Radiological Parameters for the Detection of Pulmonary Hypertension in Severe Aortic Valve Stenosis and Their Influence on Mortality: Does Sex Matter?
Abstract
1. Introduction
2. Materials and Methods
2.1. Study Population
2.2. Transthoracic Echocardiography
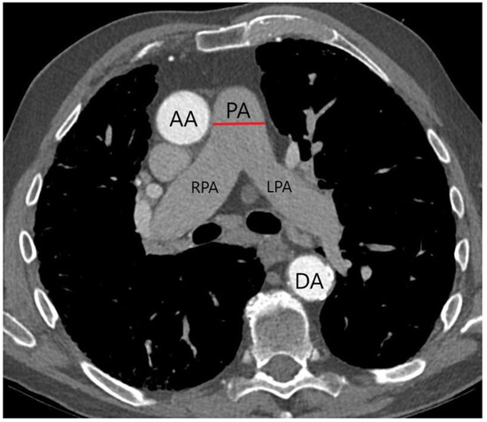
2.3. CTA Protocol and PA Diameter Measurement
2.4. TAVR
2.5. Statistical Analysis
3. Results
3.1. Baseline Characteristics
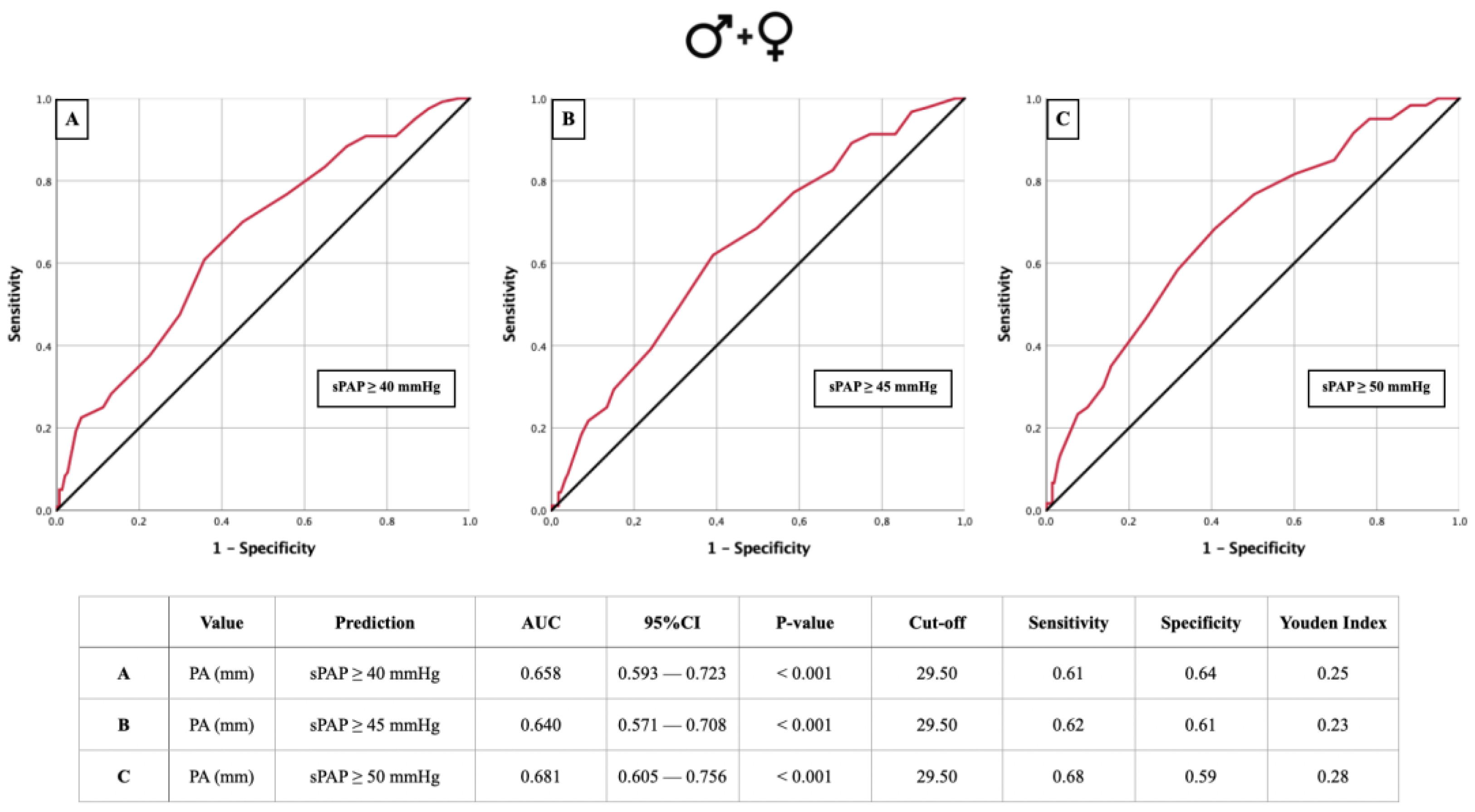
3.2. AUROC: sPAP vs. PA Diameter
3.3. AUROC: sPAP vs. PA/BSA Ratio
3.4. Cox Regression for Mortality
3.5. Kaplan–Meier Survival Analysis: PA Diameter- and PA/BSA Cut-off
4. Discussion
4.1. PA and PA/BSA: Overall Differences with Other Studies
4.2. PA Diameter and PA/BSA: Diagnosis of PH and Sex Differences
4.3. PA Diameter and PA/BSA: Prognosis of Mortality after TAVR and Sex Differences
5. Conclusions
6. Limitations
Author Contributions
Funding
Institutional Review Board Statement
Informed Consent Statement
Data Availability Statement
Conflicts of Interest
References
- Maeder, M.T.; Weber, L.; Rickli, H. Pulmonary hypertension in aortic valve stenosis. Trends Cardiovasc. Med. 2022, 32, 73–81. [Google Scholar] [CrossRef] [PubMed]
- Mutlak, D.; Aronson, D.; Carasso, S.; Lessick, J.; Reisner, S.A.; Agmon, Y. Frequency, determinants and outcome of pulmonary hypertension in patients with aortic valve stenosis. Am. J. Med. Sci. 2012, 343, 397–401. [Google Scholar] [CrossRef] [PubMed]
- Schewel, J.; Schluter, M.; Schmidt, T.; Kuck, K.H.; Frerker, C.; Schewel, D. Correlation between Doppler echocardiography and right heart catheterization assessment of systolic pulmonary artery pressure in patients with severe aortic stenosis. Echocardiography 2020, 37, 380–387. [Google Scholar] [CrossRef] [PubMed]
- Saraiva, R.M.; Matsumura, Y.; Yamano, T.; Greenberg, N.; Thomas, J.D.; Shiota, T. Relation of left atrial dysfunction to pulmonary artery hypertension in patients with aortic stenosis and left ventricular systolic dysfunction. Am. J. Cardiol. 2010, 106, 409–416. [Google Scholar] [CrossRef] [PubMed]
- Boxhammer, E.; Berezin, A.E.; Paar, V.; Bacher, N.; Topf, A.; Pavlov, S.; Hoppe, U.C.; Lichtenauer, M. Severe Aortic Valve Stenosis and Pulmonary Hypertension: A Systematic Review of Non-Invasive Ways of Risk Stratification, Especially in Patients Undergoing Transcatheter Aortic Valve Replacement. J. Pers. Med. 2022, 12, 603. [Google Scholar] [CrossRef] [PubMed]
- Bishu, K.; Suri, R.M.; Nkomo, V.T.; Kane, G.C.; Greason, K.L.; Reeder, G.S.; Mathew, V.; Holmes, D.R.; Rihal, C.S.; Melduni, R.M. Prognostic impact of pulmonary artery systolic pressure in patients undergoing transcatheter aortic valve replacement for aortic stenosis. Am. J. Cardiol. 2014, 114, 1562–1567. [Google Scholar] [CrossRef] [PubMed]
- Lucon, A.; Oger, E.; Bedossa, M.; Boulmier, D.; Verhoye, J.P.; Eltchaninoff, H.; Iung, B.; Leguerrier, A.; Laskar, M.; Gilard, M.; et al. Prognostic implications of pulmonary hypertension in patients with severe aortic stenosis undergoing transcatheter aortic valve implantation: Study from the FRANCE 2 Registry. Circ. Cardiovasc. Interv. 2014, 7, 240–247. [Google Scholar] [CrossRef] [PubMed]
- Kletzer, J.; Hecht, S.; Ramsauer, S.; Scharinger, B.; Kaufmann, R.; Kammler, J.; Kellermair, J.; Akbari, K.; Blessberger, H.; Steinwender, C.; et al. A Story of PA/BSA and Biomarkers to Diagnose Pulmonary Hypertension in Patients with Severe Aortic Valve Stenosis-The Rise of IGF-BP2 and GDF-15. J. Cardiovasc. Dev. Dis. 2023, 10, 22. [Google Scholar] [CrossRef] [PubMed]
- Lancellotti, P.; Magne, J.; Donal, E.; O’Connor, K.; Dulgheru, R.; Rosca, M.; Pierard, L.A. Determinants and prognostic significance of exercise pulmonary hypertension in asymptomatic severe aortic stenosis. Circulation 2012, 126, 851–859. [Google Scholar] [CrossRef] [PubMed]
- Humbert, M.; Kovacs, G.; Hoeper, M.M.; Badagliacca, R.; Berger, R.M.F.; Brida, M.; Carlsen, J.; Coats, A.J.S.; Escribano-Subias, P.; Ferrari, P.; et al. 2022 ESC/ERS Guidelines for the diagnosis and treatment of pulmonary hypertension. Eur. Heart J. 2022, 43, 3618–3731. [Google Scholar] [CrossRef]
- Boxhammer, E.; Scharinger, B.; Kaufmann, R.; Brandtner, H.; Schmidbauer, L.; Kammler, J.; Kellermair, J.; Reiter, C.; Akbari, K.; Hammerer, M.; et al. Comparability between Computed Tomography Morphological Vascular Parameters and Echocardiography for the Assessment of Pulmonary Hypertension in Patients with Severe Aortic Valve Stenosis-Results of a Multi-Center Study. Diagnostics 2022, 12, 2363. [Google Scholar] [CrossRef]
- Boxhammer, E.; Kletzer, J.; Kellermair, J.; Scharinger, B.; Kaufmann, R.; Hammerer, M.; Blessberger, H.; Steinwender, C.; Lichtenauer, M.; Hergan, K.; et al. CT measured pulmonary artery to ascending aorta ratio stratified by echocardiographically obtained systolic pulmonary artery pressure values for noninvasive detection of pulmonary hypertension in patients with severe aortic valve stenosis. Clin. Res. Cardiol. 2023, 112, 1394–1416. [Google Scholar] [CrossRef] [PubMed]
- Sommer, O.J.; Hergan, K. Cardiovascular Disease in Women: What the Radiologist Needs to Know. Rofo 2023, 195, 309–318. [Google Scholar] [CrossRef] [PubMed]
- Kalinczuk, L.; Chmielak, Z.; Dabrowski, M.; Mazurkiewicz, M.; Stoklosa, P.; Skotarczak, W.; Mintz, G.S.; Wolny, R.; Tyczyński, P.; Konka, M.; et al. Prognostic value of computed tomography derived measurements of pulmonary artery diameter for long-term outcomes after transcatheter aortic valve replacement. Pol. Heart J. 2022, 80, 1020–1026. [Google Scholar] [CrossRef] [PubMed]
- Koseki, K.; Yoon, S.H.; Kaewkes, D.; Koren, O.; Patel, V.; Chakravarty, T.; Nakamura, M.; Cheng, W.; Komuro, I.; Makkar, R. Impact of Pulmonary Artery Dilatation on Clinical Outcomes in Patients Undergoing Transcatheter Aortic Valve Replacement. JACC Cardiovasc. Interv. 2021, 14, 2560–2569. [Google Scholar] [CrossRef] [PubMed]
- Shen, Y.; Wan, C.; Tian, P.; Wu, Y.; Li, X.; Yang, T.; An, J.; Wang, T.; Chen, L.; Wen, F. CT-based pulmonary artery measurement in the detection of pulmonary hypertension: A meta-analysis and systematic review. Medicine 2014, 93, e256. [Google Scholar] [CrossRef] [PubMed]
- Rehman, A.; Darira, J.; Ahmed, M.S.; Hamid, K.; Shazlee, M.K.; Hyder, S.M.S. Evaluating Signs of Pulmonary Hypertension on Computed Tomography and Correlating with Echocardiography: A Study at a Tertiary Care Hospital. Cureus 2022, 14, e25319. [Google Scholar] [CrossRef] [PubMed]
- Sudo, M.; Sugiura, A.; Treiling, L.; Al-Kassou, B.; Shamekhi, J.; Kutting, D.; Wilde, N.; Weber, M.; Zimmer, S.; Nickenig, G.; et al. Baseline PA/BSA ratio in patients undergoing transcatheter aortic valve replacement—A novel CT-based marker for the prediction of pulmonary hypertension and outcome. Int. J. Cardiol. 2022, 348, 26–32. [Google Scholar] [CrossRef] [PubMed]
- Dewan, P.; Rørth, R.; Raparelli, V.; Campbell, R.T.; Shen, L.; Jhund, P.S.; Petrie, M.C.; Anand, I.S.; Carson, P.E.; Desai, A.S.; et al. Sex-Related Differences in Heart Failure with Preserved Ejection Fraction. Circ. Heart Fail 2019, 12, e006539. [Google Scholar] [CrossRef]
- Duca, F.; Zotter-Tufaro, C.; Kammerlander, A.A.; Aschauer, S.; Binder, C.; Mascherbauer, J.; Bonderman, D. Gender-related differences in heart failure with preserved ejection fraction. Sci. Rep. 2018, 8, 1080. [Google Scholar] [CrossRef]
- Melenovsky, V.; Hwang, S.J.; Lin, G.; Redfield, M.M.; Borlaug, B.A. Right heart dysfunction in heart failure with preserved ejection fraction. Eur. Heart J. 2014, 35, 3452–3462. [Google Scholar] [CrossRef] [PubMed]
- Rodriguez-Arias, J.J.; Garcia-Alvarez, A. Sex Differences in Pulmonary Hypertension. Front. Aging 2021, 2, 727558. [Google Scholar] [CrossRef] [PubMed]
- Asami, M.; Stortecky, S.; Praz, F.; Lanz, J.; Räber, L.; Franzone, A.; Piccolo, R.; Siontis, G.C.; Heg, D.; Valgimigli, M.; et al. Prognostic Value of Right Ventricular Dysfunction on Clinical Outcomes After Transcatheter Aortic Valve Replacement. JACC Cardiovasc. Imaging 2019, 12, 577–587. [Google Scholar] [CrossRef]
- Mattioli, A.V.; Coppi, F.; Migaldi, M.; Farinetti, A. Physical activity in premenopausal women with asymptomatic peripheral arterial disease. J. Cardiovasc. Med. 2018, 19, 677–680. [Google Scholar] [CrossRef] [PubMed]









| Diameter of IVC | Caliber Fluctuation during Respiration | RAP |
|---|---|---|
| ≥21 mm | <50% | 15 mmHg |
| No corresponding constellation | 8 mmHg | |
| <21 mm | ≥50% | 3 mmHg |
| Total | Men | Women | p Value | |
|---|---|---|---|---|
| Number (%) | ||||
| Total | 271 (100.0) | 139 (51.3) | 132 (48.7) | 0.889 |
| Age 60–69 70–79 80–89 ≥90 | 6/271 (2.2) 63/271 (23.2) 186/271 (68.6) 16/271 (5.9) | 5/139 (3.6) 32/139 (23.0) 93/139 (66.9) 9/139 (6.5) | 1/132 (0.8) 31/132 (23.5) 93/132 (70.5) 7/132 (5.3) | 0.112 0.928 0.529 0.682 |
| BMI <18.5 18.5–24.9 25.0–29.9 30.0–34.9 35.0–39.9 ≥40.0 | 3/260 (1.2) 119/260 (45.8) 86/260 (33.1) 38/260 (14.6) 13/260 (5.0) 1/260 (0.4) | 2/136 (1.5) 60/136 (44.1) 55/136 (40.4) 14/136 (10.3) 5/136 (3.7) 0/136 (0.0) | 1/124 (0.8) 59/124 (44.7) 31/124 (23.5) 24/124 (18.2) 8/124 (6.1) 1/124 (0.8) | 0.616 0.576 0.008 0.039 0.305 0.294 |
| NYHA ≥ III | 142/271 (52.3) | 64/139 (46.3) | 76/132 (57.6) | 0.137 |
| Diabetes mellitus | 64/271 (23.6) | 31/139 (22.3) | 33/132 (25.0) | 0.601 |
| Arterial hypertension | 219/271 (80.8) | 108/139 (77.7) | 111/132 (84.1) | 0.182 |
| CVD | 190/271 (70.1) | 103/139 (74.1) | 87/132 (65.9) | 0.196 |
| Previous myocardial infarction | 13/271 (4.8) | 4/139 (2.9) | 9/132 (6.8) | 0.126 |
| Atrial fibrillation | 91/271 (33.6) | 57/139 (41.0) | 34/132 (25.8) | 0.008 |
| Previous cardiac surgery | 14/271 (5.2) | 9/139 (6.5) | 5/132 (3.8) | 0.318 |
| Pacemaker (before TAVR) | 15/271 (5.5) | 10/139 (7.2) | 5/132 (3.8) | 0.220 |
| Malignancy | 53/271 (19.6) | 33/139 (23.7) | 20/132 (15.2) | 0.075 |
| Stroke (before TAVR) | 18/271 (6.6) | 12/139 (8.6) | 6/132 (4.5) | 0.167 |
| PAOD | 15/271 (5.5) | 6/139 (4.3) | 9/132 (6.8) | 0.368 |
| COPD | 38/271 (14.0) | 23/139 (16.5) | 15/132 (11.4) | 0.219 |
| LVEF ≤30 31–54 ≥55 | 13/271 (4.8) 63/271 (23.2) 195/271 (72.0) | 8/139 (5.8) 36/139 (25.9) 95/139 (68.3) | 5/132 (3.8) 27/132 (20.5) 100/132 (75.7) | 0.294 0.265 0.124 |
| sPAP ≥40 ≥45 ≥50 ≥60 | 120/271 (44.3) 92/271 (34.0) 60/271 (22.1) 26/271 (9.6) | 64/139 (46.0) 48/139 (34.5) 31/139 (22.3) 16/139 (11.5) | 56/132 (42.4) 44/132 (33.3) 29/132 (22.0) 10/132 (7.6) | 0.549 0.835 0.947 0.272 |
| AVR ≥ II° | 43/271 (15.9) | 18/139 (12.9) | 25/132 (18.9) | 0.251 |
| MVR ≥ II° | 64/271 (23.6) | 29/139 (20.9) | 35/132 (26.5) | 0.271 |
| TVR ≥ II° | 44/271 (16.2) | 20/139 (14.4) | 24/132 (18.2) | 0.408 |
| Pacemaker (after TAVR) | 62/271 (22.9) | 42/139 (30.2) | 20/132 (15.2) | 0.003 |
| Vascular complications | 20/271 (7.4) | 11/139 (7.9) | 9/132 (6.8) | 0.730 |
| Stroke (after TAVR) | 9/271 (3.3) | 4/139 (2.9) | 5/132 (3.8) | 0.676 |
| PA ≥ 29.5 mm | 127/271 (46.9) | 68/139 (48.9) | 59/132 (44.7) | 0.486 |
| PA/BSA ≥ 15.7 mm/m2 | 144/260 (55.4) | 58/136 (42.6) | 86/124 (69.4) | < 0.001 |
| Mean ± SD | ||||
| Age (years) | 82.6 ± 4.8 | 82.7 ± 5.3 | 82.6 ± 4.4 | 0.834 |
| Height (cm) | 166.9 ± 8.9 | 172.8 ± 6.6 | 160.4 ± 6.0 | < 0.001 |
| Weight (kg) | 73.6 ± 14.7 | 77.7 ± 12.9 | 69.3 ± 15.2 | < 0.001 |
| BMI (kg/m2) | 26.4 ± 5.1 | 26.0 ± 4.0 | 26.9 ± 6.0 | 0.170 |
| LVEF (%) | 55.3 ± 10.1 | 54.1 ± 11.0 | 56.5 ± 8.9 | 0.061 |
| LVEDD (mm) | 44.1 ± 17.4 | 45.3 ± 18.7 | 42.6 ± 15.9 | 0.351 |
| IVSd (mm) | 14.7 ± 2.9 | 15.0 ± 3.2 | 14.3 ± 2.4 | 0.090 |
| AV Vmax (m/s) | 4.3 ± 0.9 | 4.4 ± 1.1 | 4.3 ± 0.8 | 0.226 |
| AV dpmax (mmHg) | 78.3 ± 19.2 | 79.3 ± 18.2 | 77.3 ± 20.1 | 0.411 |
| AV dpmean (mmHg) | 47.9 ± 19.2 | 48.0 ± 11.5 | 47.7 ± 12.6 | 0.796 |
| TAPSE (mm) | 22.4 ± 4.4 | 22.6 ± 4.6 | 22.1 ± 4.2 | 0.554 |
| sPAP (mmHg) | 35.9 ± 18.2 | 36.9 ± 18.0 | 34.8 ± 18.5 | 0.338 |
| PA (mm) | 29.3 ± 5.1 | 29.4 ± 5.3 | 29.1 ± 4.9 | 0.552 |
| PA/BSA | 16.2 ± 3.0 | 15.4 ± 2.7 | 17.0 ± 3.0 | < 0.001 |
| Median ± IQR | ||||
| STS score | 2.4 ± 1.7 | 2.0 ± 1.2 | 3.5 ± 2.6 | < 0.001 |
| Creatinine (mg/dL) | 1.0 ± 0.5 | 1.0 ± 0.5 | 0.9 ± 0.4 | 0.005 |
| BNP (pg/mL) | 1195.0 ± 2258.6 | 1098.0 ± 2921.5 | 1228.0 ± 1941.6 | 0.148 |
| HK (%) | 39.0 ± 7.0 | 40.3 ± 7.4 | 38.7 ± 6.0 | 0.001 |
| HB (g/dL) | 13.1 ± 2.3 | 13.6 ± 2.6 | 12.9 ± 1.6 | < 0.001 |
| CK (U/L) | 80.0 ± 84.5 | 80.0 ± 102.5 | 82.0 ± 64.8 | 0.130 |
| Cox Regression Analysis | Univariate | Multivariate | ||
|---|---|---|---|---|
| Hazard Ratio (95% CI) | p Value | Hazard Ratio (95% CI) | p Value | |
| 1 year mortality male | ||||
| Stroke after TAVR | 3.522 (0.832–14.919) | 0.087 | 14.287 (2.733–74.691) | 0.002 |
| sPAP | 2.041 (1.410–2.953) | <0.001 | 2.023 (1.245–3.289) | 0.004 |
| PA | 1.705 (1.181–2.463) | 0.004 | 1.482 (0.981–2.240) | 0.062 |
| PA/BSA | 1.682 (1.100–2.570) | 0.016 | 0.546 (0.210–1.418) | 0.214 |
| 3 year mortality male | ||||
| BNP | 1.227 (1.001–1.504) | 0.049 | 1.045 (0.633–1.723) | 0.864 |
| HB | 0.782 (0.583–1.048) | 0.099 | 0.858 (0.544–1.354) | 0.512 |
| Troponin | 1.447 (0.963–2.174) | 0.075 | 0.900 (0.397–2.042) | 0.801 |
| sPAP | 1.871 (1.392–2.516) | <0.001 | 1.772 (1.070–2.933) | 0.026 |
| PA | 1.669 (1.236–2.253) | 0.001 | 1.570 (0.997–2.473) | 0.052 |
| PA/BSA | 1.748 (1.250–2.442) | 0.001 | 0.727 (0.283–1.866) | 0.508 |
| 5 year mortality male | ||||
| Age | 1.257 (0.980–1.612) | 0.072 | 1.087 (0.622–1.897) | 0.770 |
| STS score | 1.473 (0.991–2.190) | 0.055 | 1.256 (0.601–2.625) | 0.544 |
| BNP | 1.233 (1.027–1.482) | 0.025 | 1.020 (0.604–1.722) | 0.941 |
| HK | 0.782 (0.609–1.004) | 0.054 | 1.474 (0.444–4.891) | 0.526 |
| HB | 0.791 (0.619–1.010) | 0.060 | 0.810 (0.549–1.195) | 0.289 |
| Troponin | 1.361 (0.955–1.938) | 0.088 | 0.363 (0.080–1.639) | 0.188 |
| sPAP | 1.612 (1.258–2.065) | <0.001 | 1.371 (0.730–2.578) | 0.327 |
| PA | 1.449 (1.118–1.878) | 0.005 | 1.655 (1.110–2.469) | 0.014 |
| PA/BSA | 1.639 (1.230–2.184) | 0.001 | 0.453 (0.137–1.494) | 0.193 |
| Cox Regression Analysis | Univariate | Multivariate | ||
|---|---|---|---|---|
| Hazard Ratio (95% CI) | p Value | Hazard Ratio (95% CI) | p Value | |
| 1 year mortality female | ||||
| HK | 0.564 (0.312–1.019) | 0.058 | 0.621 (0.317–1.217) | 0.165 |
| HB | 0.565 (0.309–1.034) | 0.064 | 1.643 (0.162–16.628) | 0.674 |
| CK | 1.243 (1.087–1.420) | 0.001 | 1.243 (1.087–1.420) | 0.001 |
| Pacemaker after TAVR | 3.350 (0.980–11.449) | 0.054 | 3.134 (0.779–12.611) | 0.108 |
| 3 year mortality female | ||||
| STS score | 1.654 (0.922–2.966) | 0.091 | 1.507 (0.716–3.169) | 0.280 |
| CK | 1.243 (1.089–1.420) | 0.001 | 12.169 (1.020–145.170) | 0.048 |
| LVEF | 0.694 (0.461–1.045) | 0.080 | 0.622 (0.229–1.690) | 0.352 |
| 5 year mortality female | ||||
| CK | 1.240 (1.084–1.418) | 0.002 | 1.269 (1.101–1.463) | 0.001 |
| IVSd | 1.334 (0.967–1.840) | 0.079 | 1.351 (0.961–1.899) | 0.083 |
| Stroke after TAVR | 4.805 (1.891–12.209) | 0.001 | 6.751 (2.327–19.591) | 0.000 |
Disclaimer/Publisher’s Note: The statements, opinions and data contained in all publications are solely those of the individual author(s) and contributor(s) and not of MDPI and/or the editor(s). MDPI and/or the editor(s) disclaim responsibility for any injury to people or property resulting from any ideas, methods, instructions or products referred to in the content. |
© 2024 by the authors. Licensee MDPI, Basel, Switzerland. This article is an open access article distributed under the terms and conditions of the Creative Commons Attribution (CC BY) license (https://creativecommons.org/licenses/by/4.0/).
Share and Cite
Kletzer, J.; Scharinger, B.; Demirel, O.; Kaufmann, R.; Medved, M.; Reiter, C.; Hammerer, M.; Steinwender, C.; Hecht, S.; Kopp, K.; et al. Radiological Parameters for the Detection of Pulmonary Hypertension in Severe Aortic Valve Stenosis and Their Influence on Mortality: Does Sex Matter? J. Clin. Med. 2024, 13, 1999. https://doi.org/10.3390/jcm13071999
Kletzer J, Scharinger B, Demirel O, Kaufmann R, Medved M, Reiter C, Hammerer M, Steinwender C, Hecht S, Kopp K, et al. Radiological Parameters for the Detection of Pulmonary Hypertension in Severe Aortic Valve Stenosis and Their Influence on Mortality: Does Sex Matter? Journal of Clinical Medicine. 2024; 13(7):1999. https://doi.org/10.3390/jcm13071999
Chicago/Turabian StyleKletzer, Joseph, Bernhard Scharinger, Ozan Demirel, Reinhard Kaufmann, Michaela Medved, Christian Reiter, Matthias Hammerer, Clemens Steinwender, Stefan Hecht, Kristen Kopp, and et al. 2024. "Radiological Parameters for the Detection of Pulmonary Hypertension in Severe Aortic Valve Stenosis and Their Influence on Mortality: Does Sex Matter?" Journal of Clinical Medicine 13, no. 7: 1999. https://doi.org/10.3390/jcm13071999
APA StyleKletzer, J., Scharinger, B., Demirel, O., Kaufmann, R., Medved, M., Reiter, C., Hammerer, M., Steinwender, C., Hecht, S., Kopp, K., Hoppe, U. C., Hergan, K., & Boxhammer, E. (2024). Radiological Parameters for the Detection of Pulmonary Hypertension in Severe Aortic Valve Stenosis and Their Influence on Mortality: Does Sex Matter? Journal of Clinical Medicine, 13(7), 1999. https://doi.org/10.3390/jcm13071999

