Transcatheter Aortic Valve Replacement Versus Surgical Aortic Valve Replacement in Bicuspid Aortic Valve Stenosis—We Need a Well-Designed Randomized Control Trial
Abstract
1. Introduction
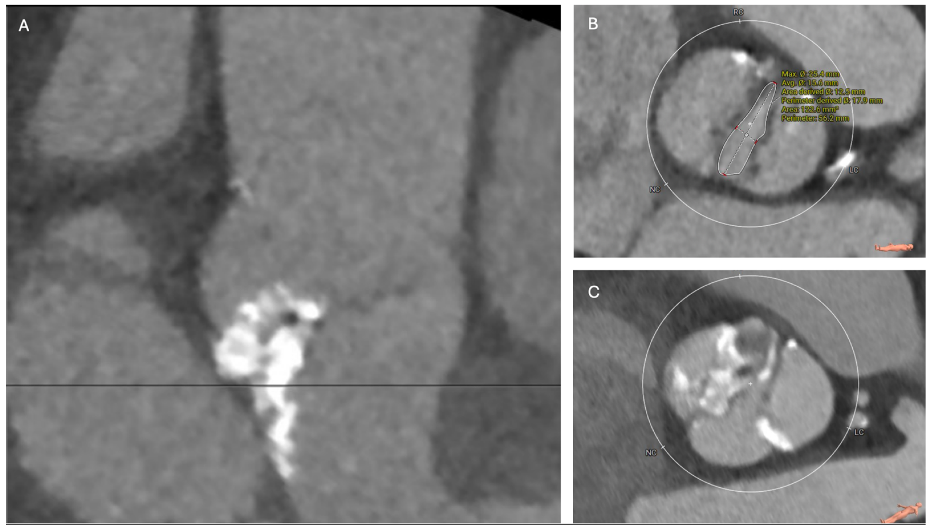
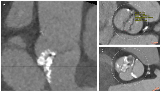
1.1. Anatomy
1.2. Current Guideline Recommendations
1.3. Surgical Aortic Valve Replacement for Bicuspid Aortic Valve Stenosis
1.4. Transcatheter Aortic Valve Replacement for Bicuspid Aortic Valve Stenosis
1.5. Transcatheter Valve Durability in Bicuspid Aortic Valve AS
1.6. Surgical vs. Transcatheter Replacement for Bicuspid Aortic Valve Stenosis
2. Conclusions: Is There Equipoise? Why Randomize?
Author Contributions
Funding
Conflicts of Interest
Abbreviations
| ACC | American College of Cardiology |
| AHA | American Heart Association |
| AS | aortic AS |
| BAV | bicuspid aortic valve |
| RCT | randomized controlled trial |
| SAVR | surgical aortic valve replacement |
| TAVR | transcatheter aortic valve replacement |
References
- Michelena, H.I.; Della Corte, A.; Prakash, S.K.; Milewicz, D.M.; Evangelista, A.; Enriquez-Sarano, M. Bicuspid aortic valve aortopathy in adults: Incidence, etiology, and clinical significance. Int. J. Cardiol. 2015, 201, 400–407. [Google Scholar] [CrossRef] [PubMed]
- Leon, M.B.; Smith, C.R.; Mack, M.; Miller, D.C.; Moses, J.W.; Svensson, L.G.; Tuzcu, E.M.; Webb, J.G.; Fontana, G.P.; Makkar, R.R.; et al. Transcatheter aortic-valve implantation for aortic stenosis in patients who cannot undergo surgery. N. Engl. J. Med. 2010, 363, 1597–1607. [Google Scholar] [CrossRef] [PubMed]
- Smith, C.R.; Leon, M.B.; Mack, M.J.; Miller, D.C.; Moses, J.W.; Svensson, L.G.; Tuzcu, E.M.; Webb, J.G.; Fontana, G.P.; Makkar, R.R.; et al. Transcatheter versus surgical aortic-valve replacement in high-risk patients. N. Engl. J. Med. 2011, 364, 2187–2198. [Google Scholar] [CrossRef] [PubMed]
- Leon, M.B.; Smith, C.R.; Mack, M.J.; Makkar, R.R.; Svensson, L.G.; Kodali, S.K.; Thourani, V.H.; Tuzcu, E.M.; Miller, D.C.; Herrmann, H.C.; et al. Transcatheter or Surgical Aortic-Valve Replacement in Intermediate-Risk Patients. N. Engl. J. Med. 2016, 374, 1609–1620. [Google Scholar] [CrossRef] [PubMed]
- Reardon, M.J.; Van Mieghem, N.M.; Popma, J.J.; Kleiman, N.S.; Søndergaard, L.; Mumtaz, M.; Adams, D.H.; Deeb, G.M.; Maini, B.; Gada, H.; et al. Surgical or Transcatheter Aortic-Valve Replacement in Intermediate-Risk Patients. N. Engl. J. Med. 2017, 376, 1321–1331. [Google Scholar] [CrossRef]
- Mack, M.J.; Leon, M.B.; Thourani, V.H.; Makkar, R.; Kodali, S.K.; Russo, M.; Kapadia, S.R.; Malaisrie, S.C.; Cohen, D.J.; Pibarot, P.; et al. Transcatheter Aortic-Valve Replacement with a Balloon-Expandable Valve in Low-Risk Patients. N. Engl. J. Med. 2019, 380, 1695–1705. [Google Scholar] [CrossRef]
- Popma, J.J.; Deeb, G.M.; Yakubov, S.J.; Mumtaz, M.; Gada, H.; O’Hair, D.; Bajwa, T.; Heiser, J.C.; Merhi, W.; Kleiman, N.S.; et al. Transcatheter Aortic-Valve Replacement with a Self-Expanding Valve in Low-Risk Patients. N. Engl. J. Med. 2019, 380, 1706–1715. [Google Scholar] [CrossRef]
- Sievers, H.H.; Schmidtke, C. A classification system for the bicuspid aortic valve from 304 surgical specimens. J. Thorac. Cardiovasc. Surg. 2007, 133, 1226–1233. [Google Scholar] [CrossRef]
- Vincent, F.; Ternacle, J.; Denimal, T.; Shen, M.; Redfors, B.; Delhaye, C.; Simonato, M.; Debry, N.; Verdier, B.; Shahim, B.; et al. Transcatheter Aortic Valve Replacement in Bicuspid Aortic Valve Stenosis. Circulation 2021, 143, 1043–1061. [Google Scholar] [CrossRef]
- Philip, F.; Faza, N.N.; Schoenhagen, P.; Desai, M.Y.; Tuzcu, E.M.; Svensson, L.G.; Kapadia, S.R. Aortic annulus and root characteristics in severe aortic stenosis due to bicuspid aortic valve and tricuspid aortic valves: Implications for transcatheter aortic valve therapies. Catheter. Cardiovasc. Interv. 2015, 86, E88–E98. [Google Scholar] [CrossRef]
- Michelena, H.I.; Khanna, A.D.; Mahoney, D.; Margaryan, E.; Topilsky, Y.; Suri, R.M.; Eidem, B.; Edwards, W.D.; Sundt, T.M.; Enriquez-Sarano, M. Incidence of aortic complications in patients with bicuspid aortic valves. JAMA 2011, 306, 1104–1112. [Google Scholar] [CrossRef] [PubMed]
- Tzemos, N.; Therrien, J.; Yip, J.; Thanassoulis, G.; Tremblay, S.; Jamorski, M.T.; Webb, G.D.; Siu, S.C. Outcomes in adults with bicuspid aortic valves. JAMA 2008, 300, 1317–1325. [Google Scholar] [CrossRef] [PubMed]
- Otto, C.M.; Nishimura, R.A.; Bonow, R.O.; Carabello, B.A.; Erwin, J.P.; Gentile, F.; Jneid, H.; Krieger, E.V.; Mack, M.; McLeod, C.; et al. 2020 ACC/AHA Guideline for the Management of Patients with Valvular Heart Disease: A Report of the American College of Cardiology/American Heart Association Joint Committee on Clinical Practice Guidelines. Circulation 2021, 143, e72–e227. [Google Scholar] [PubMed]
- Czerny, M.; Grabenwöger, M.; Berger, T.; Aboyans, V.; Della Corte, A.; Chen, E.P.; Desai, N.D.; Dumfarth, J.; Elefteriades, J.A.; Etz, C.D.; et al. EACTS/STS Guidelines for diagnosing and treating acute and chronic syndromes of the aortic organ. Eur. J. Cardiothorac. Surg. 2024, 65, ezad426. [Google Scholar] [CrossRef] [PubMed]
- Mazzolai, L.; Teixido-Tura, G.; Lanzi, S.; Boc, V.; Bossone, E.; Brodmann, M.; Bura-Rivière, A.; De Backer, J.; Deglise, S.; Della Corte, A.; et al. 2024 ESC Guidelines for the management of peripheral arterial and aortic diseases. Eur. Heart J. 2024, 45, 3538–3700. [Google Scholar]
- Isselbacher, E.M.; Preventza, O.; Black, J.H.; Augoustides, J.G.; Beck, A.W.; Bolen, M.A.; Braverman, A.C.; Bray, B.E.; Brown-Zimmerman, M.M.; Chen, E.P.; et al. 2022 ACC/AHA Guideline for the Diagnosis and Management of Aortic Disease: A Report of the American Heart Association/American College of Cardiology Joint Committee on Clinical Practice Guidelines. Circulation 2022, 146, e334–e482. [Google Scholar] [CrossRef]
- Vahanian, A.; Beyersdorf, F.; Praz, F.; Milojevic, M.; Baldus, S.; Bauersachs, J.; Capodanno, D.; Conradi, L.; De Bonis, M.; De Paulis, R.; et al. 2021 ESC/EACTS Guidelines for the management of valvular heart disease. Eur. Heart J. 2022, 43, 561–632. [Google Scholar] [CrossRef]
- Goland, S.; Czer, L.S.; De Robertis, M.A.; Mirocha, J.; Kass, R.M.; Fontana, G.P.; Chang, W.; Trento, A. Risk factors associated with reoperation and mortality in 252 patients after aortic valve replacement for congenitally bicuspid aortic valve disease. Ann. Thorac. Surg. 2007, 83, 931–937. [Google Scholar] [CrossRef]
- Borger, M.A.; David, T.E. Management of the valve and ascending aorta in adults with bicuspid aortic valve disease. Semin. Thorac. Cardiovasc. Surg. 2005, 17, 143–147. [Google Scholar] [CrossRef]
- Girdauskas, E.; Disha, K.; Raisin, H.H.; Secknus, M.-A.; Borger, M.A.; Kuntze, T. Risk of late aortic events after an isolated aortic valve replacement for bicuspid aortic valve stenosis with concomitant ascending aortic dilation. Eur. J. Cardiothorac. Surg. 2012, 42, 832–837; discussion 837–838. [Google Scholar] [CrossRef]
- Kim, Y.G.; Sun, B.J.; Park, G.-M.; Han, S.; Kim, D.-H.; Song, J.-M.; Kang, D.-H.; Song, J.-K. Aortopathy and bicuspid aortic valve: Haemodynamic burden is main contributor to aortic dilatation. Heart 2012, 98, 1822–1827. [Google Scholar] [CrossRef] [PubMed]
- Girdauskas, E.; Disha, K.; Borger, M.A.; Kuntze, T. Long-term prognosis of ascending aortic aneurysm after aortic valve replacement for bicuspid versus tricuspid aortic valve stenosis. J. Thorac. Cardiovasc. Surg. 2014, 147, 276–282. [Google Scholar] [CrossRef] [PubMed]
- Wijesinghe, N.; Ye, J.; Rodés-Cabau, J.; Cheung, A.; Velianou, J.L.; Natarajan, M.K.; Dumont, E.; Nietlispach, F.; Gurvitch, R.; Wood, D.A. Transcatheter aortic valve implantation in patients with bicuspid aortic valve stenosis. JACC Cardiovasc. Interv. 2010, 3, 1122–1125. [Google Scholar] [CrossRef] [PubMed]
- Mylotte, D.; Lefevre, T.; Søndergaard, L.; Watanabe, Y.; Modine, T.; Dvir, D.; Bosmans, J.; Tchetche, D.; Kornowski, R.; Sinning, J.-M.; et al. Transcatheter aortic valve replacement in bicuspid aortic valve disease. J. Am. Coll. Cardiol. 2014, 64, 2330–2339. [Google Scholar] [CrossRef]
- Takagi, H.; Hari, Y.; Kawai, N.; Kuno, T.; Ando, T. Meta-analysis of transcatheter aortic valve implantation for bicuspid versus tricuspid aortic valves. J. Cardiol. 2019, 74, 40–48. [Google Scholar] [CrossRef]
- Kanjanahattakij, N.; Horn, B.; Vutthikraivit, W.; Biso, S.M.; Ziccardi, M.R.; Lu, M.L.R.; Rattanawong, P. Comparing outcomes after transcatheter aortic valve replacement in patients with stenotic bicuspid and tricuspid aortic valve: A systematic review and meta-analysis. Clin. Cardiol. 2018, 41, 896–902. [Google Scholar] [CrossRef]
- Yoon, S.H.; Kim, W.-K.; Dhoble, A.; Pio, S.M.; Babaliaros, V.; Jilaihawi, H.; Pilgrim, T.; De Backer, O.; Bleiziffer, S.; Vincent, F.; et al. Bicuspid Aortic Valve Morphology and Outcomes After Transcatheter Aortic Valve Replacement. J. Am. Coll. Cardiol. 2020, 76, 1018–1030. [Google Scholar] [CrossRef]
- Yeats, B.B.; Yadav, P.K.; Dasi, L.P.; Thourani, V.H. Treatment of Bicuspid Aortic Valve Stenosis with TAVR: Filling Knowledge Gaps Towards Reducing Complications. Curr. Cardiol. Rep. 2022, 24, 33–41. [Google Scholar] [CrossRef]
- Grubb, K.J.; Gada, H.; Mittal, S.; Nazif, T.; Rodés-Cabau, J.; Fraser, D.G.W.; Lin, L.; Rovin, J.D.; Khalil, R.; Sultan, I.; et al. Clinical Impact of Standardized TAVR Technique and Care Pathway: Insights from the Optimize PRO Study. JACC Cardiovasc. Interv. 2023, 16, 558–570. [Google Scholar] [CrossRef]
- Yoon, S.H.; Bleiziffer, S.; De Backer, O.; Delgado, V.; Arai, T.; Ziegelmueller, J.; Barbanti, M.; Sharma, R.; Perlman, G.Y.; Khalique, O.K.; et al. Outcomes in Transcatheter Aortic Valve Replacement for Bicuspid Versus Tricuspid Aortic Valve Stenosis. J. Am. Coll. Cardiol. 2017, 69, 2579–2589. [Google Scholar] [CrossRef]
- Halim, S.A.; Edwards, F.H.; Dai, D.; Li, Z.; Mack, M.J.; Holmes, D.R.; Tuzcu, E.M.; Thourani, V.H.; Harrison, J.K.; Brennan, J.M. Outcomes of Transcatheter Aortic Valve Replacement in Patients with Bicuspid Aortic Valve Disease: A Report from the Society of Thoracic Surgeons/American College of Cardiology Transcatheter Valve Therapy Registry. Circulation 2020, 141, 1071–1079. [Google Scholar] [CrossRef] [PubMed]
- Makkar, R.R.; Yoon, S.-H.; Chakravarty, T.; Kapadia, S.R.; Krishnaswamy, A.; Shah, P.B.; Kaneko, T.; Skipper, E.R.; Rinaldi, M.; Babaliaros, V.; et al. Association Between Transcatheter Aortic Valve Replacement for Bicuspid vs Tricuspid Aortic Stenosis and Mortality or Stroke Among Patients at Low Surgical Risk. JAMA 2021, 326, 1034–1044. [Google Scholar] [CrossRef] [PubMed]
- Elbadawi, A.; Saad, M.; Elgendy, I.Y.; Barssoum, K.; Omer, M.A.; Soliman, A.; Almahmoud, M.F.; Ogunbayo, G.O.; Mentias, A.; Gilani, S.; et al. Temporal Trends and Outcomes of Transcatheter Versus Surgical Aortic Valve Replacement for Bicuspid Aortic Valve Stenosis. JACC Cardiovasc. Interv. 2019, 12, 1811–1822. [Google Scholar] [CrossRef] [PubMed]
- Williams, M.R.; Jilaihawi, H.; Makkar, R.; O’neill, W.W.; Guyton, R.; Malaisrie, S.C.; Brown, D.L.; Blanke, P.; Leipsic, J.A.; Pibarot, P.; et al. The PARTNER 3 Bicuspid Registry for Transcatheter Aortic Valve Replacement in Low-Surgical-Risk Patients. JACC Cardiovasc. Interv. 2022, 15, 523–532. [Google Scholar] [CrossRef]
- Forrest, J.K.; Ramlawi, B.; Deeb, G.M.; Zahr, F.; Song, H.K.; Kleiman, N.S.; Chetcuti, S.J.; Michelena, H.I.; Mangi, A.A.; Skiles, J.A.; et al. Transcatheter Aortic Valve Replacement in Low-risk Patients with Bicuspid Aortic Valve Stenosis. JAMA Cardiol. 2021, 6, 50–57. [Google Scholar] [CrossRef]
- Waksman, R.; Craig, P.E.; Torguson, R.; Asch, F.M.; Weissman, G.; Ruiz, D.; Gordon, P.; Ehsan, A.; Parikh, P.; Bilfinger, T.; et al. Transcatheter Aortic Valve Replacement in Low-Risk Patients with Symptomatic Severe Bicuspid Aortic Valve Stenosis. JACC Cardiovasc. Interv. 2020, 13, 1019–1027. [Google Scholar] [CrossRef]
- Tchetche, D.; Ziviello, F.; De Biase, C.; De Backer, O.; Hovasse, T.; Leroux, L.; Petronio, A.-S.; Saint-Etienne, C.; Teles, R.C.; Modine, T.; et al. Transcatheter aortic valve implantation with the Evolut platform for bicuspid aortic valve stenosis: The international, multicentre, prospective BIVOLUTX registry. EuroIntervention 2023, 19, 502–511. [Google Scholar] [CrossRef]
- Nagaraja, V.; Suh, W.; Fischman, D.L.; Banning, A.; Martinez, S.C.; Potts, J.; Kwok, C.S.; Ratib, K.; Nolan, J.; Bagur, R.; et al. Transcatheter aortic valve replacement outcomes in bicuspid compared to trileaflet aortic valves. Cardiovasc. Revasc. Med. 2019, 20, 50–56. [Google Scholar] [CrossRef]
- VARC-3 WRITING COMMITTEE; Généreux, P.; Piazza, N.; Alu, M.C.; Nazif, T.; Hahn, R.T.; Pibarot, P.; Bax, J.J.; Leipsic, J.A.; Blanke, P.; et al. Valve Academic Research Consortium 3: Updated Endpoint Definitions for Aortic Valve Clinical Research. J. Am. Coll. Cardiol. 2021, 77, 2717–2746. [Google Scholar] [CrossRef]
- Pibarot, P.; Herrmann, H.C.; Wu, C.; Hahn, R.T.; Otto, C.M.; Abbas, A.E.; Chambers, J.; Dweck, M.R.; Leipsic, J.A.; Simonato, M.; et al. Standardized Definitions for Bioprosthetic Valve Dysfunction Following Aortic or Mitral Valve Replacement: JACC State-of-the-Art Review. J. Am. Coll. Cardiol. 2022, 80, 545–561. [Google Scholar] [CrossRef]
- Tchetche, D.; de Biase, C.; van Gils, L.; Parma, R.; Ochala, A.; Lefevre, T.; Hovasse, T.; De Backer, O.; Sondergaard, L.; Bleiziffer, S.; et al. Bicuspid Aortic Valve Anatomy and Relationship with Devices: The BAVARD Multicenter Registry. Circ. Cardiovasc. Interv. 2019, 12, e007107. [Google Scholar] [CrossRef] [PubMed]
- Kang, J.J.; Fialka, N.M.; El-Andari, R.; Watkins, A.; Hong, Y.; Mathew, A.; Bozso, S.J.; Nagendran, J. Surgical vs transcatheter aortic valve replacement in bicuspid aortic valve stenosis: A systematic review and meta-analysis. Trends Cardiovasc. Med. 2023, 34, 303–314. [Google Scholar] [CrossRef] [PubMed]
- Husso, A.; Airaksinen, J.; Juvonen, T.; Laine, M.; Dahlbacka, S.; Virtanen, M.; Niemelä, M.; Mäkikallio, T.; Savontaus, M.; Eskola, M.; et al. Transcatheter and surgical aortic valve replacement in patients with bicuspid aortic valve. Clin. Res. Cardiol. 2021, 110, 429–439. [Google Scholar] [CrossRef] [PubMed]
- Mentias, A.; Sarrazin, M.V.; Desai, M.Y.; Saad, M.; Horwitz, P.A.; Kapadia, S.; Girotra, S. Transcatheter Versus Surgical Aortic Valve Replacement in Patients with Bicuspid Aortic Valve Stenosis. J. Am. Coll. Cardiol. 2020, 75, 2518–2519. [Google Scholar] [CrossRef] [PubMed]
- Soud, M.; Soud, M.; Al-Khadra, Y.; Darmoch, F.; Pacha, H.M.; Fanari, Z. Transcatheter aortic valve replacement in patients with bicuspid aortic valve stenosis: National trends and in-hospital outcomes. Avicenna J. Med. 2020, 10, 22–28. [Google Scholar] [CrossRef]
- Majmundar, M.; Kumar, A.; Doshi, R.; Shariff, M.; Krishnaswamy, A.; Reed, G.W.; Brockett, J.; Lahorra, J.L.; Svensson, L.S.; Puri, R.; et al. Early outcomes of transcatheter versus surgical aortic valve implantation in patients with bicuspid aortic valve stenosis. EuroIntervention 2022, 18, 23–32. [Google Scholar] [CrossRef]
- Tsai, H.Y.; Lin, Y.; Wu, I.; Kuo, L.; Chen, B.; Shen, S.; Hsu, W.; Huang, H. Major adverse cardiac events and functional capacity in patients at intermediate risk undergoing transcatheter versus surgical aortic valve replacement for aortic stenosis with bicuspid valves. J. Card. Surg. 2021, 36, 828–833. [Google Scholar] [CrossRef]
- Chen, A.; Malas, J.; Megna, D.; Tam, D.Y.; Gill, G.; Rowe, G.; Premananthan, S.; Krishnan, A.; Peiris, A.; Emerson, D.; et al. Bicuspid aortic stenosis: National three-year outcomes of transcatheter versus surgical aortic valve replacement among Medicare beneficiaries. J. Thorac. Cardiovasc. Surg. 2024, 168, 1035–1044.e17. [Google Scholar] [CrossRef]
- Jorgensen, T.H.; Thyregod, H.G.H.; Savontaus, M.; Willemen, Y.; Bleie, Ø.; Tang, M.; Niemela, M.; Angerås, O.; Gudmundsdóttir, I.J.; Sartipy, U.; et al. Transcatheter Aortic Valve Implantation in Low-Risk Tricuspid or Bicuspid Aortic Stenosis: The NOTION-2 Trial. Eur. Heart J. 2024, 45, 3804–3814. [Google Scholar] [CrossRef]
- Mazine, A.; El-Hamamsy, I.; Verma, S.; Peterson, M.D.; Bonow, R.O.; Yacoub, M.H.; David, T.E.; Bhatt, D.L. Ross Procedure in Adults for Cardiologists and Cardiac Surgeons: JACC State-of-the-Art Review. J. Am. Coll. Cardiol. 2018, 72, 2761–2777. [Google Scholar] [CrossRef]


| 2020 ACC/AHA Guidelines [13] | 2021 ESC/EACTS Guidelines [17] |
|---|---|
| TAVR is a potential alternative to SAVR in BAV with severe, symptomatic aortic stenosis (Class 2b) | SAVR is recommended in BAV with severe, symptomatic aortic stenosis |
| BAV + Aortic sinus or ascending aortic diameter > 5.5 cm, operative replacement of aorta is recommended (Class 1) | Aortic root dilation ≥ 5.5 cm, operative replacement of aorta should be considered (Class 2a) |
| BAV + Aortic sinus or ascending aortic diameter 5.0–5.5 cm -without symptoms -with additional risk factors * operative replacement is reasonable (Class 2a) | Aortic root disease dilation ≥ 5.0 cm -with additional risk factors * operative replacement of aorta should be considered (Class 2a) |
| BAV + Aortic sinus or ascending aortic diameter 5.0–5.5 cm -without symptoms -without risk factors operative replacement may be considered (Class 2b) | |
| 2020 ACC/AHA Guidelines [11] | 2021 ESC/EACTS Guidelines [12] |
| TAVR is a potential alternative to SAVR in BAV with severe, symptomatic aortic AS (Class 2b) | SAVR is recommended in BAV with severe, symptomatic aortic AS |
| BAV + Aortic sinus or ascending aortic diameter > 5.5 cm, operative replacement of aorta is recommended (Class 1) | Aortic root dilation ≥ 5.5 cm, operative replacement of aorta should be considered (Class 2a) |
| BAV + Aortic sinus or ascending aortic diameter 5.0–5.5 cm -without symptoms -with additional risk factors * operative replacement is reasonable (Class 2a) | Aortic root disease dilation ≥ 5.0 cm -with additional risk factors * operative replacement of aorta should be considered (Class 2a) |
| BAV + Aortic sinus or ascending aortic diameter 5.0–5.5 cm -without symptoms -without risk factors operative replacement may be considered (Class 2b) |
| Author Year | Sample Size | In Hospital Mortality | Stroke | PPI | Bleeding Complication * | Annular or Aortic Dissection | Median Length of Stay (IQR) | 30-Day Mortality | 1-Year Mortality | 2-Year Mortality |
|---|---|---|---|---|---|---|---|---|---|---|
| Williams 2022 [34] | BAV: 148 | 2 (1.4) | 9 (6.1) | 0 (0) | 1 (0.7) | |||||
| TAV: 148 | 2 (1.4) | 10 (6.8) | 0 (0) | 2 (1.4) | ||||||
| Matched Total: 296 | p = 0.62 | p = 1.0 | p = 1.0 | |||||||
| Makkar 2021 [32] | BAV: 3168 | 20 (0.6) | 44 (1.4) | 189/3035 (6.2) | 12 (0.38) | 29 (0.9) | 146 (4.6) | |||
| TAV: 3168 | 13 (0.4) | 38 (1.2) | 156/3028 (5.2) | 9 (0.28) | 25 (0.8) | 209 (6.6) | ||||
| Matched Total: 6336 | p = 0.22 | p = 0.55 | p = 0.07 | p = 0.66 | p = 0.55 | p = 0.06 | ||||
| Elbadawi 2019 [33] | BAV: 1035 | 30 (2.9) | 20 (1.9) | 145 (14.0) | 330 (31.9) | 4 (2–7) | ||||
| TAV: 1035 | 35 (3.4) | 20 (1.9) | 125 (12.1) | 330 (31.9) | 4 (2–8) | |||||
| Matched Total: 2070 | p = 0.76 | p > 0.999 | p = 0.51 | p = 1.0 | p = 0.07 | |||||
| Nagaraja 2019 [38] | BAV: 359 | 20 (5.6) | 10 (2.8) | 40 (11.1) | 123 (34.3) | 8.9 ± 9.5 | ||||
| TAV: 359 | 5 (1.4) | 20 (5.6) | 15 (4.2) | 165 (46.0) | 8.2 ± 7.6 | |||||
| Matched Total: 718 | p = 0.32 | p = 0.27 | p = 0.64 | |||||||
| Yoon 2017 [30] | BAV: 546 | 7 (1.3) | 84 (15.4) | 9 (1.6) | 20 (3.7) | 94 (17.2) | ||||
| TAV: 546 | 6 (1.1) | 84 (15.4) | 0 (0) | 18 (3.3) | 106 (19.4) | |||||
| Matched Total: 1092 | p > 0.99 | p > 0.99 | p = 0.87 | p = 0.28 |
| Author Year | Sample Size | In Hospital Mortality | Stroke | PPI | Bleeding Complication * | Median Length of Stay (IQR) | 30-Day Mortality | 1-Year Mortality | 2-Year Mortality | Other Follow Up |
|---|---|---|---|---|---|---|---|---|---|---|
| Chen 2023 [48] | 3-year AV reop | |||||||||
| TAVR: 797 | 19 (2.4) | 73 (9.2) | 3 (2–6) | 13 (1.6) | 13 (1.6) | |||||
| SAVR: 797 | 18 (2.3) | 50 (6.3) | 7 (5–10) | 19 (2.4) | 14 (1.7) | |||||
| Matched Total: 1594 | p = 0.87 | p = 0.03 | p < 0.001 | p = 0.29 | p = 0.55 | |||||
| Majmunder 2022 [46] | TAVR: 1393 | 10 (0.7) | 41 (2.9) | 155/1309 (11.8) | 35 (2.5) | 2 (1–4) | ||||
| SAVR: 1393 | 26 (1.8) | 45 (3.2) | 113/1314 (8.6) | 145 (10.5) | 6 (5–8) | |||||
| Matched Total: 3761 | p = 0.035 | p = 0.717 | p = 0.033 | p < 0.001 | p < 0.001 | |||||
| Husso 2021 [43] | TAVR: 75 | 3 (4.0) | 8 (11.4) | 11 (14.7) | 4.4 ± 3.0 | 1 (1.3) | (9.7) | |||
| SAVR: 75 | 6 (8.0) | 4 (5.5) | 61 (81.3) | 8.1 ± 4.4 | 4 (5.3) | (18.7) | ||||
| Matched Total: 150 | p = 0.508 | p = 0.388 | p < 0.0001 | p < 0.0001 | p = 0.375 | p = 0.268 | ||||
| Tsai 2021 [47] | TAVR: 48 | 6 (12.5) | 1 (2.0) | 17.3 ± 14.9 | ||||||
| SAVR: 82 | 4 (4.9) | 0 (0) | 17.3 ± 8.2 | |||||||
| Matched Total ‡: 130 | p = 0.22 | p = 0.79 | ||||||||
| Mentias 2020 [44] | TAVR: 699 | 15 (2.2) | 19 (2.7) | 85 (12.2) | 37 (5.3) | 20 (2.9) | 63 (9.0) | |||
| SAVR: 699 | 16 (2.3) | 20 (2.9) | 53 (7.6) | 150 (21.5) | 19 (2.7) | 52 (7.4) | ||||
| Matched Total: 1398 | p = 0.90 | p = 0.90 | p = 0.009 | p = 0.90 | p = 0.34 | |||||
| Soud 2020 [45] Retro | TAVR: 68 | 4 (5.9) | 1 (1.5) | 7 (10.3) | 5 (7.4) | |||||
| SAVR: 68 | 0 (0) | 0 (0) | 7 (10.3) | 9 (13.2) | ||||||
| Matched Total: 136 | p = 0.11 | p = 1.00 | p = 1.00 | p = 0.39 | ||||||
| Elbadawi 2019 [33] | TAVR: 975 | 30 (3.1) | 20 (2.1) | 132 (13.8) | 300 (30.8) | 4 (2–7) | ||||
| SAVR: 975 | 30 (3.1) | 25 (2.6) | 45 (4.6) | 700 (71.8) | 7 (5–9) | |||||
| Matched Total: 1950 | >0.999 | p = 0.55 | p < 0.001 | p < 0.001 | p = 0.01 |
Disclaimer/Publisher’s Note: The statements, opinions and data contained in all publications are solely those of the individual author(s) and contributor(s) and not of MDPI and/or the editor(s). MDPI and/or the editor(s) disclaim responsibility for any injury to people or property resulting from any ideas, methods, instructions or products referred to in the content. |
© 2024 by the authors. Licensee MDPI, Basel, Switzerland. This article is an open access article distributed under the terms and conditions of the Creative Commons Attribution (CC BY) license (https://creativecommons.org/licenses/by/4.0/).
Share and Cite
Grubb, K.J.; Tom, S.K.; Xie, J.; Kalra, K.; Camaj, A. Transcatheter Aortic Valve Replacement Versus Surgical Aortic Valve Replacement in Bicuspid Aortic Valve Stenosis—We Need a Well-Designed Randomized Control Trial. J. Clin. Med. 2024, 13, 6565. https://doi.org/10.3390/jcm13216565
Grubb KJ, Tom SK, Xie J, Kalra K, Camaj A. Transcatheter Aortic Valve Replacement Versus Surgical Aortic Valve Replacement in Bicuspid Aortic Valve Stenosis—We Need a Well-Designed Randomized Control Trial. Journal of Clinical Medicine. 2024; 13(21):6565. https://doi.org/10.3390/jcm13216565
Chicago/Turabian StyleGrubb, Kendra J., Stephanie K. Tom, Joe Xie, Kanika Kalra, and Anton Camaj. 2024. "Transcatheter Aortic Valve Replacement Versus Surgical Aortic Valve Replacement in Bicuspid Aortic Valve Stenosis—We Need a Well-Designed Randomized Control Trial" Journal of Clinical Medicine 13, no. 21: 6565. https://doi.org/10.3390/jcm13216565
APA StyleGrubb, K. J., Tom, S. K., Xie, J., Kalra, K., & Camaj, A. (2024). Transcatheter Aortic Valve Replacement Versus Surgical Aortic Valve Replacement in Bicuspid Aortic Valve Stenosis—We Need a Well-Designed Randomized Control Trial. Journal of Clinical Medicine, 13(21), 6565. https://doi.org/10.3390/jcm13216565

