Case Series of Endoscopic Papillary Balloon Dilation for Children with Common Bile Duct Stones and a Review of the Literature
Abstract
1. Introduction
2. Materials and Methods
2.1. Patients
2.2. Methods
2.3. Inclusion and Exclusion Criteria
2.3.1. Population
2.3.2. Type of Study
2.3.3. Systematic Literature Search
2.3.4. Outcomes
3. Results
3.1. Cases of Endoscopic Papillary Balloon Dilation
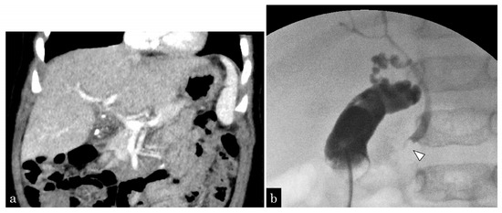
3.1.1. Patient 1
3.1.2. Patient 2
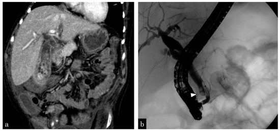
3.1.3. Patient 3
3.1.4. Patient 4
3.2. A Review of Children Treated via EST
3.3. A Review of Children Treated by EPBD
4. Discussion
5. Conclusions
Author Contributions
Funding
Institutional Review Board Statement
Informed Consent Statement
Data Availability Statement
Conflicts of Interest
References
- Palasciano, G.; Portincasa, P.; Vinciguerra, V.; Velardi, A.; Tardi, S.; Baldassarre, G.; Albano, O. Gallstone prevalence and gallbladder volume in children and adolescents: An epidemiological ultrasonographic survey and relationship to body mass index. Am. J. Gastroenterol. 1989, 84, 1378–1382. [Google Scholar] [PubMed]
- Nomura, N.; Kashiwagi, S.; Hayashi, J.; Kajiyama, W.; Ikematsu, H.; Noguchi, A.; Tani, S.; Goto, M. Prevalence of gallstone disease in general population of Okinawa, Japan. Am. J. Epidemiol. 1988, 128, 598–605. [Google Scholar] [CrossRef]
- Wesdorp, I.; Bosman, D.; de Graaff, A.; Aronson, D.; van der Blij, F.; Taminiau, J. Clinical presentations and predisposing factors of cholelithiasis and sludge in children. J. Pediatr. Gastroenterol. Nutr. 2000, 31, 411–417. [Google Scholar]
- Zdanowicz, K.; Daniluk, J.; Lebensztejn, D.M.; Daniluk, U. The etiology of cholelithiasis in children and adolescents—A literature review. Int. J. Mol. Sci. 2022, 23, 13376. [Google Scholar] [CrossRef]
- Koebnick, C.; Smith, N.; Black, M.H.; Porter, A.H.; Richie, B.A.; Hudson, S.; Gililland, D.; Jacobsen, S.J.; Longstreth, G.F. Pediatric obesity and gallstone disease. J. Pediatr. Gastroenterol. Nutr. 2012, 55, 328–333. [Google Scholar] [CrossRef] [PubMed]
- Grace, W.A.; Ransohoff, D.F. Natural history of silent gallstone: The innocent gallstone is not a myth. N. Engl. J. Med. 1982, 307, 798–800. [Google Scholar] [CrossRef]
- Lee, Y.J.; Park, Y.S.; Park, J.H. Cholecystectomy is feasible in children with small-sized or large numbers of gallstones and in those with persistent symptoms despite medical treatment. Pediatr. Gastroenterol. Hepatol. Nutr. 2020, 23, 430–438. [Google Scholar] [CrossRef] [PubMed]
- Bogue, C.O.; Murphy, A.J.; Gerstle, J.T.; Moineddin, R.; Daneman, A. Risk factors, complications, and outcomes of gallstone in children. J. Pediatr. Gastroenterol. Nutr. 2010, 50, 303–308. [Google Scholar] [CrossRef]
- Serdaroglu, F.; Koca, Y.S.; Saltik, F.; Koca, T.; Dereci, S.; Akcam, M.; Akcam, F.Z. Gallstones in childhood: Etiology, clinical features, and prognosis. Eur. J. Gastroenterol. Hepatol. 2016, 28, 1468–1472. [Google Scholar] [CrossRef]
- Pogorelić, Z.; Lovrić, M.; Jukić, M.; Perko, Z. The laparoscopic cholecystectomy and common bile duct exploration: A single-step treatment of pediatric cholelithiasis and choledocholithiasis. Children 2022, 19, 1583. [Google Scholar] [CrossRef]
- Rocca, R.; Castellino, F.; Dapermo, F.; Masoero, G.; Sostegni, R.; Ercole, E.; Lavagna, A.; Barbera, C.; Canavese, F.; Pera, A. Therapeutic ERCP in paediatric patients. Dig. Liver Dis. 2005, 37, 357–362. [Google Scholar] [CrossRef] [PubMed]
- Cheng, C.L.; Fogel, E.L.; Sherman, S.; McHenry, L.; Watkins, J.L.; Croffie, J.M.; Gupta, S.K.; Fitzgerald, J.F.; Lazzell-Pannell, L.; Schmidt, S.; et al. Diagnostic and therapeutic endoscopic retrograde cholangiopancreatography in children: A large series report. J. Pediatr. Gastroenterol. Nutr. 2005, 41, 445–453. [Google Scholar] [CrossRef] [PubMed]
- Issa, H.; Al-Haddad, A.; Al-Salem, A.H. Diagnostic and therapeutic ERCP in the pediatric age group. Pediatr. Surg. Int. 2007, 23, 111–116. [Google Scholar] [CrossRef] [PubMed]
- Jang, J.Y.; Yoon, C.H.; Kim, K.M. Endoscopic retrograde cholangiopancreatography in pancreatic and biliary tract disease in Korean children. World J. Gastroenterol. 2010, 28, 490–495. [Google Scholar] [CrossRef] [PubMed]
- Otto, A.K.; Neal, M.D.; Slivka, A.N.; Kane, T.D. An appraisal of endoscopic retrograde cholangiopancreatography (ERCP) for pancreaticobiliary disease in children: Our institutional experience in 231 cases. Surg. Endosc. 2011, 25, 2536–2540. [Google Scholar] [CrossRef] [PubMed]
- Troendle, D.M.; Barth, B.A. ERCP can be safely and effectively performed by a pediatric gastroenterologist for choledocholithiasis in a pediatric facility. J. Pediatr. Gastroenterol. Nutr. 2013, 57, 655–658. [Google Scholar] [CrossRef] [PubMed]
- Fishman, D.S.; Chumpitazi, B.P.; Raijman, I.; Tsai, C.M.; Smith, E.O.; Mazziotti, M.V.; Gilger, M.A. Endoscopic retrograde cholangiopancreatography for pediatric choledocholithiasis: Assessing the need for endoscopic intervention. World J. Gastroenterol. 2016, 8, 425–432. [Google Scholar]
- Keane, M.G.; Kumar, M.; Cieplik, N.; Thorburn, D.; Johnson, G.J.; Webster, G.J.; Chapman, M.H.; Lindley, K.J.; Pereira, S.P. Paediatric pancreaticobiliary endoscopy: A 21-year experience from a tertiary hepatobiliary centre and systematic literature review. BMC Pediatr. 2018, 18, 42. [Google Scholar] [CrossRef]
- Lou, Q.; Sun, J.; Zhang, X.; Shen, H. Successful therapeutic ERCP in a 99-day-old child with common bile duct stones: A case report and discussions on the particularities of the ERCP in children. Front. Pediatr. 2020, 28, 435. [Google Scholar] [CrossRef]
- Sugiyama, M.; Atomi, Y. Does endoscopic sphincterotomy cause prolonged pancreatobiliary reflux? Am. J. Gastroenterol. 1999, 94, 795–798. [Google Scholar] [CrossRef]
- Gregg, J.A.; Girolami, P.D.; Carr-Locke, D.L. Effects of sphincteroplasty and endoscopic sphincterotomy on the bacteriologic characteristics of the common bile duct. Am. J. Surg. 1985, 149, 668–671. [Google Scholar] [CrossRef] [PubMed]
- Sand, J.; Airo, I.; Hiltunen, K.M.; Mattila, J.; Nordback, I. Changes in biliary bacteria after endoscopic cholangiography and sphincterotomy. Am. Surg. 1992, 58, 324–328. [Google Scholar] [PubMed]
- Weinberg, B.M.; Shindy, W.; Lo, S. Endoscopic balloon dilatation (sphincteroplasty) versus sphincterotomy for bile duct stones. Rev. Cochrane Database Syst. Rev. 2006, 18, CD004890. [Google Scholar]
- Zhao, H.C.; He, L.; Zhou, D.C.; Geng, X.P.; Pan, F.M. Meta-analysis comparison of endoscopic papillary balloon dilatation and endoscopic sphincteropapillotomy. World J. Gastroenterol. 2013, 19, 3883–3891. [Google Scholar] [CrossRef] [PubMed]
- Sakai, Y.; Tsuyuguchi, T.; Sugiyama, H.; Hayashi, M.; Senoo, J.; Kusakabe, Y.; Yasui, S.; Mikata, R.; Yokosuka, O. Comparison of endoscopic papillary balloon dilatation and endoscopic sphincterotomy for bile duct stones. World J. Gastrointest. Endosc. 2016, 8, 395–401. [Google Scholar] [CrossRef] [PubMed]
- Staritz, M.; Ewe, K.; Meyer zum Büschenfelde, K.H. Endoscopic papillary dilatation, a possible alternative to endoscopic papillotomy. Lancet 1982, 319, 1306–1307. [Google Scholar] [CrossRef]
- Sato, H.; Kodama, T.; Takaaki, J.; Tatsumi, Y.; Maeda, T.; Fujita, S.; Fukui, Y.; Ogasawara, H.; Mitsufuji, S. Endoscopic papillary balloon dilatation may preserve sphincter of Oddi function after common bile duct stone management: Evaluation from the viewpoint of endoscopic manometry. Gut 1997, 41, 541–544. [Google Scholar] [CrossRef]
- Yasuda, I.; Tomita, E.; Enya, M.; Kato, T.; Moriwaki, H. Can endoscopic papillary balloon dilation really preserve sphincter of Oddi function? Gut 2001, 49, 686–691. [Google Scholar] [CrossRef]
- Tarnasky, P.R.; Tagge, E.P.; Hebra, A.; Othersen, B.; Adams, D.B.; Cunningham, J.T.; Cotton, P.B.; Hawes, R.H. Minimally invasive therapy for choledocholithiasis in children. Gastrointest. Endosc. 1998, 47, 189–192. [Google Scholar] [CrossRef]
- Osanai, M.; Maguchi, H.; Takahashi, K.; Katanuma, A.; Yane, K.; Kaneko, M.; Hashigo, S.; Katoh, S.; Harada, R.; Katoh, R.; et al. Safety and long-term outcomes of endoscopic papillary balloon dilation in children with bile duct stones. Gastrointest. Endosc. 2011, 73, 619–623. [Google Scholar] [CrossRef]
- Sogo, T.; Kondo, T.; Tsunoda, T.; Murayama, A.; Komatsu, H.; Inui, A.; Fujisawa, T. Endoscopic papillary balloon dilatation for a 7-year-old girl with choledocholithiasis. Pediatr. Int. 2013, 55, e1–e3. [Google Scholar] [CrossRef] [PubMed]
- ASGE Standards of Practice Committee. Adverse events associated with ERCP. Gastrointest. Endosc. 2017, 85, 32–47. [Google Scholar] [CrossRef]
- Cotton, P.B.; Lehman, G.; Vennes, J.; Geenen, J.E.; Russell, R.C.; Meyers, W.C.; Liguory, C.; Nickl, N. Endoscopic sphincterotomy complications and their management: An attempt at consensus. Gastrointest. Endosc. 1991, 37, 383–393. [Google Scholar] [CrossRef] [PubMed]
- Banks, P.A.; Bollen, T.L.; Dervenis, C.; Gooszen, H.G.; Johnson, C.D.; Sarr, M.G.; Tsiotos, G.G.; Vege, S.S. Acute Pancreatitis Classification Working Group. Classification of acute pancreatitis—2012: Revision of the Atlanta classification and definitions by international consensus. Gut 2013, 62, 102–111. [Google Scholar] [CrossRef]
- Disario, J.A.; Freeman, M.L.; Bjorkman, D.J.; Macmathuna, P.; Petersen, B.T.; Jaffe, P.E.; Morales, T.G.; Hixson, L.J.; Sherman, S.; Lehman, G.A.; et al. Endoscopic balloon dilatation compared with sphincterotomy for extraction of bile stones. Gastroenterology 2004, 127, 1291–1299. [Google Scholar] [CrossRef] [PubMed]
- Manes, G.; Paspatis, G.; Aabakken, L.; Anderloni, A.; Arvanitakis, M.; Ah-Soune, P.; Barthet, M.; Domagk, D.; Dumonceau, J.-M.; Gigot, J.-F.; et al. Endoscopic management of common bile duct stones: European Society of Gastrointestinal Endoscopy (ESGE) guideline. Endoscopy 2019, 51, 472–491. [Google Scholar] [CrossRef]
- Freeman, M.L.; Nelson, D.B.; Sherman, S.; Haber, G.B.; Herman, M.E.; Dorsher, P.J.; Moore, J.P.; Fennerty, M.B.; Ryan, M.E.; Shaw, M.J.; et al. Complications of endoscopic biliary sphincterotomy. N. Engl. J. Med. 1996, 335, 909–918. [Google Scholar] [CrossRef]
- Dumonceau, J.M.; Kapral, C.; Aabakken, L.; Papanikolaou, I.S.; Tringali, A.; Vanbiervliet, G.; Beyna, T.; Dinis-Ribeiro, M.; Hritz, I.; Mariani, A.; et al. ERCP-related adverse events: European Society of Gastrointestinal Endoscopy (ESGE) Guideline. Endoscopy 2020, 52, 127–149. [Google Scholar] [CrossRef] [PubMed]
- Bae, S.S.; Lee, D.W.; Han, J.; Kim, H.G. Risk factor of bleeding after endoscopic sphincterotomy in average risk patients. Surg. Endosc. 2019, 33, 3334–3340. [Google Scholar] [CrossRef]
- Ersoz, G.; Tekesin, O.; Ozutemiz, A.O.; Gunsar, F. Biliary sphincterotomy plus dilation with a large balloon for bile duct stones that are difficult to extract. Gastrointest. Endosc. 2003, 57, 156–159. [Google Scholar] [CrossRef]
- Jang, S.I.; Yun, G.W.; Lee, D.K. Balloon dilation itself may not be a major determinant of post-endoscopic retrograde cholangiopancreatography pancreatitis. World J. Gastroenterol. 2014, 20, 16913–16924. [Google Scholar] [CrossRef] [PubMed]
- Fujisawa, T.; Kagawa, K.; Hisatomi, K.; Kubota, K.; Nakajima, A.; Matsuhashi, N. Is endoscopic papillary balloon dilatation really a risk factor for post-ERCP pancreatitis? World J. Gastroenterol. 2016, 22, 5909–5916. [Google Scholar] [CrossRef] [PubMed]
- ASGE Standards of Practice Committee; Buxbaum, J.L.; Abbas Fehmi, S.M.; Sultan, S.; Fishman, D.S.; Qumseya, B.J.; Cortessis, V.K.; Schilperoort, H.; Kysh, L.; Matsuoka, L.; et al. ASGE guideline on the role of endoscopy in the evaluation and management of choledocholithiasis. Gastrointest. Endosc. 2019, 89, 1075–1105. [Google Scholar] [CrossRef] [PubMed]
- Wang, Q.; Fu, L.; Wu, T.; Ding, X. The ballooning time in endoscopic papillary balloon dilation for removal of bile duct stones: A systematic review and meta-analysis. Medicine 2021, 100, e24735. [Google Scholar] [CrossRef] [PubMed]



| Patients | Sex | Age | Comorbidities | CBD | CBDSs | |
|---|---|---|---|---|---|---|
| Diameter (mm) | Number | Size (mm) | ||||
| 1 | F | 6 mos | Post cardiac surgery | 9.4 | 2 | 4 |
| 2 | F | 5 mos | None | 3.5 | 1 | 3 |
| 3 | M | 8 yrs | 13 trisomy | 8.5 | 2 | 4 |
| 4 | M | 7 yrs | PBMJ | 4 | 1 | 4 |
| Author and Year | Total Number of Patients/ERCPs | Number of Patients Who Underwent EST | Success Rate of Stone Removal by EST, % (Success/Fail) | EST Complications, n (%) |
|---|---|---|---|---|
| Rocca R | 38/44 | 37 | 100% (14/0) | Bleeding 2 (5.4%) |
| 2004 [11] | (mild 2) | |||
| Cheng CL | 245/329 | 135 | 96% (23/1) | Bleeding 5 (3.7%) |
| 2005 [12] | (mild 5) | |||
| PEP 13 (9.6%) | ||||
| (NC) | ||||
| Issa H | 125/NC | 62 | 97% (34/1) | Bleeding 1 (1.6%) |
| 2007 [13] | (moderate 1) | |||
| PEP 4 (6.4%) | ||||
| (mild 4) | ||||
| Jang JY | 122/245 | 150 | NC | Bleeding 2 (1.3%) |
| 2010 [14] | (moderate 2) | |||
| Otto AK | 167/231 | 96 | 98% (54/1) | Bleeding 2 (2%) |
| 2011 [15] | (mild 1, moderate 1) | |||
| PEP NC | ||||
| Trendle DM | 111/154 | 65 | 98% (64/1) | Bleeding 1 (1.5%) |
| 2013 [16] | (moderate 1) | |||
| PEP 3 (4.6%) | ||||
| (mild 3) | ||||
| Other 1 (1.5%) | ||||
| (moderate 1) | ||||
| Fishman DS | 44/NC | 44 | NC | PEP 2 (4.5%) |
| 2016 [17] | (mild 2) | |||
| Keane MG | 90/111 | 18 | 83% (15/3) | NC |
| 2018 [18] | ||||
| Total | 545 | |||
| Author and Year | Age/Sex | Comorbidities | Balloon Size, mm | Dilation Time | Stone Removal | Post-EPBD Complications |
|---|---|---|---|---|---|---|
| Tarnasky PR | 15 yrs/F | None | 6 to 8 | NC | Yes | None |
| 1998 [29] | 12 yrs/F | SCA | 6 to 8 | NC | Yes | None |
| 4 yrs/M | None | 6 to 8 | NC | Yes | None | |
| Osanai M | 11 yrs/F | HS | 6 | 15 s | Yes | Mild PEP |
| 2011 [30] | 7 yrs/F | None | 6 | 15 s | Yes | Mild PEP |
| 10 yrs/F | None | 6 | 15 s | Yes | Mild PEP | |
| 9 yrs/F | None | 4 | 15 s | Yes | None | |
| 13 yrs/M | None | 6 | 15 s | Yes | None | |
| Sogo T | 7 yrs/F | None | 8 | 75 s | Yes | None |
| 2013 [31] | ||||||
| Kouchi | 6 mos/F | Post cardiac | 4 | 60 s | Yes | None |
| 2024 | surgery | |||||
| 5 mos/F | None | 3 | 30 s | Yes | Moderate PEP | |
| 8 yrs/M | 13 trisomy | 4 | 30 s | Yes | Mild PEP | |
| 7 yrs/M | PBMJ | 4 | 60 s | Yes | Mild PEP |
Disclaimer/Publisher’s Note: The statements, opinions and data contained in all publications are solely those of the individual author(s) and contributor(s) and not of MDPI and/or the editor(s). MDPI and/or the editor(s) disclaim responsibility for any injury to people or property resulting from any ideas, methods, instructions or products referred to in the content. |
© 2024 by the authors. Licensee MDPI, Basel, Switzerland. This article is an open access article distributed under the terms and conditions of the Creative Commons Attribution (CC BY) license (https://creativecommons.org/licenses/by/4.0/).
Share and Cite
Kouchi, K.; Takenouchi, A.; Matsuoka, A.; Yabe, K.; Yoshizawa, H.; Nakata, C.; Fujishiro, J.; Sugiyama, H. Case Series of Endoscopic Papillary Balloon Dilation for Children with Common Bile Duct Stones and a Review of the Literature. J. Clin. Med. 2024, 13, 2251. https://doi.org/10.3390/jcm13082251
Kouchi K, Takenouchi A, Matsuoka A, Yabe K, Yoshizawa H, Nakata C, Fujishiro J, Sugiyama H. Case Series of Endoscopic Papillary Balloon Dilation for Children with Common Bile Duct Stones and a Review of the Literature. Journal of Clinical Medicine. 2024; 13(8):2251. https://doi.org/10.3390/jcm13082251
Chicago/Turabian StyleKouchi, Katsunori, Ayako Takenouchi, Aki Matsuoka, Kiyoaki Yabe, Hiroko Yoshizawa, Chikako Nakata, Jun Fujishiro, and Harutoshi Sugiyama. 2024. "Case Series of Endoscopic Papillary Balloon Dilation for Children with Common Bile Duct Stones and a Review of the Literature" Journal of Clinical Medicine 13, no. 8: 2251. https://doi.org/10.3390/jcm13082251
APA StyleKouchi, K., Takenouchi, A., Matsuoka, A., Yabe, K., Yoshizawa, H., Nakata, C., Fujishiro, J., & Sugiyama, H. (2024). Case Series of Endoscopic Papillary Balloon Dilation for Children with Common Bile Duct Stones and a Review of the Literature. Journal of Clinical Medicine, 13(8), 2251. https://doi.org/10.3390/jcm13082251

