Age | 0.268 | 0.00 | 0.001 | <0.001 | ||||
| Male sex | −0.123 | −0.000 | −0.001 | 0.006 | ||||
| BMI | −0.044 | −0.001 | 0.000 | 0.351 | −0.030 | −0.001 | 0.001 | 0.667 |
| LVEF | −0.101 | −0.000 | −0.000 | 0.031 | 0.086 | 0.001 | −0.001 | 0.238 |
| RVEF | −0.094 | −0.000 | 0.000 | 0.05 | 0.057 | 0.001 | 0.001 | 0.433 |
| ECV | 0.158 | 0.000 | 0.002 | 0.026 | 0.079 | 0.000 | 0.002 | 0.273 |
| Myocardial T1 times | 0.176 | 0.147 | 0.421 | <0.001 | −0.013 | 0.000 | 0.000 | 0.848 |
| eGFR | −0.612 | −0.001 | −0.001 | <0.001 | −0.534 | −0.001 | 0.000 | <0.001 |
| Creatinine | 0.581 | 0.035 | 0.044 | <0.001 | 0.532 | 0.027 | 0.042 | <0.001 |
| NT-proBNP | 0.249 | 0.000 | 0.000 | <0.001 | 0.061 | 0.000 | 0.000 | 0.406 |
| CRP | 0.119 | −0.000 | −0.005 | 0.090 | 0.075 | −0.001 | 0.004 | 0.268 |
| Hemoglobin | −0.332 | −0.006 | −0.004 | <0.001 | −0.194 | −0.005 | −0.001 | 0.009 |
| Troponin T | −0.013 | 0.000 | 0.000 | 0.851 | 0.035 | 0.000 | 0.000 | 0.822 |
| Univariable Analysis | Multivariable Analysis | ||||||||
|---|---|---|---|---|---|---|---|---|---|
| HR | 95% CI | p-Value | HR | 95% CI | p-Value | ||||
| Variable | Lower | Upper | Variable | Lower | Upper | ||||
| Renal T1 times * | 1.73 | 1.42 | 2.11 | <0.001 | Renal T1 times * | 1.49 | 1.10 | 2.02 | 0.01 |
| Age | 1.04 | 1.02 | 1.06 | <0.001 | |||||
| Sex | 1.98 | 1.23 | 3.19 | 0.005 | |||||
| NT-proBNP | 1.00 | 1.00 | 1.00 | <0.001 | |||||
| Hemoglobin | 0.86 | 0.75 | 0.98 | 0.024 | |||||
| Atrial fibrillation | 1.03 | 0.61 | 1.72 | 0.917 | |||||
| Hypertension | 0.77 | 0.47 | 1.27 | 0.304 | |||||
| Univariable Analysis | Multivariable Analysis | ||||||||
|---|---|---|---|---|---|---|---|---|---|
| HR | 95% CI | p-Value | HR | 95% CI | p-Value | ||||
| Variable | Lower | Upper | Variable | Lower | Upper | ||||
| Renal T1 times * | 1.41 | 1.05 | 1.90 | 0.021 | Renal T1 times * | 1.42 | 1.05 | 1.90 | 0.021 |
| Sex | 1.01 | 0.66 | 1.57 | 0.95 | |||||
| Hypertension | 0.95 | 0.62 | 1.47 | 0.823 | |||||
Disclaimer/Publisher’s Note: The statements, opinions and data contained in all publications are solely those of the individual author(s) and contributor(s) and not of MDPI and/or the editor(s). MDPI and/or the editor(s) disclaim responsibility for any injury to people or property resulting from any ideas, methods, instructions or products referred to in the content. |
© 2024 by the authors. Licensee MDPI, Basel, Switzerland. This article is an open access article distributed under the terms and conditions of the Creative Commons Attribution (CC BY) license (https://creativecommons.org/licenses/by/4.0/).
Share and Cite
Lunzer, L.; Donà, C.; Mascherbauer, K.; Kronberger, C.; Nitsche, C.; Koschutnik, M.; Poledniczek, M.; Harbich, P.F.; Kaufmann, C.; Pogran, E.; et al. Renal T1 Times on Cardiac Magnetic Resonance Reflect Renal Dysfunction and Are Associated with Adverse Outcomes: Insights from an All-Comer Cohort. J. Clin. Med. 2025, 14, 154. https://doi.org/10.3390/jcm14010154
Lunzer L, Donà C, Mascherbauer K, Kronberger C, Nitsche C, Koschutnik M, Poledniczek M, Harbich PF, Kaufmann C, Pogran E, et al. Renal T1 Times on Cardiac Magnetic Resonance Reflect Renal Dysfunction and Are Associated with Adverse Outcomes: Insights from an All-Comer Cohort. Journal of Clinical Medicine. 2025; 14(1):154. https://doi.org/10.3390/jcm14010154
Chicago/Turabian StyleLunzer, Laura, Carolina Donà, Katharina Mascherbauer, Christina Kronberger, Christian Nitsche, Matthias Koschutnik, Michael Poledniczek, Paul Felix Harbich, Christoph Kaufmann, Edita Pogran, and et al. 2025. "Renal T1 Times on Cardiac Magnetic Resonance Reflect Renal Dysfunction and Are Associated with Adverse Outcomes: Insights from an All-Comer Cohort" Journal of Clinical Medicine 14, no. 1: 154. https://doi.org/10.3390/jcm14010154
APA StyleLunzer, L., Donà, C., Mascherbauer, K., Kronberger, C., Nitsche, C., Koschutnik, M., Poledniczek, M., Harbich, P. F., Kaufmann, C., Pogran, E., Kvakan, H., Beitzke, D., Loewe, C., Geppert, A., Hengstenberg, C., & Kammerlander, A. A. (2025). Renal T1 Times on Cardiac Magnetic Resonance Reflect Renal Dysfunction and Are Associated with Adverse Outcomes: Insights from an All-Comer Cohort. Journal of Clinical Medicine, 14(1), 154. https://doi.org/10.3390/jcm14010154

