Strategies in Diagnosis and Therapy of External Outflow Graft Obstruction in Patients with a Fully Magnetically Levitated Left Ventricular Assist Device: A Meta-Analysis and Systematic Review
Abstract
1. Introduction
2. Materials and Methods
2.1. Literature Search Strategy
2.2. Selection Criteria
- Use of the HM3 LVAD
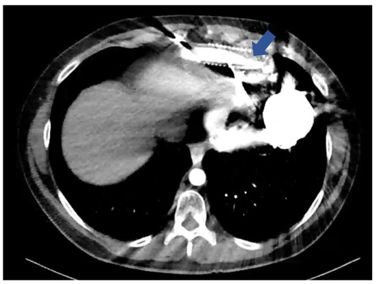
- eOGO diagnosis was confirmed through computed tomography (CT) imaging, percutaneous angiography (PA), or visualization during surgery.
2.3. Data Extraction
2.4. Classification of eOGO
2.5. Statistical Analysis
3. Results
3.1. Literature Research
3.2. Demographics and Baseline Characteristics
3.3. Incidence and Clinical Presentation of eOGO
3.4. Diagnosis and Outcome
3.5. Treatment and Outcome
4. Discussion
5. Limitations
6. Conclusions
Supplementary Materials
Author Contributions
Funding
Data Availability Statement
Conflicts of Interest
Abbreviations
| ARDS | acute respiratory distress syndrome |
| ASD | atrial septal defect |
| CABG | coronary artery bypass graft |
| CMP | cardiomyopathy |
| CT | computed tomography |
| DCMP | dilated cardiomyopathy |
| eOGO | external compression of the outflow graft causing obstruction |
| HM3 | HeartMate 3 |
| ICMP | ischemic cardiomyopathy |
| INR | international normalized ratio |
| IVUS | intravascular ultrasound |
| LDH | lactate dehydrogenase |
| LVAD | left ventricular assist device |
| LVEF | left ventricular ejection fraction |
| NICMP | non-ischemic cardiomyopathy |
| PA | percutaneous angiography |
| PET | polyethylene terephthalate |
| PFO | patent foramen ovale |
| RVAD | right ventricular assist device |
| RVEF | right ventricular ejection fraction |
| TAVR | transcatheter aortic valve replacement |
References
- Mehra, M.R.; Goldstein, D.J.; Cleveland, J.C.; Cowger, J.A.; Hall, S.; Salerno, C.T.; Naka, Y.; Horstmanshof, D.; Chuang, J.; Wang, A.; et al. Five-Year Outcomes in Patients with Fully Magnetically Levitated vs Axial-Flow Left Ventricular Assist Devices in the MOMENTUM 3 Randomized Trial. Jama 2022, 328, 1233–1242. [Google Scholar] [CrossRef] [PubMed]
- Mehra, M.R.; Uriel, N.; Naka, Y.; Cleveland, J.C., Jr.; Yuzefpolskaya, M.; Salerno, C.T.; Walsh, M.N.; Milano, C.A.; Patel, C.B.; Hutchins, S.W.; et al. A Fully Magnetically Levitated Left Ventricular Assist Device—Final Report. N. Engl. J. Med. 2019, 380, 1618–1627. [Google Scholar] [CrossRef] [PubMed]
- Jain, S.S.; Clerkin, K.J.; Anstey, D.E.; Liu, Q.; Fried, J.A.; Raikhelkar, J.; Griffin, J.M.; Marshall, D.; Colombo, P.; Yuzefpolskaya, M.; et al. Outflow Graft Narrowing of the HeartMate 3 Left Ventricular Assist Device. Ann. Thorac. Surg. 2023, 115, 1282–1288. [Google Scholar] [CrossRef] [PubMed]
- Lotan, D.; Goldstein, J.; Oren, D.; Oh, D.; Uriel, N.; Naka, Y.; Colombo, P.C.; Takeda, K.; Yuzefpolskaya, M. Recurrent outflow graft compression of HeartMate3: When the left ventricular assist device sticks to the rib. JTCVS Tech. 2022, 17, 104–107. [Google Scholar] [CrossRef] [PubMed]
- Wert, L.; Stewart, G.C.; Mehra, M.R.; Milwidsky, A.; Jorde, U.P.; Goldstein, D.J.; Selzman, C.H.; Stehlik, J.; Alshamdin, F.D.; Khaliel, F.H.; et al. A multicenter evaluation of external outflow graft obstruction with a fully magnetically levitated left ventricular assist device. J. Thorac. Cardiovasc. Surg. 2024, 167, 1322–1330.e6. [Google Scholar] [CrossRef]
- Alvarez, P.; Humble, R.; Firchau, D.; Briasoulis, A. Outflow graft foreign body reaction and thrombosis in HeartMate 3 left ventricular assist device. Asian Cardiovasc. Thorac. Ann. 2022, 30, 596–600. [Google Scholar] [CrossRef] [PubMed]
- Dimitrov, K.; Kaider, A.; Angleitner, P.; Schlöglhofer, T.; Gross, C.; Beitzke, D.; Granegger, M.; Riebandt, J.; Wiedemann, D.; Sandner, S.; et al. Incidence, clinical relevance and therapeutic options for outflow graft stenosis in patients with left ventricular assist devices. Eur. J. Cardio-Thorac. Surg. 2021, 61, 716–724. [Google Scholar] [CrossRef] [PubMed]
- Bethea, M.C.; Reemtsma, K. Graft hemostasis: An alternative to preclotting. Ann. Thorac. Surg. 1979, 27, 374–376. [Google Scholar] [CrossRef]
- Cooley, D.A.; Romagnoli, A.; Milam, J.D.; Bossart, M.I. A method of preparing woven Dacron aortic grafts to prevent interstitial hemorrhage. Cardiovasc. Dis. 1981, 8, 48–52. [Google Scholar]
- Trankle, C.R.; Grizzard, J.D.; Shah, K.B.; Gharai, L.R.; Dana, F.; Kang, M.S.; Andreae, A.E.; Desai, K.; Quader, M.A.; Gertz, Z.M. Left Ventricular Assist Device Outflow Graft Compression: Incidence, Clinical Associations and Potential Etiologies. J. Card. Fail. 2019, 25, 545–552. [Google Scholar] [CrossRef] [PubMed]
- Milwidsky, A.; Villela, M.A.; Wiley, J.; Sanina, C.; Patel, S.R.; Sutton, N.; Latib, A.; Sims, D.B.; Forest, S.J.; Shin, J.J.; et al. Outflow graft obstruction in patients with the HM 3 LVAD: A percutaneous approach. Catheter. Cardiovasc. Interv. 2021, 98, 1383–1390. [Google Scholar] [CrossRef] [PubMed]
- Bhamidipati, C.M.; Pal, J.D.; Jones, T.K.; McCabe, J.M.; Reisman, M.; Smith, J.W.; Mahr, C.; Mokadam, N.A. Outflow Graft Obstruction Treated with Transcatheter Management: A Novel Therapy for a New Diagnosis. Ann. Thorac. Surg. 2017, 103, e101–e104. [Google Scholar] [CrossRef]
- Abbott. Medical Device Correction: HeartMate LVAS Kits and Outflow Grafts—February 2024: Abbott Medical. 2024. Available online: https://www.cardiovascular.abbott/int/en/hcp/product-advisories.html (accessed on 30 October 2024).
- Potapov, E.V.; Antonides, C.; Crespo-Leiro, M.G.; Combes, A.; Färber, G.; Hannan, M.M.; Kukucka, M.; de Jonge, N.; Loforte, A.; Lund, L.H.; et al. 2019 EACTS Expert Consensus on long-term mechanical circulatory support. Eur. J. Cardio-Thorac. Surg. 2019, 56, 230–270. [Google Scholar] [CrossRef]
- Scandroglio, A.M.; Kaufmann, F.; Pieri, M.; Kretzschmar, A.; Müller, M.; Pergantis, P.; Dreysse, S.; Falk, V.; Krabatsch, T.; Potapov, E.V. Diagnosis and Treatment Algorithm for Blood Flow Obstructions in Patients with Left Ventricular Assist Device. J. Am. Coll. Cardiol. 2016, 67, 2758–2768. [Google Scholar] [CrossRef] [PubMed]
- Kaku, Y.; Naka, Y.; Witer, L.; Topkara, V.; Colombo, P.; Sayer, G.; Uriel, N.; Takeda, K. Late inflow or outflow obstruction requiring surgical intervention after HeartMate 3 left ventricular assist device insertion. Interact. CardioVascular Thorac. Surg. 2020, 31, 626–628. [Google Scholar] [CrossRef]
- Tramontin, C.; Affronti, A.; Cirio, E.M. Diagnostic and surgical management of HeartMate 3 outflow graft obstruction due to two different mechanisms. Asian Cardiovasc. Thorac. Ann. 2022, 30, 826–829. [Google Scholar] [CrossRef] [PubMed]
- Merlo, A.; Tasoudis, P.; de Oliveira, G.C.; Ikonomidis, J.S.; Tessmann, P.; Haithcock, B.; Caranasos, T. Mechanical pump complication after HeartMate 3 implantation. J. Thromb. Thrombolysis 2024, 57, 82–88. [Google Scholar] [CrossRef] [PubMed]
- Agrawal, A.; Alexy, T.; Kamioka, N.; Shafi, T.; Stowe, J.; Morris, A.A.; Vega, J.D.; Babaliaros, V.; Burke, M.A. Outflow graft obstruction after left ventricular assist device implantation: A retrospective, single-centre case series. ESC Heart Fail. 2021, 8, 2349–2353. [Google Scholar] [CrossRef] [PubMed]
- Wang, L.; Rafiq, M.; Tweed, K.; Kydd, A.; Kaul, P.; Jenkins, D.; Tsui, S.; Berman, M. Surgical intervention for left ventricular assist device outflow graft obstruction due to external compression. Multimedia Man. Cardio-Thoracic Surg. 2023, 2023. [Google Scholar] [CrossRef]
- Gasecka, A.; Szymanski, M.; Voskuil, M.; van Laake, L.W.; Ramjankhan, F.; Kraaijeveld, A.O. Percutaneous management of left ventricular assist device outflow graft obstruction. EuroIntervention 2022, 18, e353–e354. [Google Scholar] [CrossRef] [PubMed]
- Wamala, I.; Kneissler, S.; Kaufmann, F.; Eulert-Grehn, J.-J.; Potapov, E.; Dreysse, S.; Starck, C.; Falk, V.; Solowjowa, N. Computed Tomography and Fluoroscopic Angiography in Management of Left Ventricular Assist Device Outflow Graft Obstruction. JACC Cardiovasc. Imaging 2020, 13, 2036–2042. [Google Scholar] [CrossRef] [PubMed]
- Ajello, S.; Pieri, M.; Bertoglio, L.; Altizio, S.; Nardelli, P.; Scandroglio, A.M. Extrinsic outflow graft flow obstruction in patients with HeartMate3 LVAD. Artif. Organs 2023, 47, 786–790. [Google Scholar] [CrossRef] [PubMed]
- Nersesian, G.; Van Praet, K.M.; van Kampen, A.; Solowjowa, N.; Falk, V.; Potapov, E. Surgical treatment of outflow graft kinking complicated by external obstruction with a fibrin mass in a patient with LVAD. J. Card. Surg. 2020, 35, 2853–2856. [Google Scholar] [CrossRef] [PubMed]
- De Armas, I.A.S.; Patel, M.; Akay, M.H.; Patel, J.; Singapurwala, M.; Kar, B.; Gregoric, I.D. Use of a Minimally Invasive Approach to Correct Diffuse External Compression of the Left Ventricular Assist Device Outflow Graft. ASAIO J. 2021, 67, e107–e109. [Google Scholar] [CrossRef]
- Posada, J.G.D.; Moayedi, Y.; Alhussein, M.; Rodger, M.; Alvarez, J.; Wintersperger, B.J.; Ross, H.J.; Butany, J.; Billia, F.; Rao, V. Outflow Graft Occlusion of the HeartMate 3 Left Ventricular Assist Device. Circ. Heart Fail. 2017, 10, e004275. [Google Scholar] [CrossRef] [PubMed]
- Guihaire, J.; Kloeckner, M.; Isorni, M.A. Proximal outflow graft extrinsic compression of the Heartmate 3 centrifugal flow left ventricular assist device resulting in pump dysfunction. J. Artif. Organs 2020, 23, 180–182. [Google Scholar] [CrossRef]
- Khush, K.K.; Menza, R.; Nguyen, J.; Zaroff, J.G.; Goldstein, B.A. Donor Predictors of Allograft Use and Recipient Outcomes After Heart Transplantation. Circ. Heart Fail. 2013, 6, 300–309. [Google Scholar] [CrossRef] [PubMed]
- Wood, C.T.; O’malley, T.J.; Maynes, E.J.; Vishnevsky, A.; Morris, R.J.; Samuels, L.E.; Massey, H.T.; Tchantchaleishvili, V. Survival outcomes of stenting outflow graft stenosis in continuous-flow left ventricular assist devices: A systematic review. Heart Fail. Rev. 2020, 25, 985–992. [Google Scholar] [CrossRef]
- Patil, S.; Ahmad, D.; Shah, K.; Vishnevsky, A.; Ruggiero, N.J.; Rajapreyar, I.N.; Rame, J.E.; Alvarez, R.J.; Rajagopal, K.; Entwistle, J.W.; et al. Outcomes of outflow graft stenting in HeartMate 3 left ventricular assist devices: A systematic review and individual patient data meta-analysis. Artif. Organs 2024, 48, 577–585. [Google Scholar] [CrossRef] [PubMed]
- Page, M.J.; McKenzie, J.E.; Bossuyt, P.M.; Boutron, I.; Hoffmann, T.C.; Mulrow, C.D.; Shamseer, L.; Tetzlaff, J.M.; Akl, E.A.; Brennan, S.E.; et al. The PRISMA 2020 statement: An updated guideline for reporting systematic reviews. Syst. Rev. 2021, 10, 89. [Google Scholar] [CrossRef] [PubMed]
- Munn, Z.; Barker, T.H.; Moola, S.; Tufanaru, C.; Stern, C.; McArthur, A.; Matthew, S.; Edoardo, A. Methodological quality of case series studies: An introduction to the JBI critical appraisal tool. JBI Evid. Synth. 2020, 18, 2127–2133. [Google Scholar] [CrossRef]
- Moola, S.; Munn, Z.; Tufanaru, C.; Aromataris, E.; Sears, K.; Sfetcu, R.; Stephenson, M.; Aromataris, E. Systematic reviews of etiology and risk. JBI Man. Evid. Synth. JBI 2020, 5, 217–269. [Google Scholar]
- Färber, G.; Kirov, H.; Schwan, I.; Gräger, S.; Diab, M.; Tkebuchava, S.; Doenst, T. Bend relief fenestration might prevent outflow graft obstruction in patients with left ventricular assist device. Interact. Cardiovasc. Thorac. Surg. 2022, 35, ivac149. [Google Scholar] [CrossRef] [PubMed]
- Wallace, R.; Rogers, T.; Slack, M.; Sheikh, F.H.; Balsara, K.; Weissman, G.; Satler, L.F.; Waksman, R.; Ben-Dor, I. Percutaneous endovascular intervention for left ventricular assist device outflow graft obstruction: A single-center experience. Cardiovasc. Revasc. Med. 2024. [Google Scholar] [CrossRef] [PubMed]
- Kanelidis, A.J.; Abutaleb, A.; Kalantari, S.; Grinstein, J.; Shah, A.P. Percutaneous intervention of a HeartMate 3 extrinsic outflow graft obstruction using large covered stents. Cardiovasc. Revascularization Med. Interes. Cases 2024, 2, 100019. [Google Scholar] [CrossRef]
- Corvion Inc. Cutting the Cord: Corvion Inc. 2024. Available online: https://corvion.com/technology-corvion/ (accessed on 5 November 2024).






| Degree of Stenosis | eOGO Classification |
|---|---|
| ≤49% | Mild |
| 50–74% | Moderate |
| ≥75% | Severe |
| LVEF | RVEF | eOGO Classification |
|---|---|---|
| ≥50% | 25–31% | Mild |
| 40–49% | 18–24% | Moderate |
| <40% | ≤17% | Severe |
| Years on LVAD Support | Incidence | Numbers at Risk | Cumulative Incidence % |
|---|---|---|---|
| 1 | 8 | 113 | 7.1 |
| 2 | 37 | 105 | 39.8 |
| 3 | 39 | 68 | 74.3 |
| 4 | 16 | 29 | 88.5 |
| 5 | 10 | 13 | 97.3 |
| 6 | 2 | 3 | 99.1 |
| 7 | 1 | 1 | 100.0 |
Disclaimer/Publisher’s Note: The statements, opinions and data contained in all publications are solely those of the individual author(s) and contributor(s) and not of MDPI and/or the editor(s). MDPI and/or the editor(s) disclaim responsibility for any injury to people or property resulting from any ideas, methods, instructions or products referred to in the content. |
© 2024 by the authors. Licensee MDPI, Basel, Switzerland. This article is an open access article distributed under the terms and conditions of the Creative Commons Attribution (CC BY) license (https://creativecommons.org/licenses/by/4.0/).
Share and Cite
Huang, A.; von Mackensen, J.K.R.; Zwaans, V.I.T.; Schuering, C.L.; Iske, J.; Stein, J.; Ott, S.; Heck, R.; Starck, C.T.; Kempfert, J.; et al. Strategies in Diagnosis and Therapy of External Outflow Graft Obstruction in Patients with a Fully Magnetically Levitated Left Ventricular Assist Device: A Meta-Analysis and Systematic Review. J. Clin. Med. 2025, 14, 108. https://doi.org/10.3390/jcm14010108
Huang A, von Mackensen JKR, Zwaans VIT, Schuering CL, Iske J, Stein J, Ott S, Heck R, Starck CT, Kempfert J, et al. Strategies in Diagnosis and Therapy of External Outflow Graft Obstruction in Patients with a Fully Magnetically Levitated Left Ventricular Assist Device: A Meta-Analysis and Systematic Review. Journal of Clinical Medicine. 2025; 14(1):108. https://doi.org/10.3390/jcm14010108
Chicago/Turabian StyleHuang, Anna, Johanna K. R. von Mackensen, Vanessa I. T. Zwaans, Carla L. Schuering, Jasper Iske, Julia Stein, Sascha Ott, Roland Heck, Christoph T. Starck, Joerg Kempfert, and et al. 2025. "Strategies in Diagnosis and Therapy of External Outflow Graft Obstruction in Patients with a Fully Magnetically Levitated Left Ventricular Assist Device: A Meta-Analysis and Systematic Review" Journal of Clinical Medicine 14, no. 1: 108. https://doi.org/10.3390/jcm14010108
APA StyleHuang, A., von Mackensen, J. K. R., Zwaans, V. I. T., Schuering, C. L., Iske, J., Stein, J., Ott, S., Heck, R., Starck, C. T., Kempfert, J., Jacobs, S., Falk, V., Potapov, E. V., & Wert, L. (2025). Strategies in Diagnosis and Therapy of External Outflow Graft Obstruction in Patients with a Fully Magnetically Levitated Left Ventricular Assist Device: A Meta-Analysis and Systematic Review. Journal of Clinical Medicine, 14(1), 108. https://doi.org/10.3390/jcm14010108

