Investigation of the Mesiodistal Angulations of Maxillary Canines and Central Incisors for Missing Bilateral Maxillary Lateral Incisor
Abstract
1. Introduction
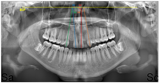
2. Materials and Methods
- Having congenital bilateral maxillary lateral incisor absence;
- Not having skeletal problems;
- Not having prior orthodontic treatment;
- Fixed orthodontic treatment completed with 0.22 inch slot MBTTM prescription;
- In the space opening group, having canines with the root tips positioned closer to the original position, more distal from the midline and having no or mild crowding and/or diastemas (<2 mm) in the mandible;
- In the space closure group, having canines with the root tips positioned more mesially than its original position, closer to the midline and having no or mild crowding and/or diastemas (<2 mm) in the mandible;
- Having radiographs with high resolution and good image quality.
- No need for orthodontic treatment;
- Not having skeletal problems
- Having class I molar and canine relationship;
- No missing teeth except third molars;
- Having no or mild crowding and/or diastemas (<2 mm);
- Having normal overjet and overbite;
- Having radiographs with high resolution and good image quality.
2.1. Orthodontic Treatment Protocols for Group 2 and Group 3 Study Groups
2.2. Statistical Analysis
3. Results
4. Discussion
5. Conclusions
- The null hypothesis of the study was rejected because differences were found between the groups in the mesiodistal axial angulations of the maxillary canines and central incisors in pre- and post-treatment;
- Since normal mesiodistal axial angulations are targeted in orthodontic treatment and the treatment of MBMLI is possible with both methods, it is recommended that orthodontists include these mesiodistal axial angulation changes in planning when determining the planned incisor tooth positions in treatment planning;
- It was concluded that there should be a tendency towards the space closure method, which eliminates the anatomical disadvantages of the alveolar bone in cases where a space is opened, ensures the planned incisor position, and offers a low cost advantage by eliminating the waiting for the subsequent implant insertion.
Author Contributions
Funding
Institutional Review Board Statement
Informed Consent Statement
Data Availability Statement
Conflicts of Interest
References
- De Almeida-Pedrin, R.R.; Pinzan, A.; de Almeida, R.R.; Ursi, W.; de Almeida, M.R. Panoramic evaluation of mesiodistal axial inclinations of maxillary anterior teeth in orthodontically treated subjects. Am. J. Orthod. Dentofac. Orthop. 2006, 130, 56–60. [Google Scholar] [CrossRef]
- Sarver, D.M. The importance of incisor positioning in the esthetic smile: The smile arc. Am. J. Orthod. Dentofac. Orthop. 2001, 120, 98–111. [Google Scholar] [CrossRef] [PubMed]
- Yang, S.; Guo, Y.; Yang, X.; Zhang, F.; Wang, J.; Qiu, J.; Li, J. Effect of mesiodistal angulation of the maxillary central incisors on esthetic perceptions of the smile in the frontal view. Am. J. Orthod. Dentofac. Orthop. 2015, 148, 396–404. [Google Scholar] [CrossRef] [PubMed]
- Andrews, L.F. The 6-elements orthodontic philosophy: Treatment goals, classification, and rules for treating. Am. J. Orthod. Dentofac. Orthop. 2015, 148, 883–887. [Google Scholar] [CrossRef] [PubMed]
- Fontana, M.; Fastuca, R.; Zecca, P.A.; Nucera, R.; Militi, A.; Lucchese, A.; Portelli, M.; Caprioglio, A. Correlation between Mesio-Distal Angulation and Bucco.-Lingual Inclination of First and Second Maxillary Premolars Evaluated with Panoramic Radiography and Cone-Beam Computed Tomography. Appl. Sci. 2021, 11, 2374. [Google Scholar] [CrossRef]
- American Board of Orthodontics. Grading System for Dental Casts and Panoramic Radiographs; American Board of Orthodontics: St. Louis, MI, USA, 2008; pp. 17–18. [Google Scholar]
- Westgate, E.; Waring, D.; Malik, O.; Darcey, J. Management of missing maxillary lateral incisors in general practice: Space opening versus space closure. Br. Dent. J. 2019, 226, 400–406. [Google Scholar] [CrossRef] [PubMed]
- Oliveira, D.D.; de Oliveira, B.F.; da Mata Cid Pinto, L.S.; Figueiredo, D.S.F.; Pithon, M.M.; Seraidarian, P.I. Interdisciplinary Treatment of a C lass III Patient with Congenitally Absent Maxillary Lateral Incisors. J. Esthet. Restor. Dent. 2013, 25, 242–253. [Google Scholar] [CrossRef]
- Kinzer, G.A.; Kokich Jr, V.O. Managing congenitally missing lateral incisors. Part II: Tooth-supported restorations. J. Esthet. Restor. Dent. 2005, 17, 76–84. [Google Scholar] [CrossRef]
- Abu-Hussein, M.; Watted, N.; Abdulgani, A.; Borbély, P. Modern treatment for congenitally missing teeth: A multidisciplinary approach. Int. J. Oral Maxillofac. Surg. 2015, 1, 179–190. [Google Scholar]
- Gupta, S.P.; Rauniyar, S. Management of missing maxillary lateral incisor: A contemporary review. Orthod. J. Nepal 2021, 11, 72–78. [Google Scholar] [CrossRef]
- Josefsson, E.; Lindsten, R. Treatment of missing maxillary lateral incisors: A clinical and aesthetic evaluation. Eur. J. Orthod. 2019, 41, 273–278. [Google Scholar] [CrossRef]
- Vahid-Dastjerdi, E.; Borzabadi-Farahani, A.; Mahdian, M.; Amini, N. Non-syndromic hypodontia in an Iranian orthodontic population. J. Oral Sci. 2010, 52, 455–461. [Google Scholar] [CrossRef] [PubMed]
- Mostowska, A.; Kobielak, A.; Biedziak, B.; Trzeciak, W.H. Novel mutation in the paired box sequence of PAX9 gene in a sporadic form of oligodontia. Eur. J. Oral Sci. 2003, 111, 272–276. [Google Scholar] [CrossRef] [PubMed]
- Ericson, S.; Kurol, J. Resorption of incisors after ectopic eruption of maxillary canines: A CT study. Angle Orthod. 2000, 70, 415–423. [Google Scholar] [PubMed]
- Turpin, D.L. Treatment of missing lateral incisors. Am. J. Orthod. Dentofac. Orthop. 2004, 125, 129. [Google Scholar] [CrossRef]
- Borzabadi-Farahani, A. Orthodontic considerations in restorative management of hypodontia patients with endosseous implants. J. Oral Implantol. 2012, 38, 779–791. [Google Scholar] [CrossRef] [PubMed]
- Uribe, F.; Chau, V.; Padala, S.; Neace, W.P.; Cutrera, A.; Nanda, R. Alveolar ridge width and height changes after orthodontic space opening in patients congenitally missing maxillary lateral incisors. Eur. J. Orthod. 2013, 35, 87–92. [Google Scholar] [CrossRef] [PubMed]
- Nováčková, S.; Marek, I.; Kamínek, M. Orthodontic tooth movement: Bone formation and its stability over time. Am. J. Orthod. Dentofac. Orthop. 2011, 139, 37–43. [Google Scholar] [CrossRef] [PubMed]
- Ostler, M.S.; Kokich, V.G. Alveolar ridge changes in patients congenitally missing mandibular second premolars. J. Prosthet. Dent. 1994, 71, 144–149. [Google Scholar] [CrossRef]
- Borzabadi-Farahani, A.; Zadeh, H.H. Orthodontic therapy in implant dentistry: Orthodontic implant site development. In Vertical Alveolar Ridge Augmentation in Implant Dentistry: A Surgical Manual; Tolstunov, L., Ed.; John Wiley & Sons: Hoboken, NJ, USA, 2016; pp. 30–37. [Google Scholar]
- Araújo, E.A.; Oliveira, D.D.; Araújo, M.T. Diagnostic protocol in cases of congenitally missing maxillary lateral incisors. World J. Orthod. 2006, 7, 376–388. [Google Scholar]
- Hajira, N.; Shashi Dhara, H.; Khandelwal, P. Assessment of Mesiodistal Angulation of Maxillary Lateral Incisors: A Cross-sectional Study. J. Clin. Diagn. Res. 2022, 16, 1–4. [Google Scholar] [CrossRef]
- Ueda, H.; Masunaga, M.; Horie, K.; Medina, C.; Tanne, K. Mesiodistal angulation of the lateral teeth to the functional occlusal plane in normal occlusions. APOS Trends Orthod. 2016, 6, 302. [Google Scholar] [CrossRef]
- Cuoghi, O.A.; Sella, R.C.; De Mendonça, M.R. Mesiodistal angulations of the mandibular canines, premolars and molars with or without the presence of third molars. Eur. J. Orthod. 2010, 32, 472–476. [Google Scholar] [PubMed]
- Badiee, M.; Ebadifar, A.; Sajedi, S. Mesiodistal angulation of posterior teeth in orthodontic patients with different facial growth patterns. J. Dent. Res. Dent. Clin. Dent. Prospect. 2019, 13, 267. [Google Scholar] [CrossRef] [PubMed]
- Cicek, O.; Yilmaz, H.; Demir Cicek, B. Comparison of the Mesiodistal Angulations of Canine and Molar Teeth in Different Types of Orthodontic Malocclusions: A Retrospective Study. Diagnostics 2023, 13, 1351. [Google Scholar] [CrossRef] [PubMed]
- Cicek, O.; Gurel, T.; Demir Cicek, B. Investigation of the Relationship of Impacted Maxillary Canines with Orthodontic Malocclusion: A Retrospective Study. Children 2023, 10, 950. [Google Scholar] [CrossRef] [PubMed]
- McLaughlin, R.P.; Bennett, J.C.; Trevisi, H. Systemized Orthodontic Treatment Mechanics, 1st ed.; Mosby Ltd.: St. Louis, MO, USA, 2001. [Google Scholar]
- Ohashi, A.S.C.; Nascimento, K.C.G.d.; Normando, D. Analysis of the correlation between mesiodistal angulation of canines and labiolingual inclination of incisors. Dent. Press. J. Orthod. 2011, 16, 79–86. [Google Scholar] [CrossRef]
- Busato, M.C.A.; Mendonça, M.R.d.; Pereira, A.L.P.; Tondelli, P.M.; Cuoghi, O.A. Compensatory canine angulation in angle Class II and III patients. Braz. Oral Res. 2009, 23, 281–287. [Google Scholar] [CrossRef] [PubMed][Green Version]
- Garcia-Figueroa, M.A.; Raboud, D.W.; Lam, E.W.; Heo, G.; Major, P.W. Effect of buccolingual root angulation on the mesiodistal angulation shown on panoramic radiographs. Am. J. Orthod. Dentofac. Orthop. 2008, 134, 93–99. [Google Scholar] [CrossRef]
- Rocha, C.A.; Almeida, R.R.d.; Henriques, J.F.C.; Flores-Mir, C.; Almeida, M.R.d. Evaluation of long-term stability of mesiodistal axial inclinations of maxillary molars through panoramic radiographs in subjects treated with Pendulum appliance. Dent. Press. J. Orthod. 2016, 21, 67–74. [Google Scholar] [CrossRef][Green Version]
- Kiliaridis, S.; Sidira, M.; Kirmanidou, Y.; Michalakis, K. Treatment options for congenitally missing lateral incisors. Eur. J. Oral Implantol. 2016, 9 (Suppl. S1), S5–S24. [Google Scholar] [PubMed]
- Barakaat, A.A.; Maaz, M.; Sukhia, R.H.; Fida, M. Comparison of mesiodistal root angulation of teeth by conventional panoramic and cone beam computed tomography images–A cross-sectional study. Int. Orthod. 2023, 21, 100757. [Google Scholar] [CrossRef] [PubMed]
- Polder, B.J.; Van’t Hof, M.A.; Van der Linden, F.P.; Kuijpers-Jagtman, A.M. A meta-analysis of the prevalence of dental agenesis of permanent teeth. Community Dent. Oral Epidemiol. 2004, 32, 217–226. [Google Scholar] [CrossRef] [PubMed]
- Pinho, T.; Tavares, P.; Maciel, P.; Pollmann, C. Developmental absence of maxillary lateral incisors in the Portuguese population. Eur. J. Orthod. 2005, 27, 443–449. [Google Scholar] [CrossRef] [PubMed]
- Jamilian, A.; Perillo, L.; Rosa, M. Missing upper incisors: A retrospective study of orthodontic space closure versus implant. Prog. Orthod. 2015, 16, 2. [Google Scholar] [CrossRef] [PubMed]
- Beyer, A.; Tausche, E.; Boening, K.; Harzer, W. Orthodontic space opening in patients with congenitally missing lateral incisors: Timing of orthodontic treatment and implant insertion. Angle Orthod. 2007, 77, 404–409. [Google Scholar] [CrossRef] [PubMed]
- De Marchi, L.M.; Pini, N.I.P.; Hayacibara, R.M.; Silva, R.S.; Pascotto, R.C. Congenitally missing maxillary lateral incisors: Functional and periodontal aspects in patients treated with implants or space closure and tooth re-contouring. Open Dent. J. 2012, 6, 248–254. [Google Scholar] [CrossRef] [PubMed]
- Fekonja, A. Hypodontia in orthodontically treated children. Eur. J. Orthod. 2005, 27, 457–460. [Google Scholar] [CrossRef]
- Rosa, M.; Zachrisson, B.U. Integrating esthetic dentistry and space closure in patients with missing maxillary lateral incisors. J. Clin. Orthod. 2001, 35, 221–238. [Google Scholar]


| Group 1 | Group 2 | Group 3 | ||
|---|---|---|---|---|
| Age | Mean ± SD | 17.3 ± 3.9 | 18.0 ± 4.5 | 15.6 ± 3.5 |
| Gender | Female (n—%) | 16–80% | 16–80% | 13–81.2% |
| Male (n—%) | 4–20% | 4–20% | 3–18.8% | |
| Treatment duration (year, Mean ± SD) | 2.2 ± 0.6 | 3.1 ± 1.02 | ||
| Group 1 | Group 2 | Group 3 | ||
|---|---|---|---|---|
| SNA | Mean ± SD | 81.56 ± 1.5 | 80.9 ± 2.9 | 79.2 ± 2.8 |
| SNB | Mean ± SD | 79.4 ± 1.1 | 79.3 ± 2.5 | 77.4 ± 3.1 |
| ANB | Mean ± SD | 2.2 ± 1.1 | 1.7 ± 1.0 | 1.8 ± 1.3 |
| SN/GoGn | Mean ± SD | 33.9 ± 2.8 | 33.1 ± 3.4 | 34.7 ± 3.6 |
| Tooth No | n | Mean ± SD | p | ||
|---|---|---|---|---|---|
| Group 1 (Control) | 13 | 20 | 92.69 ± 5.26 | 0.72 | |
| 23 | 20 | 93.18 ± 3.07 | |||
| 11 | 20 | 90.14 ± 2.69 | 0.33 | ||
| 21 | 20 | 90.95 ± 2.53 | |||
| Group 2 (Space opening) | T0 | 13 | 20 | 89.04 ± 5.23 | 0.93 |
| 23 | 20 | 88.89 ± 5.14 | |||
| T1 | 13 | 20 | 93.71 ± 4.81 | 0.57 | |
| 23 | 20 | 92.86 ± 4.50 | |||
| T0 | 11 | 20 | 88.92 ± 2.58 | 0.51 | |
| 21 | 20 | 89.68 ± 4.38 | |||
| T1 | 11 | 20 | 87.27 ± 3.21 | 0.76 | |
| 21 | 20 | 86.92 ± 4.09 | |||
| Group 3 (Space closure) | T0 | 13 | 16 | 88.70 ± 4.03 | 0.82 |
| 23 | 16 | 89.07 ± 5.23 | |||
| T1 | 13 | 16 | 85.51 ± 3.95 | 0.81 | |
| 23 | 16 | 85.15 ± 4.47 | |||
| T0 | 11 | 16 | 88.23 ± 2.29 | 0.66 | |
| 21 | 16 | 88.67 ± 3.31 | |||
| T1 | 11 | 16 | 89.12 ± 3.62 | 0.98 | |
| 21 | 16 | 89.10 ± 2.85 |
| Tooth No | T0 | T1 | p | ||
|---|---|---|---|---|---|
| Group 2 (Space opening) | |||||
| 13 | Mean ± SD | 89.04 ± 5.23 | 93.71 ± 4.81 | 0.004 * | |
| 23 | Mean ± SD | 88.89 ± 5.14 | 92.86 ± 4.50 | 0.015 * | |
| 11 | Mean ± SD | 88.92 ± 2.58 | 87.27 ± 3.21 | 0.02 * | |
| 21 | Mean ± SD | 89.68 ± 4.38 | 86.92 ± 4.09 | 0.02 * | |
| Group 3 (Space closure) | |||||
| 13 | Mean ± SD | 88.70 ± 4.03 | 85.51± 3.95 | 0.03 * | |
| 23 | Mean ± SD | 89.07 ± 5.23 | 85.15 ± 4.47 | 0.01 * | |
| 11 | Mean ± SD | 88.23 ± 2.29 | 89.12 ± 3.62 | 0.46 | |
| 21 | Mean ± SD | 88.67 ± 3.31 | 89.10 ± 2.85 | 0.52 |
| Tooth No | Group 1 a | Group 2 b | Group 3 c | p | ||
|---|---|---|---|---|---|---|
| T0 | ||||||
| 13 | Mean ± SD | 92.69 ± 5.26 c | 89.04 ± 5.28 | 88.70 ± 4.03 | 0.028 * | |
| 23 | Mean ± SD | 93.18 ± 3.07 b,c | 88.89 ± 5.14 | 89.07 ± 5.23 | 0.007 * | |
| 11 | Mean ± SD | 90.14 ± 2.69 | 88.92 ± 2.58 | 88.23 ± 2.29 | 0.08 | |
| 21 | Mean ± SD | 90.95 ± 2.53 | 89.68 ± 4.38 | 88.67 ± 3.31 | 0.15 | |
| T1 | ||||||
| 13 | Mean ± SD | 92.69 ± 5.26 | 93.71 ± 4.81 | 85.51 ± 3.95 a,b | <0.001 * | |
| 23 | Mean ± SD | 93.18 ± 3.07 | 92.86 ± 4.50 | 85.15 ± 4.47 a,b | <0.001 * | |
| 11 | Mean ± SD | 90.14 ± 2.69 | 87.27 ± 3.21 a | 89.12 ± 3.62 | 0.02 * | |
| 21 | Mean ± SD | 90.95 ± 2.53 | 86.92 ± 4.09 a | 89.10 ± 2.85 | 0.001 * |
Disclaimer/Publisher’s Note: The statements, opinions and data contained in all publications are solely those of the individual author(s) and contributor(s) and not of MDPI and/or the editor(s). MDPI and/or the editor(s) disclaim responsibility for any injury to people or property resulting from any ideas, methods, instructions or products referred to in the content. |
© 2024 by the authors. Licensee MDPI, Basel, Switzerland. This article is an open access article distributed under the terms and conditions of the Creative Commons Attribution (CC BY) license (https://creativecommons.org/licenses/by/4.0/).
Share and Cite
Cicek, O.; Arslan, D. Investigation of the Mesiodistal Angulations of Maxillary Canines and Central Incisors for Missing Bilateral Maxillary Lateral Incisor. J. Clin. Med. 2024, 13, 2110. https://doi.org/10.3390/jcm13072110
Cicek O, Arslan D. Investigation of the Mesiodistal Angulations of Maxillary Canines and Central Incisors for Missing Bilateral Maxillary Lateral Incisor. Journal of Clinical Medicine. 2024; 13(7):2110. https://doi.org/10.3390/jcm13072110
Chicago/Turabian StyleCicek, Orhan, and Deniz Arslan. 2024. "Investigation of the Mesiodistal Angulations of Maxillary Canines and Central Incisors for Missing Bilateral Maxillary Lateral Incisor" Journal of Clinical Medicine 13, no. 7: 2110. https://doi.org/10.3390/jcm13072110
APA StyleCicek, O., & Arslan, D. (2024). Investigation of the Mesiodistal Angulations of Maxillary Canines and Central Incisors for Missing Bilateral Maxillary Lateral Incisor. Journal of Clinical Medicine, 13(7), 2110. https://doi.org/10.3390/jcm13072110

