Sonography as a Diagnostic Tool in Midurethral Sling Complications: A Narrative Review
Abstract
1. Introduction
- transvaginal and transrectal approaches;
- external methods: perineal, introital, and transabdominal approaches [14].
2. Materials and Methods
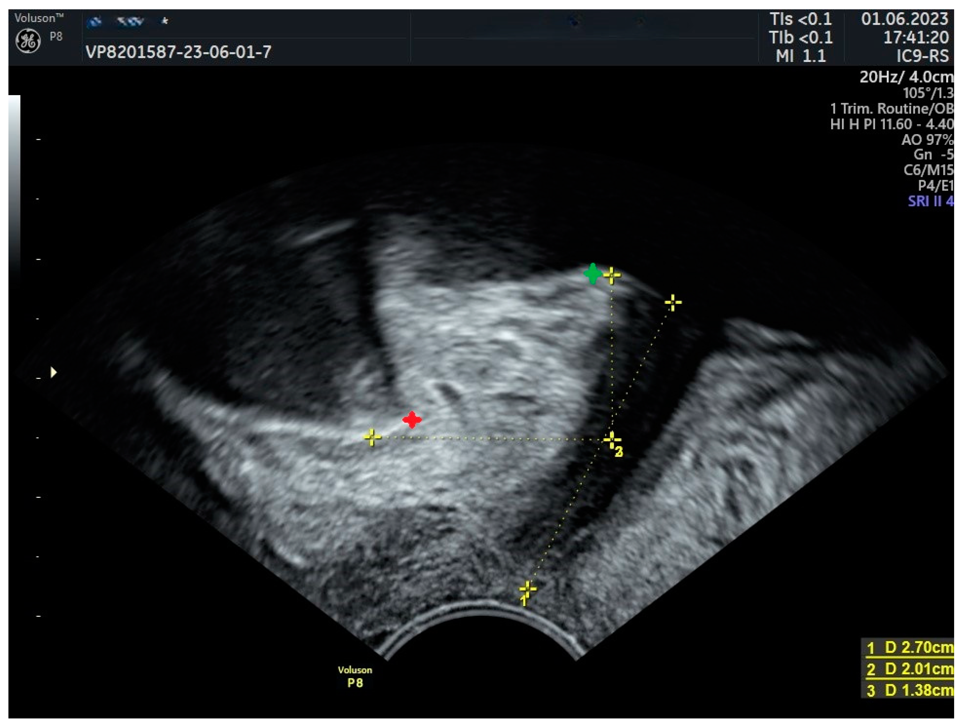
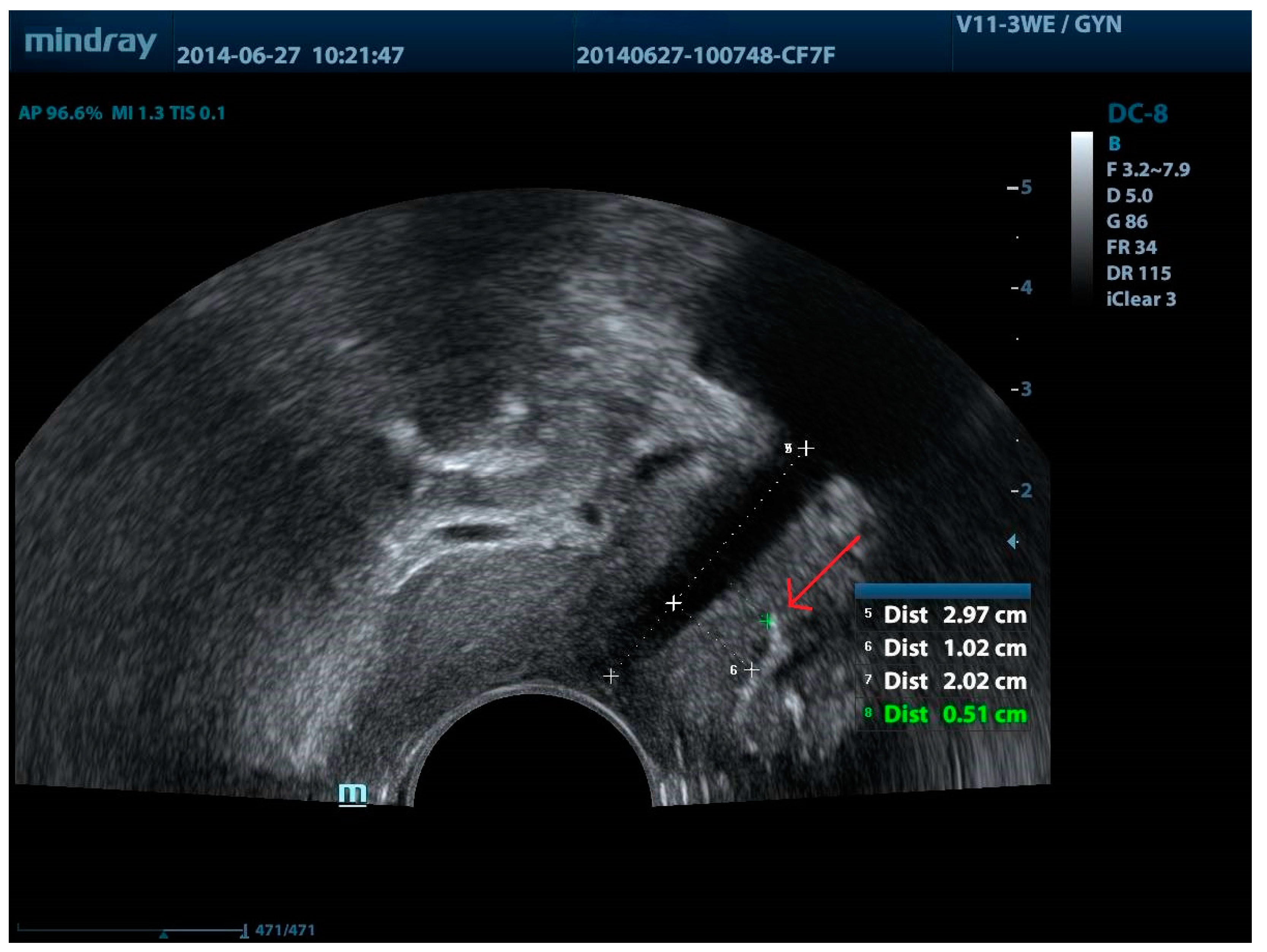
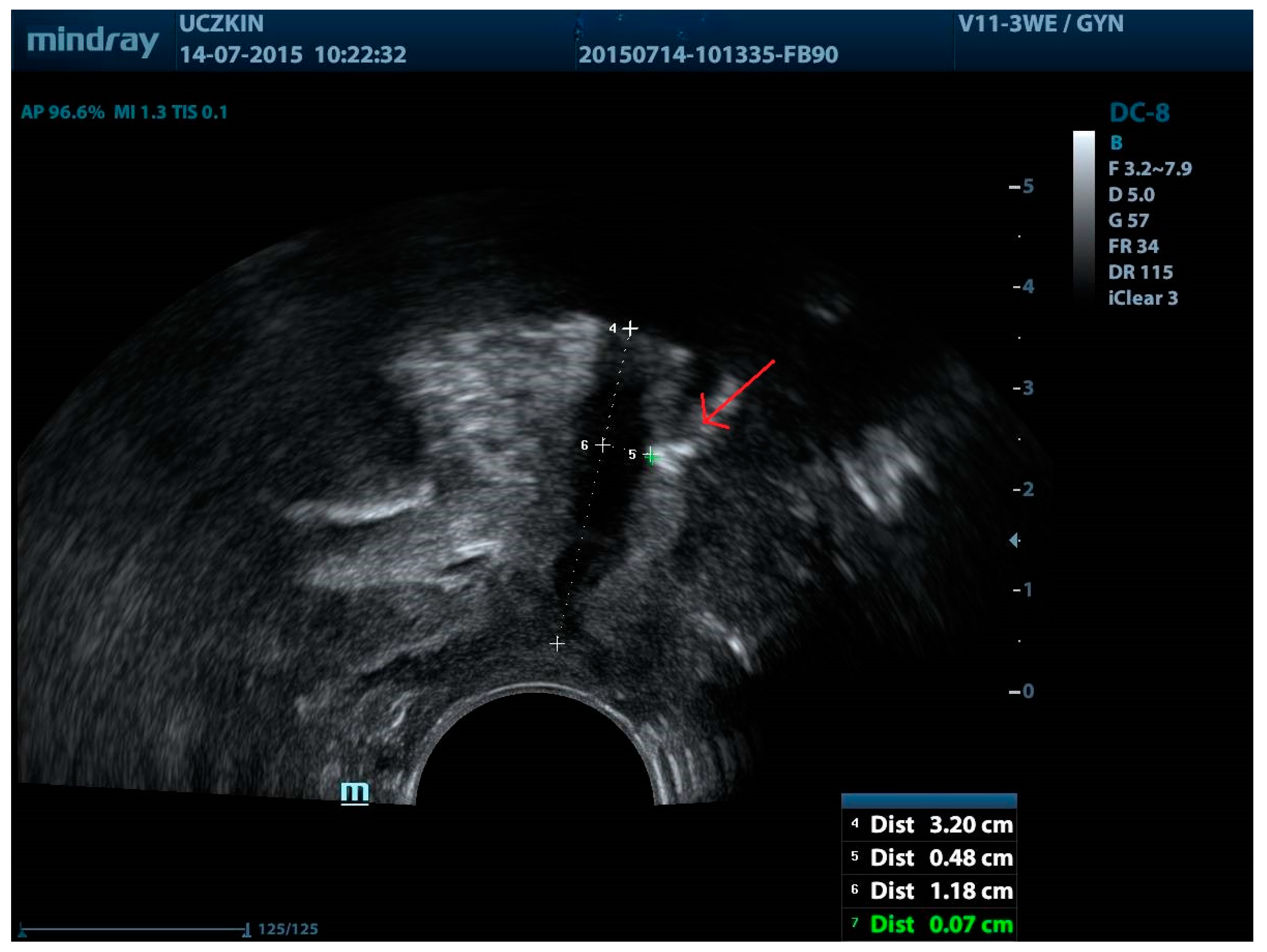
3. MUS Complications and the Diagnostic Role of PF Sonography
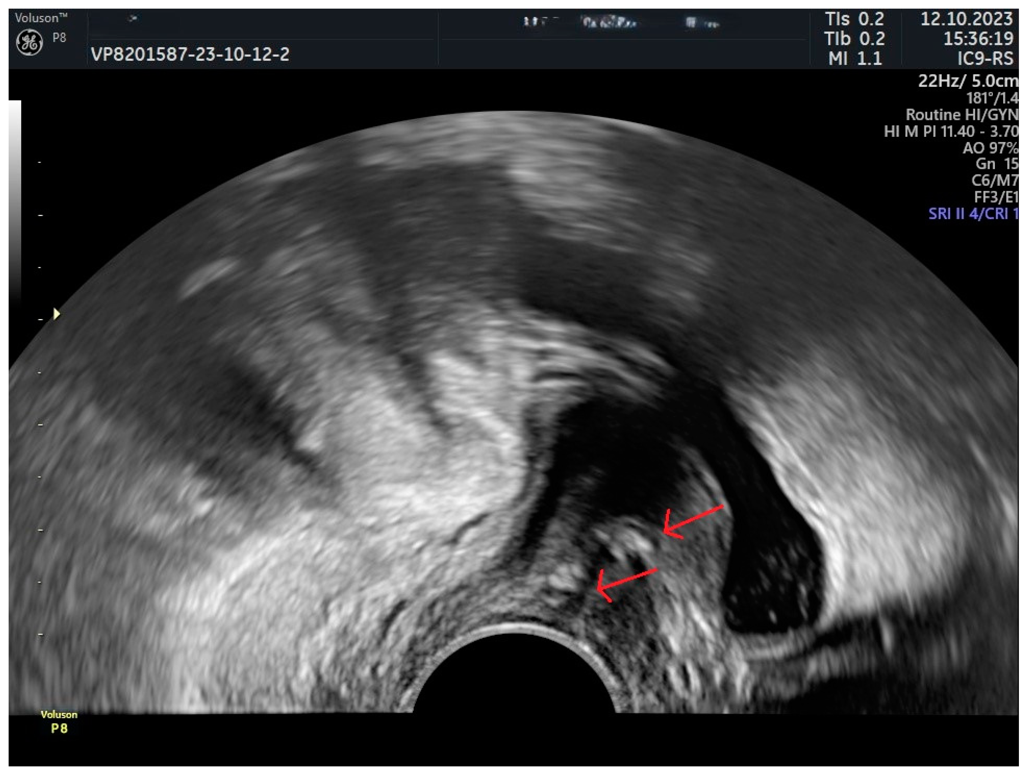
3.1. Persistent and Recurrent SUI
3.2. Urinary Retention and Obstructive Voiding
3.3. De Novo Urgency/OAB
3.4. Vaginal Exposure
3.5. Sling Erosion
3.6. Pain
3.7. Hematoma
4. Discussion
5. Conclusions
6. Future Directions
7. Limitations
Author Contributions
Funding
Institutional Review Board Statement
Informed Consent Statement
Conflicts of Interest
References
- Ulmsten, U.; Henriksson, L.; Johnson, P.; Varhos, G. An ambulatory surgical procedure under local anesthesia for treatment of female urinary incontinence. Int. Urogynecol. J. Pelvic Floor Dysfunct. 1996, 7, 81–85; discussion 85–86. [Google Scholar] [CrossRef] [PubMed]
- Ulmsten, U.; Johnson, P.; Rezapour, M. A three-year follow up of tension free vaginal tape for surgical treatment of female stress urinary incontinence. Br. J. Obstet. Gynaecol. 1999, 106, 345–350. [Google Scholar] [CrossRef] [PubMed]
- Ward, K.L.; Hilton, P. A prospective multicenter randomized trial of tension-free vaginal tape and colposuspension for primary urodynamic stress incontinence: Two-year follow-up. Am. J. Obstet. Gynecol. 2004, 190, 324–331. [Google Scholar] [CrossRef] [PubMed]
- Delorme, E. Transobturator urethral suspension: Mini-invasive procedure in the treatment of stress urinary incontinence in women. Prog. Urol. 2001, 11, 1306–1313. [Google Scholar] [PubMed]
- Sivaslioglu, A.A.; Caliskan, E.; Dolen, I.; Haberal, A. A randomized comparison of transobturator tape and Burch colposuspension in the treatment of female stress urinary incontinence. Int. Urogynecol. J. Pelvic Floor Dysfunct. 2007, 18, 1015–1019. [Google Scholar] [CrossRef] [PubMed]
- Culligan, P.J.; Goldberg, R.P.; Sand, P.K. A randomized controlled trial comparing a modified Burch procedure and a suburethral sling: Long-term follow-up. Int. Urogynecol. J. Pelvic Floor Dysfunct. 2003, 14, 229–233; discussion 233. [Google Scholar] [CrossRef] [PubMed]
- El-Barky, E.; El-Shazly, A.; El-Wahab, O.A.; Kehinde, E.O.; Al-Hunayan, A.; Al-Awadi, K.A. Tension free vaginal tape versus Burch colposuspension for treatment of female stress urinary incontinence. Int. Urol. Nephrol. 2005, 37, 277–281. [Google Scholar] [CrossRef]
- Ustün, Y.; Engin-Ustün, Y.; Güngör, M.; Tezcan, S. Randomized comparison of Burch urethropexy procedures concomitant with gynecologic operations. Gynecol. Obstet. Investig. 2005, 59, 19–23. [Google Scholar] [CrossRef]
- Ford, A.A.; Rogerson, L.; Cody, J.D.; Aluko, P.; Ogah, J.A. Mid-urethral sling operations for stress urinary incontinence in women. Cochrane Database Syst. Rev. 2017, 7, CD006375. [Google Scholar] [CrossRef]
- Ugianskiene, A.; Davila, G.W.; Su, T.H.; Urogynecology, F.; Pelvic Floor, C. FIGO review of statements on use of synthetic mesh for pelvic organ prolapse and stress urinary incontinence. Int. J. Gynaecol. Obstet. 2019, 147, 147–155. [Google Scholar] [CrossRef]
- Juhl, C.; Thimm, M.H.; Glavind, K. Impact on urinary incontinence after management of complications related to a retropubic midurethral sling. Int. Urogynecol. J. 2023, 34, 2767–2774. [Google Scholar] [CrossRef] [PubMed]
- Stanford, E.J.; Paraiso, M.F. A comprehensive review of suburethral sling procedure complications. J. Minim. Invasive Gynecol. 2008, 15, 132–145. [Google Scholar] [CrossRef] [PubMed]
- Chan, L.; Tse, V. Pelvic floor ultrasound in the diagnosis of sling complications. World J. Urol. 2018, 36, 753–759. [Google Scholar] [CrossRef] [PubMed]
- Naumann, G.; Aigmüller, T.; Bader, W.; Bauer, R.; Beilecke, K.; Betschart Meier, C.; Bruer, G.; Bschleipfer, T.; Deniz, M.; Fink, T.; et al. Diagnosis and Therapy of Female Urinary Incontinence. Guideline of the DGGG, OEGGG and SGGG (S2k-Level, AWMF Registry No. 015/091, January 2022): Part 1 with Recommendations on Diagnostics and Conservative and Medical Treatment. Geburtshilfe Frauenheilkd. 2023, 83, 377–409. [Google Scholar] [CrossRef] [PubMed]
- Shobeiri, A.; Benacerraf, B.; Bromley, B.; Sakhel, K.; Dietz, H.P.; Chan, S.; Rojas, R.G.; Svabik, K.; Hashimoto, B.; Sheth, S.; et al. AIUM/IUGA Practice Parameter for the Performance of Urogynecological Ultrasound Examinations: Developed in Collaboration with the ACR, the AUGS, the AUA, and the SRU. J. Ultrasound Med. 2019, 38, 851–864. [Google Scholar] [CrossRef]
- Shek, K.L.; Dietz, H.P. Ultrasound imaging of slings and meshes in urogynecology. Ultrasound Obstet. Gynecol. 2021, 57, 526–538. [Google Scholar] [CrossRef] [PubMed]
- Shen, J.K.; Faaborg, D.; Rouse, G.; Kelly, I.; Li, R.; Alsyouf, M.; Myklak, K.; Distelberg, B.; Staack, A. Applying translabial ultrasound to detect synthetic slings-You can do it too! A comparison of urology trainees to an attending radiologist. Neurourol. Urodyn. 2017, 36, 1763–1769. [Google Scholar] [CrossRef]
- Bogusiewicz, M. Ultrasound imaging in urogynecology—State of the art 2016. Prz. Menopauzalny 2016, 15, 123–132. [Google Scholar] [CrossRef]
- Yang, J.M.; Yang, S.H.; Huang, W.C. Correlation of morphological alterations and functional impairment of the tension-free vaginal tape obturator procedure. J. Urol. 2009, 181, 211–218. [Google Scholar] [CrossRef]
- Yang, J.M.; Yang, S.H.; Huang, W.C.; Tzeng, C.R. Correlation of tape location and tension with surgical outcome after transobturator suburethral tape procedures. Ultrasound Obstet. Gynecol. 2012, 39, 458–465. [Google Scholar] [CrossRef]
- Bogusiewicz, M.; Monist, M.; Gałczyński, K.; Woźniak, M.; Wieczorek, A.P.; Rechberger, T. Both the middle and distal sections of the urethra may be regarded as optimal targets for ‘outside-in’ transobturator tape placement. World J. Urol. 2014, 32, 1605–1611. [Google Scholar] [CrossRef] [PubMed]
- Westby, M.; Asmussen, M.; Ulmsten, U. Location of maximum intraurethral pressure related to urogenital diaphragm in the female subject as studied by simultaneous urethrocystometry and voiding urethrocystography. Am. J. Obstet. Gynecol. 1982, 144, 408–412. [Google Scholar] [CrossRef] [PubMed]
- Dietz, H.P.; Clarke, B. The influence of posture on perineal ultrasound imaging parameters. Int. Urogynecol. J. Pelvic Floor Dysfunct. 2001, 12, 104–106. [Google Scholar] [CrossRef] [PubMed]
- Dietz, H.P.; Wilson, P.D. The influence of bladder volume on the position and mobility of the urethrovesical junction. Int. Urogynecol. J. Pelvic Floor Dysfunct. 1999, 10, 3–6. [Google Scholar] [CrossRef] [PubMed]
- Haudebert, C.; Florin, M.; Fatton, B.; Campagne-Loiseau, S.; Tse, V. Trans-labial or introital ultrasounds for midurethral slings. Prog. Urol. 2023, 33, 526–532. [Google Scholar] [CrossRef] [PubMed]
- Virtanen, H.S.; Kiilholma, P. Urogynecologic ultrasound is a useful aid in the assessment of female stress urinary incontinence—A prospective study with TVT procedure. Int. Urogynecol. J. Pelvic Floor Dysfunct. 2002, 13, 218–222; discussion 223. [Google Scholar] [CrossRef] [PubMed]
- Dietz, H.P.; Barry, C.; Lim, Y.N.; Rane, A. Two-dimensional and three-dimensional ultrasound imaging of suburethral slings. Ultrasound Obstet. Gynecol. 2005, 26, 175–179. [Google Scholar] [CrossRef] [PubMed]
- Chmaj-Wierzchowska, K.; Raba, G.; Dykczyński, P.; Wilczak, M.; Turlakiewicz, K.; Latańska, I.; Sujka, W. Clinical Outcomes of Mid-Urethral Sling (MUS) Procedures for the Treatment of Female Urinary Incontinence: A Multicenter Study. J. Clin. Med. 2022, 11, 6656. [Google Scholar] [CrossRef] [PubMed]
- Ross, S.; Tang, S.; Eliasziw, M.; Lier, D.; Girard, I.; Brennand, E.; Dederer, L.; Jacobs, P.; Robert, M. Transobturator tape versus retropubic tension-free vaginal tape for stress urinary incontinence: 5-year safety and effectiveness outcomes following a randomised trial. Int. Urogynecol. J. 2016, 27, 879–886. [Google Scholar] [CrossRef]
- Potic, M.; Ignjatovic, I.; Basic, D. Tension free vaginal tape (TVT) vs Transobturator tape (TOT) complications and outcomes. Acta Chir. Iugosl. 2014, 61, 81–84. [Google Scholar] [CrossRef]
- Fusco, F.; Abdel-Fattah, M.; Chapple, C.R.; Creta, M.; La Falce, S.; Waltregny, D.; Novara, G. Updated Systematic Review and Meta-analysis of the Comparative Data on Colposuspensions, Pubovaginal Slings, and Midurethral Tapes in the Surgical Treatment of Female Stress Urinary Incontinence. Eur. Urol. 2017, 72, 567–591. [Google Scholar] [CrossRef] [PubMed]
- Richter, H.E.; Albo, M.E.; Zyczynski, H.M.; Kenton, K.; Norton, P.A.; Sirls, L.T.; Kraus, S.R.; Chai, T.C.; Lemack, G.E.; Dandreo, K.J.; et al. Retropubic versus transobturator midurethral slings for stress incontinence. N. Engl. J. Med. 2010, 362, 2066–2076. [Google Scholar] [CrossRef] [PubMed]
- Anger, J.T.; Litwin, M.S.; Wang, Q.; Pashos, C.L.; Rodriguez, L.V. Complications of sling surgery among female Medicare beneficiaries. Obstet. Gynecol. 2007, 109, 707–714. [Google Scholar] [CrossRef] [PubMed]
- Nilsson, C.G.; Falconer, C.; Rezapour, M. Seven-year follow-up of the tension-free vaginal tape procedure for treatment of urinary incontinence. Obstet. Gynecol. 2004, 104, 1259–1262. [Google Scholar] [CrossRef]
- Kociszewski, J.; Fabian, G.; Grothey, S.; Kuszka, A.; Zwierzchowska, A.; Majkusiak, W.; Barcz, E. Are complications of stress urinary incontinence surgery procedures associated with the position of the sling? Int. J. Urol. 2017, 24, 145–150. [Google Scholar] [CrossRef] [PubMed]
- Kociszewski, J.; Kolben, S.; Barski, D.; Viereck, V.; Barcz, E. Complications following Tension-Free Vaginal Tapes: Accurate Diagnosis and Complications Management. Biomed. Res. Int. 2015, 2015, 538391. [Google Scholar] [CrossRef] [PubMed]
- Jiang, Y.H.; Wang, C.C.; Chuang, F.C.; Ke, Q.S.; Kuo, H.C. Positioning of a suburethral sling at the bladder neck is associated with a higher recurrence rate of stress urinary incontinence. J. Ultrasound Med. 2013, 32, 239–245. [Google Scholar] [CrossRef] [PubMed]
- Ghanbari, Z.; Ayati, E.; Bastani, P.; Pourali, L.; Amini, E. Ultrasound Evaluation of Mid-Urethral Sling Position: A Potential Predictor of Outcomes and Adverse Effects. Gynecol. Obstet. Investig. 2022, 87, 344–351. [Google Scholar] [CrossRef] [PubMed]
- Bogusiewicz, M.; Monist, M.; Stankiewicz, A.; Wozniak, M.; Wieczorek, A.P.; Rechberger, T. Most of the patients with suburethral sling failure have tapes located outside the high-pressure zone of the urethra. Ginekol. Pol. 2013, 84, 334–338. [Google Scholar] [CrossRef]
- Flock, F.; Kohorst, F.; Kreienberg, R.; Reich, A. Ultrasound assessment of tension-free vaginal tape (TVT). Ultraschall Med. 2011, 32 (Suppl. 1), S35–S40. [Google Scholar] [CrossRef]
- Tunitsky-Bitton, E.; Unger, C.A.; Barber, M.D.; Goldman, H.B.; Walters, M.D. Ultrasound Evaluation of Midurethral Sling Position and Correlation to Physical Examination and Patient Symptoms. Female Pelvic Med. Reconstr. Surg. 2015, 21, 263–268. [Google Scholar] [CrossRef] [PubMed]
- Hegde, A.; Nogueiras, M.; Aguilar, V.C.; Davila, G.W. Dynamic assessment of sling function on transperineal ultrasound: Does it correlate with outcomes 1 year following surgery? Int. Urogynecol. J. 2017, 28, 857–864. [Google Scholar] [CrossRef] [PubMed]
- de Tayrac, R.; Deffieux, X.; Resten, A.; Doumerc, S.; Jouffroy, C.; Fernandez, H. A transvaginal ultrasound study comparing transobturator tape and tension-free vaginal tape after surgical treatment of female stress urinary incontinence. Int. Urogynecol. J. Pelvic Floor Dysfunct. 2006, 17, 466–471. [Google Scholar] [CrossRef] [PubMed]
- Qu, P.; Hai, N.; Lv, Z.; Yang, J. Midurethral sling position and surgical outcome: A meta-analysis. Medicine 2024, 103, e36115. [Google Scholar] [CrossRef] [PubMed]
- Dietz, H.P.; Mouritsen, L.; Ellis, G.; Wilson, P.D. How important is TVT location? Acta Obstet. Gynecol. Scand. 2004, 83, 904–908. [Google Scholar] [CrossRef] [PubMed]
- Manonai, J.; Rostaminia, G.; Denson, L.; Shobeiri, S.A. Clinical and ultrasonographic study of patients presenting with transvaginal mesh complications. Neurourol. Urodyn. 2016, 35, 407–411. [Google Scholar] [CrossRef] [PubMed]
- Illiano, E.; Trama, F.; Li Marzi, V.; Mancini, V.; Carrieri, G.; Ruvolo, C.C.; Califano, G.; Fabi, C.; Brancorsini, S.; Costantini, E. Translabial ultrasound: A non-invasive technique for assessing “technical errors” after TOT failure. Int. Urogynecol. J. 2022, 33, 1023–1030. [Google Scholar] [CrossRef] [PubMed]
- Wen, L.; Zhao, B.; Chen, W.; Qing, Z.; Liu, M. Real-time assessment of the behaviour of the bladder neck and proximal urethra during urine leaking in the cough stress test (CST) in supine and standing positions using transperineal ultrasound. Int. Urogynecol. J. 2020, 31, 2515–2519. [Google Scholar] [CrossRef] [PubMed]
- Wlaźlak, E.; Kluz, T.; Surkont, G.; Kociszewski, J. Urethral funneling visualized during pelvic floor sonography—Analysis of occurrence among urogynecological patients. Ginekol. Pol. 2018, 89, 55–61. [Google Scholar] [CrossRef]
- Tunn, R.; Petri, E. Introital and transvaginal ultrasound as the main tool in the assessment of urogenital and pelvic floor dysfunction: An imaging panel and practical approach. Ultrasound Obstet. Gynecol. 2003, 22, 205–213. [Google Scholar] [CrossRef]
- Chene, G.; Cotte, B.; Tardieu, A.S.; Savary, D.; Mansoor, A. Clinical and ultrasonographic correlations following three surgical anti-incontinence procedures (TOT, TVT and TVT-O). Int. Urogynecol. J. Pelvic Floor Dysfunct. 2008, 19, 1125–1131. [Google Scholar] [CrossRef] [PubMed]
- Pomian, A.; Majkusiak, W.; Kociszewski, J.; Tomasik, P.; Horosz, E.; Zwierzchowska, A.; Lisik, W.; Barcz, E. Demographic features of female urethra length. Neurourol. Urodyn. 2018, 37, 1751–1756. [Google Scholar] [CrossRef] [PubMed]
- Stav, K.; Dwyer, P.L.; Rosamilia, A.; Schierlitz, L.; Lim, Y.N.; Lee, J. Risk factors of treatment failure of midurethral sling procedures for women with urinary stress incontinence. Int. Urogynecol. J. 2010, 21, 149–155. [Google Scholar] [CrossRef] [PubMed]
- Holmgren, C.; Nilsson, S.; Lanner, L.; Hellberg, D. Long-term results with tension-free vaginal tape on mixed and stress urinary incontinence. Obstet. Gynecol. 2005, 106, 38–43. [Google Scholar] [CrossRef] [PubMed]
- Escura, S.; Ros, C.; Anglès-Acedo, S.; Bataller, E.; Sánchez, E.; Carmona, F.; Espuña-Pons, M. Midterm postoperative results of mid-urethral slings. Role of ultrasound in explaining surgical failures. Neurourol. Urodyn. 2022, 41, 1834–1843. [Google Scholar] [CrossRef] [PubMed]
- Mutone, N.; Brizendine, E.; Hale, D. Factors that influence voiding function after the tension-free vaginal tape procedure for stress urinary incontinence. Am. J. Obstet. Gynecol. 2003, 188, 1477–1481; discussion 1481–1483. [Google Scholar] [CrossRef] [PubMed]
- Petros, P.E.; Ulmsten, U.I. An integral theory and its method for the diagnosis and management of female urinary incontinence. Scand. J. Urol. Nephrol. Suppl. 1993, 153, 1–93. [Google Scholar]
- Gomes, C.M.; Carvalho, F.L.; Bellucci, C.H.S.; Hemerly, T.S.; Baracat, F.; de Bessa, J., Jr.; Srougi, M.; Bruschini, H. Update on complications of synthetic suburethral slings. Int. Braz. J. Urol. 2017, 43, 822–834. [Google Scholar] [CrossRef]
- Klutke, C.; Siegel, S.; Carlin, B.; Paszkiewicz, E.; Kirkemo, A.; Klutke, J. Urinary retention after tension-free vaginal tape procedure: Incidence and treatment. Urology 2001, 58, 697–701. [Google Scholar] [CrossRef]
- Ghoniem, G.M.; Shaaban, A. Sub-urethral slings for treatment of stress urinary incontinence. Int. Urogynecol. J. 1994, 5, 228–239. [Google Scholar] [CrossRef]
- Young, S.B.; Rosenblatt, P.L.; Pingeton, D.M.; Howard, A.E.; Baker, S.P. The Mersilene mesh suburethral sling: A clinical and urodynamic evaluation. Am. J. Obstet. Gynecol. 1995, 173, 1719–1725; discussion 1716–1725. [Google Scholar] [CrossRef]
- Mishra, V.C.; Mishra, N.; Karim, O.M.; Motiwala, H.G. Voiding dysfunction after tension-free vaginal tape: A conservative approach is often successful. Int. Urogynecol. J. Pelvic Floor Dysfunct. 2005, 16, 210–214; discussion 214. [Google Scholar] [CrossRef]
- Abouassaly, R.; Steinberg, J.R.; Lemieux, M.; Marois, C.; Gilchrist, L.I.; Bourque, J.L.; Tu, L.M.; Corcos, J. Complications of tension-free vaginal tape surgery: A multi-institutional review. BJU Int. 2004, 94, 110–113. [Google Scholar] [CrossRef]
- Lord, H.E.; Taylor, J.D.; Finn, J.C.; Tsokos, N.; Jeffery, J.T.; Atherton, M.J.; Evans, S.F.; Bremner, A.P.; Elder, G.O.; Holman, C.D. A randomized controlled equivalence trial of short-term complications and efficacy of tension-free vaginal tape and suprapubic urethral support sling for treating stress incontinence. BJU Int. 2006, 98, 367–376. [Google Scholar] [CrossRef]
- Palos, C.C.; Maturana, A.P.; Ghersel, F.R.; Fernandes, C.E.; Oliveira, E. Prospective and randomized clinical trial comparing transobturator versus retropubic sling in terms of efficacy and safety. Int. Urogynecol. J. 2018, 29, 29–35. [Google Scholar] [CrossRef]
- Kociszewski, J.; Rautenberg, O.; Kolben, S.; Eberhard, J.; Hilgers, R.; Viereck, V. Tape functionality: Position, change in shape, and outcome after TVT procedure--mid-term results. Int. Urogynecol. J. 2010, 21, 795–800. [Google Scholar] [CrossRef] [PubMed]
- Reich, A.; Wiesner, K.; Kohorst, F.; Kreienberg, R.; Flock, F. Comparison of transobturator vaginal tape and retropubic tension-free vaginal tape: Clinical outcome and sonographic results of a case-control study. Gynecol. Obstet. Investig. 2009, 68, 137–144. [Google Scholar] [CrossRef] [PubMed]
- Viereck, V.; Rautenberg, O.; Kociszewski, J.; Grothey, S.; Welter, J.; Eberhard, J. Midurethral sling incision: Indications and outcomes. Int. Urogynecol. J. 2013, 24, 645–653. [Google Scholar] [CrossRef]
- Larson, K.; Scott, L.; Cunningham, T.D.; Zhao, Y.; Abuhamad, A.; Takacs, P. Two-Dimensional and Three-Dimensional Transperineal Ultrasound Findings in Women with High-Pressure Voiding after Midurethral Sling Placement. Female Pelvic Med. Reconstr. Surg. 2017, 23, 141–145. [Google Scholar] [CrossRef] [PubMed]
- Takacs, P.; Larson, K.; Scott, L.; Cunningham, T.D.; DeShields, S.C.; Abuhamad, A. Transperineal Sonography and Urodynamic Findings in Women with Lower Urinary Tract Symptoms After Sling Placement. J. Ultrasound Med. 2017, 36, 295–300. [Google Scholar] [CrossRef]
- Taithongchai, A.; Pandeva, I.; Sultan, A.H.; Thakar, R. Association between 3D endovaginal and 2D perineal pelvic floor ultrasound findings and symptoms in women presenting with mid-urethral sling complications. Ultrasound Obstet. Gynecol. 2021, 57, 639–646. [Google Scholar] [CrossRef] [PubMed]
- Novara, G.; Galfano, A.; Boscolo-Berto, R.; Secco, S.; Cavalleri, S.; Ficarra, V.; Artibani, W. Complication rates of tension-free midurethral slings in the treatment of female stress urinary incontinence: A systematic review and meta-analysis of randomized controlled trials comparing tension-free midurethral tapes to other surgical procedures and different devices. Eur. Urol. 2008, 53, 288–308. [Google Scholar] [CrossRef] [PubMed]
- Renganathan, A.; Basu, M.; Duckett, J. A series of Advantage suburethral slings. J. Obstet. Gynaecol. 2011, 31, 521–523. [Google Scholar] [CrossRef]
- Marcelissen, T.; Van Kerrebroeck, P. Overactive bladder symptoms after midurethral sling surgery in women: Risk factors and management. Neurourol. Urodyn. 2018, 37, 83–88. [Google Scholar] [CrossRef] [PubMed]
- Pergialiotis, V.; Mudiaga, Z.; Perrea, D.N.; Doumouchtsis, S.K. De novo overactive bladder following midurethral sling procedures: A systematic review of the literature and meta-analysis. Int. Urogynecol. J. 2017, 28, 1631–1638. [Google Scholar] [CrossRef] [PubMed]
- Petri, E.; Ashok, K. Complications of synthetic slings used in female stress urinary incontinence and applicability of the new IUGA-ICS classification. Eur. J. Obstet. Gynecol. Reprod. Biol. 2012, 165, 347–351. [Google Scholar] [CrossRef]
- Pawlaczyk, A.; Wąż, P.; Matuszewski, M. Introital ultrasound in the diagnosis of lower urinary tract symptoms following anti-incontinence surgery using a synthetic midurethral tape. Int. Urogynecol. J. 2019, 30, 1503–1508. [Google Scholar] [CrossRef] [PubMed]
- Clemons, J.L.; Weinstein, M.; Guess, M.K.; Alperin, M.; Moalli, P.; Gregory, W.T.; Lukacz, E.S.; Sung, V.W.; Chen, B.H.; Bradley, C.S. Impact of the 2011 FDA transvaginal mesh safety update on AUGS members’ use of synthetic mesh and biologic grafts in pelvic reconstructive surgery. Female Pelvic Med. Reconstr. Surg. 2013, 19, 191–198. [Google Scholar] [CrossRef] [PubMed]
- Osborn, D.J.; Dmochowski, R.R.; Harris, C.J.; Danford, J.J.; Kaufman, M.R.; Mock, S.; Kit, L.C.; McCormick, B.; Reynolds, W.S. Analysis of patient and technical factors associated with midurethral sling mesh exposure and perforation. Int. J. Urol. 2014, 21, 1167–1170. [Google Scholar] [CrossRef]
- Giusto, L.L.; Zahner, P.M.; Goldman, H.B. Management of the Exposed or Perforated Midurethral Sling. Urol. Clin. N. Am. 2019, 46, 31–40. [Google Scholar] [CrossRef]
- Staack, A.; Vitale, J.; Ragavendra, N.; Rodríguez, L.V. Translabial ultrasonography for evaluation of synthetic mesh in the vagina. Urology 2014, 83, 68–74. [Google Scholar] [CrossRef] [PubMed]
- Khatri, G.; Carmel, M.E.; Bailey, A.A.; Foreman, M.R.; Brewington, C.C.; Zimmern, P.E.; Pedrosa, I. Postoperative Imaging after Surgical Repair for Pelvic Floor Dysfunction. Radiographics 2016, 36, 1233–1256. [Google Scholar] [CrossRef] [PubMed]
- Batalden, R.P.; Weinstein, M.M.; Foust-Wright, C.; Alperin, M.; Wakamatsu, M.M.; Pulliam, S.J. Clinical application of IUGA/ICS classification system for mesh erosion. Neurourol. Urodyn. 2016, 35, 589–594. [Google Scholar] [CrossRef] [PubMed]
- Kuuva, N.; Nilsson, C.G. A nationwide analysis of complications associated with the tension-free vaginal tape (TVT) procedure. Acta Obstet. Gynecol. Scand. 2002, 81, 72–77. [Google Scholar] [CrossRef] [PubMed]
- Brubaker, L.; Norton, P.A.; Albo, M.E.; Chai, T.C.; Dandreo, K.J.; Lloyd, K.L.; Lowder, J.L.; Sirls, L.T.; Lemack, G.E.; Arisco, A.M.; et al. Adverse events over two years after retropubic or transobturator midurethral sling surgery: Findings from the Trial of Midurethral Slings (TOMUS) study. Am. J. Obstet. Gynecol. 2011, 205, 498.e1–498.e6. [Google Scholar] [CrossRef] [PubMed]
- Brazzelli, M.; Javanbakht, M.; Imamura, M.; Hudson, J.; Moloney, E.; Becker, F.; Wallace, S.; Omar, M.I.; Shimonovich, M.; MacLennan, G.; et al. Surgical treatments for women with stress urinary incontinence: The ESTER systematic review and economic evaluation. Health Technol. Assess. 2019, 23, 1–306. [Google Scholar] [CrossRef]
- Lou, Y.; Hu, Y.; Zhou, Y. Pelvic ultrasound finding of late-onset bladder erosion after transobturator tape for female stress urinary incontinence: A case report. Medicine 2023, 102, e33129. [Google Scholar] [CrossRef]
- Viragh, K.A.; Cohen, S.A.; Raz, S.; Lo, J.; Raman, S.S. Translabial Ultrasound in Midurethral Sling (Mesh) Visualization and Erosion Detection in Women with Stress Urinary Incontinence: A Retrospective Pilot Study. Ultrasound Q. 2018, 34, 238–244. [Google Scholar] [CrossRef]
- Taithongchai, A.; Sultan, A.H.; Wieczorek, P.A.; Thakar, R. Clinical application of 2D and 3D pelvic floor ultrasound of mid-urethral slings and vaginal wall mesh. Int. Urogynecol. J. 2019, 30, 1401–1411. [Google Scholar] [CrossRef]
- Olive, E.J.; Linder, B.J. Robotic-assisted intravesical mesh excision following retropubic midurethral sling. Int. Urogynecol. J. 2024, 1–3. [Google Scholar] [CrossRef]
- Latthe, P.M.; Foon, R.; Toozs-Hobson, P. Transobturator and retropubic tape procedures in stress urinary incontinence: A systematic review and meta-analysis of effectiveness and complications. Bjog 2007, 114, 522–531. [Google Scholar] [CrossRef] [PubMed]
- Hinoul, P.; Vanormelingen, L.; Roovers, J.P.; de Jonge, E.; Smajda, S. Anatomical variability in the trajectory of the inside-out transobturator vaginal tape technique (TVT-O). Int. Urogynecol. J. Pelvic Floor Dysfunct. 2007, 18, 1201–1206. [Google Scholar] [CrossRef] [PubMed]
- Alshiek, J.; Wei, Q.; Javadian, P.; Quiroz, L.H.; Baumfeld, Y.; Shobeiri, S.A. The Correlation between the Sonographic Course of Transobturator Slings and Sling-Related Pain. J. Ultrasound Med. 2023, 42, 125–133. [Google Scholar] [CrossRef] [PubMed]
- Sears, S.; Rhodes, S.; McBride, C.; Shoag, J.; Sheyn, D. Complications following retropubic versus transobturator midurethral synthetic sling placement. Int. Urogynecol. J. 2023, 34, 2389–2397. [Google Scholar] [CrossRef]









| Sling Complication | Author, Year of Publication, Reference Number | Main Findings |
|---|---|---|
| Persistent/reccurent SUI | Kociszewski et al., 2017 [35] | Mean sling-LSM distance = 3.6 mm in the affected patients. Sling closer to the bladder neck in the affected patients. |
| Jiang et al., 2013 [37] | Sling closer to the bladder neck in the affected patients. | |
| Bogusiewicz et al., 2013 [39] | Median tape position at 35% along urethral length in the affected patients. | |
| Flock et al., 2011 [40] | Persistent SUI associated with sling placement outside the 40–81% range of urethral length. | |
| Tunitsky-Bitton et al., 2015 [41] | Link between the sling position closer to the bladder neck and severity of SUI. | |
| Urinary Retention and obstructive voiding | Kociszewski et al., 2017 [35] | Median sling-LSM distance = 1.1 mm in the affected patients. |
| Reich et al., 2009 [67] | Tape-urethra distance < 2 mm in the affected patients. | |
| Viereck et al., 2013 [68] | Median sling-SLM distance = 1.5 mm. | |
| Taithongchai et al., 2021 [71] | Higher risk in patients with Group III sling shape. | |
| Chene et al., 2008 [51] | Tighter sling angulation in the affected patients. | |
| De novo urgency/OAB | Kociszewski et al., 2017 [35] | Median sling-LSM distance = 1.75 mm in the affected patients. |
| Petri et al., 2012 [76] | Sling close to the bladder neck in >50% of the affected patients. | |
| Bogusiewicz et al., 2013 [39] | Sling close to the bladder neck in 2/3 of the affected patients. | |
| Chene et al., 2008 [51] | Tighter sling angulation during retention in the affected patients. | |
| Vaginal exposure | Ghanbari et al., 2022 [38] | Mean sling-LSM distance = 8.8 mm in the affected patients. |
| Kociszewski et al., 2017 [35] | Mean sling-SLM distance = 4.6 mm in the affected patients. | |
| Viereck et al., 2013 [68] | Low risk of exposure if sling-LSM distance < 3 mm. | |
| Sling erosion | Lou et al., 2023 [87] | A case of sling erosion into the bladder with formation of secondary bladder stones. |
| Viragh et al., 2018 [88] | US could detect erosions not visible in cystourethroscopy. | |
| Pain | Taithongchai et al., 2019 [89] | US helps identify which sling implants cause pain or dyspareunia in women with multiple slings. |
| Hematoma | Bogusiewicz et al., 2016 [18] | US can visualize hematomas after urogynecological surgeries. |
Disclaimer/Publisher’s Note: The statements, opinions and data contained in all publications are solely those of the individual author(s) and contributor(s) and not of MDPI and/or the editor(s). MDPI and/or the editor(s) disclaim responsibility for any injury to people or property resulting from any ideas, methods, instructions or products referred to in the content. |
© 2024 by the authors. Licensee MDPI, Basel, Switzerland. This article is an open access article distributed under the terms and conditions of the Creative Commons Attribution (CC BY) license (https://creativecommons.org/licenses/by/4.0/).
Share and Cite
Zwierzchowska, A.; Tomasik, P.; Horosz, E.; Barcz, E. Sonography as a Diagnostic Tool in Midurethral Sling Complications: A Narrative Review. J. Clin. Med. 2024, 13, 2336. https://doi.org/10.3390/jcm13082336
Zwierzchowska A, Tomasik P, Horosz E, Barcz E. Sonography as a Diagnostic Tool in Midurethral Sling Complications: A Narrative Review. Journal of Clinical Medicine. 2024; 13(8):2336. https://doi.org/10.3390/jcm13082336
Chicago/Turabian StyleZwierzchowska, Aneta, Paweł Tomasik, Edyta Horosz, and Ewa Barcz. 2024. "Sonography as a Diagnostic Tool in Midurethral Sling Complications: A Narrative Review" Journal of Clinical Medicine 13, no. 8: 2336. https://doi.org/10.3390/jcm13082336
APA StyleZwierzchowska, A., Tomasik, P., Horosz, E., & Barcz, E. (2024). Sonography as a Diagnostic Tool in Midurethral Sling Complications: A Narrative Review. Journal of Clinical Medicine, 13(8), 2336. https://doi.org/10.3390/jcm13082336

