Adrenal Cysts: To Operate or Not to Operate?
Abstract
1. Introduction
2. Materials and Methods
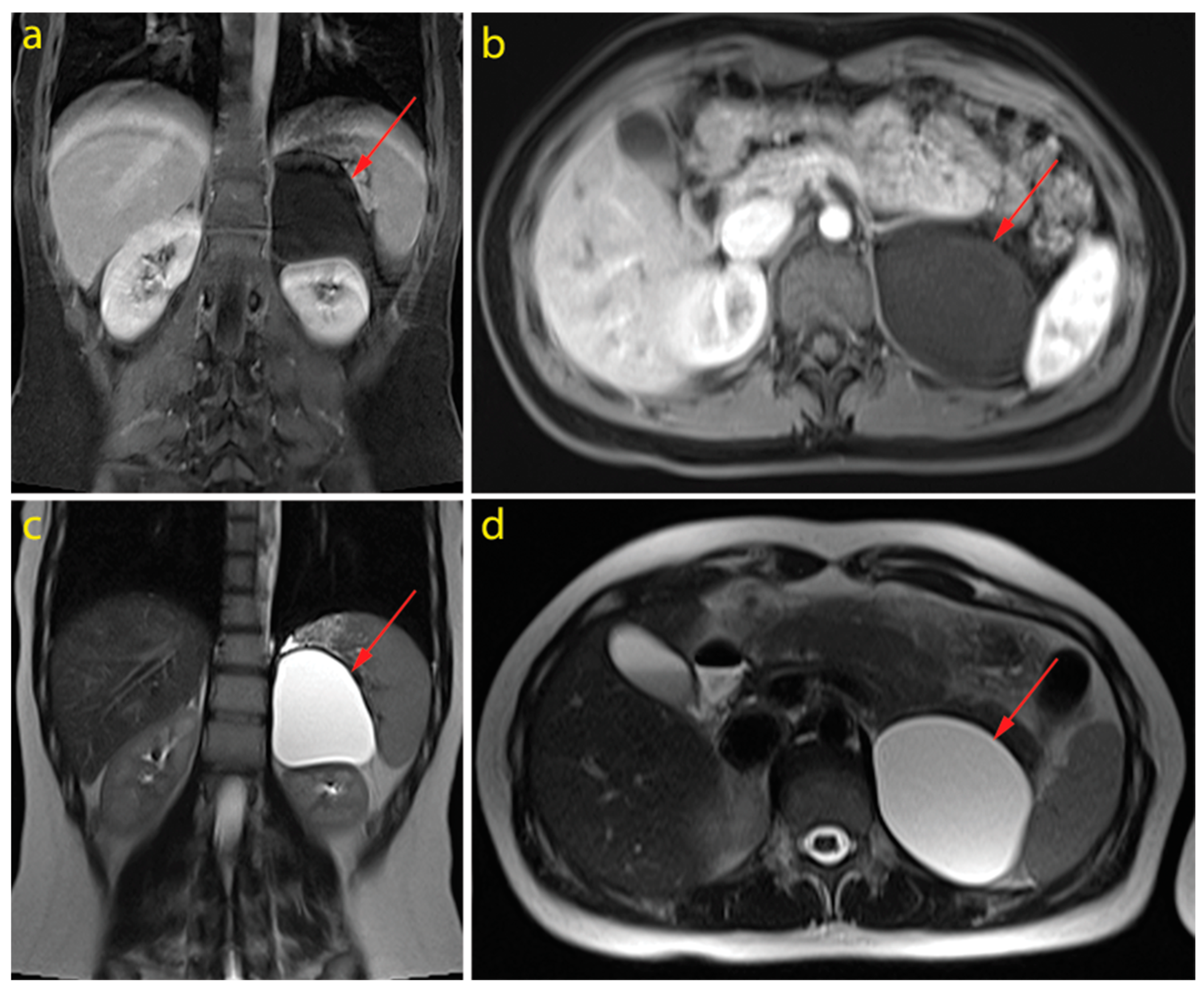
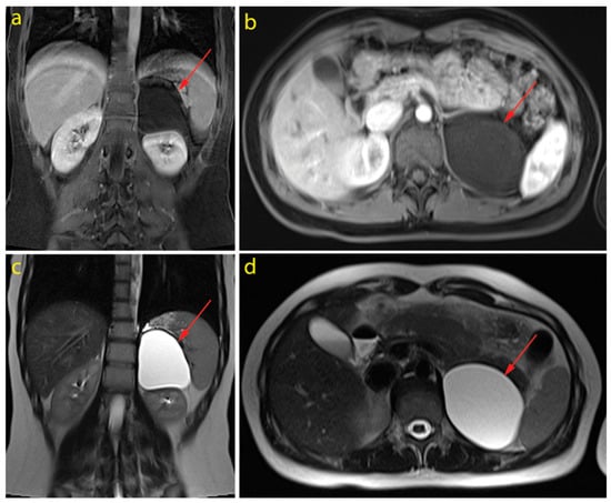
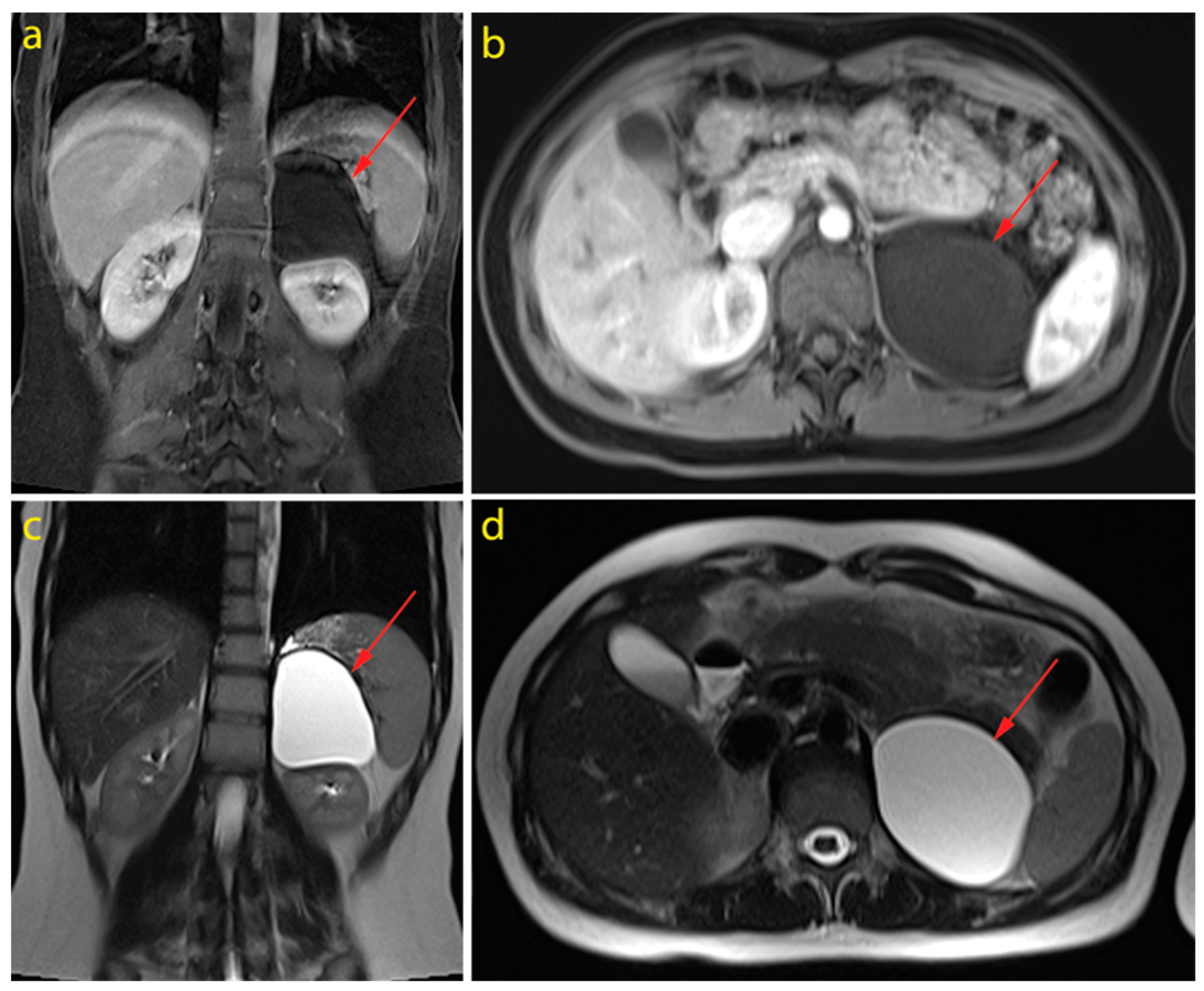
3. Case Description
4. Discussion
4.1. Question 1: What Is the Epidemiology of Adrenal Cysts?
4.2. Question 2: Does the Adrenal Cyst Size Matter?
4.3. Question 3: To What Extent Can We Rely on Imaging?
4.4. Question 4: Which Adrenal Cyst Subtypes Exist?
4.5. Question 5: Can Adrenal Cysts Be Hormonally Active?
4.6. Question 6: Is There a Connection between Adrenal Cysts, Adrenal Insufficiency, and COVID-19?
4.7. Question 7: To Operate or Not to Operate?
5. Conclusions
Author Contributions
Funding
Institutional Review Board Statement
Informed Consent Statement
Data Availability Statement
Conflicts of Interest
References
- Mete, O.; Erickson, L.A.; Juhlin, C.C.; de Krijger, R.R.; Sasano, H.; Volante, M.; Papotti, M.G. Overview of the 2022 WHO Classification of Adrenal Cortical Tumors. Endocr. Pathol. 2022, 33, 155–196. [Google Scholar] [CrossRef] [PubMed]
- Zheng, W.; Fung, K.M.; Cheng, L.; Osunkoya, A.O. Benign vascular tumors, cysts, and pseudocysts of the adrenal gland: A contemporary multi-institutional clinicopathological analysis of 55 cases. Hum. Pathol. 2018, 82, 95–102. [Google Scholar] [CrossRef] [PubMed]
- Cavallaro, G.; Crocetti, D.; Paliotta, A.; De Gori, A.; Tarallo, M.R.; Letizia, C.; De Toma, G. Cystic adrenal lesions: Clinical and surgical management. The experience of a referral centre. Int. J. Surg. 2015, 13, 23–26. [Google Scholar] [CrossRef] [PubMed]
- Bellantone, R.; Ferrante, A.; Raffaelli, M.; Boscherini, M.; Lombardi, C.P.; Crucitti, F. Adrenal cystic lesions: Report of 12 surgically treated cases and review of the literature. J. Endocrinol. Investig. 1998, 21, 109–114. [Google Scholar] [CrossRef] [PubMed]
- Neri, L.M.; Nance, F.C. Management of adrenal cysts. Am. Surg. 1999, 65, 151–163. [Google Scholar] [CrossRef] [PubMed]
- Dogra, P.; Rivera, M.; McKenzie, T.J.; Foster, T.R.; Dy, B.M.; Lyden, M.L.; Young, W.F.; Bancos, I. Clinical course and imaging characteristics of benign adrenal cysts: A single-center study of 92 patients. Eur. J. Endocrinol. 2022, 187, 429–437. [Google Scholar] [CrossRef] [PubMed]
- Ebbehoj, A.; Li, D.; Kaur, R.J.; Zhang, C.; Singh, S.; Li, T.; Atkinson, E.; Achenbach, S.; Khosla, S.; Arlt, W.; et al. Epidemiology of adrenal tumours in Olmsted County, Minnesota, USA: A population-based cohort study. Lancet Diabetes Endocrinol. 2020, 8, 894–902. [Google Scholar] [CrossRef] [PubMed]
- Ichijo, T.; Ueshiba, H.; Nawata, H.; Yanase, T. A nationwide survey of adrenal incidentalomas in Japan: The first report of clinical and epidemiological features. Endocr. J. 2020, 67, 141–152. [Google Scholar] [CrossRef]
- Calissendorff, J.; Juhlin, C.C.; Sundin, A.; Bancos, I.; Falhammar, H. Adrenal cysts: An emerging condition. Nat. Rev. Endocrinol. 2023, 19, 398–406. [Google Scholar] [CrossRef]
- Zografos, G.N.; Farfaras, A.; Vasiliadis, G.; Pappa, T.; Aggeli, C.; Vassilatou, E.; Kaltsas, G.; Piaditis, G. Laparoscopic resection of large adrenal tumors. JSLS 2010, 14, 364–368. [Google Scholar] [CrossRef]
- Cichocki, A.; Samsel, R.; Papierska, L.; Roszkowska-Purska, K.; Nowak, K.; Jodkiewicz, Z.; Kasperlik-Zaluska, A. Adrenal tumour bigger than 5 cm—What could it be? An analysis of 139 cases. Endokrynol. Pol. 2017, 68, 411–415. [Google Scholar] [CrossRef][Green Version]
- Zhang, Z.; Wang, L.; Chen, J.; Li, X.; Liu, D.; Cao, T.; Yang, X.; Huang, H.; Wang, X.; Song, X.; et al. Clinical analysis of adrenal lesions larger than 5 cm in diameter (an analysis of 251 cases). World J. Surg. Oncol. 2019, 17, 220. [Google Scholar] [CrossRef]
- Dogra, P.; Navin, P.J.; McKenzie, T.J.; Foster, T.; Dy, B.; Lyden, M.; Young, W.F., Jr.; Bancos, I. Clinical, imaging and biochemical presentation of cystic pheochromocytomas. Clin. Endocrinol. 2023, 98, 32–40. [Google Scholar] [CrossRef]
- Sebastiano, C.; Zhao, X.; Deng, F.M.; Das, K. Cystic lesions of the adrenal gland: Our experience over the last 20 years. Hum. Pathol. 2013, 44, 1797–1803. [Google Scholar] [CrossRef]
- Koperski, L.; Pihowicz, P.; Anysz-Grodzicka, A.; Gornicka, B. Cystic lymphangiomatous lesions of the adrenal gland: A clinicopathological study of 37 cases including previously unreported cysts with papillary endothelial proliferation. Pathol. Res. Pract. 2019, 215, 152385. [Google Scholar] [CrossRef]
- Gubbiotti, M.A.; LiVolsi, V.; Montone, K.; Baloch, Z. A Cyst-ematic Analysis of the Adrenal Gland: A Compilation of Primary Cystic Lesions From Our Institution and Review of the Literature. Am. J. Clin. Pathol. 2022, 157, 531–539. [Google Scholar] [CrossRef]
- Bednarczuk, T.; Bolanowski, M.; Sworczak, K.; Gornicka, B.; Cieszanowski, A.; Otto, M.; Ambroziak, U.; Pachucki, J.; Kubicka, E.; Babinska, A.; et al. Adrenal incidentaloma in adults—Management recommendations by the Polish Society of Endocrinology. Endokrynol. Pol. 2016, 67, 234–258. [Google Scholar] [CrossRef]
- Fassnacht, M.; Tsagarakis, S.; Terzolo, M.; Tabarin, A.; Sahdev, A.; Newell-Price, J.; Pelsma, I.; Marina, L.; Lorenz, K.; Bancos, I.; et al. European Society of Endocrinology clinical practice guidelines on the management of adrenal incidentalomas, in collaboration with the European Network for the Study of Adrenal Tumors. Eur. J. Endocrinol. 2023, 189, G1–G42. [Google Scholar] [CrossRef] [PubMed]
- Ricci, Z.; Chernyak, V.; Hsu, K.; Mazzariol, F.S.; Flusberg, M.; Oh, S.; Stein, M.; Rozenblit, A. Adrenal cysts: Natural history by long-term imaging follow-up. AJR Am. J. Roentgenol. 2013, 201, 1009–1016. [Google Scholar] [CrossRef] [PubMed]
- Cavallaro, A.; De Toma, G.; Mingazzini, P.L.; Cavallaro, G.; Mosiello, G.; Marchetti, G.; Memeo, L.; La Fauci, M. Cysts of the adrenal gland: Revision of a 15-year experience. Anticancer. Res. 2001, 21, 1401–1406. [Google Scholar] [PubMed]
- Abeshouse, G.A.; Goldstein, R.B.; Abeshouse, B.S. Adrenal cysts; review of the literature and report of three cases. J. Urol. 1959, 81, 711–719. [Google Scholar] [CrossRef] [PubMed]
- Foster, D.G. Adrenal cysts. Review of literature and report of case. Arch. Surg. 1966, 92, 131–143. [Google Scholar] [CrossRef]
- Lockhart, M.E.; Smith, J.K.; Kenney, P.J. Imaging of adrenal masses. Eur. J. Radiol. 2002, 41, 95–112. [Google Scholar] [CrossRef]
- Erickson, L.A.; Lloyd, R.V.; Hartman, R.; Thompson, G. Cystic adrenal neoplasms. Cancer 2004, 101, 1537–1544. [Google Scholar] [CrossRef] [PubMed]
- Torres, C.; Ro, J.Y.; Batt, M.A.; Park, Y.W.; Ordonez, N.G.; Ayala, A.G. Vascular adrenal cysts: A clinicopathologic and immunohistochemical study of six cases and a review of the literature. Mod. Pathol. 1997, 10, 530–536. [Google Scholar]
- Sanal, H.T.; Kocaoglu, M.; Yildirim, D.; Bulakbasi, N.; Guvenc, I.; Tayfun, C.; Ucoz, T. Imaging features of benign adrenal cysts. Eur. J. Radiol. 2006, 60, 465–469. [Google Scholar] [CrossRef]
- Guo, Y.K.; Yang, Z.G.; Li, Y.; Deng, Y.P.; Ma, E.S.; Min, P.Q.; Zhang, X.C. Uncommon adrenal masses: CT and MRI features with histopathologic correlation. Eur. J. Radiol. 2007, 62, 359–370. [Google Scholar] [CrossRef]
- Tagge, D.U.; Baron, P.L. Giant adrenal cyst: Management and review of the literature. Am. Surg. 1997, 63, 744–746. [Google Scholar]
- Zouari, S.; Marouene, C.; Bibani, H.; Saadi, A.; Sellami, A.; Haj Kacem, L.; Blel, A.; Bouzouita, A.; Derouiche, A.; Ben Slama, R.; et al. Primary Hydatid Cyst of the adrenal gland: A case report and a review of the literature. Int. J. Surg. Case Rep. 2020, 70, 154–158. [Google Scholar] [CrossRef]
- Staouni, I.B.; Bouardi, N.E.; Ferhi, M.; Haloua, M.; Alami, B.E.; Lamrani, Y.A.; Boubbou, M.; Maaroufi, M. Primary hydatid cyst of adrenal gland: Case report. Radiol. Case Rep. 2022, 17, 3188–3190. [Google Scholar] [CrossRef] [PubMed]
- Lenders, J.W.M.; Duh, Q.-Y.; Eisenhofer, G.; Gimenez-Roqueplo, A.-P.; Grebe, S.K.G.; Murad, M.H.; Naruse, M.; Pacak, K.; Young, W.F. Pheochromocytoma and Paraganglioma: An Endocrine Society Clinical Practice Guideline. J. Clin. Endocrinol. Metab. 2014, 99, 1915–1942. [Google Scholar] [CrossRef]
- Stolk, R.F.; Bakx, C.; Mulder, J.; Timmers, H.J.L.M.; Lenders, J.W.M. Is the Excess Cardiovascular Morbidity in Pheochromocytoma Related to Blood Pressure or to Catecholamines? J. Clin. Endocrinol. Metab. 2013, 98, 1100–1106. [Google Scholar] [CrossRef]
- Patel, D.; Phay, J.E.; Yen, T.W.F.; Dickson, P.V.; Wang, T.S.; Garcia, R.; Yang, A.D.; Solorzano, C.C.; Kim, L.T. Update on Pheochromocytoma and Paraganglioma from the SSO Endocrine/Head and Neck Disease-Site Work Group. Part 1 of 2: Advances in Pathogenesis and Diagnosis of Pheochromocytoma and Paraganglioma. Ann. Surg. Oncol. 2020, 27, 1329–1337. [Google Scholar] [CrossRef]
- Turin, C.G.; Crenshaw, M.M.; Fishbein, L. Pheochromocytoma and paraganglioma: Germline genetics and hereditary syndromes. Endocr. Oncol. 2022, 2, R65–R77. [Google Scholar] [CrossRef]
- Gruber, L.M.; Hartman, R.P.; Thompson, G.B.; McKenzie, T.J.; Lyden, M.L.; Dy, B.M.; Young, W.F.; Bancos, I. Pheochromocytoma Characteristics and Behavior Differ Depending on Method of Discovery. J. Clin. Endocrinol. Metab. 2019, 104, 1386–1393. [Google Scholar] [CrossRef]
- Constantinescu, G.; Preda, C.; Constantinescu, V.; Siepmann, T.; Bornstein, S.R.; Lenders, J.W.M.; Eisenhofer, G.; Pamporaki, C. Silent pheochromocytoma and paraganglioma: Systematic review and proposed definitions for standardized terminology. Front. Endocrinol. 2022, 13, 1021420. [Google Scholar] [CrossRef]
- Pan, Z.; Repertinger, S.; Deng, C.; Sharma, P. A giant cystic pheochromocytoma of the adrenal gland. Endocr. Pathol. 2008, 19, 133–138. [Google Scholar] [CrossRef]
- Ito, Y.; Obara, T.; Yamashita, T.; Kanbe, M.; Iihara, M. Pheochromocytomas: Tendency to degenerate and cause paroxysmal hypertension. World J. Surg. 1996, 20, 923–926. [Google Scholar] [CrossRef] [PubMed]
- Chien, H.P.; Chang, Y.S.; Hsu, P.S.; Lin, J.D.; Wu, Y.C.; Chang, H.L.; Chuang, C.K.; Tsuei, K.H.; Hsueh, C. Adrenal cystic lesions: A clinicopathological analysis of 25 cases with proposed histogenesis and review of the literature. Endocr. Pathol. 2008, 19, 274–281. [Google Scholar] [CrossRef] [PubMed]
- Major, P.; Pedziwiatr, M.; Matlok, M.; Ostachowski, M.; Winiarski, M.; Rembiasz, K.; Budzynski, A. Cystic adrenal lesions—Analysis of indications and results of treatment. Pol. Przegl Chir. 2012, 84, 184–189. [Google Scholar] [CrossRef] [PubMed][Green Version]
- Andreoni, C.; Krebs, R.K.; Bruna, P.C.; Goldman, S.M.; Kater, C.E.; Alves, M.T.; Ortiz, V. Cystic phaeochromocytoma is a distinctive subgroup with special clinical, imaging and histological features that might mislead the diagnosis. BJU Int. 2008, 101, 345–350. [Google Scholar] [CrossRef] [PubMed]
- Galatola, R.; Attanasio, L.; Romeo, V.; Mainolfi, C.; Klain, M.; Simeoli, C.; Modica, R.; Guadagno, E.; Aprea, G.; Basso, L.; et al. Characterization of Atypical Pheochromocytomas with Correlative MRI and Planar/Hybrid Radionuclide Imaging: A Preliminary Study. Appl. Sci. 2021, 11, 9666. [Google Scholar] [CrossRef]
- Kiriakopoulos, A.; Giannakis, P.; Menenakos, E. Pheochromocytoma: A changing perspective and current concepts. Ther. Adv. Endocrinol. Metab. 2023, 14, 20420188231207544. [Google Scholar] [CrossRef] [PubMed]
- Reincke, M.; Bancos, I.; Mulatero, P.; Scholl, U.I.; Stowasser, M.; Williams, T.A. Diagnosis and treatment of primary aldosteronism. Lancet Diabetes Endocrinol. 2021, 9, 876–892. [Google Scholar] [CrossRef]
- Wang, H.; Wang, F.; Zhang, Y.; Wen, J.; Dong, D.; Chang, X.; Sun, H.; Ma, X.; Cui, Y.; Chen, S.; et al. Surgical Outcomes of Aldosterone-Producing Adenoma on the Basis of the Histopathological Findings. Front. Endocrinol. 2021, 12, 663096. [Google Scholar] [CrossRef]
- Kendrick, M.L.; Curlee, K.; Lloyd, R.; Farley, D.R.; Grant, C.S.; Thompson, G.B.; Rowland, C.; Young, W.F., Jr.; van Heerden, J.A. Aldosterone-secreting adrenocortical carcinomas are associated with unique operative risks and outcomes. Surgery 2002, 132, 1008–1011. [Google Scholar] [CrossRef]
- Hussain, S.; Panteliou, E.; Berney, D.M.; Carpenter, R.; Matson, M.; Sahdev, A.; Bell, M.; O’Sullivan, E.; Drake, W.M. Pure aldosterone-secreting adrenocortical carcinoma in a patient with refractory primary hyperaldosteronism. Endocrinol. Diabetes Metab. Case Rep. 2015, 2015, 150064. [Google Scholar] [CrossRef]
- Liao, Z.; Gao, Y.; Zhao, Y.; Wang, Z.; Wang, X.; Zhou, J.; Zhang, Y. Pure androgen-secreting adrenal tumor (PASAT): A rare case report of bilateral PASATs and a systematic review. Front. Endocrinol. 2023, 14, 1138114. [Google Scholar] [CrossRef]
- Sharma, E.; Dahal, S.; Sharma, P.; Bhandari, A.; Gupta, V.; Amgai, B.; Dahal, S. The Characteristics and Trends in Adrenocortical Carcinoma: A United States Population Based Study. J. Clin. Med. Res. 2018, 10, 636–640. [Google Scholar] [CrossRef]
- Fassnacht, M.; Dekkers, O.M.; Else, T.; Baudin, E.; Berruti, A.; de Krijger, R.; Haak, H.R.; Mihai, R.; Assie, G.; Terzolo, M. European Society of Endocrinology Clinical Practice Guidelines on the management of adrenocortical carcinoma in adults, in collaboration with the European Network for the Study of Adrenal Tumors. Eur. J. Endocrinol. 2018, 179, G1–G46. [Google Scholar] [CrossRef] [PubMed]
- Ahmed, A.A.; Thomas, A.J.; Ganeshan, D.M.; Blair, K.J.; Lall, C.; Lee, J.T.; Morshid, A.I.; Habra, M.A.; Elsayes, K.M. Adrenal cortical carcinoma: Pathology, genomics, prognosis, imaging features, and mimics with impact on management. Abdom. Radiol. 2020, 45, 945–963. [Google Scholar] [CrossRef]
- Claahsen-van der Grinten, H.L.; Speiser, P.W.; Ahmed, S.F.; Arlt, W.; Auchus, R.J.; Falhammar, H.; Fluck, C.E.; Guasti, L.; Huebner, A.; Kortmann, B.B.M.; et al. Congenital Adrenal Hyperplasia-Current Insights in Pathophysiology, Diagnostics, and Management. Endocr. Rev. 2022, 43, 91–159. [Google Scholar] [CrossRef]
- Nermoen, I.; Falhammar, H. Prevalence and Characteristics of Adrenal Tumors and Myelolipomas in Congenital Adrenal Hyperplasia: A Systematic Review and Meta-Analysis. Endocr. Pract. 2020, 26, 1351–1365. [Google Scholar] [CrossRef]
- Speiser, P.W.; Arlt, W.; Auchus, R.J.; Baskin, L.S.; Conway, G.S.; Merke, D.P.; Meyer-Bahlburg, H.F.L.; Miller, W.L.; Murad, M.H.; Oberfield, S.E.; et al. Congenital Adrenal Hyperplasia Due to Steroid 21-Hydroxylase Deficiency: An Endocrine Society Clinical Practice Guideline. J. Clin. Endocrinol. Metab. 2018, 103, 4043–4088. [Google Scholar] [CrossRef]
- Carsote, M.; Gheorghe, A.M.; Nistor, C.; Trandafir, A.I.; Sima, O.C.; Cucu, A.P.; Ciuche, A.; Petrova, E.; Ghemigian, A. Landscape of Adrenal Tumours in Patients with Congenital Adrenal Hyperplasia. Biomedicines 2023, 11, 3081. [Google Scholar] [CrossRef]
- Nermoen, I.; Rorvik, J.; Holmedal, S.H.; Hykkerud, D.L.; Fougner, K.J.; Svartberg, J.; Husebye, E.S.; Lovas, K. High frequency of adrenal myelolipomas and testicular adrenal rest tumours in adult Norwegian patients with classical congenital adrenal hyperplasia because of 21-hydroxylase deficiency. Clin. Endocrinol. 2011, 75, 753–759. [Google Scholar] [CrossRef]
- Sahlander, F.; Patrova, J.; Mannheimer, B.; Lindh, J.D.; Falhammar, H. Congenital adrenal hyperplasia in patients with adrenal tumors: A population-based case-control study. J. Endocrinol. Invest. 2023, 46, 559–565. [Google Scholar] [CrossRef]
- El-Maouche, D.; Hannah-Shmouni, F.; Mallappa, A.; Hargreaves, C.J.; Avila, N.A.; Merke, D.P. Adrenal morphology and associated comorbidities in congenital adrenal hyperplasia. Clin. Endocrinol. 2019, 91, 247–255. [Google Scholar] [CrossRef]
- Libe, R.; Arlt, W.; Louiset, E.; Waintrop, C.; Guibourdenche, J.; Sibony, M.; Clauser, E.; Groussin, L. A feminizing adrenocortical carcinoma in the context of a late onset 21-hydroxylase deficiency. J. Clin. Endocrinol. Metab. 2014, 99, 1943–1944. [Google Scholar] [CrossRef]
- Meng, X. Nonclassical 21-Hydroxylase Deficiency Presented as Addison’s Disease and Bilateral Adrenal Incidentalomas. Acta Endocrinol. 2017, 13, 232–236. [Google Scholar] [CrossRef]
- Kanczkowski, W.; Evert, K.; Stadtmuller, M.; Haberecker, M.; Laks, L.; Chen, L.S.; Frontzek, K.; Pablik, J.; Hantel, C.; Beuschlein, F.; et al. COVID-19 targets human adrenal glands. Lancet Diabetes Endocrinol. 2022, 10, 13–16. [Google Scholar] [CrossRef]
- Freire Santana, M.; Borba, M.G.S.; Baia-da-Silva, D.C.; Val, F.; Alexandre, M.A.A.; Brito-Sousa, J.D.; Melo, G.C.; Queiroga, M.V.O.; Leao Farias, M.E.; Camilo, C.C.; et al. Case Report: Adrenal Pathology Findings in Severe COVID-19: An Autopsy Study. Am. J. Trop. Med. Hyg. 2020, 103, 1604–1607. [Google Scholar] [CrossRef]
- Kanczkowski, W.; Gaba, W.H.; Krone, N.; Varga, Z.; Beuschlein, F.; Hantel, C.; Andoniadou, C.; Bornstein, S.R. Adrenal Gland Function and Dysfunction During COVID-19. Horm. Metab. Res. 2022, 54, 532–539. [Google Scholar] [CrossRef]
- Ilgar, M.; Unlu, S.; Akcicek, M. Can evaluating adrenal glands in computed tomography contribute to predicting the prognosis of hospitalized COVID-19 patients? Eur. Rev. Med. Pharmacol. Sci. 2022, 26, 298–304. [Google Scholar] [CrossRef]
- Leyendecker, P.; Ritter, S.; Riou, M.; Wackenthaler, A.; Meziani, F.; Roy, C.; Ohana, M. Acute adrenal infarction as an incidental CT finding and a potential prognosis factor in severe SARS-CoV-2 infection: A retrospective cohort analysis on 219 patients. Eur. Radiol. 2021, 31, 895–900. [Google Scholar] [CrossRef]
- Elhassan, Y.S.; Iqbal, F.; Arlt, W.; Baldeweg, S.E.; Levy, M.; Stewart, P.M.; Wass, J.; Pavord, S.; Aled Rees, D.; Ronchi, C.L. COVID-19-related adrenal haemorrhage: Multicentre UK experience and systematic review of the literature. Clin. Endocrinol. 2023, 98, 766–778. [Google Scholar] [CrossRef]
- Cozzolino, A.; Hasenmajer, V.; Newell-Price, J.; Isidori, A.M. COVID-19 pandemic and adrenals: Deep insights and implications in patients with glucocorticoid disorders. Endocrine 2023, 82, 1–14. [Google Scholar] [CrossRef]
- Ohzeki, T.; Kita, H.; Kunishige, R.; Hayashi, T.; Nishioka, T. Giant adrenal pseudocyst removed using robot-assisted surgery. IJU Case Rep. 2023, 6, 141–143. [Google Scholar] [CrossRef]
- Sivasankar, A.; Jeswanth, S.; Johnson, M.A.; Ravichandran, P.; Rajendran, S.; Kannan, D.G.; Surendran, R. Acute hemorrhage into adrenal pseudocyst presenting with shock: Diagnostic dilemmas—Report of three cases and review of literature. Sci. World J. 2006, 6, 2381–2387. [Google Scholar] [CrossRef]
- Marti, J.L.; Millet, J.; Sosa, J.A.; Roman, S.A.; Carling, T.; Udelsman, R. Spontaneous adrenal hemorrhage with associated masses: Etiology and management in 6 cases and a review of 133 reported cases. World J. Surg. 2012, 36, 75–82. [Google Scholar] [CrossRef]
- Yoder, B.M.; Wolf, J.S., Jr. Long-term outcome of laparoscopic decortication of peripheral and peripelvic renal and adrenal cysts. J. Urol. 2004, 171, 583–587. [Google Scholar] [CrossRef]
- Pak, S.J.; Lee, Y.M.; Kim, P.N.; Kim, B.C.; Cho, J.W.; Kim, W.W.; Sung, T.Y.; Chung, K.W.; Hong, S.J. Short-term outcome of adrenal radiofrequency ablation of adrenal cysts: A single-center experience. Sci. Rep. 2023, 13, 3267. [Google Scholar] [CrossRef]
- Maestroni, U.; Vicente, D.; Del Rio, P.; Ziglioli, F.; Dinale, F.; Campobasso, D.; Ferretti, S.; Stojadinovic, A.; Avital, I. Laparoscopic adrenalectomy for large adrenal masses: A challenge or a routine? Minerva Chir. 2014, 69, 59–64. [Google Scholar]
- Raffaelli, M.; De Crea, C.; Bellantone, R. Laparoscopic adrenalectomy. Gland. Surg. 2019, 8, S41–S52. [Google Scholar] [CrossRef]
- Castillo, O.A.; Litvak, J.P.; Kerkebe, M.; Urena, R.D. Laparoscopic management of symptomatic and large adrenal cysts. J. Urol. 2005, 173, 915–917. [Google Scholar] [CrossRef]
- Conzo, G.; Gambardella, C.; Candela, G.; Sanguinetti, A.; Polistena, A.; Clarizia, G.; Patrone, R.; Di Capua, F.; Offi, C.; Musella, M.; et al. Single center experience with laparoscopic adrenalectomy on a large clinical series. BMC Surg. 2018, 18, 2. [Google Scholar] [CrossRef]
- Fiori, C.; Checcucci, E.; Amparore, D.; Cattaneo, G.; Manfredi, M.; Porpiglia, F. Adrenal tumours: Open surgery versus minimally invasive surgery. Curr. Opin. Oncol. 2020, 32, 27–34. [Google Scholar] [CrossRef]
- Arezzo, A.; Bullano, A.; Cochetti, G.; Cirocchi, R.; Randolph, J.; Mearini, E.; Evangelista, A.; Ciccone, G.; Bonjer, H.J.; Morino, M. Transperitoneal versus retroperitoneal laparoscopic adrenalectomy for adrenal tumours in adults. Cochrane Database Syst. Rev. 2018, 12, CD011668. [Google Scholar] [CrossRef]
- Lal, T.G.; Kaulback, K.R.; Bombonati, A.; Palazzo, J.P.; Jeffrey, R.B.; Weigel, R.J. Surgical management of adrenal cysts. Am. Surg. 2003, 69, 812–814. [Google Scholar] [CrossRef]

| Hormonal Analyses | Patient’s Results | Ref. Value |
|---|---|---|
| Morning cortisol (nmol/L) | 301 | 172–497 |
| ACTH (pmol/L) | 2.6 | 1.6–13 |
| DHEAS (μg/dL) | 185.9 | 65.1–368 |
| Testosterone (nmol/L) | 0.89 | 0.20–2.76 |
| 17OH-progesterone in luteal phase (ng/mL) | 1.7 | 0.6–2.3 |
| Aldosterone (ng/dL) | 14.5 | 1.4–15.6 |
| Plasma renin (μIU/mL) | 37.8 | 2.8–39.9 |
| Urinary metanephrine (μg/24 h) | 112 | <1000 |
| Urinary normetanephrine (μg/24 h) | 241 | <600 |
| Chromogranin A (ng/mL) | 35.3 | <100 |
| Cortisol after overnight dexamethasone 1 mg (nmol/L) | 14.9 | <50 |
Disclaimer/Publisher’s Note: The statements, opinions and data contained in all publications are solely those of the individual author(s) and contributor(s) and not of MDPI and/or the editor(s). MDPI and/or the editor(s) disclaim responsibility for any injury to people or property resulting from any ideas, methods, instructions or products referred to in the content. |
© 2024 by the authors. Licensee MDPI, Basel, Switzerland. This article is an open access article distributed under the terms and conditions of the Creative Commons Attribution (CC BY) license (https://creativecommons.org/licenses/by/4.0/).
Share and Cite
Bozic Antic, I.; Djurisic, I.; Nikolic, S. Adrenal Cysts: To Operate or Not to Operate? J. Clin. Med. 2024, 13, 846. https://doi.org/10.3390/jcm13030846
Bozic Antic I, Djurisic I, Nikolic S. Adrenal Cysts: To Operate or Not to Operate? Journal of Clinical Medicine. 2024; 13(3):846. https://doi.org/10.3390/jcm13030846
Chicago/Turabian StyleBozic Antic, Ivana, Igor Djurisic, and Srdjan Nikolic. 2024. "Adrenal Cysts: To Operate or Not to Operate?" Journal of Clinical Medicine 13, no. 3: 846. https://doi.org/10.3390/jcm13030846
APA StyleBozic Antic, I., Djurisic, I., & Nikolic, S. (2024). Adrenal Cysts: To Operate or Not to Operate? Journal of Clinical Medicine, 13(3), 846. https://doi.org/10.3390/jcm13030846

