Evolution of Severe Closed Head Injury: Assessing Ventricular Volume and Behavioral Measures at 30 and 90 Days Post-Injury
Abstract
1. Introduction
2. Materials and Methods
2.1. Patients Enrollment
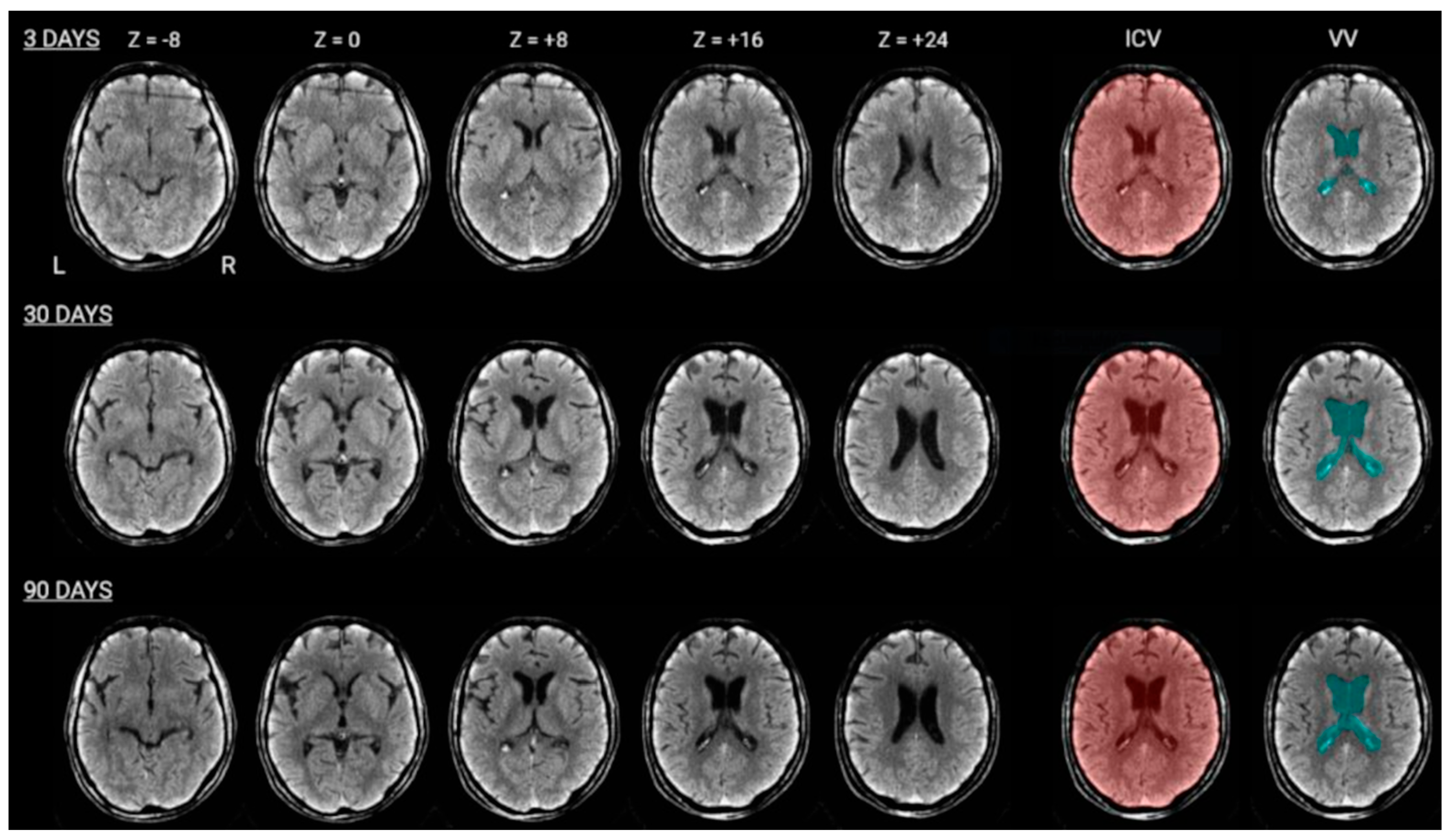
2.2. CT Brain Images
2.3. Clinical-Behavioral Measures
2.4. Brain Damage Evaluation
2.5. Data Analysis
3. Results
4. Discussion
Limitations
5. Conclusions
Author Contributions
Funding
Informed Consent Statement
Data Availability Statement
Acknowledgments
Conflicts of Interest
References
- Dijkland, S.A.; Foks, K.A.; Polinder, S.; Dippel, D.W.; Maas, A.I.; Lingsma, H.F.; Steyerberg, E.W. Prognosis in moderate and severe traumatic brain injury: A systematic review of contemporary models and validation studies. J. Neurotrauma 2020, 37, 1–13. [Google Scholar] [CrossRef]
- Maas, A.I.; Stocchetti, N.; Bullock, R. Moderate and severe traumatic brain injury in adults. Lancet Neurol. 2008, 7, 728–741. [Google Scholar] [CrossRef] [PubMed]
- Peeters, W.; van den Brande, R.; Polinder, S.; Brazinova, A.; Steyerberg, E.W.; Lingsma, H.F.; Maas, A.I. Epidemiology of traumatic brain injury in Europe. Acta Neurochir. 2015, 157, 1683–1696. [Google Scholar] [CrossRef]
- Selassie, A.W.; Zaloshnja, E.; Langlois, J.A.; Miller, T.; Jones, P.; Steiner, C. Incidence of long-term disability following traumatic brain injury hospitalization, United States, 2003. J. Head Trauma Rehabil. 2008, 23, 123–131. [Google Scholar] [CrossRef]
- Frost, R.B.; Farrer, T.J.; Primosch, M.; Hedges, D.W. Prevalence of traumatic brain injury in the general adult population: A meta-analysis. Neuroepidemiology 2013, 40, 154–159. [Google Scholar] [CrossRef] [PubMed]
- Roozenbeek, B.; Lingsma, H.F.; Perel, P.; Edwards, P.; Roberts, I.; Murray, G.D.; Maas, A.I.; Steyerberg, E.W.; IMPACT (International Mission on Prognosis and Clinical Trial Design in Traumatic Brain Injury) Study Group; CRASH (Corticosteroid Randomisation after Significant Head Injury) Trial Collaborators. The added value of ordinal analysis in clinical trials: An example in traumatic brain injury. Crit. Care 2011, 15, R127. [Google Scholar] [CrossRef]
- Ross, D.E. Review of longitudinal studies of MRI brain volumetry in patients with traumatic brain injury. Brain Inj. 2011, 25, 1271–1278. [Google Scholar] [CrossRef]
- Tomaiuolo, F.; Carlesimo, G.A.; Di Paola, M.; Petrides, M.; Fera, F.; Bonanni, R.; Formisano, R.; Pasqualetti, P.; Caltagirone, C. Gross morphology and morphometric sequelae in the hippocampus, fornix, and corpus callosum of patients with severe non-missile traumatic brain injury without macroscopically detectable lesions: A T1 weighted MRI study. J. Neurol. Neurosurg. Psychiatry 2004, 75, 1314–1322. [Google Scholar] [CrossRef]
- Tomaiuolo, F.; Worsley, K.J.; Lerch, J.; Di Paola, M.; Carlesimo, G.A.; Bonanni, R.; Caltagirone, C.; Paus, T. Changes in white matter in long-term survivors of severe non-missile traumatic brain injury: A computational analysis of magnetic resonance images. J. Neurotrauma 2005, 22, 76–82. [Google Scholar] [CrossRef] [PubMed]
- Tomaiuolo, F.; Bivona, U.; Lerch, J.P.; Di Paola, M.; Carlesimo, G.A.; Ciurli, P.; Matteis, M.; Cecchetti, L.; Forcina, A.; Silvestro, D.; et al. Memory and anatomical change in severe non missile traumatic brain injury: ∼1 vs. ∼8 years follow-up. Brain Res. Bull. 2012, 87, 373–382. [Google Scholar] [CrossRef]
- Tomaiuolo, F.; Cerasa, A.; Lerch, J.P.; Bivona, U.; Carlesimo, G.A.; Ciurli, P.; Raffa, G.; Quattropani, M.C.; Germanò, A.; Caltagirone, C.; et al. Brain neurodegeneration in the chronic stage of the survivors from severe non-missile traumatic brain injury: A voxel-based morphometry within-group at one versus nine years from a head injury. J. Neurotrauma 2021, 38, 283–290. [Google Scholar] [CrossRef]
- Cole, J.H.; Jolly, A.; de Simoni, S.; Bourke, N.; Patel, M.C.; Scott, G.; Sharp, D.J. Spatial patterns of progressive brain volume loss after moderate-severe traumatic brain injury. Brain 2018, 141, 822–836. [Google Scholar] [CrossRef] [PubMed]
- Cicuendez, M.; Castaño-León, A.; Ramos, A.; Hilario, A.; Gómez, P.A.; Lagares, A. The added prognostic value of magnetic resonance imaging in traumatic brain injury: The importance of traumatic axonal injury when performing ordinal logistic regression. J. Neuroradiol. 2019, 46, 299–306. [Google Scholar] [CrossRef]
- Bigler, E.D.; Burr, R.; Gale, S.; Norman, M.; Kurth, S.; Blatter, D.; Abildskov, T. Day of injury CT scan as an index to pre-injury brain morphology. Brain Inj. 1994, 8, 231–238. [Google Scholar] [CrossRef]
- Hayasaki, K.; Marmarou, A.; Barzó, P.; Fatouros, P.; Corwin, F. Detection of brain atrophy following traumatic brain injury using gravimetric techniques. Acta Neurochir. Suppl. 1997, 70, 75–77. [Google Scholar] [CrossRef]
- Bigler, E.D. Traumatic brain injury, neuroimaging, and neurodegeneration. Front. Hum. Neurosci. 2013, 7, 395. [Google Scholar] [CrossRef] [PubMed]
- Hagen, C.; Malkmus, D.; Durham, P. Rancho Los Amigos Scale: Levels of Cognitive Functioning; Rancho Los Amigos Hospital, Communication Disorders Service: Downey, CA, USA, 1972.
- Whyte, J.; Kreutzer, J.; DeLuca, J.; Caplan, B. Rancho Los Amigos scale. In Encyclopedia of Clinical Neuropsychology; Springer: Berlin/Heidelberg, Germany, 2011. [Google Scholar] [CrossRef]
- Rappaport, M.; Hall, K.M.; Hopkins, K.; Belleza, T.; Cope, D.N. Disability rating scale for severe head trauma: Coma to community. Arch. Phys. Med. Rehabil. 1982, 63, 118–123. [Google Scholar]
- Schönle, P.W. The early rehabilitation Barthel Index-an early rehabilitation-oriented extension of the Barthel Index. Die Rehabil. 1995, 34, 69–73. [Google Scholar]
- Rollnik, J.D. The early rehabilitation Barthel index (ERBI). Die Rehabil. 2011, 50, 408–411. [Google Scholar] [CrossRef] [PubMed]
- Mahoney, F.I.; Barthel, D.W. Functional Evaluation: The Barthel Index. Md. State Med. J. 1965, 14, 61–65. [Google Scholar]
- Marshall, L.F.; Marshall, S.B.; Klauber, M.R.; van Berkum Clark, M.; Eisenberg, H.M.; Jane, J.A.; Luerssen, T.G.; Marmarou, A.; Foulkes, M.A. A new classification of head injury based on computerized tomography. J. Neurosurg. 1991, 75, S14–S20. [Google Scholar] [CrossRef]
- Poca, M.A.; Sahuquillo, J.; Mataró, M.; Benejam, B.; Arikan, F.; Báguena, M. Ventricular enlargement after moderate or severe head injury: A frequent and neglected problem. J. Neurotrauma 2005, 22, 1303–1310. [Google Scholar] [CrossRef]
- Muschelli, J.; Ullman, N.L.; Mould, W.A.; Vespa, P.; Hanley, D.F.; Crainiceanu, C.M. Validated automatic brain extraction of head CT images. NeuroImage 2015, 114, 379–385. [Google Scholar] [CrossRef]
- Jenkinson, M.; Beckmann, C.F.; Behrens, T.E.; Woolrich, M.W.; Smith, S.M. FSL. NeuroImage 2012, 62, 782–790. [Google Scholar] [CrossRef]
- Cox, R.W. AFNI: Software for analysis and visualization of functional magnetic resonance neuroimages. Comput. Biomed. Res. 1996, 29, 162–173. [Google Scholar] [CrossRef]
- Smith, S.M. Fast robust automated brain extraction. Hum. Brain Mapp. 2002, 17, 143–155. [Google Scholar] [CrossRef]
- Blatter, D.D.; Bigler, E.D.; Gale, S.D.; Johnson, S.C.; Anderson, C.V.; Burnett, B.M.; Parker, N.; Kurth, S.; Horn, S.D. Quantitative volumetric analysis of brain MR: Normative database spanning 5 decades of life. Am. J. Neuroradiol. 1995, 16, 241–251. [Google Scholar]
- Van Der Naalt, J.; Hew, J.M.; Van Zomeren, A.H.; Sluiter, W.J.; Minderhoud, J.M. Computed tomography and magnetic resonance imaging in mild to moderate head injury: Early and late imaging related to outcome. Ann. Neurol. 1999, 46, 70–78. [Google Scholar] [CrossRef] [PubMed]
- Bigler, E.D.; Ryser, D.K.; Gandhi, P.; Kimball, J.; Wilde, E.A. Day-of-injury computerized tomography, rehabilitation status, and development of cerebral atrophy in persons with traumatic brain injury. Am. J. Phys. Med. Rehabil. 2006, 85, 793–806. [Google Scholar] [CrossRef] [PubMed]
- Majercik, S.; Bledsoe, J.; Ryser, D.; Hopkins, R.O.; Fair, J.E.; Frost, R.B.; Larson, M.J. Volumetric analysis of day of injury computed tomography is associated with rehabilitation outcomes after traumatic brain injury. J. Trauma Acute Care Surg. 2017, 82, 80. [Google Scholar] [CrossRef] [PubMed]
- Sidaros, A.; Skimminge, A.; Liptrot, M.G.; Sidaros, K.; Engberg, A.W.; Herning, M.; Paulson, O.B.; Jernigan, T.L.; Rostrup, E. Long-term global and regional brain volume changes following severe traumatic brain injury: A longitudinal study with clinical correlates. NeuroImage 2009, 44, 1–8. [Google Scholar] [CrossRef]
- Bendlin, B.B.; Ries, M.L.; Lazar, M.; Alexander, A.L.; Dempsey, R.J.; Rowley, H.A.; Sherman, J.E.; Johnson, S.C. Longitudinal changes in patients with traumatic brain injury assessed with diffusion-tensor and volumetric imaging. NeuroImage 2008, 42, 503–514. [Google Scholar] [CrossRef] [PubMed]
- Zhou, Y.; Kierans, A.; Kenul, D.; Ge, Y.; Rath, J.; Reaume, J.; Grossman, R.I.; Lui, Y.W. Mild traumatic brain injury: Longitudinal regional brain volume changes. Radiology 2013, 267, 880–890. [Google Scholar] [CrossRef] [PubMed]
- Xu, Y.; McArthur, D.L.; Alger, J.R.; Etchepare, M.; Hovda, D.A.; Glenn, T.C.; Huang, S.; Dinov, I.; Vespa, P.M. Early nonischemic oxidative metabolic dysfunction leads to chronic brain atrophy in traumatic brain injury. J. Cereb. Blood Flow Metab. 2010, 30, 883–894. [Google Scholar] [CrossRef] [PubMed]
- Ding, K.; Marquez de la Plata, C.; Wang, J.Y.; Mumphrey, M.; Moore, C.; Harper, C.; Madden, C.J.; McColl, R.; Whittemore, A.; Devous, M.D.; et al. Cerebral atrophy after traumatic white matter injury: Correlation with acute neuroimaging and outcome. J. Neurotrauma 2008, 25, 1433–1440. [Google Scholar] [CrossRef] [PubMed]
- Blatter, D.D.; Bigler, E.D.; Gale, S.D.; Johnson, S.C.; Anderson, C.V.; Burnett, B.M.; Bailey, B.J. MR-based brain and cerebrospinal fluid measurement after traumatic brain injury: Correlation with neuropsychological outcome. Am. J. Neuroradiol. 1997, 18, 1–10. [Google Scholar]
- Smith, D.H.; Meaney, D.F. Axonal damage in traumatic brain injury. Neuroscience 2000, 6, 483–495. [Google Scholar] [CrossRef]
- Sahuquillo, J.; Dennis, J.A. Decompressive craniectomy for the treatment of high intracranial pressure in closed traumatic brain injury. Cochrane Database Syst Rev. 2019, 12, CD003983. [Google Scholar] [CrossRef]
- Brain Trauma Foundation; American Association of Neurological Surgeons; Congress of Neurological Surgeons. Guidelines for the management of severe traumatic brain injury. J. Neurotrauma 2007, 24 (Suppl. 1), S1–S106. [Google Scholar] [CrossRef]
- Hofman, P.A.; Stapert, S.Z.; van Kroonenburgh, M.J.; Jolles, J.; de Kruijk, J.; Wilmink, J.T. MR imaging, single-photon emission CT, and neurocognitive performance after mild traumatic brain injury. AJNR. Am. J. Neuroradiol. 2001, 22, 441–449. [Google Scholar]
- Bobinski, L.; Olivecrona, M.; Koskinen, L.O. Dynamics of brain tissue changes induced by traumatic brain injury assessed with the Marshall, Morris-Marshall, and the Rotterdam classifications and its impact on outcome in a prostacyclin placebo-controlled study. Acta Neurochir. 2012, 154, 1069–1079. [Google Scholar] [CrossRef] [PubMed]
- Maas, A.I.; Hukkelhoven, C.W.; Marshall, L.F.; Steyerberg, E.W. Prediction of outcome in traumatic brain injury with computed tomographic characteristics: A comparison between the computed tomographic classification and combinations of computed tomographic predictors. Neurosurgery 2005, 57, 1173–1182. [Google Scholar] [CrossRef] [PubMed]
- Brown, A.W.; Pretz, C.R.; Bell, K.R.; Hammond, F.M.; Arciniegas, D.B.; Bodien, Y.G.; Dams-O’Connor, K.; Giacino, J.T.; Hart, T.; Johnson-Greene, D.; et al. Predictive utility of an adapted Marshall head CT classification scheme after traumatic brain injury. Brain Inj. 2019, 33, 610–617. [Google Scholar] [CrossRef] [PubMed]
- Ghazi, K.; Wu, S.; Zhao, W.; Ji, S. Instantaneous Whole-Brain Strain Estimation in Dynamic Head Impact. J. Neurotrauma 2021, 38, 1023–1035. [Google Scholar] [CrossRef]



| 30 Days | 90 Days | |||||||
|---|---|---|---|---|---|---|---|---|
| Patient | Sex | Age | LCF | DRS | ERBI | LCF | DRS | ERBI |
| 1 | m | 25 | 4 | 18 | −125 | 6 | 2 | 100 |
| 2 | m | 40 | 4 | 18 | −95 | 8 | 4 | 65 |
| 3 | m | 41 | 4 | 20 | −110 | 7 | 3 | 90 |
| 4 | m | 42 | 4 | 15 | 0 | 6 | 4 | 100 |
| 5 | m | 43 | 5 | 23 | −150 | 8 | 3 | 95 |
| 6 | m | 49 | 3 | 23 | −225 | 5 | 8 | 45 |
| 7 | m | 51 | 2 | 26 | −225 | 6 | 12 | 55 |
| 8 | m | 52 | 4 | 21 | −225 | 5 | 14 | 0 |
| 9 | m | 53 | 4 | 12 | −55 | 8 | 3 | 95 |
| 10 | m | 54 | 3 | 26 | −225 | 6 | 14 | 55 |
| 11 | m | 62 | 4 | 17 | −50 | 6 | 3 | 80 |
| 12 | m | 66 | 5 | 16 | −150 | 8 | 3 | 65 |
| 13 | m | 68 | 3 | 24 | −225 | 5 | 12 | 0 |
| 14 | m | 74 | 5 | 18 | −50 | 8 | 8 | 80 |
| 15 | f | 25 | 5 | 13 | 0 | 8 | 2 | 100 |
| 16 | f | 61 | 5 | 16 | −90 | 7 | 3 | 65 |
| 17 | f | 61 | 2 | 26 | −225 | 6 | 10 | 40 |
| 18 | f | 76 | 2 | 26 | −275 | 3 | 21 | 0 |
| 19 | f | 79 | 2 | 25 | −225 | 3 | 23 | 0 |
| 20 | f | 80 | 4 | 18 | −170 | 6 | 19 | 10 |
| 21 | f | 80 | 3 | 15 | −170 | 6 | 4 | 55 |
| mean/ [median] | 51 | [4] | 19.5 | −130.8 | [6] | 6.3 | 66.4 | |
| sd/[range] | 13.9 | [2–5] | 4.5 | 83.07 | [5–8] | 4.4 | 31.8 | |
| Patient | Marshall Score | ICV (cm3) | VV 3 Days (cm3) | VV 30 Days (cm3) | VV 90 Days (cm3) |
|---|---|---|---|---|---|
| 1 | 3 | 1357 | 5.92 | 28.50 | 27.98 |
| 2 | 3 | 1722 | 21.98 | 34.12 | 34.56 |
| 3 | 4 | 1658 | 16.76 | 16.40 | 37.80 |
| 4 | 3 | 1497 | 5.41 | 20.94 | 21.25 |
| 5 | 6 | 1735 | 7.31 | 29.51 | 35.66 |
| 6 | 3 | 1437 | 8.63 | 35.33 | 37.44 |
| 7 | 3 | 1562 | 6.59 | 6.63 | 18.81 |
| 8 | 6 | 1612 | 37.05 | 32.72 | 94.28 |
| 9 | 5 | 1715 | 29.05 | 30.54 | 53.47 |
| 10 | 3 | 1520 | 12.42 | 29.44 | 32.20 |
| 11 | 3 | 1495 | 10.99 | 15.81 | 14.13 |
| 12 | 6 | 1608 | 16.56 | 43.82 | 53.10 |
| 13 | 3 | 1562 | 25.42 | 55.68 | 34.62 |
| 14 | 3 | 1829 | 27.06 | 70.20 | 76.49 |
| 15 | 2 | 1339 | 4.43 | 19.70 | 13.11 |
| 16 | 3 | 1301 | 12.01 | 24.10 | 27.14 |
| 17 | 3 | 1330 | 6.51 | 5.84 | 19.69 |
| 18 | 6 | 1359 | 8.57 | 35.64 | 65.00 |
| 19 | 3 | 1236 | 7.61 | 41.27 | 54.37 |
| 20 | 6 | 1643 | 20.15 | 15.69 | 68.28 |
| 21 | 4 | 1164 | 22.68 | 23.79 | 23.71 |
| mean | 1508.6 | 14.9 | 29.3 | 40.1 | |
| sd | 181.2 | 9.3 | 15.3 | 21.9 |
| Timepoints | VBR 3 Days | VBR 30 Days | VBR 90 Days | |
|---|---|---|---|---|
| LCF | 30 days | 0.076 (0.744) | 0.009 (0.970) | −0.049 (0.831) |
| 90 days | 0.033 (0.886) | −0.215 (0.348) | −0.294 (0.196) | |
| DRS | 30 days | −0.186 (0.420) | 0.050 (0.831) | 0.216 (0.347) |
| 90 days | 0.193 (0.402) | 0.186 (0.420) | 0.496 (0.022) * | |
| ERBI | 30 days | −0.076 (0.745) | −0.215 (0.350) | −0.415 (0.061) |
| 90 days | −0.347 (0.123) | −0.284 (0.212) | −0.509 (0.018) * | |
| MARSHALL | 30 days | 0.432 (0.051) | 0.039 (0.866) | 0.565 (0.008) * |
Disclaimer/Publisher’s Note: The statements, opinions and data contained in all publications are solely those of the individual author(s) and contributor(s) and not of MDPI and/or the editor(s). MDPI and/or the editor(s) disclaim responsibility for any injury to people or property resulting from any ideas, methods, instructions or products referred to in the content. |
© 2024 by the authors. Licensee MDPI, Basel, Switzerland. This article is an open access article distributed under the terms and conditions of the Creative Commons Attribution (CC BY) license (https://creativecommons.org/licenses/by/4.0/).
Share and Cite
Campana, S.; Cecchetti, L.; Venturi, M.; Buemi, F.; Foti, C.; Cerasa, A.; Vicario, C.M.; Carboncini, M.C.; Tomaiuolo, F. Evolution of Severe Closed Head Injury: Assessing Ventricular Volume and Behavioral Measures at 30 and 90 Days Post-Injury. J. Clin. Med. 2024, 13, 874. https://doi.org/10.3390/jcm13030874
Campana S, Cecchetti L, Venturi M, Buemi F, Foti C, Cerasa A, Vicario CM, Carboncini MC, Tomaiuolo F. Evolution of Severe Closed Head Injury: Assessing Ventricular Volume and Behavioral Measures at 30 and 90 Days Post-Injury. Journal of Clinical Medicine. 2024; 13(3):874. https://doi.org/10.3390/jcm13030874
Chicago/Turabian StyleCampana, Serena, Luca Cecchetti, Martina Venturi, Francesco Buemi, Cristina Foti, Antonio Cerasa, Carmelo Mario Vicario, Maria Chiara Carboncini, and Francesco Tomaiuolo. 2024. "Evolution of Severe Closed Head Injury: Assessing Ventricular Volume and Behavioral Measures at 30 and 90 Days Post-Injury" Journal of Clinical Medicine 13, no. 3: 874. https://doi.org/10.3390/jcm13030874
APA StyleCampana, S., Cecchetti, L., Venturi, M., Buemi, F., Foti, C., Cerasa, A., Vicario, C. M., Carboncini, M. C., & Tomaiuolo, F. (2024). Evolution of Severe Closed Head Injury: Assessing Ventricular Volume and Behavioral Measures at 30 and 90 Days Post-Injury. Journal of Clinical Medicine, 13(3), 874. https://doi.org/10.3390/jcm13030874

